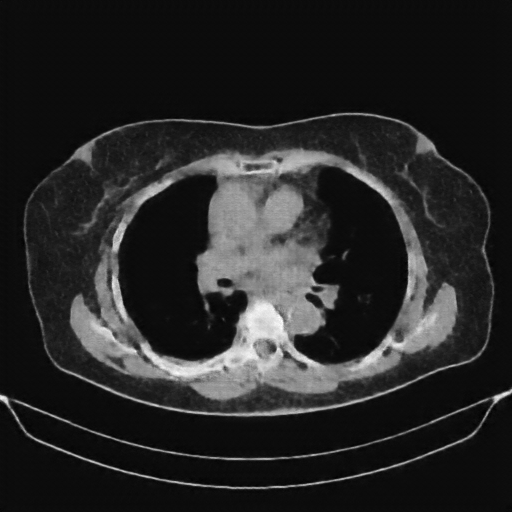
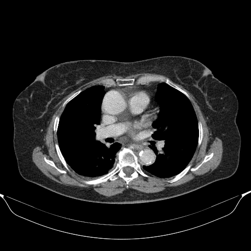
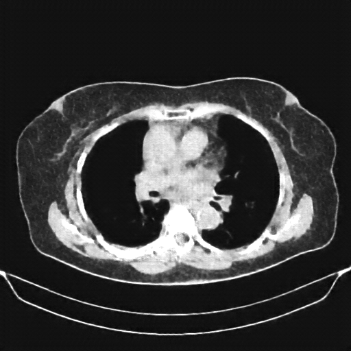
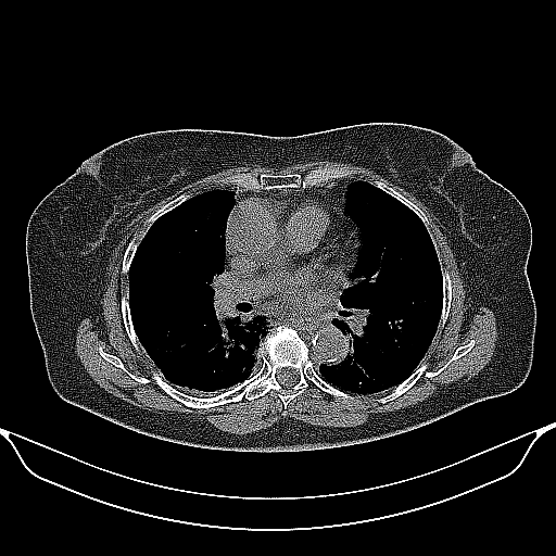
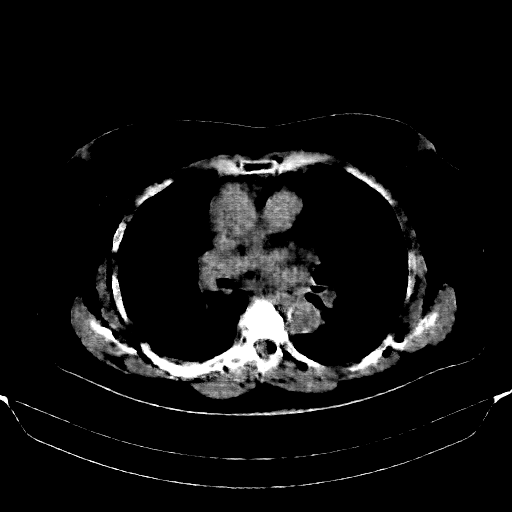
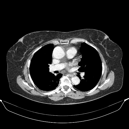
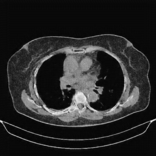
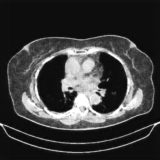
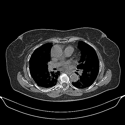
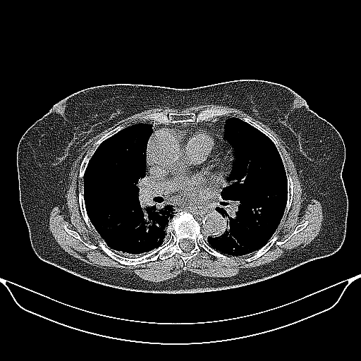
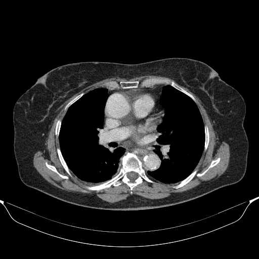
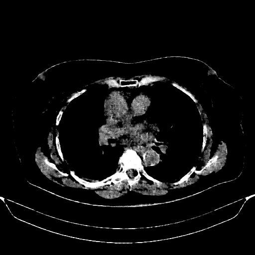
Slice 70 Targeting Evaluation
Patient ID: ME19112020
Model: cytran
Slice: Slice_70
Slice Thickness: 2.5mm
Conversion: NATIVE β VENOUS
Contains all 4 metric datasets: Network-Normalized, Hounsfield Units, Lung Window, and Mediastinum Window
| Slice ID | SSIM | RMSE | MAE | HU SSIM | HU RMSE | HU MAE | Lung SSIM | Lung RMSE | Lung MAE | Mediastinum SSIM | Mediastinum RMSE | Mediastinum MAE |
|---|---|---|---|---|---|---|---|---|---|---|---|---|
| ME19112020_slice_0 | 0.268 | 0.528 | 0.497 | 0.268 | 527.9 | 497.2 | 0.249 | 526.5 | 492.5 | 0.647 | 83.2 | 41.5 |
| ME19112020_slice_1 | 0.270 | 0.528 | 0.497 | 0.270 | 528.4 | 497.3 | 0.251 | 527.1 | 492.8 | 0.645 | 82.4 | 41.3 |
| ME19112020_slice_2 | 0.273 | 0.526 | 0.494 | 0.273 | 525.9 | 493.9 | 0.252 | 524.6 | 489.3 | 0.648 | 80.6 | 40.3 |
| ME19112020_slice_3 | 0.271 | 0.527 | 0.495 | 0.271 | 527.2 | 495.4 | 0.251 | 525.9 | 491.0 | 0.649 | 81.0 | 40.4 |
| ME19112020_slice_4 | 0.269 | 0.529 | 0.498 | 0.269 | 529.4 | 498.2 | 0.251 | 528.2 | 493.9 | 0.648 | 82.0 | 40.7 |
| ME19112020_slice_5 | 0.271 | 0.529 | 0.498 | 0.271 | 529.0 | 498.0 | 0.253 | 527.6 | 493.4 | 0.649 | 81.5 | 40.4 |
| ME19112020_slice_6 | 0.267 | 0.530 | 0.500 | 0.267 | 530.4 | 500.0 | 0.251 | 529.1 | 495.6 | 0.649 | 82.5 | 40.9 |
| ME19112020_slice_7 | 0.268 | 0.529 | 0.498 | 0.268 | 529.0 | 498.2 | 0.251 | 527.6 | 493.5 | 0.650 | 81.0 | 40.1 |
| ME19112020_slice_8 | 0.269 | 0.527 | 0.497 | 0.269 | 527.1 | 496.8 | 0.250 | 525.6 | 491.7 | 0.654 | 80.4 | 39.6 |
| ME19112020_slice_9 | 0.270 | 0.529 | 0.499 | 0.270 | 529.2 | 499.1 | 0.251 | 527.7 | 494.2 | 0.655 | 80.5 | 39.6 |
| ME19112020_slice_10 | 0.275 | 0.529 | 0.499 | 0.275 | 528.7 | 498.6 | 0.253 | 527.1 | 493.6 | 0.656 | 79.0 | 38.6 |
| ME19112020_slice_11 | 0.278 | 0.527 | 0.496 | 0.278 | 527.1 | 496.3 | 0.252 | 525.6 | 491.5 | 0.659 | 76.4 | 37.2 |
| ME19112020_slice_12 | 0.280 | 0.529 | 0.498 | 0.280 | 529.2 | 497.8 | 0.252 | 527.8 | 493.2 | 0.658 | 75.3 | 36.6 |
| ME19112020_slice_13 | 0.281 | 0.530 | 0.499 | 0.281 | 529.8 | 499.0 | 0.253 | 528.4 | 494.5 | 0.659 | 75.6 | 36.6 |
| ME19112020_slice_14 | 0.280 | 0.530 | 0.500 | 0.280 | 529.9 | 499.9 | 0.253 | 528.6 | 495.3 | 0.659 | 75.8 | 36.8 |
| ME19112020_slice_15 | 0.284 | 0.531 | 0.501 | 0.284 | 531.0 | 500.9 | 0.255 | 529.6 | 496.1 | 0.660 | 74.9 | 36.2 |
| ME19112020_slice_16 | 0.280 | 0.534 | 0.504 | 0.280 | 533.9 | 504.2 | 0.253 | 532.4 | 499.7 | 0.661 | 76.0 | 36.6 |
| ME19112020_slice_17 | 0.284 | 0.534 | 0.504 | 0.284 | 533.7 | 504.0 | 0.256 | 532.3 | 499.5 | 0.666 | 74.3 | 35.5 |
| ME19112020_slice_18 | 0.287 | 0.533 | 0.503 | 0.287 | 533.4 | 503.3 | 0.257 | 532.0 | 498.8 | 0.669 | 72.7 | 34.6 |
| ME19112020_slice_19 | 0.288 | 0.536 | 0.505 | 0.288 | 535.6 | 505.2 | 0.256 | 534.4 | 501.0 | 0.672 | 70.4 | 33.4 |
| ME19112020_slice_20 | 0.295 | 0.534 | 0.504 | 0.295 | 534.4 | 504.1 | 0.260 | 533.1 | 499.9 | 0.674 | 69.6 | 32.7 |
| ME19112020_slice_21 | 0.308 | 0.528 | 0.498 | 0.308 | 528.5 | 497.9 | 0.267 | 527.0 | 493.2 | 0.681 | 67.4 | 31.2 |
| ME19112020_slice_22 | 0.309 | 0.529 | 0.499 | 0.309 | 529.3 | 498.6 | 0.268 | 527.8 | 494.1 | 0.684 | 67.0 | 31.0 |
| ME19112020_slice_23 | 0.309 | 0.530 | 0.500 | 0.309 | 529.6 | 499.8 | 0.267 | 527.9 | 494.9 | 0.683 | 66.9 | 31.0 |
| ME19112020_slice_24 | 0.311 | 0.531 | 0.500 | 0.311 | 530.5 | 500.5 | 0.267 | 528.8 | 495.7 | 0.685 | 66.4 | 30.5 |
| ME19112020_slice_25 | 0.310 | 0.533 | 0.503 | 0.310 | 532.6 | 502.7 | 0.266 | 531.1 | 498.2 | 0.690 | 64.5 | 29.7 |
| ME19112020_slice_26 | 0.310 | 0.533 | 0.504 | 0.310 | 533.4 | 503.8 | 0.266 | 532.0 | 499.4 | 0.692 | 64.3 | 29.5 |
| ME19112020_slice_27 | 0.307 | 0.532 | 0.503 | 0.307 | 532.1 | 503.0 | 0.265 | 530.4 | 498.3 | 0.692 | 65.7 | 30.0 |
| ME19112020_slice_28 | 0.302 | 0.531 | 0.503 | 0.302 | 531.1 | 503.1 | 0.262 | 529.2 | 498.1 | 0.688 | 68.1 | 31.1 |
| ME19112020_slice_29 | 0.296 | 0.534 | 0.507 | 0.296 | 534.4 | 506.6 | 0.260 | 532.7 | 501.8 | 0.691 | 69.0 | 31.6 |
| ME19112020_slice_30 | 0.300 | 0.534 | 0.505 | 0.300 | 533.9 | 505.4 | 0.263 | 532.3 | 500.6 | 0.692 | 67.7 | 30.9 |
| ME19112020_slice_31 | 0.304 | 0.531 | 0.502 | 0.304 | 531.4 | 502.3 | 0.264 | 529.7 | 497.4 | 0.689 | 67.6 | 30.6 |
| ME19112020_slice_32 | 0.309 | 0.529 | 0.499 | 0.309 | 529.4 | 499.4 | 0.266 | 527.9 | 494.7 | 0.691 | 65.7 | 29.8 |
| ME19112020_slice_33 | 0.318 | 0.526 | 0.495 | 0.318 | 525.8 | 495.2 | 0.272 | 524.2 | 490.5 | 0.692 | 64.4 | 29.2 |
| ME19112020_slice_34 | 0.343 | 0.525 | 0.493 | 0.343 | 525.5 | 492.7 | 0.289 | 524.0 | 488.6 | 0.694 | 62.0 | 27.8 |
| ME19112020_slice_35 | 0.359 | 0.524 | 0.490 | 0.359 | 524.1 | 490.3 | 0.300 | 522.8 | 486.6 | 0.704 | 55.7 | 25.3 |
| ME19112020_slice_36 | 0.360 | 0.523 | 0.490 | 0.360 | 523.3 | 489.7 | 0.301 | 522.1 | 486.1 | 0.705 | 55.4 | 25.2 |
| ME19112020_slice_37 | 0.355 | 0.525 | 0.492 | 0.355 | 525.4 | 492.2 | 0.299 | 524.1 | 488.5 | 0.707 | 55.8 | 25.4 |
| ME19112020_slice_38 | 0.354 | 0.524 | 0.491 | 0.354 | 524.1 | 491.3 | 0.298 | 522.7 | 487.5 | 0.705 | 56.6 | 25.8 |
| ME19112020_slice_39 | 0.351 | 0.524 | 0.491 | 0.351 | 523.9 | 491.3 | 0.294 | 522.4 | 487.4 | 0.703 | 57.0 | 26.0 |
| ME19112020_slice_40 | 0.344 | 0.528 | 0.496 | 0.344 | 527.8 | 495.5 | 0.289 | 526.3 | 491.6 | 0.701 | 58.0 | 26.4 |
| ME19112020_slice_41 | 0.341 | 0.529 | 0.496 | 0.341 | 528.6 | 496.5 | 0.286 | 527.2 | 492.6 | 0.698 | 58.6 | 26.6 |
| ME19112020_slice_42 | 0.337 | 0.526 | 0.495 | 0.337 | 526.4 | 494.8 | 0.284 | 524.9 | 490.5 | 0.697 | 59.8 | 27.0 |
| ME19112020_slice_43 | 0.339 | 0.525 | 0.493 | 0.339 | 524.8 | 493.3 | 0.286 | 523.3 | 489.0 | 0.695 | 60.2 | 27.2 |
| ME19112020_slice_44 | 0.329 | 0.529 | 0.498 | 0.329 | 529.4 | 498.2 | 0.278 | 528.0 | 493.9 | 0.691 | 61.6 | 27.9 |
| ME19112020_slice_45 | 0.331 | 0.529 | 0.498 | 0.331 | 529.3 | 497.9 | 0.281 | 527.8 | 493.5 | 0.692 | 62.3 | 28.2 |
| ME19112020_slice_46 | 0.339 | 0.527 | 0.495 | 0.339 | 526.7 | 494.8 | 0.286 | 525.1 | 490.4 | 0.689 | 62.7 | 28.3 |
| ME19112020_slice_47 | 0.346 | 0.523 | 0.490 | 0.346 | 522.5 | 490.0 | 0.291 | 521.0 | 485.9 | 0.690 | 61.5 | 27.7 |
| ME19112020_slice_48 | 0.348 | 0.520 | 0.487 | 0.348 | 519.8 | 487.3 | 0.292 | 518.3 | 483.2 | 0.689 | 60.9 | 27.6 |
| ME19112020_slice_49 | 0.348 | 0.522 | 0.489 | 0.348 | 522.0 | 488.9 | 0.292 | 520.6 | 485.0 | 0.687 | 60.5 | 27.5 |
| ME19112020_slice_50 | 0.351 | 0.523 | 0.489 | 0.351 | 522.5 | 488.7 | 0.292 | 521.2 | 485.1 | 0.685 | 59.9 | 27.4 |
| ME19112020_slice_51 | 0.345 | 0.525 | 0.491 | 0.345 | 524.6 | 491.3 | 0.288 | 523.3 | 487.5 | 0.681 | 61.3 | 28.3 |
| ME19112020_slice_52 | 0.337 | 0.529 | 0.495 | 0.337 | 528.7 | 495.5 | 0.283 | 527.5 | 492.0 | 0.680 | 61.6 | 28.6 |
| ME19112020_slice_53 | 0.339 | 0.525 | 0.492 | 0.339 | 524.9 | 492.3 | 0.284 | 523.5 | 488.4 | 0.678 | 62.1 | 28.9 |
| ME19112020_slice_54 | 0.337 | 0.526 | 0.493 | 0.337 | 525.5 | 493.3 | 0.282 | 524.1 | 489.3 | 0.677 | 63.2 | 29.4 |
| ME19112020_slice_55 | 0.331 | 0.527 | 0.495 | 0.331 | 526.6 | 494.7 | 0.279 | 525.0 | 490.6 | 0.673 | 64.5 | 29.9 |
| ME19112020_slice_56 | 0.326 | 0.529 | 0.497 | 0.326 | 528.9 | 496.9 | 0.274 | 527.4 | 492.9 | 0.670 | 64.9 | 30.1 |
| ME19112020_slice_57 | 0.322 | 0.527 | 0.496 | 0.322 | 527.1 | 495.6 | 0.272 | 525.6 | 491.4 | 0.667 | 66.0 | 30.5 |
| ME19112020_slice_58 | 0.329 | 0.524 | 0.492 | 0.329 | 524.1 | 492.1 | 0.276 | 522.7 | 488.0 | 0.670 | 64.7 | 29.8 |
| ME19112020_slice_59 | 0.334 | 0.523 | 0.491 | 0.334 | 523.2 | 491.0 | 0.281 | 521.8 | 486.9 | 0.672 | 64.6 | 29.6 |
| ME19112020_slice_60 | 0.335 | 0.523 | 0.491 | 0.335 | 523.1 | 491.0 | 0.282 | 521.6 | 487.1 | 0.674 | 64.9 | 29.8 |
| ME19112020_slice_61 | 0.337 | 0.520 | 0.488 | 0.337 | 520.3 | 488.2 | 0.282 | 518.9 | 484.3 | 0.672 | 64.9 | 30.0 |
| ME19112020_slice_62 | 0.341 | 0.519 | 0.487 | 0.341 | 519.5 | 486.9 | 0.284 | 518.1 | 483.1 | 0.672 | 63.2 | 29.3 |
| ME19112020_slice_63 | 0.346 | 0.520 | 0.487 | 0.346 | 520.4 | 486.9 | 0.287 | 519.1 | 483.4 | 0.674 | 61.8 | 28.7 |
| ME19112020_slice_64 | 0.343 | 0.520 | 0.486 | 0.343 | 519.8 | 486.0 | 0.284 | 518.5 | 482.5 | 0.675 | 61.0 | 28.6 |
| ME19112020_slice_65 | 0.338 | 0.518 | 0.485 | 0.338 | 518.3 | 484.7 | 0.280 | 517.0 | 481.0 | 0.672 | 61.3 | 28.9 |
| ME19112020_slice_66 | 0.338 | 0.518 | 0.484 | 0.338 | 517.6 | 484.2 | 0.279 | 516.3 | 480.4 | 0.670 | 61.9 | 29.2 |
| ME19112020_slice_67 | 0.336 | 0.519 | 0.486 | 0.336 | 519.0 | 485.6 | 0.279 | 517.6 | 481.8 | 0.671 | 62.7 | 29.6 |
| ME19112020_slice_68 | 0.333 | 0.519 | 0.486 | 0.333 | 519.1 | 486.0 | 0.277 | 517.6 | 482.0 | 0.672 | 62.9 | 30.0 |
| ME19112020_slice_69 | 0.323 | 0.522 | 0.489 | 0.323 | 522.0 | 489.4 | 0.270 | 520.6 | 485.5 | 0.669 | 63.9 | 30.6 |
| ME19112020_slice_70 | 0.320 | 0.522 | 0.489 | 0.320 | 522.5 | 489.3 | 0.267 | 521.2 | 485.7 | 0.667 | 63.7 | 30.4 |
| ME19112020_slice_71 | 0.323 | 0.520 | 0.487 | 0.323 | 519.9 | 487.0 | 0.271 | 518.6 | 483.2 | 0.668 | 64.3 | 30.7 |
| ME19112020_slice_72 | 0.324 | 0.519 | 0.486 | 0.324 | 519.0 | 486.0 | 0.271 | 517.8 | 482.1 | 0.670 | 64.8 | 30.8 |
| ME19112020_slice_73 | 0.334 | 0.516 | 0.481 | 0.334 | 516.0 | 481.4 | 0.277 | 514.9 | 477.8 | 0.671 | 64.0 | 30.0 |
| ME19112020_slice_74 | 0.338 | 0.513 | 0.478 | 0.338 | 512.7 | 477.6 | 0.278 | 511.4 | 473.9 | 0.669 | 64.0 | 29.9 |
| ME19112020_slice_75 | 0.339 | 0.512 | 0.476 | 0.339 | 511.6 | 476.3 | 0.278 | 510.4 | 472.7 | 0.668 | 63.9 | 30.2 |
| ME19112020_slice_76 | 0.339 | 0.510 | 0.474 | 0.339 | 510.0 | 474.5 | 0.277 | 508.8 | 470.8 | 0.667 | 64.3 | 30.4 |
| ME19112020_slice_77 | 0.344 | 0.510 | 0.474 | 0.344 | 509.7 | 473.7 | 0.279 | 508.5 | 470.0 | 0.666 | 62.5 | 29.6 |
| ME19112020_slice_78 | 0.343 | 0.513 | 0.476 | 0.343 | 512.9 | 476.4 | 0.279 | 511.7 | 472.8 | 0.666 | 61.9 | 29.2 |
| ME19112020_slice_79 | 0.334 | 0.514 | 0.478 | 0.334 | 514.3 | 478.5 | 0.273 | 513.1 | 474.9 | 0.664 | 63.8 | 30.3 |
| ME19112020_slice_80 | 0.330 | 0.516 | 0.481 | 0.330 | 516.4 | 480.6 | 0.272 | 515.1 | 477.0 | 0.665 | 64.3 | 30.3 |
| ME19112020_slice_81 | 0.328 | 0.517 | 0.482 | 0.328 | 517.5 | 481.5 | 0.271 | 516.3 | 478.1 | 0.660 | 65.5 | 31.0 |
| ME19112020_slice_82 | 0.324 | 0.518 | 0.483 | 0.324 | 518.4 | 482.6 | 0.269 | 517.3 | 479.2 | 0.655 | 65.9 | 31.7 |
| ME19112020_slice_83 | 0.325 | 0.516 | 0.480 | 0.325 | 515.5 | 480.2 | 0.269 | 514.2 | 476.5 | 0.653 | 65.1 | 31.4 |
| ME19112020_slice_84 | 0.327 | 0.516 | 0.480 | 0.327 | 515.6 | 480.4 | 0.269 | 514.3 | 476.6 | 0.654 | 65.5 | 31.6 |
| ME19112020_slice_85 | 0.326 | 0.515 | 0.481 | 0.326 | 515.3 | 480.9 | 0.272 | 514.0 | 476.9 | 0.652 | 66.9 | 32.2 |
| ME19112020_slice_86 | 0.319 | 0.522 | 0.487 | 0.319 | 521.6 | 487.1 | 0.268 | 520.5 | 483.5 | 0.650 | 66.8 | 32.3 |
| ME19112020_slice_87 | 0.321 | 0.523 | 0.487 | 0.321 | 522.6 | 487.3 | 0.267 | 521.5 | 483.9 | 0.648 | 66.3 | 31.9 |
| ME19112020_slice_88 | 0.332 | 0.517 | 0.481 | 0.332 | 516.8 | 480.6 | 0.274 | 515.7 | 477.1 | 0.650 | 65.0 | 31.0 |
| ME19112020_slice_89 | 0.327 | 0.514 | 0.479 | 0.327 | 514.4 | 479.3 | 0.271 | 513.2 | 475.5 | 0.648 | 66.9 | 32.0 |
| ME19112020_slice_90 | 0.332 | 0.514 | 0.479 | 0.332 | 514.4 | 478.9 | 0.275 | 513.2 | 475.3 | 0.647 | 66.3 | 31.7 |
| ME19112020_slice_91 | 0.342 | 0.513 | 0.476 | 0.342 | 512.8 | 476.2 | 0.281 | 511.7 | 472.9 | 0.650 | 64.3 | 30.6 |
| ME19112020_slice_92 | 0.339 | 0.514 | 0.478 | 0.339 | 513.9 | 477.7 | 0.278 | 512.8 | 474.4 | 0.648 | 65.0 | 30.9 |
| ME19112020_slice_93 | 0.338 | 0.514 | 0.478 | 0.338 | 514.1 | 478.1 | 0.279 | 513.0 | 474.6 | 0.651 | 64.7 | 30.7 |
| ME19112020_slice_94 | 0.336 | 0.513 | 0.477 | 0.336 | 512.8 | 476.9 | 0.278 | 511.6 | 473.4 | 0.653 | 65.3 | 30.9 |
| ME19112020_slice_95 | 0.337 | 0.514 | 0.478 | 0.337 | 513.7 | 477.5 | 0.279 | 512.6 | 474.1 | 0.656 | 64.5 | 30.5 |
| ME19112020_slice_96 | 0.333 | 0.515 | 0.479 | 0.333 | 515.2 | 479.1 | 0.275 | 514.0 | 475.7 | 0.660 | 64.5 | 30.5 |
| ME19112020_slice_97 | 0.323 | 0.514 | 0.478 | 0.323 | 513.7 | 478.0 | 0.268 | 512.3 | 474.2 | 0.655 | 66.3 | 31.5 |
| ME19112020_slice_98 | 0.320 | 0.514 | 0.477 | 0.320 | 513.6 | 477.5 | 0.267 | 512.4 | 473.8 | 0.653 | 65.9 | 31.7 |
| ME19112020_slice_99 | 0.322 | 0.514 | 0.478 | 0.322 | 514.5 | 477.9 | 0.268 | 513.4 | 474.6 | 0.653 | 66.5 | 31.8 |
| ME19112020_slice_100 | 0.323 | 0.512 | 0.474 | 0.323 | 511.5 | 474.3 | 0.270 | 510.5 | 470.9 | 0.658 | 66.1 | 31.5 |
| ME19112020_slice_101 | 0.309 | 0.516 | 0.480 | 0.309 | 516.1 | 480.0 | 0.261 | 515.1 | 476.8 | 0.656 | 68.6 | 32.7 |
| ME19112020_slice_102 | 0.315 | 0.514 | 0.478 | 0.315 | 514.2 | 477.7 | 0.265 | 513.1 | 474.4 | 0.656 | 68.8 | 32.8 |
| ME19112020_slice_103 | 0.332 | 0.510 | 0.472 | 0.332 | 509.7 | 472.4 | 0.277 | 508.6 | 469.1 | 0.663 | 68.3 | 32.1 |
| ME19112020_slice_104 | 0.340 | 0.509 | 0.471 | 0.340 | 509.3 | 471.0 | 0.281 | 508.2 | 467.8 | 0.665 | 66.3 | 31.0 |
| ME19112020_slice_105 | 0.338 | 0.513 | 0.475 | 0.338 | 513.5 | 475.2 | 0.280 | 512.4 | 472.1 | 0.669 | 65.8 | 30.6 |
| ME19112020_slice_106 | 0.320 | 0.515 | 0.480 | 0.320 | 515.5 | 479.9 | 0.271 | 514.4 | 476.8 | 0.674 | 71.1 | 32.7 |
| ME19112020_slice_107 | 0.316 | 0.517 | 0.482 | 0.316 | 517.4 | 482.4 | 0.271 | 516.3 | 479.1 | 0.677 | 73.2 | 33.6 |
| ME19112020_slice_108 | 0.323 | 0.516 | 0.480 | 0.323 | 516.1 | 479.9 | 0.275 | 515.0 | 476.7 | 0.675 | 69.7 | 32.3 |
| ME19112020_slice_109 | 0.330 | 0.516 | 0.478 | 0.330 | 515.5 | 478.3 | 0.278 | 514.5 | 475.2 | 0.677 | 67.2 | 31.1 |
| ME19112020_slice_110 | 0.323 | 0.516 | 0.480 | 0.323 | 516.1 | 480.4 | 0.277 | 515.0 | 477.1 | 0.675 | 70.4 | 32.3 |
| ME19112020_slice_111 | 0.320 | 0.518 | 0.482 | 0.320 | 518.0 | 482.5 | 0.275 | 516.9 | 479.1 | 0.672 | 70.1 | 32.7 |
| ME19112020_slice_112 | 0.328 | 0.518 | 0.480 | 0.328 | 518.0 | 480.5 | 0.278 | 516.9 | 477.2 | 0.674 | 65.3 | 30.5 |
| ME19112020_slice_113 | 0.318 | 0.522 | 0.485 | 0.318 | 522.0 | 484.6 | 0.271 | 521.0 | 481.6 | 0.672 | 66.6 | 31.2 |
| ME19112020_slice_114 | 0.319 | 0.519 | 0.483 | 0.319 | 518.8 | 482.7 | 0.274 | 517.7 | 479.3 | 0.671 | 68.5 | 32.1 |
| ME19112020_slice_115 | 0.318 | 0.517 | 0.481 | 0.318 | 516.7 | 481.0 | 0.274 | 515.6 | 477.4 | 0.669 | 68.9 | 32.3 |
| ME19112020_slice_116 | 0.320 | 0.518 | 0.482 | 0.320 | 518.3 | 482.1 | 0.275 | 517.2 | 478.7 | 0.667 | 69.5 | 32.5 |
| ME19112020_slice_117 | 0.334 | 0.516 | 0.478 | 0.334 | 515.6 | 477.7 | 0.282 | 514.5 | 474.5 | 0.667 | 66.2 | 30.9 |
| ME19112020_slice_118 | 0.332 | 0.516 | 0.478 | 0.332 | 516.3 | 477.5 | 0.278 | 515.3 | 474.5 | 0.667 | 64.8 | 30.6 |
| ME19112020_slice_119 | 0.338 | 0.514 | 0.475 | 0.338 | 514.4 | 474.6 | 0.281 | 513.4 | 471.7 | 0.665 | 63.5 | 29.9 |
| ME19112020_slice_120 | 0.343 | 0.512 | 0.471 | 0.343 | 512.3 | 471.4 | 0.285 | 511.5 | 468.7 | 0.665 | 63.7 | 29.7 |
| ME19112020_slice_121 | 0.350 | 0.510 | 0.469 | 0.350 | 509.7 | 468.8 | 0.289 | 508.8 | 466.0 | 0.660 | 63.3 | 29.9 |
| ME19112020_slice_122 | 0.350 | 0.510 | 0.468 | 0.350 | 509.5 | 468.2 | 0.286 | 508.7 | 465.6 | 0.655 | 62.9 | 30.2 |
| ME19112020_slice_123 | 0.350 | 0.505 | 0.462 | 0.350 | 505.0 | 462.2 | 0.283 | 504.2 | 459.6 | 0.648 | 61.7 | 30.0 |
| ME19112020_slice_124 | 0.349 | 0.504 | 0.460 | 0.349 | 503.7 | 460.3 | 0.281 | 502.9 | 457.8 | 0.639 | 63.9 | 31.1 |
| ME19112020_slice_125 | 0.338 | 0.503 | 0.459 | 0.338 | 502.8 | 458.7 | 0.274 | 502.0 | 456.3 | 0.632 | 65.5 | 32.4 |
| ME19112020_slice_126 | 0.331 | 0.502 | 0.457 | 0.331 | 502.4 | 457.3 | 0.270 | 501.6 | 455.0 | 0.630 | 65.6 | 33.0 |
| ME19112020_slice_127 | 0.324 | 0.499 | 0.454 | 0.324 | 498.8 | 453.5 | 0.265 | 498.1 | 451.2 | 0.623 | 66.9 | 33.9 |
| ME19112020_slice_128 | 0.305 | 0.500 | 0.456 | 0.305 | 500.5 | 456.1 | 0.255 | 499.8 | 453.6 | 0.616 | 70.2 | 36.1 |
| ME19112020_slice_129 | 0.293 | 0.501 | 0.457 | 0.293 | 500.7 | 456.6 | 0.249 | 499.9 | 454.0 | 0.611 | 72.7 | 37.8 |
| ME19112020_slice_130 | 0.286 | 0.503 | 0.459 | 0.286 | 502.7 | 458.6 | 0.245 | 502.0 | 456.2 | 0.604 | 73.9 | 38.8 |
| ME19112020_slice_131 | 0.275 | 0.502 | 0.459 | 0.275 | 501.9 | 458.9 | 0.239 | 501.2 | 456.3 | 0.601 | 75.9 | 40.1 |
| ME19112020_slice_132 | 0.275 | 0.500 | 0.458 | 0.275 | 500.4 | 457.5 | 0.240 | 499.7 | 454.9 | 0.599 | 77.2 | 40.8 |
| ME19112020_slice_133 | 0.281 | 0.502 | 0.458 | 0.281 | 501.9 | 457.8 | 0.242 | 501.1 | 455.2 | 0.598 | 76.3 | 40.4 |
| ME19112020_slice_134 | 0.269 | 0.504 | 0.460 | 0.269 | 504.2 | 460.1 | 0.234 | 503.5 | 457.7 | 0.595 | 77.3 | 41.1 |
| ME19112020_slice_135 | 0.263 | 0.502 | 0.458 | 0.263 | 501.7 | 457.8 | 0.230 | 501.1 | 455.4 | 0.594 | 78.9 | 42.1 |
| ME19112020_slice_136 | 0.279 | 0.499 | 0.454 | 0.279 | 498.9 | 454.0 | 0.241 | 498.2 | 451.5 | 0.597 | 77.2 | 41.0 |
| ME19112020_slice_137 | 0.295 | 0.502 | 0.457 | 0.295 | 502.5 | 456.8 | 0.249 | 501.9 | 454.5 | 0.596 | 75.9 | 40.1 |
| ME19112020_slice_138 | 0.302 | 0.501 | 0.455 | 0.302 | 501.1 | 454.6 | 0.253 | 500.6 | 452.4 | 0.596 | 75.1 | 39.7 |
| ME19112020_slice_139 | 0.296 | 0.500 | 0.454 | 0.296 | 500.2 | 454.3 | 0.249 | 499.5 | 451.9 | 0.595 | 75.9 | 40.4 |
| ME19112020_slice_140 | 0.294 | 0.499 | 0.453 | 0.294 | 499.3 | 452.9 | 0.247 | 498.7 | 450.6 | 0.595 | 75.8 | 40.5 |
| ME19112020_slice_141 | 0.294 | 0.498 | 0.452 | 0.294 | 498.3 | 451.8 | 0.247 | 497.6 | 449.4 | 0.594 | 75.9 | 40.5 |
| ME19112020_slice_142 | 0.286 | 0.497 | 0.451 | 0.286 | 497.1 | 451.2 | 0.242 | 496.4 | 448.7 | 0.594 | 76.3 | 41.0 |
| ME19112020_slice_143 | 0.281 | 0.494 | 0.449 | 0.281 | 494.3 | 449.1 | 0.238 | 493.6 | 446.6 | 0.592 | 76.4 | 41.2 |
| ME19112020_slice_144 | 0.261 | 0.499 | 0.454 | 0.261 | 498.7 | 454.3 | 0.226 | 498.0 | 451.8 | 0.588 | 78.0 | 42.5 |
| ME19112020_slice_145 | 0.254 | 0.500 | 0.456 | 0.254 | 499.6 | 455.5 | 0.221 | 499.0 | 453.2 | 0.584 | 78.5 | 43.0 |
| ME19112020_slice_146 | 0.258 | 0.500 | 0.456 | 0.258 | 499.9 | 456.1 | 0.224 | 499.1 | 453.5 | 0.583 | 78.2 | 42.9 |
| ME19112020_slice_147 | 0.266 | 0.499 | 0.455 | 0.266 | 499.2 | 455.3 | 0.229 | 498.5 | 452.6 | 0.581 | 77.4 | 42.5 |
| ME19112020_slice_148 | 0.275 | 0.495 | 0.452 | 0.275 | 495.2 | 451.6 | 0.235 | 494.4 | 448.7 | 0.581 | 76.8 | 42.0 |
| ME19112020_slice_149 | 0.283 | 0.493 | 0.449 | 0.283 | 492.7 | 448.7 | 0.239 | 491.9 | 446.1 | 0.583 | 76.4 | 41.5 |
| ME19112020_slice_150 | 0.307 | 0.494 | 0.447 | 0.307 | 493.5 | 447.4 | 0.253 | 492.9 | 445.1 | 0.585 | 73.3 | 39.5 |
| ME19112020_slice_151 | 0.298 | 0.496 | 0.451 | 0.298 | 496.4 | 450.6 | 0.246 | 495.8 | 448.5 | 0.583 | 74.3 | 40.2 |
| ME19112020_slice_152 | 0.311 | 0.495 | 0.448 | 0.311 | 494.5 | 447.9 | 0.255 | 493.9 | 445.8 | 0.585 | 74.1 | 39.5 |
| ME19112020_slice_153 | 0.312 | 0.493 | 0.446 | 0.312 | 493.1 | 446.4 | 0.255 | 492.4 | 444.2 | 0.584 | 75.6 | 39.9 |
| ME19112020_slice_154 | 0.311 | 0.492 | 0.445 | 0.311 | 491.9 | 445.4 | 0.255 | 491.1 | 443.2 | 0.585 | 76.6 | 40.4 |
| ME19112020_slice_155 | 0.305 | 0.495 | 0.449 | 0.305 | 495.0 | 448.7 | 0.252 | 494.4 | 446.6 | 0.586 | 77.2 | 40.8 |
| ME19112020_slice_156 | 0.301 | 0.496 | 0.450 | 0.301 | 495.5 | 450.4 | 0.249 | 494.9 | 448.2 | 0.585 | 77.6 | 41.2 |
| ME19112020_slice_157 | 0.294 | 0.503 | 0.457 | 0.294 | 502.6 | 457.3 | 0.246 | 502.1 | 455.3 | 0.588 | 76.9 | 41.0 |
| ME19112020_slice_158 | 0.308 | 0.501 | 0.456 | 0.308 | 500.7 | 455.9 | 0.255 | 500.0 | 453.7 | 0.591 | 75.1 | 39.8 |
| ME19112020_slice_159 | 0.304 | 0.502 | 0.458 | 0.304 | 502.1 | 458.0 | 0.253 | 501.5 | 455.7 | 0.593 | 74.7 | 39.7 |
| ME19112020_slice_160 | 0.306 | 0.500 | 0.457 | 0.306 | 500.3 | 456.9 | 0.254 | 499.6 | 454.4 | 0.594 | 75.0 | 39.8 |
4Γ3 grid: Rows show different image types (Original NATIVE, Reconstructed NATIVE, Original VENOUS, Generated VENOUS), Columns show windowing techniques (No Window, Lung Window, Mediastinum Window)