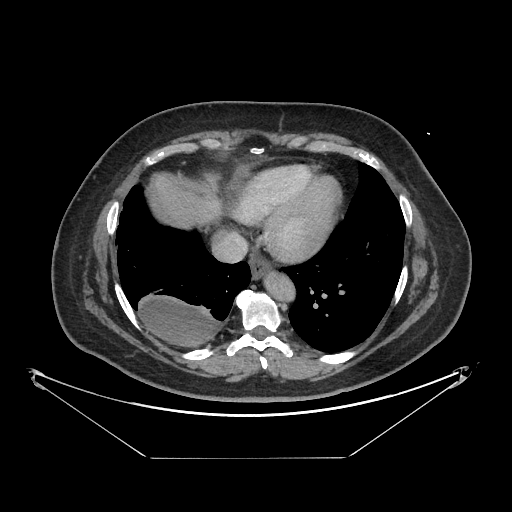
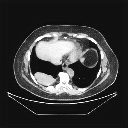
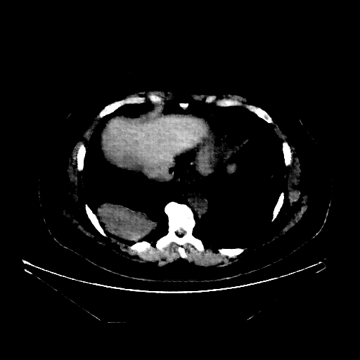
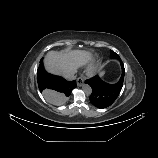
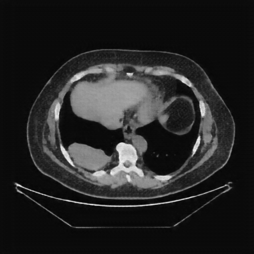
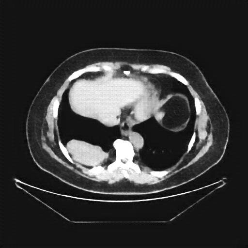
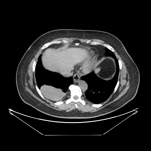
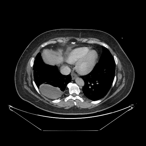
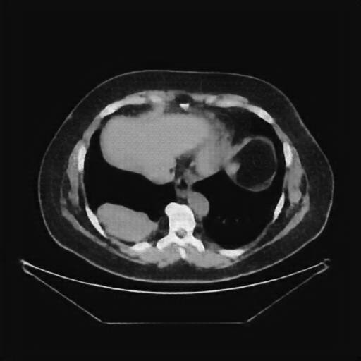
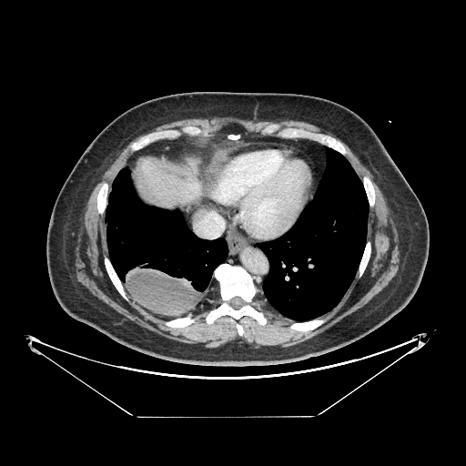
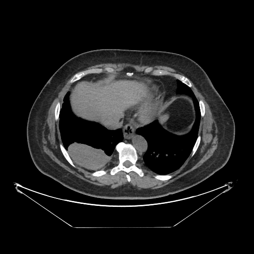
Slice 70 Targeting Evaluation
Patient ID: PD04012016
Model: cytran
Slice: Slice_70
Slice Thickness: 2.5mm
Conversion: NATIVE β VENOUS
Contains all 4 metric datasets: Network-Normalized, Hounsfield Units, Lung Window, and Mediastinum Window
| Slice ID | SSIM | RMSE | MAE | HU SSIM | HU RMSE | HU MAE | Lung SSIM | Lung RMSE | Lung MAE | Mediastinum SSIM | Mediastinum RMSE | Mediastinum MAE |
|---|---|---|---|---|---|---|---|---|---|---|---|---|
| PD04012016_slice_0 | 0.298 | 0.546 | 0.521 | 0.298 | 545.6 | 520.9 | 0.277 | 543.9 | 515.3 | 0.662 | 77.3 | 36.9 |
| PD04012016_slice_1 | 0.294 | 0.545 | 0.521 | 0.294 | 545.4 | 520.6 | 0.276 | 543.8 | 515.1 | 0.662 | 78.1 | 37.5 |
| PD04012016_slice_2 | 0.291 | 0.545 | 0.520 | 0.291 | 544.7 | 519.9 | 0.274 | 542.9 | 514.3 | 0.660 | 79.1 | 38.1 |
| PD04012016_slice_3 | 0.288 | 0.544 | 0.520 | 0.288 | 544.4 | 519.5 | 0.270 | 542.5 | 513.9 | 0.659 | 79.9 | 38.4 |
| PD04012016_slice_4 | 0.285 | 0.545 | 0.520 | 0.285 | 545.2 | 520.4 | 0.267 | 543.3 | 514.7 | 0.657 | 81.2 | 38.8 |
| PD04012016_slice_5 | 0.284 | 0.545 | 0.520 | 0.284 | 545.0 | 520.0 | 0.266 | 543.0 | 514.3 | 0.657 | 80.7 | 38.6 |
| PD04012016_slice_6 | 0.286 | 0.542 | 0.518 | 0.286 | 542.4 | 518.0 | 0.267 | 540.2 | 511.7 | 0.658 | 80.1 | 38.2 |
| PD04012016_slice_7 | 0.290 | 0.541 | 0.516 | 0.290 | 540.6 | 516.4 | 0.271 | 538.2 | 509.8 | 0.661 | 79.9 | 37.8 |
| PD04012016_slice_8 | 0.293 | 0.539 | 0.515 | 0.293 | 538.7 | 514.5 | 0.272 | 536.3 | 507.8 | 0.661 | 78.5 | 37.1 |
| PD04012016_slice_9 | 0.295 | 0.540 | 0.516 | 0.295 | 540.2 | 515.9 | 0.273 | 537.9 | 509.3 | 0.661 | 77.9 | 36.6 |
| PD04012016_slice_10 | 0.296 | 0.541 | 0.517 | 0.296 | 540.8 | 516.7 | 0.273 | 538.5 | 510.3 | 0.664 | 77.6 | 36.2 |
| PD04012016_slice_11 | 0.298 | 0.541 | 0.516 | 0.298 | 540.6 | 515.9 | 0.274 | 538.2 | 509.6 | 0.668 | 76.2 | 35.4 |
| PD04012016_slice_12 | 0.304 | 0.540 | 0.514 | 0.304 | 539.6 | 513.6 | 0.277 | 537.4 | 507.7 | 0.672 | 72.3 | 33.5 |
| PD04012016_slice_13 | 0.313 | 0.539 | 0.511 | 0.313 | 538.6 | 511.3 | 0.283 | 536.4 | 505.5 | 0.678 | 69.2 | 31.8 |
| PD04012016_slice_14 | 0.319 | 0.539 | 0.511 | 0.319 | 538.6 | 511.0 | 0.286 | 536.4 | 505.4 | 0.682 | 67.9 | 30.8 |
| PD04012016_slice_15 | 0.323 | 0.538 | 0.510 | 0.323 | 537.6 | 510.4 | 0.290 | 535.2 | 504.4 | 0.686 | 68.1 | 30.4 |
| PD04012016_slice_16 | 0.321 | 0.539 | 0.512 | 0.321 | 538.6 | 512.2 | 0.287 | 536.1 | 506.1 | 0.688 | 68.8 | 30.5 |
| PD04012016_slice_17 | 0.317 | 0.539 | 0.513 | 0.317 | 538.7 | 513.3 | 0.285 | 536.4 | 507.2 | 0.690 | 68.3 | 30.4 |
| PD04012016_slice_18 | 0.314 | 0.538 | 0.513 | 0.314 | 538.0 | 513.0 | 0.284 | 535.8 | 506.8 | 0.692 | 67.9 | 30.2 |
| PD04012016_slice_19 | 0.316 | 0.540 | 0.515 | 0.316 | 540.2 | 514.8 | 0.286 | 538.0 | 508.9 | 0.694 | 66.9 | 29.9 |
| PD04012016_slice_20 | 0.321 | 0.539 | 0.514 | 0.321 | 538.8 | 513.6 | 0.290 | 536.7 | 507.8 | 0.699 | 65.4 | 29.2 |
| PD04012016_slice_21 | 0.329 | 0.537 | 0.511 | 0.329 | 537.1 | 510.7 | 0.295 | 535.1 | 505.1 | 0.703 | 62.9 | 28.0 |
| PD04012016_slice_22 | 0.333 | 0.538 | 0.511 | 0.333 | 537.6 | 510.6 | 0.298 | 535.6 | 505.2 | 0.705 | 61.6 | 27.4 |
| PD04012016_slice_23 | 0.338 | 0.537 | 0.509 | 0.338 | 536.7 | 509.0 | 0.301 | 534.7 | 503.8 | 0.708 | 61.4 | 27.0 |
| PD04012016_slice_24 | 0.341 | 0.535 | 0.507 | 0.341 | 535.1 | 507.4 | 0.302 | 532.9 | 502.0 | 0.707 | 61.9 | 26.9 |
| PD04012016_slice_25 | 0.337 | 0.537 | 0.509 | 0.337 | 536.5 | 509.2 | 0.299 | 534.4 | 503.7 | 0.705 | 62.5 | 27.1 |
| PD04012016_slice_26 | 0.333 | 0.537 | 0.511 | 0.333 | 537.0 | 510.6 | 0.297 | 534.9 | 504.8 | 0.702 | 63.0 | 27.4 |
| PD04012016_slice_27 | 0.327 | 0.538 | 0.512 | 0.327 | 538.1 | 512.4 | 0.294 | 536.0 | 506.6 | 0.701 | 64.6 | 28.2 |
| PD04012016_slice_28 | 0.324 | 0.537 | 0.512 | 0.324 | 536.9 | 511.9 | 0.292 | 534.6 | 505.9 | 0.700 | 65.6 | 28.8 |
| PD04012016_slice_29 | 0.329 | 0.537 | 0.511 | 0.329 | 536.7 | 510.8 | 0.295 | 534.4 | 505.0 | 0.702 | 64.0 | 28.2 |
| PD04012016_slice_30 | 0.335 | 0.536 | 0.509 | 0.335 | 535.6 | 508.7 | 0.300 | 533.5 | 503.3 | 0.706 | 62.0 | 27.3 |
| PD04012016_slice_31 | 0.338 | 0.535 | 0.507 | 0.338 | 534.9 | 507.2 | 0.303 | 532.9 | 502.0 | 0.704 | 61.3 | 26.9 |
| PD04012016_slice_32 | 0.337 | 0.534 | 0.507 | 0.337 | 534.0 | 506.8 | 0.303 | 531.9 | 501.4 | 0.704 | 62.5 | 27.3 |
| PD04012016_slice_33 | 0.332 | 0.536 | 0.509 | 0.332 | 535.8 | 509.0 | 0.300 | 533.6 | 503.5 | 0.701 | 64.2 | 28.0 |
| PD04012016_slice_34 | 0.333 | 0.535 | 0.509 | 0.333 | 535.2 | 509.3 | 0.300 | 533.0 | 503.7 | 0.702 | 64.7 | 28.1 |
| PD04012016_slice_35 | 0.329 | 0.537 | 0.511 | 0.329 | 536.9 | 511.1 | 0.297 | 534.9 | 505.7 | 0.697 | 65.6 | 28.8 |
| PD04012016_slice_36 | 0.327 | 0.538 | 0.513 | 0.327 | 537.8 | 512.6 | 0.296 | 535.8 | 507.0 | 0.696 | 66.5 | 29.3 |
| PD04012016_slice_37 | 0.321 | 0.538 | 0.514 | 0.321 | 538.1 | 513.6 | 0.291 | 536.0 | 507.9 | 0.695 | 67.9 | 30.1 |
| PD04012016_slice_38 | 0.331 | 0.535 | 0.509 | 0.331 | 534.6 | 509.2 | 0.298 | 532.4 | 503.4 | 0.694 | 66.5 | 29.5 |
| PD04012016_slice_39 | 0.330 | 0.534 | 0.508 | 0.330 | 533.5 | 507.8 | 0.297 | 531.2 | 502.2 | 0.695 | 67.0 | 29.9 |
| PD04012016_slice_40 | 0.332 | 0.533 | 0.506 | 0.332 | 532.8 | 506.3 | 0.298 | 530.6 | 500.8 | 0.694 | 66.3 | 29.7 |
| PD04012016_slice_41 | 0.331 | 0.534 | 0.506 | 0.331 | 533.5 | 506.4 | 0.297 | 531.5 | 501.2 | 0.691 | 66.5 | 29.8 |
| PD04012016_slice_42 | 0.330 | 0.532 | 0.506 | 0.330 | 532.4 | 505.9 | 0.295 | 530.1 | 500.3 | 0.689 | 67.8 | 30.4 |
| PD04012016_slice_43 | 0.314 | 0.534 | 0.508 | 0.314 | 533.6 | 508.4 | 0.281 | 531.3 | 502.6 | 0.678 | 70.4 | 32.1 |
| PD04012016_slice_44 | 0.308 | 0.533 | 0.509 | 0.308 | 533.4 | 509.0 | 0.277 | 531.1 | 503.1 | 0.676 | 70.6 | 32.4 |
| PD04012016_slice_45 | 0.309 | 0.534 | 0.509 | 0.309 | 533.8 | 508.6 | 0.279 | 531.6 | 502.7 | 0.679 | 70.1 | 31.9 |
| PD04012016_slice_46 | 0.306 | 0.536 | 0.511 | 0.306 | 535.5 | 510.8 | 0.277 | 533.5 | 505.0 | 0.676 | 71.4 | 32.5 |
| PD04012016_slice_47 | 0.318 | 0.532 | 0.507 | 0.318 | 532.0 | 506.7 | 0.286 | 529.6 | 500.5 | 0.677 | 70.4 | 32.0 |
| PD04012016_slice_48 | 0.326 | 0.532 | 0.506 | 0.326 | 532.2 | 505.8 | 0.292 | 529.9 | 500.0 | 0.679 | 68.8 | 31.1 |
| PD04012016_slice_49 | 0.328 | 0.532 | 0.506 | 0.328 | 532.4 | 505.7 | 0.293 | 530.1 | 500.1 | 0.680 | 68.5 | 30.8 |
| PD04012016_slice_50 | 0.332 | 0.533 | 0.505 | 0.332 | 532.8 | 505.0 | 0.296 | 530.7 | 499.7 | 0.681 | 67.5 | 30.1 |
| PD04012016_slice_51 | 0.341 | 0.532 | 0.503 | 0.341 | 531.8 | 503.2 | 0.304 | 529.7 | 498.0 | 0.687 | 65.5 | 29.0 |
| PD04012016_slice_52 | 0.340 | 0.533 | 0.505 | 0.340 | 532.9 | 504.6 | 0.302 | 530.8 | 499.4 | 0.687 | 66.6 | 29.4 |
| PD04012016_slice_53 | 0.338 | 0.532 | 0.505 | 0.338 | 531.9 | 504.5 | 0.300 | 529.5 | 499.0 | 0.682 | 67.7 | 30.1 |
| PD04012016_slice_54 | 0.331 | 0.532 | 0.505 | 0.331 | 531.8 | 505.0 | 0.295 | 529.5 | 499.3 | 0.677 | 68.0 | 30.7 |
| PD04012016_slice_55 | 0.316 | 0.534 | 0.508 | 0.316 | 533.6 | 507.6 | 0.283 | 531.2 | 501.8 | 0.673 | 69.6 | 31.7 |
| PD04012016_slice_56 | 0.316 | 0.531 | 0.505 | 0.316 | 530.9 | 504.9 | 0.283 | 528.6 | 498.9 | 0.675 | 68.6 | 31.4 |
| PD04012016_slice_57 | 0.307 | 0.532 | 0.507 | 0.307 | 531.8 | 507.4 | 0.277 | 529.3 | 501.2 | 0.676 | 70.4 | 32.5 |
| PD04012016_slice_58 | 0.315 | 0.532 | 0.507 | 0.315 | 532.2 | 506.8 | 0.283 | 529.6 | 500.8 | 0.681 | 69.0 | 31.6 |
| PD04012016_slice_59 | 0.324 | 0.532 | 0.506 | 0.324 | 531.7 | 505.8 | 0.290 | 529.1 | 499.9 | 0.684 | 67.5 | 30.7 |
| PD04012016_slice_60 | 0.332 | 0.532 | 0.505 | 0.332 | 531.6 | 505.0 | 0.296 | 529.1 | 499.4 | 0.690 | 66.0 | 29.9 |
| PD04012016_slice_61 | 0.333 | 0.533 | 0.506 | 0.333 | 532.6 | 505.8 | 0.298 | 530.3 | 500.4 | 0.692 | 65.9 | 29.7 |
| PD04012016_slice_62 | 0.327 | 0.535 | 0.509 | 0.327 | 534.7 | 508.6 | 0.293 | 532.5 | 503.3 | 0.691 | 67.2 | 30.3 |
| PD04012016_slice_63 | 0.325 | 0.536 | 0.510 | 0.325 | 535.6 | 510.2 | 0.292 | 533.3 | 504.8 | 0.690 | 67.8 | 30.6 |
| PD04012016_slice_64 | 0.330 | 0.536 | 0.511 | 0.330 | 535.9 | 510.7 | 0.297 | 533.6 | 505.2 | 0.691 | 68.2 | 30.7 |
| PD04012016_slice_65 | 0.330 | 0.537 | 0.511 | 0.330 | 537.3 | 511.3 | 0.297 | 535.2 | 506.1 | 0.687 | 68.8 | 31.0 |
| PD04012016_slice_66 | 0.335 | 0.536 | 0.509 | 0.335 | 536.3 | 509.3 | 0.302 | 534.4 | 504.2 | 0.686 | 68.9 | 31.0 |
| PD04012016_slice_67 | 0.328 | 0.536 | 0.508 | 0.328 | 536.4 | 507.8 | 0.295 | 534.6 | 503.0 | 0.683 | 69.6 | 31.4 |
| PD04012016_slice_68 | 0.328 | 0.534 | 0.505 | 0.328 | 534.1 | 504.9 | 0.294 | 532.2 | 500.1 | 0.680 | 69.1 | 31.3 |
| PD04012016_slice_69 | 0.331 | 0.532 | 0.502 | 0.331 | 532.1 | 502.5 | 0.295 | 530.4 | 497.9 | 0.682 | 68.2 | 30.9 |
| PD04012016_slice_70 | 0.335 | 0.530 | 0.500 | 0.335 | 530.3 | 500.1 | 0.296 | 528.5 | 495.5 | 0.680 | 67.3 | 30.5 |
| PD04012016_slice_71 | 0.345 | 0.527 | 0.495 | 0.345 | 526.7 | 494.7 | 0.301 | 524.9 | 490.1 | 0.684 | 64.8 | 29.2 |
| PD04012016_slice_72 | 0.353 | 0.524 | 0.490 | 0.353 | 523.9 | 489.8 | 0.306 | 522.1 | 485.4 | 0.680 | 62.8 | 28.3 |
| PD04012016_slice_73 | 0.357 | 0.521 | 0.485 | 0.357 | 520.8 | 485.4 | 0.309 | 519.1 | 481.0 | 0.680 | 61.1 | 27.5 |
| PD04012016_slice_74 | 0.353 | 0.521 | 0.485 | 0.353 | 521.3 | 485.2 | 0.304 | 519.6 | 480.9 | 0.671 | 62.0 | 28.2 |
| PD04012016_slice_75 | 0.351 | 0.518 | 0.482 | 0.351 | 518.1 | 481.7 | 0.302 | 516.2 | 477.1 | 0.663 | 63.8 | 29.3 |
| PD04012016_slice_76 | 0.350 | 0.515 | 0.479 | 0.350 | 515.1 | 478.7 | 0.302 | 513.0 | 473.8 | 0.651 | 65.1 | 30.5 |
| PD04012016_slice_77 | 0.350 | 0.514 | 0.477 | 0.350 | 514.2 | 477.2 | 0.303 | 512.2 | 472.3 | 0.642 | 66.2 | 31.6 |
| PD04012016_slice_78 | 0.351 | 0.514 | 0.476 | 0.351 | 513.5 | 476.1 | 0.303 | 511.6 | 471.4 | 0.636 | 67.2 | 32.2 |
| PD04012016_slice_79 | 0.345 | 0.513 | 0.476 | 0.345 | 512.8 | 475.5 | 0.298 | 510.8 | 470.9 | 0.633 | 68.3 | 33.1 |
| PD04012016_slice_80 | 0.343 | 0.513 | 0.475 | 0.343 | 513.2 | 475.3 | 0.296 | 511.3 | 470.8 | 0.628 | 68.8 | 33.6 |
| PD04012016_slice_81 | 0.343 | 0.516 | 0.477 | 0.343 | 516.2 | 477.0 | 0.296 | 514.6 | 473.0 | 0.624 | 69.0 | 33.6 |
| PD04012016_slice_82 | 0.351 | 0.516 | 0.476 | 0.351 | 516.4 | 475.6 | 0.303 | 514.9 | 471.8 | 0.624 | 67.9 | 33.3 |
| PD04012016_slice_83 | 0.355 | 0.515 | 0.474 | 0.355 | 515.3 | 474.0 | 0.307 | 513.9 | 470.3 | 0.625 | 67.4 | 33.1 |
| PD04012016_slice_84 | 0.349 | 0.512 | 0.472 | 0.349 | 512.1 | 472.0 | 0.301 | 510.6 | 467.9 | 0.623 | 68.6 | 34.0 |
| PD04012016_slice_85 | 0.344 | 0.512 | 0.472 | 0.344 | 511.5 | 471.7 | 0.297 | 510.0 | 467.6 | 0.620 | 69.4 | 34.7 |
| PD04012016_slice_86 | 0.347 | 0.511 | 0.470 | 0.347 | 510.8 | 470.3 | 0.300 | 509.3 | 466.3 | 0.620 | 68.9 | 34.4 |
| PD04012016_slice_87 | 0.348 | 0.511 | 0.470 | 0.348 | 510.8 | 470.0 | 0.302 | 509.4 | 466.1 | 0.618 | 69.3 | 34.5 |
| PD04012016_slice_88 | 0.346 | 0.510 | 0.470 | 0.346 | 510.4 | 469.8 | 0.300 | 508.9 | 465.8 | 0.617 | 70.2 | 34.9 |
| PD04012016_slice_89 | 0.347 | 0.512 | 0.471 | 0.347 | 512.2 | 471.2 | 0.300 | 510.7 | 467.2 | 0.616 | 70.2 | 34.9 |
| PD04012016_slice_90 | 0.352 | 0.513 | 0.471 | 0.352 | 512.7 | 471.4 | 0.304 | 511.2 | 467.6 | 0.614 | 70.4 | 34.8 |
| PD04012016_slice_91 | 0.352 | 0.512 | 0.471 | 0.352 | 511.7 | 470.7 | 0.305 | 510.2 | 466.9 | 0.615 | 70.6 | 34.8 |
| PD04012016_slice_92 | 0.353 | 0.515 | 0.473 | 0.353 | 514.9 | 473.0 | 0.306 | 513.6 | 469.6 | 0.615 | 70.3 | 34.7 |
| PD04012016_slice_93 | 0.357 | 0.514 | 0.471 | 0.357 | 514.1 | 471.5 | 0.310 | 512.9 | 468.4 | 0.618 | 68.9 | 34.0 |
| PD04012016_slice_94 | 0.356 | 0.513 | 0.471 | 0.356 | 513.0 | 470.5 | 0.308 | 512.0 | 467.4 | 0.617 | 67.7 | 33.5 |
| PD04012016_slice_95 | 0.349 | 0.514 | 0.473 | 0.349 | 514.1 | 472.7 | 0.303 | 512.9 | 469.4 | 0.618 | 68.0 | 33.7 |
| PD04012016_slice_96 | 0.349 | 0.516 | 0.474 | 0.349 | 515.7 | 474.4 | 0.302 | 514.5 | 471.0 | 0.616 | 68.0 | 33.6 |
| PD04012016_slice_97 | 0.350 | 0.516 | 0.475 | 0.350 | 516.4 | 474.8 | 0.303 | 515.2 | 471.4 | 0.616 | 68.4 | 33.8 |
4Γ3 grid: Rows show different image types (Original NATIVE, Reconstructed NATIVE, Original VENOUS, Generated VENOUS), Columns show windowing techniques (No Window, Lung Window, Mediastinum Window)