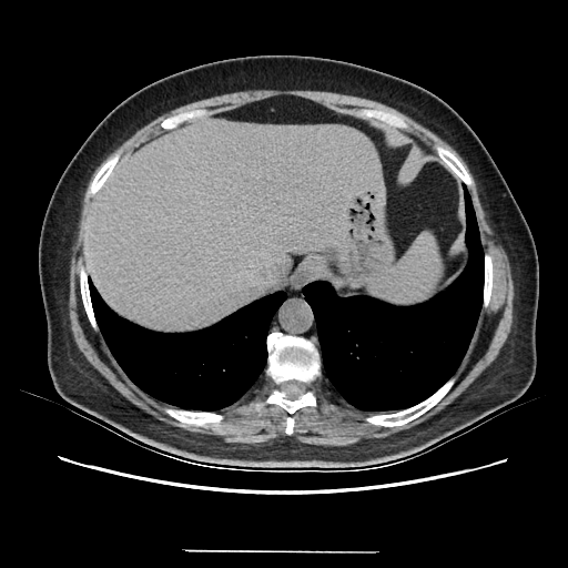
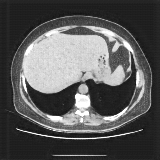
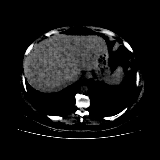
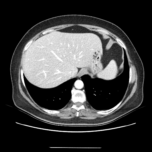
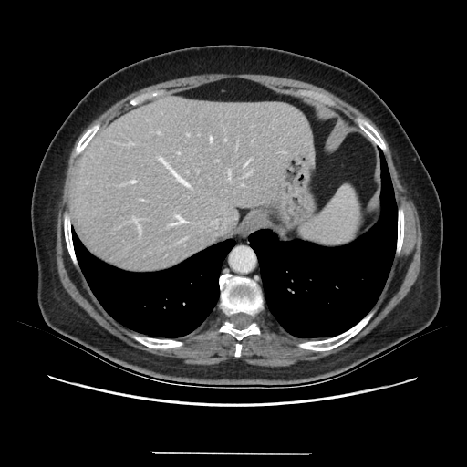
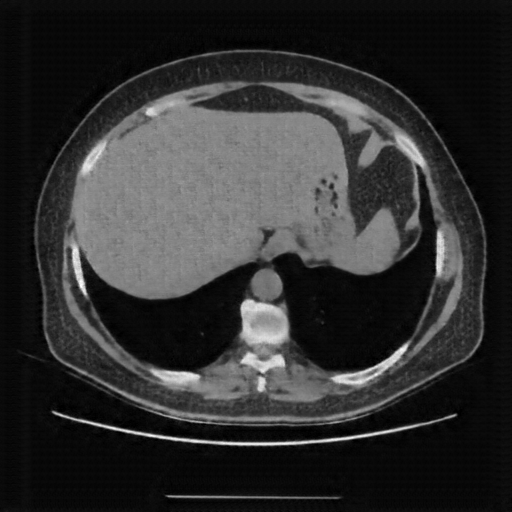
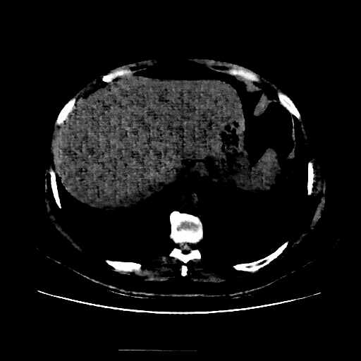
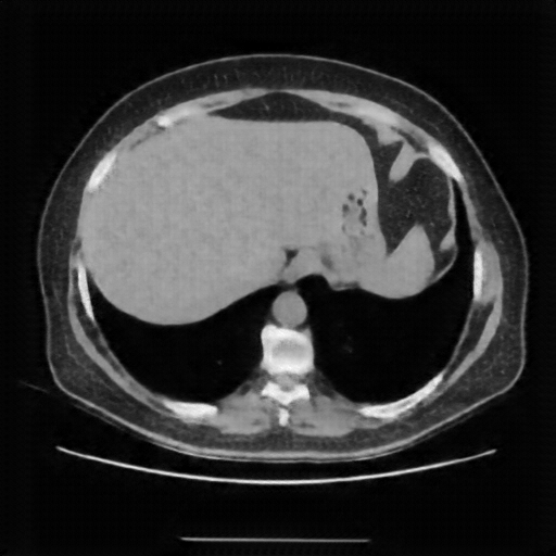
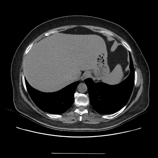
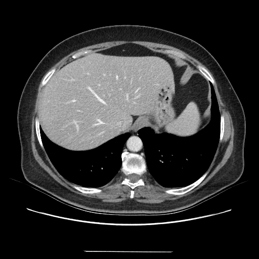
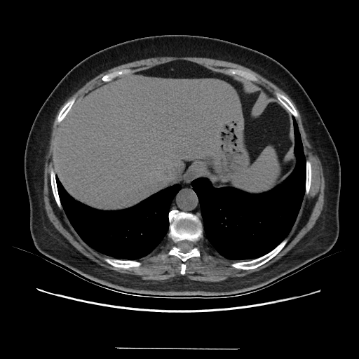
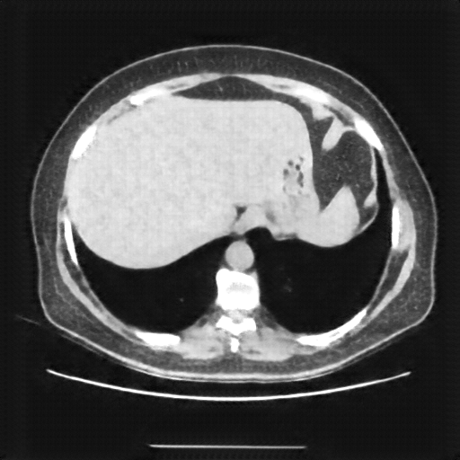
Slice 70 Targeting Evaluation
Patient ID: SV03022021
Model: cytran
Slice: Slice_70
Slice Thickness: 2.5mm
Conversion: NATIVE β VENOUS
Contains all 4 metric datasets: Network-Normalized, Hounsfield Units, Lung Window, and Mediastinum Window
| Slice ID | SSIM | RMSE | MAE | HU SSIM | HU RMSE | HU MAE | Lung SSIM | Lung RMSE | Lung MAE | Mediastinum SSIM | Mediastinum RMSE | Mediastinum MAE |
|---|---|---|---|---|---|---|---|---|---|---|---|---|
| SV03022021_slice_0 | 0.183 | 0.670 | 0.619 | 0.183 | 669.9 | 618.7 | 0.157 | 669.1 | 613.8 | 0.524 | 94.1 | 55.2 |
| SV03022021_slice_1 | 0.183 | 0.672 | 0.618 | 0.183 | 672.4 | 618.3 | 0.157 | 671.8 | 614.1 | 0.517 | 94.6 | 55.4 |
| SV03022021_slice_2 | 0.184 | 0.670 | 0.615 | 0.184 | 669.8 | 615.5 | 0.158 | 669.2 | 611.2 | 0.517 | 93.4 | 54.8 |
| SV03022021_slice_3 | 0.183 | 0.668 | 0.614 | 0.183 | 668.1 | 614.1 | 0.156 | 667.3 | 609.5 | 0.513 | 93.8 | 54.8 |
| SV03022021_slice_4 | 0.187 | 0.667 | 0.614 | 0.187 | 667.2 | 613.7 | 0.159 | 666.4 | 608.8 | 0.511 | 94.3 | 55.0 |
| SV03022021_slice_5 | 0.189 | 0.666 | 0.613 | 0.189 | 666.1 | 613.0 | 0.161 | 665.3 | 608.2 | 0.512 | 94.8 | 55.2 |
| SV03022021_slice_6 | 0.188 | 0.666 | 0.613 | 0.188 | 665.9 | 613.0 | 0.158 | 665.1 | 608.5 | 0.510 | 94.1 | 54.5 |
| SV03022021_slice_7 | 0.187 | 0.664 | 0.612 | 0.187 | 663.6 | 611.6 | 0.156 | 662.9 | 607.1 | 0.517 | 92.4 | 53.0 |
| SV03022021_slice_8 | 0.191 | 0.662 | 0.610 | 0.191 | 662.1 | 609.5 | 0.157 | 661.4 | 604.8 | 0.529 | 86.8 | 49.5 |
| SV03022021_slice_9 | 0.196 | 0.665 | 0.612 | 0.196 | 664.9 | 612.4 | 0.160 | 664.2 | 607.9 | 0.536 | 82.9 | 46.9 |
| SV03022021_slice_10 | 0.214 | 0.648 | 0.599 | 0.214 | 648.5 | 599.2 | 0.172 | 647.4 | 593.5 | 0.551 | 80.1 | 44.6 |
| SV03022021_slice_11 | 0.213 | 0.654 | 0.605 | 0.213 | 653.7 | 605.0 | 0.171 | 652.6 | 599.5 | 0.556 | 80.7 | 44.4 |
| SV03022021_slice_12 | 0.218 | 0.657 | 0.608 | 0.218 | 656.6 | 608.2 | 0.176 | 655.5 | 602.6 | 0.564 | 79.1 | 43.5 |
| SV03022021_slice_13 | 0.217 | 0.661 | 0.613 | 0.217 | 661.5 | 613.4 | 0.174 | 660.5 | 607.8 | 0.568 | 78.1 | 43.1 |
| SV03022021_slice_14 | 0.216 | 0.665 | 0.616 | 0.216 | 664.8 | 616.1 | 0.174 | 663.8 | 610.7 | 0.570 | 77.8 | 43.0 |
| SV03022021_slice_15 | 0.220 | 0.657 | 0.610 | 0.220 | 656.9 | 609.7 | 0.178 | 655.8 | 603.8 | 0.573 | 77.5 | 42.7 |
| SV03022021_slice_16 | 0.217 | 0.669 | 0.618 | 0.217 | 668.5 | 618.4 | 0.174 | 667.6 | 613.2 | 0.572 | 76.3 | 42.1 |
| SV03022021_slice_17 | 0.229 | 0.667 | 0.617 | 0.229 | 667.3 | 617.2 | 0.182 | 666.3 | 612.0 | 0.580 | 73.9 | 40.6 |
| SV03022021_slice_18 | 0.237 | 0.660 | 0.610 | 0.237 | 660.5 | 610.5 | 0.189 | 659.4 | 605.1 | 0.588 | 72.3 | 39.7 |
| SV03022021_slice_19 | 0.236 | 0.656 | 0.607 | 0.236 | 656.2 | 607.0 | 0.187 | 655.2 | 601.5 | 0.589 | 73.0 | 40.2 |
| SV03022021_slice_20 | 0.230 | 0.656 | 0.608 | 0.230 | 656.4 | 608.1 | 0.181 | 655.4 | 602.6 | 0.586 | 74.4 | 40.8 |
| SV03022021_slice_21 | 0.229 | 0.657 | 0.609 | 0.229 | 657.3 | 609.3 | 0.180 | 656.2 | 603.7 | 0.588 | 73.9 | 40.3 |
| SV03022021_slice_22 | 0.232 | 0.660 | 0.610 | 0.232 | 659.6 | 610.3 | 0.182 | 658.6 | 604.8 | 0.588 | 72.7 | 39.4 |
| SV03022021_slice_23 | 0.233 | 0.665 | 0.614 | 0.233 | 665.1 | 613.8 | 0.183 | 664.2 | 608.7 | 0.588 | 72.2 | 39.0 |
| SV03022021_slice_24 | 0.241 | 0.662 | 0.611 | 0.241 | 662.4 | 611.0 | 0.189 | 661.3 | 605.8 | 0.595 | 71.2 | 38.1 |
| SV03022021_slice_25 | 0.249 | 0.662 | 0.610 | 0.249 | 661.8 | 609.9 | 0.195 | 660.7 | 604.7 | 0.598 | 71.2 | 37.9 |
| SV03022021_slice_26 | 0.253 | 0.661 | 0.610 | 0.253 | 661.4 | 609.5 | 0.199 | 660.2 | 604.2 | 0.599 | 72.4 | 38.2 |
| SV03022021_slice_27 | 0.245 | 0.660 | 0.609 | 0.245 | 659.8 | 609.3 | 0.193 | 658.5 | 603.7 | 0.594 | 76.0 | 39.9 |
| SV03022021_slice_28 | 0.241 | 0.659 | 0.609 | 0.241 | 659.3 | 609.3 | 0.190 | 658.1 | 603.6 | 0.591 | 77.9 | 40.8 |
| SV03022021_slice_29 | 0.244 | 0.652 | 0.603 | 0.244 | 652.3 | 603.1 | 0.193 | 651.0 | 597.3 | 0.587 | 78.6 | 41.5 |
| SV03022021_slice_30 | 0.243 | 0.647 | 0.598 | 0.243 | 647.5 | 598.5 | 0.192 | 646.2 | 592.6 | 0.583 | 79.4 | 42.2 |
| SV03022021_slice_31 | 0.243 | 0.644 | 0.595 | 0.243 | 644.3 | 595.1 | 0.192 | 643.0 | 589.3 | 0.582 | 79.4 | 42.7 |
| SV03022021_slice_32 | 0.240 | 0.642 | 0.593 | 0.240 | 641.8 | 593.5 | 0.191 | 640.4 | 587.4 | 0.581 | 80.5 | 43.5 |
| SV03022021_slice_33 | 0.240 | 0.647 | 0.597 | 0.240 | 646.9 | 596.9 | 0.190 | 645.6 | 591.1 | 0.582 | 80.0 | 43.5 |
| SV03022021_slice_34 | 0.238 | 0.646 | 0.597 | 0.238 | 646.1 | 596.5 | 0.189 | 644.7 | 590.6 | 0.584 | 80.5 | 44.0 |
| SV03022021_slice_35 | 0.237 | 0.644 | 0.596 | 0.237 | 643.7 | 595.8 | 0.188 | 642.3 | 589.6 | 0.580 | 80.8 | 44.2 |
| SV03022021_slice_36 | 0.231 | 0.651 | 0.603 | 0.231 | 651.0 | 603.3 | 0.184 | 649.7 | 597.2 | 0.582 | 81.3 | 44.2 |
| SV03022021_slice_37 | 0.233 | 0.648 | 0.600 | 0.233 | 647.8 | 600.3 | 0.188 | 646.5 | 594.2 | 0.582 | 81.9 | 44.4 |
| SV03022021_slice_38 | 0.235 | 0.650 | 0.601 | 0.235 | 650.3 | 601.0 | 0.189 | 649.1 | 595.0 | 0.582 | 80.8 | 43.7 |
| SV03022021_slice_39 | 0.237 | 0.642 | 0.593 | 0.237 | 642.0 | 593.4 | 0.190 | 640.7 | 587.3 | 0.580 | 80.8 | 43.8 |
| SV03022021_slice_40 | 0.234 | 0.647 | 0.598 | 0.234 | 647.2 | 598.2 | 0.189 | 645.9 | 592.1 | 0.581 | 80.1 | 43.7 |
| SV03022021_slice_41 | 0.236 | 0.643 | 0.594 | 0.236 | 643.5 | 594.3 | 0.190 | 642.3 | 588.3 | 0.583 | 79.1 | 43.5 |
| SV03022021_slice_42 | 0.233 | 0.646 | 0.597 | 0.233 | 646.3 | 596.7 | 0.185 | 645.2 | 591.0 | 0.579 | 80.3 | 44.4 |
| SV03022021_slice_43 | 0.220 | 0.648 | 0.599 | 0.220 | 647.8 | 599.2 | 0.175 | 646.5 | 593.1 | 0.576 | 83.7 | 46.3 |
| SV03022021_slice_44 | 0.206 | 0.650 | 0.602 | 0.206 | 650.1 | 602.1 | 0.160 | 648.9 | 596.0 | 0.568 | 86.8 | 47.7 |
| SV03022021_slice_45 | 0.190 | 0.655 | 0.607 | 0.190 | 654.9 | 606.6 | 0.148 | 653.7 | 600.8 | 0.560 | 90.6 | 49.7 |
| SV03022021_slice_46 | 0.189 | 0.646 | 0.598 | 0.189 | 646.3 | 598.5 | 0.148 | 645.0 | 592.4 | 0.560 | 91.8 | 50.2 |
| SV03022021_slice_47 | 0.184 | 0.648 | 0.600 | 0.184 | 648.2 | 600.4 | 0.143 | 646.9 | 594.6 | 0.560 | 93.1 | 50.8 |
| SV03022021_slice_48 | 0.186 | 0.640 | 0.594 | 0.186 | 640.1 | 593.8 | 0.147 | 638.6 | 587.5 | 0.562 | 93.0 | 50.6 |
| SV03022021_slice_49 | 0.191 | 0.643 | 0.596 | 0.191 | 643.5 | 595.9 | 0.150 | 642.0 | 589.7 | 0.567 | 90.5 | 49.5 |
| SV03022021_slice_50 | 0.195 | 0.637 | 0.590 | 0.195 | 637.3 | 590.3 | 0.155 | 635.8 | 584.2 | 0.568 | 89.0 | 48.9 |
| SV03022021_slice_51 | 0.197 | 0.643 | 0.596 | 0.197 | 643.3 | 595.6 | 0.155 | 642.0 | 590.0 | 0.569 | 87.0 | 47.9 |
| SV03022021_slice_52 | 0.183 | 0.650 | 0.604 | 0.183 | 650.5 | 604.1 | 0.143 | 649.3 | 598.5 | 0.568 | 88.6 | 48.6 |
| SV03022021_slice_53 | 0.195 | 0.644 | 0.597 | 0.195 | 643.8 | 597.0 | 0.155 | 642.6 | 591.5 | 0.575 | 85.8 | 46.8 |
| SV03022021_slice_54 | 0.192 | 0.659 | 0.611 | 0.192 | 659.4 | 610.7 | 0.155 | 658.3 | 605.3 | 0.575 | 84.3 | 45.7 |
| SV03022021_slice_55 | 0.202 | 0.668 | 0.618 | 0.202 | 667.7 | 617.7 | 0.164 | 666.6 | 612.6 | 0.584 | 80.7 | 43.1 |
| SV03022021_slice_56 | 0.205 | 0.670 | 0.619 | 0.205 | 670.4 | 619.3 | 0.164 | 669.3 | 614.1 | 0.591 | 78.5 | 41.8 |
| SV03022021_slice_57 | 0.221 | 0.670 | 0.619 | 0.221 | 670.5 | 618.7 | 0.178 | 669.4 | 613.6 | 0.602 | 74.1 | 39.2 |
| SV03022021_slice_58 | 0.226 | 0.668 | 0.618 | 0.226 | 668.5 | 617.7 | 0.182 | 667.4 | 612.7 | 0.614 | 71.9 | 37.8 |
| SV03022021_slice_59 | 0.217 | 0.671 | 0.620 | 0.217 | 671.1 | 620.0 | 0.173 | 670.1 | 615.0 | 0.619 | 71.8 | 38.1 |
| SV03022021_slice_60 | 0.197 | 0.674 | 0.624 | 0.197 | 674.4 | 623.8 | 0.158 | 673.5 | 619.0 | 0.615 | 74.9 | 39.7 |
| SV03022021_slice_61 | 0.183 | 0.681 | 0.631 | 0.183 | 680.6 | 631.0 | 0.150 | 679.6 | 626.1 | 0.618 | 76.6 | 40.6 |
| SV03022021_slice_62 | 0.180 | 0.672 | 0.622 | 0.180 | 671.9 | 621.7 | 0.148 | 670.8 | 616.7 | 0.613 | 77.5 | 41.4 |
| SV03022021_slice_63 | 0.163 | 0.668 | 0.618 | 0.163 | 668.0 | 618.4 | 0.138 | 666.9 | 613.4 | 0.602 | 82.3 | 44.1 |
| SV03022021_slice_64 | 0.167 | 0.655 | 0.604 | 0.167 | 654.9 | 604.1 | 0.143 | 653.8 | 599.2 | 0.597 | 81.3 | 44.2 |
| SV03022021_slice_65 | 0.156 | 0.654 | 0.602 | 0.156 | 653.7 | 602.2 | 0.135 | 652.5 | 597.3 | 0.588 | 83.8 | 46.0 |
| SV03022021_slice_66 | 0.147 | 0.648 | 0.598 | 0.147 | 648.1 | 597.6 | 0.130 | 646.9 | 592.7 | 0.583 | 86.2 | 47.6 |
| SV03022021_slice_67 | 0.151 | 0.645 | 0.593 | 0.151 | 645.2 | 593.4 | 0.130 | 644.0 | 588.6 | 0.578 | 85.3 | 47.6 |
| SV03022021_slice_68 | 0.151 | 0.642 | 0.589 | 0.151 | 641.9 | 588.6 | 0.130 | 640.7 | 583.7 | 0.573 | 85.8 | 48.4 |
| SV03022021_slice_69 | 0.122 | 0.663 | 0.607 | 0.122 | 663.1 | 606.9 | 0.098 | 662.2 | 602.5 | 0.550 | 89.4 | 51.2 |
| SV03022021_slice_70 | 0.131 | 0.649 | 0.591 | 0.131 | 648.6 | 591.2 | 0.109 | 647.6 | 586.9 | 0.548 | 89.0 | 51.3 |
| SV03022021_slice_71 | 0.112 | 0.637 | 0.584 | 0.112 | 636.5 | 583.9 | 0.108 | 635.4 | 579.3 | 0.544 | 98.1 | 56.3 |
| SV03022021_slice_72 | 0.102 | 0.632 | 0.581 | 0.102 | 632.4 | 580.5 | 0.102 | 631.3 | 575.8 | 0.536 | 101.3 | 58.5 |
| SV03022021_slice_73 | 0.105 | 0.622 | 0.568 | 0.105 | 621.8 | 567.6 | 0.102 | 620.7 | 563.3 | 0.533 | 98.8 | 57.6 |
| SV03022021_slice_74 | 0.097 | 0.619 | 0.565 | 0.097 | 619.4 | 564.9 | 0.097 | 618.4 | 560.8 | 0.528 | 101.7 | 59.6 |
| SV03022021_slice_75 | 0.095 | 0.615 | 0.560 | 0.095 | 615.4 | 560.3 | 0.095 | 614.4 | 556.1 | 0.525 | 101.9 | 60.0 |
| SV03022021_slice_76 | 0.087 | 0.617 | 0.563 | 0.087 | 617.0 | 562.7 | 0.091 | 616.0 | 558.5 | 0.521 | 105.4 | 62.4 |
| SV03022021_slice_77 | 0.085 | 0.616 | 0.560 | 0.085 | 616.5 | 560.2 | 0.091 | 615.5 | 556.1 | 0.518 | 104.0 | 62.0 |
| SV03022021_slice_78 | 0.080 | 0.614 | 0.558 | 0.080 | 614.4 | 558.5 | 0.086 | 613.4 | 554.1 | 0.510 | 105.2 | 63.2 |
| SV03022021_slice_79 | 0.084 | 0.609 | 0.551 | 0.084 | 609.0 | 551.3 | 0.086 | 608.1 | 547.3 | 0.503 | 102.3 | 61.9 |
| SV03022021_slice_80 | 0.096 | 0.605 | 0.545 | 0.096 | 605.2 | 545.4 | 0.091 | 604.2 | 541.5 | 0.500 | 98.5 | 60.1 |
| SV03022021_slice_81 | 0.094 | 0.607 | 0.546 | 0.094 | 606.7 | 546.3 | 0.091 | 605.7 | 542.2 | 0.496 | 99.5 | 60.9 |
| SV03022021_slice_82 | 0.088 | 0.605 | 0.545 | 0.088 | 605.2 | 545.3 | 0.086 | 604.2 | 541.3 | 0.493 | 101.0 | 61.9 |
| SV03022021_slice_83 | 0.091 | 0.604 | 0.544 | 0.091 | 604.2 | 544.1 | 0.087 | 603.3 | 540.4 | 0.491 | 100.8 | 62.0 |
| SV03022021_slice_84 | 0.090 | 0.603 | 0.544 | 0.090 | 602.9 | 543.7 | 0.085 | 602.0 | 539.8 | 0.491 | 102.1 | 62.8 |
| SV03022021_slice_85 | 0.092 | 0.602 | 0.543 | 0.092 | 602.1 | 543.2 | 0.086 | 601.2 | 539.1 | 0.492 | 101.8 | 62.7 |
| SV03022021_slice_86 | 0.091 | 0.608 | 0.549 | 0.091 | 608.1 | 548.7 | 0.085 | 607.1 | 544.6 | 0.490 | 102.8 | 63.2 |
| SV03022021_slice_87 | 0.090 | 0.631 | 0.566 | 0.090 | 631.4 | 565.8 | 0.069 | 630.7 | 562.2 | 0.477 | 97.4 | 60.7 |
| SV03022021_slice_88 | 0.093 | 0.613 | 0.553 | 0.093 | 612.6 | 552.8 | 0.085 | 611.7 | 548.7 | 0.484 | 101.6 | 62.6 |
| SV03022021_slice_89 | 0.111 | 0.608 | 0.547 | 0.111 | 607.9 | 546.6 | 0.096 | 607.0 | 542.9 | 0.483 | 97.4 | 60.0 |
| SV03022021_slice_90 | 0.123 | 0.611 | 0.547 | 0.123 | 611.0 | 547.0 | 0.103 | 610.1 | 543.5 | 0.485 | 93.8 | 57.9 |
| SV03022021_slice_91 | 0.112 | 0.611 | 0.549 | 0.112 | 611.4 | 549.0 | 0.096 | 610.5 | 545.2 | 0.483 | 95.3 | 58.9 |
| SV03022021_slice_92 | 0.107 | 0.614 | 0.552 | 0.107 | 614.0 | 552.4 | 0.092 | 613.1 | 548.9 | 0.481 | 97.6 | 60.3 |
| SV03022021_slice_93 | 0.121 | 0.612 | 0.551 | 0.121 | 612.2 | 550.9 | 0.101 | 611.3 | 547.2 | 0.480 | 96.0 | 59.3 |
| SV03022021_slice_94 | 0.129 | 0.622 | 0.559 | 0.129 | 622.4 | 559.2 | 0.104 | 621.5 | 555.5 | 0.480 | 94.5 | 58.4 |
| SV03022021_slice_95 | 0.159 | 0.625 | 0.559 | 0.159 | 624.6 | 558.9 | 0.123 | 623.7 | 555.2 | 0.486 | 89.8 | 55.5 |
| SV03022021_slice_96 | 0.165 | 0.617 | 0.554 | 0.165 | 617.2 | 554.0 | 0.130 | 616.3 | 550.4 | 0.489 | 89.8 | 55.5 |
| SV03022021_slice_97 | 0.167 | 0.628 | 0.563 | 0.167 | 628.2 | 563.1 | 0.128 | 627.3 | 559.4 | 0.487 | 87.5 | 54.5 |
| SV03022021_slice_98 | 0.173 | 0.621 | 0.558 | 0.173 | 621.5 | 558.2 | 0.136 | 620.4 | 554.0 | 0.490 | 87.3 | 54.1 |
4Γ3 grid: Rows show different image types (Original NATIVE, Reconstructed NATIVE, Original VENOUS, Generated VENOUS), Columns show windowing techniques (No Window, Lung Window, Mediastinum Window)