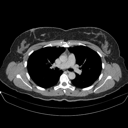
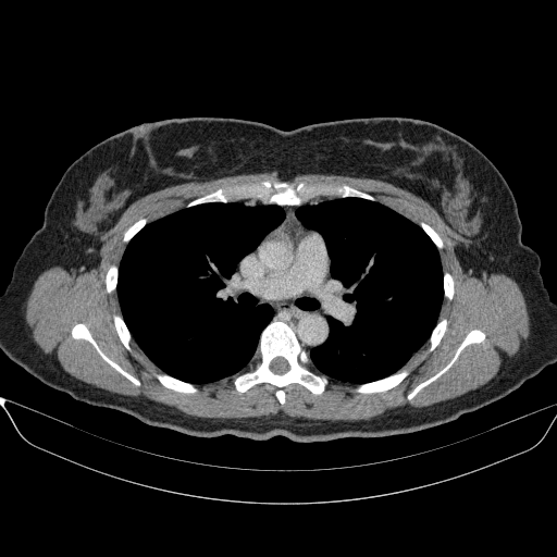
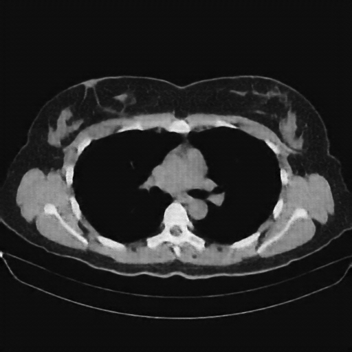
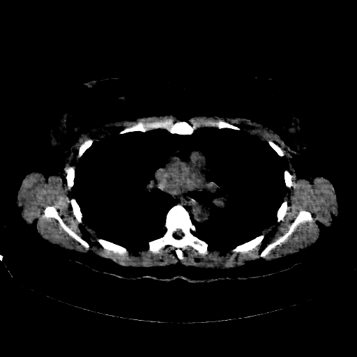
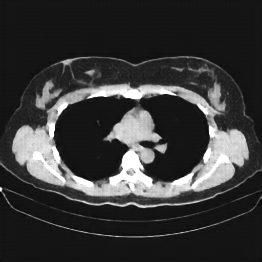
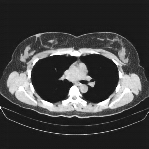
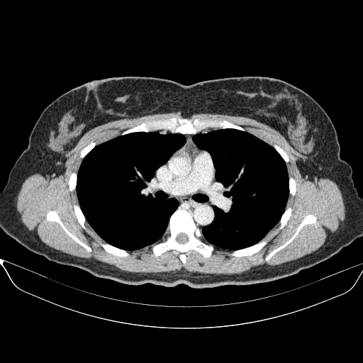
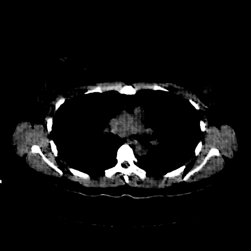
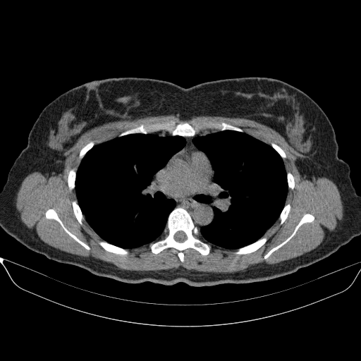
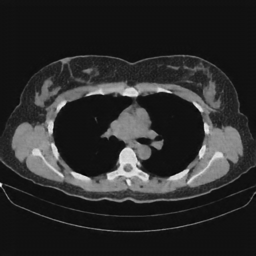
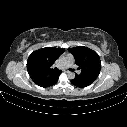
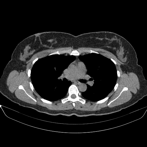
Slice 70 Targeting Evaluation
Patient ID: CV28012021
Model: cytran
Slice: Slice_70
Slice Thickness: 1.5mm
Conversion: NATIVE β VENOUS
Contains all 4 metric datasets: Network-Normalized, Hounsfield Units, Lung Window, and Mediastinum Window
| Slice ID | SSIM | RMSE | MAE | HU SSIM | HU RMSE | HU MAE | Lung SSIM | Lung RMSE | Lung MAE | Mediastinum SSIM | Mediastinum RMSE | Mediastinum MAE |
|---|---|---|---|---|---|---|---|---|---|---|---|---|
| CV28012021_slice_0 | 0.267 | 0.531 | 0.507 | 0.267 | 531.2 | 506.8 | 0.253 | 530.1 | 501.2 | 0.642 | 81.4 | 41.0 |
| CV28012021_slice_1 | 0.265 | 0.533 | 0.509 | 0.265 | 533.5 | 508.9 | 0.252 | 532.4 | 503.5 | 0.639 | 82.6 | 41.7 |
| CV28012021_slice_2 | 0.264 | 0.535 | 0.510 | 0.264 | 534.8 | 509.5 | 0.249 | 533.9 | 504.8 | 0.636 | 82.6 | 41.8 |
| CV28012021_slice_3 | 0.265 | 0.535 | 0.510 | 0.265 | 535.2 | 510.2 | 0.250 | 534.2 | 505.3 | 0.636 | 82.3 | 41.8 |
| CV28012021_slice_4 | 0.266 | 0.534 | 0.509 | 0.266 | 534.5 | 509.2 | 0.249 | 533.5 | 504.4 | 0.635 | 81.4 | 41.4 |
| CV28012021_slice_5 | 0.265 | 0.534 | 0.508 | 0.265 | 533.6 | 507.6 | 0.248 | 532.7 | 503.0 | 0.632 | 81.1 | 41.4 |
| CV28012021_slice_6 | 0.267 | 0.534 | 0.508 | 0.267 | 533.8 | 507.7 | 0.250 | 533.0 | 503.3 | 0.629 | 82.5 | 42.0 |
| CV28012021_slice_7 | 0.268 | 0.535 | 0.509 | 0.268 | 535.0 | 509.0 | 0.251 | 534.2 | 504.7 | 0.627 | 84.1 | 42.8 |
| CV28012021_slice_8 | 0.269 | 0.535 | 0.509 | 0.269 | 535.3 | 509.5 | 0.252 | 534.5 | 505.3 | 0.627 | 85.9 | 43.7 |
| CV28012021_slice_9 | 0.270 | 0.536 | 0.510 | 0.270 | 535.8 | 510.0 | 0.254 | 535.0 | 505.9 | 0.625 | 86.8 | 44.1 |
| CV28012021_slice_10 | 0.269 | 0.537 | 0.510 | 0.269 | 536.7 | 510.3 | 0.254 | 536.0 | 506.6 | 0.622 | 87.9 | 44.6 |
| CV28012021_slice_11 | 0.271 | 0.536 | 0.510 | 0.271 | 536.5 | 509.7 | 0.257 | 535.8 | 506.1 | 0.620 | 88.0 | 44.5 |
| CV28012021_slice_12 | 0.272 | 0.535 | 0.508 | 0.272 | 535.4 | 508.1 | 0.257 | 534.7 | 504.1 | 0.620 | 87.2 | 44.2 |
| CV28012021_slice_13 | 0.270 | 0.537 | 0.509 | 0.270 | 536.8 | 509.3 | 0.256 | 536.1 | 505.6 | 0.621 | 87.6 | 44.4 |
| CV28012021_slice_14 | 0.270 | 0.536 | 0.509 | 0.270 | 536.2 | 509.0 | 0.256 | 535.5 | 505.1 | 0.622 | 87.3 | 44.3 |
| CV28012021_slice_15 | 0.268 | 0.537 | 0.509 | 0.268 | 536.8 | 509.3 | 0.254 | 536.1 | 505.6 | 0.623 | 86.8 | 44.0 |
| CV28012021_slice_16 | 0.266 | 0.537 | 0.509 | 0.266 | 537.1 | 509.0 | 0.253 | 536.4 | 505.3 | 0.622 | 85.3 | 43.4 |
| CV28012021_slice_17 | 0.266 | 0.536 | 0.507 | 0.266 | 535.9 | 507.2 | 0.251 | 535.1 | 503.2 | 0.627 | 81.2 | 41.3 |
| CV28012021_slice_18 | 0.264 | 0.534 | 0.505 | 0.264 | 533.7 | 505.1 | 0.249 | 532.8 | 500.7 | 0.625 | 80.6 | 41.1 |
| CV28012021_slice_19 | 0.263 | 0.536 | 0.507 | 0.263 | 536.0 | 507.3 | 0.247 | 535.1 | 503.2 | 0.622 | 81.9 | 41.7 |
| CV28012021_slice_20 | 0.261 | 0.538 | 0.510 | 0.261 | 538.0 | 509.8 | 0.246 | 537.1 | 505.8 | 0.619 | 83.7 | 42.5 |
| CV28012021_slice_21 | 0.260 | 0.540 | 0.512 | 0.260 | 540.0 | 512.2 | 0.246 | 539.2 | 508.3 | 0.617 | 85.0 | 43.1 |
| CV28012021_slice_22 | 0.261 | 0.540 | 0.512 | 0.261 | 539.9 | 512.0 | 0.247 | 539.0 | 507.9 | 0.618 | 84.1 | 42.6 |
| CV28012021_slice_23 | 0.263 | 0.538 | 0.511 | 0.263 | 538.3 | 510.5 | 0.247 | 537.3 | 506.1 | 0.619 | 82.8 | 42.0 |
| CV28012021_slice_24 | 0.265 | 0.537 | 0.509 | 0.265 | 536.9 | 509.1 | 0.248 | 535.6 | 504.3 | 0.621 | 81.3 | 41.1 |
| CV28012021_slice_25 | 0.263 | 0.538 | 0.510 | 0.263 | 538.0 | 510.2 | 0.245 | 536.8 | 505.4 | 0.620 | 81.0 | 41.0 |
| CV28012021_slice_26 | 0.267 | 0.537 | 0.509 | 0.267 | 537.3 | 509.1 | 0.248 | 536.0 | 504.2 | 0.622 | 79.7 | 40.2 |
| CV28012021_slice_27 | 0.267 | 0.537 | 0.508 | 0.267 | 537.0 | 508.5 | 0.247 | 535.6 | 503.4 | 0.624 | 78.2 | 39.3 |
| CV28012021_slice_28 | 0.267 | 0.537 | 0.508 | 0.267 | 536.7 | 507.6 | 0.245 | 535.4 | 502.9 | 0.623 | 77.0 | 38.8 |
| CV28012021_slice_29 | 0.269 | 0.538 | 0.508 | 0.269 | 537.8 | 508.4 | 0.244 | 536.6 | 503.9 | 0.624 | 76.1 | 38.3 |
| CV28012021_slice_30 | 0.276 | 0.537 | 0.507 | 0.276 | 536.9 | 506.8 | 0.247 | 535.5 | 502.1 | 0.623 | 74.4 | 37.1 |
| CV28012021_slice_31 | 0.281 | 0.537 | 0.507 | 0.281 | 537.4 | 507.0 | 0.250 | 535.9 | 502.2 | 0.623 | 73.4 | 36.4 |
| CV28012021_slice_32 | 0.283 | 0.536 | 0.506 | 0.283 | 535.6 | 506.3 | 0.253 | 533.6 | 500.6 | 0.626 | 74.3 | 36.3 |
| CV28012021_slice_33 | 0.278 | 0.538 | 0.509 | 0.278 | 538.3 | 509.5 | 0.249 | 536.3 | 504.0 | 0.625 | 75.8 | 37.2 |
| CV28012021_slice_34 | 0.276 | 0.539 | 0.510 | 0.276 | 538.6 | 510.4 | 0.248 | 536.7 | 504.8 | 0.624 | 76.4 | 37.5 |
| CV28012021_slice_35 | 0.273 | 0.540 | 0.512 | 0.273 | 539.7 | 512.2 | 0.247 | 537.8 | 506.7 | 0.624 | 77.6 | 38.3 |
| CV28012021_slice_36 | 0.272 | 0.540 | 0.513 | 0.272 | 540.2 | 513.1 | 0.247 | 538.4 | 507.7 | 0.622 | 78.7 | 38.9 |
| CV28012021_slice_37 | 0.276 | 0.538 | 0.510 | 0.276 | 538.5 | 510.2 | 0.249 | 536.5 | 504.7 | 0.621 | 76.7 | 37.7 |
| CV28012021_slice_38 | 0.281 | 0.536 | 0.507 | 0.281 | 535.6 | 507.1 | 0.251 | 533.5 | 501.2 | 0.623 | 75.6 | 37.2 |
| CV28012021_slice_39 | 0.278 | 0.538 | 0.509 | 0.278 | 538.1 | 509.0 | 0.247 | 536.1 | 503.6 | 0.623 | 75.9 | 37.4 |
| CV28012021_slice_40 | 0.286 | 0.536 | 0.507 | 0.286 | 536.3 | 506.5 | 0.252 | 534.3 | 501.1 | 0.625 | 74.1 | 36.3 |
| CV28012021_slice_41 | 0.290 | 0.536 | 0.505 | 0.290 | 535.5 | 504.8 | 0.254 | 533.4 | 499.4 | 0.622 | 73.2 | 35.7 |
| CV28012021_slice_42 | 0.294 | 0.536 | 0.505 | 0.294 | 536.2 | 504.8 | 0.255 | 533.9 | 499.3 | 0.620 | 73.8 | 35.7 |
| CV28012021_slice_43 | 0.309 | 0.534 | 0.502 | 0.309 | 534.2 | 502.0 | 0.268 | 531.6 | 496.3 | 0.623 | 73.2 | 34.9 |
| CV28012021_slice_44 | 0.310 | 0.534 | 0.501 | 0.310 | 534.0 | 501.4 | 0.267 | 531.6 | 495.8 | 0.622 | 72.7 | 34.8 |
| CV28012021_slice_45 | 0.292 | 0.535 | 0.503 | 0.292 | 535.1 | 503.1 | 0.251 | 532.9 | 497.8 | 0.617 | 73.7 | 35.7 |
| CV28012021_slice_46 | 0.283 | 0.535 | 0.504 | 0.283 | 534.6 | 504.4 | 0.246 | 532.2 | 498.6 | 0.615 | 76.3 | 37.2 |
| CV28012021_slice_47 | 0.282 | 0.536 | 0.506 | 0.282 | 535.6 | 505.9 | 0.247 | 533.1 | 500.1 | 0.613 | 77.5 | 37.9 |
| CV28012021_slice_48 | 0.270 | 0.538 | 0.509 | 0.270 | 537.8 | 509.2 | 0.239 | 535.6 | 503.6 | 0.610 | 80.1 | 39.5 |
| CV28012021_slice_49 | 0.275 | 0.535 | 0.507 | 0.275 | 535.4 | 506.6 | 0.242 | 533.1 | 500.7 | 0.614 | 79.6 | 39.0 |
| CV28012021_slice_50 | 0.278 | 0.533 | 0.504 | 0.278 | 533.4 | 504.2 | 0.245 | 531.1 | 498.3 | 0.613 | 79.0 | 38.7 |
| CV28012021_slice_51 | 0.285 | 0.532 | 0.502 | 0.285 | 531.6 | 502.2 | 0.249 | 529.2 | 496.2 | 0.611 | 77.8 | 38.1 |
| CV28012021_slice_52 | 0.278 | 0.537 | 0.508 | 0.278 | 536.7 | 507.5 | 0.246 | 534.7 | 502.0 | 0.610 | 78.2 | 38.6 |
| CV28012021_slice_53 | 0.284 | 0.534 | 0.504 | 0.284 | 533.9 | 504.1 | 0.249 | 531.8 | 498.5 | 0.614 | 76.8 | 37.7 |
| CV28012021_slice_54 | 0.291 | 0.532 | 0.502 | 0.291 | 532.2 | 501.8 | 0.253 | 530.1 | 496.1 | 0.614 | 75.0 | 36.7 |
| CV28012021_slice_55 | 0.294 | 0.532 | 0.501 | 0.294 | 532.0 | 501.3 | 0.254 | 530.0 | 495.8 | 0.617 | 73.3 | 35.9 |
| CV28012021_slice_56 | 0.309 | 0.532 | 0.500 | 0.309 | 531.8 | 500.0 | 0.268 | 530.0 | 494.8 | 0.626 | 70.9 | 34.4 |
| CV28012021_slice_57 | 0.318 | 0.530 | 0.497 | 0.318 | 530.0 | 497.1 | 0.275 | 528.2 | 492.0 | 0.628 | 69.3 | 33.5 |
| CV28012021_slice_58 | 0.323 | 0.530 | 0.496 | 0.323 | 529.5 | 495.5 | 0.277 | 527.8 | 490.6 | 0.630 | 67.5 | 32.5 |
| CV28012021_slice_59 | 0.324 | 0.530 | 0.496 | 0.324 | 530.2 | 496.4 | 0.278 | 528.5 | 491.8 | 0.635 | 66.5 | 31.9 |
| CV28012021_slice_60 | 0.329 | 0.529 | 0.496 | 0.329 | 529.4 | 495.8 | 0.283 | 527.7 | 491.1 | 0.639 | 65.4 | 31.3 |
| CV28012021_slice_61 | 0.328 | 0.529 | 0.497 | 0.328 | 529.3 | 496.6 | 0.283 | 527.5 | 491.7 | 0.635 | 66.3 | 31.7 |
| CV28012021_slice_62 | 0.326 | 0.529 | 0.497 | 0.326 | 529.5 | 497.0 | 0.282 | 527.7 | 492.0 | 0.632 | 66.1 | 31.8 |
| CV28012021_slice_63 | 0.311 | 0.530 | 0.499 | 0.311 | 530.0 | 499.1 | 0.270 | 528.3 | 494.1 | 0.630 | 68.4 | 33.2 |
| CV28012021_slice_64 | 0.320 | 0.527 | 0.496 | 0.320 | 527.1 | 496.5 | 0.279 | 525.3 | 491.1 | 0.632 | 67.3 | 32.6 |
| CV28012021_slice_65 | 0.324 | 0.528 | 0.496 | 0.324 | 527.8 | 496.3 | 0.282 | 526.2 | 491.3 | 0.634 | 66.2 | 32.1 |
| CV28012021_slice_66 | 0.314 | 0.528 | 0.498 | 0.314 | 528.3 | 498.3 | 0.277 | 526.6 | 493.0 | 0.634 | 68.4 | 33.2 |
| CV28012021_slice_67 | 0.299 | 0.530 | 0.501 | 0.299 | 530.1 | 501.2 | 0.265 | 528.6 | 496.0 | 0.629 | 70.2 | 34.5 |
| CV28012021_slice_68 | 0.297 | 0.530 | 0.501 | 0.297 | 530.4 | 501.1 | 0.264 | 529.0 | 496.0 | 0.627 | 70.1 | 34.5 |
| CV28012021_slice_69 | 0.301 | 0.530 | 0.500 | 0.301 | 529.8 | 499.8 | 0.266 | 528.5 | 494.9 | 0.629 | 68.4 | 33.7 |
| CV28012021_slice_70 | 0.304 | 0.530 | 0.500 | 0.304 | 530.2 | 499.5 | 0.268 | 528.9 | 495.0 | 0.631 | 67.5 | 33.3 |
| CV28012021_slice_71 | 0.318 | 0.527 | 0.496 | 0.318 | 526.6 | 495.9 | 0.281 | 525.1 | 490.8 | 0.634 | 66.2 | 32.4 |
| CV28012021_slice_72 | 0.320 | 0.528 | 0.497 | 0.320 | 528.3 | 496.8 | 0.282 | 526.9 | 492.0 | 0.633 | 65.1 | 31.8 |
| CV28012021_slice_73 | 0.318 | 0.529 | 0.497 | 0.318 | 528.8 | 496.5 | 0.280 | 527.5 | 492.1 | 0.633 | 64.2 | 31.3 |
| CV28012021_slice_74 | 0.317 | 0.528 | 0.497 | 0.317 | 528.5 | 496.6 | 0.278 | 527.2 | 492.2 | 0.632 | 64.5 | 31.5 |
| CV28012021_slice_75 | 0.322 | 0.529 | 0.496 | 0.322 | 528.8 | 496.4 | 0.282 | 527.5 | 492.0 | 0.634 | 63.1 | 30.8 |
| CV28012021_slice_76 | 0.323 | 0.530 | 0.498 | 0.323 | 530.0 | 497.9 | 0.284 | 528.6 | 493.4 | 0.639 | 63.5 | 30.8 |
| CV28012021_slice_77 | 0.315 | 0.531 | 0.500 | 0.315 | 531.4 | 500.2 | 0.278 | 530.1 | 495.7 | 0.638 | 64.6 | 31.6 |
| CV28012021_slice_78 | 0.315 | 0.532 | 0.501 | 0.315 | 532.1 | 501.2 | 0.279 | 530.8 | 496.7 | 0.637 | 64.7 | 31.6 |
| CV28012021_slice_79 | 0.333 | 0.529 | 0.497 | 0.333 | 529.1 | 497.3 | 0.294 | 527.7 | 492.5 | 0.645 | 62.6 | 30.2 |
| CV28012021_slice_80 | 0.328 | 0.528 | 0.497 | 0.328 | 527.6 | 497.4 | 0.291 | 526.1 | 492.2 | 0.644 | 64.3 | 31.1 |
| CV28012021_slice_81 | 0.314 | 0.529 | 0.501 | 0.314 | 529.1 | 500.8 | 0.280 | 527.7 | 495.5 | 0.640 | 67.3 | 32.7 |
| CV28012021_slice_82 | 0.312 | 0.529 | 0.501 | 0.312 | 529.0 | 501.3 | 0.279 | 527.6 | 495.9 | 0.633 | 68.5 | 33.3 |
| CV28012021_slice_83 | 0.307 | 0.530 | 0.503 | 0.307 | 530.4 | 503.3 | 0.276 | 529.0 | 497.9 | 0.631 | 70.4 | 34.1 |
| CV28012021_slice_84 | 0.303 | 0.531 | 0.504 | 0.303 | 531.0 | 503.6 | 0.273 | 529.7 | 498.5 | 0.631 | 70.7 | 34.5 |
| CV28012021_slice_85 | 0.310 | 0.530 | 0.502 | 0.310 | 529.9 | 501.8 | 0.277 | 528.5 | 496.7 | 0.631 | 68.8 | 33.6 |
| CV28012021_slice_86 | 0.321 | 0.528 | 0.499 | 0.321 | 528.4 | 499.3 | 0.286 | 526.9 | 494.1 | 0.633 | 66.9 | 32.5 |
| CV28012021_slice_87 | 0.322 | 0.528 | 0.499 | 0.322 | 528.0 | 498.8 | 0.288 | 526.5 | 493.8 | 0.635 | 66.8 | 32.6 |
| CV28012021_slice_88 | 0.322 | 0.529 | 0.500 | 0.322 | 529.1 | 499.9 | 0.287 | 527.7 | 495.0 | 0.633 | 66.7 | 32.5 |
| CV28012021_slice_89 | 0.320 | 0.530 | 0.500 | 0.320 | 530.2 | 500.3 | 0.284 | 528.9 | 495.7 | 0.632 | 66.7 | 32.5 |
| CV28012021_slice_90 | 0.311 | 0.531 | 0.502 | 0.311 | 531.4 | 501.9 | 0.276 | 530.2 | 497.4 | 0.628 | 67.8 | 33.4 |
| CV28012021_slice_91 | 0.308 | 0.532 | 0.502 | 0.308 | 531.9 | 502.3 | 0.274 | 530.7 | 497.9 | 0.631 | 67.6 | 33.4 |
| CV28012021_slice_92 | 0.303 | 0.532 | 0.503 | 0.303 | 532.2 | 503.3 | 0.270 | 531.0 | 498.7 | 0.628 | 68.7 | 33.8 |
| CV28012021_slice_93 | 0.317 | 0.527 | 0.498 | 0.317 | 527.4 | 498.0 | 0.282 | 526.1 | 493.1 | 0.632 | 66.8 | 32.8 |
| CV28012021_slice_94 | 0.322 | 0.529 | 0.499 | 0.322 | 529.0 | 498.9 | 0.286 | 527.7 | 494.2 | 0.636 | 65.9 | 32.4 |
| CV28012021_slice_95 | 0.317 | 0.527 | 0.499 | 0.317 | 527.3 | 498.7 | 0.284 | 525.9 | 493.5 | 0.636 | 68.0 | 33.3 |
| CV28012021_slice_96 | 0.307 | 0.527 | 0.499 | 0.307 | 527.2 | 499.4 | 0.276 | 525.9 | 494.2 | 0.633 | 69.2 | 34.0 |
| CV28012021_slice_97 | 0.294 | 0.529 | 0.501 | 0.294 | 529.0 | 501.3 | 0.264 | 527.8 | 496.4 | 0.629 | 70.1 | 34.8 |
| CV28012021_slice_98 | 0.301 | 0.526 | 0.499 | 0.301 | 526.3 | 498.7 | 0.270 | 525.0 | 493.6 | 0.631 | 69.3 | 34.3 |
| CV28012021_slice_99 | 0.300 | 0.526 | 0.499 | 0.300 | 525.6 | 499.0 | 0.270 | 524.2 | 493.6 | 0.632 | 70.6 | 34.9 |
| CV28012021_slice_100 | 0.291 | 0.527 | 0.501 | 0.291 | 527.4 | 500.9 | 0.263 | 526.1 | 495.8 | 0.632 | 71.6 | 35.4 |
| CV28012021_slice_101 | 0.283 | 0.531 | 0.504 | 0.283 | 531.0 | 504.4 | 0.255 | 529.9 | 499.8 | 0.629 | 72.2 | 35.9 |
| CV28012021_slice_102 | 0.293 | 0.530 | 0.503 | 0.293 | 530.2 | 503.2 | 0.264 | 529.0 | 498.3 | 0.630 | 69.9 | 34.8 |
| CV28012021_slice_103 | 0.295 | 0.531 | 0.504 | 0.295 | 531.3 | 504.4 | 0.266 | 530.2 | 499.6 | 0.631 | 69.9 | 34.8 |
| CV28012021_slice_104 | 0.297 | 0.530 | 0.503 | 0.297 | 530.0 | 502.9 | 0.266 | 528.9 | 498.0 | 0.631 | 69.4 | 34.5 |
| CV28012021_slice_105 | 0.296 | 0.532 | 0.504 | 0.296 | 531.5 | 504.2 | 0.265 | 530.4 | 499.6 | 0.635 | 69.1 | 34.2 |
| CV28012021_slice_106 | 0.294 | 0.534 | 0.507 | 0.294 | 534.0 | 506.7 | 0.264 | 533.1 | 502.4 | 0.638 | 68.6 | 34.1 |
| CV28012021_slice_107 | 0.297 | 0.535 | 0.507 | 0.297 | 534.6 | 507.1 | 0.266 | 533.6 | 502.7 | 0.639 | 67.8 | 33.7 |
| CV28012021_slice_108 | 0.312 | 0.530 | 0.502 | 0.312 | 530.2 | 502.2 | 0.279 | 529.0 | 497.5 | 0.647 | 65.3 | 32.2 |
| CV28012021_slice_109 | 0.307 | 0.530 | 0.502 | 0.307 | 530.1 | 502.5 | 0.275 | 528.9 | 497.7 | 0.649 | 65.4 | 32.2 |
| CV28012021_slice_110 | 0.311 | 0.532 | 0.504 | 0.311 | 531.5 | 504.1 | 0.279 | 530.4 | 499.4 | 0.653 | 64.7 | 31.7 |
| CV28012021_slice_111 | 0.310 | 0.532 | 0.506 | 0.310 | 532.4 | 505.6 | 0.280 | 531.3 | 500.9 | 0.655 | 65.1 | 31.7 |
| CV28012021_slice_112 | 0.312 | 0.532 | 0.506 | 0.312 | 532.3 | 505.6 | 0.281 | 531.1 | 500.8 | 0.659 | 64.8 | 31.3 |
| CV28012021_slice_113 | 0.314 | 0.534 | 0.507 | 0.314 | 533.9 | 507.0 | 0.283 | 532.8 | 502.3 | 0.661 | 63.5 | 30.6 |
| CV28012021_slice_114 | 0.316 | 0.537 | 0.510 | 0.316 | 536.5 | 509.8 | 0.287 | 535.5 | 505.3 | 0.665 | 64.2 | 30.7 |
| CV28012021_slice_115 | 0.309 | 0.539 | 0.513 | 0.309 | 539.2 | 513.4 | 0.282 | 538.3 | 508.9 | 0.667 | 65.5 | 31.3 |
| CV28012021_slice_116 | 0.311 | 0.538 | 0.512 | 0.311 | 537.8 | 511.8 | 0.283 | 536.7 | 507.2 | 0.671 | 65.0 | 30.9 |
| CV28012021_slice_117 | 0.317 | 0.538 | 0.511 | 0.317 | 538.3 | 511.3 | 0.287 | 537.3 | 507.0 | 0.673 | 64.3 | 30.3 |
| CV28012021_slice_118 | 0.320 | 0.535 | 0.508 | 0.320 | 534.9 | 507.7 | 0.289 | 533.8 | 503.1 | 0.671 | 64.1 | 30.3 |
| CV28012021_slice_119 | 0.323 | 0.530 | 0.502 | 0.323 | 530.2 | 502.4 | 0.289 | 529.1 | 497.6 | 0.671 | 62.8 | 29.8 |
| CV28012021_slice_120 | 0.316 | 0.528 | 0.499 | 0.316 | 527.6 | 499.1 | 0.283 | 526.5 | 494.5 | 0.670 | 63.6 | 30.5 |
| CV28012021_slice_121 | 0.316 | 0.527 | 0.497 | 0.316 | 526.8 | 497.3 | 0.280 | 525.8 | 492.9 | 0.667 | 62.7 | 30.4 |
| CV28012021_slice_122 | 0.312 | 0.524 | 0.494 | 0.312 | 524.2 | 493.8 | 0.274 | 523.1 | 489.4 | 0.664 | 61.8 | 30.1 |
| CV28012021_slice_123 | 0.316 | 0.523 | 0.491 | 0.316 | 523.1 | 491.2 | 0.277 | 522.0 | 486.9 | 0.664 | 60.5 | 29.5 |
| CV28012021_slice_124 | 0.335 | 0.522 | 0.488 | 0.335 | 522.3 | 488.1 | 0.291 | 521.3 | 484.1 | 0.666 | 57.5 | 27.9 |
| CV28012021_slice_125 | 0.337 | 0.523 | 0.489 | 0.337 | 523.4 | 488.8 | 0.292 | 522.4 | 484.9 | 0.667 | 57.2 | 27.7 |
| CV28012021_slice_126 | 0.321 | 0.521 | 0.488 | 0.321 | 521.2 | 487.6 | 0.280 | 520.1 | 483.3 | 0.664 | 58.9 | 28.7 |
| CV28012021_slice_127 | 0.313 | 0.521 | 0.488 | 0.313 | 521.3 | 488.0 | 0.272 | 520.3 | 483.9 | 0.657 | 60.6 | 29.5 |
| CV28012021_slice_128 | 0.303 | 0.521 | 0.487 | 0.303 | 521.1 | 487.5 | 0.263 | 520.2 | 483.4 | 0.646 | 61.7 | 30.5 |
| CV28012021_slice_129 | 0.301 | 0.519 | 0.485 | 0.301 | 518.8 | 484.6 | 0.261 | 517.7 | 480.4 | 0.641 | 62.6 | 31.0 |
| CV28012021_slice_130 | 0.293 | 0.518 | 0.484 | 0.293 | 518.5 | 483.7 | 0.254 | 517.5 | 479.7 | 0.635 | 63.2 | 31.8 |
| CV28012021_slice_131 | 0.284 | 0.519 | 0.483 | 0.284 | 518.7 | 483.2 | 0.246 | 517.8 | 479.3 | 0.629 | 64.1 | 32.6 |
| CV28012021_slice_132 | 0.262 | 0.520 | 0.485 | 0.262 | 519.7 | 484.9 | 0.230 | 518.9 | 481.1 | 0.620 | 67.0 | 34.7 |
| CV28012021_slice_133 | 0.256 | 0.516 | 0.482 | 0.256 | 516.4 | 482.1 | 0.228 | 515.5 | 478.0 | 0.617 | 69.0 | 35.8 |
| CV28012021_slice_134 | 0.238 | 0.520 | 0.485 | 0.238 | 519.5 | 484.7 | 0.215 | 518.8 | 481.3 | 0.609 | 72.2 | 37.9 |
| CV28012021_slice_135 | 0.243 | 0.513 | 0.477 | 0.243 | 513.0 | 476.8 | 0.220 | 512.2 | 473.1 | 0.612 | 71.0 | 37.4 |
| CV28012021_slice_136 | 0.242 | 0.509 | 0.472 | 0.242 | 508.6 | 471.8 | 0.219 | 507.6 | 467.9 | 0.608 | 70.9 | 37.4 |
| CV28012021_slice_137 | 0.240 | 0.503 | 0.467 | 0.240 | 503.1 | 466.6 | 0.221 | 502.0 | 462.5 | 0.605 | 72.9 | 38.5 |
| CV28012021_slice_138 | 0.232 | 0.502 | 0.465 | 0.232 | 502.2 | 465.0 | 0.216 | 501.2 | 461.1 | 0.603 | 74.3 | 39.4 |
| CV28012021_slice_139 | 0.224 | 0.505 | 0.466 | 0.224 | 505.0 | 466.5 | 0.208 | 504.1 | 462.9 | 0.598 | 74.6 | 39.9 |
| CV28012021_slice_140 | 0.233 | 0.500 | 0.460 | 0.233 | 500.1 | 459.8 | 0.212 | 499.2 | 456.1 | 0.596 | 72.4 | 38.8 |
| CV28012021_slice_141 | 0.240 | 0.497 | 0.455 | 0.240 | 497.1 | 455.4 | 0.218 | 496.2 | 452.0 | 0.596 | 71.7 | 38.4 |
| CV28012021_slice_142 | 0.242 | 0.495 | 0.453 | 0.242 | 494.8 | 452.7 | 0.220 | 493.9 | 449.3 | 0.596 | 71.7 | 38.5 |
| CV28012021_slice_143 | 0.220 | 0.497 | 0.456 | 0.220 | 496.9 | 456.2 | 0.207 | 496.0 | 452.7 | 0.589 | 75.5 | 40.9 |
| CV28012021_slice_144 | 0.203 | 0.497 | 0.459 | 0.203 | 496.6 | 458.5 | 0.202 | 495.5 | 454.5 | 0.581 | 80.8 | 44.2 |
| CV28012021_slice_145 | 0.193 | 0.501 | 0.463 | 0.193 | 501.3 | 463.0 | 0.193 | 500.4 | 459.3 | 0.577 | 82.5 | 45.4 |
| CV28012021_slice_146 | 0.196 | 0.499 | 0.460 | 0.196 | 498.7 | 460.3 | 0.196 | 497.7 | 456.4 | 0.577 | 82.2 | 45.2 |
| CV28012021_slice_147 | 0.199 | 0.497 | 0.457 | 0.199 | 496.7 | 457.4 | 0.195 | 495.7 | 453.5 | 0.574 | 80.1 | 44.2 |
| CV28012021_slice_148 | 0.198 | 0.498 | 0.458 | 0.198 | 498.4 | 458.0 | 0.189 | 497.6 | 454.3 | 0.572 | 78.6 | 43.6 |
| CV28012021_slice_149 | 0.202 | 0.495 | 0.455 | 0.202 | 494.8 | 454.8 | 0.195 | 493.8 | 450.9 | 0.569 | 79.0 | 43.8 |
| CV28012021_slice_150 | 0.199 | 0.496 | 0.456 | 0.199 | 495.9 | 455.8 | 0.192 | 494.9 | 452.1 | 0.567 | 79.2 | 44.1 |
| CV28012021_slice_151 | 0.192 | 0.498 | 0.458 | 0.192 | 498.1 | 457.7 | 0.184 | 497.2 | 454.1 | 0.562 | 79.4 | 44.4 |
| CV28012021_slice_152 | 0.191 | 0.498 | 0.458 | 0.191 | 498.4 | 457.5 | 0.182 | 497.6 | 454.0 | 0.563 | 79.0 | 44.3 |
| CV28012021_slice_153 | 0.186 | 0.498 | 0.458 | 0.186 | 498.4 | 458.0 | 0.180 | 497.6 | 454.4 | 0.562 | 80.1 | 44.9 |
| CV28012021_slice_154 | 0.187 | 0.496 | 0.456 | 0.187 | 495.6 | 456.1 | 0.185 | 494.6 | 452.3 | 0.562 | 81.7 | 45.7 |
| CV28012021_slice_155 | 0.184 | 0.496 | 0.457 | 0.184 | 496.2 | 456.9 | 0.183 | 495.3 | 453.1 | 0.561 | 82.6 | 46.3 |
| CV28012021_slice_156 | 0.184 | 0.496 | 0.457 | 0.184 | 496.1 | 456.9 | 0.184 | 495.2 | 453.2 | 0.560 | 82.9 | 46.4 |
| CV28012021_slice_157 | 0.189 | 0.495 | 0.456 | 0.189 | 495.4 | 455.8 | 0.186 | 494.5 | 452.1 | 0.562 | 82.3 | 45.9 |
| CV28012021_slice_158 | 0.192 | 0.494 | 0.454 | 0.192 | 493.8 | 453.6 | 0.188 | 492.8 | 450.0 | 0.563 | 81.2 | 45.3 |
| CV28012021_slice_159 | 0.211 | 0.492 | 0.450 | 0.211 | 492.1 | 449.7 | 0.198 | 491.1 | 446.3 | 0.563 | 77.3 | 42.8 |
| CV28012021_slice_160 | 0.228 | 0.492 | 0.448 | 0.228 | 491.9 | 447.9 | 0.207 | 491.0 | 444.7 | 0.567 | 74.4 | 41.0 |
| CV28012021_slice_161 | 0.226 | 0.493 | 0.449 | 0.226 | 493.0 | 448.9 | 0.205 | 492.1 | 445.8 | 0.567 | 74.8 | 41.3 |
| CV28012021_slice_162 | 0.216 | 0.494 | 0.451 | 0.216 | 493.8 | 450.6 | 0.200 | 492.9 | 447.3 | 0.565 | 76.2 | 42.2 |
| CV28012021_slice_163 | 0.198 | 0.495 | 0.455 | 0.198 | 495.5 | 455.1 | 0.193 | 494.5 | 451.4 | 0.566 | 80.6 | 44.8 |
| CV28012021_slice_164 | 0.189 | 0.499 | 0.459 | 0.189 | 498.7 | 459.4 | 0.187 | 497.8 | 455.7 | 0.563 | 82.6 | 45.9 |
| CV28012021_slice_165 | 0.188 | 0.500 | 0.460 | 0.188 | 499.7 | 460.2 | 0.184 | 498.8 | 456.6 | 0.560 | 82.1 | 45.8 |
| CV28012021_slice_166 | 0.195 | 0.497 | 0.459 | 0.195 | 497.3 | 458.6 | 0.193 | 496.3 | 454.8 | 0.564 | 82.4 | 45.8 |
| CV28012021_slice_167 | 0.196 | 0.501 | 0.461 | 0.196 | 500.7 | 461.1 | 0.189 | 499.8 | 457.5 | 0.563 | 80.9 | 45.0 |
| CV28012021_slice_168 | 0.200 | 0.499 | 0.459 | 0.200 | 499.0 | 459.2 | 0.191 | 498.1 | 455.5 | 0.564 | 79.9 | 44.4 |
| CV28012021_slice_169 | 0.213 | 0.499 | 0.458 | 0.213 | 498.8 | 457.6 | 0.198 | 497.9 | 454.1 | 0.566 | 77.1 | 42.6 |
4Γ3 grid: Rows show different image types (Original NATIVE, Reconstructed NATIVE, Original VENOUS, Generated VENOUS), Columns show windowing techniques (No Window, Lung Window, Mediastinum Window)