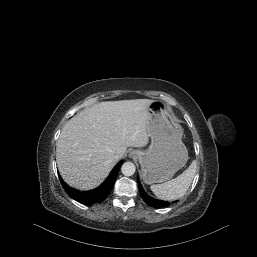
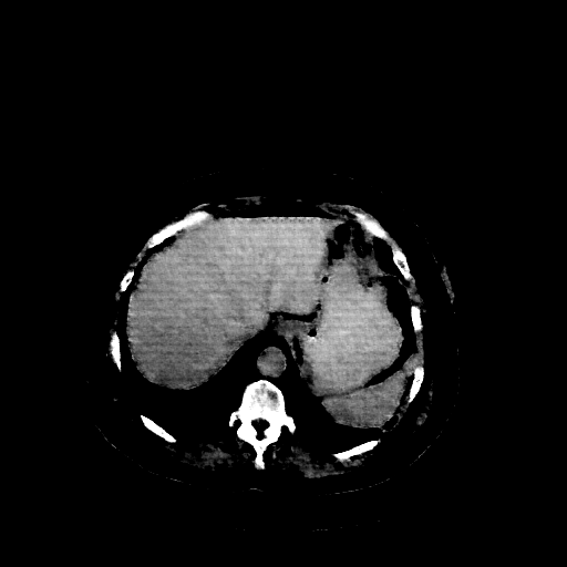
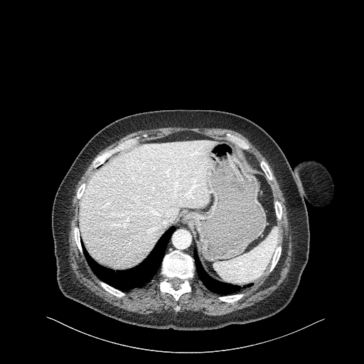
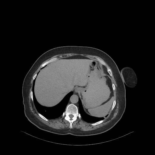
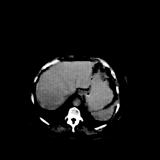
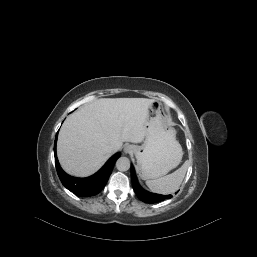
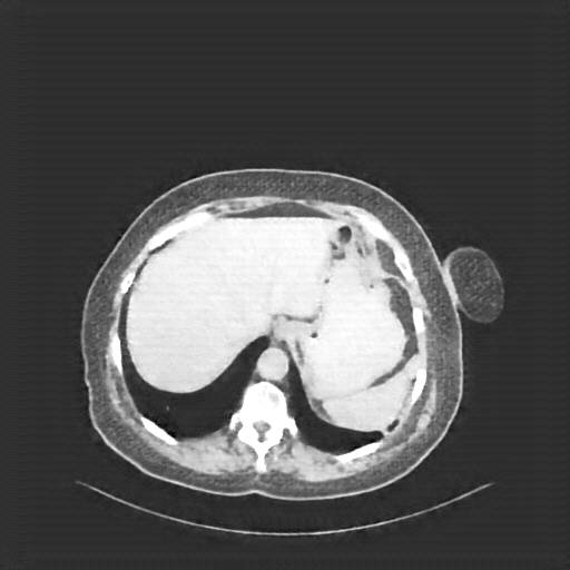
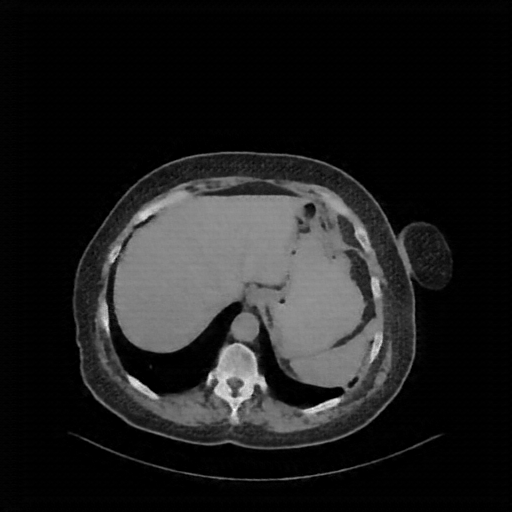
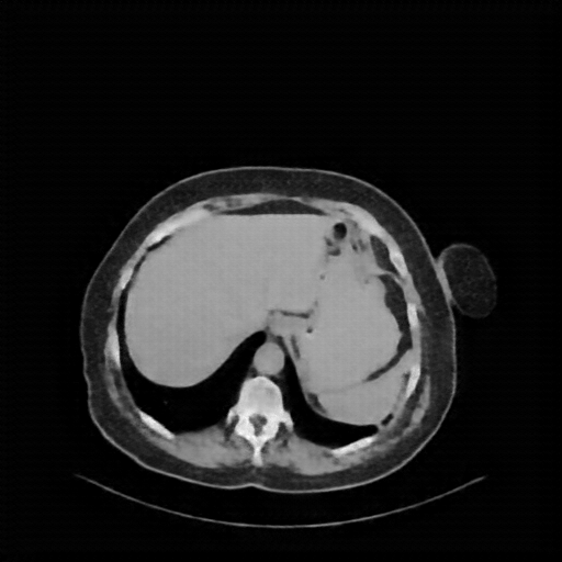
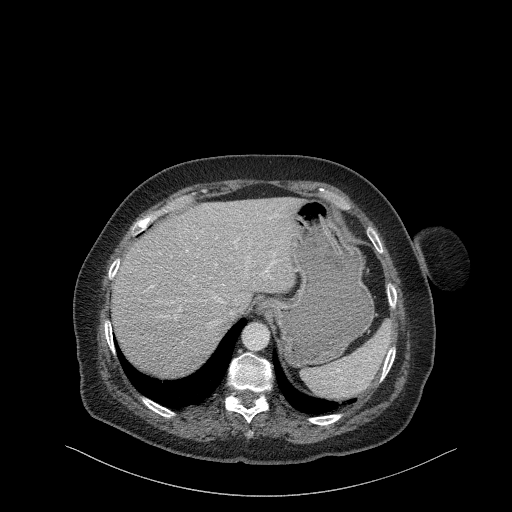
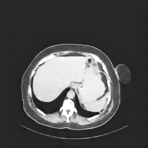
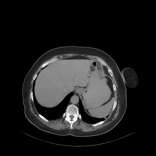
Slice 70 Targeting Evaluation
Patient ID: MP07122020q
Model: cytran
Slice: Slice_70
Slice Thickness: 3.0mm
Conversion: NATIVE β VENOUS
Contains all 4 metric datasets: Network-Normalized, Hounsfield Units, Lung Window, and Mediastinum Window
| Slice ID | SSIM | RMSE | MAE | HU SSIM | HU RMSE | HU MAE | Lung SSIM | Lung RMSE | Lung MAE | Mediastinum SSIM | Mediastinum RMSE | Mediastinum MAE |
|---|---|---|---|---|---|---|---|---|---|---|---|---|
| MP07122020q_slice_0 | 0.225 | 0.761 | 0.721 | 0.226 | 759.8 | 719.7 | 0.191 | 756.7 | 711.5 | 0.652 | 94.2 | 43.6 |
| MP07122020q_slice_1 | 0.224 | 0.761 | 0.719 | 0.224 | 759.7 | 718.4 | 0.190 | 756.4 | 710.2 | 0.648 | 94.9 | 44.2 |
| MP07122020q_slice_2 | 0.223 | 0.762 | 0.720 | 0.224 | 760.8 | 719.3 | 0.190 | 757.5 | 711.3 | 0.647 | 94.3 | 43.9 |
| MP07122020q_slice_3 | 0.223 | 0.761 | 0.720 | 0.224 | 760.1 | 718.9 | 0.190 | 756.9 | 710.8 | 0.646 | 93.5 | 43.7 |
| MP07122020q_slice_4 | 0.225 | 0.765 | 0.724 | 0.225 | 764.5 | 723.7 | 0.194 | 761.8 | 716.1 | 0.646 | 94.7 | 44.1 |
| MP07122020q_slice_5 | 0.225 | 0.767 | 0.726 | 0.226 | 766.5 | 725.1 | 0.195 | 763.8 | 717.5 | 0.647 | 94.4 | 43.8 |
| MP07122020q_slice_6 | 0.223 | 0.769 | 0.727 | 0.223 | 767.9 | 726.3 | 0.195 | 765.3 | 719.0 | 0.647 | 94.7 | 43.7 |
| MP07122020q_slice_7 | 0.221 | 0.772 | 0.732 | 0.221 | 771.0 | 731.6 | 0.194 | 768.4 | 723.9 | 0.651 | 94.9 | 43.8 |
| MP07122020q_slice_8 | 0.220 | 0.777 | 0.738 | 0.221 | 775.7 | 736.7 | 0.195 | 774.1 | 730.3 | 0.655 | 93.5 | 43.1 |
| MP07122020q_slice_9 | 0.220 | 0.775 | 0.737 | 0.221 | 773.9 | 736.1 | 0.194 | 771.5 | 728.7 | 0.659 | 93.3 | 42.4 |
| MP07122020q_slice_10 | 0.223 | 0.776 | 0.736 | 0.223 | 774.7 | 735.2 | 0.194 | 772.5 | 728.4 | 0.660 | 92.9 | 41.6 |
| MP07122020q_slice_11 | 0.222 | 0.777 | 0.738 | 0.222 | 776.1 | 737.4 | 0.193 | 773.5 | 730.4 | 0.661 | 94.0 | 42.2 |
| MP07122020q_slice_12 | 0.222 | 0.779 | 0.741 | 0.223 | 778.1 | 739.4 | 0.193 | 775.9 | 733.0 | 0.664 | 92.2 | 41.3 |
| MP07122020q_slice_13 | 0.224 | 0.777 | 0.738 | 0.225 | 775.4 | 736.7 | 0.194 | 773.1 | 730.2 | 0.665 | 90.1 | 40.3 |
| MP07122020q_slice_14 | 0.227 | 0.779 | 0.740 | 0.228 | 777.0 | 738.8 | 0.195 | 775.3 | 732.9 | 0.671 | 86.4 | 38.5 |
| MP07122020q_slice_15 | 0.233 | 0.777 | 0.738 | 0.233 | 775.5 | 737.5 | 0.198 | 773.4 | 731.3 | 0.673 | 84.0 | 37.1 |
| MP07122020q_slice_16 | 0.238 | 0.776 | 0.737 | 0.239 | 774.7 | 736.6 | 0.203 | 772.2 | 730.2 | 0.676 | 83.7 | 36.3 |
| MP07122020q_slice_17 | 0.240 | 0.777 | 0.738 | 0.241 | 775.7 | 737.4 | 0.204 | 773.1 | 731.2 | 0.676 | 83.4 | 35.9 |
| MP07122020q_slice_18 | 0.241 | 0.779 | 0.739 | 0.242 | 777.5 | 737.8 | 0.204 | 775.8 | 732.6 | 0.675 | 82.8 | 35.4 |
| MP07122020q_slice_19 | 0.239 | 0.779 | 0.739 | 0.240 | 777.2 | 737.8 | 0.202 | 775.5 | 732.7 | 0.675 | 82.8 | 35.5 |
| MP07122020q_slice_20 | 0.238 | 0.779 | 0.740 | 0.238 | 777.7 | 739.0 | 0.200 | 776.0 | 733.8 | 0.674 | 82.6 | 35.6 |
| MP07122020q_slice_21 | 0.239 | 0.778 | 0.739 | 0.240 | 776.5 | 737.7 | 0.202 | 775.1 | 732.7 | 0.675 | 81.2 | 34.9 |
| MP07122020q_slice_22 | 0.240 | 0.777 | 0.738 | 0.241 | 775.9 | 736.6 | 0.203 | 774.4 | 731.7 | 0.675 | 80.6 | 34.6 |
| MP07122020q_slice_23 | 0.239 | 0.779 | 0.739 | 0.240 | 776.6 | 736.9 | 0.202 | 775.8 | 732.7 | 0.676 | 80.4 | 34.5 |
| MP07122020q_slice_24 | 0.239 | 0.776 | 0.735 | 0.240 | 774.0 | 733.8 | 0.203 | 772.9 | 729.4 | 0.675 | 79.9 | 34.6 |
| MP07122020q_slice_25 | 0.240 | 0.775 | 0.735 | 0.241 | 773.1 | 733.4 | 0.202 | 771.8 | 728.9 | 0.673 | 80.7 | 35.0 |
| MP07122020q_slice_26 | 0.242 | 0.775 | 0.736 | 0.242 | 773.2 | 734.6 | 0.202 | 771.3 | 729.3 | 0.677 | 80.8 | 34.9 |
| MP07122020q_slice_27 | 0.241 | 0.775 | 0.738 | 0.242 | 773.9 | 736.8 | 0.201 | 771.6 | 730.9 | 0.677 | 81.6 | 35.2 |
| MP07122020q_slice_28 | 0.241 | 0.776 | 0.740 | 0.241 | 775.2 | 739.2 | 0.201 | 772.7 | 732.8 | 0.677 | 82.3 | 35.3 |
| MP07122020q_slice_29 | 0.242 | 0.780 | 0.742 | 0.243 | 777.9 | 740.7 | 0.203 | 776.2 | 735.2 | 0.674 | 81.8 | 35.1 |
| MP07122020q_slice_30 | 0.243 | 0.776 | 0.739 | 0.243 | 775.1 | 737.8 | 0.204 | 773.3 | 732.4 | 0.668 | 82.0 | 35.4 |
| MP07122020q_slice_31 | 0.244 | 0.775 | 0.737 | 0.245 | 773.9 | 735.7 | 0.205 | 772.2 | 730.7 | 0.669 | 81.8 | 35.5 |
| MP07122020q_slice_32 | 0.242 | 0.776 | 0.737 | 0.243 | 774.4 | 735.7 | 0.205 | 773.0 | 731.2 | 0.668 | 81.9 | 35.9 |
| MP07122020q_slice_33 | 0.242 | 0.776 | 0.737 | 0.243 | 774.4 | 735.6 | 0.204 | 773.2 | 731.2 | 0.669 | 81.9 | 35.9 |
| MP07122020q_slice_34 | 0.243 | 0.775 | 0.737 | 0.243 | 773.5 | 735.7 | 0.203 | 771.5 | 730.5 | 0.667 | 82.6 | 36.2 |
| MP07122020q_slice_35 | 0.242 | 0.774 | 0.737 | 0.243 | 773.0 | 736.5 | 0.201 | 770.4 | 730.4 | 0.666 | 83.3 | 36.4 |
| MP07122020q_slice_36 | 0.240 | 0.774 | 0.738 | 0.241 | 772.6 | 736.7 | 0.199 | 769.9 | 730.2 | 0.664 | 84.7 | 37.0 |
| MP07122020q_slice_37 | 0.239 | 0.772 | 0.735 | 0.240 | 770.9 | 734.4 | 0.200 | 768.3 | 728.0 | 0.662 | 85.1 | 37.1 |
| MP07122020q_slice_38 | 0.240 | 0.773 | 0.735 | 0.241 | 771.4 | 733.5 | 0.200 | 769.5 | 727.9 | 0.659 | 84.3 | 37.0 |
| MP07122020q_slice_39 | 0.242 | 0.774 | 0.733 | 0.243 | 771.0 | 730.6 | 0.202 | 770.1 | 726.2 | 0.658 | 84.6 | 37.2 |
| MP07122020q_slice_40 | 0.241 | 0.771 | 0.730 | 0.242 | 768.6 | 727.5 | 0.199 | 767.7 | 723.3 | 0.652 | 83.4 | 37.0 |
| MP07122020q_slice_41 | 0.241 | 0.770 | 0.729 | 0.242 | 768.3 | 727.2 | 0.200 | 767.4 | 723.1 | 0.650 | 81.7 | 36.3 |
| MP07122020q_slice_42 | 0.243 | 0.769 | 0.727 | 0.244 | 767.2 | 725.7 | 0.202 | 766.1 | 721.4 | 0.648 | 80.8 | 36.1 |
| MP07122020q_slice_43 | 0.244 | 0.770 | 0.729 | 0.245 | 768.3 | 727.7 | 0.202 | 766.8 | 723.0 | 0.645 | 80.7 | 36.1 |
| MP07122020q_slice_44 | 0.245 | 0.772 | 0.731 | 0.246 | 769.8 | 729.7 | 0.202 | 768.4 | 725.0 | 0.645 | 81.5 | 36.3 |
| MP07122020q_slice_45 | 0.246 | 0.774 | 0.736 | 0.247 | 772.7 | 734.5 | 0.203 | 770.7 | 729.2 | 0.646 | 82.8 | 36.6 |
| MP07122020q_slice_46 | 0.246 | 0.773 | 0.735 | 0.247 | 771.5 | 734.2 | 0.204 | 769.0 | 728.1 | 0.647 | 84.2 | 37.3 |
| MP07122020q_slice_47 | 0.250 | 0.773 | 0.733 | 0.251 | 771.4 | 731.7 | 0.208 | 769.9 | 726.7 | 0.646 | 83.3 | 36.6 |
| MP07122020q_slice_48 | 0.252 | 0.774 | 0.732 | 0.254 | 771.5 | 730.5 | 0.211 | 770.7 | 726.2 | 0.649 | 82.5 | 36.2 |
| MP07122020q_slice_49 | 0.255 | 0.774 | 0.732 | 0.257 | 771.5 | 729.3 | 0.214 | 771.3 | 725.8 | 0.653 | 81.8 | 35.8 |
| MP07122020q_slice_50 | 0.258 | 0.774 | 0.732 | 0.259 | 771.8 | 729.7 | 0.217 | 771.5 | 726.3 | 0.656 | 80.4 | 35.0 |
| MP07122020q_slice_51 | 0.258 | 0.775 | 0.734 | 0.259 | 773.3 | 731.9 | 0.216 | 772.7 | 728.3 | 0.659 | 78.5 | 34.1 |
| MP07122020q_slice_52 | 0.258 | 0.777 | 0.735 | 0.259 | 774.2 | 733.0 | 0.217 | 774.0 | 729.7 | 0.663 | 77.5 | 33.5 |
| MP07122020q_slice_53 | 0.257 | 0.776 | 0.735 | 0.258 | 774.0 | 733.1 | 0.217 | 773.6 | 729.6 | 0.665 | 76.9 | 33.1 |
| MP07122020q_slice_54 | 0.257 | 0.776 | 0.734 | 0.259 | 773.6 | 732.1 | 0.217 | 773.7 | 729.1 | 0.666 | 76.3 | 32.8 |
| MP07122020q_slice_55 | 0.254 | 0.778 | 0.737 | 0.256 | 775.5 | 734.7 | 0.213 | 775.7 | 731.6 | 0.664 | 77.2 | 33.5 |
| MP07122020q_slice_56 | 0.250 | 0.779 | 0.738 | 0.251 | 775.8 | 735.8 | 0.211 | 775.8 | 732.5 | 0.663 | 77.9 | 34.3 |
| MP07122020q_slice_57 | 0.243 | 0.780 | 0.740 | 0.244 | 777.8 | 737.9 | 0.205 | 777.5 | 734.4 | 0.650 | 81.0 | 36.6 |
| MP07122020q_slice_58 | 0.234 | 0.781 | 0.741 | 0.236 | 778.7 | 738.5 | 0.198 | 778.5 | 735.1 | 0.639 | 84.1 | 38.7 |
| MP07122020q_slice_59 | 0.231 | 0.779 | 0.738 | 0.232 | 777.1 | 736.1 | 0.194 | 776.3 | 732.1 | 0.631 | 85.6 | 39.7 |
| MP07122020q_slice_60 | 0.233 | 0.772 | 0.729 | 0.234 | 770.9 | 727.9 | 0.195 | 769.2 | 723.3 | 0.629 | 84.8 | 39.5 |
| MP07122020q_slice_61 | 0.238 | 0.772 | 0.727 | 0.238 | 770.2 | 725.3 | 0.199 | 768.9 | 721.0 | 0.629 | 84.3 | 39.2 |
| MP07122020q_slice_62 | 0.244 | 0.774 | 0.726 | 0.245 | 771.9 | 724.3 | 0.205 | 772.1 | 721.7 | 0.631 | 83.4 | 38.6 |
| MP07122020q_slice_63 | 0.253 | 0.773 | 0.723 | 0.254 | 770.9 | 721.0 | 0.212 | 771.3 | 718.7 | 0.631 | 82.5 | 37.8 |
| MP07122020q_slice_64 | 0.255 | 0.771 | 0.718 | 0.256 | 768.8 | 716.8 | 0.214 | 768.6 | 713.9 | 0.629 | 81.8 | 37.4 |
| MP07122020q_slice_65 | 0.260 | 0.766 | 0.713 | 0.260 | 764.8 | 711.7 | 0.219 | 763.5 | 707.7 | 0.631 | 82.4 | 37.5 |
| MP07122020q_slice_66 | 0.267 | 0.763 | 0.707 | 0.267 | 762.1 | 706.5 | 0.225 | 761.0 | 702.9 | 0.631 | 82.1 | 37.0 |
| MP07122020q_slice_67 | 0.272 | 0.762 | 0.704 | 0.272 | 760.5 | 702.9 | 0.230 | 759.6 | 699.7 | 0.630 | 82.5 | 37.2 |
| MP07122020q_slice_68 | 0.272 | 0.760 | 0.701 | 0.272 | 758.4 | 699.6 | 0.229 | 757.7 | 696.8 | 0.630 | 82.5 | 37.4 |
| MP07122020q_slice_69 | 0.272 | 0.758 | 0.697 | 0.272 | 756.6 | 696.4 | 0.228 | 755.9 | 693.6 | 0.630 | 82.0 | 37.4 |
| MP07122020q_slice_70 | 0.270 | 0.755 | 0.694 | 0.271 | 754.2 | 693.1 | 0.228 | 753.6 | 690.3 | 0.630 | 81.8 | 37.7 |
| MP07122020q_slice_71 | 0.264 | 0.753 | 0.692 | 0.264 | 752.5 | 691.4 | 0.223 | 751.6 | 688.4 | 0.628 | 83.0 | 38.5 |
| MP07122020q_slice_72 | 0.259 | 0.754 | 0.693 | 0.260 | 753.3 | 692.0 | 0.220 | 752.4 | 688.9 | 0.631 | 84.3 | 39.2 |
| MP07122020q_slice_73 | 0.250 | 0.754 | 0.693 | 0.251 | 752.7 | 692.4 | 0.214 | 751.6 | 688.9 | 0.631 | 85.5 | 40.3 |
| MP07122020q_slice_74 | 0.248 | 0.753 | 0.693 | 0.249 | 751.8 | 692.0 | 0.211 | 750.7 | 688.1 | 0.631 | 85.1 | 40.4 |
| MP07122020q_slice_75 | 0.260 | 0.752 | 0.691 | 0.260 | 751.0 | 689.9 | 0.221 | 750.1 | 686.4 | 0.633 | 82.1 | 38.5 |
| MP07122020q_slice_76 | 0.262 | 0.751 | 0.689 | 0.262 | 749.5 | 688.3 | 0.223 | 748.6 | 684.9 | 0.634 | 81.1 | 37.9 |
| MP07122020q_slice_77 | 0.264 | 0.750 | 0.689 | 0.264 | 748.6 | 687.9 | 0.224 | 747.8 | 684.5 | 0.635 | 79.8 | 37.4 |
| MP07122020q_slice_78 | 0.260 | 0.750 | 0.691 | 0.261 | 749.3 | 689.8 | 0.222 | 748.5 | 686.5 | 0.635 | 79.8 | 37.5 |
| MP07122020q_slice_79 | 0.263 | 0.748 | 0.689 | 0.263 | 746.8 | 688.0 | 0.224 | 746.0 | 684.8 | 0.636 | 80.2 | 37.6 |
| MP07122020q_slice_80 | 0.260 | 0.749 | 0.690 | 0.261 | 747.7 | 689.8 | 0.223 | 746.9 | 686.5 | 0.637 | 81.0 | 38.0 |
| MP07122020q_slice_81 | 0.264 | 0.752 | 0.694 | 0.265 | 751.0 | 693.2 | 0.226 | 750.4 | 690.3 | 0.639 | 80.9 | 37.6 |
| MP07122020q_slice_82 | 0.266 | 0.751 | 0.693 | 0.267 | 750.4 | 692.2 | 0.226 | 750.1 | 689.6 | 0.640 | 79.9 | 37.0 |
| MP07122020q_slice_83 | 0.264 | 0.752 | 0.693 | 0.264 | 750.3 | 692.4 | 0.224 | 750.0 | 689.8 | 0.641 | 78.8 | 36.6 |
| MP07122020q_slice_84 | 0.266 | 0.750 | 0.692 | 0.266 | 749.0 | 691.0 | 0.225 | 748.7 | 688.4 | 0.644 | 77.3 | 35.7 |
| MP07122020q_slice_85 | 0.263 | 0.752 | 0.695 | 0.263 | 751.0 | 693.9 | 0.222 | 751.0 | 691.5 | 0.642 | 77.4 | 35.8 |
| MP07122020q_slice_86 | 0.257 | 0.754 | 0.697 | 0.258 | 752.2 | 696.1 | 0.217 | 752.3 | 693.8 | 0.640 | 78.2 | 36.4 |
| MP07122020q_slice_87 | 0.252 | 0.755 | 0.699 | 0.253 | 753.3 | 698.0 | 0.213 | 753.4 | 695.7 | 0.640 | 78.6 | 36.6 |
4Γ3 grid: Rows show different image types (Original NATIVE, Reconstructed NATIVE, Original VENOUS, Generated VENOUS), Columns show windowing techniques (No Window, Lung Window, Mediastinum Window)