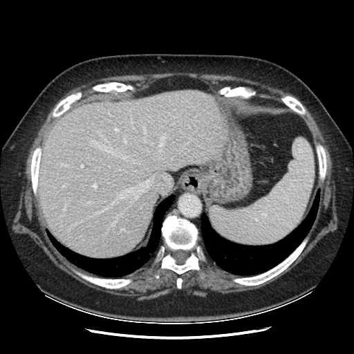
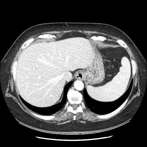
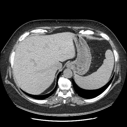
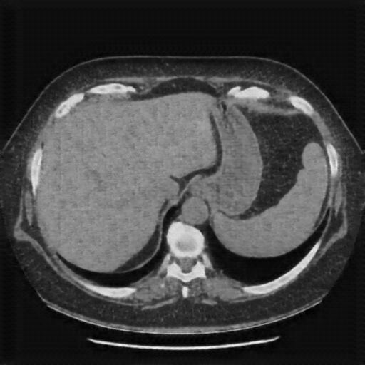
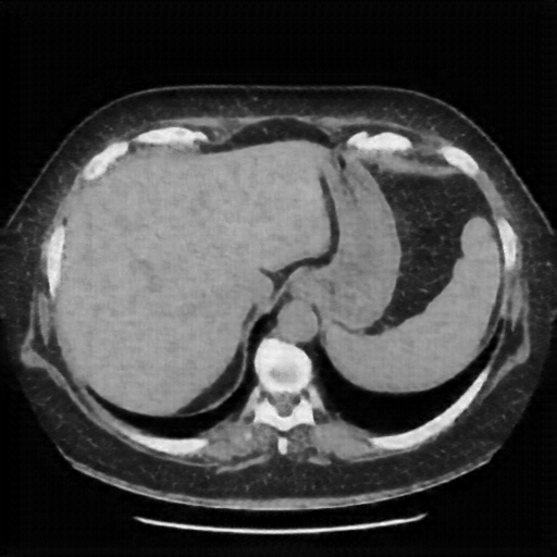
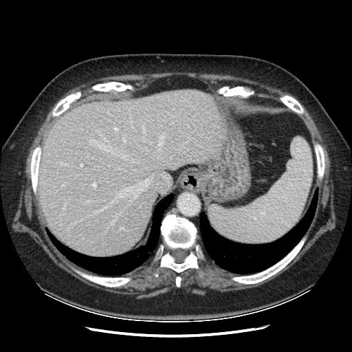
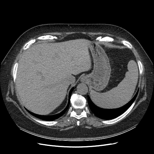
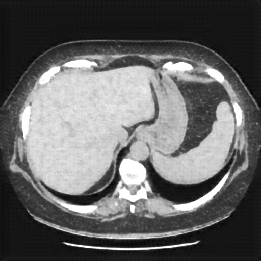
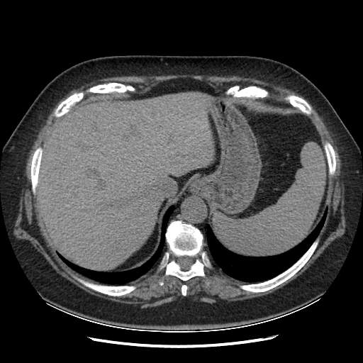
Slice 70 Targeting Evaluation
Patient ID: SE04022021
Model: cytran
Slice: Slice_70
Slice Thickness: 2.5mm
Conversion: NATIVE β VENOUS
Contains all 4 metric datasets: Network-Normalized, Hounsfield Units, Lung Window, and Mediastinum Window
| Slice ID | SSIM | RMSE | MAE | HU SSIM | HU RMSE | HU MAE | Lung SSIM | Lung RMSE | Lung MAE | Mediastinum SSIM | Mediastinum RMSE | Mediastinum MAE |
|---|---|---|---|---|---|---|---|---|---|---|---|---|
| SE04022021_slice_0 | 0.181 | 0.648 | 0.596 | 0.181 | 647.6 | 595.7 | 0.153 | 645.8 | 588.7 | 0.533 | 96.0 | 55.7 |
| SE04022021_slice_1 | 0.186 | 0.644 | 0.592 | 0.186 | 644.0 | 592.3 | 0.153 | 642.4 | 585.6 | 0.531 | 91.1 | 54.0 |
| SE04022021_slice_2 | 0.192 | 0.647 | 0.596 | 0.192 | 647.3 | 596.3 | 0.157 | 646.1 | 590.0 | 0.537 | 87.9 | 52.7 |
| SE04022021_slice_3 | 0.194 | 0.649 | 0.601 | 0.194 | 649.0 | 600.6 | 0.160 | 647.7 | 594.0 | 0.543 | 89.8 | 53.2 |
| SE04022021_slice_4 | 0.198 | 0.655 | 0.605 | 0.198 | 654.7 | 604.8 | 0.165 | 653.4 | 598.2 | 0.543 | 90.6 | 53.0 |
| SE04022021_slice_5 | 0.203 | 0.650 | 0.601 | 0.203 | 649.8 | 601.2 | 0.168 | 648.3 | 594.0 | 0.547 | 88.9 | 51.8 |
| SE04022021_slice_6 | 0.207 | 0.657 | 0.607 | 0.207 | 657.1 | 606.9 | 0.170 | 655.7 | 600.2 | 0.557 | 87.1 | 50.4 |
| SE04022021_slice_7 | 0.206 | 0.663 | 0.614 | 0.206 | 662.7 | 613.7 | 0.169 | 661.2 | 606.8 | 0.562 | 87.1 | 50.2 |
| SE04022021_slice_8 | 0.215 | 0.650 | 0.603 | 0.215 | 650.3 | 602.7 | 0.174 | 648.6 | 595.2 | 0.569 | 83.3 | 47.9 |
| SE04022021_slice_9 | 0.221 | 0.650 | 0.602 | 0.221 | 649.9 | 602.1 | 0.177 | 647.9 | 594.4 | 0.573 | 82.0 | 46.3 |
| SE04022021_slice_10 | 0.232 | 0.648 | 0.600 | 0.232 | 647.8 | 599.9 | 0.185 | 645.8 | 592.2 | 0.585 | 79.3 | 44.4 |
| SE04022021_slice_11 | 0.231 | 0.655 | 0.606 | 0.231 | 655.0 | 606.5 | 0.184 | 653.2 | 598.9 | 0.591 | 78.1 | 43.4 |
| SE04022021_slice_12 | 0.227 | 0.659 | 0.611 | 0.227 | 658.9 | 610.6 | 0.181 | 657.2 | 603.0 | 0.592 | 77.5 | 43.0 |
| SE04022021_slice_13 | 0.230 | 0.661 | 0.612 | 0.230 | 661.3 | 612.3 | 0.183 | 659.6 | 604.8 | 0.595 | 76.2 | 42.1 |
| SE04022021_slice_14 | 0.223 | 0.672 | 0.622 | 0.223 | 672.1 | 621.7 | 0.180 | 670.6 | 614.9 | 0.593 | 78.1 | 43.0 |
| SE04022021_slice_15 | 0.226 | 0.671 | 0.620 | 0.226 | 670.5 | 620.5 | 0.181 | 669.1 | 613.7 | 0.594 | 77.6 | 43.0 |
| SE04022021_slice_16 | 0.227 | 0.664 | 0.615 | 0.227 | 664.0 | 615.2 | 0.181 | 662.5 | 608.3 | 0.591 | 78.5 | 43.6 |
| SE04022021_slice_17 | 0.222 | 0.661 | 0.613 | 0.222 | 661.3 | 613.3 | 0.177 | 659.6 | 606.2 | 0.586 | 79.6 | 44.3 |
| SE04022021_slice_18 | 0.218 | 0.660 | 0.613 | 0.218 | 659.6 | 613.4 | 0.174 | 657.7 | 606.0 | 0.585 | 81.3 | 45.1 |
| SE04022021_slice_19 | 0.228 | 0.661 | 0.612 | 0.228 | 661.4 | 611.8 | 0.183 | 659.7 | 604.7 | 0.585 | 78.5 | 43.6 |
| SE04022021_slice_20 | 0.236 | 0.650 | 0.601 | 0.236 | 649.9 | 600.7 | 0.189 | 648.0 | 593.2 | 0.586 | 77.1 | 42.8 |
| SE04022021_slice_21 | 0.241 | 0.652 | 0.600 | 0.241 | 651.5 | 600.1 | 0.193 | 649.7 | 592.6 | 0.586 | 75.4 | 42.1 |
| SE04022021_slice_22 | 0.248 | 0.648 | 0.595 | 0.248 | 648.1 | 595.2 | 0.197 | 646.2 | 587.9 | 0.586 | 73.6 | 41.3 |
| SE04022021_slice_23 | 0.244 | 0.645 | 0.593 | 0.244 | 645.5 | 593.1 | 0.195 | 643.7 | 585.8 | 0.585 | 74.8 | 42.1 |
| SE04022021_slice_24 | 0.225 | 0.655 | 0.604 | 0.225 | 654.6 | 603.9 | 0.180 | 653.0 | 596.9 | 0.580 | 79.5 | 44.6 |
| SE04022021_slice_25 | 0.211 | 0.650 | 0.604 | 0.211 | 650.4 | 604.1 | 0.169 | 648.8 | 596.9 | 0.574 | 85.6 | 47.6 |
| SE04022021_slice_26 | 0.198 | 0.664 | 0.618 | 0.198 | 664.3 | 617.6 | 0.160 | 663.0 | 611.1 | 0.569 | 91.2 | 50.0 |
| SE04022021_slice_27 | 0.199 | 0.664 | 0.617 | 0.199 | 664.0 | 617.2 | 0.160 | 662.6 | 610.5 | 0.566 | 92.1 | 50.3 |
| SE04022021_slice_28 | 0.201 | 0.664 | 0.617 | 0.201 | 664.4 | 616.8 | 0.162 | 662.8 | 609.9 | 0.567 | 89.9 | 49.3 |
| SE04022021_slice_29 | 0.212 | 0.653 | 0.607 | 0.212 | 652.6 | 606.8 | 0.172 | 650.6 | 599.0 | 0.571 | 85.9 | 47.5 |
| SE04022021_slice_30 | 0.228 | 0.646 | 0.596 | 0.228 | 645.7 | 596.4 | 0.183 | 643.6 | 588.6 | 0.578 | 80.1 | 44.4 |
| SE04022021_slice_31 | 0.231 | 0.644 | 0.594 | 0.231 | 643.6 | 593.8 | 0.184 | 641.5 | 586.1 | 0.578 | 79.1 | 44.1 |
| SE04022021_slice_32 | 0.223 | 0.643 | 0.594 | 0.223 | 642.9 | 593.9 | 0.177 | 640.8 | 586.1 | 0.572 | 82.4 | 45.7 |
| SE04022021_slice_33 | 0.210 | 0.643 | 0.597 | 0.210 | 643.0 | 596.8 | 0.169 | 641.0 | 589.1 | 0.570 | 86.8 | 48.2 |
| SE04022021_slice_34 | 0.198 | 0.650 | 0.604 | 0.198 | 649.8 | 604.4 | 0.161 | 648.1 | 597.0 | 0.561 | 91.6 | 51.1 |
| SE04022021_slice_35 | 0.195 | 0.652 | 0.608 | 0.195 | 652.4 | 608.3 | 0.159 | 650.7 | 601.0 | 0.555 | 94.1 | 52.3 |
| SE04022021_slice_36 | 0.192 | 0.659 | 0.614 | 0.192 | 658.8 | 613.5 | 0.156 | 657.2 | 606.6 | 0.551 | 95.1 | 52.7 |
| SE04022021_slice_37 | 0.196 | 0.639 | 0.595 | 0.196 | 638.7 | 595.2 | 0.156 | 636.8 | 587.6 | 0.553 | 94.6 | 52.7 |
| SE04022021_slice_38 | 0.193 | 0.639 | 0.595 | 0.193 | 639.1 | 595.4 | 0.155 | 637.1 | 587.7 | 0.551 | 94.1 | 52.5 |
| SE04022021_slice_39 | 0.197 | 0.639 | 0.595 | 0.197 | 638.6 | 595.2 | 0.158 | 636.4 | 587.3 | 0.550 | 93.2 | 52.4 |
| SE04022021_slice_40 | 0.207 | 0.635 | 0.592 | 0.207 | 635.3 | 591.5 | 0.167 | 633.1 | 583.3 | 0.553 | 91.0 | 51.2 |
| SE04022021_slice_41 | 0.211 | 0.634 | 0.590 | 0.211 | 633.9 | 590.2 | 0.169 | 631.8 | 582.1 | 0.559 | 90.1 | 50.4 |
| SE04022021_slice_42 | 0.190 | 0.641 | 0.599 | 0.190 | 641.1 | 599.3 | 0.154 | 639.1 | 591.5 | 0.560 | 95.3 | 52.6 |
| SE04022021_slice_43 | 0.181 | 0.655 | 0.612 | 0.181 | 655.1 | 612.1 | 0.147 | 653.4 | 604.7 | 0.556 | 97.2 | 53.5 |
| SE04022021_slice_44 | 0.179 | 0.660 | 0.617 | 0.179 | 660.4 | 617.2 | 0.145 | 658.8 | 610.2 | 0.558 | 97.4 | 53.5 |
| SE04022021_slice_45 | 0.183 | 0.656 | 0.613 | 0.183 | 655.6 | 613.1 | 0.149 | 653.9 | 605.7 | 0.563 | 96.3 | 52.7 |
| SE04022021_slice_46 | 0.200 | 0.642 | 0.599 | 0.200 | 641.5 | 599.3 | 0.162 | 639.6 | 591.8 | 0.576 | 93.0 | 50.7 |
| SE04022021_slice_47 | 0.200 | 0.638 | 0.598 | 0.200 | 638.1 | 597.8 | 0.163 | 636.0 | 589.8 | 0.580 | 93.8 | 50.9 |
| SE04022021_slice_48 | 0.194 | 0.640 | 0.600 | 0.194 | 640.2 | 599.6 | 0.159 | 638.0 | 591.2 | 0.568 | 99.0 | 53.8 |
| SE04022021_slice_49 | 0.188 | 0.637 | 0.596 | 0.188 | 637.2 | 595.9 | 0.153 | 634.8 | 587.3 | 0.561 | 103.9 | 56.0 |
| SE04022021_slice_50 | 0.179 | 0.638 | 0.596 | 0.179 | 637.8 | 595.8 | 0.146 | 635.4 | 587.4 | 0.553 | 108.3 | 58.1 |
| SE04022021_slice_51 | 0.165 | 0.646 | 0.603 | 0.165 | 646.5 | 603.0 | 0.132 | 644.3 | 595.0 | 0.542 | 109.3 | 59.5 |
| SE04022021_slice_52 | 0.157 | 0.641 | 0.597 | 0.157 | 640.8 | 597.2 | 0.131 | 638.8 | 589.5 | 0.537 | 109.6 | 60.4 |
| SE04022021_slice_53 | 0.152 | 0.646 | 0.600 | 0.152 | 646.3 | 599.9 | 0.124 | 644.5 | 592.7 | 0.533 | 107.0 | 59.8 |
| SE04022021_slice_54 | 0.166 | 0.630 | 0.583 | 0.166 | 629.8 | 583.2 | 0.137 | 627.8 | 576.1 | 0.534 | 104.3 | 58.7 |
| SE04022021_slice_55 | 0.193 | 0.626 | 0.576 | 0.193 | 625.8 | 575.5 | 0.157 | 623.8 | 568.7 | 0.533 | 98.8 | 55.9 |
| SE04022021_slice_56 | 0.191 | 0.625 | 0.574 | 0.191 | 624.7 | 574.5 | 0.154 | 622.7 | 567.8 | 0.531 | 99.1 | 56.2 |
| SE04022021_slice_57 | 0.171 | 0.623 | 0.574 | 0.171 | 622.8 | 574.2 | 0.140 | 620.7 | 567.2 | 0.529 | 103.2 | 58.6 |
| SE04022021_slice_58 | 0.163 | 0.632 | 0.580 | 0.163 | 631.8 | 580.0 | 0.132 | 630.0 | 573.3 | 0.522 | 102.7 | 58.9 |
| SE04022021_slice_59 | 0.158 | 0.619 | 0.568 | 0.158 | 619.4 | 568.1 | 0.133 | 617.7 | 561.5 | 0.509 | 103.9 | 60.7 |
| SE04022021_slice_60 | 0.134 | 0.618 | 0.568 | 0.134 | 618.3 | 568.5 | 0.118 | 616.7 | 562.1 | 0.497 | 109.3 | 64.6 |
| SE04022021_slice_61 | 0.124 | 0.617 | 0.566 | 0.124 | 617.4 | 566.3 | 0.107 | 615.9 | 560.3 | 0.488 | 109.5 | 65.7 |
| SE04022021_slice_62 | 0.119 | 0.631 | 0.573 | 0.119 | 631.1 | 572.8 | 0.092 | 630.1 | 568.3 | 0.472 | 104.4 | 64.6 |
| SE04022021_slice_63 | 0.116 | 0.594 | 0.543 | 0.116 | 593.6 | 543.3 | 0.102 | 592.4 | 538.2 | 0.471 | 108.3 | 67.6 |
| SE04022021_slice_64 | 0.114 | 0.595 | 0.541 | 0.114 | 595.2 | 541.1 | 0.096 | 594.0 | 536.3 | 0.461 | 106.6 | 67.6 |
| SE04022021_slice_65 | 0.114 | 0.587 | 0.532 | 0.114 | 587.2 | 532.1 | 0.097 | 586.1 | 527.4 | 0.454 | 107.3 | 68.8 |
| SE04022021_slice_66 | 0.096 | 0.593 | 0.534 | 0.096 | 593.0 | 534.4 | 0.086 | 591.9 | 529.7 | 0.443 | 110.2 | 71.2 |
| SE04022021_slice_67 | 0.077 | 0.588 | 0.530 | 0.077 | 587.7 | 530.0 | 0.074 | 586.5 | 525.2 | 0.431 | 115.6 | 75.3 |
| SE04022021_slice_68 | 0.057 | 0.585 | 0.528 | 0.057 | 585.3 | 528.4 | 0.064 | 584.1 | 523.2 | 0.421 | 121.0 | 79.3 |
| SE04022021_slice_69 | 0.043 | 0.586 | 0.530 | 0.043 | 585.6 | 529.9 | 0.056 | 584.4 | 524.7 | 0.412 | 125.6 | 82.9 |
| SE04022021_slice_70 | 0.027 | 0.584 | 0.530 | 0.027 | 583.7 | 529.9 | 0.045 | 582.5 | 524.8 | 0.399 | 131.2 | 87.3 |
| SE04022021_slice_71 | 0.020 | 0.585 | 0.531 | 0.020 | 584.6 | 531.0 | 0.041 | 583.4 | 525.8 | 0.391 | 133.3 | 89.3 |
| SE04022021_slice_72 | 0.019 | 0.587 | 0.534 | 0.019 | 587.4 | 534.3 | 0.039 | 586.3 | 529.3 | 0.388 | 134.3 | 90.4 |
| SE04022021_slice_73 | 0.029 | 0.579 | 0.527 | 0.029 | 578.5 | 527.0 | 0.046 | 577.4 | 522.0 | 0.381 | 133.1 | 89.8 |
| SE04022021_slice_74 | 0.037 | 0.581 | 0.528 | 0.037 | 580.9 | 528.4 | 0.050 | 579.7 | 523.4 | 0.378 | 131.1 | 88.5 |
| SE04022021_slice_75 | 0.038 | 0.584 | 0.531 | 0.038 | 583.9 | 531.2 | 0.049 | 582.6 | 526.1 | 0.376 | 129.8 | 88.0 |
| SE04022021_slice_76 | 0.046 | 0.586 | 0.533 | 0.046 | 586.2 | 532.7 | 0.050 | 585.0 | 527.6 | 0.371 | 127.0 | 86.3 |
| SE04022021_slice_77 | 0.050 | 0.598 | 0.544 | 0.050 | 598.4 | 543.6 | 0.052 | 597.2 | 538.5 | 0.368 | 125.5 | 85.6 |
| SE04022021_slice_78 | 0.061 | 0.591 | 0.539 | 0.061 | 591.4 | 538.6 | 0.061 | 590.2 | 533.5 | 0.372 | 123.8 | 84.5 |
| SE04022021_slice_79 | 0.051 | 0.622 | 0.571 | 0.051 | 621.9 | 570.5 | 0.054 | 620.5 | 564.9 | 0.371 | 126.7 | 86.4 |
| SE04022021_slice_80 | 0.086 | 0.595 | 0.542 | 0.086 | 595.1 | 542.0 | 0.078 | 593.8 | 536.6 | 0.376 | 119.7 | 81.7 |
| SE04022021_slice_81 | 0.111 | 0.590 | 0.536 | 0.111 | 589.5 | 535.8 | 0.093 | 588.1 | 530.4 | 0.374 | 116.7 | 79.7 |
| SE04022021_slice_82 | 0.117 | 0.596 | 0.541 | 0.117 | 596.1 | 541.2 | 0.096 | 594.8 | 536.0 | 0.373 | 116.0 | 79.1 |
| SE04022021_slice_83 | 0.129 | 0.597 | 0.542 | 0.129 | 597.3 | 541.9 | 0.103 | 595.9 | 536.6 | 0.375 | 114.6 | 77.8 |
| SE04022021_slice_84 | 0.144 | 0.601 | 0.546 | 0.144 | 601.3 | 545.8 | 0.112 | 600.1 | 540.5 | 0.380 | 112.7 | 76.5 |
| SE04022021_slice_85 | 0.159 | 0.609 | 0.553 | 0.159 | 608.5 | 552.7 | 0.123 | 607.3 | 547.3 | 0.386 | 110.5 | 74.8 |
| SE04022021_slice_86 | 0.179 | 0.606 | 0.550 | 0.179 | 606.0 | 549.6 | 0.137 | 604.7 | 543.9 | 0.395 | 106.5 | 71.8 |
| SE04022021_slice_87 | 0.183 | 0.601 | 0.547 | 0.183 | 601.0 | 547.3 | 0.139 | 599.6 | 541.2 | 0.399 | 105.0 | 70.5 |
4Γ3 grid: Rows show different image types (Original NATIVE, Reconstructed NATIVE, Original VENOUS, Generated VENOUS), Columns show windowing techniques (No Window, Lung Window, Mediastinum Window)