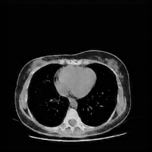
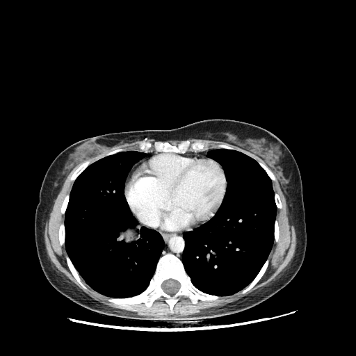
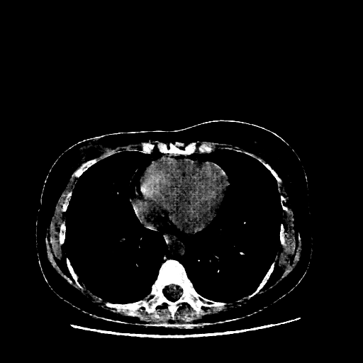
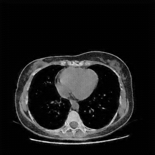
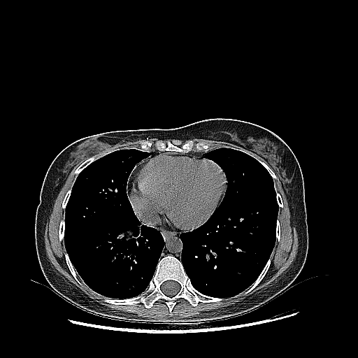
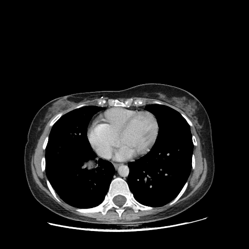
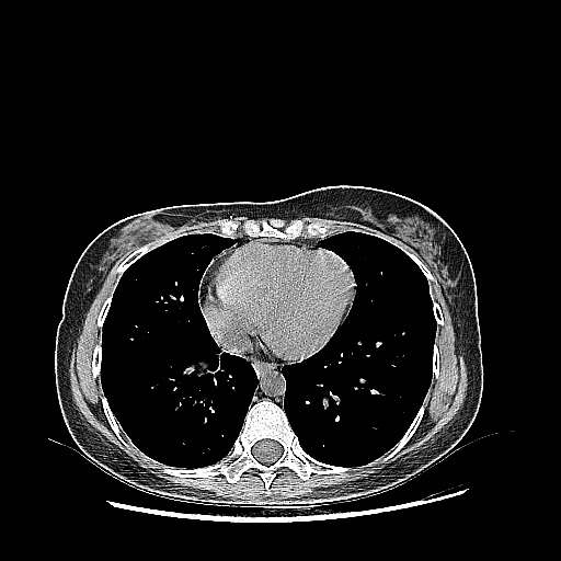
Slice 70 Targeting Evaluation
Patient ID: BMG07082017
Model: cytran
Slice: Slice_70
Slice Thickness: 2.5mm
Conversion: NATIVE β VENOUS
Contains all 4 metric datasets: Network-Normalized, Hounsfield Units, Lung Window, and Mediastinum Window
| Slice ID | SSIM | RMSE | MAE | HU SSIM | HU RMSE | HU MAE | Lung SSIM | Lung RMSE | Lung MAE | Mediastinum SSIM | Mediastinum RMSE | Mediastinum MAE |
|---|---|---|---|---|---|---|---|---|---|---|---|---|
| BMG07082017_slice_0 | 0.203 | 0.736 | 0.684 | 0.204 | 734.4 | 683.1 | 0.184 | 735.3 | 680.0 | 0.676 | 76.5 | 36.3 |
| BMG07082017_slice_1 | 0.203 | 0.737 | 0.686 | 0.204 | 735.3 | 684.2 | 0.184 | 736.6 | 681.6 | 0.675 | 77.4 | 36.7 |
| BMG07082017_slice_2 | 0.203 | 0.736 | 0.684 | 0.204 | 734.6 | 682.5 | 0.183 | 735.6 | 679.8 | 0.674 | 77.5 | 36.6 |
| BMG07082017_slice_3 | 0.200 | 0.739 | 0.687 | 0.201 | 737.3 | 685.5 | 0.181 | 738.7 | 683.4 | 0.674 | 78.0 | 37.0 |
| BMG07082017_slice_4 | 0.200 | 0.738 | 0.686 | 0.201 | 736.3 | 684.6 | 0.182 | 737.1 | 681.7 | 0.677 | 78.4 | 36.9 |
| BMG07082017_slice_5 | 0.200 | 0.739 | 0.688 | 0.201 | 737.7 | 686.6 | 0.183 | 738.3 | 683.5 | 0.678 | 79.8 | 37.3 |
| BMG07082017_slice_6 | 0.200 | 0.738 | 0.687 | 0.201 | 736.7 | 686.0 | 0.181 | 736.9 | 682.3 | 0.679 | 77.9 | 36.4 |
| BMG07082017_slice_7 | 0.204 | 0.735 | 0.685 | 0.204 | 734.6 | 684.1 | 0.182 | 734.5 | 680.2 | 0.683 | 76.3 | 35.4 |
| BMG07082017_slice_8 | 0.208 | 0.735 | 0.685 | 0.208 | 734.6 | 684.4 | 0.185 | 734.4 | 680.1 | 0.690 | 75.4 | 34.7 |
| BMG07082017_slice_9 | 0.205 | 0.736 | 0.686 | 0.205 | 735.4 | 685.7 | 0.183 | 735.1 | 681.4 | 0.691 | 77.2 | 35.4 |
| BMG07082017_slice_10 | 0.203 | 0.736 | 0.686 | 0.203 | 735.2 | 685.7 | 0.183 | 734.7 | 681.2 | 0.690 | 79.4 | 36.3 |
| BMG07082017_slice_11 | 0.199 | 0.740 | 0.690 | 0.200 | 738.9 | 689.3 | 0.182 | 738.6 | 685.2 | 0.689 | 79.8 | 36.5 |
| BMG07082017_slice_12 | 0.199 | 0.742 | 0.693 | 0.199 | 741.4 | 692.0 | 0.183 | 741.2 | 688.1 | 0.690 | 80.2 | 36.5 |
| BMG07082017_slice_13 | 0.199 | 0.741 | 0.692 | 0.199 | 740.2 | 691.8 | 0.183 | 739.7 | 687.4 | 0.692 | 79.7 | 35.9 |
| BMG07082017_slice_14 | 0.201 | 0.742 | 0.694 | 0.202 | 741.6 | 693.9 | 0.185 | 741.1 | 689.4 | 0.695 | 78.6 | 35.0 |
| BMG07082017_slice_15 | 0.200 | 0.753 | 0.705 | 0.201 | 751.2 | 703.3 | 0.185 | 751.9 | 700.4 | 0.696 | 79.5 | 35.2 |
| BMG07082017_slice_16 | 0.202 | 0.754 | 0.706 | 0.203 | 752.0 | 705.2 | 0.185 | 752.4 | 701.8 | 0.700 | 79.6 | 35.0 |
| BMG07082017_slice_17 | 0.207 | 0.750 | 0.703 | 0.207 | 749.3 | 702.6 | 0.188 | 748.9 | 698.5 | 0.708 | 77.5 | 33.8 |
| BMG07082017_slice_18 | 0.212 | 0.746 | 0.699 | 0.213 | 745.7 | 698.8 | 0.190 | 745.2 | 694.4 | 0.717 | 74.5 | 32.0 |
| BMG07082017_slice_19 | 0.214 | 0.753 | 0.705 | 0.215 | 751.9 | 704.5 | 0.191 | 752.0 | 701.1 | 0.721 | 73.5 | 31.3 |
| BMG07082017_slice_20 | 0.217 | 0.750 | 0.703 | 0.218 | 749.5 | 702.7 | 0.194 | 749.4 | 698.9 | 0.725 | 71.9 | 30.3 |
| BMG07082017_slice_21 | 0.222 | 0.752 | 0.706 | 0.223 | 751.5 | 705.1 | 0.196 | 751.4 | 701.1 | 0.730 | 69.6 | 28.9 |
| BMG07082017_slice_22 | 0.232 | 0.750 | 0.703 | 0.232 | 748.9 | 702.6 | 0.201 | 748.4 | 698.2 | 0.739 | 66.3 | 27.0 |
| BMG07082017_slice_23 | 0.233 | 0.754 | 0.707 | 0.234 | 752.9 | 706.5 | 0.202 | 752.8 | 702.7 | 0.744 | 64.8 | 26.2 |
| BMG07082017_slice_24 | 0.239 | 0.749 | 0.704 | 0.240 | 748.8 | 703.4 | 0.206 | 748.1 | 699.0 | 0.747 | 63.4 | 25.4 |
| BMG07082017_slice_25 | 0.244 | 0.748 | 0.703 | 0.244 | 747.7 | 702.3 | 0.208 | 746.9 | 697.7 | 0.752 | 61.8 | 24.5 |
| BMG07082017_slice_26 | 0.238 | 0.753 | 0.708 | 0.238 | 752.1 | 707.9 | 0.204 | 751.5 | 703.3 | 0.752 | 63.3 | 25.0 |
| BMG07082017_slice_27 | 0.239 | 0.753 | 0.709 | 0.239 | 752.8 | 708.1 | 0.204 | 752.2 | 703.8 | 0.754 | 63.1 | 24.7 |
| BMG07082017_slice_28 | 0.235 | 0.759 | 0.714 | 0.236 | 757.9 | 713.2 | 0.203 | 757.8 | 709.4 | 0.756 | 64.0 | 24.8 |
| BMG07082017_slice_29 | 0.238 | 0.757 | 0.712 | 0.239 | 756.3 | 711.4 | 0.204 | 756.1 | 707.3 | 0.760 | 63.2 | 24.3 |
| BMG07082017_slice_30 | 0.245 | 0.755 | 0.711 | 0.245 | 754.7 | 710.2 | 0.210 | 754.2 | 706.0 | 0.765 | 62.7 | 23.9 |
| BMG07082017_slice_31 | 0.247 | 0.755 | 0.711 | 0.247 | 754.7 | 710.6 | 0.213 | 754.4 | 706.5 | 0.767 | 62.0 | 23.6 |
| BMG07082017_slice_32 | 0.248 | 0.758 | 0.713 | 0.249 | 756.8 | 711.9 | 0.214 | 756.8 | 708.3 | 0.769 | 60.3 | 23.0 |
| BMG07082017_slice_33 | 0.247 | 0.760 | 0.715 | 0.248 | 758.8 | 713.9 | 0.213 | 759.0 | 710.6 | 0.766 | 60.1 | 22.9 |
| BMG07082017_slice_34 | 0.247 | 0.757 | 0.712 | 0.248 | 755.9 | 711.5 | 0.212 | 755.7 | 707.8 | 0.766 | 60.5 | 23.1 |
| BMG07082017_slice_35 | 0.245 | 0.758 | 0.714 | 0.246 | 757.3 | 713.4 | 0.210 | 757.2 | 709.8 | 0.764 | 61.1 | 23.2 |
| BMG07082017_slice_36 | 0.250 | 0.751 | 0.707 | 0.251 | 751.0 | 706.8 | 0.212 | 750.5 | 702.7 | 0.768 | 60.1 | 22.5 |
| BMG07082017_slice_37 | 0.245 | 0.754 | 0.710 | 0.246 | 753.1 | 709.3 | 0.212 | 752.6 | 705.1 | 0.766 | 61.9 | 23.3 |
| BMG07082017_slice_38 | 0.242 | 0.755 | 0.711 | 0.242 | 754.6 | 710.9 | 0.209 | 754.3 | 707.1 | 0.763 | 62.3 | 23.5 |
| BMG07082017_slice_39 | 0.243 | 0.752 | 0.709 | 0.244 | 751.8 | 708.3 | 0.208 | 751.3 | 704.0 | 0.764 | 63.1 | 23.7 |
| BMG07082017_slice_40 | 0.247 | 0.752 | 0.707 | 0.247 | 751.2 | 706.7 | 0.211 | 750.8 | 702.5 | 0.764 | 61.7 | 23.1 |
| BMG07082017_slice_41 | 0.248 | 0.755 | 0.710 | 0.249 | 754.7 | 709.9 | 0.214 | 754.4 | 706.1 | 0.765 | 62.0 | 23.2 |
| BMG07082017_slice_42 | 0.249 | 0.754 | 0.708 | 0.250 | 752.9 | 707.6 | 0.212 | 752.5 | 703.6 | 0.763 | 61.1 | 23.0 |
| BMG07082017_slice_43 | 0.249 | 0.746 | 0.702 | 0.250 | 746.1 | 701.4 | 0.211 | 745.4 | 697.2 | 0.764 | 60.6 | 23.1 |
| BMG07082017_slice_44 | 0.242 | 0.761 | 0.716 | 0.243 | 759.7 | 714.5 | 0.210 | 760.1 | 711.8 | 0.760 | 63.8 | 24.3 |
| BMG07082017_slice_45 | 0.250 | 0.750 | 0.707 | 0.250 | 750.0 | 706.7 | 0.216 | 749.2 | 702.5 | 0.766 | 61.6 | 23.4 |
| BMG07082017_slice_46 | 0.248 | 0.754 | 0.712 | 0.248 | 753.7 | 711.4 | 0.215 | 753.0 | 707.0 | 0.768 | 64.3 | 24.2 |
| BMG07082017_slice_47 | 0.249 | 0.757 | 0.714 | 0.250 | 756.0 | 713.3 | 0.215 | 755.5 | 709.1 | 0.764 | 64.3 | 24.1 |
| BMG07082017_slice_48 | 0.248 | 0.755 | 0.714 | 0.248 | 755.0 | 713.3 | 0.216 | 754.2 | 708.6 | 0.763 | 65.8 | 24.8 |
| BMG07082017_slice_49 | 0.243 | 0.755 | 0.714 | 0.243 | 754.9 | 713.4 | 0.213 | 754.2 | 708.8 | 0.762 | 67.5 | 25.6 |
| BMG07082017_slice_50 | 0.250 | 0.752 | 0.710 | 0.250 | 751.7 | 709.5 | 0.217 | 750.9 | 704.7 | 0.766 | 66.1 | 24.9 |
| BMG07082017_slice_51 | 0.254 | 0.756 | 0.714 | 0.254 | 755.2 | 713.3 | 0.221 | 754.3 | 708.5 | 0.765 | 65.2 | 24.6 |
| BMG07082017_slice_52 | 0.255 | 0.755 | 0.712 | 0.255 | 754.7 | 712.0 | 0.220 | 753.9 | 707.3 | 0.771 | 63.1 | 23.5 |
| BMG07082017_slice_53 | 0.249 | 0.765 | 0.721 | 0.250 | 763.6 | 720.0 | 0.216 | 764.1 | 716.8 | 0.766 | 62.0 | 23.4 |
| BMG07082017_slice_54 | 0.253 | 0.761 | 0.718 | 0.254 | 760.4 | 716.9 | 0.219 | 760.4 | 713.3 | 0.766 | 60.5 | 22.9 |
| BMG07082017_slice_55 | 0.256 | 0.759 | 0.716 | 0.257 | 758.2 | 715.4 | 0.221 | 757.8 | 711.3 | 0.768 | 60.7 | 23.1 |
| BMG07082017_slice_56 | 0.247 | 0.763 | 0.721 | 0.248 | 762.2 | 720.2 | 0.215 | 762.2 | 716.4 | 0.766 | 62.5 | 24.0 |
| BMG07082017_slice_57 | 0.252 | 0.759 | 0.716 | 0.253 | 758.3 | 715.0 | 0.217 | 758.0 | 711.0 | 0.767 | 61.9 | 23.5 |
| BMG07082017_slice_58 | 0.244 | 0.761 | 0.718 | 0.245 | 759.9 | 717.5 | 0.212 | 759.6 | 713.3 | 0.760 | 65.6 | 25.2 |
| BMG07082017_slice_59 | 0.242 | 0.759 | 0.717 | 0.243 | 758.3 | 716.2 | 0.211 | 758.0 | 712.1 | 0.760 | 66.4 | 25.4 |
| BMG07082017_slice_60 | 0.242 | 0.755 | 0.712 | 0.243 | 754.5 | 711.9 | 0.210 | 754.0 | 707.6 | 0.762 | 67.4 | 25.8 |
| BMG07082017_slice_61 | 0.242 | 0.755 | 0.712 | 0.243 | 754.6 | 711.2 | 0.210 | 754.1 | 706.8 | 0.762 | 67.6 | 25.9 |
| BMG07082017_slice_62 | 0.240 | 0.758 | 0.714 | 0.241 | 757.2 | 712.8 | 0.209 | 757.1 | 709.1 | 0.758 | 67.8 | 26.0 |
| BMG07082017_slice_63 | 0.241 | 0.754 | 0.710 | 0.242 | 753.3 | 709.1 | 0.209 | 752.8 | 704.9 | 0.760 | 67.4 | 26.0 |
| BMG07082017_slice_64 | 0.240 | 0.758 | 0.713 | 0.240 | 756.9 | 712.7 | 0.209 | 756.6 | 709.0 | 0.758 | 66.8 | 26.0 |
| BMG07082017_slice_65 | 0.244 | 0.755 | 0.712 | 0.244 | 754.9 | 711.1 | 0.211 | 754.3 | 707.1 | 0.759 | 65.7 | 25.5 |
| BMG07082017_slice_66 | 0.243 | 0.758 | 0.714 | 0.244 | 757.2 | 713.8 | 0.211 | 756.7 | 709.9 | 0.760 | 64.9 | 25.2 |
| BMG07082017_slice_67 | 0.254 | 0.754 | 0.709 | 0.254 | 753.1 | 708.5 | 0.216 | 752.5 | 704.5 | 0.766 | 62.3 | 23.8 |
| BMG07082017_slice_68 | 0.241 | 0.756 | 0.714 | 0.242 | 755.6 | 713.2 | 0.210 | 754.9 | 708.7 | 0.765 | 64.9 | 25.2 |
| BMG07082017_slice_69 | 0.231 | 0.762 | 0.719 | 0.232 | 760.8 | 718.5 | 0.204 | 760.6 | 714.7 | 0.764 | 65.8 | 25.4 |
| BMG07082017_slice_70 | 0.233 | 0.761 | 0.719 | 0.234 | 760.5 | 717.9 | 0.204 | 760.4 | 714.0 | 0.766 | 64.9 | 25.1 |
| BMG07082017_slice_71 | 0.238 | 0.760 | 0.717 | 0.238 | 758.7 | 716.0 | 0.205 | 758.4 | 711.9 | 0.768 | 63.8 | 24.6 |
| BMG07082017_slice_72 | 0.248 | 0.759 | 0.716 | 0.249 | 758.1 | 715.3 | 0.211 | 757.8 | 711.2 | 0.770 | 61.6 | 23.5 |
| BMG07082017_slice_73 | 0.253 | 0.760 | 0.717 | 0.253 | 759.2 | 716.3 | 0.215 | 758.9 | 712.3 | 0.773 | 59.8 | 22.8 |
| BMG07082017_slice_74 | 0.253 | 0.762 | 0.720 | 0.254 | 761.2 | 719.0 | 0.217 | 761.1 | 715.2 | 0.776 | 60.3 | 22.9 |
| BMG07082017_slice_75 | 0.253 | 0.764 | 0.722 | 0.253 | 762.7 | 720.9 | 0.218 | 762.6 | 717.1 | 0.780 | 60.3 | 22.8 |
| BMG07082017_slice_76 | 0.250 | 0.760 | 0.720 | 0.250 | 759.2 | 719.1 | 0.215 | 758.5 | 714.7 | 0.781 | 61.7 | 23.2 |
| BMG07082017_slice_77 | 0.255 | 0.765 | 0.724 | 0.255 | 764.3 | 723.0 | 0.219 | 763.9 | 719.1 | 0.780 | 61.8 | 23.1 |
| BMG07082017_slice_78 | 0.245 | 0.762 | 0.722 | 0.246 | 761.8 | 721.7 | 0.213 | 761.1 | 717.2 | 0.772 | 65.9 | 25.2 |
| BMG07082017_slice_79 | 0.236 | 0.766 | 0.726 | 0.237 | 764.9 | 725.0 | 0.210 | 764.7 | 721.0 | 0.769 | 67.4 | 26.1 |
| BMG07082017_slice_80 | 0.256 | 0.755 | 0.713 | 0.257 | 754.7 | 712.8 | 0.224 | 753.9 | 708.3 | 0.771 | 64.1 | 24.3 |
| BMG07082017_slice_81 | 0.246 | 0.760 | 0.716 | 0.247 | 759.7 | 715.9 | 0.218 | 759.4 | 712.1 | 0.756 | 66.3 | 26.3 |
| BMG07082017_slice_82 | 0.242 | 0.750 | 0.703 | 0.242 | 749.8 | 703.2 | 0.213 | 749.1 | 698.9 | 0.742 | 69.9 | 28.6 |
| BMG07082017_slice_83 | 0.230 | 0.743 | 0.694 | 0.230 | 742.5 | 693.9 | 0.204 | 741.7 | 689.7 | 0.728 | 73.3 | 31.0 |
| BMG07082017_slice_84 | 0.228 | 0.739 | 0.687 | 0.228 | 738.5 | 687.0 | 0.201 | 737.8 | 683.0 | 0.716 | 73.4 | 31.6 |
| BMG07082017_slice_85 | 0.221 | 0.731 | 0.678 | 0.222 | 730.8 | 677.8 | 0.195 | 730.0 | 673.8 | 0.709 | 74.1 | 32.6 |
| BMG07082017_slice_86 | 0.216 | 0.727 | 0.672 | 0.216 | 726.4 | 671.7 | 0.192 | 725.5 | 667.8 | 0.701 | 75.2 | 33.7 |
| BMG07082017_slice_87 | 0.185 | 0.734 | 0.678 | 0.185 | 733.2 | 677.9 | 0.174 | 732.8 | 674.8 | 0.691 | 79.4 | 37.0 |
| BMG07082017_slice_88 | 0.217 | 0.723 | 0.663 | 0.218 | 722.9 | 662.5 | 0.192 | 722.4 | 659.5 | 0.693 | 74.0 | 33.9 |
| BMG07082017_slice_89 | 0.180 | 0.729 | 0.670 | 0.181 | 728.4 | 669.3 | 0.169 | 728.1 | 666.5 | 0.680 | 79.6 | 38.0 |
| BMG07082017_slice_90 | 0.160 | 0.727 | 0.669 | 0.160 | 726.9 | 668.5 | 0.158 | 726.6 | 665.7 | 0.675 | 84.1 | 40.5 |
| BMG07082017_slice_91 | 0.167 | 0.721 | 0.662 | 0.167 | 721.1 | 661.6 | 0.163 | 720.6 | 658.7 | 0.674 | 84.7 | 40.8 |
| BMG07082017_slice_92 | 0.161 | 0.719 | 0.660 | 0.161 | 718.7 | 659.4 | 0.161 | 718.1 | 656.2 | 0.669 | 87.4 | 42.5 |
| BMG07082017_slice_93 | 0.175 | 0.714 | 0.653 | 0.176 | 713.5 | 653.0 | 0.170 | 712.7 | 649.4 | 0.672 | 85.7 | 41.4 |
| BMG07082017_slice_94 | 0.185 | 0.708 | 0.647 | 0.185 | 707.8 | 646.8 | 0.175 | 707.0 | 643.2 | 0.674 | 84.1 | 40.5 |
| BMG07082017_slice_95 | 0.174 | 0.714 | 0.654 | 0.174 | 713.7 | 653.5 | 0.170 | 713.0 | 649.9 | 0.674 | 86.0 | 41.7 |
| BMG07082017_slice_96 | 0.179 | 0.712 | 0.652 | 0.179 | 711.6 | 651.4 | 0.172 | 710.7 | 647.5 | 0.673 | 86.0 | 41.7 |
| BMG07082017_slice_97 | 0.191 | 0.714 | 0.653 | 0.191 | 714.1 | 652.9 | 0.178 | 713.3 | 649.1 | 0.675 | 84.5 | 40.6 |
| BMG07082017_slice_98 | 0.161 | 0.727 | 0.666 | 0.162 | 726.4 | 665.2 | 0.161 | 726.8 | 663.0 | 0.674 | 86.8 | 42.5 |
| BMG07082017_slice_99 | 0.219 | 0.716 | 0.651 | 0.219 | 715.5 | 650.7 | 0.195 | 715.0 | 647.7 | 0.683 | 80.1 | 37.7 |
| BMG07082017_slice_100 | 0.214 | 0.716 | 0.652 | 0.215 | 715.6 | 651.9 | 0.192 | 714.9 | 648.6 | 0.681 | 81.5 | 38.4 |
| BMG07082017_slice_101 | 0.199 | 0.717 | 0.655 | 0.200 | 716.3 | 655.0 | 0.185 | 715.6 | 651.1 | 0.679 | 84.7 | 40.1 |
| BMG07082017_slice_102 | 0.199 | 0.716 | 0.655 | 0.199 | 715.9 | 654.7 | 0.184 | 715.3 | 651.1 | 0.680 | 84.6 | 39.9 |
4Γ3 grid: Rows show different image types (Original NATIVE, Reconstructed NATIVE, Original VENOUS, Generated VENOUS), Columns show windowing techniques (No Window, Lung Window, Mediastinum Window)