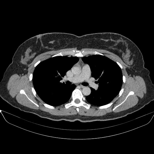
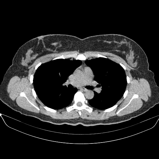
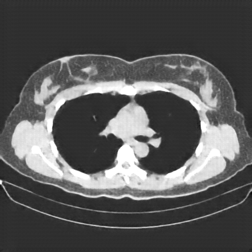
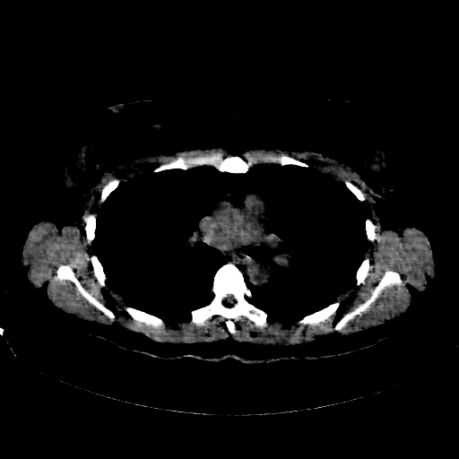
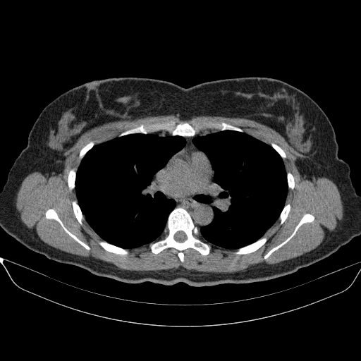
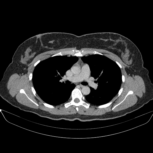
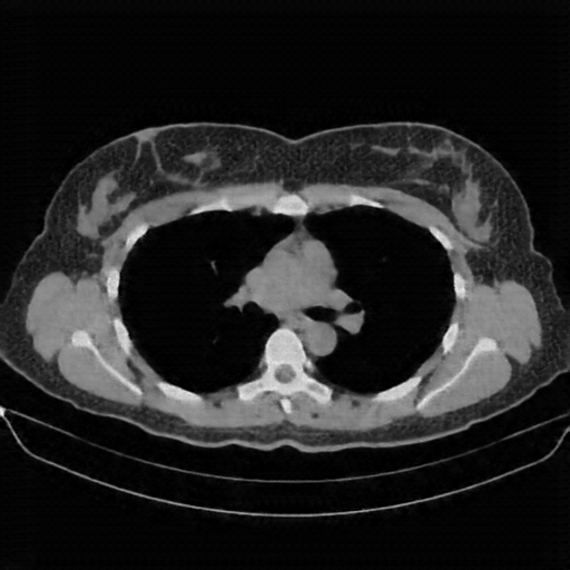
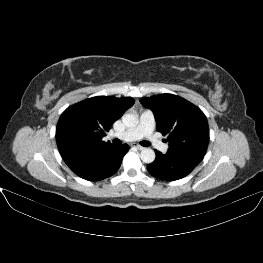
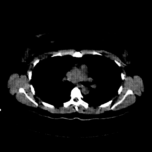
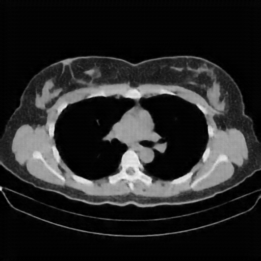
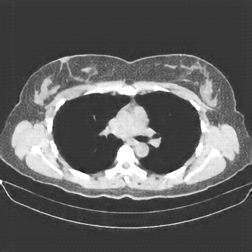
Slice 70 Targeting Evaluation
Patient ID: CV28012021
Model: cytran
Slice: Slice_70
Slice Thickness: 1.5mm
Conversion: NATIVE β VENOUS
Contains all 4 metric datasets: Network-Normalized, Hounsfield Units, Lung Window, and Mediastinum Window
| Slice ID | SSIM | RMSE | MAE | HU SSIM | HU RMSE | HU MAE | Lung SSIM | Lung RMSE | Lung MAE | Mediastinum SSIM | Mediastinum RMSE | Mediastinum MAE |
|---|---|---|---|---|---|---|---|---|---|---|---|---|
| CV28012021_slice_0 | 0.197 | 0.715 | 0.672 | 0.197 | 715.1 | 671.7 | 0.177 | 714.2 | 665.6 | 0.642 | 81.5 | 41.0 |
| CV28012021_slice_1 | 0.195 | 0.720 | 0.676 | 0.195 | 720.0 | 676.0 | 0.176 | 719.2 | 670.1 | 0.639 | 82.7 | 41.7 |
| CV28012021_slice_2 | 0.194 | 0.724 | 0.679 | 0.194 | 723.9 | 678.6 | 0.174 | 723.5 | 673.5 | 0.636 | 82.8 | 41.8 |
| CV28012021_slice_3 | 0.195 | 0.724 | 0.679 | 0.195 | 723.7 | 679.0 | 0.175 | 723.2 | 673.7 | 0.636 | 82.4 | 41.8 |
| CV28012021_slice_4 | 0.196 | 0.723 | 0.678 | 0.196 | 722.3 | 677.3 | 0.174 | 721.8 | 672.1 | 0.636 | 81.5 | 41.4 |
| CV28012021_slice_5 | 0.195 | 0.722 | 0.676 | 0.196 | 721.3 | 675.3 | 0.173 | 720.8 | 670.2 | 0.632 | 81.2 | 41.4 |
| CV28012021_slice_6 | 0.197 | 0.722 | 0.676 | 0.197 | 721.8 | 675.4 | 0.176 | 721.3 | 670.8 | 0.629 | 82.6 | 42.1 |
| CV28012021_slice_7 | 0.198 | 0.724 | 0.678 | 0.198 | 723.8 | 677.6 | 0.177 | 723.5 | 673.0 | 0.627 | 84.2 | 42.8 |
| CV28012021_slice_8 | 0.200 | 0.724 | 0.678 | 0.200 | 723.8 | 677.7 | 0.179 | 723.5 | 673.4 | 0.627 | 86.0 | 43.8 |
| CV28012021_slice_9 | 0.201 | 0.725 | 0.679 | 0.201 | 724.3 | 678.3 | 0.181 | 723.9 | 674.1 | 0.625 | 86.9 | 44.2 |
| CV28012021_slice_10 | 0.201 | 0.727 | 0.680 | 0.201 | 726.3 | 679.5 | 0.181 | 726.1 | 675.7 | 0.622 | 88.0 | 44.6 |
| CV28012021_slice_11 | 0.203 | 0.727 | 0.679 | 0.203 | 726.2 | 678.9 | 0.184 | 726.1 | 675.2 | 0.621 | 88.1 | 44.5 |
| CV28012021_slice_12 | 0.203 | 0.726 | 0.677 | 0.203 | 725.2 | 677.0 | 0.184 | 725.0 | 673.0 | 0.620 | 87.3 | 44.2 |
| CV28012021_slice_13 | 0.202 | 0.728 | 0.680 | 0.202 | 727.8 | 679.4 | 0.184 | 727.7 | 675.7 | 0.621 | 87.7 | 44.5 |
| CV28012021_slice_14 | 0.201 | 0.727 | 0.679 | 0.202 | 726.4 | 678.5 | 0.183 | 726.3 | 674.6 | 0.622 | 87.4 | 44.3 |
| CV28012021_slice_15 | 0.199 | 0.729 | 0.681 | 0.199 | 728.7 | 680.1 | 0.182 | 728.8 | 676.5 | 0.623 | 86.9 | 44.1 |
| CV28012021_slice_16 | 0.197 | 0.731 | 0.681 | 0.198 | 730.2 | 680.7 | 0.180 | 730.5 | 677.4 | 0.622 | 85.4 | 43.5 |
| CV28012021_slice_17 | 0.196 | 0.729 | 0.679 | 0.196 | 728.7 | 678.7 | 0.178 | 728.7 | 674.7 | 0.627 | 81.3 | 41.4 |
| CV28012021_slice_18 | 0.195 | 0.725 | 0.675 | 0.195 | 724.4 | 674.6 | 0.176 | 724.1 | 670.1 | 0.625 | 80.7 | 41.1 |
| CV28012021_slice_19 | 0.192 | 0.730 | 0.680 | 0.193 | 729.2 | 679.0 | 0.174 | 729.2 | 675.0 | 0.622 | 82.0 | 41.7 |
| CV28012021_slice_20 | 0.191 | 0.733 | 0.683 | 0.192 | 732.1 | 682.6 | 0.173 | 732.2 | 678.8 | 0.619 | 83.8 | 42.6 |
| CV28012021_slice_21 | 0.190 | 0.736 | 0.687 | 0.191 | 735.1 | 686.2 | 0.173 | 735.6 | 682.8 | 0.617 | 85.1 | 43.2 |
| CV28012021_slice_22 | 0.191 | 0.736 | 0.687 | 0.192 | 734.9 | 685.8 | 0.173 | 735.3 | 682.2 | 0.618 | 84.2 | 42.7 |
| CV28012021_slice_23 | 0.193 | 0.732 | 0.683 | 0.193 | 731.0 | 682.6 | 0.173 | 730.8 | 678.2 | 0.619 | 82.9 | 42.0 |
| CV28012021_slice_24 | 0.195 | 0.728 | 0.680 | 0.195 | 727.6 | 679.6 | 0.173 | 727.0 | 674.5 | 0.621 | 81.4 | 41.2 |
| CV28012021_slice_25 | 0.193 | 0.731 | 0.682 | 0.193 | 730.2 | 681.9 | 0.170 | 729.7 | 677.0 | 0.620 | 81.1 | 41.1 |
| CV28012021_slice_26 | 0.196 | 0.729 | 0.680 | 0.196 | 728.6 | 680.1 | 0.174 | 727.9 | 674.9 | 0.622 | 79.8 | 40.3 |
| CV28012021_slice_27 | 0.196 | 0.728 | 0.680 | 0.196 | 728.0 | 679.2 | 0.172 | 727.3 | 673.9 | 0.624 | 78.3 | 39.4 |
| CV28012021_slice_28 | 0.196 | 0.728 | 0.679 | 0.196 | 727.8 | 678.4 | 0.170 | 727.2 | 673.5 | 0.623 | 77.1 | 38.8 |
| CV28012021_slice_29 | 0.198 | 0.731 | 0.681 | 0.198 | 730.4 | 680.4 | 0.170 | 729.9 | 675.9 | 0.624 | 76.2 | 38.3 |
| CV28012021_slice_30 | 0.205 | 0.729 | 0.678 | 0.205 | 728.5 | 678.0 | 0.173 | 727.8 | 673.1 | 0.623 | 74.5 | 37.2 |
| CV28012021_slice_31 | 0.210 | 0.729 | 0.679 | 0.210 | 729.0 | 678.3 | 0.176 | 728.1 | 673.3 | 0.623 | 73.5 | 36.4 |
| CV28012021_slice_32 | 0.212 | 0.723 | 0.675 | 0.212 | 723.0 | 674.4 | 0.176 | 721.4 | 668.2 | 0.626 | 74.4 | 36.4 |
| CV28012021_slice_33 | 0.206 | 0.728 | 0.680 | 0.207 | 727.9 | 679.8 | 0.173 | 726.6 | 674.0 | 0.625 | 75.9 | 37.2 |
| CV28012021_slice_34 | 0.204 | 0.729 | 0.681 | 0.204 | 728.1 | 680.8 | 0.171 | 726.8 | 674.9 | 0.624 | 76.4 | 37.6 |
| CV28012021_slice_35 | 0.201 | 0.730 | 0.684 | 0.202 | 729.6 | 683.2 | 0.171 | 728.4 | 677.5 | 0.624 | 77.7 | 38.3 |
| CV28012021_slice_36 | 0.200 | 0.731 | 0.685 | 0.201 | 730.2 | 684.2 | 0.171 | 728.9 | 678.5 | 0.622 | 78.8 | 39.0 |
| CV28012021_slice_37 | 0.205 | 0.728 | 0.680 | 0.205 | 727.4 | 680.1 | 0.173 | 726.0 | 674.2 | 0.621 | 76.8 | 37.8 |
| CV28012021_slice_38 | 0.209 | 0.722 | 0.674 | 0.209 | 721.4 | 674.2 | 0.175 | 719.6 | 667.6 | 0.623 | 75.7 | 37.2 |
| CV28012021_slice_39 | 0.207 | 0.728 | 0.679 | 0.207 | 727.2 | 678.9 | 0.172 | 725.8 | 673.1 | 0.623 | 76.0 | 37.4 |
| CV28012021_slice_40 | 0.214 | 0.724 | 0.675 | 0.215 | 724.1 | 675.0 | 0.176 | 722.6 | 669.1 | 0.625 | 74.2 | 36.3 |
| CV28012021_slice_41 | 0.219 | 0.723 | 0.673 | 0.219 | 723.0 | 672.8 | 0.178 | 721.4 | 666.9 | 0.622 | 73.2 | 35.7 |
| CV28012021_slice_42 | 0.223 | 0.724 | 0.673 | 0.223 | 724.0 | 673.0 | 0.180 | 722.3 | 667.1 | 0.620 | 73.8 | 35.7 |
| CV28012021_slice_43 | 0.238 | 0.720 | 0.669 | 0.238 | 720.0 | 668.4 | 0.192 | 718.0 | 662.1 | 0.623 | 73.2 | 34.9 |
| CV28012021_slice_44 | 0.238 | 0.721 | 0.668 | 0.239 | 720.7 | 668.2 | 0.192 | 718.8 | 662.2 | 0.622 | 72.8 | 34.8 |
| CV28012021_slice_45 | 0.221 | 0.724 | 0.672 | 0.221 | 723.4 | 671.3 | 0.176 | 721.7 | 665.6 | 0.617 | 73.7 | 35.7 |
| CV28012021_slice_46 | 0.212 | 0.721 | 0.671 | 0.213 | 720.5 | 670.9 | 0.171 | 718.6 | 664.6 | 0.615 | 76.3 | 37.3 |
| CV28012021_slice_47 | 0.211 | 0.722 | 0.673 | 0.212 | 721.5 | 672.7 | 0.172 | 719.7 | 666.4 | 0.613 | 77.6 | 37.9 |
| CV28012021_slice_48 | 0.199 | 0.726 | 0.678 | 0.199 | 725.6 | 677.8 | 0.164 | 724.0 | 671.9 | 0.610 | 80.1 | 39.6 |
| CV28012021_slice_49 | 0.204 | 0.721 | 0.673 | 0.205 | 721.1 | 673.2 | 0.167 | 719.4 | 666.8 | 0.614 | 79.6 | 39.0 |
| CV28012021_slice_50 | 0.208 | 0.718 | 0.669 | 0.208 | 717.4 | 669.0 | 0.170 | 715.6 | 662.6 | 0.613 | 79.1 | 38.7 |
| CV28012021_slice_51 | 0.215 | 0.713 | 0.665 | 0.215 | 713.2 | 665.1 | 0.174 | 711.3 | 658.4 | 0.611 | 77.9 | 38.1 |
| CV28012021_slice_52 | 0.207 | 0.725 | 0.676 | 0.208 | 724.3 | 675.7 | 0.172 | 722.9 | 669.8 | 0.610 | 78.3 | 38.6 |
| CV28012021_slice_53 | 0.213 | 0.720 | 0.670 | 0.213 | 719.3 | 670.2 | 0.173 | 717.7 | 664.0 | 0.614 | 76.8 | 37.7 |
| CV28012021_slice_54 | 0.220 | 0.717 | 0.667 | 0.220 | 717.2 | 667.0 | 0.177 | 715.5 | 660.8 | 0.614 | 75.1 | 36.7 |
| CV28012021_slice_55 | 0.222 | 0.718 | 0.667 | 0.222 | 717.5 | 667.0 | 0.178 | 716.0 | 661.0 | 0.617 | 73.4 | 35.9 |
| CV28012021_slice_56 | 0.238 | 0.718 | 0.666 | 0.238 | 718.0 | 666.1 | 0.193 | 716.5 | 660.4 | 0.626 | 71.0 | 34.4 |
| CV28012021_slice_57 | 0.246 | 0.716 | 0.662 | 0.247 | 715.3 | 662.1 | 0.199 | 713.9 | 656.5 | 0.628 | 69.4 | 33.5 |
| CV28012021_slice_58 | 0.252 | 0.716 | 0.661 | 0.252 | 715.4 | 660.8 | 0.201 | 714.0 | 655.5 | 0.629 | 67.5 | 32.5 |
| CV28012021_slice_59 | 0.252 | 0.718 | 0.663 | 0.252 | 717.6 | 663.0 | 0.202 | 716.5 | 658.1 | 0.635 | 66.6 | 32.0 |
| CV28012021_slice_60 | 0.256 | 0.716 | 0.662 | 0.256 | 716.1 | 661.9 | 0.206 | 714.9 | 656.8 | 0.639 | 65.5 | 31.3 |
| CV28012021_slice_61 | 0.255 | 0.715 | 0.662 | 0.256 | 714.9 | 662.0 | 0.206 | 713.6 | 656.5 | 0.635 | 66.4 | 31.7 |
| CV28012021_slice_62 | 0.253 | 0.715 | 0.663 | 0.253 | 715.1 | 662.5 | 0.205 | 713.7 | 657.0 | 0.632 | 66.2 | 31.8 |
| CV28012021_slice_63 | 0.239 | 0.716 | 0.665 | 0.239 | 715.4 | 664.6 | 0.193 | 714.1 | 659.0 | 0.630 | 68.5 | 33.2 |
| CV28012021_slice_64 | 0.247 | 0.709 | 0.659 | 0.248 | 709.2 | 659.1 | 0.202 | 707.7 | 653.1 | 0.632 | 67.4 | 32.6 |
| CV28012021_slice_65 | 0.251 | 0.712 | 0.661 | 0.251 | 712.1 | 660.6 | 0.205 | 710.8 | 655.0 | 0.634 | 66.3 | 32.1 |
| CV28012021_slice_66 | 0.242 | 0.712 | 0.663 | 0.242 | 712.0 | 662.3 | 0.198 | 710.7 | 656.5 | 0.633 | 68.4 | 33.2 |
| CV28012021_slice_67 | 0.226 | 0.715 | 0.667 | 0.227 | 714.8 | 666.4 | 0.186 | 713.7 | 660.7 | 0.629 | 70.3 | 34.5 |
| CV28012021_slice_68 | 0.224 | 0.717 | 0.667 | 0.224 | 716.4 | 667.3 | 0.185 | 715.4 | 661.7 | 0.627 | 70.1 | 34.6 |
| CV28012021_slice_69 | 0.228 | 0.716 | 0.666 | 0.228 | 716.1 | 666.0 | 0.187 | 715.1 | 660.7 | 0.628 | 68.5 | 33.7 |
| CV28012021_slice_70 | 0.231 | 0.718 | 0.667 | 0.231 | 718.0 | 666.9 | 0.189 | 717.2 | 662.0 | 0.631 | 67.6 | 33.3 |
| CV28012021_slice_71 | 0.246 | 0.710 | 0.660 | 0.246 | 709.9 | 659.4 | 0.201 | 708.7 | 653.7 | 0.634 | 66.3 | 32.4 |
| CV28012021_slice_72 | 0.247 | 0.715 | 0.663 | 0.247 | 714.9 | 662.9 | 0.203 | 713.9 | 657.6 | 0.632 | 65.1 | 31.8 |
| CV28012021_slice_73 | 0.245 | 0.717 | 0.664 | 0.245 | 716.5 | 663.5 | 0.201 | 715.6 | 658.7 | 0.633 | 64.3 | 31.3 |
| CV28012021_slice_74 | 0.243 | 0.716 | 0.663 | 0.244 | 715.6 | 663.1 | 0.199 | 714.7 | 658.3 | 0.631 | 64.5 | 31.5 |
| CV28012021_slice_75 | 0.249 | 0.717 | 0.664 | 0.249 | 716.5 | 663.5 | 0.203 | 715.7 | 658.7 | 0.634 | 63.2 | 30.8 |
| CV28012021_slice_76 | 0.249 | 0.719 | 0.666 | 0.249 | 718.4 | 665.7 | 0.204 | 717.5 | 660.9 | 0.639 | 63.5 | 30.9 |
| CV28012021_slice_77 | 0.241 | 0.721 | 0.670 | 0.241 | 720.9 | 669.2 | 0.198 | 720.1 | 664.3 | 0.638 | 64.7 | 31.6 |
| CV28012021_slice_78 | 0.241 | 0.723 | 0.671 | 0.242 | 722.1 | 670.8 | 0.199 | 721.3 | 665.9 | 0.637 | 64.8 | 31.7 |
| CV28012021_slice_79 | 0.258 | 0.717 | 0.665 | 0.259 | 716.5 | 664.3 | 0.213 | 715.4 | 659.1 | 0.645 | 62.7 | 30.3 |
| CV28012021_slice_80 | 0.254 | 0.712 | 0.662 | 0.254 | 711.5 | 661.8 | 0.210 | 710.3 | 656.0 | 0.644 | 64.4 | 31.1 |
| CV28012021_slice_81 | 0.240 | 0.713 | 0.666 | 0.240 | 713.1 | 665.6 | 0.199 | 711.8 | 659.7 | 0.640 | 67.4 | 32.7 |
| CV28012021_slice_82 | 0.238 | 0.712 | 0.666 | 0.238 | 712.1 | 665.5 | 0.199 | 710.8 | 659.4 | 0.633 | 68.6 | 33.3 |
| CV28012021_slice_83 | 0.234 | 0.715 | 0.669 | 0.234 | 714.4 | 668.5 | 0.196 | 713.2 | 662.4 | 0.631 | 70.4 | 34.2 |
| CV28012021_slice_84 | 0.230 | 0.716 | 0.670 | 0.230 | 716.2 | 669.7 | 0.193 | 715.1 | 663.9 | 0.630 | 70.8 | 34.5 |
| CV28012021_slice_85 | 0.236 | 0.714 | 0.667 | 0.236 | 714.3 | 666.9 | 0.197 | 713.1 | 661.2 | 0.631 | 68.8 | 33.6 |
| CV28012021_slice_86 | 0.247 | 0.712 | 0.664 | 0.247 | 711.8 | 663.4 | 0.206 | 710.6 | 657.6 | 0.633 | 67.0 | 32.6 |
| CV28012021_slice_87 | 0.249 | 0.711 | 0.663 | 0.249 | 710.8 | 662.4 | 0.208 | 709.6 | 656.7 | 0.635 | 66.9 | 32.6 |
| CV28012021_slice_88 | 0.249 | 0.713 | 0.665 | 0.249 | 712.7 | 664.4 | 0.207 | 711.6 | 658.8 | 0.632 | 66.7 | 32.6 |
| CV28012021_slice_89 | 0.247 | 0.716 | 0.667 | 0.247 | 716.0 | 666.4 | 0.204 | 715.1 | 661.3 | 0.631 | 66.8 | 32.6 |
| CV28012021_slice_90 | 0.237 | 0.719 | 0.669 | 0.238 | 718.4 | 669.0 | 0.197 | 717.4 | 664.1 | 0.628 | 67.8 | 33.4 |
| CV28012021_slice_91 | 0.235 | 0.720 | 0.670 | 0.235 | 719.8 | 670.2 | 0.195 | 719.0 | 665.4 | 0.631 | 67.6 | 33.4 |
| CV28012021_slice_92 | 0.230 | 0.720 | 0.672 | 0.230 | 720.1 | 671.3 | 0.191 | 719.3 | 666.4 | 0.628 | 68.8 | 33.9 |
| CV28012021_slice_93 | 0.243 | 0.711 | 0.662 | 0.244 | 710.4 | 661.5 | 0.201 | 709.2 | 656.0 | 0.632 | 66.9 | 32.8 |
| CV28012021_slice_94 | 0.248 | 0.715 | 0.665 | 0.248 | 714.4 | 664.5 | 0.206 | 713.4 | 659.3 | 0.636 | 66.0 | 32.4 |
| CV28012021_slice_95 | 0.244 | 0.710 | 0.662 | 0.244 | 709.6 | 661.8 | 0.203 | 708.3 | 655.9 | 0.635 | 68.0 | 33.3 |
| CV28012021_slice_96 | 0.234 | 0.709 | 0.662 | 0.234 | 709.3 | 662.4 | 0.195 | 708.1 | 656.5 | 0.633 | 69.2 | 34.0 |
| CV28012021_slice_97 | 0.221 | 0.714 | 0.666 | 0.221 | 713.3 | 666.1 | 0.184 | 712.4 | 660.6 | 0.629 | 70.2 | 34.8 |
| CV28012021_slice_98 | 0.228 | 0.708 | 0.661 | 0.228 | 707.5 | 660.8 | 0.189 | 706.4 | 655.0 | 0.631 | 69.3 | 34.3 |
| CV28012021_slice_99 | 0.227 | 0.705 | 0.660 | 0.227 | 704.5 | 659.4 | 0.189 | 703.3 | 653.4 | 0.632 | 70.7 | 34.9 |
| CV28012021_slice_100 | 0.218 | 0.709 | 0.664 | 0.218 | 708.8 | 663.5 | 0.182 | 707.8 | 657.8 | 0.632 | 71.7 | 35.4 |
| CV28012021_slice_101 | 0.210 | 0.717 | 0.671 | 0.210 | 716.8 | 670.8 | 0.176 | 716.0 | 665.7 | 0.629 | 72.3 | 35.9 |
| CV28012021_slice_102 | 0.220 | 0.715 | 0.669 | 0.220 | 714.4 | 668.5 | 0.184 | 713.4 | 663.0 | 0.630 | 69.9 | 34.9 |
| CV28012021_slice_103 | 0.222 | 0.717 | 0.671 | 0.222 | 716.6 | 670.7 | 0.186 | 715.7 | 665.4 | 0.631 | 69.9 | 34.8 |
| CV28012021_slice_104 | 0.224 | 0.714 | 0.668 | 0.224 | 714.3 | 668.1 | 0.186 | 713.4 | 662.7 | 0.631 | 69.4 | 34.5 |
| CV28012021_slice_105 | 0.223 | 0.718 | 0.671 | 0.223 | 717.5 | 671.1 | 0.185 | 716.6 | 665.9 | 0.634 | 69.2 | 34.2 |
| CV28012021_slice_106 | 0.220 | 0.723 | 0.677 | 0.220 | 723.0 | 676.3 | 0.184 | 722.4 | 671.6 | 0.638 | 68.7 | 34.1 |
| CV28012021_slice_107 | 0.223 | 0.725 | 0.678 | 0.223 | 724.9 | 677.7 | 0.186 | 724.3 | 673.1 | 0.639 | 67.9 | 33.7 |
| CV28012021_slice_108 | 0.238 | 0.716 | 0.669 | 0.238 | 715.6 | 668.6 | 0.198 | 714.6 | 663.4 | 0.647 | 65.4 | 32.2 |
| CV28012021_slice_109 | 0.233 | 0.716 | 0.669 | 0.234 | 715.6 | 669.0 | 0.194 | 714.5 | 663.5 | 0.649 | 65.5 | 32.2 |
| CV28012021_slice_110 | 0.236 | 0.718 | 0.672 | 0.237 | 717.6 | 671.6 | 0.197 | 716.7 | 666.3 | 0.653 | 64.8 | 31.7 |
| CV28012021_slice_111 | 0.236 | 0.719 | 0.674 | 0.236 | 718.8 | 673.6 | 0.197 | 717.9 | 668.3 | 0.655 | 65.1 | 31.7 |
| CV28012021_slice_112 | 0.237 | 0.718 | 0.674 | 0.237 | 718.2 | 673.4 | 0.198 | 717.2 | 668.0 | 0.659 | 64.8 | 31.3 |
| CV28012021_slice_113 | 0.239 | 0.722 | 0.677 | 0.239 | 721.4 | 676.4 | 0.200 | 720.5 | 671.2 | 0.661 | 63.5 | 30.6 |
| CV28012021_slice_114 | 0.241 | 0.727 | 0.682 | 0.242 | 726.4 | 681.6 | 0.204 | 725.7 | 676.7 | 0.665 | 64.3 | 30.7 |
| CV28012021_slice_115 | 0.234 | 0.732 | 0.688 | 0.234 | 731.5 | 687.5 | 0.199 | 731.0 | 682.8 | 0.667 | 65.5 | 31.3 |
| CV28012021_slice_116 | 0.236 | 0.729 | 0.685 | 0.236 | 728.5 | 684.5 | 0.200 | 727.8 | 679.4 | 0.671 | 65.1 | 30.9 |
| CV28012021_slice_117 | 0.242 | 0.730 | 0.685 | 0.242 | 730.1 | 684.8 | 0.205 | 729.5 | 680.2 | 0.673 | 64.3 | 30.3 |
| CV28012021_slice_118 | 0.246 | 0.724 | 0.678 | 0.246 | 723.6 | 678.1 | 0.207 | 722.8 | 673.0 | 0.671 | 64.2 | 30.3 |
| CV28012021_slice_119 | 0.249 | 0.715 | 0.669 | 0.249 | 715.2 | 668.9 | 0.207 | 714.2 | 663.6 | 0.671 | 62.8 | 29.8 |
| CV28012021_slice_120 | 0.242 | 0.711 | 0.664 | 0.243 | 711.0 | 663.8 | 0.201 | 710.0 | 658.5 | 0.670 | 63.7 | 30.5 |
| CV28012021_slice_121 | 0.242 | 0.711 | 0.662 | 0.242 | 710.9 | 662.1 | 0.198 | 710.0 | 657.0 | 0.667 | 62.7 | 30.4 |
| CV28012021_slice_122 | 0.239 | 0.707 | 0.657 | 0.239 | 706.6 | 656.7 | 0.192 | 705.6 | 651.6 | 0.664 | 61.9 | 30.1 |
| CV28012021_slice_123 | 0.242 | 0.706 | 0.654 | 0.242 | 706.3 | 654.2 | 0.195 | 705.3 | 649.3 | 0.664 | 60.6 | 29.5 |
| CV28012021_slice_124 | 0.261 | 0.707 | 0.652 | 0.261 | 706.6 | 651.6 | 0.209 | 705.7 | 647.1 | 0.666 | 57.6 | 27.9 |
| CV28012021_slice_125 | 0.263 | 0.709 | 0.654 | 0.263 | 709.1 | 653.5 | 0.211 | 708.3 | 649.1 | 0.666 | 57.3 | 27.8 |
| CV28012021_slice_126 | 0.248 | 0.704 | 0.650 | 0.248 | 704.1 | 649.7 | 0.199 | 703.1 | 644.9 | 0.664 | 58.9 | 28.7 |
| CV28012021_slice_127 | 0.240 | 0.705 | 0.650 | 0.240 | 704.6 | 650.3 | 0.191 | 703.7 | 645.6 | 0.657 | 60.7 | 29.5 |
| CV28012021_slice_128 | 0.230 | 0.705 | 0.650 | 0.230 | 704.8 | 649.8 | 0.183 | 704.0 | 645.2 | 0.646 | 61.8 | 30.5 |
| CV28012021_slice_129 | 0.228 | 0.701 | 0.645 | 0.228 | 700.7 | 644.9 | 0.182 | 699.8 | 640.2 | 0.641 | 62.6 | 31.1 |
| CV28012021_slice_130 | 0.221 | 0.701 | 0.644 | 0.221 | 700.9 | 644.1 | 0.175 | 700.0 | 639.5 | 0.635 | 63.3 | 31.8 |
| CV28012021_slice_131 | 0.212 | 0.703 | 0.645 | 0.212 | 703.0 | 644.6 | 0.168 | 702.3 | 640.3 | 0.629 | 64.2 | 32.6 |
| CV28012021_slice_132 | 0.191 | 0.706 | 0.647 | 0.191 | 705.2 | 647.2 | 0.153 | 704.7 | 643.1 | 0.620 | 67.1 | 34.7 |
| CV28012021_slice_133 | 0.185 | 0.699 | 0.641 | 0.185 | 698.4 | 641.1 | 0.151 | 697.6 | 636.5 | 0.617 | 69.1 | 35.8 |
| CV28012021_slice_134 | 0.168 | 0.707 | 0.648 | 0.168 | 706.5 | 647.5 | 0.140 | 706.2 | 643.8 | 0.609 | 72.3 | 38.0 |
| CV28012021_slice_135 | 0.173 | 0.695 | 0.635 | 0.173 | 694.9 | 634.4 | 0.144 | 694.2 | 630.2 | 0.612 | 71.1 | 37.4 |
| CV28012021_slice_136 | 0.173 | 0.687 | 0.625 | 0.173 | 686.4 | 625.4 | 0.143 | 685.5 | 620.9 | 0.608 | 71.0 | 37.5 |
| CV28012021_slice_137 | 0.172 | 0.675 | 0.615 | 0.172 | 675.0 | 614.8 | 0.146 | 674.0 | 610.2 | 0.605 | 73.0 | 38.5 |
| CV28012021_slice_138 | 0.165 | 0.674 | 0.613 | 0.165 | 674.3 | 612.9 | 0.142 | 673.4 | 608.5 | 0.603 | 74.4 | 39.5 |
| CV28012021_slice_139 | 0.157 | 0.682 | 0.618 | 0.157 | 681.8 | 618.0 | 0.134 | 681.0 | 613.8 | 0.598 | 74.7 | 39.9 |
| CV28012021_slice_140 | 0.166 | 0.674 | 0.608 | 0.166 | 673.5 | 607.6 | 0.139 | 672.6 | 603.4 | 0.596 | 72.5 | 38.8 |
| CV28012021_slice_141 | 0.174 | 0.669 | 0.601 | 0.174 | 668.6 | 601.1 | 0.145 | 667.7 | 597.2 | 0.596 | 71.8 | 38.4 |
| CV28012021_slice_142 | 0.176 | 0.664 | 0.597 | 0.176 | 664.3 | 596.5 | 0.147 | 663.5 | 592.6 | 0.595 | 71.8 | 38.6 |
| CV28012021_slice_143 | 0.155 | 0.668 | 0.602 | 0.155 | 668.1 | 601.5 | 0.135 | 667.3 | 597.4 | 0.589 | 75.6 | 41.0 |
| CV28012021_slice_144 | 0.138 | 0.665 | 0.602 | 0.138 | 665.3 | 602.1 | 0.130 | 664.4 | 597.5 | 0.581 | 80.9 | 44.2 |
| CV28012021_slice_145 | 0.127 | 0.676 | 0.611 | 0.128 | 675.9 | 611.3 | 0.121 | 675.1 | 607.0 | 0.577 | 82.6 | 45.4 |
| CV28012021_slice_146 | 0.131 | 0.671 | 0.606 | 0.132 | 670.4 | 606.1 | 0.125 | 669.6 | 601.6 | 0.577 | 82.3 | 45.3 |
| CV28012021_slice_147 | 0.134 | 0.668 | 0.602 | 0.134 | 667.4 | 602.0 | 0.123 | 666.6 | 597.5 | 0.574 | 80.2 | 44.2 |
| CV28012021_slice_148 | 0.132 | 0.672 | 0.605 | 0.132 | 672.2 | 604.8 | 0.117 | 671.5 | 600.7 | 0.572 | 78.7 | 43.7 |
| CV28012021_slice_149 | 0.138 | 0.664 | 0.598 | 0.138 | 663.8 | 597.7 | 0.124 | 662.9 | 593.3 | 0.569 | 79.1 | 43.8 |
| CV28012021_slice_150 | 0.134 | 0.666 | 0.600 | 0.134 | 666.0 | 599.7 | 0.121 | 665.2 | 595.4 | 0.567 | 79.3 | 44.1 |
| CV28012021_slice_151 | 0.127 | 0.672 | 0.604 | 0.127 | 671.5 | 604.0 | 0.113 | 670.7 | 599.9 | 0.562 | 79.5 | 44.5 |
| CV28012021_slice_152 | 0.126 | 0.673 | 0.605 | 0.126 | 672.6 | 604.4 | 0.112 | 671.9 | 600.5 | 0.563 | 79.1 | 44.3 |
| CV28012021_slice_153 | 0.122 | 0.673 | 0.605 | 0.122 | 672.5 | 604.8 | 0.110 | 671.8 | 600.8 | 0.562 | 80.2 | 45.0 |
| CV28012021_slice_154 | 0.123 | 0.666 | 0.600 | 0.123 | 665.9 | 599.9 | 0.115 | 665.0 | 595.5 | 0.562 | 81.9 | 45.7 |
| CV28012021_slice_155 | 0.120 | 0.667 | 0.601 | 0.120 | 667.3 | 601.2 | 0.113 | 666.4 | 596.9 | 0.561 | 82.7 | 46.3 |
| CV28012021_slice_156 | 0.120 | 0.667 | 0.601 | 0.120 | 666.7 | 600.9 | 0.114 | 665.8 | 596.6 | 0.560 | 83.0 | 46.4 |
| CV28012021_slice_157 | 0.124 | 0.666 | 0.599 | 0.125 | 665.6 | 599.4 | 0.116 | 664.7 | 595.1 | 0.562 | 82.4 | 46.0 |
| CV28012021_slice_158 | 0.128 | 0.663 | 0.596 | 0.128 | 662.7 | 596.0 | 0.118 | 661.8 | 591.7 | 0.563 | 81.4 | 45.3 |
| CV28012021_slice_159 | 0.147 | 0.660 | 0.591 | 0.147 | 660.2 | 591.2 | 0.128 | 659.3 | 587.2 | 0.563 | 77.4 | 42.9 |
| CV28012021_slice_160 | 0.164 | 0.661 | 0.590 | 0.164 | 660.5 | 589.6 | 0.137 | 659.6 | 585.9 | 0.567 | 74.5 | 41.1 |
| CV28012021_slice_161 | 0.162 | 0.663 | 0.592 | 0.162 | 662.7 | 591.7 | 0.135 | 661.9 | 588.1 | 0.567 | 74.8 | 41.3 |
| CV28012021_slice_162 | 0.153 | 0.664 | 0.594 | 0.153 | 664.3 | 593.9 | 0.130 | 663.5 | 590.2 | 0.565 | 76.3 | 42.3 |
| CV28012021_slice_163 | 0.134 | 0.666 | 0.599 | 0.134 | 665.8 | 598.8 | 0.123 | 664.9 | 594.6 | 0.566 | 80.8 | 44.9 |
| CV28012021_slice_164 | 0.125 | 0.672 | 0.606 | 0.125 | 671.5 | 605.5 | 0.117 | 670.7 | 601.3 | 0.564 | 82.8 | 46.0 |
| CV28012021_slice_165 | 0.124 | 0.674 | 0.607 | 0.124 | 673.7 | 607.3 | 0.114 | 672.9 | 603.2 | 0.560 | 82.3 | 45.8 |
| CV28012021_slice_166 | 0.132 | 0.667 | 0.603 | 0.132 | 667.3 | 602.7 | 0.123 | 666.4 | 598.3 | 0.564 | 82.5 | 45.8 |
| CV28012021_slice_167 | 0.132 | 0.675 | 0.609 | 0.132 | 675.1 | 608.8 | 0.119 | 674.3 | 604.7 | 0.563 | 81.0 | 45.1 |
| CV28012021_slice_168 | 0.136 | 0.672 | 0.606 | 0.136 | 671.8 | 605.5 | 0.121 | 671.0 | 601.4 | 0.564 | 80.0 | 44.4 |
| CV28012021_slice_169 | 0.148 | 0.672 | 0.604 | 0.148 | 671.9 | 604.2 | 0.127 | 671.1 | 600.1 | 0.566 | 77.2 | 42.6 |
4Γ3 grid: Rows show different image types (Original NATIVE, Reconstructed NATIVE, Original VENOUS, Generated VENOUS), Columns show windowing techniques (No Window, Lung Window, Mediastinum Window)