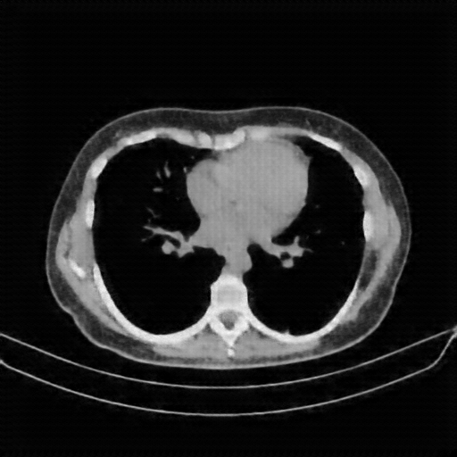
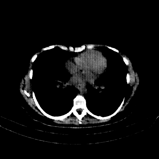
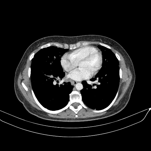
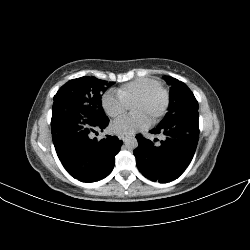
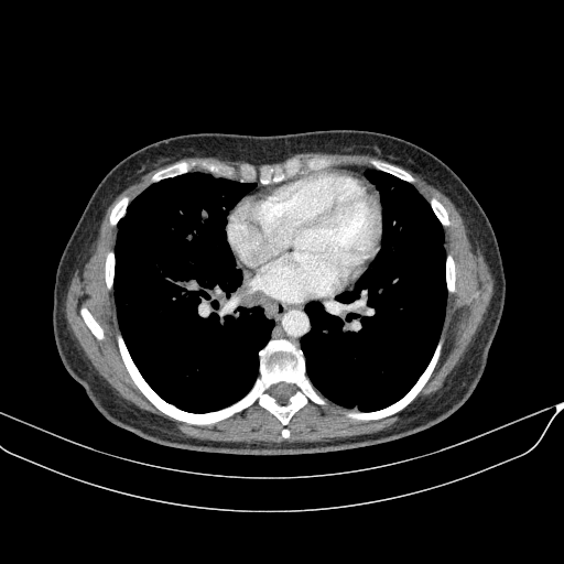
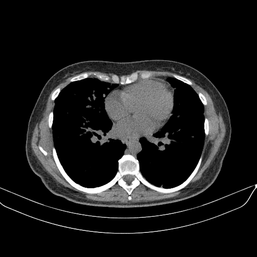
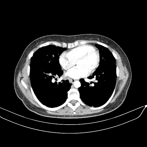
Slice 70 Targeting Evaluation
Patient ID: BM26032018
Model: cytran
Slice: Slice_70
Slice Thickness: 2.0mm
Conversion: NATIVE β VENOUS
Contains all 4 metric datasets: Network-Normalized, Hounsfield Units, Lung Window, and Mediastinum Window
| Slice ID | SSIM | RMSE | MAE | HU SSIM | HU RMSE | HU MAE | Lung SSIM | Lung RMSE | Lung MAE | Mediastinum SSIM | Mediastinum RMSE | Mediastinum MAE |
|---|---|---|---|---|---|---|---|---|---|---|---|---|
| BM26032018_slice_0 | 0.188 | 0.725 | 0.671 | 0.188 | 724.3 | 670.5 | 0.175 | 724.1 | 666.6 | 0.627 | 92.1 | 46.5 |
| BM26032018_slice_1 | 0.183 | 0.724 | 0.669 | 0.183 | 723.2 | 668.0 | 0.170 | 723.3 | 664.3 | 0.624 | 90.9 | 46.0 |
| BM26032018_slice_2 | 0.179 | 0.718 | 0.663 | 0.180 | 717.6 | 662.4 | 0.166 | 717.0 | 657.9 | 0.622 | 90.0 | 45.6 |
| BM26032018_slice_3 | 0.178 | 0.722 | 0.668 | 0.178 | 721.5 | 667.3 | 0.166 | 720.9 | 662.8 | 0.623 | 92.7 | 46.6 |
| BM26032018_slice_4 | 0.177 | 0.721 | 0.669 | 0.177 | 721.0 | 668.4 | 0.166 | 720.1 | 663.4 | 0.622 | 96.7 | 48.1 |
| BM26032018_slice_5 | 0.175 | 0.730 | 0.677 | 0.176 | 728.6 | 676.6 | 0.167 | 728.2 | 672.2 | 0.621 | 100.1 | 49.5 |
| BM26032018_slice_6 | 0.179 | 0.731 | 0.680 | 0.180 | 730.2 | 678.6 | 0.169 | 730.0 | 674.4 | 0.621 | 99.2 | 48.8 |
| BM26032018_slice_7 | 0.181 | 0.731 | 0.679 | 0.181 | 729.6 | 678.5 | 0.169 | 729.2 | 674.1 | 0.625 | 96.6 | 47.5 |
| BM26032018_slice_8 | 0.185 | 0.722 | 0.672 | 0.185 | 721.7 | 671.6 | 0.172 | 720.7 | 666.3 | 0.630 | 92.2 | 45.3 |
| BM26032018_slice_9 | 0.190 | 0.722 | 0.671 | 0.190 | 721.6 | 671.0 | 0.174 | 720.7 | 665.8 | 0.640 | 87.2 | 42.9 |
| BM26032018_slice_10 | 0.191 | 0.725 | 0.674 | 0.192 | 724.9 | 674.1 | 0.174 | 724.2 | 669.1 | 0.645 | 83.8 | 41.0 |
| BM26032018_slice_11 | 0.192 | 0.724 | 0.672 | 0.192 | 723.3 | 672.0 | 0.173 | 722.4 | 666.6 | 0.651 | 80.5 | 39.1 |
| BM26032018_slice_12 | 0.193 | 0.725 | 0.674 | 0.193 | 724.6 | 673.8 | 0.173 | 723.6 | 668.4 | 0.656 | 80.3 | 38.6 |
| BM26032018_slice_13 | 0.194 | 0.724 | 0.675 | 0.194 | 724.2 | 674.6 | 0.173 | 723.1 | 668.8 | 0.659 | 80.7 | 38.3 |
| BM26032018_slice_14 | 0.193 | 0.730 | 0.680 | 0.193 | 729.5 | 680.1 | 0.172 | 728.5 | 674.5 | 0.661 | 81.2 | 38.2 |
| BM26032018_slice_15 | 0.196 | 0.733 | 0.684 | 0.196 | 732.9 | 683.2 | 0.174 | 732.0 | 677.9 | 0.664 | 80.5 | 37.5 |
| BM26032018_slice_16 | 0.200 | 0.734 | 0.684 | 0.200 | 733.2 | 683.9 | 0.177 | 732.3 | 678.4 | 0.669 | 78.8 | 36.5 |
| BM26032018_slice_17 | 0.202 | 0.734 | 0.685 | 0.203 | 733.7 | 684.5 | 0.178 | 732.7 | 679.0 | 0.672 | 76.8 | 35.3 |
| BM26032018_slice_18 | 0.211 | 0.732 | 0.683 | 0.211 | 731.7 | 682.3 | 0.182 | 730.5 | 676.5 | 0.676 | 74.3 | 33.8 |
| BM26032018_slice_19 | 0.221 | 0.723 | 0.675 | 0.221 | 723.1 | 675.2 | 0.190 | 721.4 | 668.6 | 0.681 | 73.1 | 32.8 |
| BM26032018_slice_20 | 0.223 | 0.725 | 0.677 | 0.223 | 725.0 | 676.4 | 0.190 | 723.3 | 670.0 | 0.685 | 72.7 | 32.3 |
| BM26032018_slice_21 | 0.218 | 0.729 | 0.681 | 0.219 | 728.6 | 680.7 | 0.187 | 727.0 | 674.3 | 0.684 | 73.7 | 32.7 |
| BM26032018_slice_22 | 0.213 | 0.736 | 0.689 | 0.214 | 736.2 | 688.8 | 0.185 | 734.9 | 682.9 | 0.684 | 75.0 | 33.3 |
| BM26032018_slice_23 | 0.222 | 0.734 | 0.687 | 0.222 | 733.6 | 686.8 | 0.191 | 732.1 | 680.4 | 0.688 | 73.7 | 32.2 |
| BM26032018_slice_24 | 0.227 | 0.736 | 0.689 | 0.227 | 736.1 | 688.7 | 0.195 | 734.7 | 682.6 | 0.691 | 72.4 | 31.4 |
| BM26032018_slice_25 | 0.238 | 0.737 | 0.688 | 0.238 | 736.4 | 687.7 | 0.203 | 735.2 | 681.9 | 0.695 | 70.5 | 30.3 |
| BM26032018_slice_26 | 0.235 | 0.735 | 0.687 | 0.235 | 735.1 | 686.7 | 0.201 | 733.7 | 680.8 | 0.694 | 70.3 | 30.3 |
| BM26032018_slice_27 | 0.239 | 0.736 | 0.687 | 0.239 | 735.3 | 686.5 | 0.204 | 734.0 | 680.7 | 0.696 | 68.7 | 29.6 |
| BM26032018_slice_28 | 0.237 | 0.737 | 0.689 | 0.238 | 736.8 | 688.5 | 0.204 | 735.6 | 682.8 | 0.695 | 68.6 | 29.6 |
| BM26032018_slice_29 | 0.228 | 0.738 | 0.691 | 0.229 | 737.7 | 690.7 | 0.196 | 736.5 | 685.0 | 0.691 | 70.6 | 30.7 |
| BM26032018_slice_30 | 0.225 | 0.740 | 0.694 | 0.225 | 739.9 | 693.2 | 0.193 | 738.7 | 687.6 | 0.692 | 72.2 | 31.2 |
| BM26032018_slice_31 | 0.229 | 0.735 | 0.689 | 0.229 | 734.8 | 688.8 | 0.196 | 733.3 | 682.6 | 0.692 | 72.5 | 31.2 |
| BM26032018_slice_32 | 0.220 | 0.744 | 0.698 | 0.221 | 743.6 | 697.6 | 0.190 | 742.6 | 692.1 | 0.689 | 74.5 | 32.2 |
| BM26032018_slice_33 | 0.231 | 0.744 | 0.697 | 0.232 | 743.2 | 696.8 | 0.198 | 742.0 | 691.1 | 0.694 | 73.7 | 31.4 |
| BM26032018_slice_34 | 0.235 | 0.746 | 0.699 | 0.235 | 745.8 | 698.7 | 0.202 | 745.0 | 693.4 | 0.696 | 73.4 | 31.0 |
| BM26032018_slice_35 | 0.240 | 0.742 | 0.694 | 0.240 | 741.7 | 694.0 | 0.206 | 740.5 | 688.4 | 0.695 | 72.3 | 30.6 |
| BM26032018_slice_36 | 0.239 | 0.740 | 0.692 | 0.240 | 739.9 | 691.7 | 0.205 | 738.8 | 686.1 | 0.696 | 72.3 | 30.8 |
| BM26032018_slice_37 | 0.229 | 0.743 | 0.696 | 0.229 | 742.6 | 695.1 | 0.197 | 741.8 | 689.8 | 0.694 | 73.9 | 31.8 |
| BM26032018_slice_38 | 0.225 | 0.745 | 0.697 | 0.226 | 744.4 | 696.4 | 0.194 | 743.8 | 691.6 | 0.692 | 74.1 | 32.0 |
| BM26032018_slice_39 | 0.221 | 0.747 | 0.699 | 0.222 | 746.1 | 698.0 | 0.191 | 745.8 | 693.5 | 0.687 | 74.7 | 32.5 |
| BM26032018_slice_40 | 0.217 | 0.748 | 0.699 | 0.218 | 746.5 | 698.3 | 0.188 | 746.4 | 694.1 | 0.685 | 75.7 | 33.2 |
| BM26032018_slice_41 | 0.229 | 0.731 | 0.684 | 0.229 | 730.6 | 683.8 | 0.196 | 729.2 | 677.7 | 0.687 | 75.6 | 33.0 |
| BM26032018_slice_42 | 0.223 | 0.737 | 0.691 | 0.223 | 736.5 | 690.7 | 0.193 | 735.2 | 684.7 | 0.688 | 78.2 | 33.9 |
| BM26032018_slice_43 | 0.223 | 0.740 | 0.695 | 0.224 | 739.9 | 694.2 | 0.194 | 738.7 | 688.3 | 0.691 | 78.3 | 33.6 |
| BM26032018_slice_44 | 0.220 | 0.747 | 0.702 | 0.221 | 746.1 | 701.1 | 0.193 | 745.2 | 695.5 | 0.694 | 79.6 | 34.0 |
| BM26032018_slice_45 | 0.224 | 0.745 | 0.701 | 0.225 | 744.3 | 700.2 | 0.196 | 743.2 | 694.3 | 0.696 | 79.2 | 33.6 |
| BM26032018_slice_46 | 0.228 | 0.743 | 0.699 | 0.228 | 742.8 | 698.3 | 0.198 | 741.5 | 692.0 | 0.698 | 78.7 | 33.1 |
| BM26032018_slice_47 | 0.230 | 0.740 | 0.696 | 0.231 | 739.9 | 695.9 | 0.201 | 738.6 | 689.5 | 0.705 | 77.1 | 32.4 |
| BM26032018_slice_48 | 0.226 | 0.742 | 0.698 | 0.227 | 741.6 | 697.5 | 0.198 | 740.5 | 691.5 | 0.704 | 77.2 | 32.7 |
| BM26032018_slice_49 | 0.231 | 0.736 | 0.691 | 0.231 | 735.7 | 691.1 | 0.201 | 734.2 | 684.5 | 0.702 | 76.5 | 32.4 |
| BM26032018_slice_50 | 0.215 | 0.746 | 0.702 | 0.216 | 745.1 | 701.3 | 0.190 | 744.1 | 695.5 | 0.700 | 80.4 | 34.1 |
| BM26032018_slice_51 | 0.226 | 0.739 | 0.694 | 0.227 | 738.7 | 693.5 | 0.198 | 737.4 | 687.5 | 0.705 | 76.8 | 32.3 |
| BM26032018_slice_52 | 0.226 | 0.740 | 0.695 | 0.227 | 739.9 | 694.7 | 0.198 | 738.5 | 688.5 | 0.698 | 77.3 | 32.8 |
| BM26032018_slice_53 | 0.219 | 0.745 | 0.700 | 0.220 | 744.8 | 699.8 | 0.192 | 743.8 | 694.2 | 0.692 | 79.1 | 33.8 |
| BM26032018_slice_54 | 0.224 | 0.737 | 0.693 | 0.225 | 737.1 | 693.1 | 0.195 | 735.6 | 686.7 | 0.691 | 79.1 | 33.6 |
| BM26032018_slice_55 | 0.222 | 0.742 | 0.697 | 0.222 | 741.3 | 697.2 | 0.193 | 740.1 | 691.1 | 0.693 | 80.2 | 34.0 |
| BM26032018_slice_56 | 0.221 | 0.743 | 0.699 | 0.222 | 742.2 | 698.3 | 0.194 | 741.1 | 692.4 | 0.696 | 80.5 | 34.1 |
| BM26032018_slice_57 | 0.212 | 0.750 | 0.707 | 0.212 | 749.2 | 706.0 | 0.189 | 748.6 | 700.7 | 0.693 | 84.2 | 35.7 |
| BM26032018_slice_58 | 0.210 | 0.746 | 0.704 | 0.211 | 745.5 | 703.5 | 0.187 | 744.4 | 697.5 | 0.696 | 85.6 | 36.1 |
| BM26032018_slice_59 | 0.214 | 0.741 | 0.700 | 0.215 | 741.2 | 699.5 | 0.188 | 739.8 | 693.1 | 0.693 | 84.0 | 35.4 |
| BM26032018_slice_60 | 0.214 | 0.744 | 0.702 | 0.215 | 743.8 | 702.0 | 0.189 | 742.5 | 695.4 | 0.697 | 83.7 | 35.2 |
| BM26032018_slice_61 | 0.216 | 0.747 | 0.705 | 0.217 | 746.8 | 705.0 | 0.190 | 745.6 | 698.7 | 0.697 | 82.7 | 34.7 |
| BM26032018_slice_62 | 0.220 | 0.744 | 0.701 | 0.221 | 743.7 | 701.2 | 0.193 | 742.3 | 694.7 | 0.698 | 80.1 | 33.8 |
| BM26032018_slice_63 | 0.224 | 0.741 | 0.698 | 0.224 | 740.9 | 697.8 | 0.196 | 739.4 | 691.3 | 0.701 | 78.7 | 33.2 |
| BM26032018_slice_64 | 0.232 | 0.744 | 0.699 | 0.233 | 743.4 | 699.0 | 0.203 | 742.1 | 692.7 | 0.702 | 76.1 | 32.1 |
| BM26032018_slice_65 | 0.240 | 0.740 | 0.696 | 0.240 | 740.1 | 695.4 | 0.208 | 738.6 | 688.9 | 0.703 | 74.2 | 31.2 |
| BM26032018_slice_66 | 0.246 | 0.737 | 0.693 | 0.246 | 737.2 | 692.9 | 0.214 | 735.6 | 686.3 | 0.706 | 72.8 | 30.6 |
| BM26032018_slice_67 | 0.237 | 0.742 | 0.699 | 0.237 | 741.8 | 698.5 | 0.207 | 740.5 | 692.1 | 0.705 | 74.6 | 31.5 |
| BM26032018_slice_68 | 0.226 | 0.745 | 0.702 | 0.226 | 744.1 | 701.9 | 0.198 | 742.9 | 695.7 | 0.704 | 77.4 | 32.7 |
| BM26032018_slice_69 | 0.217 | 0.741 | 0.700 | 0.218 | 740.7 | 700.1 | 0.191 | 739.2 | 693.4 | 0.707 | 80.7 | 34.0 |
| BM26032018_slice_70 | 0.210 | 0.741 | 0.702 | 0.211 | 741.1 | 701.5 | 0.186 | 739.7 | 694.8 | 0.709 | 83.3 | 34.9 |
| BM26032018_slice_71 | 0.205 | 0.742 | 0.703 | 0.205 | 742.1 | 703.3 | 0.182 | 740.6 | 696.5 | 0.707 | 85.0 | 35.5 |
| BM26032018_slice_72 | 0.202 | 0.749 | 0.710 | 0.203 | 749.0 | 709.2 | 0.180 | 747.9 | 703.1 | 0.706 | 85.3 | 35.5 |
| BM26032018_slice_73 | 0.205 | 0.748 | 0.708 | 0.205 | 748.0 | 707.2 | 0.180 | 746.7 | 700.8 | 0.702 | 84.5 | 35.2 |
| BM26032018_slice_74 | 0.210 | 0.747 | 0.706 | 0.210 | 746.6 | 705.7 | 0.185 | 745.3 | 699.2 | 0.707 | 83.3 | 34.6 |
| BM26032018_slice_75 | 0.224 | 0.744 | 0.702 | 0.225 | 744.0 | 701.4 | 0.194 | 742.7 | 695.1 | 0.714 | 77.3 | 32.1 |
| BM26032018_slice_76 | 0.239 | 0.744 | 0.701 | 0.239 | 743.7 | 700.3 | 0.207 | 742.4 | 694.1 | 0.720 | 72.7 | 29.9 |
| BM26032018_slice_77 | 0.239 | 0.745 | 0.702 | 0.240 | 744.9 | 701.6 | 0.207 | 743.6 | 695.6 | 0.724 | 71.7 | 29.3 |
| BM26032018_slice_78 | 0.237 | 0.750 | 0.707 | 0.237 | 749.6 | 706.7 | 0.205 | 748.6 | 701.1 | 0.726 | 71.9 | 29.2 |
| BM26032018_slice_79 | 0.239 | 0.748 | 0.704 | 0.239 | 747.3 | 704.1 | 0.207 | 746.1 | 698.3 | 0.724 | 71.1 | 29.0 |
| BM26032018_slice_80 | 0.238 | 0.741 | 0.700 | 0.238 | 741.2 | 699.5 | 0.206 | 739.6 | 693.0 | 0.724 | 72.4 | 29.5 |
| BM26032018_slice_81 | 0.230 | 0.745 | 0.704 | 0.231 | 745.0 | 704.2 | 0.201 | 743.5 | 697.7 | 0.729 | 74.4 | 30.1 |
| BM26032018_slice_82 | 0.222 | 0.749 | 0.709 | 0.222 | 748.6 | 709.2 | 0.195 | 747.4 | 702.9 | 0.730 | 76.9 | 30.9 |
| BM26032018_slice_83 | 0.223 | 0.743 | 0.705 | 0.223 | 743.2 | 705.0 | 0.197 | 741.8 | 698.4 | 0.731 | 77.6 | 30.8 |
| BM26032018_slice_84 | 0.220 | 0.747 | 0.709 | 0.220 | 746.9 | 708.7 | 0.196 | 745.6 | 702.2 | 0.730 | 77.7 | 30.9 |
| BM26032018_slice_85 | 0.215 | 0.756 | 0.717 | 0.216 | 755.4 | 716.4 | 0.193 | 754.4 | 710.4 | 0.725 | 78.3 | 31.2 |
| BM26032018_slice_86 | 0.216 | 0.758 | 0.718 | 0.217 | 757.5 | 717.6 | 0.193 | 756.8 | 712.1 | 0.723 | 77.7 | 31.2 |
| BM26032018_slice_87 | 0.230 | 0.748 | 0.707 | 0.230 | 747.9 | 707.0 | 0.200 | 746.6 | 700.7 | 0.725 | 73.4 | 29.6 |
| BM26032018_slice_88 | 0.222 | 0.752 | 0.711 | 0.222 | 751.6 | 710.8 | 0.197 | 750.5 | 705.0 | 0.724 | 75.1 | 30.6 |
| BM26032018_slice_89 | 0.220 | 0.755 | 0.714 | 0.220 | 754.5 | 713.1 | 0.196 | 753.7 | 707.6 | 0.723 | 74.9 | 30.6 |
| BM26032018_slice_90 | 0.224 | 0.753 | 0.710 | 0.224 | 752.4 | 709.4 | 0.198 | 751.5 | 704.1 | 0.722 | 71.5 | 29.4 |
| BM26032018_slice_91 | 0.227 | 0.754 | 0.709 | 0.228 | 753.6 | 708.9 | 0.199 | 752.9 | 704.2 | 0.723 | 69.4 | 28.5 |
| BM26032018_slice_92 | 0.240 | 0.750 | 0.704 | 0.240 | 749.4 | 703.9 | 0.209 | 748.4 | 698.8 | 0.724 | 67.6 | 27.6 |
| BM26032018_slice_93 | 0.234 | 0.748 | 0.704 | 0.234 | 747.7 | 703.3 | 0.204 | 746.6 | 697.9 | 0.724 | 68.7 | 28.2 |
| BM26032018_slice_94 | 0.234 | 0.745 | 0.701 | 0.234 | 745.0 | 700.3 | 0.203 | 743.9 | 695.0 | 0.725 | 68.3 | 27.9 |
| BM26032018_slice_95 | 0.230 | 0.745 | 0.700 | 0.230 | 744.5 | 699.8 | 0.202 | 743.5 | 694.6 | 0.724 | 67.8 | 28.0 |
| BM26032018_slice_96 | 0.220 | 0.748 | 0.705 | 0.220 | 748.0 | 704.3 | 0.196 | 747.1 | 699.2 | 0.722 | 69.5 | 29.0 |
| BM26032018_slice_97 | 0.216 | 0.751 | 0.707 | 0.217 | 750.7 | 706.7 | 0.194 | 750.0 | 701.9 | 0.718 | 71.1 | 30.0 |
| BM26032018_slice_98 | 0.241 | 0.738 | 0.693 | 0.241 | 738.2 | 692.9 | 0.210 | 737.0 | 687.4 | 0.712 | 70.4 | 29.5 |
| BM26032018_slice_99 | 0.237 | 0.730 | 0.684 | 0.237 | 729.8 | 684.0 | 0.207 | 728.4 | 678.3 | 0.708 | 72.0 | 30.4 |
| BM26032018_slice_100 | 0.199 | 0.739 | 0.693 | 0.199 | 738.5 | 692.4 | 0.179 | 737.6 | 687.4 | 0.699 | 76.4 | 33.7 |
| BM26032018_slice_101 | 0.182 | 0.742 | 0.696 | 0.183 | 741.9 | 695.6 | 0.168 | 741.2 | 690.8 | 0.693 | 79.7 | 35.9 |
| BM26032018_slice_102 | 0.169 | 0.755 | 0.708 | 0.170 | 753.8 | 706.2 | 0.159 | 754.7 | 703.3 | 0.686 | 84.0 | 38.4 |
| BM26032018_slice_103 | 0.163 | 0.763 | 0.715 | 0.165 | 758.7 | 710.8 | 0.155 | 762.6 | 710.7 | 0.679 | 89.6 | 41.3 |
| BM26032018_slice_104 | 0.162 | 0.762 | 0.714 | 0.165 | 757.5 | 709.6 | 0.157 | 761.5 | 709.5 | 0.673 | 92.3 | 42.9 |
| BM26032018_slice_105 | 0.162 | 0.760 | 0.712 | 0.164 | 756.1 | 708.0 | 0.157 | 759.8 | 707.8 | 0.667 | 94.7 | 44.3 |
| BM26032018_slice_106 | 0.160 | 0.760 | 0.710 | 0.162 | 754.9 | 706.1 | 0.155 | 759.1 | 706.5 | 0.662 | 96.9 | 45.6 |
| BM26032018_slice_107 | 0.161 | 0.759 | 0.709 | 0.163 | 754.3 | 705.2 | 0.157 | 758.5 | 705.6 | 0.657 | 99.0 | 46.9 |
| BM26032018_slice_108 | 0.161 | 0.757 | 0.707 | 0.163 | 752.8 | 703.3 | 0.159 | 756.7 | 703.5 | 0.652 | 100.5 | 47.7 |
| BM26032018_slice_109 | 0.162 | 0.755 | 0.705 | 0.164 | 751.3 | 701.3 | 0.161 | 754.7 | 701.2 | 0.648 | 101.7 | 48.3 |
| BM26032018_slice_110 | 0.163 | 0.752 | 0.702 | 0.164 | 749.0 | 698.8 | 0.163 | 751.8 | 698.0 | 0.645 | 102.8 | 49.0 |
| BM26032018_slice_111 | 0.160 | 0.752 | 0.700 | 0.162 | 748.2 | 697.3 | 0.161 | 751.1 | 696.8 | 0.640 | 103.8 | 49.8 |
| BM26032018_slice_112 | 0.158 | 0.749 | 0.698 | 0.160 | 746.2 | 695.0 | 0.160 | 748.9 | 694.2 | 0.638 | 104.4 | 50.4 |
| BM26032018_slice_113 | 0.156 | 0.748 | 0.695 | 0.157 | 744.4 | 692.5 | 0.157 | 747.2 | 691.9 | 0.636 | 104.9 | 51.0 |
| BM26032018_slice_114 | 0.152 | 0.745 | 0.692 | 0.154 | 742.3 | 689.8 | 0.154 | 744.8 | 688.9 | 0.635 | 104.7 | 51.3 |
| BM26032018_slice_115 | 0.148 | 0.744 | 0.691 | 0.150 | 741.2 | 688.1 | 0.151 | 744.0 | 687.3 | 0.632 | 105.1 | 52.0 |
| BM26032018_slice_116 | 0.144 | 0.742 | 0.688 | 0.145 | 739.1 | 685.5 | 0.146 | 741.6 | 684.5 | 0.628 | 105.8 | 52.8 |
| BM26032018_slice_117 | 0.142 | 0.740 | 0.686 | 0.143 | 737.5 | 683.6 | 0.146 | 739.9 | 682.5 | 0.627 | 106.6 | 53.3 |
| BM26032018_slice_118 | 0.141 | 0.740 | 0.686 | 0.142 | 737.0 | 683.2 | 0.145 | 739.5 | 682.3 | 0.624 | 107.7 | 53.9 |
| BM26032018_slice_119 | 0.138 | 0.738 | 0.684 | 0.139 | 735.2 | 681.6 | 0.142 | 737.4 | 680.2 | 0.623 | 108.7 | 54.8 |
| BM26032018_slice_120 | 0.133 | 0.737 | 0.683 | 0.135 | 734.3 | 680.8 | 0.138 | 736.5 | 679.3 | 0.620 | 109.9 | 55.7 |
| BM26032018_slice_121 | 0.130 | 0.736 | 0.682 | 0.131 | 733.5 | 680.1 | 0.135 | 735.6 | 678.5 | 0.619 | 110.5 | 56.2 |
| BM26032018_slice_122 | 0.127 | 0.734 | 0.679 | 0.128 | 731.3 | 676.9 | 0.132 | 733.0 | 675.0 | 0.619 | 108.6 | 55.4 |
| BM26032018_slice_123 | 0.122 | 0.733 | 0.678 | 0.123 | 730.4 | 675.6 | 0.127 | 732.0 | 673.6 | 0.617 | 107.4 | 55.1 |
| BM26032018_slice_124 | 0.117 | 0.732 | 0.677 | 0.118 | 729.7 | 674.5 | 0.122 | 731.5 | 672.7 | 0.616 | 106.9 | 55.1 |
| BM26032018_slice_125 | 0.113 | 0.733 | 0.678 | 0.115 | 730.3 | 675.4 | 0.118 | 732.4 | 673.8 | 0.615 | 107.0 | 55.2 |
| BM26032018_slice_126 | 0.112 | 0.731 | 0.675 | 0.113 | 728.6 | 673.4 | 0.115 | 730.1 | 671.3 | 0.616 | 105.3 | 54.3 |
| BM26032018_slice_127 | 0.112 | 0.728 | 0.671 | 0.113 | 725.8 | 669.0 | 0.113 | 726.7 | 666.5 | 0.618 | 101.2 | 52.2 |
| BM26032018_slice_128 | 0.122 | 0.720 | 0.661 | 0.122 | 719.3 | 660.6 | 0.119 | 719.0 | 657.1 | 0.622 | 94.8 | 48.7 |
| BM26032018_slice_129 | 0.153 | 0.711 | 0.649 | 0.153 | 710.4 | 648.8 | 0.139 | 709.4 | 644.7 | 0.628 | 86.9 | 44.2 |
| BM26032018_slice_130 | 0.167 | 0.710 | 0.647 | 0.167 | 709.6 | 647.1 | 0.149 | 708.8 | 643.1 | 0.630 | 84.1 | 42.6 |
| BM26032018_slice_131 | 0.174 | 0.707 | 0.646 | 0.174 | 707.0 | 645.6 | 0.156 | 706.1 | 641.2 | 0.633 | 82.7 | 41.7 |
| BM26032018_slice_132 | 0.177 | 0.708 | 0.648 | 0.177 | 708.1 | 647.9 | 0.158 | 707.2 | 643.5 | 0.635 | 82.9 | 41.5 |
4Γ3 grid: Rows show different image types (Original NATIVE, Reconstructed NATIVE, Original VENOUS, Generated VENOUS), Columns show windowing techniques (No Window, Lung Window, Mediastinum Window)