4Γ3 grid: Rows show different image types (Original NATIVE, Reconstructed NATIVE, Original VENOUS, Generated VENOUS), Columns show windowing techniques (No Window, Lung Window, Mediastinum Window)
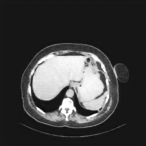
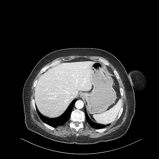
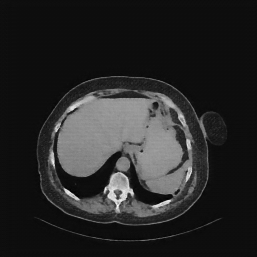
Original NATIVE CT scan (input)
Full window (WL 1023.5, WW 4095 β Low β1024, High +3071)
Actual HU range: [-160.0, 240.0]
Original NATIVE CT scan (input)
Lung window (WL -600, WW 1500 β Low β1350, High +150)
Actual HU range: [-160.0, 150.0]
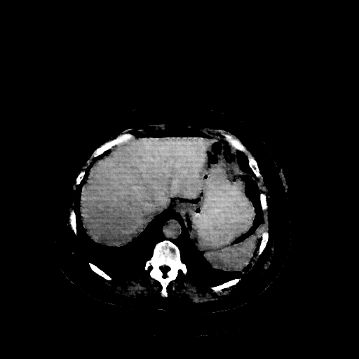
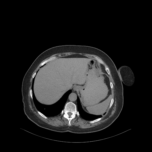
Original NATIVE CT scan (input)
Mediastinum window (WL 40, WW 400 β Low β160, High +240)
Actual HU range: [-160.0, 240.0]
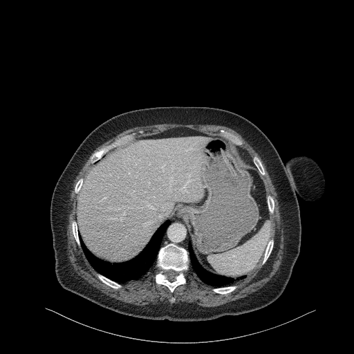
Reconstructed NATIVE CT scan (cycle consistency)
Full window (WL 1023.5, WW 4095 β Low β1024, High +3071)
Actual HU range: [-850.6, 624.8]
Reconstructed NATIVE CT scan (cycle consistency)
Lung window (WL -600, WW 1500 β Low β1350, High +150)
Actual HU range: [-850.6, 150.0]
Reconstructed NATIVE CT scan (cycle consistency)
Mediastinum window (WL 40, WW 400 β Low β160, High +240)
Actual HU range: [-160.0, 240.0]
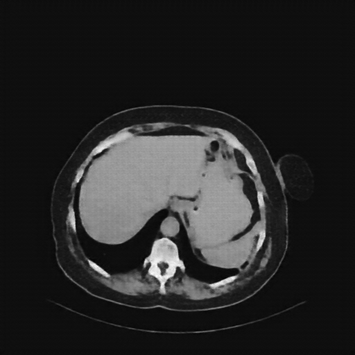
Original VENOUS CT scan
Full window (WL 1023.5, WW 4095 β Low β1024, High +3071)
Actual HU range: [-160.0, 240.0]
Original VENOUS CT scan
Lung window (WL -600, WW 1500 β Low β1350, High +150)
Actual HU range: [-160.0, 150.0]
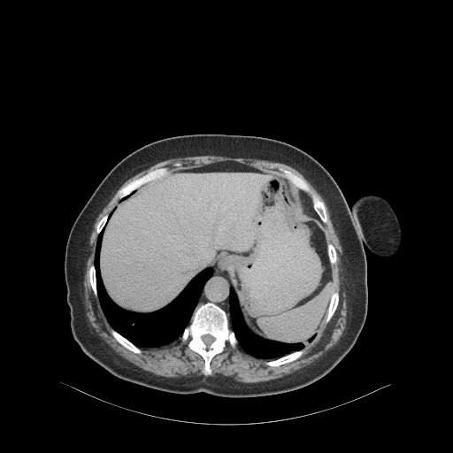
Original VENOUS CT scan
Mediastinum window (WL 40, WW 400 β Low β160, High +240)
Actual HU range: [-160.0, 240.0]
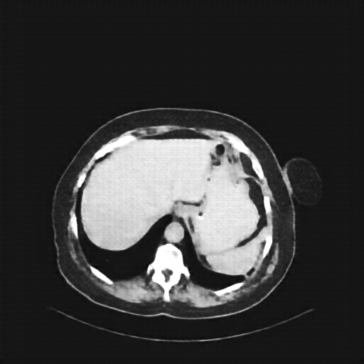
Generated VENOUS CT scan (AβB translation)
Full window (WL 1023.5, WW 4095 β Low β1024, High +3071)
Actual HU range: [-855.0, 775.1]
Generated VENOUS CT scan (AβB translation)
Lung window (WL -600, WW 1500 β Low β1350, High +150)
Actual HU range: [-855.0, 150.0]
Generated VENOUS CT scan (AβB translation)
Mediastinum window (WL 40, WW 400 β Low β160, High +240)
Actual HU range: [-160.0, 240.0]