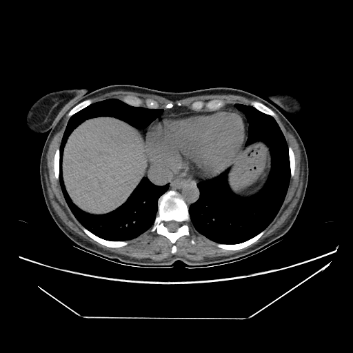
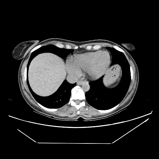
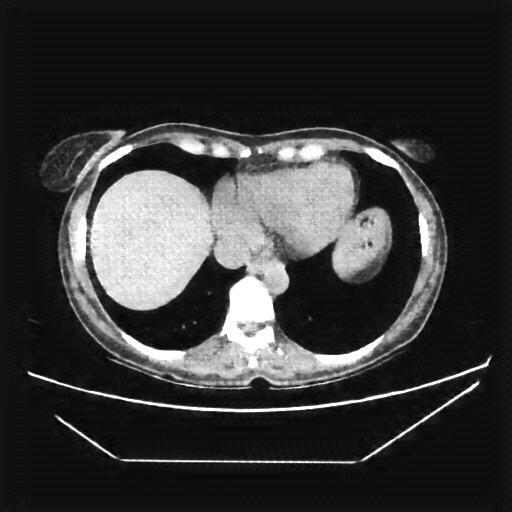
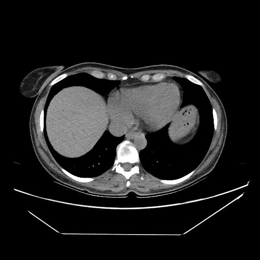
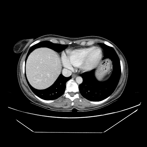
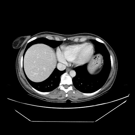
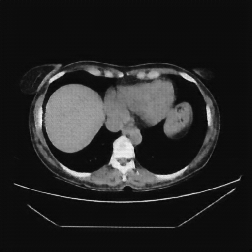
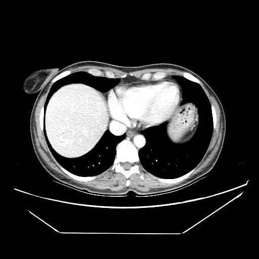
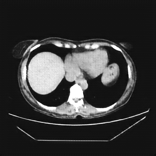
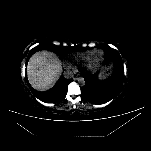
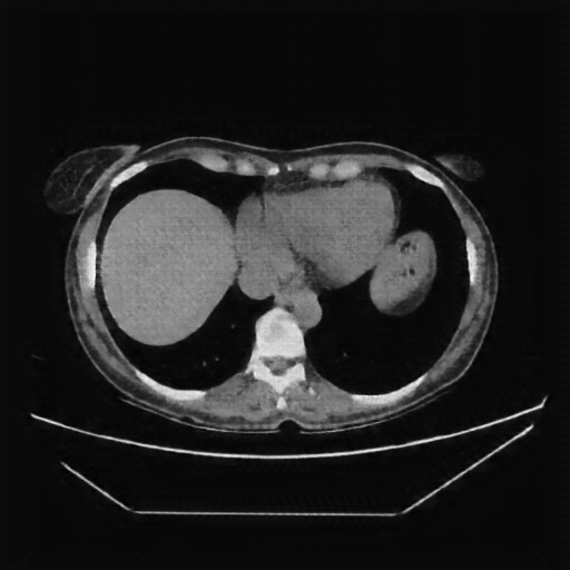
Slice 70 Targeting Evaluation
Patient ID: PM03022021
Model: cytran
Slice: Slice_70
Slice Thickness: 2.5mm
Conversion: NATIVE β VENOUS
Contains all 4 metric datasets: Network-Normalized, Hounsfield Units, Lung Window, and Mediastinum Window
| Slice ID | SSIM | RMSE | MAE | HU SSIM | HU RMSE | HU MAE | Lung SSIM | Lung RMSE | Lung MAE | Mediastinum SSIM | Mediastinum RMSE | Mediastinum MAE |
|---|---|---|---|---|---|---|---|---|---|---|---|---|
| PM03022021_slice_0 | 0.265 | 0.538 | 0.510 | 0.265 | 537.9 | 510.1 | 0.259 | 537.0 | 506.2 | 0.660 | 85.6 | 40.0 |
| PM03022021_slice_1 | 0.262 | 0.536 | 0.508 | 0.262 | 536.2 | 508.2 | 0.256 | 535.3 | 504.4 | 0.660 | 85.7 | 40.0 |
| PM03022021_slice_2 | 0.263 | 0.534 | 0.506 | 0.263 | 534.0 | 506.2 | 0.257 | 533.0 | 501.9 | 0.664 | 85.2 | 39.5 |
| PM03022021_slice_3 | 0.259 | 0.535 | 0.507 | 0.259 | 534.7 | 507.3 | 0.253 | 533.6 | 502.9 | 0.665 | 86.5 | 40.0 |
| PM03022021_slice_4 | 0.261 | 0.536 | 0.509 | 0.261 | 536.0 | 509.2 | 0.255 | 535.0 | 504.9 | 0.672 | 84.8 | 38.9 |
| PM03022021_slice_5 | 0.267 | 0.533 | 0.506 | 0.267 | 533.5 | 506.5 | 0.259 | 532.5 | 502.0 | 0.676 | 81.1 | 37.1 |
| PM03022021_slice_6 | 0.280 | 0.531 | 0.504 | 0.280 | 530.9 | 503.6 | 0.268 | 529.9 | 498.8 | 0.685 | 76.1 | 34.5 |
| PM03022021_slice_7 | 0.279 | 0.534 | 0.508 | 0.279 | 534.3 | 507.5 | 0.267 | 533.3 | 502.9 | 0.686 | 77.1 | 34.7 |
| PM03022021_slice_8 | 0.281 | 0.535 | 0.509 | 0.281 | 535.2 | 508.8 | 0.269 | 534.1 | 504.0 | 0.686 | 77.4 | 34.6 |
| PM03022021_slice_9 | 0.283 | 0.536 | 0.509 | 0.283 | 535.6 | 509.1 | 0.270 | 534.6 | 504.4 | 0.687 | 76.6 | 34.1 |
| PM03022021_slice_10 | 0.285 | 0.536 | 0.509 | 0.285 | 535.7 | 509.1 | 0.271 | 534.6 | 504.4 | 0.692 | 75.9 | 33.5 |
| PM03022021_slice_11 | 0.290 | 0.536 | 0.509 | 0.290 | 535.9 | 509.0 | 0.274 | 534.8 | 504.3 | 0.697 | 74.2 | 32.4 |
| PM03022021_slice_12 | 0.300 | 0.532 | 0.506 | 0.300 | 532.3 | 506.0 | 0.282 | 531.1 | 500.8 | 0.706 | 71.4 | 30.7 |
| PM03022021_slice_13 | 0.298 | 0.537 | 0.510 | 0.298 | 536.7 | 509.8 | 0.279 | 535.6 | 505.3 | 0.708 | 70.5 | 30.3 |
| PM03022021_slice_14 | 0.304 | 0.536 | 0.509 | 0.304 | 536.2 | 508.8 | 0.284 | 535.1 | 504.3 | 0.716 | 68.7 | 29.1 |
| PM03022021_slice_15 | 0.301 | 0.538 | 0.511 | 0.301 | 537.9 | 511.3 | 0.281 | 536.9 | 506.9 | 0.712 | 70.1 | 29.5 |
| PM03022021_slice_16 | 0.301 | 0.540 | 0.513 | 0.301 | 539.9 | 513.1 | 0.281 | 538.9 | 508.8 | 0.711 | 69.6 | 29.1 |
| PM03022021_slice_17 | 0.304 | 0.540 | 0.514 | 0.304 | 540.3 | 513.9 | 0.284 | 539.3 | 509.5 | 0.714 | 68.8 | 28.7 |
| PM03022021_slice_18 | 0.310 | 0.537 | 0.511 | 0.310 | 537.1 | 511.1 | 0.288 | 536.0 | 506.3 | 0.717 | 67.4 | 28.0 |
| PM03022021_slice_19 | 0.319 | 0.537 | 0.510 | 0.319 | 536.8 | 510.0 | 0.294 | 535.7 | 505.1 | 0.722 | 64.5 | 26.5 |
| PM03022021_slice_20 | 0.317 | 0.542 | 0.515 | 0.317 | 541.9 | 515.1 | 0.292 | 540.8 | 510.6 | 0.721 | 65.2 | 26.7 |
| PM03022021_slice_21 | 0.323 | 0.543 | 0.516 | 0.323 | 543.4 | 516.4 | 0.297 | 542.3 | 511.8 | 0.723 | 64.9 | 26.3 |
| PM03022021_slice_22 | 0.330 | 0.541 | 0.515 | 0.330 | 541.5 | 514.6 | 0.303 | 540.2 | 509.7 | 0.725 | 65.2 | 26.1 |
| PM03022021_slice_23 | 0.326 | 0.541 | 0.515 | 0.326 | 541.4 | 514.7 | 0.299 | 540.1 | 509.9 | 0.725 | 65.7 | 26.3 |
| PM03022021_slice_24 | 0.318 | 0.543 | 0.517 | 0.318 | 542.5 | 517.0 | 0.292 | 541.3 | 512.2 | 0.722 | 68.4 | 27.4 |
| PM03022021_slice_25 | 0.308 | 0.544 | 0.519 | 0.308 | 544.1 | 519.2 | 0.286 | 543.0 | 514.7 | 0.720 | 70.3 | 28.3 |
| PM03022021_slice_26 | 0.314 | 0.540 | 0.515 | 0.314 | 539.5 | 514.9 | 0.291 | 538.4 | 509.9 | 0.720 | 69.4 | 28.0 |
| PM03022021_slice_27 | 0.306 | 0.544 | 0.520 | 0.306 | 543.6 | 519.7 | 0.285 | 542.7 | 515.2 | 0.716 | 71.3 | 29.0 |
| PM03022021_slice_28 | 0.310 | 0.543 | 0.519 | 0.310 | 543.2 | 518.7 | 0.288 | 542.1 | 514.1 | 0.716 | 69.7 | 28.3 |
| PM03022021_slice_29 | 0.327 | 0.539 | 0.514 | 0.327 | 539.4 | 513.7 | 0.301 | 538.3 | 508.9 | 0.721 | 65.1 | 26.4 |
| PM03022021_slice_30 | 0.337 | 0.536 | 0.510 | 0.337 | 535.7 | 510.0 | 0.308 | 534.4 | 504.9 | 0.722 | 63.7 | 25.9 |
| PM03022021_slice_31 | 0.341 | 0.535 | 0.508 | 0.341 | 534.8 | 508.3 | 0.310 | 533.6 | 503.4 | 0.722 | 62.5 | 25.3 |
| PM03022021_slice_32 | 0.340 | 0.534 | 0.508 | 0.340 | 534.0 | 507.8 | 0.309 | 532.7 | 502.8 | 0.722 | 62.2 | 25.3 |
| PM03022021_slice_33 | 0.331 | 0.539 | 0.513 | 0.331 | 538.5 | 513.1 | 0.303 | 537.4 | 508.3 | 0.722 | 64.8 | 26.3 |
| PM03022021_slice_34 | 0.324 | 0.538 | 0.514 | 0.324 | 538.0 | 513.7 | 0.298 | 536.8 | 508.7 | 0.719 | 67.9 | 27.5 |
| PM03022021_slice_35 | 0.322 | 0.537 | 0.513 | 0.322 | 536.5 | 512.6 | 0.297 | 535.3 | 507.2 | 0.717 | 69.7 | 28.5 |
| PM03022021_slice_36 | 0.307 | 0.543 | 0.519 | 0.307 | 543.2 | 519.3 | 0.287 | 542.1 | 514.6 | 0.712 | 74.0 | 30.4 |
| PM03022021_slice_37 | 0.307 | 0.543 | 0.519 | 0.307 | 542.7 | 518.6 | 0.285 | 541.6 | 513.8 | 0.707 | 73.6 | 30.3 |
| PM03022021_slice_38 | 0.312 | 0.539 | 0.514 | 0.312 | 538.8 | 514.4 | 0.288 | 537.5 | 509.3 | 0.708 | 72.1 | 29.7 |
| PM03022021_slice_39 | 0.314 | 0.538 | 0.512 | 0.314 | 538.0 | 512.4 | 0.287 | 536.7 | 507.3 | 0.702 | 69.3 | 29.1 |
| PM03022021_slice_40 | 0.323 | 0.537 | 0.512 | 0.323 | 537.3 | 511.7 | 0.296 | 535.9 | 506.6 | 0.707 | 66.8 | 28.0 |
| PM03022021_slice_41 | 0.324 | 0.540 | 0.516 | 0.324 | 540.1 | 515.7 | 0.298 | 538.7 | 510.6 | 0.716 | 66.6 | 27.4 |
| PM03022021_slice_42 | 0.317 | 0.545 | 0.522 | 0.317 | 544.9 | 521.6 | 0.294 | 543.5 | 516.6 | 0.718 | 68.2 | 28.0 |
| PM03022021_slice_43 | 0.327 | 0.540 | 0.517 | 0.327 | 539.9 | 516.8 | 0.302 | 538.4 | 511.2 | 0.723 | 66.2 | 27.1 |
| PM03022021_slice_44 | 0.312 | 0.547 | 0.524 | 0.312 | 546.7 | 524.5 | 0.291 | 545.6 | 519.6 | 0.718 | 71.1 | 29.1 |
| PM03022021_slice_45 | 0.307 | 0.547 | 0.525 | 0.307 | 547.3 | 525.2 | 0.287 | 546.2 | 520.5 | 0.715 | 72.9 | 30.0 |
| PM03022021_slice_46 | 0.314 | 0.541 | 0.519 | 0.314 | 541.3 | 519.0 | 0.292 | 540.1 | 513.7 | 0.710 | 70.4 | 29.4 |
| PM03022021_slice_47 | 0.325 | 0.540 | 0.518 | 0.325 | 540.4 | 518.0 | 0.300 | 538.9 | 512.3 | 0.722 | 67.6 | 27.8 |
| PM03022021_slice_48 | 0.329 | 0.541 | 0.517 | 0.329 | 540.9 | 517.3 | 0.302 | 539.3 | 511.7 | 0.723 | 65.6 | 27.0 |
| PM03022021_slice_49 | 0.332 | 0.542 | 0.517 | 0.332 | 541.9 | 517.3 | 0.306 | 540.4 | 512.0 | 0.724 | 64.8 | 26.6 |
| PM03022021_slice_50 | 0.322 | 0.547 | 0.523 | 0.322 | 546.7 | 522.7 | 0.299 | 545.3 | 517.6 | 0.722 | 67.8 | 28.1 |
| PM03022021_slice_51 | 0.329 | 0.543 | 0.519 | 0.329 | 543.4 | 519.0 | 0.304 | 542.0 | 513.7 | 0.726 | 66.4 | 27.5 |
| PM03022021_slice_52 | 0.345 | 0.540 | 0.514 | 0.345 | 539.7 | 514.3 | 0.317 | 538.2 | 508.8 | 0.728 | 63.7 | 26.3 |
| PM03022021_slice_53 | 0.333 | 0.544 | 0.520 | 0.333 | 543.8 | 519.7 | 0.309 | 542.4 | 514.5 | 0.725 | 66.2 | 27.5 |
| PM03022021_slice_54 | 0.328 | 0.544 | 0.521 | 0.328 | 544.3 | 520.9 | 0.306 | 542.9 | 515.7 | 0.725 | 68.0 | 28.1 |
| PM03022021_slice_55 | 0.330 | 0.542 | 0.519 | 0.330 | 542.1 | 519.2 | 0.308 | 540.7 | 513.6 | 0.727 | 67.9 | 28.0 |
| PM03022021_slice_56 | 0.332 | 0.541 | 0.518 | 0.332 | 540.9 | 518.1 | 0.310 | 539.4 | 512.3 | 0.730 | 67.7 | 27.8 |
| PM03022021_slice_57 | 0.332 | 0.539 | 0.516 | 0.332 | 539.2 | 516.4 | 0.310 | 537.7 | 510.4 | 0.734 | 67.4 | 27.7 |
| PM03022021_slice_58 | 0.333 | 0.540 | 0.517 | 0.333 | 540.3 | 517.0 | 0.311 | 538.8 | 511.1 | 0.736 | 67.6 | 27.6 |
| PM03022021_slice_59 | 0.325 | 0.545 | 0.521 | 0.325 | 544.9 | 521.2 | 0.303 | 543.5 | 516.0 | 0.733 | 68.7 | 28.0 |
| PM03022021_slice_60 | 0.317 | 0.548 | 0.524 | 0.317 | 548.0 | 524.1 | 0.297 | 546.7 | 518.9 | 0.723 | 71.8 | 29.5 |
| PM03022021_slice_61 | 0.324 | 0.541 | 0.516 | 0.324 | 541.1 | 516.0 | 0.302 | 539.6 | 510.4 | 0.721 | 72.4 | 29.5 |
| PM03022021_slice_62 | 0.322 | 0.538 | 0.512 | 0.322 | 538.0 | 512.5 | 0.299 | 536.5 | 506.9 | 0.718 | 71.7 | 29.9 |
| PM03022021_slice_63 | 0.299 | 0.544 | 0.519 | 0.299 | 544.4 | 519.5 | 0.281 | 543.1 | 514.7 | 0.712 | 76.3 | 32.4 |
| PM03022021_slice_64 | 0.308 | 0.542 | 0.516 | 0.308 | 541.9 | 515.7 | 0.288 | 540.6 | 510.9 | 0.711 | 74.8 | 31.9 |
| PM03022021_slice_65 | 0.314 | 0.538 | 0.512 | 0.314 | 538.3 | 512.2 | 0.293 | 536.9 | 507.0 | 0.711 | 75.2 | 32.0 |
| PM03022021_slice_66 | 0.319 | 0.534 | 0.508 | 0.319 | 534.3 | 508.1 | 0.296 | 532.8 | 502.7 | 0.711 | 75.2 | 32.0 |
| PM03022021_slice_67 | 0.307 | 0.536 | 0.509 | 0.307 | 535.9 | 509.5 | 0.287 | 534.5 | 504.4 | 0.709 | 77.3 | 33.0 |
| PM03022021_slice_68 | 0.285 | 0.541 | 0.515 | 0.285 | 540.8 | 514.7 | 0.269 | 539.5 | 510.0 | 0.699 | 82.3 | 35.5 |
| PM03022021_slice_69 | 0.280 | 0.538 | 0.511 | 0.280 | 537.8 | 511.3 | 0.266 | 536.5 | 506.7 | 0.698 | 84.2 | 36.4 |
| PM03022021_slice_70 | 0.293 | 0.530 | 0.502 | 0.293 | 530.3 | 502.5 | 0.277 | 529.0 | 497.8 | 0.698 | 82.0 | 35.5 |
| PM03022021_slice_71 | 0.295 | 0.528 | 0.499 | 0.295 | 528.2 | 499.2 | 0.280 | 527.0 | 494.7 | 0.697 | 82.1 | 35.6 |
| PM03022021_slice_72 | 0.268 | 0.533 | 0.505 | 0.268 | 532.8 | 505.4 | 0.259 | 531.6 | 501.1 | 0.690 | 87.1 | 39.1 |
| PM03022021_slice_73 | 0.268 | 0.531 | 0.504 | 0.268 | 531.4 | 503.5 | 0.259 | 530.2 | 499.2 | 0.685 | 86.2 | 39.3 |
| PM03022021_slice_74 | 0.275 | 0.528 | 0.499 | 0.275 | 527.6 | 499.2 | 0.265 | 526.4 | 494.7 | 0.681 | 86.1 | 39.6 |
| PM03022021_slice_75 | 0.273 | 0.528 | 0.498 | 0.273 | 527.6 | 498.4 | 0.263 | 526.6 | 494.2 | 0.675 | 86.8 | 40.4 |
| PM03022021_slice_76 | 0.283 | 0.522 | 0.492 | 0.283 | 522.2 | 492.0 | 0.270 | 521.0 | 487.6 | 0.673 | 84.5 | 39.5 |
| PM03022021_slice_77 | 0.279 | 0.524 | 0.492 | 0.279 | 523.9 | 492.5 | 0.266 | 522.9 | 488.4 | 0.668 | 84.6 | 40.1 |
| PM03022021_slice_78 | 0.268 | 0.526 | 0.494 | 0.268 | 525.7 | 493.9 | 0.256 | 524.7 | 490.0 | 0.666 | 86.4 | 41.5 |
| PM03022021_slice_79 | 0.264 | 0.522 | 0.490 | 0.264 | 522.4 | 490.4 | 0.254 | 521.4 | 486.5 | 0.669 | 86.6 | 41.5 |
| PM03022021_slice_80 | 0.273 | 0.516 | 0.484 | 0.273 | 516.0 | 483.7 | 0.263 | 514.9 | 479.4 | 0.673 | 85.3 | 40.7 |
| PM03022021_slice_81 | 0.253 | 0.525 | 0.492 | 0.253 | 524.6 | 492.0 | 0.245 | 523.7 | 488.4 | 0.666 | 87.7 | 42.5 |
| PM03022021_slice_82 | 0.240 | 0.528 | 0.496 | 0.240 | 528.3 | 496.1 | 0.234 | 527.5 | 492.7 | 0.657 | 89.8 | 43.8 |
| PM03022021_slice_83 | 0.265 | 0.520 | 0.487 | 0.265 | 520.4 | 487.4 | 0.255 | 519.4 | 483.3 | 0.662 | 86.4 | 41.6 |
| PM03022021_slice_84 | 0.267 | 0.518 | 0.486 | 0.267 | 518.3 | 485.7 | 0.259 | 517.1 | 481.2 | 0.661 | 87.5 | 42.0 |
| PM03022021_slice_85 | 0.238 | 0.527 | 0.495 | 0.238 | 527.1 | 495.4 | 0.235 | 526.1 | 491.5 | 0.653 | 91.9 | 44.9 |
| PM03022021_slice_86 | 0.237 | 0.527 | 0.495 | 0.237 | 526.7 | 495.4 | 0.234 | 525.7 | 491.4 | 0.654 | 92.4 | 45.2 |
| PM03022021_slice_87 | 0.236 | 0.529 | 0.497 | 0.236 | 528.7 | 497.4 | 0.232 | 527.8 | 493.5 | 0.653 | 92.1 | 45.2 |
| PM03022021_slice_88 | 0.236 | 0.528 | 0.497 | 0.236 | 527.9 | 496.5 | 0.233 | 527.0 | 492.9 | 0.654 | 91.8 | 45.2 |
| PM03022021_slice_89 | 0.249 | 0.523 | 0.491 | 0.249 | 523.3 | 490.9 | 0.242 | 522.4 | 487.1 | 0.656 | 88.7 | 43.6 |
| PM03022021_slice_90 | 0.265 | 0.519 | 0.486 | 0.265 | 519.4 | 485.9 | 0.255 | 518.4 | 481.9 | 0.660 | 85.6 | 41.9 |
| PM03022021_slice_91 | 0.256 | 0.523 | 0.489 | 0.256 | 522.7 | 489.1 | 0.245 | 521.9 | 485.5 | 0.653 | 86.1 | 42.8 |
| PM03022021_slice_92 | 0.255 | 0.524 | 0.491 | 0.255 | 523.6 | 490.8 | 0.246 | 522.7 | 486.9 | 0.652 | 87.9 | 43.7 |
| PM03022021_slice_93 | 0.269 | 0.520 | 0.487 | 0.269 | 519.9 | 486.7 | 0.258 | 518.8 | 482.4 | 0.653 | 86.5 | 42.5 |
| PM03022021_slice_94 | 0.276 | 0.518 | 0.485 | 0.276 | 518.3 | 485.0 | 0.264 | 517.2 | 480.5 | 0.658 | 85.2 | 41.6 |
4Γ3 grid: Rows show different image types (Original NATIVE, Reconstructed NATIVE, Original VENOUS, Generated VENOUS), Columns show windowing techniques (No Window, Lung Window, Mediastinum Window)