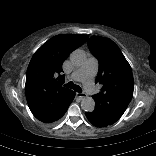
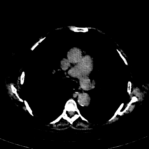
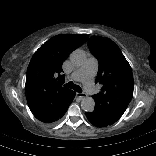
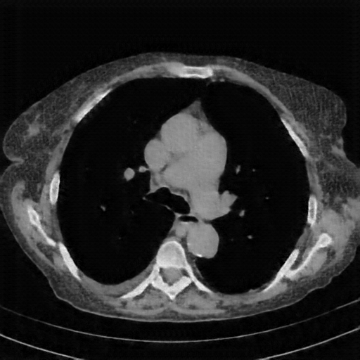
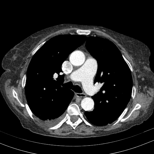
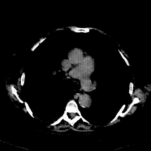
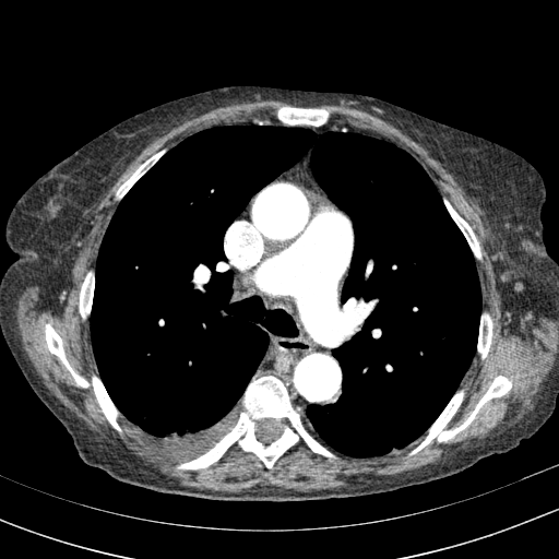
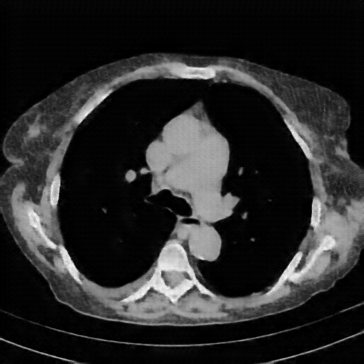
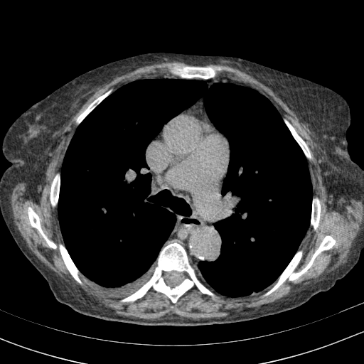
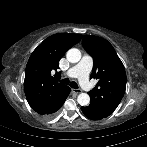
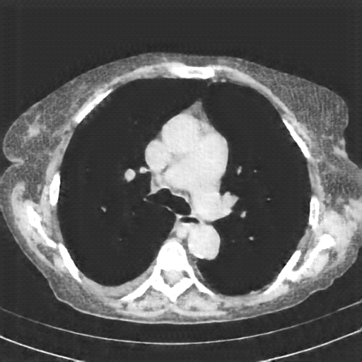
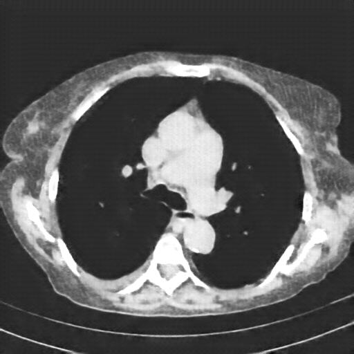
Slice 70 Targeting Evaluation
Patient ID: MF04022021
Model: cytran
Slice: Slice_70
Slice Thickness: 1.5mm
Conversion: NATIVE β VENOUS
Contains all 4 metric datasets: Network-Normalized, Hounsfield Units, Lung Window, and Mediastinum Window
| Slice ID | SSIM | RMSE | MAE | HU SSIM | HU RMSE | HU MAE | Lung SSIM | Lung RMSE | Lung MAE | Mediastinum SSIM | Mediastinum RMSE | Mediastinum MAE |
|---|---|---|---|---|---|---|---|---|---|---|---|---|
| MF04022021_slice_0 | 0.188 | 0.704 | 0.655 | 0.189 | 703.5 | 655.0 | 0.170 | 701.4 | 647.5 | 0.565 | 106.9 | 59.8 |
| MF04022021_slice_1 | 0.189 | 0.696 | 0.646 | 0.189 | 695.7 | 645.8 | 0.169 | 693.5 | 638.1 | 0.563 | 104.9 | 59.0 |
| MF04022021_slice_2 | 0.194 | 0.691 | 0.639 | 0.194 | 690.4 | 638.5 | 0.172 | 688.4 | 631.2 | 0.563 | 103.0 | 58.1 |
| MF04022021_slice_3 | 0.185 | 0.697 | 0.646 | 0.185 | 696.1 | 646.0 | 0.166 | 694.0 | 638.5 | 0.557 | 105.6 | 59.8 |
| MF04022021_slice_4 | 0.184 | 0.696 | 0.646 | 0.184 | 695.6 | 645.5 | 0.166 | 693.6 | 638.3 | 0.554 | 107.4 | 60.8 |
| MF04022021_slice_5 | 0.188 | 0.698 | 0.650 | 0.188 | 697.6 | 649.2 | 0.168 | 695.7 | 642.3 | 0.549 | 107.7 | 60.7 |
| MF04022021_slice_6 | 0.186 | 0.693 | 0.644 | 0.186 | 692.6 | 643.6 | 0.165 | 690.4 | 636.3 | 0.536 | 110.9 | 62.6 |
| MF04022021_slice_7 | 0.189 | 0.685 | 0.632 | 0.189 | 684.4 | 632.3 | 0.166 | 682.6 | 625.7 | 0.535 | 109.0 | 61.5 |
| MF04022021_slice_8 | 0.191 | 0.686 | 0.634 | 0.191 | 685.8 | 633.9 | 0.166 | 683.9 | 627.5 | 0.539 | 108.9 | 61.1 |
| MF04022021_slice_9 | 0.195 | 0.685 | 0.635 | 0.195 | 685.1 | 635.3 | 0.170 | 683.1 | 628.1 | 0.546 | 108.2 | 60.3 |
| MF04022021_slice_10 | 0.199 | 0.687 | 0.636 | 0.199 | 686.6 | 635.6 | 0.174 | 684.7 | 628.5 | 0.549 | 106.1 | 58.8 |
| MF04022021_slice_11 | 0.200 | 0.687 | 0.636 | 0.200 | 687.2 | 635.9 | 0.177 | 685.4 | 628.9 | 0.551 | 105.4 | 58.4 |
| MF04022021_slice_12 | 0.202 | 0.690 | 0.637 | 0.202 | 689.5 | 637.1 | 0.179 | 687.8 | 630.4 | 0.558 | 103.4 | 57.1 |
| MF04022021_slice_13 | 0.204 | 0.690 | 0.637 | 0.204 | 689.9 | 637.3 | 0.181 | 688.3 | 630.7 | 0.564 | 102.4 | 56.3 |
| MF04022021_slice_14 | 0.202 | 0.693 | 0.641 | 0.203 | 692.9 | 641.2 | 0.181 | 691.1 | 634.2 | 0.568 | 103.0 | 56.2 |
| MF04022021_slice_15 | 0.203 | 0.695 | 0.644 | 0.203 | 695.0 | 643.5 | 0.180 | 693.3 | 636.5 | 0.571 | 101.9 | 55.0 |
| MF04022021_slice_16 | 0.202 | 0.703 | 0.651 | 0.202 | 702.3 | 651.3 | 0.180 | 700.7 | 644.8 | 0.579 | 101.5 | 54.5 |
| MF04022021_slice_17 | 0.201 | 0.706 | 0.657 | 0.201 | 705.8 | 656.4 | 0.179 | 704.1 | 649.8 | 0.581 | 102.6 | 54.6 |
| MF04022021_slice_18 | 0.202 | 0.707 | 0.659 | 0.202 | 706.9 | 658.6 | 0.181 | 705.1 | 651.9 | 0.586 | 102.2 | 54.1 |
| MF04022021_slice_19 | 0.201 | 0.711 | 0.663 | 0.201 | 710.9 | 663.2 | 0.178 | 709.2 | 656.5 | 0.588 | 102.2 | 53.9 |
| MF04022021_slice_20 | 0.200 | 0.709 | 0.663 | 0.200 | 708.3 | 662.8 | 0.176 | 706.4 | 655.5 | 0.591 | 100.9 | 53.1 |
| MF04022021_slice_21 | 0.202 | 0.712 | 0.665 | 0.203 | 712.0 | 664.7 | 0.179 | 710.3 | 657.7 | 0.599 | 98.2 | 51.3 |
| MF04022021_slice_22 | 0.205 | 0.714 | 0.668 | 0.206 | 713.9 | 667.5 | 0.182 | 712.4 | 660.6 | 0.604 | 95.4 | 49.7 |
| MF04022021_slice_23 | 0.209 | 0.713 | 0.666 | 0.210 | 713.0 | 666.2 | 0.183 | 711.4 | 659.1 | 0.612 | 91.7 | 47.6 |
| MF04022021_slice_24 | 0.209 | 0.715 | 0.668 | 0.210 | 714.1 | 668.0 | 0.184 | 712.6 | 660.9 | 0.616 | 90.3 | 46.7 |
| MF04022021_slice_25 | 0.208 | 0.718 | 0.671 | 0.209 | 717.6 | 670.7 | 0.184 | 715.9 | 663.8 | 0.618 | 90.8 | 46.5 |
| MF04022021_slice_26 | 0.211 | 0.712 | 0.667 | 0.211 | 711.6 | 667.1 | 0.183 | 709.6 | 659.3 | 0.623 | 89.4 | 45.6 |
| MF04022021_slice_27 | 0.209 | 0.716 | 0.672 | 0.209 | 715.4 | 671.7 | 0.182 | 713.5 | 664.0 | 0.624 | 90.5 | 46.1 |
| MF04022021_slice_28 | 0.211 | 0.719 | 0.673 | 0.211 | 718.1 | 672.6 | 0.183 | 716.4 | 665.4 | 0.626 | 89.4 | 45.3 |
| MF04022021_slice_29 | 0.212 | 0.722 | 0.677 | 0.212 | 721.7 | 676.5 | 0.185 | 720.2 | 669.8 | 0.627 | 89.6 | 45.5 |
| MF04022021_slice_30 | 0.212 | 0.721 | 0.677 | 0.213 | 721.0 | 676.8 | 0.185 | 719.4 | 670.0 | 0.626 | 90.5 | 45.8 |
| MF04022021_slice_31 | 0.212 | 0.719 | 0.676 | 0.213 | 719.0 | 676.0 | 0.185 | 717.2 | 668.8 | 0.630 | 90.6 | 45.8 |
| MF04022021_slice_32 | 0.216 | 0.716 | 0.673 | 0.217 | 716.1 | 672.9 | 0.187 | 714.3 | 665.6 | 0.631 | 88.1 | 44.5 |
| MF04022021_slice_33 | 0.218 | 0.716 | 0.673 | 0.218 | 716.0 | 672.5 | 0.188 | 714.3 | 665.2 | 0.631 | 87.0 | 44.1 |
| MF04022021_slice_34 | 0.218 | 0.718 | 0.673 | 0.219 | 717.6 | 673.0 | 0.189 | 715.9 | 665.9 | 0.631 | 85.5 | 43.2 |
| MF04022021_slice_35 | 0.217 | 0.718 | 0.673 | 0.217 | 717.7 | 672.3 | 0.187 | 716.2 | 665.3 | 0.630 | 84.9 | 43.0 |
| MF04022021_slice_36 | 0.217 | 0.719 | 0.672 | 0.217 | 718.4 | 671.8 | 0.187 | 717.0 | 665.1 | 0.630 | 84.6 | 42.9 |
| MF04022021_slice_37 | 0.213 | 0.720 | 0.673 | 0.213 | 719.7 | 672.6 | 0.184 | 718.2 | 665.7 | 0.626 | 87.1 | 43.9 |
| MF04022021_slice_38 | 0.209 | 0.725 | 0.676 | 0.209 | 723.9 | 675.9 | 0.181 | 722.5 | 669.2 | 0.622 | 89.1 | 44.7 |
| MF04022021_slice_39 | 0.210 | 0.719 | 0.672 | 0.210 | 718.9 | 672.0 | 0.180 | 717.3 | 664.7 | 0.622 | 88.7 | 44.4 |
| MF04022021_slice_40 | 0.207 | 0.718 | 0.672 | 0.207 | 717.9 | 671.8 | 0.176 | 716.1 | 664.2 | 0.621 | 89.6 | 45.0 |
| MF04022021_slice_41 | 0.206 | 0.719 | 0.675 | 0.206 | 719.0 | 674.8 | 0.176 | 717.0 | 666.8 | 0.620 | 91.4 | 45.8 |
| MF04022021_slice_42 | 0.207 | 0.720 | 0.677 | 0.207 | 719.2 | 676.2 | 0.177 | 717.1 | 668.0 | 0.622 | 92.0 | 45.8 |
| MF04022021_slice_43 | 0.207 | 0.718 | 0.675 | 0.207 | 718.0 | 675.1 | 0.177 | 715.9 | 666.9 | 0.622 | 92.4 | 46.0 |
| MF04022021_slice_44 | 0.205 | 0.721 | 0.678 | 0.205 | 720.7 | 677.6 | 0.176 | 718.6 | 669.6 | 0.622 | 92.8 | 46.0 |
| MF04022021_slice_45 | 0.207 | 0.721 | 0.677 | 0.207 | 720.7 | 677.1 | 0.177 | 718.8 | 669.3 | 0.622 | 92.5 | 45.7 |
| MF04022021_slice_46 | 0.205 | 0.723 | 0.680 | 0.206 | 722.3 | 679.6 | 0.176 | 720.4 | 671.8 | 0.623 | 93.3 | 46.1 |
| MF04022021_slice_47 | 0.207 | 0.722 | 0.680 | 0.207 | 721.6 | 679.5 | 0.178 | 719.7 | 671.5 | 0.621 | 93.0 | 46.0 |
| MF04022021_slice_48 | 0.206 | 0.721 | 0.679 | 0.207 | 721.1 | 678.3 | 0.177 | 719.1 | 670.4 | 0.619 | 93.7 | 46.3 |
| MF04022021_slice_49 | 0.207 | 0.722 | 0.678 | 0.207 | 721.8 | 677.4 | 0.176 | 719.9 | 669.7 | 0.615 | 93.7 | 46.3 |
| MF04022021_slice_50 | 0.211 | 0.716 | 0.671 | 0.211 | 715.6 | 671.1 | 0.177 | 713.6 | 663.2 | 0.618 | 90.9 | 45.1 |
| MF04022021_slice_51 | 0.213 | 0.711 | 0.667 | 0.213 | 711.0 | 666.8 | 0.179 | 708.6 | 658.5 | 0.619 | 90.4 | 44.9 |
| MF04022021_slice_52 | 0.214 | 0.711 | 0.667 | 0.215 | 711.1 | 666.5 | 0.180 | 708.7 | 658.1 | 0.619 | 89.7 | 44.5 |
| MF04022021_slice_53 | 0.214 | 0.709 | 0.665 | 0.215 | 708.9 | 664.4 | 0.179 | 706.6 | 656.1 | 0.616 | 89.4 | 44.3 |
| MF04022021_slice_54 | 0.216 | 0.707 | 0.662 | 0.217 | 706.5 | 662.2 | 0.181 | 704.2 | 653.8 | 0.616 | 88.9 | 44.1 |
| MF04022021_slice_55 | 0.216 | 0.709 | 0.663 | 0.217 | 708.4 | 662.6 | 0.181 | 706.0 | 654.4 | 0.610 | 89.7 | 44.4 |
| MF04022021_slice_56 | 0.218 | 0.712 | 0.666 | 0.218 | 711.5 | 665.5 | 0.183 | 709.3 | 657.5 | 0.616 | 88.0 | 43.6 |
| MF04022021_slice_57 | 0.216 | 0.710 | 0.666 | 0.216 | 709.9 | 665.6 | 0.181 | 707.6 | 657.3 | 0.615 | 88.9 | 44.1 |
| MF04022021_slice_58 | 0.212 | 0.712 | 0.669 | 0.212 | 712.1 | 668.9 | 0.179 | 709.8 | 660.5 | 0.610 | 91.4 | 45.5 |
| MF04022021_slice_59 | 0.214 | 0.709 | 0.665 | 0.214 | 708.6 | 664.6 | 0.179 | 706.0 | 656.1 | 0.609 | 89.2 | 44.6 |
| MF04022021_slice_60 | 0.222 | 0.707 | 0.663 | 0.222 | 706.9 | 663.2 | 0.186 | 704.3 | 654.1 | 0.619 | 84.4 | 42.2 |
| MF04022021_slice_61 | 0.222 | 0.710 | 0.665 | 0.222 | 709.7 | 665.2 | 0.185 | 707.0 | 656.2 | 0.618 | 84.7 | 42.3 |
| MF04022021_slice_62 | 0.221 | 0.717 | 0.672 | 0.221 | 717.1 | 671.7 | 0.185 | 714.7 | 663.3 | 0.615 | 84.6 | 42.6 |
| MF04022021_slice_63 | 0.237 | 0.712 | 0.664 | 0.237 | 711.6 | 663.7 | 0.198 | 709.0 | 655.0 | 0.621 | 80.7 | 40.6 |
| MF04022021_slice_64 | 0.243 | 0.712 | 0.662 | 0.244 | 712.0 | 662.1 | 0.202 | 709.4 | 653.6 | 0.623 | 78.5 | 39.3 |
| MF04022021_slice_65 | 0.248 | 0.708 | 0.659 | 0.248 | 708.3 | 658.4 | 0.206 | 705.7 | 649.7 | 0.624 | 77.0 | 38.8 |
| MF04022021_slice_66 | 0.246 | 0.711 | 0.662 | 0.246 | 710.8 | 661.3 | 0.205 | 708.4 | 652.9 | 0.623 | 78.3 | 39.5 |
| MF04022021_slice_67 | 0.247 | 0.705 | 0.656 | 0.247 | 704.6 | 655.8 | 0.206 | 701.9 | 646.9 | 0.622 | 79.1 | 40.0 |
| MF04022021_slice_68 | 0.243 | 0.704 | 0.656 | 0.243 | 704.2 | 655.7 | 0.202 | 701.5 | 646.7 | 0.619 | 81.0 | 41.1 |
| MF04022021_slice_69 | 0.242 | 0.702 | 0.653 | 0.242 | 701.7 | 653.1 | 0.201 | 699.1 | 644.2 | 0.616 | 81.6 | 41.5 |
| MF04022021_slice_70 | 0.234 | 0.702 | 0.655 | 0.234 | 701.4 | 654.4 | 0.194 | 698.6 | 645.2 | 0.609 | 84.8 | 43.3 |
| MF04022021_slice_71 | 0.225 | 0.701 | 0.655 | 0.225 | 700.5 | 654.4 | 0.186 | 697.6 | 644.9 | 0.601 | 88.6 | 45.4 |
| MF04022021_slice_72 | 0.223 | 0.698 | 0.652 | 0.223 | 698.0 | 652.1 | 0.185 | 695.1 | 642.6 | 0.595 | 90.0 | 46.5 |
| MF04022021_slice_73 | 0.218 | 0.702 | 0.655 | 0.218 | 702.1 | 654.5 | 0.181 | 699.5 | 645.4 | 0.590 | 92.0 | 47.8 |
| MF04022021_slice_74 | 0.211 | 0.701 | 0.655 | 0.211 | 701.1 | 654.5 | 0.175 | 698.4 | 645.1 | 0.584 | 95.1 | 49.5 |
| MF04022021_slice_75 | 0.207 | 0.704 | 0.656 | 0.207 | 704.1 | 655.9 | 0.169 | 701.8 | 647.2 | 0.578 | 95.5 | 50.2 |
| MF04022021_slice_76 | 0.213 | 0.707 | 0.656 | 0.213 | 706.6 | 655.4 | 0.174 | 704.5 | 647.1 | 0.579 | 94.2 | 49.6 |
| MF04022021_slice_77 | 0.226 | 0.686 | 0.636 | 0.226 | 685.6 | 636.4 | 0.185 | 682.7 | 626.6 | 0.580 | 91.6 | 48.8 |
| MF04022021_slice_78 | 0.232 | 0.679 | 0.629 | 0.232 | 679.1 | 629.0 | 0.189 | 676.2 | 619.4 | 0.576 | 89.0 | 48.0 |
| MF04022021_slice_79 | 0.231 | 0.685 | 0.632 | 0.231 | 684.9 | 632.3 | 0.190 | 682.3 | 623.5 | 0.573 | 88.6 | 48.2 |
| MF04022021_slice_80 | 0.232 | 0.682 | 0.627 | 0.232 | 681.6 | 626.6 | 0.188 | 679.0 | 617.9 | 0.565 | 88.7 | 48.6 |
| MF04022021_slice_81 | 0.240 | 0.665 | 0.611 | 0.240 | 664.9 | 610.6 | 0.196 | 662.1 | 601.4 | 0.565 | 86.9 | 48.0 |
| MF04022021_slice_82 | 0.240 | 0.666 | 0.611 | 0.240 | 665.8 | 610.6 | 0.196 | 663.2 | 601.6 | 0.562 | 87.1 | 48.2 |
| MF04022021_slice_83 | 0.232 | 0.676 | 0.620 | 0.232 | 676.2 | 619.6 | 0.190 | 673.6 | 610.7 | 0.557 | 89.7 | 49.9 |
| MF04022021_slice_84 | 0.228 | 0.670 | 0.615 | 0.228 | 670.4 | 614.7 | 0.188 | 667.9 | 605.6 | 0.550 | 90.4 | 50.5 |
| MF04022021_slice_85 | 0.221 | 0.677 | 0.621 | 0.221 | 676.7 | 620.5 | 0.182 | 674.3 | 611.8 | 0.541 | 91.6 | 51.6 |
| MF04022021_slice_86 | 0.210 | 0.671 | 0.617 | 0.210 | 671.2 | 617.0 | 0.171 | 668.6 | 607.9 | 0.536 | 94.9 | 53.7 |
| MF04022021_slice_87 | 0.197 | 0.677 | 0.620 | 0.197 | 676.5 | 619.8 | 0.159 | 674.2 | 611.6 | 0.528 | 96.6 | 55.1 |
| MF04022021_slice_88 | 0.202 | 0.673 | 0.615 | 0.202 | 673.0 | 614.5 | 0.166 | 671.0 | 606.8 | 0.521 | 95.3 | 55.1 |
| MF04022021_slice_89 | 0.199 | 0.664 | 0.607 | 0.199 | 664.1 | 607.2 | 0.162 | 661.9 | 598.8 | 0.514 | 97.1 | 56.8 |
| MF04022021_slice_90 | 0.204 | 0.649 | 0.592 | 0.204 | 648.5 | 591.9 | 0.164 | 646.1 | 583.2 | 0.512 | 97.7 | 57.1 |
| MF04022021_slice_91 | 0.179 | 0.667 | 0.610 | 0.179 | 666.4 | 609.9 | 0.144 | 664.0 | 601.6 | 0.506 | 102.4 | 60.3 |
| MF04022021_slice_92 | 0.197 | 0.655 | 0.593 | 0.197 | 655.4 | 592.7 | 0.157 | 653.3 | 585.0 | 0.504 | 96.4 | 57.3 |
| MF04022021_slice_93 | 0.199 | 0.639 | 0.578 | 0.199 | 639.4 | 578.4 | 0.157 | 637.0 | 570.1 | 0.498 | 98.2 | 58.7 |
| MF04022021_slice_94 | 0.203 | 0.630 | 0.570 | 0.203 | 630.5 | 570.2 | 0.160 | 627.9 | 561.4 | 0.494 | 99.5 | 59.8 |
| MF04022021_slice_95 | 0.201 | 0.626 | 0.565 | 0.201 | 625.7 | 565.2 | 0.159 | 623.1 | 556.4 | 0.488 | 101.0 | 60.6 |
| MF04022021_slice_96 | 0.187 | 0.619 | 0.559 | 0.187 | 618.6 | 559.2 | 0.147 | 615.9 | 550.3 | 0.483 | 102.8 | 62.2 |
| MF04022021_slice_97 | 0.183 | 0.623 | 0.561 | 0.183 | 622.5 | 561.2 | 0.142 | 619.8 | 552.2 | 0.476 | 103.1 | 63.0 |
| MF04022021_slice_98 | 0.201 | 0.625 | 0.559 | 0.201 | 624.9 | 559.1 | 0.156 | 622.5 | 550.5 | 0.475 | 99.0 | 60.9 |
| MF04022021_slice_99 | 0.192 | 0.615 | 0.551 | 0.192 | 614.8 | 551.4 | 0.150 | 612.3 | 542.7 | 0.472 | 102.0 | 62.7 |
| MF04022021_slice_100 | 0.154 | 0.629 | 0.567 | 0.154 | 628.8 | 567.5 | 0.119 | 626.2 | 558.5 | 0.462 | 110.0 | 67.7 |
| MF04022021_slice_101 | 0.143 | 0.623 | 0.565 | 0.143 | 623.0 | 564.6 | 0.111 | 619.8 | 554.6 | 0.457 | 114.5 | 70.6 |
| MF04022021_slice_102 | 0.162 | 0.618 | 0.556 | 0.162 | 617.7 | 556.0 | 0.124 | 614.8 | 546.5 | 0.456 | 110.1 | 68.3 |
| MF04022021_slice_103 | 0.155 | 0.623 | 0.560 | 0.155 | 622.8 | 560.2 | 0.119 | 620.1 | 550.8 | 0.454 | 110.8 | 68.9 |
| MF04022021_slice_104 | 0.150 | 0.601 | 0.544 | 0.150 | 600.9 | 544.5 | 0.119 | 597.5 | 533.9 | 0.454 | 116.0 | 72.0 |
| MF04022021_slice_105 | 0.152 | 0.610 | 0.550 | 0.152 | 609.7 | 550.3 | 0.118 | 606.5 | 540.1 | 0.448 | 114.0 | 71.5 |
| MF04022021_slice_106 | 0.141 | 0.598 | 0.541 | 0.141 | 598.5 | 540.9 | 0.111 | 595.2 | 530.9 | 0.442 | 116.6 | 73.3 |
| MF04022021_slice_107 | 0.142 | 0.592 | 0.535 | 0.142 | 592.0 | 534.8 | 0.111 | 588.6 | 524.8 | 0.442 | 117.8 | 74.1 |
| MF04022021_slice_108 | 0.146 | 0.599 | 0.539 | 0.146 | 598.7 | 538.5 | 0.112 | 595.3 | 528.2 | 0.440 | 117.4 | 74.2 |
| MF04022021_slice_109 | 0.148 | 0.590 | 0.530 | 0.148 | 589.7 | 529.5 | 0.116 | 586.4 | 519.4 | 0.438 | 116.9 | 74.3 |
| MF04022021_slice_110 | 0.128 | 0.588 | 0.530 | 0.128 | 587.9 | 529.9 | 0.103 | 584.4 | 519.7 | 0.434 | 121.8 | 77.6 |
| MF04022021_slice_111 | 0.132 | 0.589 | 0.529 | 0.132 | 589.2 | 529.5 | 0.104 | 585.7 | 519.1 | 0.431 | 121.3 | 77.5 |
| MF04022021_slice_112 | 0.133 | 0.584 | 0.524 | 0.133 | 584.3 | 523.5 | 0.105 | 580.8 | 513.3 | 0.430 | 120.8 | 77.5 |
| MF04022021_slice_113 | 0.130 | 0.583 | 0.522 | 0.130 | 582.8 | 521.8 | 0.102 | 579.4 | 511.9 | 0.427 | 121.2 | 78.2 |
| MF04022021_slice_114 | 0.135 | 0.575 | 0.514 | 0.135 | 575.1 | 513.9 | 0.107 | 571.7 | 503.9 | 0.424 | 120.5 | 78.0 |
| MF04022021_slice_115 | 0.131 | 0.576 | 0.514 | 0.131 | 576.4 | 514.2 | 0.105 | 573.0 | 504.1 | 0.420 | 120.5 | 78.1 |
| MF04022021_slice_116 | 0.096 | 0.582 | 0.523 | 0.096 | 582.5 | 523.0 | 0.082 | 578.8 | 512.5 | 0.414 | 128.3 | 83.1 |
| MF04022021_slice_117 | 0.098 | 0.582 | 0.521 | 0.098 | 582.2 | 520.6 | 0.081 | 578.6 | 510.4 | 0.411 | 127.3 | 83.0 |
| MF04022021_slice_118 | 0.110 | 0.572 | 0.510 | 0.110 | 572.0 | 510.3 | 0.088 | 568.4 | 500.2 | 0.409 | 125.9 | 82.2 |
| MF04022021_slice_119 | 0.110 | 0.579 | 0.512 | 0.110 | 578.9 | 512.4 | 0.086 | 575.5 | 502.4 | 0.408 | 124.1 | 81.2 |
| MF04022021_slice_120 | 0.086 | 0.578 | 0.515 | 0.086 | 578.4 | 514.6 | 0.073 | 574.9 | 504.4 | 0.402 | 130.6 | 85.5 |
| MF04022021_slice_121 | 0.087 | 0.582 | 0.516 | 0.087 | 582.3 | 516.2 | 0.071 | 578.7 | 505.8 | 0.398 | 130.0 | 85.7 |
| MF04022021_slice_122 | 0.086 | 0.566 | 0.504 | 0.086 | 566.0 | 503.8 | 0.075 | 562.2 | 493.3 | 0.398 | 132.8 | 87.5 |
| MF04022021_slice_123 | 0.086 | 0.560 | 0.497 | 0.086 | 559.9 | 497.1 | 0.074 | 556.1 | 487.0 | 0.399 | 133.2 | 87.5 |
| MF04022021_slice_124 | 0.086 | 0.562 | 0.500 | 0.086 | 561.7 | 499.6 | 0.078 | 558.0 | 489.7 | 0.404 | 132.4 | 87.3 |
| MF04022021_slice_125 | 0.082 | 0.567 | 0.503 | 0.082 | 567.1 | 503.2 | 0.077 | 563.5 | 493.4 | 0.402 | 132.8 | 87.5 |
| MF04022021_slice_126 | 0.076 | 0.561 | 0.498 | 0.076 | 560.9 | 498.3 | 0.075 | 557.2 | 488.8 | 0.400 | 134.0 | 88.5 |
| MF04022021_slice_127 | 0.078 | 0.567 | 0.501 | 0.078 | 566.8 | 501.2 | 0.073 | 563.4 | 492.1 | 0.397 | 132.4 | 87.5 |
| MF04022021_slice_128 | 0.091 | 0.560 | 0.494 | 0.091 | 560.3 | 494.1 | 0.080 | 556.8 | 485.0 | 0.399 | 129.3 | 85.7 |
| MF04022021_slice_129 | 0.107 | 0.558 | 0.490 | 0.107 | 558.1 | 489.8 | 0.091 | 554.8 | 481.0 | 0.399 | 125.7 | 83.6 |
| MF04022021_slice_130 | 0.118 | 0.552 | 0.482 | 0.118 | 552.0 | 482.4 | 0.098 | 548.8 | 474.0 | 0.400 | 122.8 | 81.8 |
| MF04022021_slice_131 | 0.114 | 0.556 | 0.484 | 0.114 | 556.2 | 484.1 | 0.095 | 553.0 | 475.7 | 0.404 | 123.0 | 81.4 |
| MF04022021_slice_132 | 0.134 | 0.549 | 0.477 | 0.134 | 549.5 | 476.7 | 0.107 | 546.4 | 468.4 | 0.408 | 118.7 | 78.4 |
| MF04022021_slice_133 | 0.121 | 0.553 | 0.481 | 0.121 | 552.6 | 480.9 | 0.100 | 549.5 | 472.4 | 0.407 | 121.5 | 80.0 |
| MF04022021_slice_134 | 0.114 | 0.559 | 0.484 | 0.114 | 559.0 | 484.3 | 0.093 | 555.8 | 475.7 | 0.410 | 120.8 | 79.6 |
| MF04022021_slice_135 | 0.133 | 0.545 | 0.471 | 0.133 | 545.0 | 471.3 | 0.106 | 541.9 | 463.3 | 0.414 | 118.0 | 77.7 |
| MF04022021_slice_136 | 0.141 | 0.543 | 0.469 | 0.141 | 543.4 | 468.5 | 0.110 | 540.4 | 460.9 | 0.415 | 116.6 | 76.3 |
| MF04022021_slice_137 | 0.137 | 0.547 | 0.472 | 0.137 | 547.1 | 472.3 | 0.106 | 544.1 | 464.6 | 0.413 | 118.1 | 77.2 |
| MF04022021_slice_138 | 0.135 | 0.548 | 0.473 | 0.135 | 547.6 | 473.4 | 0.106 | 544.8 | 465.7 | 0.414 | 119.1 | 77.8 |
| MF04022021_slice_139 | 0.134 | 0.545 | 0.471 | 0.134 | 545.3 | 470.5 | 0.105 | 542.6 | 463.2 | 0.416 | 117.9 | 76.7 |
| MF04022021_slice_140 | 0.126 | 0.547 | 0.473 | 0.126 | 547.4 | 472.6 | 0.100 | 544.9 | 465.8 | 0.419 | 117.5 | 76.4 |
| MF04022021_slice_141 | 0.141 | 0.545 | 0.469 | 0.141 | 545.2 | 469.3 | 0.109 | 542.9 | 462.7 | 0.421 | 114.1 | 73.9 |
| MF04022021_slice_142 | 0.143 | 0.546 | 0.469 | 0.143 | 546.0 | 469.2 | 0.109 | 544.0 | 463.3 | 0.421 | 111.6 | 72.5 |
| MF04022021_slice_143 | 0.140 | 0.541 | 0.463 | 0.140 | 541.4 | 462.6 | 0.103 | 539.5 | 457.2 | 0.418 | 109.5 | 71.2 |
| MF04022021_slice_144 | 0.136 | 0.541 | 0.462 | 0.136 | 540.8 | 461.8 | 0.099 | 539.0 | 456.5 | 0.413 | 109.4 | 71.2 |
| MF04022021_slice_145 | 0.144 | 0.536 | 0.456 | 0.144 | 536.4 | 455.8 | 0.101 | 534.7 | 450.9 | 0.410 | 106.1 | 69.1 |
| MF04022021_slice_146 | 0.146 | 0.536 | 0.453 | 0.146 | 535.6 | 452.9 | 0.101 | 534.0 | 448.1 | 0.409 | 103.8 | 67.8 |
| MF04022021_slice_147 | 0.145 | 0.537 | 0.453 | 0.145 | 537.1 | 453.4 | 0.101 | 535.6 | 448.9 | 0.405 | 103.8 | 68.0 |
| MF04022021_slice_148 | 0.127 | 0.540 | 0.456 | 0.127 | 539.9 | 456.5 | 0.091 | 538.5 | 452.0 | 0.400 | 105.4 | 69.3 |
| MF04022021_slice_149 | 0.106 | 0.537 | 0.457 | 0.106 | 537.4 | 456.5 | 0.078 | 535.8 | 451.5 | 0.396 | 106.2 | 70.6 |
| MF04022021_slice_150 | 0.119 | 0.536 | 0.452 | 0.119 | 535.7 | 452.0 | 0.083 | 534.0 | 447.0 | 0.397 | 103.8 | 68.8 |
| MF04022021_slice_151 | 0.124 | 0.533 | 0.448 | 0.124 | 533.3 | 448.1 | 0.084 | 531.8 | 443.7 | 0.395 | 102.6 | 67.7 |
| MF04022021_slice_152 | 0.160 | 0.534 | 0.443 | 0.160 | 533.7 | 443.3 | 0.103 | 532.4 | 439.4 | 0.396 | 97.4 | 63.4 |
4Γ3 grid: Rows show different image types (Original NATIVE, Reconstructed NATIVE, Original VENOUS, Generated VENOUS), Columns show windowing techniques (No Window, Lung Window, Mediastinum Window)