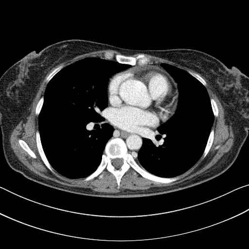
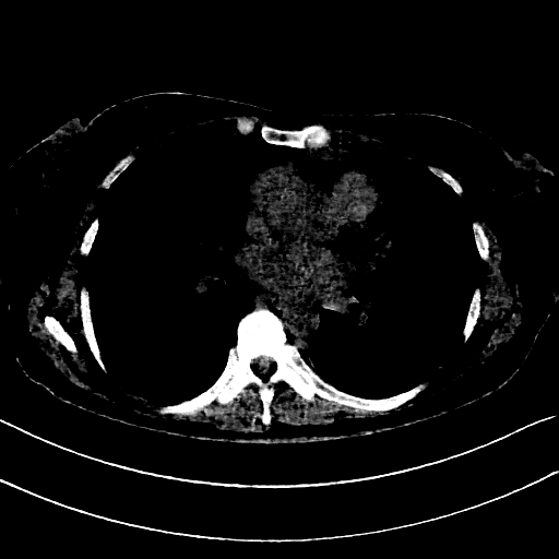
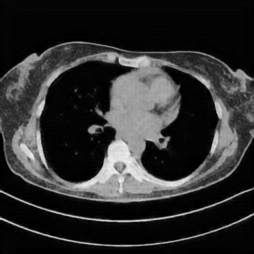
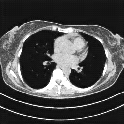
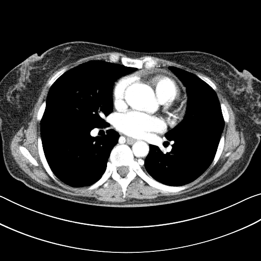
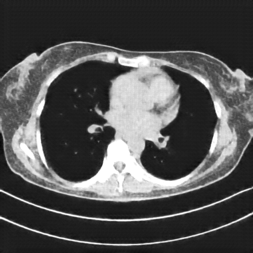
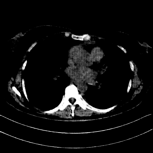
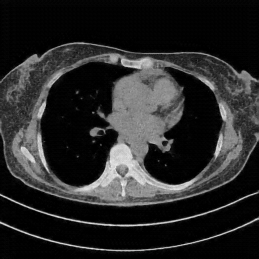
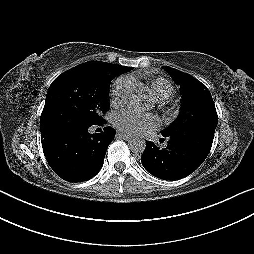
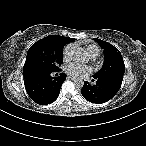
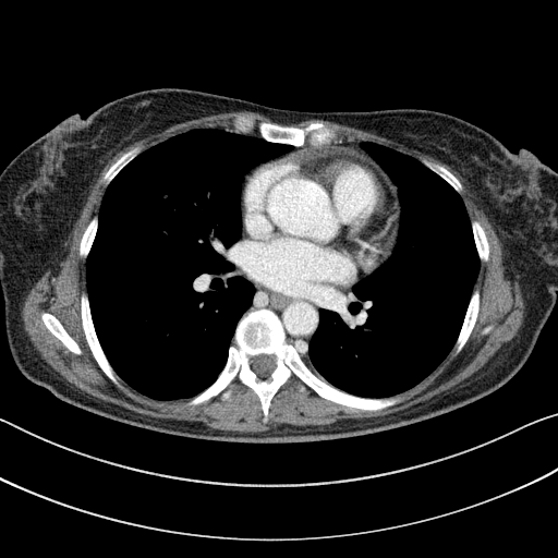
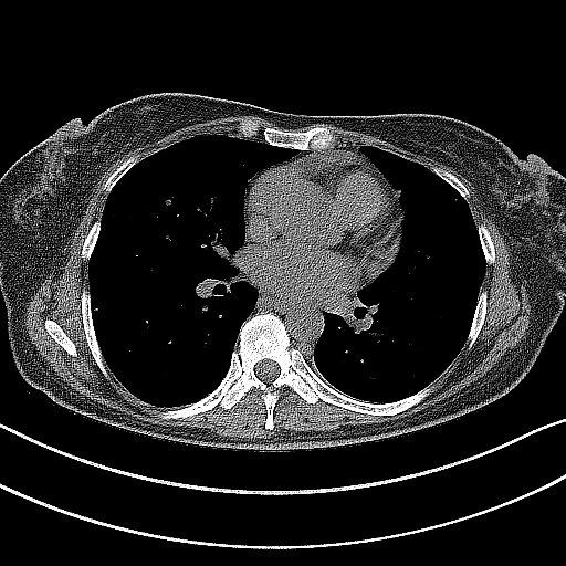
Slice 70 Targeting Evaluation
Patient ID: PN17122020
Model: cytran
Slice: Slice_70
Slice Thickness: 3.0mm
Conversion: NATIVE β VENOUS
Contains all 4 metric datasets: Network-Normalized, Hounsfield Units, Lung Window, and Mediastinum Window
| Slice ID | SSIM | RMSE | MAE | HU SSIM | HU RMSE | HU MAE | Lung SSIM | Lung RMSE | Lung MAE | Mediastinum SSIM | Mediastinum RMSE | Mediastinum MAE |
|---|---|---|---|---|---|---|---|---|---|---|---|---|
| PN17122020_slice_0 | 0.185 | 0.710 | 0.651 | 0.186 | 708.1 | 649.9 | 0.173 | 708.6 | 646.9 | 0.605 | 97.6 | 52.5 |
| PN17122020_slice_1 | 0.184 | 0.713 | 0.653 | 0.185 | 709.8 | 650.5 | 0.171 | 711.9 | 649.0 | 0.601 | 98.1 | 52.9 |
| PN17122020_slice_2 | 0.184 | 0.710 | 0.649 | 0.185 | 707.1 | 647.0 | 0.170 | 708.8 | 645.1 | 0.603 | 97.9 | 52.8 |
| PN17122020_slice_3 | 0.186 | 0.703 | 0.642 | 0.187 | 701.4 | 641.3 | 0.172 | 701.7 | 637.8 | 0.603 | 97.7 | 52.6 |
| PN17122020_slice_4 | 0.184 | 0.700 | 0.639 | 0.185 | 698.8 | 638.5 | 0.172 | 698.6 | 634.6 | 0.602 | 98.3 | 53.0 |
| PN17122020_slice_5 | 0.181 | 0.705 | 0.645 | 0.182 | 703.4 | 644.3 | 0.171 | 703.4 | 640.9 | 0.597 | 101.2 | 54.7 |
| PN17122020_slice_6 | 0.183 | 0.706 | 0.647 | 0.183 | 704.9 | 646.6 | 0.173 | 704.8 | 642.9 | 0.595 | 100.8 | 54.7 |
| PN17122020_slice_7 | 0.180 | 0.706 | 0.647 | 0.181 | 704.9 | 645.6 | 0.170 | 705.2 | 642.2 | 0.596 | 100.1 | 54.1 |
| PN17122020_slice_8 | 0.177 | 0.708 | 0.649 | 0.178 | 706.9 | 648.0 | 0.167 | 707.2 | 644.7 | 0.597 | 101.3 | 54.6 |
| PN17122020_slice_9 | 0.174 | 0.711 | 0.654 | 0.175 | 709.9 | 652.3 | 0.165 | 710.0 | 649.0 | 0.597 | 102.0 | 54.8 |
| PN17122020_slice_10 | 0.176 | 0.705 | 0.648 | 0.176 | 704.7 | 647.7 | 0.164 | 703.8 | 643.1 | 0.600 | 100.4 | 53.6 |
| PN17122020_slice_11 | 0.175 | 0.710 | 0.653 | 0.175 | 708.6 | 652.1 | 0.163 | 708.2 | 648.0 | 0.606 | 99.6 | 53.0 |
| PN17122020_slice_12 | 0.180 | 0.709 | 0.652 | 0.180 | 708.0 | 650.9 | 0.165 | 707.6 | 646.8 | 0.611 | 96.4 | 51.1 |
| PN17122020_slice_13 | 0.180 | 0.712 | 0.654 | 0.181 | 710.7 | 653.0 | 0.165 | 711.0 | 649.7 | 0.612 | 94.9 | 50.2 |
| PN17122020_slice_14 | 0.181 | 0.714 | 0.657 | 0.182 | 712.9 | 656.0 | 0.165 | 713.3 | 652.8 | 0.615 | 95.1 | 50.0 |
| PN17122020_slice_15 | 0.180 | 0.723 | 0.666 | 0.181 | 720.2 | 664.4 | 0.165 | 721.5 | 662.1 | 0.614 | 96.5 | 50.5 |
| PN17122020_slice_16 | 0.179 | 0.725 | 0.669 | 0.181 | 722.1 | 666.7 | 0.165 | 723.4 | 664.2 | 0.619 | 96.2 | 49.9 |
| PN17122020_slice_17 | 0.183 | 0.719 | 0.663 | 0.184 | 717.5 | 661.9 | 0.167 | 717.8 | 658.3 | 0.629 | 92.5 | 47.5 |
| PN17122020_slice_18 | 0.185 | 0.717 | 0.662 | 0.186 | 715.7 | 661.2 | 0.168 | 715.6 | 657.0 | 0.635 | 89.9 | 45.9 |
| PN17122020_slice_19 | 0.184 | 0.715 | 0.660 | 0.185 | 713.9 | 659.0 | 0.165 | 713.6 | 654.6 | 0.639 | 87.6 | 44.5 |
| PN17122020_slice_20 | 0.185 | 0.713 | 0.658 | 0.185 | 712.3 | 657.8 | 0.163 | 711.9 | 653.3 | 0.643 | 85.8 | 43.4 |
| PN17122020_slice_21 | 0.185 | 0.718 | 0.663 | 0.186 | 716.5 | 662.0 | 0.163 | 716.3 | 658.0 | 0.642 | 85.7 | 43.4 |
| PN17122020_slice_22 | 0.188 | 0.715 | 0.662 | 0.189 | 714.4 | 661.4 | 0.166 | 713.8 | 656.7 | 0.648 | 84.9 | 42.9 |
| PN17122020_slice_23 | 0.191 | 0.717 | 0.664 | 0.191 | 716.1 | 663.9 | 0.168 | 715.7 | 659.5 | 0.653 | 83.7 | 42.1 |
| PN17122020_slice_24 | 0.193 | 0.719 | 0.667 | 0.194 | 718.2 | 666.3 | 0.169 | 718.1 | 662.1 | 0.653 | 82.5 | 41.3 |
| PN17122020_slice_25 | 0.194 | 0.720 | 0.668 | 0.194 | 719.4 | 666.8 | 0.169 | 719.3 | 662.7 | 0.655 | 82.0 | 40.8 |
| PN17122020_slice_26 | 0.193 | 0.723 | 0.669 | 0.194 | 721.5 | 667.9 | 0.169 | 721.8 | 664.1 | 0.658 | 81.0 | 39.9 |
| PN17122020_slice_27 | 0.194 | 0.719 | 0.666 | 0.195 | 718.1 | 665.5 | 0.169 | 717.6 | 660.9 | 0.661 | 81.0 | 39.5 |
| PN17122020_slice_28 | 0.195 | 0.721 | 0.668 | 0.196 | 720.3 | 666.9 | 0.168 | 720.2 | 662.7 | 0.666 | 79.7 | 38.6 |
| PN17122020_slice_29 | 0.198 | 0.720 | 0.666 | 0.199 | 718.8 | 665.0 | 0.168 | 718.8 | 660.8 | 0.668 | 78.0 | 37.7 |
| PN17122020_slice_30 | 0.197 | 0.722 | 0.667 | 0.198 | 720.1 | 666.0 | 0.166 | 720.4 | 662.4 | 0.668 | 76.9 | 37.3 |
| PN17122020_slice_31 | 0.203 | 0.711 | 0.657 | 0.203 | 710.6 | 656.5 | 0.167 | 710.1 | 651.9 | 0.669 | 75.6 | 36.6 |
| PN17122020_slice_32 | 0.197 | 0.718 | 0.662 | 0.198 | 716.4 | 661.6 | 0.165 | 716.5 | 657.8 | 0.666 | 76.9 | 37.4 |
| PN17122020_slice_33 | 0.193 | 0.718 | 0.664 | 0.194 | 717.3 | 663.4 | 0.164 | 717.3 | 659.5 | 0.663 | 79.3 | 38.6 |
| PN17122020_slice_34 | 0.191 | 0.717 | 0.663 | 0.192 | 715.7 | 662.1 | 0.163 | 715.6 | 658.0 | 0.664 | 80.4 | 38.9 |
| PN17122020_slice_35 | 0.188 | 0.721 | 0.667 | 0.189 | 719.2 | 665.8 | 0.162 | 719.5 | 662.1 | 0.663 | 82.2 | 39.5 |
| PN17122020_slice_36 | 0.187 | 0.723 | 0.669 | 0.188 | 721.1 | 667.9 | 0.162 | 721.7 | 664.3 | 0.660 | 83.6 | 39.9 |
| PN17122020_slice_37 | 0.189 | 0.719 | 0.664 | 0.190 | 717.5 | 662.9 | 0.161 | 717.7 | 658.8 | 0.662 | 82.5 | 39.0 |
| PN17122020_slice_38 | 0.193 | 0.717 | 0.662 | 0.194 | 715.4 | 660.5 | 0.162 | 715.2 | 656.1 | 0.662 | 82.6 | 38.6 |
| PN17122020_slice_39 | 0.195 | 0.716 | 0.661 | 0.196 | 715.1 | 659.7 | 0.162 | 715.1 | 655.4 | 0.662 | 81.7 | 38.4 |
| PN17122020_slice_40 | 0.209 | 0.704 | 0.649 | 0.210 | 704.0 | 648.7 | 0.170 | 703.1 | 643.6 | 0.668 | 78.4 | 36.8 |
| PN17122020_slice_41 | 0.219 | 0.699 | 0.643 | 0.219 | 698.4 | 642.5 | 0.175 | 697.5 | 637.4 | 0.669 | 75.2 | 35.4 |
| PN17122020_slice_42 | 0.205 | 0.706 | 0.652 | 0.206 | 705.7 | 651.6 | 0.168 | 704.8 | 646.4 | 0.663 | 78.3 | 37.4 |
| PN17122020_slice_43 | 0.202 | 0.711 | 0.657 | 0.203 | 710.7 | 656.7 | 0.169 | 710.1 | 652.0 | 0.660 | 79.4 | 38.4 |
| PN17122020_slice_44 | 0.196 | 0.722 | 0.668 | 0.197 | 720.1 | 666.3 | 0.167 | 721.1 | 663.4 | 0.662 | 81.0 | 39.4 |
| PN17122020_slice_45 | 0.192 | 0.726 | 0.673 | 0.194 | 723.4 | 670.8 | 0.166 | 724.9 | 668.3 | 0.661 | 82.4 | 40.0 |
| PN17122020_slice_46 | 0.194 | 0.722 | 0.669 | 0.195 | 720.4 | 667.6 | 0.168 | 721.3 | 664.5 | 0.665 | 82.4 | 39.6 |
| PN17122020_slice_47 | 0.193 | 0.723 | 0.669 | 0.194 | 720.8 | 666.8 | 0.165 | 722.3 | 664.2 | 0.663 | 82.3 | 39.4 |
| PN17122020_slice_48 | 0.195 | 0.715 | 0.661 | 0.196 | 713.9 | 660.0 | 0.166 | 714.1 | 655.7 | 0.659 | 84.3 | 39.9 |
| PN17122020_slice_49 | 0.196 | 0.710 | 0.655 | 0.197 | 708.8 | 654.3 | 0.166 | 708.1 | 649.4 | 0.657 | 85.4 | 40.4 |
| PN17122020_slice_50 | 0.200 | 0.704 | 0.649 | 0.200 | 703.1 | 648.3 | 0.166 | 702.3 | 643.1 | 0.660 | 84.0 | 40.0 |
| PN17122020_slice_51 | 0.207 | 0.701 | 0.645 | 0.208 | 700.9 | 644.9 | 0.170 | 700.0 | 639.6 | 0.662 | 81.7 | 39.0 |
| PN17122020_slice_52 | 0.208 | 0.700 | 0.644 | 0.208 | 699.3 | 643.5 | 0.171 | 698.4 | 638.1 | 0.661 | 81.1 | 38.9 |
| PN17122020_slice_53 | 0.207 | 0.706 | 0.649 | 0.208 | 705.0 | 648.7 | 0.170 | 704.6 | 643.9 | 0.663 | 80.9 | 38.8 |
| PN17122020_slice_54 | 0.200 | 0.711 | 0.657 | 0.201 | 710.4 | 655.7 | 0.166 | 710.1 | 651.1 | 0.661 | 83.8 | 40.0 |
| PN17122020_slice_55 | 0.192 | 0.714 | 0.662 | 0.193 | 713.1 | 660.8 | 0.163 | 712.9 | 655.9 | 0.656 | 88.0 | 42.1 |
| PN17122020_slice_56 | 0.191 | 0.716 | 0.664 | 0.192 | 714.5 | 663.2 | 0.164 | 714.4 | 658.4 | 0.657 | 89.1 | 42.8 |
| PN17122020_slice_57 | 0.188 | 0.724 | 0.672 | 0.190 | 721.1 | 669.4 | 0.164 | 722.6 | 666.3 | 0.658 | 90.0 | 43.1 |
| PN17122020_slice_58 | 0.189 | 0.720 | 0.668 | 0.191 | 718.3 | 666.0 | 0.165 | 719.2 | 662.6 | 0.658 | 89.6 | 42.8 |
| PN17122020_slice_59 | 0.188 | 0.717 | 0.666 | 0.190 | 715.9 | 664.2 | 0.165 | 716.3 | 660.2 | 0.656 | 90.9 | 43.4 |
| PN17122020_slice_60 | 0.189 | 0.714 | 0.661 | 0.190 | 712.6 | 660.5 | 0.165 | 712.5 | 655.9 | 0.654 | 91.1 | 43.2 |
| PN17122020_slice_61 | 0.188 | 0.713 | 0.659 | 0.189 | 711.6 | 657.4 | 0.160 | 711.8 | 653.0 | 0.649 | 91.6 | 43.4 |
| PN17122020_slice_62 | 0.191 | 0.705 | 0.650 | 0.191 | 704.4 | 649.5 | 0.162 | 703.6 | 644.4 | 0.647 | 90.5 | 43.1 |
| PN17122020_slice_63 | 0.195 | 0.704 | 0.649 | 0.195 | 703.6 | 648.2 | 0.164 | 703.0 | 643.1 | 0.646 | 87.7 | 42.3 |
| PN17122020_slice_64 | 0.194 | 0.708 | 0.652 | 0.195 | 706.8 | 650.8 | 0.163 | 706.9 | 646.5 | 0.643 | 85.8 | 41.7 |
| PN17122020_slice_65 | 0.197 | 0.709 | 0.653 | 0.198 | 707.6 | 651.5 | 0.165 | 707.9 | 647.4 | 0.642 | 84.1 | 41.2 |
| PN17122020_slice_66 | 0.195 | 0.709 | 0.654 | 0.196 | 707.7 | 653.5 | 0.164 | 707.5 | 648.8 | 0.640 | 85.5 | 41.9 |
| PN17122020_slice_67 | 0.188 | 0.716 | 0.662 | 0.189 | 713.9 | 660.5 | 0.160 | 714.4 | 656.4 | 0.639 | 88.7 | 43.4 |
| PN17122020_slice_68 | 0.193 | 0.706 | 0.653 | 0.194 | 705.5 | 652.2 | 0.162 | 704.8 | 646.7 | 0.638 | 88.1 | 43.0 |
| PN17122020_slice_69 | 0.191 | 0.711 | 0.657 | 0.191 | 709.5 | 656.4 | 0.161 | 709.2 | 651.3 | 0.639 | 89.5 | 43.6 |
| PN17122020_slice_70 | 0.185 | 0.714 | 0.661 | 0.186 | 712.2 | 660.2 | 0.159 | 712.3 | 655.3 | 0.637 | 92.4 | 44.9 |
| PN17122020_slice_71 | 0.184 | 0.714 | 0.661 | 0.185 | 712.3 | 660.1 | 0.159 | 712.5 | 655.5 | 0.637 | 93.5 | 45.4 |
| PN17122020_slice_72 | 0.184 | 0.710 | 0.657 | 0.185 | 709.3 | 656.3 | 0.159 | 709.1 | 651.5 | 0.635 | 94.1 | 45.4 |
| PN17122020_slice_73 | 0.182 | 0.704 | 0.650 | 0.182 | 703.4 | 649.9 | 0.157 | 702.6 | 644.4 | 0.632 | 94.5 | 45.6 |
| PN17122020_slice_74 | 0.178 | 0.707 | 0.653 | 0.179 | 706.1 | 651.5 | 0.155 | 705.8 | 646.6 | 0.628 | 94.4 | 46.0 |
| PN17122020_slice_75 | 0.184 | 0.699 | 0.644 | 0.185 | 698.8 | 643.6 | 0.157 | 698.0 | 638.3 | 0.629 | 91.5 | 45.0 |
| PN17122020_slice_76 | 0.188 | 0.697 | 0.640 | 0.188 | 696.5 | 640.0 | 0.158 | 695.5 | 634.6 | 0.630 | 90.7 | 44.7 |
| PN17122020_slice_77 | 0.181 | 0.703 | 0.647 | 0.181 | 702.3 | 646.3 | 0.153 | 701.7 | 641.4 | 0.630 | 92.3 | 45.7 |
| PN17122020_slice_78 | 0.172 | 0.704 | 0.650 | 0.172 | 703.3 | 649.5 | 0.147 | 702.5 | 644.2 | 0.625 | 95.5 | 47.4 |
| PN17122020_slice_79 | 0.167 | 0.709 | 0.655 | 0.168 | 707.4 | 653.7 | 0.146 | 707.0 | 648.8 | 0.626 | 97.6 | 48.4 |
| PN17122020_slice_80 | 0.170 | 0.704 | 0.650 | 0.170 | 703.6 | 649.2 | 0.145 | 702.9 | 644.2 | 0.628 | 96.1 | 47.5 |
| PN17122020_slice_81 | 0.161 | 0.712 | 0.659 | 0.162 | 710.8 | 657.3 | 0.140 | 710.9 | 652.9 | 0.624 | 99.1 | 48.9 |
| PN17122020_slice_82 | 0.159 | 0.713 | 0.660 | 0.161 | 711.6 | 658.2 | 0.141 | 711.7 | 653.7 | 0.624 | 101.1 | 49.7 |
| PN17122020_slice_83 | 0.165 | 0.711 | 0.657 | 0.166 | 709.5 | 655.6 | 0.144 | 709.5 | 651.0 | 0.632 | 99.1 | 48.1 |
| PN17122020_slice_84 | 0.173 | 0.707 | 0.654 | 0.173 | 706.6 | 652.9 | 0.150 | 705.8 | 647.7 | 0.636 | 96.9 | 46.8 |
| PN17122020_slice_85 | 0.176 | 0.708 | 0.654 | 0.177 | 707.1 | 653.4 | 0.152 | 706.2 | 647.7 | 0.638 | 96.7 | 46.6 |
| PN17122020_slice_86 | 0.173 | 0.717 | 0.663 | 0.175 | 715.5 | 661.8 | 0.152 | 715.8 | 657.4 | 0.644 | 96.9 | 46.5 |
| PN17122020_slice_87 | 0.171 | 0.727 | 0.673 | 0.173 | 722.7 | 669.2 | 0.150 | 725.3 | 667.1 | 0.645 | 96.4 | 46.2 |
| PN17122020_slice_88 | 0.180 | 0.717 | 0.662 | 0.181 | 715.4 | 660.9 | 0.155 | 715.7 | 656.7 | 0.649 | 93.1 | 44.4 |
| PN17122020_slice_89 | 0.176 | 0.718 | 0.664 | 0.177 | 715.9 | 662.3 | 0.153 | 716.0 | 657.9 | 0.649 | 93.4 | 44.6 |
| PN17122020_slice_90 | 0.171 | 0.721 | 0.669 | 0.172 | 719.6 | 667.6 | 0.150 | 719.8 | 663.1 | 0.647 | 94.7 | 45.3 |
| PN17122020_slice_91 | 0.173 | 0.724 | 0.671 | 0.174 | 722.2 | 669.4 | 0.153 | 723.0 | 665.7 | 0.655 | 94.6 | 44.8 |
| PN17122020_slice_92 | 0.174 | 0.729 | 0.675 | 0.176 | 726.0 | 671.9 | 0.153 | 728.1 | 669.6 | 0.660 | 93.1 | 43.9 |
| PN17122020_slice_93 | 0.167 | 0.741 | 0.688 | 0.170 | 734.4 | 683.0 | 0.152 | 739.4 | 683.2 | 0.660 | 97.0 | 45.4 |
| PN17122020_slice_94 | 0.172 | 0.738 | 0.686 | 0.174 | 733.2 | 682.5 | 0.157 | 736.2 | 680.8 | 0.663 | 96.6 | 44.8 |
| PN17122020_slice_95 | 0.179 | 0.729 | 0.678 | 0.180 | 727.5 | 676.3 | 0.161 | 728.2 | 672.7 | 0.668 | 93.6 | 43.1 |
| PN17122020_slice_96 | 0.182 | 0.729 | 0.677 | 0.183 | 727.2 | 676.1 | 0.162 | 727.4 | 672.0 | 0.668 | 91.3 | 42.2 |
| PN17122020_slice_97 | 0.184 | 0.726 | 0.676 | 0.185 | 725.3 | 675.5 | 0.164 | 724.9 | 670.7 | 0.669 | 91.7 | 42.4 |
| PN17122020_slice_98 | 0.182 | 0.725 | 0.676 | 0.183 | 724.5 | 675.0 | 0.164 | 723.8 | 670.0 | 0.672 | 92.4 | 42.6 |
| PN17122020_slice_99 | 0.179 | 0.730 | 0.680 | 0.179 | 728.6 | 678.8 | 0.162 | 728.2 | 674.3 | 0.673 | 92.8 | 42.8 |
| PN17122020_slice_100 | 0.184 | 0.730 | 0.679 | 0.185 | 729.0 | 678.2 | 0.165 | 728.7 | 674.0 | 0.676 | 89.4 | 41.5 |
| PN17122020_slice_101 | 0.182 | 0.739 | 0.687 | 0.183 | 736.9 | 685.4 | 0.164 | 738.3 | 683.0 | 0.676 | 88.9 | 41.3 |
| PN17122020_slice_102 | 0.183 | 0.736 | 0.685 | 0.184 | 734.7 | 684.0 | 0.165 | 735.0 | 680.7 | 0.678 | 88.3 | 41.0 |
| PN17122020_slice_103 | 0.186 | 0.734 | 0.683 | 0.186 | 732.7 | 681.7 | 0.167 | 732.7 | 678.0 | 0.680 | 87.5 | 40.7 |
| PN17122020_slice_104 | 0.190 | 0.730 | 0.678 | 0.191 | 729.9 | 677.6 | 0.171 | 729.5 | 673.9 | 0.680 | 87.3 | 40.6 |
| PN17122020_slice_105 | 0.187 | 0.740 | 0.687 | 0.188 | 738.3 | 685.9 | 0.169 | 739.3 | 683.4 | 0.678 | 89.4 | 41.6 |
| PN17122020_slice_106 | 0.180 | 0.745 | 0.692 | 0.182 | 741.7 | 690.1 | 0.166 | 743.6 | 688.2 | 0.675 | 90.4 | 42.6 |
| PN17122020_slice_107 | 0.178 | 0.743 | 0.691 | 0.180 | 740.7 | 688.6 | 0.164 | 742.5 | 686.8 | 0.674 | 89.4 | 42.4 |
| PN17122020_slice_108 | 0.186 | 0.740 | 0.686 | 0.187 | 738.4 | 684.5 | 0.167 | 739.6 | 682.4 | 0.667 | 86.8 | 41.5 |
| PN17122020_slice_109 | 0.182 | 0.742 | 0.686 | 0.183 | 739.3 | 683.9 | 0.163 | 741.2 | 682.7 | 0.656 | 87.9 | 42.9 |
| PN17122020_slice_110 | 0.189 | 0.722 | 0.668 | 0.190 | 721.5 | 667.2 | 0.166 | 721.0 | 663.3 | 0.647 | 89.9 | 44.4 |
| PN17122020_slice_111 | 0.172 | 0.716 | 0.663 | 0.172 | 716.1 | 662.8 | 0.156 | 715.3 | 658.5 | 0.634 | 96.3 | 48.5 |
| PN17122020_slice_112 | 0.154 | 0.722 | 0.666 | 0.155 | 721.5 | 665.3 | 0.145 | 721.2 | 661.8 | 0.625 | 99.8 | 51.1 |
| PN17122020_slice_113 | 0.152 | 0.715 | 0.657 | 0.152 | 714.3 | 656.8 | 0.142 | 713.7 | 653.0 | 0.617 | 101.7 | 52.6 |
| PN17122020_slice_114 | 0.131 | 0.725 | 0.666 | 0.132 | 723.6 | 664.1 | 0.129 | 724.4 | 661.8 | 0.608 | 106.0 | 55.7 |
| PN17122020_slice_115 | 0.122 | 0.722 | 0.661 | 0.123 | 720.3 | 659.6 | 0.123 | 721.4 | 657.6 | 0.602 | 107.4 | 57.0 |
| PN17122020_slice_116 | 0.101 | 0.731 | 0.669 | 0.104 | 725.5 | 664.4 | 0.108 | 730.5 | 665.9 | 0.594 | 111.9 | 60.3 |
| PN17122020_slice_117 | 0.113 | 0.716 | 0.652 | 0.114 | 713.7 | 650.1 | 0.116 | 715.2 | 648.6 | 0.590 | 108.3 | 58.8 |
| PN17122020_slice_118 | 0.119 | 0.709 | 0.641 | 0.120 | 706.8 | 640.1 | 0.120 | 707.9 | 638.5 | 0.588 | 105.8 | 57.7 |
| PN17122020_slice_119 | 0.101 | 0.712 | 0.646 | 0.103 | 709.5 | 643.7 | 0.106 | 711.6 | 642.8 | 0.580 | 110.0 | 60.8 |
| PN17122020_slice_120 | 0.089 | 0.709 | 0.644 | 0.090 | 706.6 | 642.3 | 0.098 | 708.1 | 640.7 | 0.573 | 114.2 | 63.7 |
| PN17122020_slice_121 | 0.090 | 0.698 | 0.633 | 0.090 | 697.3 | 632.4 | 0.101 | 697.6 | 629.8 | 0.573 | 114.2 | 63.9 |
| PN17122020_slice_122 | 0.107 | 0.678 | 0.612 | 0.107 | 677.9 | 612.0 | 0.114 | 677.3 | 608.8 | 0.576 | 110.8 | 61.7 |
| PN17122020_slice_123 | 0.115 | 0.676 | 0.608 | 0.115 | 675.6 | 607.6 | 0.117 | 675.1 | 604.7 | 0.574 | 109.1 | 60.9 |
| PN17122020_slice_124 | 0.114 | 0.673 | 0.604 | 0.115 | 672.8 | 603.6 | 0.116 | 672.3 | 600.7 | 0.569 | 108.9 | 61.0 |
| PN17122020_slice_125 | 0.101 | 0.675 | 0.607 | 0.102 | 674.6 | 606.7 | 0.108 | 674.0 | 603.6 | 0.563 | 112.0 | 63.4 |
| PN17122020_slice_126 | 0.104 | 0.662 | 0.597 | 0.104 | 661.7 | 597.3 | 0.114 | 660.9 | 593.6 | 0.563 | 114.6 | 64.9 |
| PN17122020_slice_127 | 0.106 | 0.666 | 0.600 | 0.106 | 665.8 | 599.9 | 0.114 | 665.0 | 596.3 | 0.561 | 114.5 | 64.9 |
| PN17122020_slice_128 | 0.104 | 0.666 | 0.599 | 0.104 | 666.0 | 599.4 | 0.112 | 665.2 | 595.9 | 0.556 | 114.6 | 65.1 |
| PN17122020_slice_129 | 0.106 | 0.658 | 0.593 | 0.106 | 658.2 | 593.1 | 0.114 | 657.3 | 589.1 | 0.555 | 114.9 | 65.3 |
| PN17122020_slice_130 | 0.095 | 0.663 | 0.598 | 0.095 | 663.3 | 597.7 | 0.109 | 662.5 | 593.8 | 0.554 | 115.9 | 66.2 |
| PN17122020_slice_131 | 0.093 | 0.671 | 0.602 | 0.094 | 670.5 | 601.5 | 0.103 | 670.1 | 598.4 | 0.553 | 113.5 | 65.1 |
| PN17122020_slice_132 | 0.115 | 0.659 | 0.589 | 0.115 | 658.9 | 589.1 | 0.116 | 658.3 | 585.8 | 0.555 | 108.4 | 62.1 |
| PN17122020_slice_133 | 0.124 | 0.644 | 0.576 | 0.124 | 644.2 | 575.7 | 0.122 | 643.4 | 572.3 | 0.555 | 106.8 | 61.2 |
| PN17122020_slice_134 | 0.112 | 0.655 | 0.585 | 0.112 | 654.5 | 584.5 | 0.113 | 653.8 | 580.9 | 0.553 | 106.9 | 61.9 |
| PN17122020_slice_135 | 0.114 | 0.656 | 0.586 | 0.114 | 656.3 | 585.6 | 0.113 | 655.6 | 581.9 | 0.551 | 106.0 | 61.4 |
| PN17122020_slice_136 | 0.123 | 0.647 | 0.577 | 0.123 | 647.3 | 577.1 | 0.120 | 646.5 | 573.5 | 0.551 | 105.0 | 60.5 |
| PN17122020_slice_137 | 0.128 | 0.647 | 0.577 | 0.128 | 647.0 | 577.3 | 0.123 | 646.2 | 573.9 | 0.554 | 104.7 | 60.2 |
| PN17122020_slice_138 | 0.136 | 0.643 | 0.574 | 0.136 | 643.1 | 573.8 | 0.127 | 642.4 | 570.4 | 0.554 | 103.2 | 59.2 |
| PN17122020_slice_139 | 0.141 | 0.654 | 0.582 | 0.141 | 653.7 | 581.7 | 0.126 | 653.2 | 578.6 | 0.554 | 101.3 | 57.9 |
| PN17122020_slice_140 | 0.141 | 0.649 | 0.579 | 0.141 | 649.2 | 578.4 | 0.127 | 648.6 | 575.4 | 0.553 | 101.0 | 57.8 |
| PN17122020_slice_141 | 0.130 | 0.648 | 0.579 | 0.130 | 647.8 | 578.9 | 0.122 | 647.0 | 575.5 | 0.553 | 103.0 | 59.2 |
| PN17122020_slice_142 | 0.112 | 0.661 | 0.592 | 0.112 | 661.0 | 592.2 | 0.112 | 660.5 | 589.1 | 0.553 | 106.0 | 61.2 |
| PN17122020_slice_143 | 0.123 | 0.655 | 0.586 | 0.124 | 654.8 | 585.6 | 0.119 | 654.1 | 582.2 | 0.555 | 103.2 | 59.5 |
| PN17122020_slice_144 | 0.126 | 0.658 | 0.589 | 0.126 | 658.2 | 588.9 | 0.119 | 657.5 | 585.4 | 0.555 | 103.0 | 59.2 |
| PN17122020_slice_145 | 0.117 | 0.668 | 0.597 | 0.118 | 667.1 | 596.7 | 0.112 | 666.6 | 593.5 | 0.554 | 103.8 | 59.6 |
| PN17122020_slice_146 | 0.132 | 0.661 | 0.592 | 0.132 | 661.2 | 591.4 | 0.123 | 660.4 | 587.9 | 0.558 | 102.2 | 58.1 |
| PN17122020_slice_147 | 0.144 | 0.661 | 0.590 | 0.144 | 660.6 | 589.4 | 0.129 | 659.9 | 586.0 | 0.562 | 99.4 | 56.2 |
| PN17122020_slice_148 | 0.158 | 0.648 | 0.579 | 0.158 | 648.3 | 578.9 | 0.140 | 647.4 | 575.1 | 0.567 | 98.3 | 55.1 |
| PN17122020_slice_149 | 0.161 | 0.655 | 0.585 | 0.161 | 655.2 | 584.7 | 0.140 | 654.2 | 580.8 | 0.569 | 97.1 | 54.4 |
| PN17122020_slice_150 | 0.152 | 0.662 | 0.593 | 0.152 | 661.9 | 593.3 | 0.137 | 660.9 | 588.9 | 0.570 | 98.9 | 55.5 |
| PN17122020_slice_151 | 0.155 | 0.664 | 0.596 | 0.155 | 664.1 | 595.9 | 0.139 | 663.0 | 591.5 | 0.571 | 98.9 | 55.1 |
| PN17122020_slice_152 | 0.161 | 0.662 | 0.593 | 0.161 | 661.9 | 593.1 | 0.142 | 661.0 | 588.9 | 0.576 | 96.7 | 53.3 |
4Γ3 grid: Rows show different image types (Original NATIVE, Reconstructed NATIVE, Original VENOUS, Generated VENOUS), Columns show windowing techniques (No Window, Lung Window, Mediastinum Window)