GAN Medical CT Evaluation Report

Patient: EM31082020

Slice 70 Targeting Evaluation

Patient Information

Patient ID: EM31082020

Model: cytran

Slice: Slice_70

Slice Thickness: 3.0mm

Conversion: NATIVE β†’ VENOUS

πŸ“Š Download Metrics

πŸ“₯ Download CSV Metrics (patient_EM31082020_metrics.csv)

Contains all 4 metric datasets: Network-Normalized, Hounsfield Units, Lung Window, and Mediastinum Window

Native→Venous Translation Metrics (Generated Venous vs Real Venous)

Targeted Slice 70 - Network-Normalized Analysis (Generated vs Real Venous)

0.382
SSIM Score
0.550
RMSE
0.523
MAE

Average Network-Normalized Metrics Across All Slices (85 slices) - Generated vs Real Venous

0.364
SSIM Score (Avg)
0.547
RMSE (Avg)
0.522
MAE (Avg)

Targeted Slice 70 - HU-Space Analysis (Generated vs Real Venous)

0.382
HU SSIM
549.9
HU RMSE
523.3
HU MAE

Average HU-Space Metrics Across All Slices (85 slices) - Generated vs Real Venous

0.364
HU SSIM (Avg)
546.9
HU RMSE (Avg)
522.4
HU MAE (Avg)

Targeted Slice 70 - Lung Window Analysis (Generated vs Real Venous)

0.348
Lung SSIM
548.5
Lung RMSE
519.2
Lung MAE

Average Lung Window Metrics Across All Slices (85 slices) - Generated vs Real Venous

0.327
Lung SSIM (Avg)
545.6
Lung RMSE (Avg)
517.9
Lung MAE (Avg)

Targeted Slice 70 - Mediastinum Window Analysis (Generated vs Real Venous)

0.792
Mediastinum SSIM
44.1
Mediastinum RMSE
16.5
Mediastinum MAE

Average Mediastinum Window Metrics Across All Slices (85 slices) - Generated vs Real Venous

0.758
Mediastinum SSIM (Avg)
47.2
Mediastinum RMSE (Avg)
19.7
Mediastinum MAE (Avg)

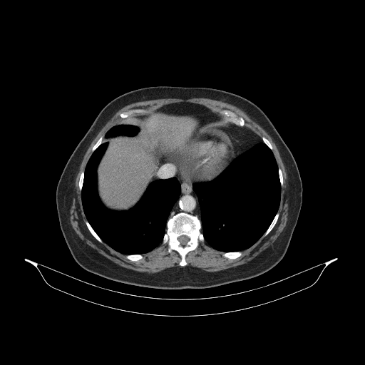
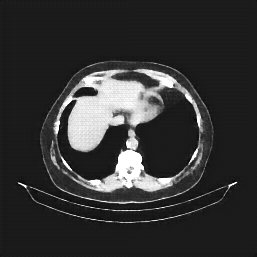
Image Grid

4Γ—3 grid: Rows show different image types (Original NATIVE, Reconstructed NATIVE, Original VENOUS, Generated VENOUS), Columns show windowing techniques (No Window, Lung Window, Mediastinum Window)

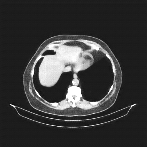
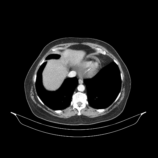
Original NATIVE CT scan (input)
Full window (WL 1023.5, WW 4095 β†’ Low βˆ’1024, High +3071)
Original NATIVE CT scan (input)
Actual HU range: [-160.0, 240.0]
Original NATIVE CT scan (input)
Lung window (WL -600, WW 1500 β†’ Low βˆ’1350, High +150)
Original NATIVE CT scan (input)
Actual HU range: [-160.0, 150.0]
Original NATIVE CT scan (input)
Mediastinum window (WL 40, WW 400 β†’ Low βˆ’160, High +240)
Original NATIVE CT scan (input)
Actual HU range: [-160.0, 240.0]
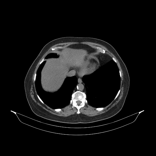
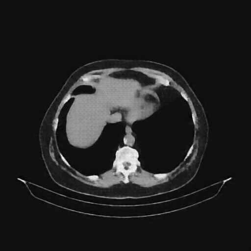
Reconstructed NATIVE CT scan (cycle consistency)
Full window (WL 1023.5, WW 4095 β†’ Low βˆ’1024, High +3071)
Reconstructed NATIVE CT scan (cycle consistency)
Actual HU range: [-863.7, 702.5]
Reconstructed NATIVE CT scan (cycle consistency)
Lung window (WL -600, WW 1500 β†’ Low βˆ’1350, High +150)
Reconstructed NATIVE CT scan (cycle consistency)
Actual HU range: [-863.7, 150.0]
Reconstructed NATIVE CT scan (cycle consistency)
Mediastinum window (WL 40, WW 400 β†’ Low βˆ’160, High +240)
Reconstructed NATIVE CT scan (cycle consistency)
Actual HU range: [-160.0, 240.0]
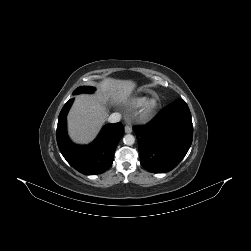
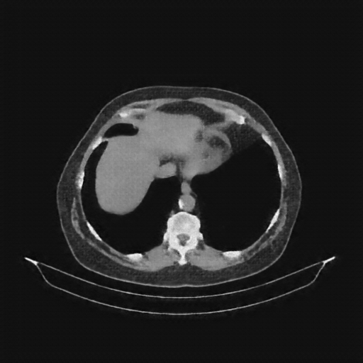
Original VENOUS CT scan
Full window (WL 1023.5, WW 4095 β†’ Low βˆ’1024, High +3071)
Original VENOUS CT scan
Actual HU range: [-160.0, 240.0]
Original VENOUS CT scan
Lung window (WL -600, WW 1500 β†’ Low βˆ’1350, High +150)
Original VENOUS CT scan
Actual HU range: [-160.0, 150.0]
Original VENOUS CT scan
Mediastinum window (WL 40, WW 400 β†’ Low βˆ’160, High +240)
Original VENOUS CT scan
Actual HU range: [-160.0, 240.0]
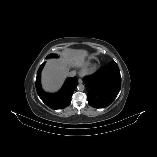
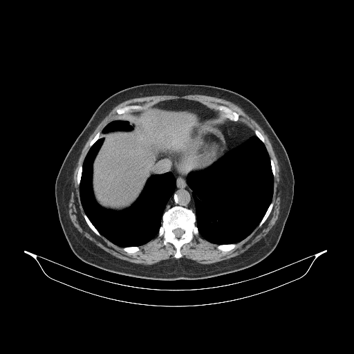
Generated VENOUS CT scan (A→B translation)
Full window (WL 1023.5, WW 4095 β†’ Low βˆ’1024, High +3071)
Generated VENOUS CT scan (A→B translation)
Actual HU range: [-876.3, 832.7]
Generated VENOUS CT scan (A→B translation)
Lung window (WL -600, WW 1500 β†’ Low βˆ’1350, High +150)
Generated VENOUS CT scan (A→B translation)
Actual HU range: [-876.3, 150.0]
Generated VENOUS CT scan (A→B translation)
Mediastinum window (WL 40, WW 400 β†’ Low βˆ’160, High +240)
Generated VENOUS CT scan (A→B translation)
Actual HU range: [-160.0, 240.0]

Windowing Parameters