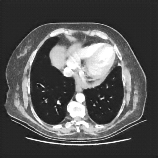
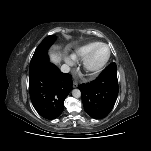
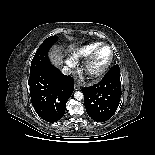
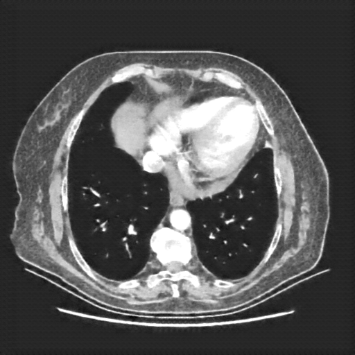
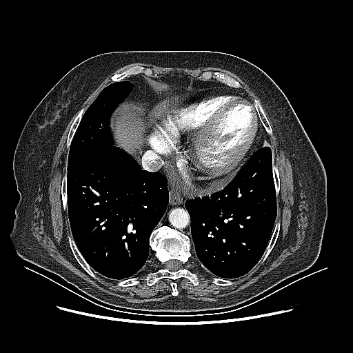
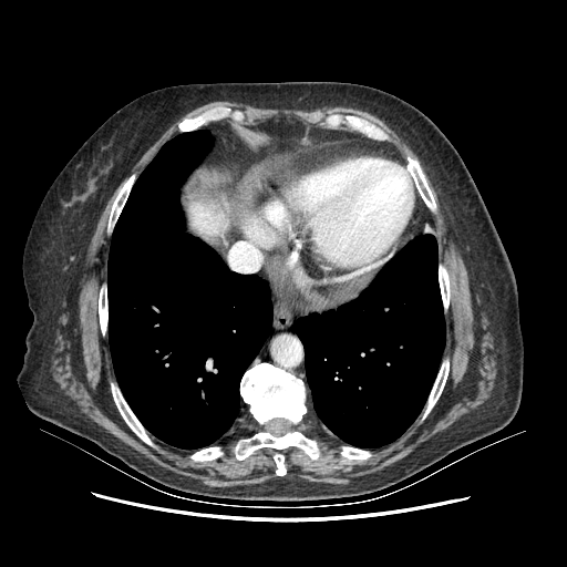
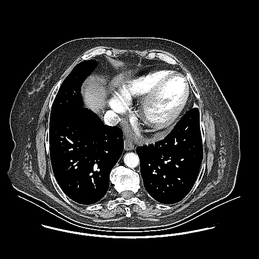
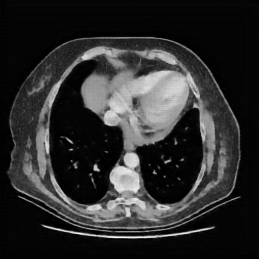
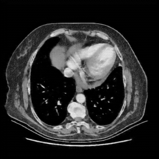
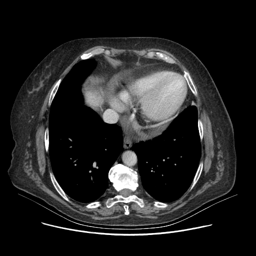
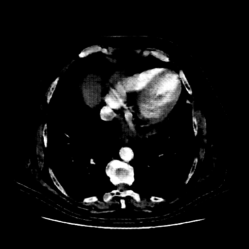
Slice 70 Targeting Evaluation
Patient ID: AB17122018
Model: cytran
Slice: Slice_70
Slice Thickness: 2.5mm
Conversion: NATIVE β VENOUS
Contains all 4 metric datasets: Network-Normalized, Hounsfield Units, Lung Window, and Mediastinum Window
| Slice ID | SSIM | RMSE | MAE | HU SSIM | HU RMSE | HU MAE | Lung SSIM | Lung RMSE | Lung MAE | Mediastinum SSIM | Mediastinum RMSE | Mediastinum MAE |
|---|---|---|---|---|---|---|---|---|---|---|---|---|
| AB17122018_slice_0 | 0.194 | 0.705 | 0.648 | 0.195 | 704.2 | 647.1 | 0.174 | 704.2 | 643.4 | 0.601 | 90.1 | 48.8 |
| AB17122018_slice_1 | 0.196 | 0.703 | 0.646 | 0.196 | 702.7 | 645.6 | 0.175 | 702.5 | 641.7 | 0.602 | 89.5 | 48.5 |
| AB17122018_slice_2 | 0.194 | 0.705 | 0.647 | 0.195 | 704.1 | 646.4 | 0.175 | 704.2 | 643.2 | 0.601 | 90.5 | 48.9 |
| AB17122018_slice_3 | 0.193 | 0.710 | 0.653 | 0.194 | 708.2 | 651.4 | 0.173 | 708.8 | 648.9 | 0.602 | 90.8 | 48.6 |
| AB17122018_slice_4 | 0.195 | 0.710 | 0.653 | 0.196 | 708.6 | 651.6 | 0.174 | 709.1 | 649.0 | 0.607 | 89.8 | 47.9 |
| AB17122018_slice_5 | 0.195 | 0.715 | 0.657 | 0.196 | 712.4 | 655.1 | 0.174 | 714.2 | 653.9 | 0.606 | 90.0 | 48.0 |
| AB17122018_slice_6 | 0.196 | 0.705 | 0.647 | 0.196 | 704.3 | 646.3 | 0.176 | 704.3 | 643.3 | 0.612 | 89.0 | 47.2 |
| AB17122018_slice_7 | 0.196 | 0.706 | 0.648 | 0.196 | 705.1 | 647.2 | 0.175 | 705.0 | 643.9 | 0.612 | 88.4 | 46.9 |
| AB17122018_slice_8 | 0.197 | 0.708 | 0.649 | 0.197 | 706.9 | 648.7 | 0.175 | 706.9 | 645.7 | 0.611 | 86.9 | 46.1 |
| AB17122018_slice_9 | 0.195 | 0.711 | 0.654 | 0.195 | 710.0 | 652.7 | 0.174 | 710.4 | 649.9 | 0.616 | 86.8 | 46.0 |
| AB17122018_slice_10 | 0.196 | 0.710 | 0.653 | 0.196 | 709.0 | 652.3 | 0.173 | 708.9 | 648.9 | 0.623 | 85.6 | 45.2 |
| AB17122018_slice_11 | 0.192 | 0.713 | 0.658 | 0.192 | 712.3 | 657.0 | 0.170 | 712.6 | 653.9 | 0.624 | 86.2 | 45.4 |
| AB17122018_slice_12 | 0.188 | 0.715 | 0.661 | 0.189 | 714.2 | 660.2 | 0.165 | 714.3 | 657.0 | 0.626 | 86.6 | 45.3 |
| AB17122018_slice_13 | 0.193 | 0.713 | 0.660 | 0.194 | 712.4 | 659.3 | 0.170 | 712.1 | 655.6 | 0.629 | 86.0 | 44.6 |
| AB17122018_slice_14 | 0.196 | 0.713 | 0.659 | 0.197 | 712.4 | 658.7 | 0.170 | 712.3 | 655.1 | 0.631 | 83.5 | 43.2 |
| AB17122018_slice_15 | 0.199 | 0.713 | 0.660 | 0.199 | 712.6 | 659.5 | 0.172 | 712.4 | 655.6 | 0.633 | 82.6 | 42.5 |
| AB17122018_slice_16 | 0.196 | 0.716 | 0.662 | 0.197 | 714.6 | 661.4 | 0.169 | 714.8 | 658.0 | 0.635 | 81.9 | 42.2 |
| AB17122018_slice_17 | 0.199 | 0.719 | 0.666 | 0.200 | 717.3 | 664.5 | 0.173 | 718.0 | 661.6 | 0.639 | 80.6 | 41.6 |
| AB17122018_slice_18 | 0.200 | 0.728 | 0.676 | 0.202 | 724.4 | 672.6 | 0.175 | 727.7 | 671.9 | 0.638 | 80.0 | 41.3 |
| AB17122018_slice_19 | 0.204 | 0.725 | 0.672 | 0.205 | 722.1 | 670.0 | 0.176 | 724.3 | 668.4 | 0.639 | 77.5 | 40.2 |
| AB17122018_slice_20 | 0.208 | 0.726 | 0.673 | 0.210 | 722.8 | 670.6 | 0.180 | 725.1 | 668.8 | 0.643 | 76.1 | 39.4 |
| AB17122018_slice_21 | 0.210 | 0.728 | 0.676 | 0.211 | 724.7 | 673.4 | 0.182 | 727.6 | 672.0 | 0.643 | 75.5 | 39.3 |
| AB17122018_slice_22 | 0.210 | 0.728 | 0.676 | 0.211 | 724.8 | 673.6 | 0.182 | 727.7 | 672.2 | 0.641 | 75.0 | 39.0 |
| AB17122018_slice_23 | 0.209 | 0.726 | 0.675 | 0.210 | 723.6 | 672.5 | 0.181 | 725.5 | 670.2 | 0.643 | 74.0 | 38.6 |
| AB17122018_slice_24 | 0.208 | 0.730 | 0.679 | 0.210 | 726.2 | 675.0 | 0.180 | 729.8 | 674.2 | 0.645 | 73.3 | 38.2 |
| AB17122018_slice_25 | 0.205 | 0.729 | 0.677 | 0.207 | 724.9 | 673.2 | 0.177 | 728.5 | 672.4 | 0.644 | 73.9 | 38.3 |
| AB17122018_slice_26 | 0.204 | 0.732 | 0.679 | 0.206 | 726.5 | 675.1 | 0.175 | 730.8 | 674.9 | 0.645 | 73.6 | 38.1 |
| AB17122018_slice_27 | 0.205 | 0.723 | 0.672 | 0.206 | 721.3 | 669.9 | 0.175 | 722.7 | 667.4 | 0.641 | 73.8 | 38.1 |
| AB17122018_slice_28 | 0.209 | 0.727 | 0.676 | 0.211 | 724.0 | 673.7 | 0.180 | 726.3 | 671.9 | 0.636 | 76.3 | 39.3 |
| AB17122018_slice_29 | 0.210 | 0.732 | 0.682 | 0.212 | 727.7 | 678.2 | 0.182 | 731.4 | 677.7 | 0.634 | 77.2 | 39.8 |
| AB17122018_slice_30 | 0.213 | 0.733 | 0.684 | 0.215 | 728.7 | 680.8 | 0.186 | 732.0 | 679.8 | 0.634 | 77.1 | 39.8 |
| AB17122018_slice_31 | 0.214 | 0.734 | 0.686 | 0.216 | 729.4 | 682.2 | 0.189 | 733.2 | 681.4 | 0.633 | 77.8 | 40.2 |
| AB17122018_slice_32 | 0.215 | 0.733 | 0.685 | 0.217 | 728.7 | 681.8 | 0.190 | 732.3 | 680.7 | 0.633 | 78.2 | 40.4 |
| AB17122018_slice_33 | 0.217 | 0.737 | 0.689 | 0.219 | 731.0 | 684.2 | 0.192 | 735.9 | 684.3 | 0.633 | 78.4 | 40.4 |
| AB17122018_slice_34 | 0.220 | 0.734 | 0.686 | 0.222 | 729.0 | 682.0 | 0.194 | 733.1 | 681.4 | 0.628 | 79.0 | 40.7 |
| AB17122018_slice_35 | 0.220 | 0.733 | 0.684 | 0.222 | 728.4 | 680.4 | 0.195 | 732.5 | 679.9 | 0.626 | 78.8 | 40.7 |
| AB17122018_slice_36 | 0.220 | 0.732 | 0.683 | 0.222 | 727.8 | 679.2 | 0.195 | 731.3 | 678.4 | 0.620 | 79.5 | 41.3 |
| AB17122018_slice_37 | 0.219 | 0.730 | 0.680 | 0.221 | 726.2 | 677.4 | 0.193 | 729.0 | 676.1 | 0.615 | 79.8 | 41.8 |
| AB17122018_slice_38 | 0.217 | 0.732 | 0.681 | 0.219 | 726.9 | 677.4 | 0.192 | 731.0 | 677.2 | 0.607 | 80.5 | 42.5 |
| AB17122018_slice_39 | 0.219 | 0.729 | 0.678 | 0.221 | 724.8 | 674.8 | 0.192 | 728.5 | 674.2 | 0.609 | 79.3 | 42.2 |
| AB17122018_slice_40 | 0.220 | 0.728 | 0.678 | 0.222 | 724.2 | 674.3 | 0.193 | 727.8 | 673.4 | 0.612 | 78.8 | 41.9 |
| AB17122018_slice_41 | 0.220 | 0.726 | 0.677 | 0.221 | 722.7 | 673.6 | 0.193 | 725.7 | 672.2 | 0.610 | 79.2 | 42.5 |
| AB17122018_slice_42 | 0.222 | 0.725 | 0.675 | 0.223 | 721.5 | 672.7 | 0.196 | 724.2 | 671.1 | 0.603 | 79.7 | 43.0 |
| AB17122018_slice_43 | 0.221 | 0.723 | 0.674 | 0.223 | 719.7 | 670.8 | 0.195 | 722.3 | 669.0 | 0.598 | 80.7 | 43.8 |
| AB17122018_slice_44 | 0.227 | 0.726 | 0.676 | 0.229 | 721.7 | 672.4 | 0.200 | 725.0 | 671.4 | 0.595 | 80.5 | 43.5 |
| AB17122018_slice_45 | 0.228 | 0.725 | 0.674 | 0.230 | 720.8 | 671.1 | 0.201 | 723.9 | 670.0 | 0.592 | 81.0 | 43.7 |
| AB17122018_slice_46 | 0.231 | 0.726 | 0.676 | 0.233 | 722.0 | 672.4 | 0.204 | 725.5 | 671.7 | 0.589 | 81.4 | 43.6 |
| AB17122018_slice_47 | 0.223 | 0.724 | 0.674 | 0.224 | 720.0 | 670.4 | 0.198 | 723.5 | 669.6 | 0.582 | 83.3 | 44.7 |
| AB17122018_slice_48 | 0.225 | 0.723 | 0.673 | 0.226 | 719.5 | 669.7 | 0.199 | 722.8 | 668.8 | 0.581 | 82.6 | 44.4 |
| AB17122018_slice_49 | 0.227 | 0.722 | 0.672 | 0.229 | 718.9 | 668.8 | 0.202 | 721.7 | 667.4 | 0.583 | 81.9 | 44.0 |
| AB17122018_slice_50 | 0.232 | 0.721 | 0.669 | 0.234 | 717.5 | 666.2 | 0.205 | 720.1 | 664.9 | 0.583 | 79.8 | 42.9 |
| AB17122018_slice_51 | 0.242 | 0.717 | 0.664 | 0.243 | 715.0 | 661.8 | 0.212 | 717.0 | 660.1 | 0.586 | 77.0 | 41.5 |
| AB17122018_slice_52 | 0.249 | 0.718 | 0.664 | 0.250 | 715.9 | 661.9 | 0.217 | 717.9 | 660.4 | 0.585 | 76.2 | 40.8 |
| AB17122018_slice_53 | 0.249 | 0.718 | 0.663 | 0.250 | 715.3 | 661.1 | 0.217 | 717.2 | 659.5 | 0.582 | 77.0 | 41.1 |
| AB17122018_slice_54 | 0.248 | 0.716 | 0.662 | 0.249 | 714.4 | 660.1 | 0.217 | 715.9 | 658.2 | 0.581 | 78.4 | 41.9 |
| AB17122018_slice_55 | 0.246 | 0.718 | 0.663 | 0.247 | 715.5 | 661.4 | 0.217 | 717.1 | 659.8 | 0.578 | 79.4 | 42.2 |
| AB17122018_slice_56 | 0.243 | 0.716 | 0.661 | 0.244 | 713.8 | 659.2 | 0.215 | 715.2 | 657.4 | 0.575 | 80.1 | 42.5 |
| AB17122018_slice_57 | 0.243 | 0.719 | 0.665 | 0.244 | 716.7 | 662.3 | 0.216 | 718.9 | 661.2 | 0.574 | 79.9 | 42.3 |
| AB17122018_slice_58 | 0.245 | 0.719 | 0.665 | 0.246 | 717.1 | 663.0 | 0.218 | 719.0 | 661.5 | 0.576 | 79.0 | 41.8 |
| AB17122018_slice_59 | 0.243 | 0.723 | 0.669 | 0.244 | 719.9 | 666.5 | 0.216 | 722.2 | 665.4 | 0.577 | 78.8 | 41.9 |
| AB17122018_slice_60 | 0.241 | 0.725 | 0.671 | 0.242 | 721.5 | 668.9 | 0.215 | 724.1 | 667.9 | 0.577 | 79.3 | 42.4 |
| AB17122018_slice_61 | 0.244 | 0.722 | 0.668 | 0.245 | 719.2 | 666.4 | 0.216 | 721.3 | 664.8 | 0.584 | 77.9 | 41.7 |
| AB17122018_slice_62 | 0.243 | 0.723 | 0.670 | 0.244 | 720.1 | 667.8 | 0.214 | 722.6 | 666.5 | 0.588 | 77.3 | 41.4 |
| AB17122018_slice_63 | 0.241 | 0.727 | 0.675 | 0.242 | 723.0 | 671.7 | 0.212 | 726.1 | 670.9 | 0.592 | 77.6 | 41.4 |
| AB17122018_slice_64 | 0.239 | 0.728 | 0.676 | 0.240 | 723.7 | 673.0 | 0.210 | 727.1 | 672.4 | 0.599 | 77.6 | 41.1 |
| AB17122018_slice_65 | 0.232 | 0.731 | 0.680 | 0.234 | 726.2 | 676.8 | 0.202 | 730.0 | 676.5 | 0.603 | 77.8 | 41.1 |
| AB17122018_slice_66 | 0.232 | 0.731 | 0.681 | 0.234 | 726.3 | 677.1 | 0.201 | 730.2 | 677.0 | 0.610 | 76.4 | 40.3 |
| AB17122018_slice_67 | 0.231 | 0.730 | 0.680 | 0.233 | 725.3 | 675.9 | 0.198 | 729.3 | 675.9 | 0.617 | 74.8 | 39.5 |
| AB17122018_slice_68 | 0.231 | 0.729 | 0.678 | 0.233 | 724.4 | 674.8 | 0.198 | 728.2 | 674.5 | 0.628 | 72.0 | 38.2 |
| AB17122018_slice_69 | 0.237 | 0.725 | 0.673 | 0.238 | 721.0 | 670.0 | 0.202 | 724.4 | 669.3 | 0.636 | 70.5 | 37.4 |
| AB17122018_slice_70 | 0.232 | 0.720 | 0.667 | 0.234 | 717.0 | 664.6 | 0.196 | 719.4 | 663.2 | 0.637 | 70.4 | 37.5 |
| AB17122018_slice_71 | 0.224 | 0.710 | 0.656 | 0.225 | 708.9 | 655.0 | 0.187 | 709.4 | 651.8 | 0.642 | 69.6 | 37.1 |
| AB17122018_slice_72 | 0.219 | 0.715 | 0.659 | 0.220 | 712.6 | 657.5 | 0.181 | 714.0 | 655.3 | 0.644 | 68.5 | 36.8 |
| AB17122018_slice_73 | 0.231 | 0.712 | 0.655 | 0.232 | 710.2 | 653.7 | 0.188 | 711.1 | 651.4 | 0.649 | 66.2 | 35.6 |
| AB17122018_slice_74 | 0.240 | 0.707 | 0.649 | 0.241 | 706.5 | 648.6 | 0.195 | 706.8 | 646.0 | 0.653 | 64.9 | 34.8 |
| AB17122018_slice_75 | 0.243 | 0.707 | 0.647 | 0.243 | 705.9 | 646.7 | 0.198 | 706.3 | 644.3 | 0.653 | 64.4 | 34.6 |
| AB17122018_slice_76 | 0.239 | 0.697 | 0.639 | 0.240 | 696.3 | 638.3 | 0.193 | 696.0 | 635.1 | 0.654 | 66.2 | 35.6 |
| AB17122018_slice_77 | 0.186 | 0.714 | 0.657 | 0.187 | 711.4 | 654.5 | 0.154 | 713.6 | 654.0 | 0.629 | 76.2 | 41.2 |
| AB17122018_slice_78 | 0.157 | 0.712 | 0.655 | 0.158 | 709.8 | 653.5 | 0.133 | 711.5 | 652.5 | 0.615 | 81.8 | 44.5 |
| AB17122018_slice_79 | 0.148 | 0.703 | 0.645 | 0.148 | 702.0 | 644.3 | 0.123 | 703.1 | 642.7 | 0.591 | 83.5 | 46.7 |
| AB17122018_slice_80 | 0.152 | 0.692 | 0.631 | 0.152 | 691.0 | 630.3 | 0.126 | 691.5 | 628.3 | 0.579 | 83.2 | 47.4 |
| AB17122018_slice_81 | 0.181 | 0.664 | 0.602 | 0.181 | 664.0 | 601.5 | 0.147 | 663.6 | 598.4 | 0.581 | 79.5 | 45.7 |
| AB17122018_slice_82 | 0.172 | 0.652 | 0.589 | 0.173 | 652.0 | 589.1 | 0.142 | 651.5 | 585.9 | 0.572 | 80.9 | 46.8 |
| AB17122018_slice_83 | 0.164 | 0.652 | 0.588 | 0.164 | 652.2 | 588.2 | 0.135 | 651.8 | 585.4 | 0.564 | 82.2 | 48.1 |
| AB17122018_slice_84 | 0.138 | 0.665 | 0.599 | 0.138 | 665.1 | 599.0 | 0.115 | 665.0 | 596.7 | 0.548 | 85.2 | 50.7 |
| AB17122018_slice_85 | 0.151 | 0.648 | 0.582 | 0.151 | 647.9 | 582.0 | 0.127 | 647.5 | 579.3 | 0.546 | 85.2 | 50.7 |
| AB17122018_slice_86 | 0.146 | 0.643 | 0.578 | 0.146 | 643.4 | 578.2 | 0.123 | 643.0 | 575.6 | 0.540 | 87.3 | 52.3 |
| AB17122018_slice_87 | 0.146 | 0.633 | 0.570 | 0.146 | 632.9 | 570.2 | 0.127 | 632.4 | 567.2 | 0.536 | 89.0 | 53.4 |
| AB17122018_slice_88 | 0.141 | 0.636 | 0.574 | 0.141 | 636.3 | 573.7 | 0.123 | 635.8 | 570.7 | 0.532 | 90.3 | 54.4 |
| AB17122018_slice_89 | 0.152 | 0.639 | 0.575 | 0.152 | 638.7 | 574.5 | 0.130 | 638.2 | 571.6 | 0.532 | 88.1 | 53.2 |
| AB17122018_slice_90 | 0.142 | 0.645 | 0.581 | 0.142 | 645.4 | 581.1 | 0.123 | 645.0 | 578.3 | 0.533 | 89.3 | 54.2 |
| AB17122018_slice_91 | 0.168 | 0.644 | 0.578 | 0.168 | 643.9 | 577.6 | 0.138 | 643.4 | 574.6 | 0.539 | 84.3 | 51.3 |
| AB17122018_slice_92 | 0.171 | 0.639 | 0.574 | 0.171 | 639.4 | 574.2 | 0.141 | 639.0 | 571.3 | 0.540 | 84.2 | 51.0 |
| AB17122018_slice_93 | 0.170 | 0.635 | 0.572 | 0.170 | 635.2 | 572.3 | 0.141 | 634.7 | 569.3 | 0.539 | 85.2 | 51.5 |
| AB17122018_slice_94 | 0.171 | 0.638 | 0.574 | 0.171 | 638.3 | 574.1 | 0.139 | 637.8 | 571.1 | 0.537 | 84.6 | 51.1 |
| AB17122018_slice_95 | 0.161 | 0.641 | 0.578 | 0.161 | 640.5 | 578.4 | 0.136 | 640.0 | 575.2 | 0.537 | 87.0 | 52.3 |
| AB17122018_slice_96 | 0.168 | 0.646 | 0.580 | 0.168 | 645.7 | 580.3 | 0.138 | 645.3 | 577.3 | 0.541 | 84.3 | 50.8 |
| AB17122018_slice_97 | 0.172 | 0.641 | 0.577 | 0.172 | 641.3 | 577.1 | 0.143 | 640.8 | 574.0 | 0.543 | 85.2 | 51.1 |
| AB17122018_slice_98 | 0.179 | 0.643 | 0.578 | 0.179 | 642.6 | 578.2 | 0.147 | 642.1 | 574.9 | 0.545 | 84.3 | 50.3 |
| AB17122018_slice_99 | 0.175 | 0.655 | 0.590 | 0.175 | 655.1 | 589.7 | 0.144 | 654.6 | 586.6 | 0.550 | 83.6 | 49.9 |
| AB17122018_slice_100 | 0.187 | 0.654 | 0.589 | 0.187 | 654.1 | 588.9 | 0.153 | 653.6 | 585.5 | 0.555 | 81.0 | 48.1 |
4Γ3 grid: Rows show different image types (Original NATIVE, Reconstructed NATIVE, Original VENOUS, Generated VENOUS), Columns show windowing techniques (No Window, Lung Window, Mediastinum Window)