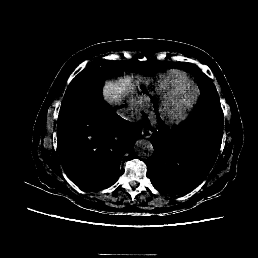
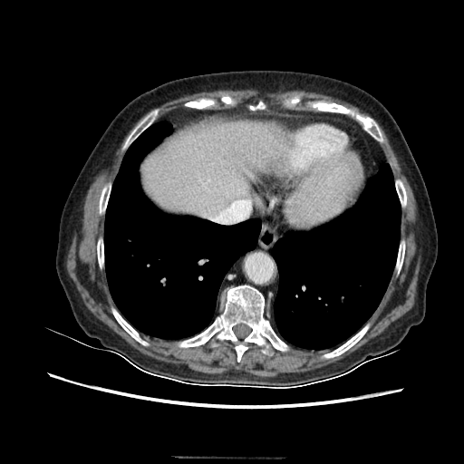
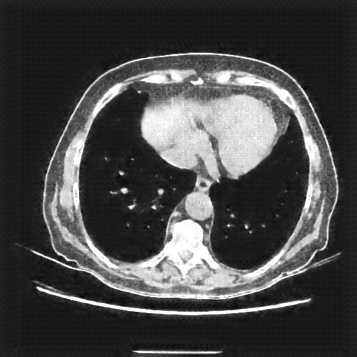
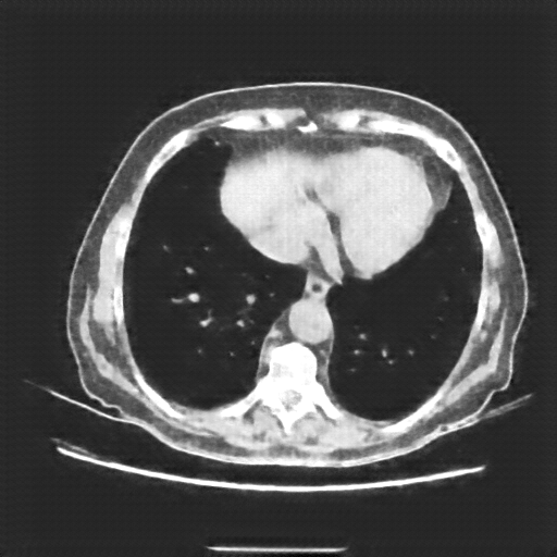
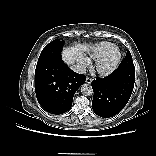
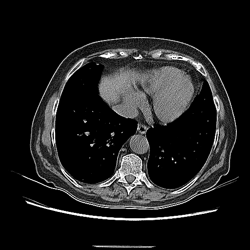
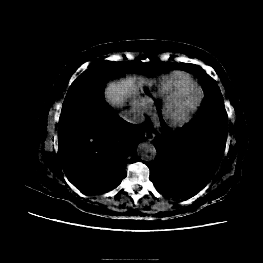
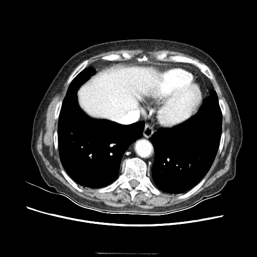
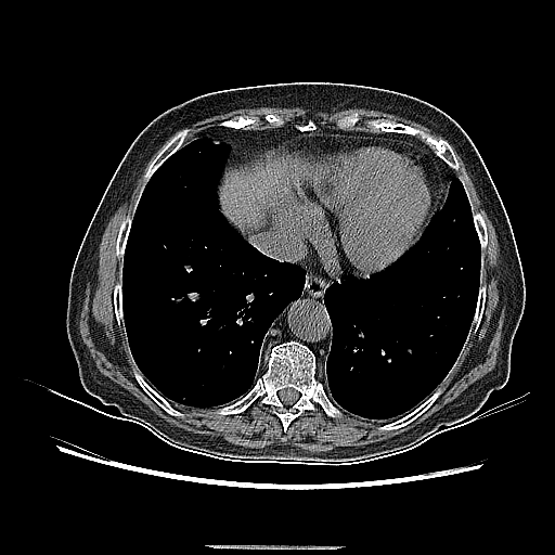
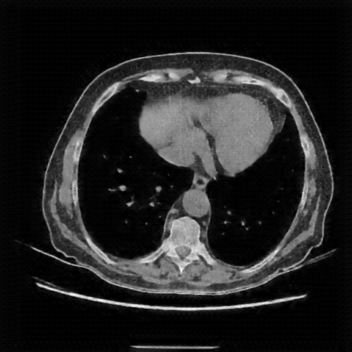
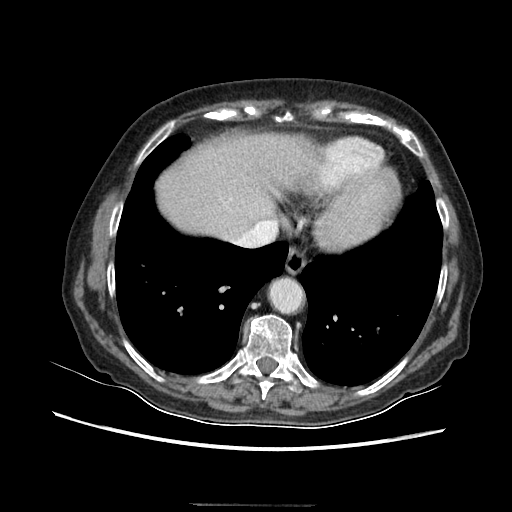
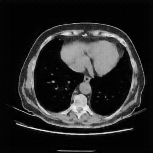
Slice 70 Targeting Evaluation
Patient ID: BC23122020
Model: cytran
Slice: Slice_70
Slice Thickness: 2.5mm
Conversion: NATIVE β VENOUS
Contains all 4 metric datasets: Network-Normalized, Hounsfield Units, Lung Window, and Mediastinum Window
| Slice ID | SSIM | RMSE | MAE | HU SSIM | HU RMSE | HU MAE | Lung SSIM | Lung RMSE | Lung MAE | Mediastinum SSIM | Mediastinum RMSE | Mediastinum MAE |
|---|---|---|---|---|---|---|---|---|---|---|---|---|
| BC23122020_slice_0 | 0.183 | 0.707 | 0.650 | 0.184 | 706.4 | 649.7 | 0.164 | 706.6 | 646.7 | 0.607 | 89.4 | 47.5 |
| BC23122020_slice_1 | 0.186 | 0.706 | 0.649 | 0.187 | 705.0 | 648.9 | 0.170 | 704.9 | 645.5 | 0.603 | 91.1 | 48.5 |
| BC23122020_slice_2 | 0.193 | 0.703 | 0.647 | 0.193 | 703.0 | 646.6 | 0.176 | 702.8 | 643.1 | 0.606 | 90.6 | 47.9 |
| BC23122020_slice_3 | 0.184 | 0.700 | 0.645 | 0.185 | 699.6 | 644.6 | 0.164 | 699.2 | 640.7 | 0.608 | 89.9 | 47.1 |
| BC23122020_slice_4 | 0.182 | 0.702 | 0.647 | 0.182 | 701.4 | 647.0 | 0.163 | 701.0 | 642.9 | 0.610 | 88.5 | 46.1 |
| BC23122020_slice_5 | 0.182 | 0.707 | 0.652 | 0.182 | 706.6 | 651.0 | 0.164 | 706.5 | 647.6 | 0.616 | 86.2 | 44.7 |
| BC23122020_slice_6 | 0.182 | 0.704 | 0.650 | 0.182 | 704.0 | 649.4 | 0.163 | 703.7 | 645.5 | 0.626 | 86.2 | 44.4 |
| BC23122020_slice_7 | 0.179 | 0.704 | 0.649 | 0.179 | 703.6 | 648.9 | 0.159 | 703.2 | 645.0 | 0.627 | 86.5 | 44.5 |
| BC23122020_slice_8 | 0.181 | 0.704 | 0.649 | 0.181 | 703.5 | 648.5 | 0.159 | 703.1 | 644.5 | 0.632 | 86.2 | 44.3 |
| BC23122020_slice_9 | 0.181 | 0.707 | 0.651 | 0.182 | 706.5 | 650.8 | 0.159 | 706.3 | 647.0 | 0.630 | 85.7 | 44.0 |
| BC23122020_slice_10 | 0.184 | 0.706 | 0.651 | 0.184 | 705.5 | 651.1 | 0.162 | 705.0 | 647.1 | 0.632 | 86.1 | 43.8 |
| BC23122020_slice_11 | 0.185 | 0.706 | 0.653 | 0.185 | 705.9 | 653.1 | 0.163 | 705.3 | 648.8 | 0.630 | 86.1 | 43.7 |
| BC23122020_slice_12 | 0.187 | 0.707 | 0.655 | 0.187 | 707.1 | 654.8 | 0.164 | 706.6 | 650.6 | 0.631 | 86.0 | 43.6 |
| BC23122020_slice_13 | 0.189 | 0.708 | 0.654 | 0.189 | 707.3 | 653.8 | 0.164 | 706.9 | 649.9 | 0.635 | 84.6 | 42.6 |
| BC23122020_slice_14 | 0.191 | 0.704 | 0.650 | 0.191 | 703.5 | 650.3 | 0.164 | 702.7 | 645.8 | 0.638 | 84.7 | 42.4 |
| BC23122020_slice_15 | 0.193 | 0.698 | 0.645 | 0.193 | 697.4 | 644.5 | 0.163 | 696.6 | 639.7 | 0.643 | 82.4 | 41.1 |
| BC23122020_slice_16 | 0.190 | 0.704 | 0.651 | 0.191 | 704.1 | 651.1 | 0.161 | 703.4 | 646.6 | 0.645 | 82.7 | 41.2 |
| BC23122020_slice_17 | 0.195 | 0.703 | 0.650 | 0.195 | 702.5 | 649.5 | 0.165 | 701.7 | 644.8 | 0.647 | 81.4 | 40.3 |
| BC23122020_slice_18 | 0.199 | 0.704 | 0.650 | 0.199 | 703.7 | 649.9 | 0.166 | 702.9 | 645.3 | 0.652 | 79.1 | 39.1 |
| BC23122020_slice_19 | 0.204 | 0.699 | 0.646 | 0.204 | 699.3 | 646.1 | 0.166 | 698.4 | 641.4 | 0.658 | 77.6 | 37.9 |
| BC23122020_slice_20 | 0.209 | 0.697 | 0.643 | 0.209 | 696.6 | 643.2 | 0.167 | 695.6 | 638.5 | 0.661 | 75.5 | 36.7 |
| BC23122020_slice_21 | 0.209 | 0.694 | 0.641 | 0.209 | 694.4 | 640.6 | 0.167 | 693.5 | 635.9 | 0.660 | 76.4 | 36.7 |
| BC23122020_slice_22 | 0.200 | 0.702 | 0.648 | 0.200 | 701.8 | 647.8 | 0.161 | 701.1 | 643.4 | 0.656 | 78.2 | 37.7 |
| BC23122020_slice_23 | 0.190 | 0.709 | 0.655 | 0.190 | 708.3 | 655.3 | 0.157 | 707.7 | 651.2 | 0.649 | 81.8 | 39.3 |
| BC23122020_slice_24 | 0.189 | 0.710 | 0.656 | 0.190 | 709.4 | 655.9 | 0.158 | 708.9 | 651.8 | 0.649 | 82.4 | 39.7 |
| BC23122020_slice_25 | 0.193 | 0.706 | 0.652 | 0.193 | 705.8 | 652.3 | 0.161 | 705.1 | 648.0 | 0.653 | 82.2 | 39.6 |
| BC23122020_slice_26 | 0.196 | 0.704 | 0.651 | 0.196 | 703.9 | 650.5 | 0.161 | 703.1 | 645.9 | 0.653 | 80.5 | 39.1 |
| BC23122020_slice_27 | 0.207 | 0.700 | 0.646 | 0.207 | 700.3 | 645.8 | 0.165 | 699.5 | 641.3 | 0.658 | 76.3 | 37.3 |
| BC23122020_slice_28 | 0.213 | 0.700 | 0.646 | 0.213 | 700.1 | 645.9 | 0.170 | 699.3 | 641.5 | 0.659 | 73.9 | 36.3 |
| BC23122020_slice_29 | 0.214 | 0.708 | 0.653 | 0.214 | 707.7 | 653.1 | 0.172 | 707.0 | 648.7 | 0.658 | 74.8 | 36.6 |
| BC23122020_slice_30 | 0.211 | 0.706 | 0.653 | 0.212 | 705.8 | 652.4 | 0.170 | 705.0 | 647.9 | 0.655 | 76.4 | 37.3 |
| BC23122020_slice_31 | 0.205 | 0.707 | 0.654 | 0.205 | 706.6 | 654.1 | 0.165 | 705.8 | 649.4 | 0.650 | 79.6 | 38.8 |
| BC23122020_slice_32 | 0.198 | 0.713 | 0.660 | 0.198 | 712.4 | 659.9 | 0.164 | 711.7 | 655.4 | 0.646 | 82.9 | 40.2 |
| BC23122020_slice_33 | 0.191 | 0.716 | 0.663 | 0.191 | 715.3 | 663.0 | 0.158 | 714.7 | 658.6 | 0.643 | 85.8 | 41.5 |
| BC23122020_slice_34 | 0.192 | 0.711 | 0.658 | 0.192 | 710.4 | 657.6 | 0.157 | 709.6 | 653.0 | 0.644 | 85.3 | 41.4 |
| BC23122020_slice_35 | 0.197 | 0.707 | 0.653 | 0.197 | 706.4 | 652.4 | 0.159 | 705.6 | 648.1 | 0.647 | 83.5 | 40.5 |
| BC23122020_slice_36 | 0.199 | 0.708 | 0.653 | 0.199 | 707.9 | 652.7 | 0.159 | 707.3 | 648.5 | 0.643 | 83.8 | 40.9 |
| BC23122020_slice_37 | 0.196 | 0.706 | 0.650 | 0.196 | 705.4 | 650.1 | 0.158 | 704.6 | 645.8 | 0.642 | 85.8 | 41.8 |
| BC23122020_slice_38 | 0.195 | 0.702 | 0.647 | 0.195 | 702.1 | 646.8 | 0.159 | 701.2 | 642.3 | 0.639 | 86.9 | 42.3 |
| BC23122020_slice_39 | 0.185 | 0.708 | 0.654 | 0.186 | 707.9 | 653.2 | 0.154 | 707.3 | 648.9 | 0.633 | 88.8 | 43.3 |
| BC23122020_slice_40 | 0.184 | 0.709 | 0.655 | 0.185 | 708.8 | 654.5 | 0.152 | 708.2 | 650.2 | 0.632 | 88.6 | 43.4 |
| BC23122020_slice_41 | 0.189 | 0.708 | 0.653 | 0.189 | 707.5 | 652.5 | 0.155 | 706.9 | 647.9 | 0.634 | 88.6 | 43.3 |
| BC23122020_slice_42 | 0.192 | 0.705 | 0.651 | 0.193 | 705.0 | 650.5 | 0.158 | 704.1 | 645.7 | 0.637 | 89.8 | 43.8 |
| BC23122020_slice_43 | 0.198 | 0.702 | 0.646 | 0.198 | 701.5 | 646.1 | 0.161 | 700.6 | 641.4 | 0.638 | 87.4 | 42.9 |
| BC23122020_slice_44 | 0.201 | 0.700 | 0.645 | 0.201 | 699.9 | 644.5 | 0.163 | 699.0 | 639.9 | 0.638 | 86.4 | 42.6 |
| BC23122020_slice_45 | 0.195 | 0.700 | 0.646 | 0.195 | 700.3 | 645.6 | 0.160 | 699.4 | 641.0 | 0.637 | 88.3 | 43.8 |
| BC23122020_slice_46 | 0.194 | 0.698 | 0.643 | 0.195 | 697.6 | 643.1 | 0.160 | 696.7 | 638.3 | 0.635 | 88.8 | 44.0 |
| BC23122020_slice_47 | 0.186 | 0.701 | 0.647 | 0.186 | 700.7 | 646.8 | 0.155 | 699.9 | 642.2 | 0.631 | 90.4 | 44.9 |
| BC23122020_slice_48 | 0.177 | 0.709 | 0.656 | 0.178 | 708.6 | 656.0 | 0.151 | 707.9 | 651.4 | 0.625 | 94.0 | 46.9 |
| BC23122020_slice_49 | 0.183 | 0.699 | 0.646 | 0.184 | 699.2 | 645.7 | 0.153 | 698.3 | 640.9 | 0.628 | 93.4 | 46.5 |
| BC23122020_slice_50 | 0.178 | 0.700 | 0.648 | 0.178 | 700.1 | 647.7 | 0.151 | 699.1 | 642.5 | 0.622 | 94.5 | 47.5 |
| BC23122020_slice_51 | 0.189 | 0.699 | 0.645 | 0.190 | 698.9 | 645.4 | 0.157 | 698.0 | 640.8 | 0.638 | 92.1 | 45.2 |
| BC23122020_slice_52 | 0.192 | 0.692 | 0.639 | 0.192 | 691.9 | 639.3 | 0.158 | 690.8 | 634.3 | 0.637 | 91.7 | 44.7 |
| BC23122020_slice_53 | 0.190 | 0.696 | 0.644 | 0.190 | 696.3 | 643.7 | 0.155 | 695.3 | 638.9 | 0.635 | 91.3 | 44.8 |
| BC23122020_slice_54 | 0.186 | 0.699 | 0.646 | 0.186 | 698.4 | 645.8 | 0.152 | 697.4 | 641.1 | 0.637 | 90.4 | 44.6 |
| BC23122020_slice_55 | 0.182 | 0.697 | 0.644 | 0.182 | 696.7 | 644.4 | 0.150 | 695.6 | 639.4 | 0.631 | 92.0 | 45.5 |
| BC23122020_slice_56 | 0.167 | 0.714 | 0.661 | 0.167 | 713.1 | 660.9 | 0.142 | 712.6 | 656.4 | 0.629 | 95.6 | 47.2 |
| BC23122020_slice_57 | 0.168 | 0.713 | 0.662 | 0.169 | 712.6 | 661.5 | 0.143 | 711.9 | 656.5 | 0.631 | 95.3 | 47.1 |
| BC23122020_slice_58 | 0.175 | 0.713 | 0.664 | 0.176 | 712.5 | 663.5 | 0.150 | 711.4 | 658.0 | 0.641 | 94.0 | 45.7 |
| BC23122020_slice_59 | 0.178 | 0.716 | 0.667 | 0.178 | 715.7 | 667.0 | 0.152 | 714.7 | 661.4 | 0.647 | 94.2 | 45.5 |
| BC23122020_slice_60 | 0.190 | 0.707 | 0.658 | 0.190 | 707.0 | 657.4 | 0.159 | 705.8 | 652.0 | 0.655 | 91.0 | 43.6 |
| BC23122020_slice_61 | 0.187 | 0.718 | 0.668 | 0.187 | 717.4 | 667.6 | 0.159 | 716.6 | 662.5 | 0.661 | 90.7 | 43.2 |
| BC23122020_slice_62 | 0.188 | 0.716 | 0.666 | 0.188 | 715.5 | 666.1 | 0.159 | 714.5 | 660.6 | 0.666 | 89.4 | 42.4 |
| BC23122020_slice_63 | 0.193 | 0.716 | 0.667 | 0.193 | 715.9 | 666.6 | 0.162 | 715.0 | 661.5 | 0.671 | 86.4 | 40.8 |
| BC23122020_slice_64 | 0.193 | 0.719 | 0.670 | 0.194 | 718.3 | 669.4 | 0.165 | 717.4 | 664.5 | 0.675 | 84.8 | 39.7 |
| BC23122020_slice_65 | 0.190 | 0.724 | 0.675 | 0.190 | 723.2 | 674.8 | 0.163 | 722.4 | 670.0 | 0.673 | 83.6 | 39.3 |
| BC23122020_slice_66 | 0.191 | 0.732 | 0.682 | 0.191 | 731.1 | 681.4 | 0.165 | 730.7 | 677.1 | 0.672 | 83.0 | 39.3 |
| BC23122020_slice_67 | 0.192 | 0.741 | 0.691 | 0.193 | 740.1 | 689.4 | 0.166 | 740.4 | 685.9 | 0.668 | 83.4 | 39.5 |
| BC23122020_slice_68 | 0.206 | 0.730 | 0.680 | 0.207 | 730.1 | 679.7 | 0.174 | 729.3 | 675.0 | 0.668 | 83.0 | 39.0 |
| BC23122020_slice_69 | 0.217 | 0.724 | 0.674 | 0.218 | 723.8 | 673.4 | 0.179 | 722.9 | 668.6 | 0.667 | 83.1 | 38.6 |
| BC23122020_slice_70 | 0.208 | 0.730 | 0.678 | 0.209 | 729.5 | 677.4 | 0.174 | 729.0 | 673.4 | 0.666 | 82.6 | 38.4 |
| BC23122020_slice_71 | 0.212 | 0.733 | 0.681 | 0.213 | 732.3 | 680.4 | 0.180 | 731.9 | 676.4 | 0.663 | 83.6 | 38.7 |
| BC23122020_slice_72 | 0.227 | 0.735 | 0.681 | 0.228 | 734.2 | 680.9 | 0.190 | 733.8 | 677.2 | 0.653 | 83.4 | 39.0 |
| BC23122020_slice_73 | 0.237 | 0.724 | 0.670 | 0.238 | 723.4 | 669.5 | 0.195 | 722.7 | 665.5 | 0.645 | 81.4 | 38.7 |
| BC23122020_slice_74 | 0.223 | 0.734 | 0.676 | 0.224 | 732.5 | 675.4 | 0.186 | 732.8 | 672.5 | 0.632 | 83.8 | 41.4 |
| BC23122020_slice_75 | 0.223 | 0.730 | 0.669 | 0.224 | 728.4 | 667.8 | 0.185 | 728.9 | 665.1 | 0.622 | 84.2 | 42.2 |
| BC23122020_slice_76 | 0.233 | 0.711 | 0.649 | 0.233 | 710.6 | 648.8 | 0.187 | 710.1 | 645.1 | 0.616 | 83.9 | 42.0 |
| BC23122020_slice_77 | 0.231 | 0.719 | 0.653 | 0.232 | 718.2 | 652.1 | 0.189 | 718.6 | 649.6 | 0.609 | 84.8 | 42.9 |
| BC23122020_slice_78 | 0.239 | 0.703 | 0.636 | 0.239 | 702.6 | 636.1 | 0.192 | 702.1 | 632.8 | 0.606 | 85.5 | 43.3 |
| BC23122020_slice_79 | 0.241 | 0.700 | 0.631 | 0.241 | 699.4 | 630.7 | 0.192 | 699.0 | 627.9 | 0.600 | 85.8 | 43.8 |
| BC23122020_slice_80 | 0.240 | 0.688 | 0.618 | 0.240 | 688.1 | 618.4 | 0.188 | 687.5 | 615.3 | 0.593 | 86.5 | 44.6 |
| BC23122020_slice_81 | 0.235 | 0.690 | 0.618 | 0.235 | 689.6 | 617.7 | 0.184 | 689.3 | 615.0 | 0.589 | 87.4 | 45.6 |
| BC23122020_slice_82 | 0.230 | 0.694 | 0.620 | 0.230 | 693.6 | 619.7 | 0.182 | 693.5 | 617.4 | 0.581 | 87.9 | 46.5 |
| BC23122020_slice_83 | 0.228 | 0.678 | 0.607 | 0.228 | 677.8 | 607.2 | 0.179 | 677.3 | 604.2 | 0.574 | 89.5 | 47.9 |
| BC23122020_slice_84 | 0.220 | 0.673 | 0.604 | 0.220 | 673.4 | 603.9 | 0.173 | 672.8 | 600.6 | 0.569 | 90.6 | 49.2 |
| BC23122020_slice_85 | 0.215 | 0.678 | 0.606 | 0.215 | 678.3 | 606.0 | 0.170 | 677.8 | 603.1 | 0.568 | 90.0 | 49.2 |
| BC23122020_slice_86 | 0.221 | 0.676 | 0.602 | 0.221 | 675.5 | 601.6 | 0.174 | 675.1 | 598.8 | 0.569 | 88.6 | 48.3 |
| BC23122020_slice_87 | 0.232 | 0.672 | 0.596 | 0.233 | 671.6 | 595.4 | 0.182 | 671.3 | 592.7 | 0.567 | 86.5 | 47.1 |
| BC23122020_slice_88 | 0.227 | 0.669 | 0.594 | 0.227 | 668.7 | 593.6 | 0.179 | 668.4 | 591.0 | 0.564 | 87.1 | 47.8 |
| BC23122020_slice_89 | 0.211 | 0.679 | 0.603 | 0.212 | 678.3 | 602.2 | 0.169 | 678.4 | 600.3 | 0.560 | 88.4 | 49.1 |
| BC23122020_slice_90 | 0.229 | 0.656 | 0.582 | 0.229 | 656.0 | 582.3 | 0.176 | 655.6 | 579.7 | 0.562 | 85.9 | 47.3 |
| BC23122020_slice_91 | 0.227 | 0.655 | 0.582 | 0.227 | 655.4 | 581.8 | 0.173 | 654.9 | 579.2 | 0.561 | 85.4 | 47.4 |
| BC23122020_slice_92 | 0.224 | 0.655 | 0.584 | 0.224 | 655.1 | 583.6 | 0.172 | 654.6 | 580.9 | 0.559 | 86.5 | 48.4 |
| BC23122020_slice_93 | 0.217 | 0.654 | 0.585 | 0.217 | 654.2 | 584.7 | 0.171 | 653.6 | 581.6 | 0.561 | 88.3 | 49.3 |
| BC23122020_slice_94 | 0.203 | 0.663 | 0.593 | 0.204 | 662.7 | 592.6 | 0.163 | 662.1 | 589.4 | 0.560 | 90.4 | 50.6 |
| BC23122020_slice_95 | 0.196 | 0.665 | 0.595 | 0.196 | 665.1 | 595.1 | 0.160 | 664.4 | 591.7 | 0.560 | 93.0 | 51.9 |
| BC23122020_slice_96 | 0.199 | 0.663 | 0.594 | 0.199 | 663.1 | 593.9 | 0.162 | 662.3 | 590.6 | 0.558 | 92.9 | 51.7 |
| BC23122020_slice_97 | 0.214 | 0.654 | 0.584 | 0.214 | 654.3 | 584.1 | 0.170 | 653.5 | 580.6 | 0.561 | 90.1 | 49.7 |
| BC23122020_slice_98 | 0.215 | 0.656 | 0.584 | 0.215 | 656.2 | 584.1 | 0.172 | 655.6 | 581.0 | 0.563 | 88.9 | 48.7 |
| BC23122020_slice_99 | 0.214 | 0.657 | 0.584 | 0.214 | 656.6 | 584.2 | 0.169 | 656.0 | 581.2 | 0.565 | 87.2 | 47.7 |
| BC23122020_slice_100 | 0.221 | 0.652 | 0.580 | 0.221 | 652.4 | 580.1 | 0.172 | 651.7 | 577.2 | 0.570 | 84.9 | 46.3 |
| BC23122020_slice_101 | 0.220 | 0.654 | 0.582 | 0.220 | 653.6 | 582.1 | 0.170 | 653.0 | 579.2 | 0.575 | 84.1 | 45.6 |
| BC23122020_slice_102 | 0.211 | 0.661 | 0.590 | 0.211 | 660.8 | 590.1 | 0.164 | 660.1 | 587.0 | 0.577 | 85.4 | 46.4 |
| BC23122020_slice_103 | 0.215 | 0.657 | 0.587 | 0.216 | 656.5 | 586.8 | 0.168 | 655.8 | 583.6 | 0.576 | 85.0 | 46.0 |
| BC23122020_slice_104 | 0.212 | 0.663 | 0.594 | 0.212 | 662.3 | 593.6 | 0.165 | 661.7 | 590.3 | 0.578 | 84.6 | 45.9 |
| BC23122020_slice_105 | 0.213 | 0.668 | 0.600 | 0.213 | 668.0 | 599.9 | 0.168 | 667.4 | 596.4 | 0.583 | 83.3 | 45.1 |
| BC23122020_slice_106 | 0.213 | 0.674 | 0.607 | 0.213 | 674.1 | 606.4 | 0.169 | 673.7 | 603.1 | 0.585 | 82.2 | 44.4 |
4Γ3 grid: Rows show different image types (Original NATIVE, Reconstructed NATIVE, Original VENOUS, Generated VENOUS), Columns show windowing techniques (No Window, Lung Window, Mediastinum Window)