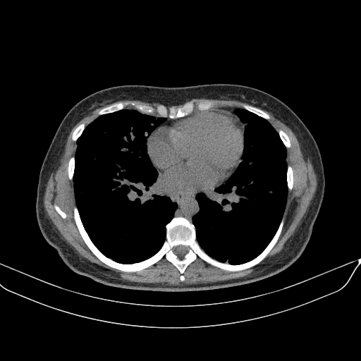
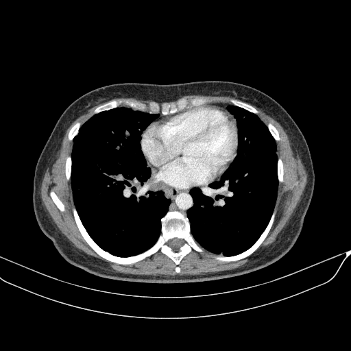
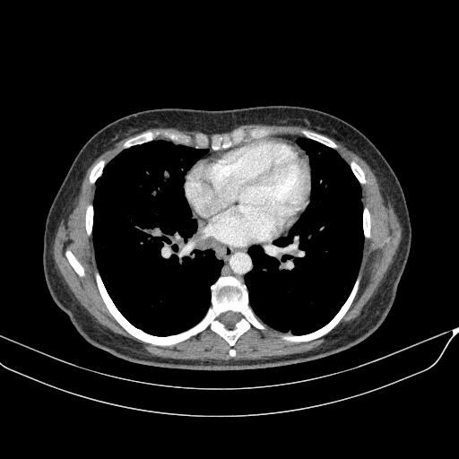
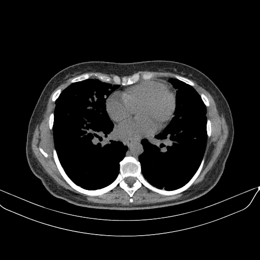
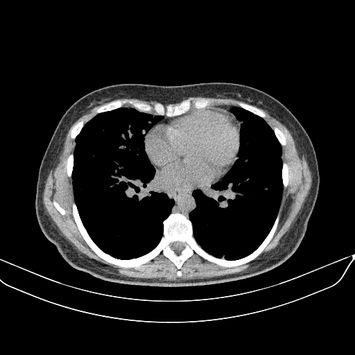
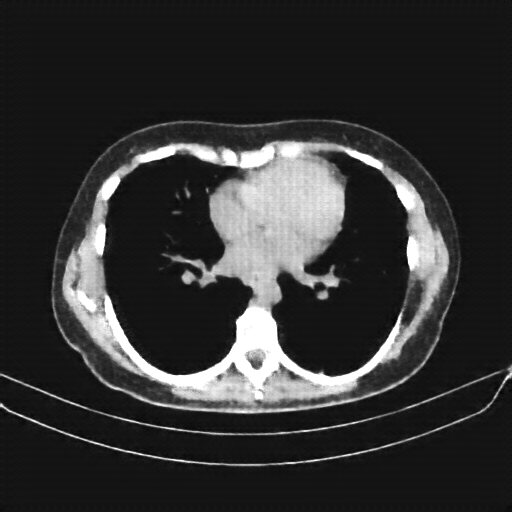
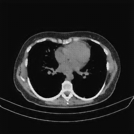
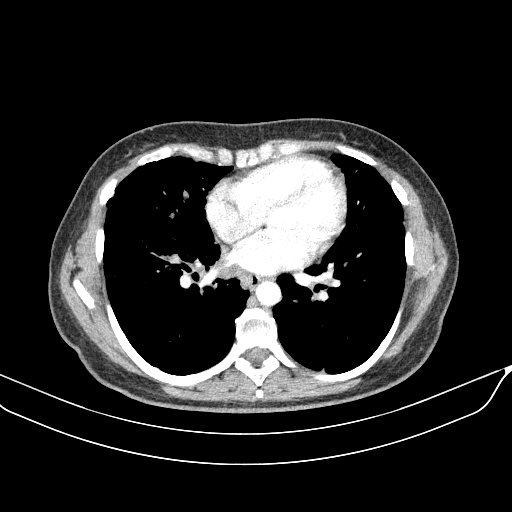
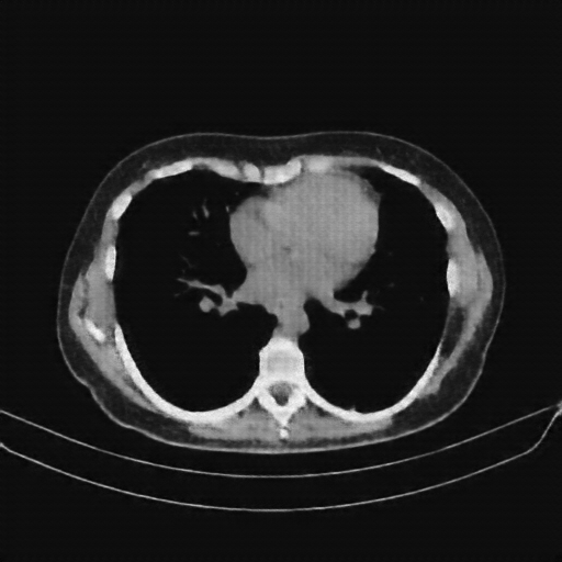
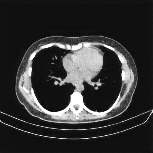
Slice 70 Targeting Evaluation
Patient ID: BM26032018
Model: cytran
Slice: Slice_70
Slice Thickness: 2.0mm
Conversion: NATIVE β VENOUS
Contains all 4 metric datasets: Network-Normalized, Hounsfield Units, Lung Window, and Mediastinum Window
| Slice ID | SSIM | RMSE | MAE | HU SSIM | HU RMSE | HU MAE | Lung SSIM | Lung RMSE | Lung MAE | Mediastinum SSIM | Mediastinum RMSE | Mediastinum MAE |
|---|---|---|---|---|---|---|---|---|---|---|---|---|
| BM26032018_slice_0 | 0.254 | 0.532 | 0.502 | 0.254 | 532.1 | 501.7 | 0.244 | 530.9 | 497.4 | 0.627 | 92.0 | 46.5 |
| BM26032018_slice_1 | 0.249 | 0.531 | 0.499 | 0.249 | 530.7 | 499.3 | 0.239 | 529.6 | 495.2 | 0.624 | 90.8 | 45.9 |
| BM26032018_slice_2 | 0.245 | 0.528 | 0.496 | 0.245 | 528.0 | 496.4 | 0.235 | 526.7 | 491.8 | 0.622 | 89.9 | 45.6 |
| BM26032018_slice_3 | 0.244 | 0.531 | 0.500 | 0.244 | 530.6 | 499.7 | 0.235 | 529.2 | 495.2 | 0.623 | 92.6 | 46.6 |
| BM26032018_slice_4 | 0.242 | 0.531 | 0.501 | 0.242 | 531.2 | 501.4 | 0.235 | 529.5 | 496.4 | 0.622 | 96.6 | 48.1 |
| BM26032018_slice_5 | 0.241 | 0.536 | 0.506 | 0.241 | 535.7 | 506.4 | 0.235 | 533.9 | 501.5 | 0.621 | 100.0 | 49.5 |
| BM26032018_slice_6 | 0.246 | 0.537 | 0.508 | 0.246 | 536.8 | 507.7 | 0.239 | 535.0 | 502.8 | 0.621 | 99.1 | 48.7 |
| BM26032018_slice_7 | 0.248 | 0.536 | 0.508 | 0.248 | 536.4 | 507.5 | 0.239 | 534.8 | 502.7 | 0.625 | 96.5 | 47.4 |
| BM26032018_slice_8 | 0.252 | 0.533 | 0.504 | 0.252 | 532.5 | 503.9 | 0.242 | 530.9 | 498.8 | 0.630 | 92.1 | 45.3 |
| BM26032018_slice_9 | 0.258 | 0.532 | 0.503 | 0.258 | 531.7 | 502.8 | 0.246 | 530.3 | 497.8 | 0.639 | 87.1 | 42.8 |
| BM26032018_slice_10 | 0.260 | 0.533 | 0.504 | 0.260 | 533.0 | 503.9 | 0.246 | 531.7 | 499.0 | 0.645 | 83.7 | 40.9 |
| BM26032018_slice_11 | 0.262 | 0.532 | 0.502 | 0.262 | 532.0 | 502.2 | 0.246 | 530.5 | 497.0 | 0.651 | 80.4 | 39.1 |
| BM26032018_slice_12 | 0.263 | 0.533 | 0.503 | 0.263 | 532.8 | 503.3 | 0.246 | 531.3 | 498.2 | 0.656 | 80.2 | 38.5 |
| BM26032018_slice_13 | 0.264 | 0.533 | 0.504 | 0.264 | 533.1 | 504.3 | 0.247 | 531.5 | 498.9 | 0.659 | 80.6 | 38.3 |
| BM26032018_slice_14 | 0.263 | 0.536 | 0.507 | 0.263 | 535.8 | 507.2 | 0.246 | 534.2 | 501.9 | 0.661 | 81.1 | 38.2 |
| BM26032018_slice_15 | 0.267 | 0.537 | 0.509 | 0.267 | 537.4 | 508.5 | 0.249 | 535.8 | 503.3 | 0.664 | 80.4 | 37.5 |
| BM26032018_slice_16 | 0.271 | 0.538 | 0.509 | 0.271 | 537.6 | 508.8 | 0.253 | 536.0 | 503.5 | 0.669 | 78.7 | 36.4 |
| BM26032018_slice_17 | 0.274 | 0.538 | 0.509 | 0.274 | 537.8 | 509.1 | 0.254 | 536.2 | 503.8 | 0.672 | 76.7 | 35.3 |
| BM26032018_slice_18 | 0.283 | 0.537 | 0.508 | 0.283 | 536.7 | 507.6 | 0.260 | 535.0 | 502.1 | 0.676 | 74.2 | 33.8 |
| BM26032018_slice_19 | 0.293 | 0.533 | 0.505 | 0.293 | 533.2 | 504.6 | 0.269 | 531.2 | 498.6 | 0.681 | 73.0 | 32.8 |
| BM26032018_slice_20 | 0.295 | 0.534 | 0.505 | 0.295 | 533.9 | 504.8 | 0.269 | 531.9 | 498.9 | 0.685 | 72.7 | 32.2 |
| BM26032018_slice_21 | 0.291 | 0.536 | 0.507 | 0.291 | 535.9 | 507.4 | 0.266 | 533.9 | 501.6 | 0.684 | 73.6 | 32.7 |
| BM26032018_slice_22 | 0.286 | 0.540 | 0.512 | 0.286 | 539.7 | 511.8 | 0.263 | 537.8 | 506.3 | 0.684 | 75.0 | 33.2 |
| BM26032018_slice_23 | 0.295 | 0.539 | 0.511 | 0.295 | 539.0 | 511.2 | 0.270 | 537.0 | 505.2 | 0.688 | 73.7 | 32.2 |
| BM26032018_slice_24 | 0.300 | 0.540 | 0.512 | 0.300 | 540.0 | 511.7 | 0.275 | 538.1 | 506.0 | 0.691 | 72.3 | 31.4 |
| BM26032018_slice_25 | 0.311 | 0.540 | 0.510 | 0.311 | 539.6 | 510.2 | 0.283 | 537.7 | 504.8 | 0.695 | 70.4 | 30.3 |
| BM26032018_slice_26 | 0.308 | 0.539 | 0.510 | 0.308 | 538.9 | 509.9 | 0.280 | 537.1 | 504.4 | 0.694 | 70.2 | 30.3 |
| BM26032018_slice_27 | 0.312 | 0.539 | 0.509 | 0.312 | 538.8 | 509.4 | 0.284 | 537.1 | 504.0 | 0.696 | 68.6 | 29.5 |
| BM26032018_slice_28 | 0.311 | 0.540 | 0.511 | 0.311 | 539.6 | 510.6 | 0.284 | 537.9 | 505.3 | 0.695 | 68.6 | 29.6 |
| BM26032018_slice_29 | 0.302 | 0.541 | 0.513 | 0.302 | 540.6 | 512.6 | 0.276 | 538.9 | 507.2 | 0.691 | 70.5 | 30.7 |
| BM26032018_slice_30 | 0.299 | 0.542 | 0.514 | 0.299 | 542.0 | 514.3 | 0.273 | 540.2 | 508.9 | 0.693 | 72.1 | 31.2 |
| BM26032018_slice_31 | 0.302 | 0.540 | 0.512 | 0.302 | 539.8 | 512.4 | 0.276 | 537.9 | 506.6 | 0.692 | 72.5 | 31.2 |
| BM26032018_slice_32 | 0.294 | 0.544 | 0.517 | 0.294 | 544.1 | 517.0 | 0.269 | 542.2 | 511.6 | 0.689 | 74.5 | 32.2 |
| BM26032018_slice_33 | 0.305 | 0.544 | 0.516 | 0.305 | 544.0 | 516.4 | 0.278 | 542.1 | 510.9 | 0.694 | 73.7 | 31.4 |
| BM26032018_slice_34 | 0.309 | 0.545 | 0.517 | 0.309 | 544.9 | 516.9 | 0.282 | 543.2 | 511.7 | 0.696 | 73.3 | 31.0 |
| BM26032018_slice_35 | 0.314 | 0.543 | 0.514 | 0.314 | 542.7 | 514.2 | 0.285 | 540.9 | 508.8 | 0.695 | 72.2 | 30.6 |
| BM26032018_slice_36 | 0.313 | 0.541 | 0.513 | 0.313 | 541.4 | 512.6 | 0.284 | 539.7 | 507.3 | 0.696 | 72.2 | 30.7 |
| BM26032018_slice_37 | 0.303 | 0.543 | 0.515 | 0.303 | 543.0 | 514.8 | 0.276 | 541.4 | 509.7 | 0.694 | 73.9 | 31.8 |
| BM26032018_slice_38 | 0.299 | 0.544 | 0.515 | 0.299 | 543.7 | 515.4 | 0.273 | 542.2 | 510.4 | 0.692 | 74.1 | 32.0 |
| BM26032018_slice_39 | 0.295 | 0.544 | 0.516 | 0.295 | 544.3 | 516.1 | 0.270 | 542.9 | 511.2 | 0.688 | 74.6 | 32.5 |
| BM26032018_slice_40 | 0.291 | 0.545 | 0.516 | 0.291 | 544.5 | 516.3 | 0.267 | 543.1 | 511.6 | 0.685 | 75.6 | 33.2 |
| BM26032018_slice_41 | 0.302 | 0.537 | 0.510 | 0.302 | 537.3 | 509.6 | 0.276 | 535.5 | 503.9 | 0.687 | 75.6 | 33.0 |
| BM26032018_slice_42 | 0.296 | 0.541 | 0.514 | 0.296 | 540.5 | 513.7 | 0.273 | 538.7 | 508.1 | 0.688 | 78.2 | 33.8 |
| BM26032018_slice_43 | 0.297 | 0.542 | 0.515 | 0.297 | 542.2 | 515.5 | 0.273 | 540.3 | 509.8 | 0.691 | 78.3 | 33.6 |
| BM26032018_slice_44 | 0.294 | 0.545 | 0.519 | 0.294 | 545.4 | 519.4 | 0.272 | 543.6 | 513.9 | 0.694 | 79.5 | 34.0 |
| BM26032018_slice_45 | 0.298 | 0.545 | 0.520 | 0.298 | 545.1 | 519.5 | 0.276 | 543.2 | 513.7 | 0.696 | 79.1 | 33.5 |
| BM26032018_slice_46 | 0.302 | 0.544 | 0.518 | 0.302 | 544.1 | 518.1 | 0.279 | 542.1 | 512.1 | 0.698 | 78.7 | 33.1 |
| BM26032018_slice_47 | 0.305 | 0.543 | 0.517 | 0.305 | 542.5 | 516.8 | 0.283 | 540.7 | 510.9 | 0.705 | 77.0 | 32.4 |
| BM26032018_slice_48 | 0.301 | 0.543 | 0.518 | 0.301 | 543.4 | 517.7 | 0.278 | 541.6 | 512.0 | 0.704 | 77.2 | 32.6 |
| BM26032018_slice_49 | 0.305 | 0.540 | 0.514 | 0.305 | 540.3 | 514.1 | 0.282 | 538.4 | 508.1 | 0.702 | 76.5 | 32.4 |
| BM26032018_slice_50 | 0.290 | 0.545 | 0.520 | 0.290 | 545.1 | 519.9 | 0.271 | 543.4 | 514.3 | 0.700 | 80.3 | 34.1 |
| BM26032018_slice_51 | 0.300 | 0.542 | 0.515 | 0.300 | 541.6 | 515.1 | 0.279 | 539.9 | 509.4 | 0.705 | 76.7 | 32.3 |
| BM26032018_slice_52 | 0.300 | 0.542 | 0.516 | 0.300 | 542.3 | 515.8 | 0.279 | 540.3 | 510.0 | 0.698 | 77.3 | 32.8 |
| BM26032018_slice_53 | 0.293 | 0.545 | 0.519 | 0.293 | 544.8 | 518.7 | 0.272 | 542.9 | 513.2 | 0.692 | 79.0 | 33.8 |
| BM26032018_slice_54 | 0.298 | 0.542 | 0.516 | 0.298 | 541.5 | 515.8 | 0.276 | 539.5 | 509.9 | 0.691 | 79.1 | 33.6 |
| BM26032018_slice_55 | 0.296 | 0.543 | 0.518 | 0.296 | 543.4 | 517.8 | 0.274 | 541.5 | 512.0 | 0.693 | 80.1 | 34.0 |
| BM26032018_slice_56 | 0.295 | 0.544 | 0.519 | 0.295 | 544.0 | 518.6 | 0.275 | 542.1 | 512.9 | 0.696 | 80.5 | 34.1 |
| BM26032018_slice_57 | 0.286 | 0.548 | 0.523 | 0.286 | 547.6 | 523.1 | 0.268 | 546.0 | 517.7 | 0.694 | 84.1 | 35.7 |
| BM26032018_slice_58 | 0.284 | 0.546 | 0.523 | 0.284 | 546.3 | 522.5 | 0.267 | 544.5 | 516.7 | 0.696 | 85.5 | 36.0 |
| BM26032018_slice_59 | 0.288 | 0.544 | 0.521 | 0.288 | 544.4 | 520.5 | 0.270 | 542.4 | 514.5 | 0.693 | 83.9 | 35.4 |
| BM26032018_slice_60 | 0.289 | 0.545 | 0.522 | 0.289 | 545.4 | 521.6 | 0.271 | 543.4 | 515.3 | 0.697 | 83.7 | 35.2 |
| BM26032018_slice_61 | 0.291 | 0.547 | 0.523 | 0.291 | 546.9 | 523.1 | 0.271 | 545.0 | 517.0 | 0.697 | 82.6 | 34.7 |
| BM26032018_slice_62 | 0.295 | 0.545 | 0.521 | 0.295 | 545.0 | 520.5 | 0.275 | 543.0 | 514.4 | 0.698 | 80.1 | 33.7 |
| BM26032018_slice_63 | 0.298 | 0.543 | 0.518 | 0.298 | 543.4 | 518.4 | 0.278 | 541.4 | 512.3 | 0.701 | 78.6 | 33.2 |
| BM26032018_slice_64 | 0.307 | 0.544 | 0.518 | 0.307 | 544.1 | 518.1 | 0.284 | 542.2 | 512.2 | 0.702 | 76.0 | 32.1 |
| BM26032018_slice_65 | 0.314 | 0.542 | 0.516 | 0.314 | 542.2 | 516.0 | 0.290 | 540.3 | 509.9 | 0.703 | 74.1 | 31.2 |
| BM26032018_slice_66 | 0.321 | 0.541 | 0.515 | 0.321 | 541.0 | 514.9 | 0.296 | 539.0 | 508.7 | 0.706 | 72.8 | 30.5 |
| BM26032018_slice_67 | 0.311 | 0.544 | 0.518 | 0.311 | 543.6 | 518.2 | 0.289 | 541.6 | 512.2 | 0.705 | 74.5 | 31.5 |
| BM26032018_slice_68 | 0.301 | 0.545 | 0.521 | 0.301 | 545.0 | 520.7 | 0.280 | 543.2 | 514.9 | 0.705 | 77.3 | 32.7 |
| BM26032018_slice_69 | 0.292 | 0.544 | 0.521 | 0.292 | 543.9 | 520.7 | 0.274 | 541.9 | 514.6 | 0.707 | 80.6 | 34.0 |
| BM26032018_slice_70 | 0.285 | 0.544 | 0.522 | 0.285 | 544.4 | 522.0 | 0.269 | 542.5 | 515.9 | 0.709 | 83.2 | 34.9 |
| BM26032018_slice_71 | 0.279 | 0.545 | 0.523 | 0.279 | 545.2 | 523.4 | 0.265 | 543.2 | 517.1 | 0.707 | 84.9 | 35.5 |
| BM26032018_slice_72 | 0.277 | 0.548 | 0.526 | 0.277 | 548.1 | 525.8 | 0.262 | 546.3 | 520.0 | 0.706 | 85.2 | 35.5 |
| BM26032018_slice_73 | 0.280 | 0.547 | 0.524 | 0.280 | 547.4 | 524.3 | 0.262 | 545.3 | 518.2 | 0.702 | 84.4 | 35.2 |
| BM26032018_slice_74 | 0.285 | 0.547 | 0.523 | 0.285 | 546.6 | 523.3 | 0.268 | 544.6 | 517.2 | 0.707 | 83.2 | 34.5 |
| BM26032018_slice_75 | 0.300 | 0.544 | 0.520 | 0.300 | 544.4 | 519.8 | 0.278 | 542.5 | 513.9 | 0.714 | 77.3 | 32.0 |
| BM26032018_slice_76 | 0.315 | 0.544 | 0.518 | 0.315 | 544.0 | 518.5 | 0.291 | 542.2 | 512.7 | 0.720 | 72.6 | 29.9 |
| BM26032018_slice_77 | 0.316 | 0.544 | 0.519 | 0.316 | 544.5 | 519.1 | 0.291 | 542.7 | 513.5 | 0.724 | 71.6 | 29.3 |
| BM26032018_slice_78 | 0.314 | 0.547 | 0.522 | 0.314 | 546.9 | 521.8 | 0.290 | 545.2 | 516.4 | 0.726 | 71.8 | 29.2 |
| BM26032018_slice_79 | 0.315 | 0.546 | 0.520 | 0.315 | 545.8 | 520.4 | 0.291 | 544.1 | 515.0 | 0.724 | 71.1 | 29.0 |
| BM26032018_slice_80 | 0.313 | 0.543 | 0.519 | 0.313 | 543.5 | 519.0 | 0.290 | 541.4 | 513.0 | 0.725 | 72.3 | 29.5 |
| BM26032018_slice_81 | 0.307 | 0.545 | 0.522 | 0.307 | 545.4 | 521.8 | 0.286 | 543.4 | 515.8 | 0.729 | 74.3 | 30.1 |
| BM26032018_slice_82 | 0.298 | 0.548 | 0.525 | 0.298 | 547.7 | 525.1 | 0.280 | 545.8 | 519.2 | 0.730 | 76.9 | 30.9 |
| BM26032018_slice_83 | 0.299 | 0.546 | 0.524 | 0.299 | 545.6 | 523.7 | 0.282 | 543.7 | 517.6 | 0.731 | 77.6 | 30.8 |
| BM26032018_slice_84 | 0.296 | 0.547 | 0.525 | 0.296 | 547.3 | 525.5 | 0.281 | 545.5 | 519.5 | 0.730 | 77.6 | 30.8 |
| BM26032018_slice_85 | 0.292 | 0.551 | 0.529 | 0.292 | 551.3 | 529.1 | 0.277 | 549.5 | 523.3 | 0.725 | 78.2 | 31.2 |
| BM26032018_slice_86 | 0.293 | 0.552 | 0.530 | 0.293 | 552.4 | 529.5 | 0.276 | 550.8 | 524.0 | 0.723 | 77.6 | 31.1 |
| BM26032018_slice_87 | 0.306 | 0.548 | 0.524 | 0.306 | 547.9 | 523.7 | 0.285 | 546.1 | 518.0 | 0.725 | 73.4 | 29.6 |
| BM26032018_slice_88 | 0.298 | 0.550 | 0.526 | 0.298 | 549.7 | 525.9 | 0.280 | 548.1 | 520.4 | 0.724 | 75.0 | 30.5 |
| BM26032018_slice_89 | 0.296 | 0.551 | 0.527 | 0.296 | 550.7 | 526.6 | 0.279 | 549.2 | 521.3 | 0.723 | 74.8 | 30.6 |
| BM26032018_slice_90 | 0.299 | 0.549 | 0.524 | 0.299 | 548.8 | 523.6 | 0.280 | 547.3 | 518.5 | 0.722 | 71.4 | 29.3 |
| BM26032018_slice_91 | 0.303 | 0.549 | 0.522 | 0.303 | 548.7 | 522.2 | 0.282 | 547.2 | 517.6 | 0.724 | 69.4 | 28.5 |
| BM26032018_slice_92 | 0.315 | 0.547 | 0.519 | 0.315 | 546.5 | 519.2 | 0.291 | 545.0 | 514.4 | 0.724 | 67.6 | 27.6 |
| BM26032018_slice_93 | 0.309 | 0.546 | 0.519 | 0.309 | 546.0 | 519.5 | 0.287 | 544.5 | 514.6 | 0.724 | 68.6 | 28.2 |
| BM26032018_slice_94 | 0.309 | 0.545 | 0.518 | 0.309 | 544.6 | 517.8 | 0.287 | 543.2 | 513.0 | 0.725 | 68.2 | 27.9 |
| BM26032018_slice_95 | 0.306 | 0.544 | 0.517 | 0.306 | 544.2 | 517.4 | 0.285 | 542.8 | 512.7 | 0.724 | 67.8 | 27.9 |
| BM26032018_slice_96 | 0.295 | 0.546 | 0.520 | 0.295 | 546.2 | 520.3 | 0.279 | 544.9 | 515.6 | 0.722 | 69.4 | 29.0 |
| BM26032018_slice_97 | 0.291 | 0.548 | 0.522 | 0.291 | 547.7 | 521.7 | 0.276 | 546.5 | 517.2 | 0.718 | 71.0 | 30.0 |
| BM26032018_slice_98 | 0.314 | 0.542 | 0.515 | 0.314 | 542.3 | 514.6 | 0.293 | 540.9 | 509.7 | 0.712 | 70.4 | 29.5 |
| BM26032018_slice_99 | 0.309 | 0.538 | 0.510 | 0.309 | 538.0 | 509.9 | 0.289 | 536.4 | 504.9 | 0.708 | 72.0 | 30.4 |
| BM26032018_slice_100 | 0.271 | 0.542 | 0.514 | 0.271 | 541.5 | 514.1 | 0.259 | 540.2 | 509.6 | 0.699 | 76.3 | 33.6 |
| BM26032018_slice_101 | 0.254 | 0.543 | 0.516 | 0.254 | 542.6 | 515.6 | 0.247 | 541.4 | 511.1 | 0.693 | 79.6 | 35.8 |
| BM26032018_slice_102 | 0.241 | 0.548 | 0.521 | 0.241 | 547.8 | 520.7 | 0.237 | 546.9 | 516.8 | 0.685 | 83.9 | 38.4 |
| BM26032018_slice_103 | 0.236 | 0.551 | 0.524 | 0.236 | 550.9 | 524.1 | 0.233 | 550.1 | 520.4 | 0.678 | 89.4 | 41.2 |
| BM26032018_slice_104 | 0.235 | 0.550 | 0.524 | 0.235 | 550.4 | 523.7 | 0.233 | 549.6 | 520.0 | 0.673 | 92.1 | 42.8 |
| BM26032018_slice_105 | 0.233 | 0.550 | 0.523 | 0.233 | 549.6 | 523.0 | 0.232 | 548.9 | 519.4 | 0.666 | 94.5 | 44.2 |
| BM26032018_slice_106 | 0.231 | 0.549 | 0.522 | 0.231 | 548.9 | 521.9 | 0.231 | 548.3 | 518.5 | 0.661 | 96.7 | 45.5 |
| BM26032018_slice_107 | 0.231 | 0.549 | 0.522 | 0.231 | 548.9 | 521.7 | 0.231 | 548.2 | 518.2 | 0.657 | 98.9 | 46.8 |
| BM26032018_slice_108 | 0.231 | 0.548 | 0.521 | 0.231 | 548.0 | 520.6 | 0.233 | 547.3 | 517.2 | 0.652 | 100.4 | 47.7 |
| BM26032018_slice_109 | 0.232 | 0.547 | 0.519 | 0.232 | 547.1 | 519.4 | 0.234 | 546.4 | 516.1 | 0.648 | 101.5 | 48.3 |
| BM26032018_slice_110 | 0.232 | 0.546 | 0.518 | 0.232 | 545.7 | 517.8 | 0.235 | 545.1 | 514.5 | 0.645 | 102.6 | 48.9 |
| BM26032018_slice_111 | 0.229 | 0.545 | 0.517 | 0.229 | 545.2 | 516.9 | 0.233 | 544.5 | 513.7 | 0.640 | 103.7 | 49.7 |
| BM26032018_slice_112 | 0.227 | 0.544 | 0.516 | 0.227 | 543.9 | 515.5 | 0.231 | 543.3 | 512.4 | 0.638 | 104.3 | 50.3 |
| BM26032018_slice_113 | 0.224 | 0.543 | 0.514 | 0.224 | 542.7 | 514.0 | 0.229 | 542.1 | 510.9 | 0.636 | 104.7 | 50.9 |
| BM26032018_slice_114 | 0.220 | 0.541 | 0.512 | 0.220 | 541.3 | 512.2 | 0.225 | 540.7 | 509.0 | 0.635 | 104.5 | 51.2 |
| BM26032018_slice_115 | 0.216 | 0.540 | 0.511 | 0.216 | 540.4 | 511.1 | 0.221 | 539.8 | 507.8 | 0.632 | 104.9 | 51.9 |
| BM26032018_slice_116 | 0.211 | 0.539 | 0.510 | 0.211 | 539.0 | 509.5 | 0.217 | 538.3 | 506.1 | 0.628 | 105.6 | 52.7 |
| BM26032018_slice_117 | 0.209 | 0.538 | 0.508 | 0.209 | 538.1 | 508.3 | 0.216 | 537.4 | 505.1 | 0.627 | 106.4 | 53.1 |
| BM26032018_slice_118 | 0.208 | 0.538 | 0.508 | 0.208 | 537.9 | 508.4 | 0.215 | 537.3 | 505.1 | 0.624 | 107.5 | 53.8 |
| BM26032018_slice_119 | 0.205 | 0.537 | 0.508 | 0.205 | 536.8 | 507.5 | 0.211 | 536.1 | 504.1 | 0.623 | 108.5 | 54.6 |
| BM26032018_slice_120 | 0.200 | 0.536 | 0.507 | 0.200 | 536.4 | 507.3 | 0.207 | 535.6 | 503.8 | 0.620 | 109.7 | 55.6 |
| BM26032018_slice_121 | 0.197 | 0.536 | 0.507 | 0.197 | 536.0 | 507.1 | 0.204 | 535.2 | 503.5 | 0.619 | 110.3 | 56.1 |
| BM26032018_slice_122 | 0.193 | 0.534 | 0.505 | 0.193 | 534.1 | 504.6 | 0.201 | 533.3 | 501.0 | 0.619 | 108.4 | 55.3 |
| BM26032018_slice_123 | 0.188 | 0.533 | 0.504 | 0.188 | 533.4 | 503.6 | 0.196 | 532.6 | 499.9 | 0.617 | 107.2 | 55.0 |
| BM26032018_slice_124 | 0.184 | 0.533 | 0.503 | 0.184 | 532.8 | 502.8 | 0.191 | 532.0 | 499.2 | 0.616 | 106.7 | 55.0 |
| BM26032018_slice_125 | 0.180 | 0.533 | 0.504 | 0.180 | 533.4 | 503.6 | 0.187 | 532.4 | 500.0 | 0.615 | 106.8 | 55.1 |
| BM26032018_slice_126 | 0.178 | 0.532 | 0.502 | 0.178 | 532.3 | 502.2 | 0.184 | 531.3 | 498.5 | 0.616 | 105.1 | 54.2 |
| BM26032018_slice_127 | 0.178 | 0.530 | 0.499 | 0.178 | 530.1 | 498.7 | 0.182 | 528.9 | 494.9 | 0.618 | 101.1 | 52.1 |
| BM26032018_slice_128 | 0.187 | 0.526 | 0.493 | 0.187 | 525.9 | 492.7 | 0.187 | 524.6 | 488.9 | 0.622 | 94.7 | 48.7 |
| BM26032018_slice_129 | 0.218 | 0.521 | 0.485 | 0.218 | 520.8 | 484.6 | 0.209 | 519.4 | 480.7 | 0.628 | 86.8 | 44.2 |
| BM26032018_slice_130 | 0.232 | 0.520 | 0.483 | 0.232 | 520.1 | 483.1 | 0.219 | 518.8 | 479.2 | 0.630 | 84.0 | 42.6 |
| BM26032018_slice_131 | 0.240 | 0.519 | 0.483 | 0.240 | 519.1 | 482.7 | 0.227 | 517.9 | 478.7 | 0.633 | 82.6 | 41.7 |
| BM26032018_slice_132 | 0.243 | 0.520 | 0.485 | 0.243 | 520.4 | 484.7 | 0.229 | 519.2 | 480.7 | 0.635 | 82.8 | 41.5 |
4Γ3 grid: Rows show different image types (Original NATIVE, Reconstructed NATIVE, Original VENOUS, Generated VENOUS), Columns show windowing techniques (No Window, Lung Window, Mediastinum Window)