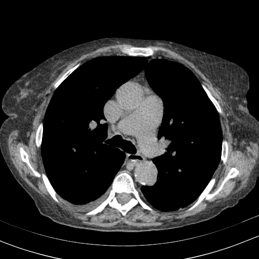
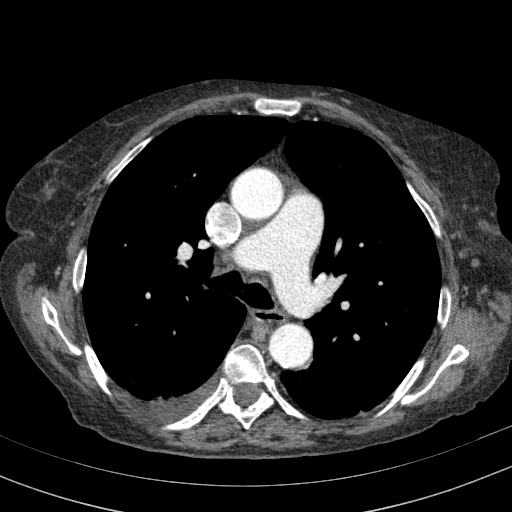
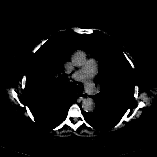
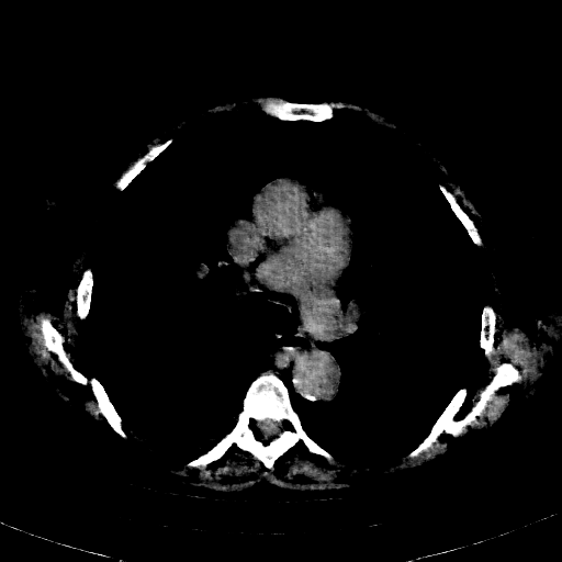
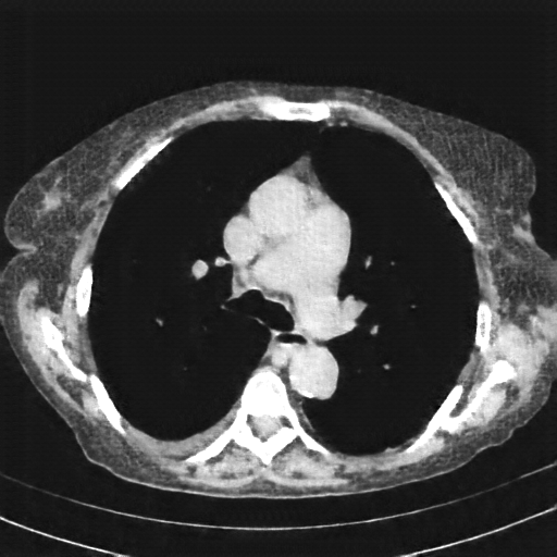
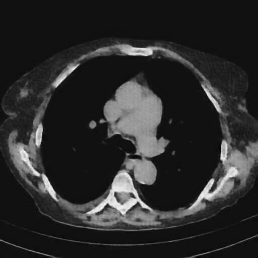
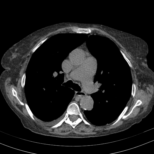
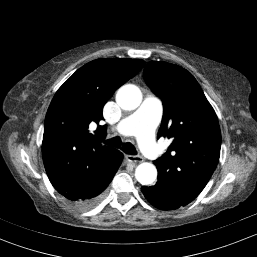
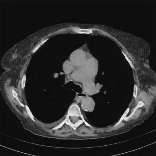
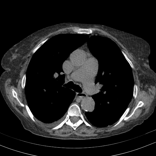
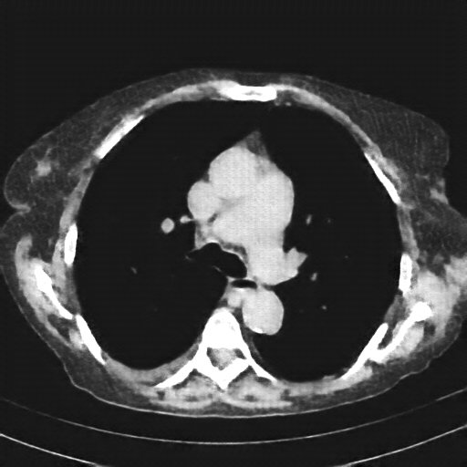
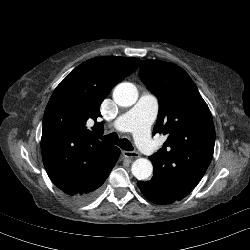
Slice 70 Targeting Evaluation
Patient ID: MF04022021
Model: cytran
Slice: Slice_70
Slice Thickness: 1.5mm
Conversion: NATIVE β VENOUS
Contains all 4 metric datasets: Network-Normalized, Hounsfield Units, Lung Window, and Mediastinum Window
| Slice ID | SSIM | RMSE | MAE | HU SSIM | HU RMSE | HU MAE | Lung SSIM | Lung RMSE | Lung MAE | Mediastinum SSIM | Mediastinum RMSE | Mediastinum MAE |
|---|---|---|---|---|---|---|---|---|---|---|---|---|
| MF04022021_slice_0 | 0.249 | 0.529 | 0.502 | 0.249 | 528.9 | 501.9 | 0.232 | 525.7 | 494.5 | 0.565 | 106.9 | 59.8 |
| MF04022021_slice_1 | 0.249 | 0.524 | 0.496 | 0.249 | 523.9 | 495.8 | 0.231 | 520.7 | 488.4 | 0.563 | 104.9 | 59.0 |
| MF04022021_slice_2 | 0.254 | 0.520 | 0.490 | 0.254 | 519.7 | 490.4 | 0.233 | 516.8 | 483.3 | 0.563 | 103.0 | 58.0 |
| MF04022021_slice_3 | 0.245 | 0.524 | 0.496 | 0.245 | 524.1 | 496.0 | 0.228 | 521.0 | 488.7 | 0.556 | 105.5 | 59.8 |
| MF04022021_slice_4 | 0.244 | 0.524 | 0.496 | 0.244 | 523.7 | 495.7 | 0.227 | 520.7 | 488.7 | 0.554 | 107.4 | 60.8 |
| MF04022021_slice_5 | 0.248 | 0.526 | 0.499 | 0.248 | 525.6 | 498.8 | 0.229 | 522.9 | 492.1 | 0.549 | 107.6 | 60.6 |
| MF04022021_slice_6 | 0.245 | 0.524 | 0.496 | 0.245 | 523.5 | 496.1 | 0.225 | 520.4 | 489.0 | 0.536 | 110.9 | 62.6 |
| MF04022021_slice_7 | 0.248 | 0.517 | 0.487 | 0.248 | 516.7 | 487.3 | 0.227 | 514.1 | 481.0 | 0.535 | 109.0 | 61.4 |
| MF04022021_slice_8 | 0.250 | 0.517 | 0.488 | 0.250 | 517.4 | 488.2 | 0.228 | 514.8 | 482.0 | 0.539 | 108.9 | 61.1 |
| MF04022021_slice_9 | 0.255 | 0.518 | 0.490 | 0.255 | 517.8 | 490.0 | 0.232 | 515.0 | 483.0 | 0.546 | 108.2 | 60.2 |
| MF04022021_slice_10 | 0.260 | 0.518 | 0.489 | 0.260 | 517.8 | 489.2 | 0.236 | 515.2 | 482.4 | 0.549 | 106.0 | 58.8 |
| MF04022021_slice_11 | 0.261 | 0.518 | 0.489 | 0.261 | 518.1 | 489.0 | 0.240 | 515.5 | 482.4 | 0.551 | 105.3 | 58.4 |
| MF04022021_slice_12 | 0.264 | 0.518 | 0.489 | 0.264 | 518.5 | 488.7 | 0.242 | 516.2 | 482.3 | 0.558 | 103.3 | 57.1 |
| MF04022021_slice_13 | 0.265 | 0.518 | 0.488 | 0.265 | 518.4 | 488.5 | 0.244 | 516.2 | 482.2 | 0.564 | 102.3 | 56.2 |
| MF04022021_slice_14 | 0.264 | 0.520 | 0.491 | 0.264 | 520.3 | 491.0 | 0.245 | 517.9 | 484.4 | 0.568 | 103.0 | 56.2 |
| MF04022021_slice_15 | 0.265 | 0.521 | 0.492 | 0.265 | 521.3 | 492.0 | 0.245 | 518.9 | 485.4 | 0.571 | 101.8 | 54.9 |
| MF04022021_slice_16 | 0.265 | 0.525 | 0.496 | 0.265 | 525.2 | 496.4 | 0.245 | 523.0 | 490.2 | 0.579 | 101.5 | 54.5 |
| MF04022021_slice_17 | 0.264 | 0.528 | 0.500 | 0.264 | 528.0 | 500.1 | 0.245 | 525.5 | 493.7 | 0.581 | 102.5 | 54.6 |
| MF04022021_slice_18 | 0.266 | 0.529 | 0.502 | 0.266 | 528.8 | 501.7 | 0.247 | 526.4 | 495.3 | 0.586 | 102.1 | 54.1 |
| MF04022021_slice_19 | 0.265 | 0.531 | 0.504 | 0.265 | 531.0 | 504.4 | 0.245 | 528.4 | 497.9 | 0.588 | 102.2 | 53.9 |
| MF04022021_slice_20 | 0.265 | 0.530 | 0.505 | 0.265 | 530.4 | 505.1 | 0.244 | 527.7 | 498.1 | 0.591 | 100.9 | 53.1 |
| MF04022021_slice_21 | 0.268 | 0.531 | 0.505 | 0.268 | 531.1 | 504.7 | 0.247 | 528.6 | 498.0 | 0.599 | 98.2 | 51.3 |
| MF04022021_slice_22 | 0.272 | 0.532 | 0.506 | 0.272 | 532.1 | 506.3 | 0.251 | 529.8 | 499.6 | 0.604 | 95.3 | 49.7 |
| MF04022021_slice_23 | 0.277 | 0.531 | 0.505 | 0.277 | 531.0 | 504.8 | 0.253 | 528.8 | 498.1 | 0.612 | 91.6 | 47.6 |
| MF04022021_slice_24 | 0.277 | 0.532 | 0.506 | 0.277 | 531.9 | 506.1 | 0.254 | 529.6 | 499.3 | 0.616 | 90.2 | 46.7 |
| MF04022021_slice_25 | 0.276 | 0.534 | 0.507 | 0.276 | 533.6 | 507.1 | 0.254 | 531.2 | 500.5 | 0.618 | 90.7 | 46.4 |
| MF04022021_slice_26 | 0.279 | 0.532 | 0.506 | 0.279 | 531.5 | 506.4 | 0.256 | 528.9 | 499.1 | 0.623 | 89.3 | 45.6 |
| MF04022021_slice_27 | 0.278 | 0.534 | 0.509 | 0.278 | 533.6 | 509.1 | 0.254 | 530.9 | 501.9 | 0.624 | 90.4 | 46.0 |
| MF04022021_slice_28 | 0.280 | 0.534 | 0.508 | 0.280 | 533.9 | 508.4 | 0.255 | 531.4 | 501.5 | 0.626 | 89.4 | 45.3 |
| MF04022021_slice_29 | 0.281 | 0.536 | 0.511 | 0.281 | 535.8 | 510.6 | 0.257 | 533.5 | 504.2 | 0.627 | 89.5 | 45.5 |
| MF04022021_slice_30 | 0.281 | 0.536 | 0.511 | 0.281 | 536.0 | 511.4 | 0.257 | 533.6 | 504.8 | 0.626 | 90.4 | 45.8 |
| MF04022021_slice_31 | 0.281 | 0.536 | 0.512 | 0.281 | 535.6 | 511.7 | 0.258 | 533.0 | 504.8 | 0.629 | 90.6 | 45.8 |
| MF04022021_slice_32 | 0.285 | 0.534 | 0.510 | 0.285 | 533.9 | 509.7 | 0.261 | 531.4 | 502.8 | 0.631 | 88.0 | 44.5 |
| MF04022021_slice_33 | 0.287 | 0.533 | 0.509 | 0.287 | 533.5 | 509.1 | 0.261 | 531.1 | 502.3 | 0.631 | 86.9 | 44.1 |
| MF04022021_slice_34 | 0.288 | 0.534 | 0.509 | 0.288 | 533.7 | 508.6 | 0.262 | 531.3 | 501.9 | 0.631 | 85.4 | 43.2 |
| MF04022021_slice_35 | 0.286 | 0.533 | 0.508 | 0.286 | 533.3 | 507.7 | 0.260 | 531.1 | 501.1 | 0.630 | 84.8 | 43.0 |
| MF04022021_slice_36 | 0.286 | 0.533 | 0.507 | 0.286 | 533.1 | 506.7 | 0.259 | 530.9 | 500.3 | 0.630 | 84.6 | 42.8 |
| MF04022021_slice_37 | 0.282 | 0.534 | 0.507 | 0.282 | 533.7 | 507.1 | 0.256 | 531.3 | 500.4 | 0.626 | 87.0 | 43.8 |
| MF04022021_slice_38 | 0.278 | 0.535 | 0.509 | 0.278 | 535.5 | 508.5 | 0.252 | 533.0 | 501.9 | 0.622 | 89.0 | 44.6 |
| MF04022021_slice_39 | 0.279 | 0.533 | 0.507 | 0.279 | 533.4 | 506.9 | 0.252 | 530.9 | 500.0 | 0.622 | 88.6 | 44.3 |
| MF04022021_slice_40 | 0.276 | 0.533 | 0.507 | 0.276 | 533.2 | 507.4 | 0.249 | 530.6 | 500.1 | 0.621 | 89.6 | 45.0 |
| MF04022021_slice_41 | 0.275 | 0.535 | 0.510 | 0.275 | 534.9 | 510.3 | 0.249 | 532.1 | 502.7 | 0.620 | 91.3 | 45.8 |
| MF04022021_slice_42 | 0.276 | 0.536 | 0.512 | 0.276 | 535.5 | 511.7 | 0.250 | 532.6 | 503.9 | 0.622 | 91.9 | 45.8 |
| MF04022021_slice_43 | 0.276 | 0.535 | 0.511 | 0.276 | 534.7 | 511.0 | 0.250 | 531.8 | 503.2 | 0.622 | 92.3 | 45.9 |
| MF04022021_slice_44 | 0.275 | 0.536 | 0.512 | 0.275 | 535.8 | 512.1 | 0.249 | 532.9 | 504.4 | 0.622 | 92.7 | 46.0 |
| MF04022021_slice_45 | 0.276 | 0.535 | 0.511 | 0.276 | 535.5 | 511.4 | 0.250 | 532.7 | 503.9 | 0.622 | 92.4 | 45.6 |
| MF04022021_slice_46 | 0.276 | 0.537 | 0.513 | 0.276 | 536.7 | 513.4 | 0.249 | 533.9 | 505.8 | 0.623 | 93.2 | 46.0 |
| MF04022021_slice_47 | 0.277 | 0.537 | 0.514 | 0.277 | 536.6 | 513.5 | 0.251 | 533.9 | 505.9 | 0.621 | 92.9 | 46.0 |
| MF04022021_slice_48 | 0.276 | 0.536 | 0.513 | 0.276 | 536.2 | 512.8 | 0.250 | 533.3 | 505.1 | 0.619 | 93.6 | 46.2 |
| MF04022021_slice_49 | 0.277 | 0.536 | 0.511 | 0.277 | 535.7 | 511.2 | 0.249 | 532.8 | 503.8 | 0.615 | 93.6 | 46.2 |
| MF04022021_slice_50 | 0.281 | 0.532 | 0.508 | 0.281 | 532.5 | 507.8 | 0.251 | 529.6 | 500.2 | 0.618 | 90.8 | 45.1 |
| MF04022021_slice_51 | 0.283 | 0.530 | 0.506 | 0.283 | 530.5 | 505.7 | 0.252 | 527.4 | 497.9 | 0.619 | 90.3 | 44.8 |
| MF04022021_slice_52 | 0.284 | 0.531 | 0.505 | 0.284 | 530.6 | 505.4 | 0.254 | 527.5 | 497.6 | 0.619 | 89.6 | 44.5 |
| MF04022021_slice_53 | 0.284 | 0.529 | 0.504 | 0.284 | 529.2 | 504.2 | 0.253 | 526.3 | 496.5 | 0.616 | 89.3 | 44.3 |
| MF04022021_slice_54 | 0.286 | 0.528 | 0.503 | 0.286 | 527.9 | 502.9 | 0.254 | 525.0 | 495.2 | 0.616 | 88.8 | 44.0 |
| MF04022021_slice_55 | 0.286 | 0.528 | 0.503 | 0.286 | 528.4 | 502.6 | 0.253 | 525.3 | 494.9 | 0.610 | 89.6 | 44.3 |
| MF04022021_slice_56 | 0.288 | 0.530 | 0.504 | 0.288 | 529.7 | 503.8 | 0.256 | 526.9 | 496.3 | 0.616 | 88.0 | 43.6 |
| MF04022021_slice_57 | 0.285 | 0.530 | 0.505 | 0.285 | 529.6 | 504.8 | 0.255 | 526.7 | 497.1 | 0.615 | 88.8 | 44.1 |
| MF04022021_slice_58 | 0.281 | 0.531 | 0.507 | 0.281 | 531.4 | 507.4 | 0.253 | 528.3 | 499.6 | 0.610 | 91.3 | 45.4 |
| MF04022021_slice_59 | 0.283 | 0.530 | 0.505 | 0.283 | 529.5 | 504.7 | 0.253 | 526.4 | 496.9 | 0.609 | 89.1 | 44.6 |
| MF04022021_slice_60 | 0.293 | 0.529 | 0.504 | 0.293 | 528.6 | 503.7 | 0.261 | 525.4 | 495.4 | 0.619 | 84.4 | 42.1 |
| MF04022021_slice_61 | 0.292 | 0.529 | 0.504 | 0.292 | 529.4 | 504.3 | 0.260 | 526.1 | 495.9 | 0.618 | 84.6 | 42.3 |
| MF04022021_slice_62 | 0.292 | 0.533 | 0.507 | 0.292 | 532.7 | 507.2 | 0.259 | 529.5 | 499.3 | 0.615 | 84.5 | 42.6 |
| MF04022021_slice_63 | 0.307 | 0.529 | 0.501 | 0.307 | 528.8 | 501.4 | 0.272 | 525.6 | 493.3 | 0.621 | 80.6 | 40.5 |
| MF04022021_slice_64 | 0.314 | 0.528 | 0.499 | 0.314 | 528.0 | 499.2 | 0.276 | 524.8 | 491.3 | 0.623 | 78.4 | 39.2 |
| MF04022021_slice_65 | 0.319 | 0.526 | 0.497 | 0.319 | 526.2 | 497.3 | 0.280 | 523.1 | 489.2 | 0.624 | 76.9 | 38.7 |
| MF04022021_slice_66 | 0.317 | 0.528 | 0.499 | 0.317 | 527.6 | 499.2 | 0.279 | 524.6 | 491.3 | 0.623 | 78.2 | 39.5 |
| MF04022021_slice_67 | 0.317 | 0.525 | 0.497 | 0.317 | 524.8 | 496.7 | 0.280 | 521.6 | 488.5 | 0.622 | 79.0 | 40.0 |
| MF04022021_slice_68 | 0.313 | 0.525 | 0.497 | 0.313 | 524.7 | 496.9 | 0.276 | 521.5 | 488.6 | 0.619 | 81.0 | 41.1 |
| MF04022021_slice_69 | 0.312 | 0.524 | 0.496 | 0.312 | 523.6 | 495.6 | 0.274 | 520.4 | 487.4 | 0.616 | 81.6 | 41.5 |
| MF04022021_slice_70 | 0.304 | 0.524 | 0.497 | 0.304 | 524.2 | 497.5 | 0.267 | 520.8 | 488.9 | 0.609 | 84.8 | 43.2 |
| MF04022021_slice_71 | 0.294 | 0.524 | 0.498 | 0.294 | 524.2 | 498.3 | 0.259 | 520.8 | 489.5 | 0.601 | 88.5 | 45.4 |
| MF04022021_slice_72 | 0.291 | 0.524 | 0.498 | 0.291 | 523.5 | 497.6 | 0.257 | 520.1 | 488.8 | 0.595 | 89.9 | 46.5 |
| MF04022021_slice_73 | 0.286 | 0.525 | 0.498 | 0.286 | 524.9 | 498.2 | 0.252 | 521.7 | 489.7 | 0.590 | 92.0 | 47.7 |
| MF04022021_slice_74 | 0.279 | 0.525 | 0.499 | 0.279 | 524.7 | 498.9 | 0.245 | 521.3 | 490.0 | 0.584 | 95.0 | 49.5 |
| MF04022021_slice_75 | 0.274 | 0.525 | 0.499 | 0.274 | 525.4 | 498.8 | 0.239 | 522.2 | 490.5 | 0.578 | 95.4 | 50.2 |
| MF04022021_slice_76 | 0.280 | 0.525 | 0.497 | 0.280 | 525.4 | 496.9 | 0.243 | 522.4 | 488.8 | 0.579 | 94.1 | 49.6 |
| MF04022021_slice_77 | 0.293 | 0.516 | 0.488 | 0.293 | 515.7 | 487.7 | 0.255 | 512.2 | 478.5 | 0.580 | 91.5 | 48.7 |
| MF04022021_slice_78 | 0.298 | 0.512 | 0.483 | 0.298 | 512.1 | 483.2 | 0.258 | 508.6 | 474.3 | 0.576 | 88.9 | 48.0 |
| MF04022021_slice_79 | 0.297 | 0.514 | 0.484 | 0.297 | 514.3 | 483.9 | 0.258 | 511.2 | 475.8 | 0.573 | 88.6 | 48.2 |
| MF04022021_slice_80 | 0.297 | 0.511 | 0.479 | 0.297 | 511.2 | 479.5 | 0.255 | 508.1 | 471.3 | 0.565 | 88.6 | 48.6 |
| MF04022021_slice_81 | 0.304 | 0.503 | 0.471 | 0.304 | 502.7 | 470.8 | 0.263 | 499.6 | 462.4 | 0.565 | 86.8 | 47.9 |
| MF04022021_slice_82 | 0.304 | 0.503 | 0.471 | 0.304 | 503.2 | 470.6 | 0.262 | 500.1 | 462.3 | 0.562 | 87.1 | 48.2 |
| MF04022021_slice_83 | 0.295 | 0.508 | 0.475 | 0.295 | 508.0 | 475.2 | 0.255 | 505.0 | 466.9 | 0.557 | 89.7 | 49.9 |
| MF04022021_slice_84 | 0.292 | 0.505 | 0.473 | 0.292 | 505.3 | 473.0 | 0.254 | 502.4 | 464.6 | 0.550 | 90.3 | 50.5 |
| MF04022021_slice_85 | 0.285 | 0.508 | 0.476 | 0.285 | 508.5 | 476.2 | 0.247 | 505.6 | 468.1 | 0.541 | 91.5 | 51.6 |
| MF04022021_slice_86 | 0.273 | 0.506 | 0.475 | 0.273 | 506.4 | 475.5 | 0.236 | 503.3 | 467.1 | 0.536 | 94.8 | 53.7 |
| MF04022021_slice_87 | 0.260 | 0.508 | 0.476 | 0.260 | 508.0 | 476.0 | 0.223 | 505.3 | 468.3 | 0.528 | 96.5 | 55.1 |
| MF04022021_slice_88 | 0.263 | 0.506 | 0.472 | 0.263 | 505.7 | 472.3 | 0.228 | 503.3 | 465.0 | 0.521 | 95.3 | 55.1 |
| MF04022021_slice_89 | 0.259 | 0.502 | 0.469 | 0.259 | 501.6 | 469.2 | 0.224 | 498.9 | 461.3 | 0.514 | 97.0 | 56.8 |
| MF04022021_slice_90 | 0.264 | 0.494 | 0.461 | 0.264 | 493.5 | 460.7 | 0.226 | 490.7 | 452.6 | 0.512 | 97.6 | 57.0 |
| MF04022021_slice_91 | 0.239 | 0.503 | 0.472 | 0.239 | 503.4 | 471.5 | 0.206 | 500.5 | 463.7 | 0.506 | 102.3 | 60.2 |
| MF04022021_slice_92 | 0.257 | 0.495 | 0.458 | 0.257 | 495.0 | 458.3 | 0.217 | 492.5 | 451.2 | 0.504 | 96.3 | 57.3 |
| MF04022021_slice_93 | 0.257 | 0.487 | 0.451 | 0.257 | 487.1 | 451.1 | 0.216 | 484.3 | 443.4 | 0.498 | 98.1 | 58.6 |
| MF04022021_slice_94 | 0.260 | 0.483 | 0.447 | 0.260 | 482.6 | 446.9 | 0.219 | 479.6 | 438.7 | 0.494 | 99.5 | 59.7 |
| MF04022021_slice_95 | 0.258 | 0.480 | 0.444 | 0.258 | 479.7 | 443.9 | 0.218 | 476.7 | 435.7 | 0.488 | 100.9 | 60.5 |
| MF04022021_slice_96 | 0.243 | 0.476 | 0.441 | 0.243 | 475.7 | 440.7 | 0.205 | 472.5 | 432.4 | 0.483 | 102.7 | 62.2 |
| MF04022021_slice_97 | 0.239 | 0.477 | 0.441 | 0.239 | 476.9 | 441.0 | 0.200 | 473.7 | 432.7 | 0.477 | 103.1 | 63.0 |
| MF04022021_slice_98 | 0.257 | 0.476 | 0.437 | 0.257 | 476.4 | 437.5 | 0.214 | 473.5 | 429.3 | 0.475 | 98.9 | 60.9 |
| MF04022021_slice_99 | 0.247 | 0.472 | 0.434 | 0.247 | 471.8 | 434.2 | 0.208 | 468.8 | 426.1 | 0.472 | 101.9 | 62.6 |
| MF04022021_slice_100 | 0.209 | 0.480 | 0.445 | 0.209 | 480.3 | 445.3 | 0.176 | 477.1 | 436.9 | 0.462 | 110.0 | 67.7 |
| MF04022021_slice_101 | 0.198 | 0.478 | 0.445 | 0.198 | 478.3 | 445.4 | 0.168 | 474.5 | 435.9 | 0.457 | 114.4 | 70.6 |
| MF04022021_slice_102 | 0.217 | 0.474 | 0.438 | 0.217 | 473.9 | 438.3 | 0.180 | 470.4 | 429.4 | 0.456 | 110.0 | 68.3 |
| MF04022021_slice_103 | 0.210 | 0.476 | 0.440 | 0.210 | 476.4 | 440.5 | 0.174 | 473.1 | 431.6 | 0.454 | 110.7 | 68.9 |
| MF04022021_slice_104 | 0.203 | 0.467 | 0.434 | 0.203 | 466.7 | 434.3 | 0.174 | 462.7 | 424.4 | 0.454 | 115.9 | 71.9 |
| MF04022021_slice_105 | 0.206 | 0.470 | 0.436 | 0.206 | 470.0 | 436.2 | 0.174 | 466.3 | 426.6 | 0.448 | 113.9 | 71.5 |
| MF04022021_slice_106 | 0.194 | 0.464 | 0.432 | 0.194 | 464.4 | 431.6 | 0.165 | 460.6 | 422.1 | 0.442 | 116.5 | 73.3 |
| MF04022021_slice_107 | 0.194 | 0.461 | 0.428 | 0.194 | 460.9 | 428.2 | 0.165 | 457.0 | 418.7 | 0.442 | 117.7 | 74.0 |
| MF04022021_slice_108 | 0.199 | 0.463 | 0.429 | 0.199 | 463.4 | 429.1 | 0.166 | 459.3 | 419.3 | 0.440 | 117.3 | 74.1 |
| MF04022021_slice_109 | 0.200 | 0.458 | 0.423 | 0.200 | 458.1 | 423.4 | 0.169 | 454.2 | 413.9 | 0.438 | 116.8 | 74.2 |
| MF04022021_slice_110 | 0.179 | 0.458 | 0.425 | 0.179 | 458.2 | 425.1 | 0.156 | 454.1 | 415.5 | 0.434 | 121.7 | 77.5 |
| MF04022021_slice_111 | 0.183 | 0.458 | 0.424 | 0.183 | 458.2 | 424.1 | 0.156 | 454.0 | 414.3 | 0.431 | 121.2 | 77.5 |
| MF04022021_slice_112 | 0.184 | 0.455 | 0.420 | 0.184 | 454.8 | 419.9 | 0.157 | 450.7 | 410.2 | 0.430 | 120.7 | 77.4 |
| MF04022021_slice_113 | 0.180 | 0.454 | 0.419 | 0.180 | 453.9 | 418.9 | 0.153 | 449.9 | 409.4 | 0.427 | 121.1 | 78.2 |
| MF04022021_slice_114 | 0.184 | 0.449 | 0.414 | 0.184 | 449.3 | 413.7 | 0.157 | 445.2 | 404.2 | 0.424 | 120.4 | 78.0 |
| MF04022021_slice_115 | 0.180 | 0.449 | 0.413 | 0.180 | 449.4 | 413.3 | 0.155 | 445.4 | 403.8 | 0.420 | 120.4 | 78.1 |
| MF04022021_slice_116 | 0.145 | 0.454 | 0.421 | 0.145 | 454.3 | 420.6 | 0.132 | 449.8 | 410.8 | 0.414 | 128.2 | 83.1 |
| MF04022021_slice_117 | 0.147 | 0.453 | 0.418 | 0.147 | 453.1 | 418.2 | 0.132 | 448.9 | 408.6 | 0.411 | 127.2 | 83.0 |
| MF04022021_slice_118 | 0.158 | 0.447 | 0.412 | 0.158 | 447.2 | 411.6 | 0.138 | 442.9 | 402.0 | 0.409 | 125.8 | 82.2 |
| MF04022021_slice_119 | 0.158 | 0.449 | 0.411 | 0.158 | 449.1 | 410.6 | 0.136 | 445.0 | 401.2 | 0.408 | 124.0 | 81.1 |
| MF04022021_slice_120 | 0.134 | 0.450 | 0.414 | 0.134 | 450.0 | 413.6 | 0.122 | 445.8 | 404.0 | 0.402 | 130.5 | 85.4 |
| MF04022021_slice_121 | 0.134 | 0.451 | 0.414 | 0.134 | 451.2 | 413.7 | 0.119 | 446.9 | 403.8 | 0.398 | 129.9 | 85.7 |
| MF04022021_slice_122 | 0.132 | 0.443 | 0.408 | 0.132 | 443.5 | 407.8 | 0.123 | 438.9 | 397.8 | 0.398 | 132.7 | 87.5 |
| MF04022021_slice_123 | 0.132 | 0.439 | 0.403 | 0.132 | 439.4 | 403.1 | 0.122 | 434.9 | 393.5 | 0.399 | 133.1 | 87.4 |
| MF04022021_slice_124 | 0.132 | 0.441 | 0.405 | 0.132 | 440.6 | 404.8 | 0.126 | 436.3 | 395.4 | 0.404 | 132.3 | 87.2 |
| MF04022021_slice_125 | 0.128 | 0.443 | 0.406 | 0.128 | 443.1 | 406.4 | 0.125 | 438.8 | 397.1 | 0.402 | 132.7 | 87.4 |
| MF04022021_slice_126 | 0.122 | 0.440 | 0.404 | 0.122 | 440.0 | 404.0 | 0.122 | 435.8 | 395.1 | 0.400 | 133.9 | 88.4 |
| MF04022021_slice_127 | 0.124 | 0.442 | 0.404 | 0.124 | 442.2 | 404.4 | 0.121 | 438.1 | 395.9 | 0.397 | 132.3 | 87.5 |
| MF04022021_slice_128 | 0.137 | 0.438 | 0.400 | 0.137 | 438.2 | 399.5 | 0.128 | 434.1 | 391.0 | 0.399 | 129.1 | 85.7 |
| MF04022021_slice_129 | 0.153 | 0.436 | 0.396 | 0.153 | 435.9 | 395.6 | 0.139 | 431.9 | 387.3 | 0.399 | 125.6 | 83.5 |
| MF04022021_slice_130 | 0.163 | 0.432 | 0.390 | 0.163 | 431.7 | 390.1 | 0.145 | 428.0 | 382.2 | 0.400 | 122.7 | 81.7 |
| MF04022021_slice_131 | 0.160 | 0.433 | 0.390 | 0.160 | 433.0 | 390.0 | 0.142 | 429.2 | 382.1 | 0.404 | 122.8 | 81.3 |
| MF04022021_slice_132 | 0.180 | 0.429 | 0.385 | 0.180 | 428.6 | 384.6 | 0.154 | 425.0 | 376.8 | 0.408 | 118.6 | 78.3 |
| MF04022021_slice_133 | 0.167 | 0.431 | 0.388 | 0.167 | 430.8 | 387.8 | 0.148 | 427.0 | 379.9 | 0.407 | 121.4 | 79.9 |
| MF04022021_slice_134 | 0.160 | 0.433 | 0.389 | 0.160 | 433.5 | 388.8 | 0.140 | 429.7 | 380.7 | 0.410 | 120.7 | 79.5 |
| MF04022021_slice_135 | 0.178 | 0.426 | 0.381 | 0.178 | 426.1 | 380.9 | 0.153 | 422.5 | 373.4 | 0.414 | 117.9 | 77.6 |
| MF04022021_slice_136 | 0.186 | 0.425 | 0.378 | 0.186 | 424.8 | 378.5 | 0.157 | 421.4 | 371.4 | 0.415 | 116.5 | 76.2 |
| MF04022021_slice_137 | 0.181 | 0.427 | 0.381 | 0.181 | 427.2 | 381.1 | 0.153 | 423.8 | 373.9 | 0.413 | 118.0 | 77.1 |
| MF04022021_slice_138 | 0.179 | 0.428 | 0.382 | 0.179 | 428.1 | 382.4 | 0.152 | 424.8 | 375.2 | 0.414 | 119.0 | 77.7 |
| MF04022021_slice_139 | 0.178 | 0.426 | 0.380 | 0.178 | 426.5 | 380.1 | 0.151 | 423.4 | 373.3 | 0.416 | 117.7 | 76.7 |
| MF04022021_slice_140 | 0.170 | 0.427 | 0.381 | 0.170 | 427.2 | 381.1 | 0.147 | 424.5 | 374.9 | 0.419 | 117.4 | 76.3 |
| MF04022021_slice_141 | 0.186 | 0.426 | 0.378 | 0.186 | 425.7 | 378.3 | 0.156 | 423.1 | 372.3 | 0.421 | 114.0 | 73.8 |
| MF04022021_slice_142 | 0.187 | 0.426 | 0.378 | 0.187 | 425.8 | 377.9 | 0.155 | 423.5 | 372.4 | 0.421 | 111.5 | 72.4 |
| MF04022021_slice_143 | 0.185 | 0.422 | 0.373 | 0.185 | 422.0 | 372.5 | 0.150 | 419.9 | 367.5 | 0.418 | 109.4 | 71.1 |
| MF04022021_slice_144 | 0.180 | 0.422 | 0.372 | 0.180 | 421.7 | 371.9 | 0.145 | 419.6 | 367.1 | 0.413 | 109.3 | 71.2 |
| MF04022021_slice_145 | 0.188 | 0.419 | 0.367 | 0.188 | 418.5 | 367.3 | 0.147 | 416.7 | 362.8 | 0.410 | 106.0 | 69.0 |
| MF04022021_slice_146 | 0.189 | 0.417 | 0.364 | 0.189 | 417.0 | 364.3 | 0.147 | 415.2 | 360.0 | 0.409 | 103.7 | 67.8 |
| MF04022021_slice_147 | 0.188 | 0.418 | 0.364 | 0.188 | 417.5 | 364.3 | 0.146 | 415.9 | 360.2 | 0.405 | 103.6 | 67.9 |
| MF04022021_slice_148 | 0.171 | 0.419 | 0.367 | 0.171 | 419.4 | 366.6 | 0.136 | 417.9 | 362.5 | 0.400 | 105.3 | 69.3 |
| MF04022021_slice_149 | 0.149 | 0.419 | 0.368 | 0.149 | 418.7 | 367.7 | 0.123 | 417.0 | 363.1 | 0.396 | 106.1 | 70.5 |
| MF04022021_slice_150 | 0.162 | 0.417 | 0.363 | 0.162 | 416.7 | 363.5 | 0.128 | 414.9 | 359.0 | 0.397 | 103.7 | 68.7 |
| MF04022021_slice_151 | 0.167 | 0.415 | 0.360 | 0.167 | 414.8 | 360.3 | 0.128 | 413.2 | 356.3 | 0.395 | 102.5 | 67.7 |
| MF04022021_slice_152 | 0.202 | 0.414 | 0.355 | 0.202 | 413.7 | 354.8 | 0.147 | 412.2 | 351.3 | 0.396 | 97.3 | 63.3 |
4Γ3 grid: Rows show different image types (Original NATIVE, Reconstructed NATIVE, Original VENOUS, Generated VENOUS), Columns show windowing techniques (No Window, Lung Window, Mediastinum Window)