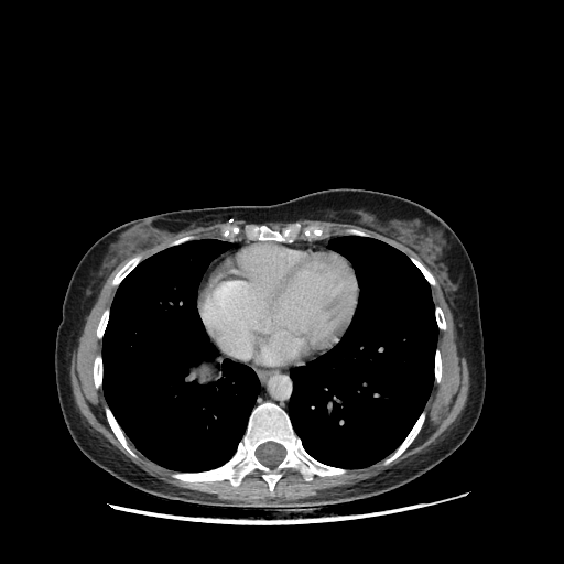
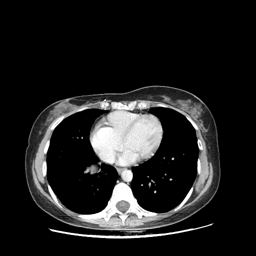
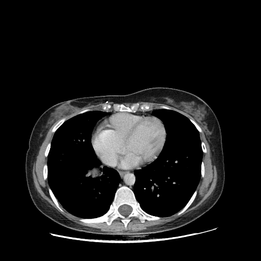
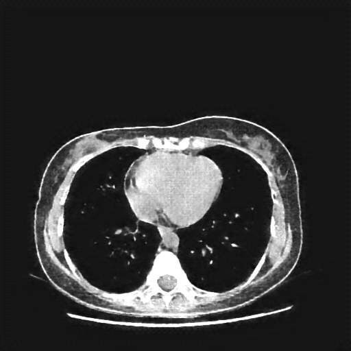
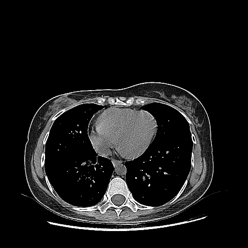
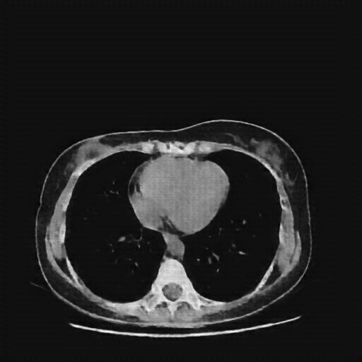
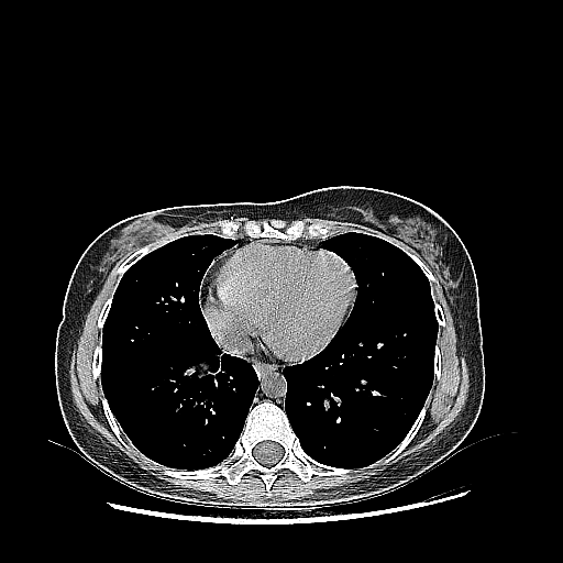
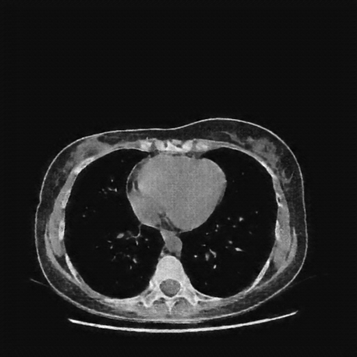
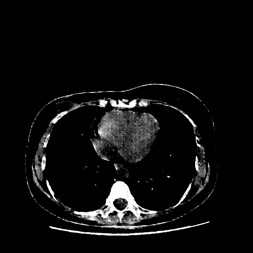
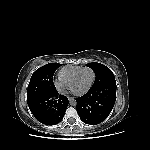
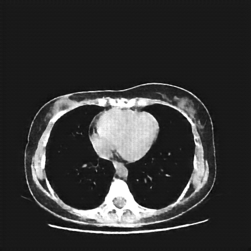
Slice 70 Targeting Evaluation
Patient ID: BMG07082017
Model: cytran
Slice: Slice_70
Slice Thickness: 2.5mm
Conversion: NATIVE β VENOUS
Contains all 4 metric datasets: Network-Normalized, Hounsfield Units, Lung Window, and Mediastinum Window
| Slice ID | SSIM | RMSE | MAE | HU SSIM | HU RMSE | HU MAE | Lung SSIM | Lung RMSE | Lung MAE | Mediastinum SSIM | Mediastinum RMSE | Mediastinum MAE |
|---|---|---|---|---|---|---|---|---|---|---|---|---|
| BMG07082017_slice_0 | 0.275 | 0.537 | 0.508 | 0.275 | 537.0 | 507.7 | 0.259 | 536.0 | 503.7 | 0.676 | 76.4 | 36.2 |
| BMG07082017_slice_1 | 0.275 | 0.538 | 0.509 | 0.275 | 537.8 | 508.7 | 0.259 | 536.9 | 504.7 | 0.675 | 77.3 | 36.7 |
| BMG07082017_slice_2 | 0.274 | 0.537 | 0.507 | 0.274 | 537.1 | 507.3 | 0.258 | 536.1 | 503.3 | 0.674 | 77.4 | 36.5 |
| BMG07082017_slice_3 | 0.272 | 0.539 | 0.509 | 0.272 | 538.7 | 509.1 | 0.256 | 537.8 | 505.4 | 0.674 | 77.9 | 37.0 |
| BMG07082017_slice_4 | 0.272 | 0.538 | 0.508 | 0.272 | 537.9 | 508.5 | 0.257 | 536.9 | 504.5 | 0.676 | 78.3 | 36.9 |
| BMG07082017_slice_5 | 0.271 | 0.539 | 0.510 | 0.271 | 539.1 | 509.9 | 0.257 | 538.0 | 505.8 | 0.678 | 79.7 | 37.3 |
| BMG07082017_slice_6 | 0.271 | 0.539 | 0.510 | 0.271 | 538.5 | 509.5 | 0.256 | 537.4 | 505.2 | 0.679 | 77.8 | 36.4 |
| BMG07082017_slice_7 | 0.275 | 0.537 | 0.508 | 0.275 | 537.4 | 508.3 | 0.257 | 536.3 | 504.2 | 0.683 | 76.2 | 35.4 |
| BMG07082017_slice_8 | 0.279 | 0.538 | 0.509 | 0.279 | 537.5 | 508.5 | 0.262 | 536.4 | 504.0 | 0.690 | 75.4 | 34.7 |
| BMG07082017_slice_9 | 0.276 | 0.538 | 0.510 | 0.276 | 538.2 | 509.5 | 0.260 | 537.0 | 505.0 | 0.691 | 77.2 | 35.4 |
| BMG07082017_slice_10 | 0.274 | 0.538 | 0.510 | 0.274 | 538.1 | 509.6 | 0.260 | 536.7 | 505.1 | 0.690 | 79.4 | 36.2 |
| BMG07082017_slice_11 | 0.271 | 0.540 | 0.511 | 0.271 | 539.9 | 511.4 | 0.258 | 538.7 | 507.0 | 0.689 | 79.7 | 36.4 |
| BMG07082017_slice_12 | 0.270 | 0.541 | 0.513 | 0.270 | 541.4 | 512.9 | 0.259 | 540.2 | 508.6 | 0.690 | 80.1 | 36.4 |
| BMG07082017_slice_13 | 0.270 | 0.541 | 0.513 | 0.270 | 541.2 | 513.2 | 0.260 | 539.9 | 508.7 | 0.692 | 79.6 | 35.9 |
| BMG07082017_slice_14 | 0.273 | 0.542 | 0.515 | 0.273 | 542.2 | 514.7 | 0.262 | 540.9 | 510.0 | 0.695 | 78.5 | 35.0 |
| BMG07082017_slice_15 | 0.272 | 0.547 | 0.520 | 0.272 | 547.3 | 519.7 | 0.262 | 545.9 | 515.5 | 0.696 | 79.4 | 35.2 |
| BMG07082017_slice_16 | 0.274 | 0.548 | 0.521 | 0.274 | 548.1 | 521.0 | 0.264 | 546.7 | 516.7 | 0.700 | 79.5 | 35.0 |
| BMG07082017_slice_17 | 0.279 | 0.547 | 0.519 | 0.279 | 546.6 | 519.4 | 0.267 | 545.2 | 514.9 | 0.708 | 77.5 | 33.8 |
| BMG07082017_slice_18 | 0.286 | 0.545 | 0.517 | 0.286 | 544.5 | 516.9 | 0.270 | 543.2 | 512.4 | 0.717 | 74.5 | 32.0 |
| BMG07082017_slice_19 | 0.288 | 0.547 | 0.519 | 0.288 | 547.2 | 519.4 | 0.271 | 546.1 | 515.4 | 0.721 | 73.5 | 31.3 |
| BMG07082017_slice_20 | 0.291 | 0.546 | 0.518 | 0.291 | 546.1 | 518.5 | 0.274 | 545.0 | 514.3 | 0.725 | 71.8 | 30.2 |
| BMG07082017_slice_21 | 0.297 | 0.547 | 0.520 | 0.297 | 547.3 | 519.7 | 0.277 | 546.0 | 515.4 | 0.730 | 69.5 | 28.9 |
| BMG07082017_slice_22 | 0.307 | 0.546 | 0.518 | 0.307 | 545.9 | 518.2 | 0.284 | 544.6 | 513.7 | 0.739 | 66.2 | 26.9 |
| BMG07082017_slice_23 | 0.309 | 0.548 | 0.520 | 0.309 | 547.7 | 519.9 | 0.284 | 546.5 | 515.8 | 0.744 | 64.7 | 26.1 |
| BMG07082017_slice_24 | 0.315 | 0.546 | 0.519 | 0.315 | 546.2 | 518.8 | 0.289 | 544.8 | 514.5 | 0.747 | 63.4 | 25.4 |
| BMG07082017_slice_25 | 0.321 | 0.546 | 0.518 | 0.321 | 545.6 | 518.1 | 0.292 | 544.2 | 513.6 | 0.752 | 61.7 | 24.5 |
| BMG07082017_slice_26 | 0.315 | 0.548 | 0.522 | 0.315 | 548.2 | 521.6 | 0.289 | 546.7 | 517.0 | 0.752 | 63.2 | 25.0 |
| BMG07082017_slice_27 | 0.316 | 0.548 | 0.521 | 0.316 | 548.3 | 521.4 | 0.289 | 546.9 | 517.0 | 0.754 | 63.0 | 24.6 |
| BMG07082017_slice_28 | 0.312 | 0.551 | 0.524 | 0.312 | 550.9 | 524.0 | 0.288 | 549.5 | 519.7 | 0.756 | 63.9 | 24.8 |
| BMG07082017_slice_29 | 0.316 | 0.550 | 0.523 | 0.316 | 549.9 | 522.8 | 0.289 | 548.5 | 518.4 | 0.760 | 63.1 | 24.3 |
| BMG07082017_slice_30 | 0.322 | 0.549 | 0.522 | 0.322 | 549.2 | 522.3 | 0.295 | 547.9 | 518.0 | 0.765 | 62.7 | 23.9 |
| BMG07082017_slice_31 | 0.325 | 0.549 | 0.523 | 0.325 | 549.2 | 522.6 | 0.298 | 548.0 | 518.4 | 0.767 | 61.9 | 23.6 |
| BMG07082017_slice_32 | 0.326 | 0.550 | 0.523 | 0.326 | 549.8 | 522.7 | 0.299 | 548.7 | 518.8 | 0.769 | 60.2 | 22.9 |
| BMG07082017_slice_33 | 0.325 | 0.551 | 0.524 | 0.325 | 550.8 | 523.7 | 0.298 | 549.7 | 519.8 | 0.766 | 60.1 | 22.9 |
| BMG07082017_slice_34 | 0.326 | 0.549 | 0.523 | 0.326 | 549.3 | 522.6 | 0.297 | 548.2 | 518.7 | 0.766 | 60.4 | 23.0 |
| BMG07082017_slice_35 | 0.323 | 0.550 | 0.524 | 0.323 | 550.2 | 523.9 | 0.296 | 549.1 | 520.0 | 0.764 | 61.0 | 23.2 |
| BMG07082017_slice_36 | 0.328 | 0.547 | 0.520 | 0.328 | 546.8 | 520.2 | 0.299 | 545.7 | 516.1 | 0.768 | 60.0 | 22.5 |
| BMG07082017_slice_37 | 0.324 | 0.548 | 0.522 | 0.324 | 547.9 | 521.6 | 0.297 | 546.7 | 517.4 | 0.766 | 61.8 | 23.2 |
| BMG07082017_slice_38 | 0.320 | 0.549 | 0.523 | 0.320 | 548.6 | 522.6 | 0.294 | 547.5 | 518.6 | 0.763 | 62.2 | 23.5 |
| BMG07082017_slice_39 | 0.322 | 0.547 | 0.521 | 0.322 | 547.4 | 521.4 | 0.293 | 546.2 | 517.2 | 0.764 | 63.0 | 23.7 |
| BMG07082017_slice_40 | 0.325 | 0.547 | 0.520 | 0.325 | 546.7 | 520.0 | 0.296 | 545.6 | 515.8 | 0.764 | 61.6 | 23.1 |
| BMG07082017_slice_41 | 0.326 | 0.548 | 0.522 | 0.326 | 548.4 | 521.6 | 0.298 | 547.3 | 517.6 | 0.765 | 61.9 | 23.2 |
| BMG07082017_slice_42 | 0.327 | 0.547 | 0.520 | 0.327 | 547.4 | 520.1 | 0.297 | 546.3 | 516.1 | 0.763 | 61.0 | 23.0 |
| BMG07082017_slice_43 | 0.327 | 0.544 | 0.517 | 0.327 | 544.2 | 517.3 | 0.297 | 543.1 | 513.3 | 0.764 | 60.5 | 23.1 |
| BMG07082017_slice_44 | 0.320 | 0.551 | 0.524 | 0.320 | 551.1 | 524.1 | 0.294 | 550.0 | 520.6 | 0.760 | 63.7 | 24.2 |
| BMG07082017_slice_45 | 0.328 | 0.547 | 0.521 | 0.328 | 546.9 | 520.9 | 0.300 | 545.7 | 516.8 | 0.766 | 61.5 | 23.4 |
| BMG07082017_slice_46 | 0.326 | 0.549 | 0.524 | 0.326 | 549.0 | 523.8 | 0.301 | 547.6 | 519.5 | 0.768 | 64.2 | 24.2 |
| BMG07082017_slice_47 | 0.327 | 0.550 | 0.525 | 0.327 | 550.1 | 524.6 | 0.301 | 548.7 | 520.3 | 0.764 | 64.2 | 24.1 |
| BMG07082017_slice_48 | 0.325 | 0.550 | 0.525 | 0.325 | 549.9 | 525.3 | 0.301 | 548.5 | 520.6 | 0.763 | 65.7 | 24.8 |
| BMG07082017_slice_49 | 0.320 | 0.550 | 0.525 | 0.320 | 549.8 | 525.5 | 0.298 | 548.4 | 520.9 | 0.762 | 67.4 | 25.6 |
| BMG07082017_slice_50 | 0.327 | 0.548 | 0.523 | 0.327 | 548.3 | 523.2 | 0.302 | 546.8 | 518.5 | 0.766 | 66.1 | 24.8 |
| BMG07082017_slice_51 | 0.332 | 0.550 | 0.525 | 0.332 | 550.4 | 525.4 | 0.304 | 548.9 | 520.7 | 0.765 | 65.1 | 24.5 |
| BMG07082017_slice_52 | 0.333 | 0.549 | 0.524 | 0.333 | 549.3 | 523.8 | 0.305 | 547.9 | 519.3 | 0.771 | 63.0 | 23.5 |
| BMG07082017_slice_53 | 0.328 | 0.553 | 0.527 | 0.328 | 553.4 | 527.5 | 0.301 | 552.2 | 523.4 | 0.766 | 61.9 | 23.4 |
| BMG07082017_slice_54 | 0.332 | 0.552 | 0.526 | 0.332 | 551.8 | 525.8 | 0.304 | 550.6 | 521.9 | 0.766 | 60.4 | 22.9 |
| BMG07082017_slice_55 | 0.335 | 0.551 | 0.525 | 0.335 | 551.0 | 525.4 | 0.306 | 549.7 | 521.2 | 0.768 | 60.6 | 23.1 |
| BMG07082017_slice_56 | 0.326 | 0.553 | 0.528 | 0.326 | 553.3 | 528.5 | 0.300 | 552.0 | 524.3 | 0.766 | 62.4 | 23.9 |
| BMG07082017_slice_57 | 0.331 | 0.551 | 0.525 | 0.331 | 551.2 | 525.2 | 0.301 | 549.9 | 521.0 | 0.767 | 61.8 | 23.5 |
| BMG07082017_slice_58 | 0.322 | 0.552 | 0.527 | 0.322 | 552.4 | 527.3 | 0.296 | 551.0 | 522.9 | 0.760 | 65.5 | 25.2 |
| BMG07082017_slice_59 | 0.320 | 0.552 | 0.527 | 0.320 | 551.6 | 526.8 | 0.296 | 550.3 | 522.4 | 0.760 | 66.4 | 25.4 |
| BMG07082017_slice_60 | 0.320 | 0.549 | 0.524 | 0.320 | 549.4 | 524.2 | 0.295 | 548.1 | 519.9 | 0.762 | 67.3 | 25.8 |
| BMG07082017_slice_61 | 0.320 | 0.549 | 0.523 | 0.320 | 549.2 | 523.5 | 0.295 | 547.9 | 519.0 | 0.762 | 67.5 | 25.8 |
| BMG07082017_slice_62 | 0.318 | 0.550 | 0.524 | 0.318 | 550.0 | 523.7 | 0.293 | 548.8 | 519.6 | 0.758 | 67.7 | 26.0 |
| BMG07082017_slice_63 | 0.319 | 0.548 | 0.522 | 0.319 | 548.2 | 521.9 | 0.293 | 546.9 | 517.7 | 0.760 | 67.3 | 25.9 |
| BMG07082017_slice_64 | 0.317 | 0.550 | 0.524 | 0.317 | 550.0 | 523.7 | 0.293 | 548.8 | 519.8 | 0.759 | 66.7 | 25.9 |
| BMG07082017_slice_65 | 0.321 | 0.549 | 0.523 | 0.321 | 549.2 | 523.1 | 0.295 | 547.9 | 519.0 | 0.759 | 65.6 | 25.5 |
| BMG07082017_slice_66 | 0.321 | 0.551 | 0.525 | 0.321 | 550.5 | 524.7 | 0.296 | 549.3 | 520.6 | 0.760 | 64.8 | 25.1 |
| BMG07082017_slice_67 | 0.331 | 0.548 | 0.521 | 0.331 | 548.1 | 521.2 | 0.302 | 546.9 | 517.2 | 0.766 | 62.3 | 23.8 |
| BMG07082017_slice_68 | 0.319 | 0.550 | 0.525 | 0.319 | 550.0 | 524.8 | 0.295 | 548.6 | 520.4 | 0.765 | 64.8 | 25.2 |
| BMG07082017_slice_69 | 0.309 | 0.552 | 0.527 | 0.309 | 552.4 | 527.5 | 0.288 | 551.2 | 523.3 | 0.764 | 65.8 | 25.4 |
| BMG07082017_slice_70 | 0.312 | 0.552 | 0.527 | 0.312 | 552.1 | 526.9 | 0.290 | 550.9 | 522.7 | 0.766 | 64.8 | 25.1 |
| BMG07082017_slice_71 | 0.316 | 0.551 | 0.526 | 0.316 | 551.2 | 525.9 | 0.292 | 549.9 | 521.6 | 0.768 | 63.7 | 24.5 |
| BMG07082017_slice_72 | 0.327 | 0.551 | 0.525 | 0.327 | 550.9 | 525.3 | 0.298 | 549.7 | 521.1 | 0.770 | 61.6 | 23.5 |
| BMG07082017_slice_73 | 0.332 | 0.551 | 0.526 | 0.332 | 551.4 | 525.7 | 0.302 | 550.2 | 521.5 | 0.773 | 59.8 | 22.8 |
| BMG07082017_slice_74 | 0.332 | 0.553 | 0.527 | 0.332 | 552.6 | 527.4 | 0.304 | 551.4 | 523.3 | 0.776 | 60.2 | 22.9 |
| BMG07082017_slice_75 | 0.332 | 0.554 | 0.529 | 0.332 | 553.6 | 528.6 | 0.305 | 552.4 | 524.5 | 0.780 | 60.2 | 22.7 |
| BMG07082017_slice_76 | 0.329 | 0.553 | 0.529 | 0.329 | 552.6 | 528.8 | 0.303 | 551.3 | 524.4 | 0.781 | 61.6 | 23.2 |
| BMG07082017_slice_77 | 0.334 | 0.556 | 0.531 | 0.334 | 555.6 | 530.6 | 0.305 | 554.4 | 526.6 | 0.780 | 61.7 | 23.1 |
| BMG07082017_slice_78 | 0.323 | 0.555 | 0.531 | 0.323 | 555.1 | 531.0 | 0.299 | 553.7 | 526.6 | 0.772 | 65.9 | 25.2 |
| BMG07082017_slice_79 | 0.314 | 0.556 | 0.533 | 0.314 | 556.2 | 532.6 | 0.294 | 555.0 | 528.4 | 0.769 | 67.4 | 26.1 |
| BMG07082017_slice_80 | 0.333 | 0.551 | 0.525 | 0.333 | 550.9 | 525.3 | 0.309 | 549.7 | 521.1 | 0.771 | 64.1 | 24.3 |
| BMG07082017_slice_81 | 0.323 | 0.553 | 0.527 | 0.323 | 553.1 | 526.5 | 0.301 | 552.1 | 522.6 | 0.756 | 66.2 | 26.3 |
| BMG07082017_slice_82 | 0.316 | 0.548 | 0.519 | 0.316 | 547.8 | 519.3 | 0.294 | 546.6 | 515.2 | 0.742 | 69.8 | 28.6 |
| BMG07082017_slice_83 | 0.302 | 0.543 | 0.514 | 0.302 | 543.2 | 513.7 | 0.283 | 542.1 | 509.8 | 0.728 | 73.2 | 30.9 |
| BMG07082017_slice_84 | 0.300 | 0.540 | 0.509 | 0.300 | 540.1 | 508.6 | 0.279 | 539.0 | 505.0 | 0.716 | 73.3 | 31.6 |
| BMG07082017_slice_85 | 0.292 | 0.535 | 0.503 | 0.292 | 535.5 | 503.2 | 0.273 | 534.4 | 499.5 | 0.709 | 74.0 | 32.6 |
| BMG07082017_slice_86 | 0.286 | 0.532 | 0.499 | 0.286 | 532.5 | 499.2 | 0.269 | 531.4 | 495.6 | 0.701 | 75.1 | 33.7 |
| BMG07082017_slice_87 | 0.254 | 0.535 | 0.502 | 0.254 | 535.0 | 502.1 | 0.248 | 534.1 | 499.1 | 0.691 | 79.3 | 37.0 |
| BMG07082017_slice_88 | 0.286 | 0.528 | 0.491 | 0.286 | 528.2 | 491.1 | 0.267 | 527.3 | 488.3 | 0.693 | 73.9 | 33.9 |
| BMG07082017_slice_89 | 0.248 | 0.531 | 0.496 | 0.248 | 530.9 | 495.5 | 0.242 | 530.0 | 492.7 | 0.680 | 79.5 | 37.9 |
| BMG07082017_slice_90 | 0.228 | 0.530 | 0.496 | 0.228 | 529.9 | 495.6 | 0.230 | 529.1 | 492.9 | 0.675 | 84.0 | 40.5 |
| BMG07082017_slice_91 | 0.234 | 0.527 | 0.491 | 0.234 | 526.6 | 491.5 | 0.235 | 525.8 | 488.7 | 0.674 | 84.6 | 40.8 |
| BMG07082017_slice_92 | 0.228 | 0.525 | 0.491 | 0.228 | 525.2 | 490.6 | 0.232 | 524.3 | 487.6 | 0.669 | 87.3 | 42.4 |
| BMG07082017_slice_93 | 0.242 | 0.522 | 0.486 | 0.242 | 522.2 | 486.5 | 0.243 | 521.2 | 483.1 | 0.672 | 85.7 | 41.4 |
| BMG07082017_slice_94 | 0.251 | 0.519 | 0.483 | 0.251 | 519.3 | 482.9 | 0.248 | 518.2 | 479.5 | 0.674 | 84.0 | 40.4 |
| BMG07082017_slice_95 | 0.240 | 0.522 | 0.487 | 0.240 | 522.2 | 486.9 | 0.242 | 521.2 | 483.5 | 0.674 | 85.9 | 41.7 |
| BMG07082017_slice_96 | 0.244 | 0.521 | 0.486 | 0.244 | 521.5 | 485.9 | 0.244 | 520.3 | 482.3 | 0.673 | 85.9 | 41.6 |
| BMG07082017_slice_97 | 0.257 | 0.522 | 0.486 | 0.257 | 522.5 | 486.1 | 0.251 | 521.4 | 482.6 | 0.675 | 84.4 | 40.5 |
| BMG07082017_slice_98 | 0.228 | 0.528 | 0.493 | 0.228 | 528.2 | 492.5 | 0.231 | 527.4 | 489.8 | 0.674 | 86.7 | 42.5 |
| BMG07082017_slice_99 | 0.285 | 0.522 | 0.483 | 0.285 | 521.8 | 482.6 | 0.267 | 520.9 | 479.7 | 0.683 | 80.0 | 37.7 |
| BMG07082017_slice_100 | 0.281 | 0.522 | 0.484 | 0.281 | 522.3 | 484.0 | 0.264 | 521.3 | 480.8 | 0.681 | 81.4 | 38.3 |
| BMG07082017_slice_101 | 0.266 | 0.523 | 0.487 | 0.266 | 523.3 | 486.9 | 0.257 | 522.1 | 483.2 | 0.679 | 84.6 | 40.1 |
| BMG07082017_slice_102 | 0.265 | 0.523 | 0.487 | 0.265 | 523.1 | 486.7 | 0.257 | 522.1 | 483.4 | 0.680 | 84.5 | 39.9 |
4Γ3 grid: Rows show different image types (Original NATIVE, Reconstructed NATIVE, Original VENOUS, Generated VENOUS), Columns show windowing techniques (No Window, Lung Window, Mediastinum Window)