GAN Medical CT Evaluation Report

Patient: CV28012021

Slice 70 Targeting Evaluation

Patient Information

Patient ID: CV28012021

Model: cytran

Slice: Slice_70

Slice Thickness: 1.5mm

Conversion: NATIVE β†’ VENOUS

πŸ“Š Download Metrics

πŸ“₯ Download CSV Metrics (patient_CV28012021_metrics.csv)

Contains all 4 metric datasets: Network-Normalized, Hounsfield Units, Lung Window, and Mediastinum Window

Native→Venous Translation Metrics (Generated Venous vs Real Venous)

Targeted Slice 70 - Network-Normalized Analysis (Generated vs Real Venous)

0.885
SSIM Score
0.092
RMSE
0.040
MAE

Average Network-Normalized Metrics Across All Slices (170 slices) - Generated vs Real Venous

0.886
SSIM Score (Avg)
0.097
RMSE (Avg)
0.041
MAE (Avg)

Targeted Slice 70 - HU-Space Analysis (Generated vs Real Venous)

0.885
HU SSIM
91.7
HU RMSE
40.0
HU MAE

Average HU-Space Metrics Across All Slices (170 slices) - Generated vs Real Venous

0.886
HU SSIM (Avg)
96.8
HU RMSE (Avg)
41.0
HU MAE (Avg)

Targeted Slice 70 - Lung Window Analysis (Generated vs Real Venous)

0.763
Lung SSIM
85.0
Lung RMSE
36.7
Lung MAE

Average Lung Window Metrics Across All Slices (170 slices) - Generated vs Real Venous

0.767
Lung SSIM (Avg)
89.5
Lung RMSE (Avg)
37.4
Lung MAE (Avg)

Targeted Slice 70 - Mediastinum Window Analysis (Generated vs Real Venous)

0.741
Mediastinum SSIM
34.8
Mediastinum RMSE
13.6
Mediastinum MAE

Average Mediastinum Window Metrics Across All Slices (170 slices) - Generated vs Real Venous

0.728
Mediastinum SSIM (Avg)
35.8
Mediastinum RMSE (Avg)
14.6
Mediastinum MAE (Avg)

Image Grid

4Γ—3 grid: Rows show different image types (Original NATIVE, Reconstructed NATIVE, Original VENOUS, Generated VENOUS), Columns show windowing techniques (No Window, Lung Window, Mediastinum Window)

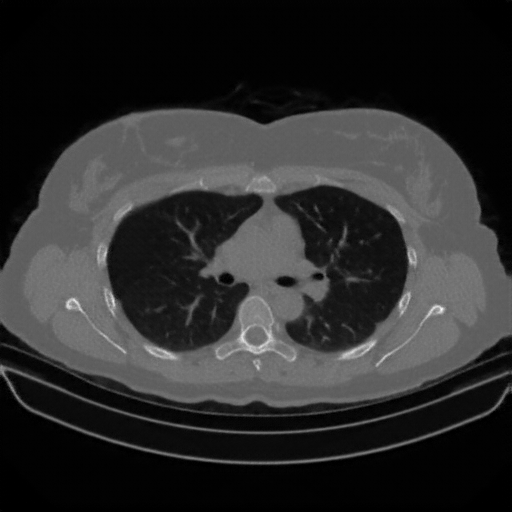
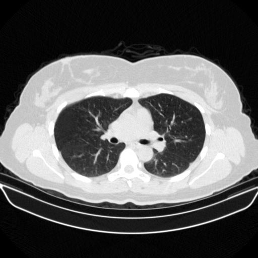
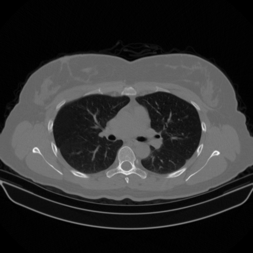
Original NATIVE CT scan (input)
Full window (WL 1023.5, WW 4095 β†’ Low βˆ’1024, High +3071)
Original NATIVE CT scan (input)
Actual HU range: [-1024.0, 1296.0]
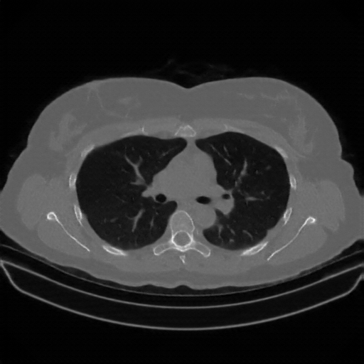
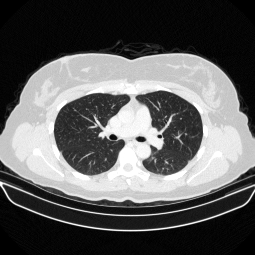
Original NATIVE CT scan (input)
Lung window (WL -600, WW 1500 β†’ Low βˆ’1350, High +150)
Original NATIVE CT scan (input)
Actual HU range: [-1024.0, 150.0]
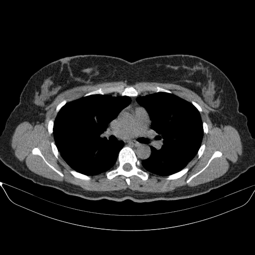
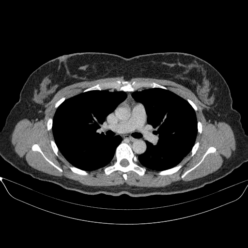
Original NATIVE CT scan (input)
Mediastinum window (WL 40, WW 400 β†’ Low βˆ’160, High +240)
Original NATIVE CT scan (input)
Actual HU range: [-160.0, 240.0]
Reconstructed NATIVE CT scan (cycle consistency)
Full window (WL 1023.5, WW 4095 β†’ Low βˆ’1024, High +3071)
Reconstructed NATIVE CT scan (cycle consistency)
Actual HU range: [-1024.0, 1467.2]
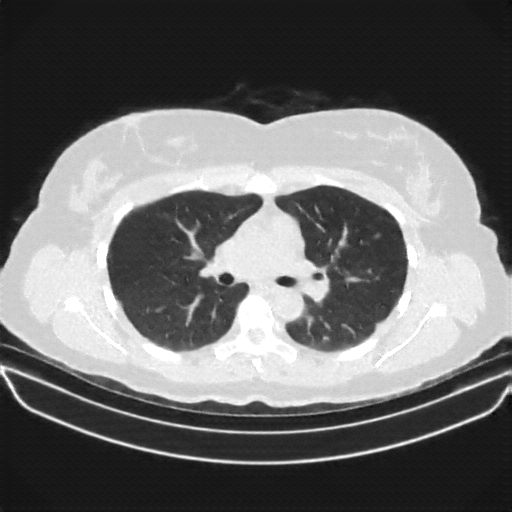
Reconstructed NATIVE CT scan (cycle consistency)
Lung window (WL -600, WW 1500 β†’ Low βˆ’1350, High +150)
Reconstructed NATIVE CT scan (cycle consistency)
Actual HU range: [-1123.5, 150.0]
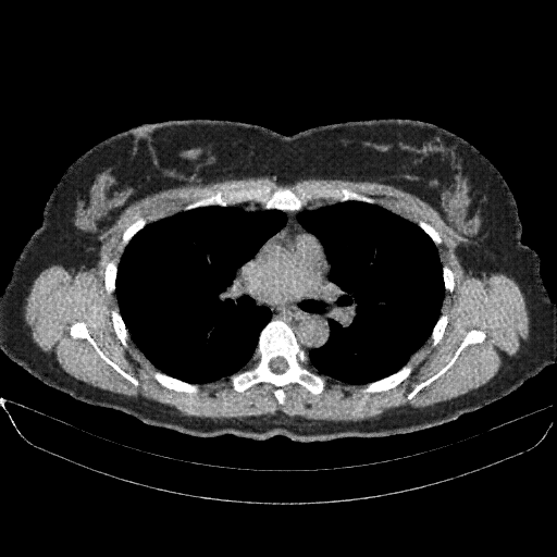
Reconstructed NATIVE CT scan (cycle consistency)
Mediastinum window (WL 40, WW 400 β†’ Low βˆ’160, High +240)
Reconstructed NATIVE CT scan (cycle consistency)
Actual HU range: [-160.0, 240.0]
Original VENOUS CT scan
Full window (WL 1023.5, WW 4095 β†’ Low βˆ’1024, High +3071)
Original VENOUS CT scan
Actual HU range: [-1024.0, 1298.0]
Original VENOUS CT scan
Lung window (WL -600, WW 1500 β†’ Low βˆ’1350, High +150)
Original VENOUS CT scan
Actual HU range: [-1024.0, 150.0]
Original VENOUS CT scan
Mediastinum window (WL 40, WW 400 β†’ Low βˆ’160, High +240)
Original VENOUS CT scan
Actual HU range: [-160.0, 240.0]
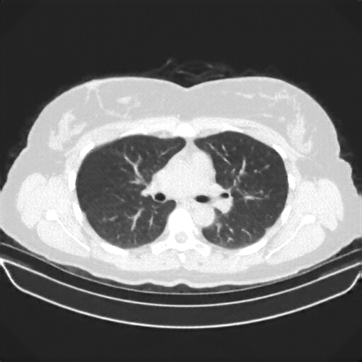
Generated VENOUS CT scan (A→B translation)
Full window (WL 1023.5, WW 4095 β†’ Low βˆ’1024, High +3071)
Generated VENOUS CT scan (A→B translation)
Actual HU range: [-1024.0, 1442.8]
Generated VENOUS CT scan (A→B translation)
Lung window (WL -600, WW 1500 β†’ Low βˆ’1350, High +150)
Generated VENOUS CT scan (A→B translation)
Actual HU range: [-1193.4, 150.0]
Generated VENOUS CT scan (A→B translation)
Mediastinum window (WL 40, WW 400 β†’ Low βˆ’160, High +240)
Generated VENOUS CT scan (A→B translation)
Actual HU range: [-160.0, 240.0]

Windowing Parameters