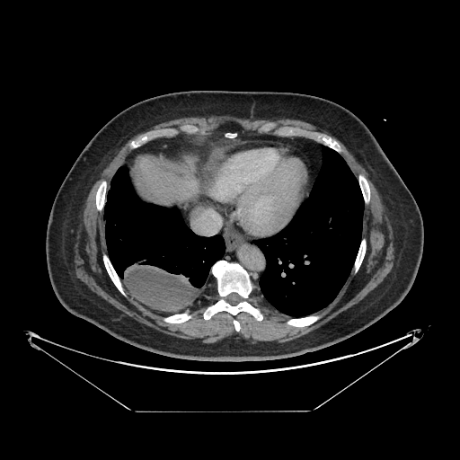
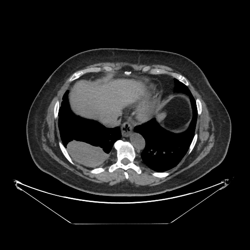
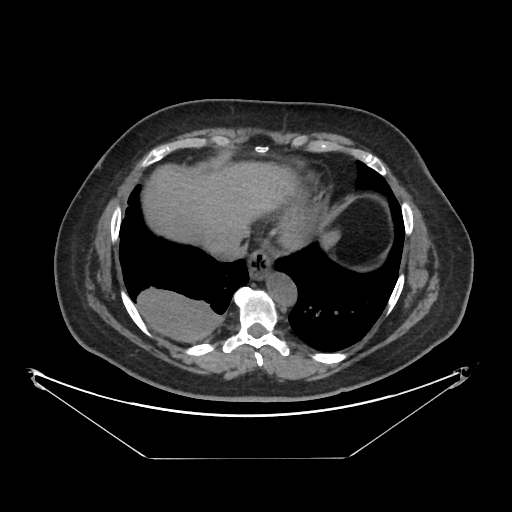
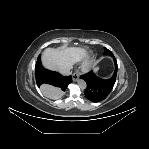
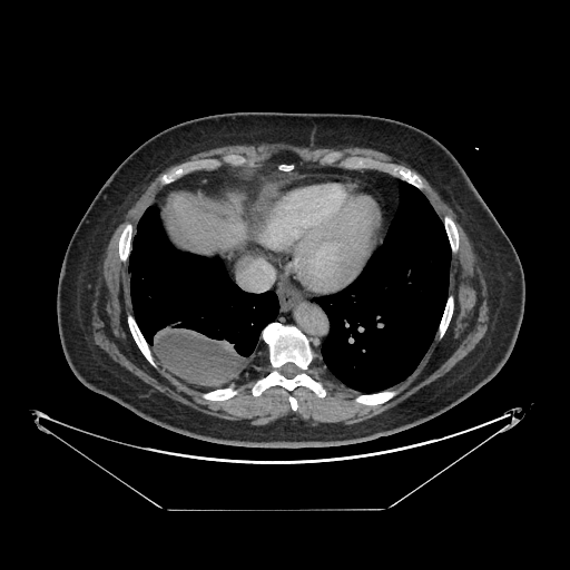
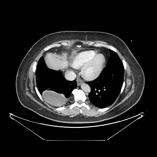
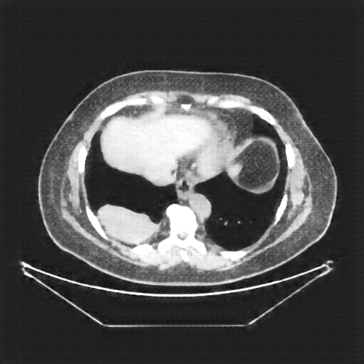
Slice 70 Targeting Evaluation
Patient ID: PD04012016
Model: cytran
Slice: Slice_70
Slice Thickness: 2.5mm
Conversion: NATIVE β VENOUS
Contains all 4 metric datasets: Network-Normalized, Hounsfield Units, Lung Window, and Mediastinum Window
| Slice ID | SSIM | RMSE | MAE | HU SSIM | HU RMSE | HU MAE | Lung SSIM | Lung RMSE | Lung MAE | Mediastinum SSIM | Mediastinum RMSE | Mediastinum MAE |
|---|---|---|---|---|---|---|---|---|---|---|---|---|
| PD04012016_slice_0 | 0.226 | 0.742 | 0.698 | 0.227 | 741.2 | 697.9 | 0.203 | 740.3 | 692.3 | 0.662 | 77.3 | 36.9 |
| PD04012016_slice_1 | 0.223 | 0.742 | 0.698 | 0.224 | 741.5 | 697.9 | 0.202 | 740.8 | 692.5 | 0.662 | 78.1 | 37.5 |
| PD04012016_slice_2 | 0.220 | 0.741 | 0.697 | 0.221 | 740.3 | 696.6 | 0.199 | 739.6 | 691.1 | 0.660 | 79.2 | 38.1 |
| PD04012016_slice_3 | 0.218 | 0.741 | 0.697 | 0.218 | 740.0 | 696.1 | 0.196 | 739.1 | 690.5 | 0.659 | 80.0 | 38.4 |
| PD04012016_slice_4 | 0.214 | 0.743 | 0.699 | 0.214 | 741.8 | 697.9 | 0.193 | 741.1 | 692.4 | 0.657 | 81.3 | 38.8 |
| PD04012016_slice_5 | 0.213 | 0.743 | 0.698 | 0.214 | 742.0 | 697.7 | 0.192 | 741.3 | 692.3 | 0.657 | 80.8 | 38.6 |
| PD04012016_slice_6 | 0.215 | 0.736 | 0.693 | 0.215 | 735.6 | 692.6 | 0.192 | 734.3 | 686.1 | 0.658 | 80.1 | 38.2 |
| PD04012016_slice_7 | 0.219 | 0.732 | 0.689 | 0.219 | 731.2 | 688.9 | 0.196 | 729.5 | 681.9 | 0.661 | 79.9 | 37.8 |
| PD04012016_slice_8 | 0.221 | 0.728 | 0.686 | 0.222 | 727.4 | 685.4 | 0.196 | 725.6 | 678.1 | 0.661 | 78.6 | 37.1 |
| PD04012016_slice_9 | 0.224 | 0.732 | 0.689 | 0.224 | 731.3 | 688.7 | 0.197 | 729.6 | 681.7 | 0.661 | 77.9 | 36.6 |
| PD04012016_slice_10 | 0.224 | 0.733 | 0.691 | 0.224 | 732.7 | 690.4 | 0.197 | 731.0 | 683.6 | 0.664 | 77.7 | 36.2 |
| PD04012016_slice_11 | 0.226 | 0.734 | 0.691 | 0.226 | 733.6 | 690.3 | 0.197 | 731.9 | 683.7 | 0.668 | 76.3 | 35.4 |
| PD04012016_slice_12 | 0.231 | 0.733 | 0.689 | 0.232 | 733.1 | 688.2 | 0.200 | 731.5 | 681.9 | 0.672 | 72.4 | 33.5 |
| PD04012016_slice_13 | 0.240 | 0.733 | 0.686 | 0.241 | 732.2 | 685.8 | 0.206 | 730.6 | 679.6 | 0.678 | 69.3 | 31.9 |
| PD04012016_slice_14 | 0.246 | 0.732 | 0.686 | 0.246 | 732.1 | 685.6 | 0.208 | 730.4 | 679.5 | 0.682 | 68.0 | 30.9 |
| PD04012016_slice_15 | 0.250 | 0.729 | 0.684 | 0.250 | 729.1 | 683.4 | 0.211 | 727.1 | 676.9 | 0.686 | 68.2 | 30.4 |
| PD04012016_slice_16 | 0.247 | 0.731 | 0.686 | 0.247 | 730.3 | 685.8 | 0.207 | 728.4 | 679.1 | 0.688 | 68.8 | 30.5 |
| PD04012016_slice_17 | 0.244 | 0.729 | 0.686 | 0.244 | 729.1 | 686.3 | 0.205 | 727.2 | 679.5 | 0.690 | 68.4 | 30.4 |
| PD04012016_slice_18 | 0.240 | 0.728 | 0.685 | 0.240 | 727.5 | 685.3 | 0.203 | 725.6 | 678.4 | 0.692 | 67.9 | 30.3 |
| PD04012016_slice_19 | 0.242 | 0.733 | 0.690 | 0.242 | 732.7 | 689.8 | 0.205 | 731.0 | 683.3 | 0.694 | 67.0 | 29.9 |
| PD04012016_slice_20 | 0.246 | 0.730 | 0.688 | 0.247 | 730.1 | 687.5 | 0.209 | 728.5 | 681.0 | 0.699 | 65.4 | 29.3 |
| PD04012016_slice_21 | 0.254 | 0.728 | 0.684 | 0.254 | 728.3 | 684.1 | 0.213 | 726.6 | 677.8 | 0.703 | 62.9 | 28.0 |
| PD04012016_slice_22 | 0.258 | 0.731 | 0.685 | 0.258 | 730.3 | 685.0 | 0.216 | 728.7 | 679.1 | 0.705 | 61.6 | 27.4 |
| PD04012016_slice_23 | 0.263 | 0.730 | 0.683 | 0.263 | 729.3 | 683.1 | 0.219 | 727.6 | 677.3 | 0.708 | 61.4 | 27.0 |
| PD04012016_slice_24 | 0.266 | 0.726 | 0.680 | 0.266 | 725.4 | 679.6 | 0.221 | 723.6 | 673.5 | 0.707 | 62.0 | 27.0 |
| PD04012016_slice_25 | 0.262 | 0.729 | 0.683 | 0.262 | 728.6 | 683.0 | 0.218 | 726.9 | 676.8 | 0.705 | 62.6 | 27.1 |
| PD04012016_slice_26 | 0.258 | 0.729 | 0.684 | 0.258 | 728.4 | 684.1 | 0.215 | 726.7 | 677.7 | 0.702 | 63.0 | 27.4 |
| PD04012016_slice_27 | 0.252 | 0.731 | 0.687 | 0.252 | 730.5 | 686.9 | 0.212 | 728.7 | 680.4 | 0.701 | 64.6 | 28.2 |
| PD04012016_slice_28 | 0.249 | 0.728 | 0.685 | 0.250 | 727.7 | 685.0 | 0.210 | 725.8 | 678.3 | 0.699 | 65.7 | 28.8 |
| PD04012016_slice_29 | 0.254 | 0.729 | 0.685 | 0.254 | 728.5 | 684.5 | 0.213 | 726.7 | 678.0 | 0.702 | 64.0 | 28.2 |
| PD04012016_slice_30 | 0.260 | 0.728 | 0.683 | 0.260 | 728.1 | 682.4 | 0.219 | 726.3 | 676.4 | 0.706 | 62.1 | 27.3 |
| PD04012016_slice_31 | 0.263 | 0.727 | 0.681 | 0.264 | 727.3 | 680.6 | 0.221 | 725.6 | 674.8 | 0.704 | 61.4 | 26.9 |
| PD04012016_slice_32 | 0.262 | 0.725 | 0.679 | 0.262 | 724.4 | 678.6 | 0.221 | 722.6 | 672.6 | 0.704 | 62.5 | 27.4 |
| PD04012016_slice_33 | 0.257 | 0.728 | 0.682 | 0.257 | 727.7 | 682.2 | 0.218 | 725.8 | 676.1 | 0.701 | 64.3 | 28.0 |
| PD04012016_slice_34 | 0.258 | 0.725 | 0.681 | 0.258 | 725.3 | 681.3 | 0.218 | 723.4 | 675.0 | 0.702 | 64.8 | 28.1 |
| PD04012016_slice_35 | 0.254 | 0.729 | 0.685 | 0.254 | 729.0 | 684.8 | 0.216 | 727.4 | 678.8 | 0.697 | 65.7 | 28.8 |
| PD04012016_slice_36 | 0.252 | 0.730 | 0.687 | 0.252 | 729.9 | 686.5 | 0.215 | 728.3 | 680.4 | 0.696 | 66.5 | 29.3 |
| PD04012016_slice_37 | 0.246 | 0.730 | 0.687 | 0.246 | 729.5 | 687.1 | 0.210 | 727.7 | 680.8 | 0.695 | 67.9 | 30.1 |
| PD04012016_slice_38 | 0.256 | 0.723 | 0.680 | 0.257 | 722.9 | 679.5 | 0.217 | 720.9 | 673.1 | 0.694 | 66.5 | 29.5 |
| PD04012016_slice_39 | 0.256 | 0.720 | 0.677 | 0.257 | 719.9 | 676.5 | 0.216 | 717.8 | 670.1 | 0.695 | 67.1 | 29.9 |
| PD04012016_slice_40 | 0.258 | 0.720 | 0.675 | 0.258 | 719.7 | 675.0 | 0.217 | 717.8 | 668.8 | 0.694 | 66.4 | 29.7 |
| PD04012016_slice_41 | 0.257 | 0.722 | 0.676 | 0.258 | 722.3 | 676.4 | 0.217 | 720.5 | 670.5 | 0.691 | 66.6 | 29.9 |
| PD04012016_slice_42 | 0.256 | 0.718 | 0.673 | 0.257 | 717.9 | 673.4 | 0.215 | 715.9 | 667.1 | 0.689 | 67.9 | 30.5 |
| PD04012016_slice_43 | 0.241 | 0.719 | 0.676 | 0.241 | 719.2 | 676.1 | 0.201 | 717.1 | 669.6 | 0.678 | 70.4 | 32.1 |
| PD04012016_slice_44 | 0.235 | 0.717 | 0.676 | 0.235 | 717.4 | 675.8 | 0.196 | 715.3 | 669.1 | 0.676 | 70.7 | 32.4 |
| PD04012016_slice_45 | 0.236 | 0.720 | 0.677 | 0.236 | 720.0 | 677.0 | 0.199 | 718.1 | 670.4 | 0.679 | 70.1 | 31.9 |
| PD04012016_slice_46 | 0.233 | 0.723 | 0.681 | 0.233 | 723.2 | 680.6 | 0.197 | 721.5 | 674.2 | 0.676 | 71.5 | 32.5 |
| PD04012016_slice_47 | 0.245 | 0.716 | 0.673 | 0.245 | 715.6 | 672.8 | 0.205 | 713.5 | 665.9 | 0.677 | 70.5 | 32.0 |
| PD04012016_slice_48 | 0.253 | 0.718 | 0.673 | 0.253 | 717.5 | 673.0 | 0.212 | 715.5 | 666.5 | 0.679 | 68.9 | 31.1 |
| PD04012016_slice_49 | 0.254 | 0.719 | 0.674 | 0.255 | 718.6 | 673.6 | 0.213 | 716.7 | 667.4 | 0.680 | 68.5 | 30.8 |
| PD04012016_slice_50 | 0.258 | 0.722 | 0.675 | 0.259 | 721.9 | 674.8 | 0.216 | 720.1 | 669.0 | 0.681 | 67.5 | 30.1 |
| PD04012016_slice_51 | 0.268 | 0.720 | 0.672 | 0.268 | 720.0 | 672.2 | 0.224 | 718.2 | 666.4 | 0.687 | 65.6 | 29.0 |
| PD04012016_slice_52 | 0.266 | 0.721 | 0.674 | 0.266 | 721.2 | 674.0 | 0.222 | 719.4 | 668.2 | 0.687 | 66.7 | 29.4 |
| PD04012016_slice_53 | 0.265 | 0.717 | 0.672 | 0.265 | 716.9 | 671.6 | 0.220 | 714.9 | 665.2 | 0.682 | 67.8 | 30.1 |
| PD04012016_slice_54 | 0.258 | 0.717 | 0.672 | 0.259 | 716.7 | 671.8 | 0.215 | 714.6 | 665.4 | 0.677 | 68.0 | 30.7 |
| PD04012016_slice_55 | 0.243 | 0.720 | 0.676 | 0.243 | 719.8 | 675.8 | 0.203 | 717.8 | 669.3 | 0.673 | 69.7 | 31.7 |
| PD04012016_slice_56 | 0.244 | 0.714 | 0.670 | 0.244 | 714.0 | 670.4 | 0.203 | 711.9 | 663.6 | 0.675 | 68.7 | 31.4 |
| PD04012016_slice_57 | 0.234 | 0.714 | 0.673 | 0.234 | 714.0 | 672.6 | 0.196 | 711.8 | 665.6 | 0.676 | 70.4 | 32.5 |
| PD04012016_slice_58 | 0.242 | 0.716 | 0.673 | 0.242 | 715.5 | 672.9 | 0.202 | 713.3 | 666.1 | 0.681 | 69.1 | 31.6 |
| PD04012016_slice_59 | 0.251 | 0.714 | 0.671 | 0.251 | 714.3 | 671.3 | 0.208 | 711.9 | 664.6 | 0.684 | 67.6 | 30.7 |
| PD04012016_slice_60 | 0.259 | 0.715 | 0.671 | 0.259 | 715.2 | 671.1 | 0.215 | 712.9 | 664.7 | 0.690 | 66.1 | 29.9 |
| PD04012016_slice_61 | 0.260 | 0.718 | 0.673 | 0.260 | 717.5 | 673.1 | 0.217 | 715.4 | 667.0 | 0.692 | 66.0 | 29.7 |
| PD04012016_slice_62 | 0.253 | 0.722 | 0.678 | 0.254 | 721.7 | 677.8 | 0.213 | 719.7 | 671.8 | 0.691 | 67.3 | 30.3 |
| PD04012016_slice_63 | 0.252 | 0.723 | 0.680 | 0.252 | 722.7 | 679.8 | 0.212 | 720.7 | 673.7 | 0.690 | 67.9 | 30.6 |
| PD04012016_slice_64 | 0.257 | 0.722 | 0.680 | 0.257 | 722.3 | 679.9 | 0.216 | 720.3 | 673.7 | 0.691 | 68.2 | 30.7 |
| PD04012016_slice_65 | 0.257 | 0.726 | 0.682 | 0.257 | 726.1 | 682.3 | 0.217 | 724.3 | 676.5 | 0.687 | 68.8 | 31.0 |
| PD04012016_slice_66 | 0.262 | 0.725 | 0.680 | 0.262 | 724.7 | 679.5 | 0.223 | 723.0 | 673.8 | 0.686 | 69.0 | 31.0 |
| PD04012016_slice_67 | 0.256 | 0.727 | 0.679 | 0.256 | 727.1 | 679.2 | 0.217 | 725.7 | 674.1 | 0.683 | 69.7 | 31.4 |
| PD04012016_slice_68 | 0.256 | 0.723 | 0.674 | 0.256 | 722.6 | 674.2 | 0.216 | 721.1 | 669.0 | 0.680 | 69.2 | 31.3 |
| PD04012016_slice_69 | 0.259 | 0.720 | 0.671 | 0.259 | 719.4 | 670.4 | 0.218 | 718.0 | 665.4 | 0.682 | 68.3 | 31.0 |
| PD04012016_slice_70 | 0.263 | 0.717 | 0.667 | 0.263 | 716.7 | 666.9 | 0.219 | 715.2 | 661.8 | 0.680 | 67.4 | 30.6 |
| PD04012016_slice_71 | 0.273 | 0.711 | 0.659 | 0.273 | 710.9 | 658.9 | 0.224 | 709.4 | 653.8 | 0.684 | 64.9 | 29.2 |
| PD04012016_slice_72 | 0.282 | 0.707 | 0.653 | 0.282 | 707.0 | 652.4 | 0.229 | 705.5 | 647.5 | 0.680 | 62.9 | 28.3 |
| PD04012016_slice_73 | 0.286 | 0.702 | 0.646 | 0.286 | 701.8 | 645.7 | 0.232 | 700.2 | 640.8 | 0.680 | 61.1 | 27.5 |
| PD04012016_slice_74 | 0.282 | 0.704 | 0.646 | 0.282 | 703.7 | 646.3 | 0.228 | 702.2 | 641.5 | 0.671 | 62.0 | 28.2 |
| PD04012016_slice_75 | 0.281 | 0.698 | 0.640 | 0.281 | 697.4 | 639.7 | 0.227 | 695.8 | 634.6 | 0.663 | 63.8 | 29.3 |
| PD04012016_slice_76 | 0.281 | 0.691 | 0.633 | 0.281 | 690.5 | 633.2 | 0.228 | 688.7 | 627.6 | 0.651 | 65.1 | 30.5 |
| PD04012016_slice_77 | 0.282 | 0.689 | 0.631 | 0.283 | 688.9 | 630.6 | 0.230 | 687.1 | 625.1 | 0.642 | 66.2 | 31.6 |
| PD04012016_slice_78 | 0.284 | 0.687 | 0.628 | 0.284 | 686.9 | 628.4 | 0.231 | 685.2 | 623.1 | 0.636 | 67.2 | 32.2 |
| PD04012016_slice_79 | 0.278 | 0.685 | 0.627 | 0.278 | 685.2 | 626.8 | 0.226 | 683.5 | 621.7 | 0.633 | 68.3 | 33.1 |
| PD04012016_slice_80 | 0.276 | 0.687 | 0.627 | 0.276 | 686.4 | 627.0 | 0.224 | 684.8 | 622.0 | 0.628 | 68.9 | 33.6 |
| PD04012016_slice_81 | 0.277 | 0.694 | 0.632 | 0.277 | 693.4 | 631.9 | 0.224 | 692.0 | 627.4 | 0.624 | 69.0 | 33.6 |
| PD04012016_slice_82 | 0.285 | 0.695 | 0.631 | 0.285 | 694.7 | 631.1 | 0.232 | 693.4 | 626.9 | 0.624 | 68.0 | 33.3 |
| PD04012016_slice_83 | 0.290 | 0.692 | 0.628 | 0.290 | 691.8 | 627.9 | 0.236 | 690.6 | 623.8 | 0.625 | 67.4 | 33.1 |
| PD04012016_slice_84 | 0.284 | 0.685 | 0.623 | 0.284 | 684.6 | 622.5 | 0.231 | 683.3 | 617.9 | 0.623 | 68.7 | 34.0 |
| PD04012016_slice_85 | 0.279 | 0.684 | 0.622 | 0.279 | 684.1 | 622.1 | 0.227 | 682.7 | 617.4 | 0.620 | 69.4 | 34.7 |
| PD04012016_slice_86 | 0.283 | 0.683 | 0.620 | 0.283 | 683.3 | 620.4 | 0.230 | 682.0 | 615.8 | 0.620 | 68.9 | 34.4 |
| PD04012016_slice_87 | 0.284 | 0.684 | 0.621 | 0.284 | 684.3 | 620.6 | 0.232 | 683.0 | 616.2 | 0.618 | 69.3 | 34.5 |
| PD04012016_slice_88 | 0.282 | 0.684 | 0.620 | 0.282 | 683.4 | 619.9 | 0.230 | 682.1 | 615.4 | 0.617 | 70.2 | 34.9 |
| PD04012016_slice_89 | 0.282 | 0.687 | 0.623 | 0.282 | 687.0 | 622.9 | 0.231 | 685.7 | 618.5 | 0.616 | 70.3 | 34.9 |
| PD04012016_slice_90 | 0.287 | 0.688 | 0.624 | 0.287 | 688.1 | 623.5 | 0.235 | 686.8 | 619.2 | 0.613 | 70.4 | 34.8 |
| PD04012016_slice_91 | 0.288 | 0.685 | 0.621 | 0.288 | 685.3 | 621.4 | 0.236 | 684.0 | 617.1 | 0.615 | 70.6 | 34.9 |
| PD04012016_slice_92 | 0.289 | 0.693 | 0.627 | 0.289 | 692.8 | 627.2 | 0.238 | 691.8 | 623.5 | 0.615 | 70.3 | 34.7 |
| PD04012016_slice_93 | 0.293 | 0.693 | 0.626 | 0.293 | 692.7 | 625.9 | 0.242 | 691.9 | 622.6 | 0.617 | 69.0 | 34.0 |
| PD04012016_slice_94 | 0.291 | 0.692 | 0.625 | 0.291 | 691.3 | 624.6 | 0.240 | 690.5 | 621.2 | 0.617 | 67.8 | 33.6 |
| PD04012016_slice_95 | 0.284 | 0.692 | 0.627 | 0.284 | 691.8 | 626.8 | 0.234 | 690.9 | 623.1 | 0.618 | 68.1 | 33.8 |
| PD04012016_slice_96 | 0.283 | 0.695 | 0.630 | 0.284 | 695.1 | 630.1 | 0.233 | 694.3 | 626.4 | 0.616 | 68.1 | 33.6 |
| PD04012016_slice_97 | 0.285 | 0.697 | 0.632 | 0.285 | 696.9 | 631.3 | 0.235 | 696.1 | 627.7 | 0.616 | 68.5 | 33.8 |
4Γ3 grid: Rows show different image types (Original NATIVE, Reconstructed NATIVE, Original VENOUS, Generated VENOUS), Columns show windowing techniques (No Window, Lung Window, Mediastinum Window)