GAN Medical CT Evaluation Report

Patient: BM26032018

Slice 70 Targeting Evaluation

Patient Information

Patient ID: BM26032018

Model: cytran

Slice: Slice_70

Slice Thickness: 2.0mm

Conversion: NATIVE β†’ VENOUS

πŸ“Š Download Metrics

πŸ“₯ Download CSV Metrics (patient_BM26032018_metrics.csv)

Contains all 4 metric datasets: Network-Normalized, Hounsfield Units, Lung Window, and Mediastinum Window

Native→Venous Translation Metrics (Generated Venous vs Real Venous)

Targeted Slice 70 - Network-Normalized Analysis (Generated vs Real Venous)

0.210
SSIM Score
0.741
RMSE
0.702
MAE

Average Network-Normalized Metrics Across All Slices (133 slices) - Generated vs Real Venous

0.201
SSIM Score (Avg)
0.740
RMSE (Avg)
0.692
MAE (Avg)

Targeted Slice 70 - HU-Space Analysis (Generated vs Real Venous)

0.211
HU SSIM
741.1
HU RMSE
701.5
HU MAE

Average HU-Space Metrics Across All Slices (133 slices) - Generated vs Real Venous

0.202
HU SSIM (Avg)
739.0
HU RMSE (Avg)
691.5
HU MAE (Avg)

Targeted Slice 70 - Lung Window Analysis (Generated vs Real Venous)

0.186
Lung SSIM
739.7
Lung RMSE
694.8
Lung MAE

Average Lung Window Metrics Across All Slices (133 slices) - Generated vs Real Venous

0.181
Lung SSIM (Avg)
738.6
Lung RMSE (Avg)
686.8
Lung MAE (Avg)

Targeted Slice 70 - Mediastinum Window Analysis (Generated vs Real Venous)

0.709
Mediastinum SSIM
83.3
Mediastinum RMSE
34.9
Mediastinum MAE

Average Mediastinum Window Metrics Across All Slices (133 slices) - Generated vs Real Venous

0.680
Mediastinum SSIM (Avg)
83.0
Mediastinum RMSE (Avg)
37.5
Mediastinum MAE (Avg)

Image Grid

4Γ—3 grid: Rows show different image types (Original NATIVE, Reconstructed NATIVE, Original VENOUS, Generated VENOUS), Columns show windowing techniques (No Window, Lung Window, Mediastinum Window)

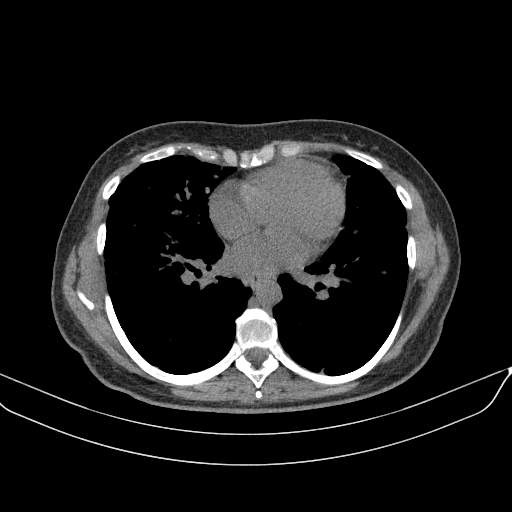
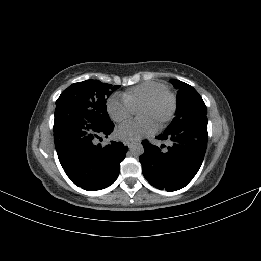
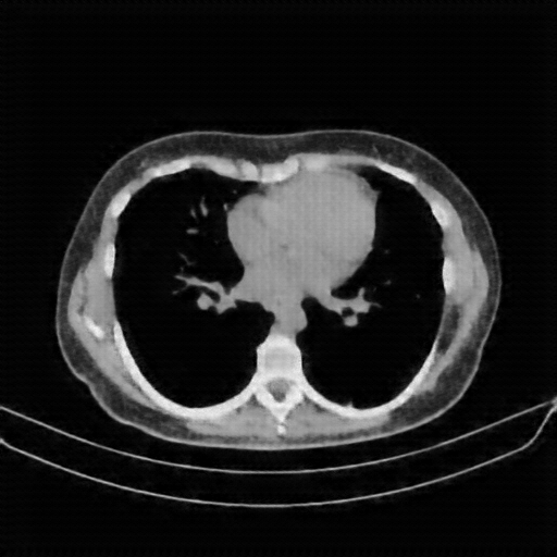
Original NATIVE CT scan (input)
Full window (WL 1023.5, WW 4095 β†’ Low βˆ’1024, High +3071)
Original NATIVE CT scan (input)
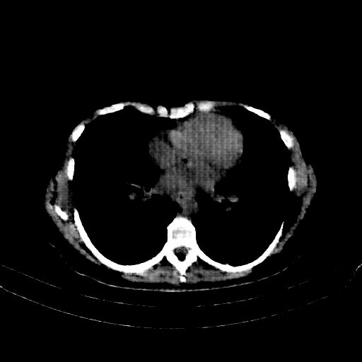
Original NATIVE CT scan (input)
Lung window (WL -600, WW 1500 β†’ Low βˆ’1350, High +150)
Original NATIVE CT scan (input)
Original NATIVE CT scan (input)
Mediastinum window (WL 40, WW 400 β†’ Low βˆ’160, High +240)
Original NATIVE CT scan (input)
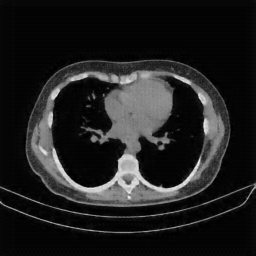
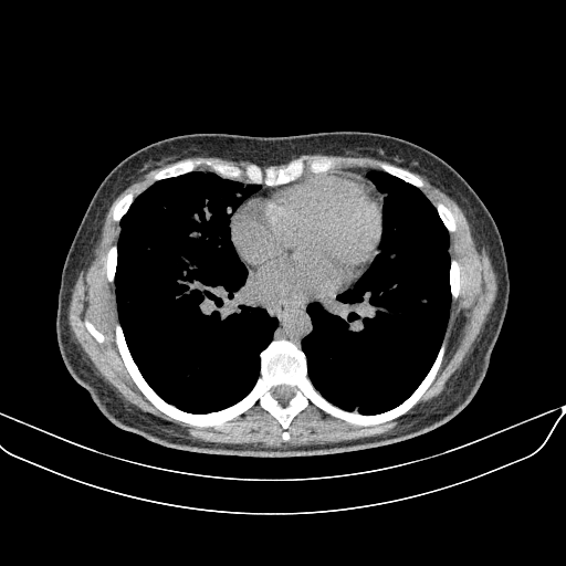
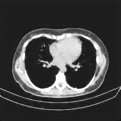
Reconstructed NATIVE CT scan (cycle consistency)
Full window (WL 1023.5, WW 4095 β†’ Low βˆ’1024, High +3071)
Reconstructed NATIVE CT scan (cycle consistency)
Reconstructed NATIVE CT scan (cycle consistency)
Lung window (WL -600, WW 1500 β†’ Low βˆ’1350, High +150)
Reconstructed NATIVE CT scan (cycle consistency)
Reconstructed NATIVE CT scan (cycle consistency)
Mediastinum window (WL 40, WW 400 β†’ Low βˆ’160, High +240)
Reconstructed NATIVE CT scan (cycle consistency)
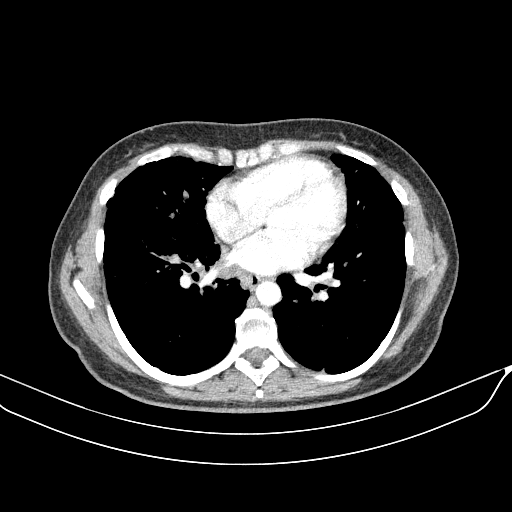
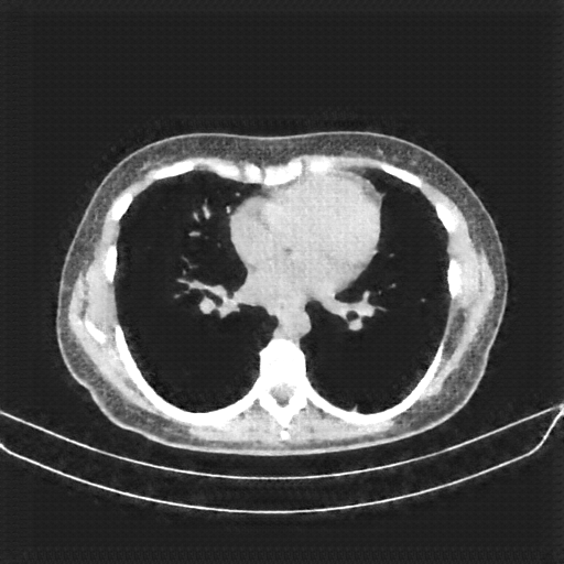
Original VENOUS CT scan
Full window (WL 1023.5, WW 4095 β†’ Low βˆ’1024, High +3071)
Original VENOUS CT scan
Original VENOUS CT scan
Lung window (WL -600, WW 1500 β†’ Low βˆ’1350, High +150)
Original VENOUS CT scan
Original VENOUS CT scan
Mediastinum window (WL 40, WW 400 β†’ Low βˆ’160, High +240)
Original VENOUS CT scan
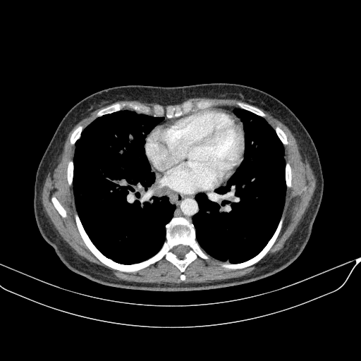
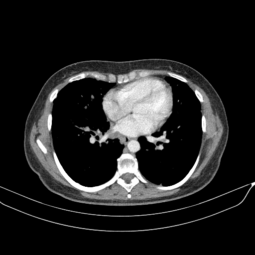
Generated VENOUS CT scan (A→B translation)
Full window (WL 1023.5, WW 4095 β†’ Low βˆ’1024, High +3071)
Generated VENOUS CT scan (A→B translation)
Generated VENOUS CT scan (A→B translation)
Lung window (WL -600, WW 1500 β†’ Low βˆ’1350, High +150)
Generated VENOUS CT scan (A→B translation)
Generated VENOUS CT scan (A→B translation)
Mediastinum window (WL 40, WW 400 β†’ Low βˆ’160, High +240)
Generated VENOUS CT scan (A→B translation)

Windowing Parameters