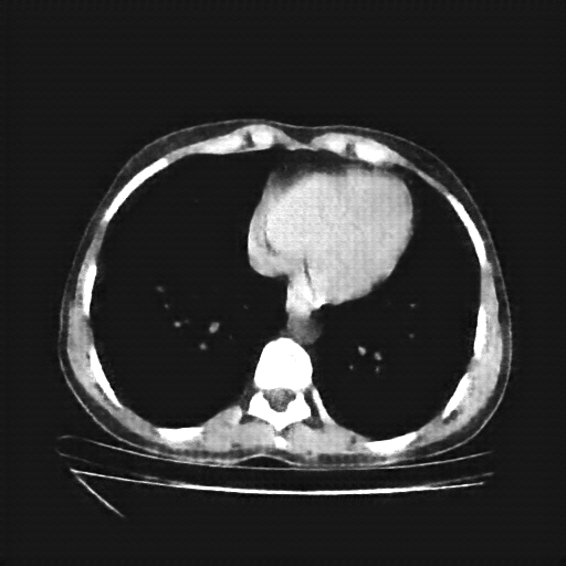
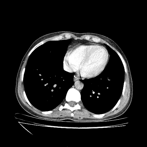
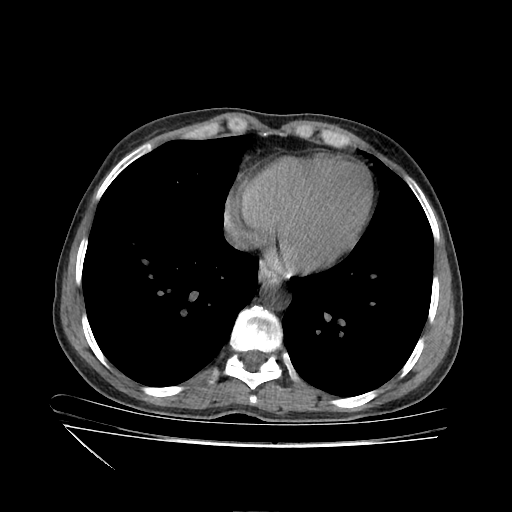
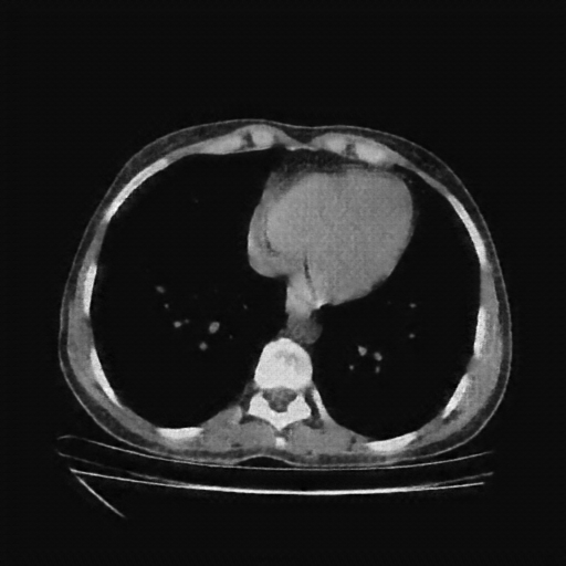
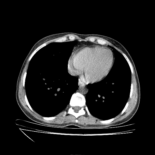
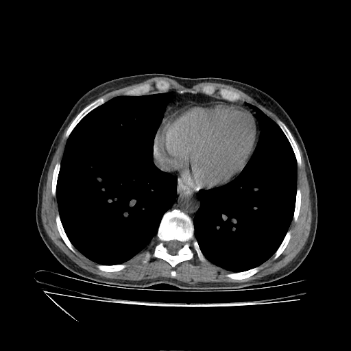
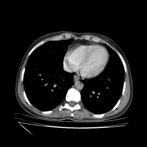
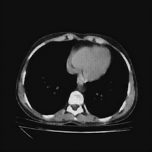
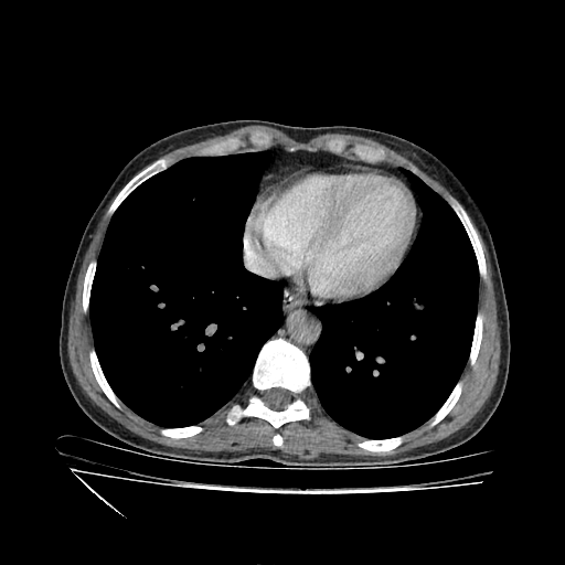
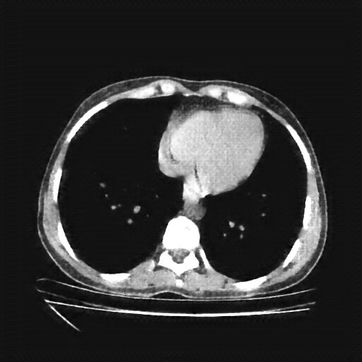
Slice 70 Targeting Evaluation
Patient ID: PP08072020
Model: cytran
Slice: Slice_70
Slice Thickness: 2.5mm
Conversion: NATIVE β VENOUS
Contains all 4 metric datasets: Network-Normalized, Hounsfield Units, Lung Window, and Mediastinum Window
| Slice ID | SSIM | RMSE | MAE | HU SSIM | HU RMSE | HU MAE | Lung SSIM | Lung RMSE | Lung MAE | Mediastinum SSIM | Mediastinum RMSE | Mediastinum MAE |
|---|---|---|---|---|---|---|---|---|---|---|---|---|
| PP08072020_slice_0 | 0.257 | 0.525 | 0.493 | 0.257 | 524.5 | 493.5 | 0.248 | 523.8 | 490.0 | 0.603 | 95.7 | 49.9 |
| PP08072020_slice_1 | 0.256 | 0.521 | 0.489 | 0.256 | 521.3 | 489.1 | 0.247 | 520.4 | 485.4 | 0.601 | 97.1 | 50.7 |
| PP08072020_slice_2 | 0.248 | 0.525 | 0.493 | 0.248 | 524.5 | 492.9 | 0.242 | 523.4 | 489.0 | 0.589 | 102.7 | 54.1 |
| PP08072020_slice_3 | 0.246 | 0.528 | 0.496 | 0.246 | 528.1 | 495.8 | 0.242 | 526.9 | 492.3 | 0.589 | 104.3 | 54.9 |
| PP08072020_slice_4 | 0.246 | 0.528 | 0.496 | 0.246 | 528.4 | 495.7 | 0.241 | 526.9 | 491.9 | 0.594 | 103.0 | 53.8 |
| PP08072020_slice_5 | 0.245 | 0.527 | 0.496 | 0.245 | 526.8 | 495.5 | 0.242 | 525.9 | 491.8 | 0.597 | 99.6 | 51.8 |
| PP08072020_slice_6 | 0.248 | 0.528 | 0.497 | 0.248 | 527.6 | 496.7 | 0.247 | 526.8 | 492.9 | 0.605 | 98.5 | 50.7 |
| PP08072020_slice_7 | 0.249 | 0.527 | 0.497 | 0.249 | 527.4 | 496.9 | 0.248 | 526.6 | 493.2 | 0.609 | 98.1 | 50.0 |
| PP08072020_slice_8 | 0.250 | 0.530 | 0.499 | 0.250 | 529.8 | 499.3 | 0.248 | 529.1 | 495.9 | 0.615 | 96.9 | 49.1 |
| PP08072020_slice_9 | 0.255 | 0.534 | 0.504 | 0.255 | 533.7 | 504.3 | 0.252 | 533.2 | 501.3 | 0.622 | 96.2 | 48.2 |
| PP08072020_slice_10 | 0.258 | 0.535 | 0.506 | 0.258 | 535.2 | 505.9 | 0.254 | 534.6 | 503.0 | 0.628 | 95.2 | 47.1 |
| PP08072020_slice_11 | 0.264 | 0.535 | 0.505 | 0.264 | 534.7 | 505.4 | 0.258 | 534.1 | 502.2 | 0.635 | 93.3 | 45.7 |
| PP08072020_slice_12 | 0.265 | 0.535 | 0.506 | 0.265 | 534.8 | 505.8 | 0.258 | 534.2 | 502.5 | 0.639 | 91.2 | 44.4 |
| PP08072020_slice_13 | 0.272 | 0.534 | 0.505 | 0.272 | 533.5 | 505.4 | 0.262 | 532.8 | 501.5 | 0.644 | 87.4 | 42.1 |
| PP08072020_slice_14 | 0.273 | 0.534 | 0.506 | 0.273 | 534.1 | 506.3 | 0.263 | 533.3 | 502.3 | 0.654 | 85.2 | 40.6 |
| PP08072020_slice_15 | 0.271 | 0.536 | 0.508 | 0.271 | 535.7 | 507.7 | 0.260 | 534.8 | 503.6 | 0.661 | 84.2 | 39.8 |
| PP08072020_slice_16 | 0.271 | 0.535 | 0.509 | 0.271 | 534.8 | 508.6 | 0.261 | 533.7 | 503.8 | 0.664 | 82.9 | 39.1 |
| PP08072020_slice_17 | 0.274 | 0.536 | 0.510 | 0.274 | 535.8 | 510.0 | 0.263 | 534.8 | 505.3 | 0.670 | 82.0 | 38.3 |
| PP08072020_slice_18 | 0.275 | 0.538 | 0.513 | 0.275 | 538.1 | 512.7 | 0.264 | 537.1 | 508.1 | 0.670 | 82.5 | 38.4 |
| PP08072020_slice_19 | 0.274 | 0.536 | 0.511 | 0.274 | 536.3 | 511.4 | 0.264 | 535.2 | 506.3 | 0.670 | 83.2 | 38.4 |
| PP08072020_slice_20 | 0.274 | 0.535 | 0.510 | 0.274 | 535.0 | 509.5 | 0.262 | 533.8 | 504.3 | 0.671 | 81.4 | 37.4 |
| PP08072020_slice_21 | 0.275 | 0.536 | 0.510 | 0.275 | 535.6 | 509.5 | 0.261 | 534.6 | 504.7 | 0.677 | 79.1 | 36.1 |
| PP08072020_slice_22 | 0.277 | 0.537 | 0.510 | 0.277 | 537.1 | 509.9 | 0.262 | 536.2 | 505.5 | 0.685 | 76.4 | 34.7 |
| PP08072020_slice_23 | 0.285 | 0.535 | 0.508 | 0.285 | 534.7 | 507.5 | 0.268 | 533.6 | 502.7 | 0.688 | 74.0 | 33.2 |
| PP08072020_slice_24 | 0.283 | 0.535 | 0.509 | 0.283 | 534.7 | 508.6 | 0.268 | 533.5 | 503.5 | 0.688 | 75.0 | 33.4 |
| PP08072020_slice_25 | 0.279 | 0.537 | 0.512 | 0.279 | 537.1 | 512.3 | 0.265 | 535.8 | 507.4 | 0.685 | 78.0 | 34.6 |
| PP08072020_slice_26 | 0.279 | 0.541 | 0.517 | 0.279 | 541.0 | 517.1 | 0.266 | 539.9 | 512.3 | 0.678 | 80.6 | 35.9 |
| PP08072020_slice_27 | 0.278 | 0.544 | 0.520 | 0.278 | 543.9 | 519.7 | 0.266 | 542.8 | 515.0 | 0.675 | 81.4 | 36.1 |
| PP08072020_slice_28 | 0.280 | 0.543 | 0.519 | 0.280 | 543.2 | 518.7 | 0.267 | 542.1 | 514.2 | 0.678 | 81.4 | 36.1 |
| PP08072020_slice_29 | 0.280 | 0.543 | 0.519 | 0.280 | 543.5 | 519.0 | 0.268 | 542.3 | 514.2 | 0.683 | 82.2 | 36.2 |
| PP08072020_slice_30 | 0.282 | 0.541 | 0.516 | 0.282 | 540.9 | 516.2 | 0.269 | 539.5 | 511.1 | 0.689 | 79.9 | 34.8 |
| PP08072020_slice_31 | 0.291 | 0.537 | 0.512 | 0.291 | 537.2 | 512.5 | 0.274 | 535.8 | 507.0 | 0.694 | 77.2 | 33.3 |
| PP08072020_slice_32 | 0.287 | 0.539 | 0.515 | 0.287 | 539.4 | 514.6 | 0.271 | 538.1 | 509.6 | 0.692 | 77.0 | 33.4 |
| PP08072020_slice_33 | 0.282 | 0.540 | 0.516 | 0.282 | 540.1 | 515.7 | 0.267 | 538.7 | 510.5 | 0.684 | 79.8 | 34.8 |
| PP08072020_slice_34 | 0.278 | 0.543 | 0.518 | 0.278 | 542.6 | 518.4 | 0.265 | 541.3 | 513.5 | 0.681 | 81.1 | 35.6 |
| PP08072020_slice_35 | 0.275 | 0.545 | 0.521 | 0.275 | 545.4 | 520.7 | 0.264 | 544.4 | 516.4 | 0.682 | 80.9 | 35.6 |
| PP08072020_slice_36 | 0.279 | 0.545 | 0.520 | 0.279 | 544.9 | 520.0 | 0.268 | 544.1 | 515.8 | 0.689 | 79.9 | 35.1 |
| PP08072020_slice_37 | 0.283 | 0.543 | 0.517 | 0.283 | 542.6 | 517.5 | 0.269 | 541.6 | 513.0 | 0.687 | 77.7 | 34.3 |
| PP08072020_slice_38 | 0.292 | 0.538 | 0.512 | 0.292 | 537.6 | 512.2 | 0.276 | 536.4 | 507.1 | 0.685 | 75.0 | 33.1 |
| PP08072020_slice_39 | 0.292 | 0.541 | 0.516 | 0.292 | 540.6 | 515.6 | 0.275 | 539.5 | 510.9 | 0.686 | 74.7 | 33.1 |
| PP08072020_slice_40 | 0.291 | 0.539 | 0.514 | 0.291 | 539.1 | 513.8 | 0.273 | 538.0 | 509.1 | 0.682 | 74.2 | 33.0 |
| PP08072020_slice_41 | 0.289 | 0.540 | 0.515 | 0.289 | 539.8 | 514.9 | 0.273 | 538.7 | 510.1 | 0.683 | 74.9 | 33.2 |
| PP08072020_slice_42 | 0.286 | 0.540 | 0.516 | 0.286 | 540.4 | 515.8 | 0.271 | 539.3 | 511.2 | 0.685 | 78.1 | 34.7 |
| PP08072020_slice_43 | 0.287 | 0.543 | 0.519 | 0.287 | 543.3 | 519.3 | 0.274 | 542.2 | 515.0 | 0.683 | 81.0 | 36.0 |
| PP08072020_slice_44 | 0.287 | 0.545 | 0.521 | 0.287 | 545.3 | 521.5 | 0.275 | 544.3 | 517.1 | 0.682 | 81.8 | 36.3 |
| PP08072020_slice_45 | 0.288 | 0.543 | 0.519 | 0.288 | 543.0 | 519.3 | 0.276 | 541.8 | 514.6 | 0.684 | 82.1 | 36.3 |
| PP08072020_slice_46 | 0.287 | 0.541 | 0.517 | 0.287 | 541.1 | 517.3 | 0.276 | 539.6 | 512.1 | 0.682 | 82.3 | 36.2 |
| PP08072020_slice_47 | 0.286 | 0.540 | 0.516 | 0.286 | 539.6 | 515.5 | 0.274 | 538.0 | 510.0 | 0.679 | 82.0 | 36.0 |
| PP08072020_slice_48 | 0.291 | 0.537 | 0.513 | 0.291 | 537.2 | 513.1 | 0.277 | 535.7 | 507.6 | 0.681 | 78.8 | 34.6 |
| PP08072020_slice_49 | 0.294 | 0.538 | 0.514 | 0.294 | 538.3 | 513.8 | 0.278 | 537.0 | 508.6 | 0.690 | 77.1 | 33.5 |
| PP08072020_slice_50 | 0.292 | 0.539 | 0.515 | 0.292 | 538.9 | 514.7 | 0.276 | 537.5 | 509.4 | 0.693 | 77.7 | 33.6 |
| PP08072020_slice_51 | 0.290 | 0.541 | 0.518 | 0.290 | 541.0 | 517.9 | 0.275 | 539.8 | 512.8 | 0.702 | 76.2 | 32.8 |
| PP08072020_slice_52 | 0.289 | 0.540 | 0.517 | 0.289 | 539.5 | 517.0 | 0.276 | 538.4 | 511.8 | 0.704 | 76.9 | 33.2 |
| PP08072020_slice_53 | 0.286 | 0.543 | 0.520 | 0.286 | 542.6 | 519.9 | 0.274 | 541.4 | 514.7 | 0.697 | 79.3 | 34.3 |
| PP08072020_slice_54 | 0.278 | 0.547 | 0.524 | 0.278 | 546.8 | 524.3 | 0.270 | 545.6 | 519.5 | 0.692 | 83.3 | 36.0 |
| PP08072020_slice_55 | 0.281 | 0.543 | 0.520 | 0.281 | 542.7 | 520.5 | 0.273 | 541.3 | 515.1 | 0.693 | 84.5 | 36.3 |
| PP08072020_slice_56 | 0.283 | 0.537 | 0.516 | 0.283 | 536.6 | 515.6 | 0.278 | 534.7 | 509.3 | 0.698 | 85.1 | 36.6 |
| PP08072020_slice_57 | 0.279 | 0.538 | 0.517 | 0.279 | 538.4 | 517.5 | 0.276 | 536.6 | 511.3 | 0.701 | 85.2 | 36.6 |
| PP08072020_slice_58 | 0.277 | 0.539 | 0.518 | 0.277 | 538.8 | 517.7 | 0.274 | 536.9 | 511.5 | 0.703 | 85.2 | 36.5 |
| PP08072020_slice_59 | 0.276 | 0.540 | 0.519 | 0.276 | 540.1 | 518.8 | 0.271 | 538.3 | 512.9 | 0.702 | 85.2 | 36.5 |
| PP08072020_slice_60 | 0.275 | 0.540 | 0.519 | 0.275 | 539.7 | 519.2 | 0.271 | 537.7 | 513.0 | 0.704 | 86.3 | 36.8 |
| PP08072020_slice_61 | 0.275 | 0.539 | 0.518 | 0.275 | 539.1 | 518.0 | 0.271 | 537.1 | 511.9 | 0.708 | 84.3 | 35.8 |
| PP08072020_slice_62 | 0.276 | 0.542 | 0.521 | 0.276 | 541.9 | 521.0 | 0.271 | 540.0 | 515.1 | 0.707 | 82.4 | 35.1 |
| PP08072020_slice_63 | 0.282 | 0.543 | 0.522 | 0.282 | 542.9 | 521.8 | 0.276 | 541.3 | 516.3 | 0.710 | 80.2 | 33.9 |
| PP08072020_slice_64 | 0.289 | 0.542 | 0.521 | 0.289 | 542.2 | 520.8 | 0.281 | 540.6 | 515.2 | 0.715 | 78.0 | 32.8 |
| PP08072020_slice_65 | 0.299 | 0.543 | 0.521 | 0.299 | 543.0 | 521.2 | 0.287 | 541.6 | 515.8 | 0.718 | 74.0 | 31.0 |
| PP08072020_slice_66 | 0.313 | 0.541 | 0.518 | 0.313 | 540.6 | 518.3 | 0.298 | 539.2 | 512.8 | 0.727 | 70.2 | 29.0 |
| PP08072020_slice_67 | 0.303 | 0.546 | 0.525 | 0.303 | 546.4 | 524.6 | 0.291 | 545.2 | 519.6 | 0.728 | 72.6 | 29.9 |
| PP08072020_slice_68 | 0.301 | 0.548 | 0.526 | 0.301 | 547.7 | 526.2 | 0.291 | 546.5 | 521.2 | 0.729 | 74.3 | 30.3 |
| PP08072020_slice_69 | 0.296 | 0.553 | 0.532 | 0.296 | 553.3 | 532.1 | 0.286 | 552.1 | 527.4 | 0.728 | 75.6 | 30.7 |
| PP08072020_slice_70 | 0.299 | 0.552 | 0.530 | 0.299 | 551.6 | 530.0 | 0.289 | 550.4 | 525.3 | 0.737 | 73.2 | 29.4 |
| PP08072020_slice_71 | 0.303 | 0.550 | 0.529 | 0.303 | 550.2 | 528.6 | 0.293 | 548.8 | 523.6 | 0.739 | 71.5 | 28.6 |
| PP08072020_slice_72 | 0.296 | 0.556 | 0.535 | 0.296 | 555.6 | 535.1 | 0.288 | 554.3 | 530.3 | 0.737 | 74.3 | 29.7 |
| PP08072020_slice_73 | 0.303 | 0.554 | 0.533 | 0.303 | 554.0 | 532.7 | 0.292 | 552.8 | 528.1 | 0.744 | 71.6 | 28.3 |
| PP08072020_slice_74 | 0.309 | 0.553 | 0.532 | 0.309 | 553.3 | 531.8 | 0.298 | 551.8 | 526.8 | 0.744 | 70.1 | 27.6 |
| PP08072020_slice_75 | 0.314 | 0.552 | 0.531 | 0.314 | 552.4 | 530.5 | 0.302 | 550.8 | 525.3 | 0.744 | 67.6 | 26.6 |
| PP08072020_slice_76 | 0.307 | 0.554 | 0.532 | 0.307 | 553.5 | 531.5 | 0.296 | 552.2 | 526.6 | 0.747 | 67.4 | 26.4 |
| PP08072020_slice_77 | 0.313 | 0.551 | 0.528 | 0.313 | 551.1 | 528.4 | 0.298 | 549.9 | 523.5 | 0.752 | 63.9 | 25.0 |
| PP08072020_slice_78 | 0.321 | 0.551 | 0.528 | 0.321 | 551.3 | 528.0 | 0.303 | 550.1 | 523.3 | 0.753 | 61.1 | 23.7 |
| PP08072020_slice_79 | 0.322 | 0.552 | 0.529 | 0.322 | 552.1 | 528.9 | 0.305 | 551.1 | 524.6 | 0.754 | 60.9 | 23.7 |
| PP08072020_slice_80 | 0.311 | 0.553 | 0.530 | 0.311 | 553.2 | 529.8 | 0.294 | 552.3 | 525.6 | 0.753 | 59.9 | 23.7 |
| PP08072020_slice_81 | 0.316 | 0.551 | 0.527 | 0.316 | 550.9 | 527.0 | 0.299 | 549.8 | 522.5 | 0.753 | 59.4 | 23.7 |
| PP08072020_slice_82 | 0.305 | 0.553 | 0.530 | 0.305 | 553.5 | 530.4 | 0.291 | 552.4 | 525.9 | 0.734 | 63.7 | 26.1 |
| PP08072020_slice_83 | 0.313 | 0.557 | 0.532 | 0.313 | 556.7 | 531.7 | 0.296 | 555.6 | 527.5 | 0.719 | 66.3 | 27.9 |
| PP08072020_slice_84 | 0.298 | 0.555 | 0.530 | 0.298 | 555.4 | 529.9 | 0.283 | 554.2 | 525.5 | 0.703 | 71.7 | 31.0 |
| PP08072020_slice_85 | 0.303 | 0.548 | 0.521 | 0.303 | 547.6 | 521.3 | 0.287 | 546.2 | 516.3 | 0.695 | 73.2 | 31.9 |
| PP08072020_slice_86 | 0.292 | 0.545 | 0.518 | 0.292 | 544.7 | 517.7 | 0.277 | 543.5 | 512.8 | 0.685 | 75.9 | 33.8 |
| PP08072020_slice_87 | 0.278 | 0.543 | 0.515 | 0.278 | 543.4 | 515.3 | 0.265 | 542.1 | 510.4 | 0.676 | 78.1 | 35.4 |
| PP08072020_slice_88 | 0.267 | 0.541 | 0.513 | 0.267 | 541.5 | 512.6 | 0.257 | 540.0 | 507.7 | 0.670 | 80.9 | 37.0 |
| PP08072020_slice_89 | 0.267 | 0.541 | 0.511 | 0.267 | 541.0 | 510.9 | 0.255 | 539.7 | 506.5 | 0.662 | 81.4 | 37.5 |
| PP08072020_slice_90 | 0.301 | 0.534 | 0.500 | 0.301 | 534.4 | 500.3 | 0.280 | 533.2 | 496.3 | 0.666 | 75.5 | 34.3 |
| PP08072020_slice_91 | 0.304 | 0.527 | 0.492 | 0.304 | 527.2 | 492.3 | 0.280 | 525.8 | 488.1 | 0.661 | 74.7 | 34.3 |
| PP08072020_slice_92 | 0.265 | 0.531 | 0.497 | 0.265 | 530.6 | 497.3 | 0.251 | 529.4 | 493.1 | 0.648 | 78.7 | 37.9 |
| PP08072020_slice_93 | 0.242 | 0.530 | 0.498 | 0.242 | 529.5 | 497.8 | 0.238 | 528.4 | 493.5 | 0.638 | 83.7 | 41.1 |
| PP08072020_slice_94 | 0.239 | 0.530 | 0.498 | 0.239 | 530.2 | 497.7 | 0.234 | 529.2 | 493.6 | 0.631 | 85.0 | 42.3 |
| PP08072020_slice_95 | 0.236 | 0.528 | 0.495 | 0.236 | 527.6 | 495.3 | 0.236 | 526.5 | 490.9 | 0.627 | 87.5 | 43.9 |
| PP08072020_slice_96 | 0.234 | 0.527 | 0.493 | 0.234 | 526.6 | 493.0 | 0.232 | 525.5 | 488.8 | 0.620 | 88.4 | 44.6 |
| PP08072020_slice_97 | 0.246 | 0.520 | 0.485 | 0.246 | 519.7 | 484.5 | 0.241 | 518.5 | 480.1 | 0.617 | 87.3 | 43.8 |
| PP08072020_slice_98 | 0.236 | 0.514 | 0.479 | 0.236 | 514.0 | 478.7 | 0.236 | 512.7 | 474.0 | 0.614 | 88.6 | 44.9 |
| PP08072020_slice_99 | 0.212 | 0.514 | 0.480 | 0.212 | 514.2 | 480.4 | 0.222 | 512.9 | 475.6 | 0.611 | 92.5 | 47.8 |
| PP08072020_slice_100 | 0.208 | 0.515 | 0.480 | 0.208 | 515.4 | 479.9 | 0.212 | 514.3 | 475.7 | 0.608 | 91.9 | 47.6 |
| PP08072020_slice_101 | 0.242 | 0.508 | 0.469 | 0.242 | 507.8 | 468.9 | 0.236 | 506.5 | 464.8 | 0.614 | 86.8 | 44.0 |
| PP08072020_slice_102 | 0.259 | 0.503 | 0.463 | 0.259 | 503.1 | 463.2 | 0.247 | 501.8 | 459.2 | 0.615 | 84.5 | 42.8 |
| PP08072020_slice_103 | 0.242 | 0.507 | 0.467 | 0.242 | 506.7 | 467.0 | 0.235 | 505.4 | 462.9 | 0.610 | 86.3 | 44.3 |
| PP08072020_slice_104 | 0.216 | 0.509 | 0.472 | 0.216 | 509.3 | 472.1 | 0.220 | 508.0 | 467.7 | 0.606 | 90.7 | 47.4 |
| PP08072020_slice_105 | 0.210 | 0.509 | 0.473 | 0.210 | 509.0 | 473.1 | 0.218 | 507.9 | 468.8 | 0.608 | 92.1 | 48.1 |
| PP08072020_slice_106 | 0.217 | 0.509 | 0.473 | 0.217 | 508.6 | 472.8 | 0.223 | 507.5 | 468.5 | 0.609 | 91.5 | 47.5 |
| PP08072020_slice_107 | 0.216 | 0.509 | 0.473 | 0.216 | 508.7 | 473.5 | 0.225 | 507.6 | 469.0 | 0.611 | 92.5 | 47.8 |
| PP08072020_slice_108 | 0.215 | 0.510 | 0.474 | 0.215 | 509.7 | 473.6 | 0.221 | 508.6 | 469.4 | 0.612 | 91.3 | 47.2 |
| PP08072020_slice_109 | 0.223 | 0.511 | 0.474 | 0.223 | 511.0 | 473.5 | 0.225 | 510.0 | 469.6 | 0.614 | 89.7 | 46.1 |
| PP08072020_slice_110 | 0.230 | 0.509 | 0.472 | 0.230 | 508.9 | 471.8 | 0.231 | 507.8 | 467.6 | 0.615 | 89.3 | 45.6 |
| PP08072020_slice_111 | 0.222 | 0.514 | 0.478 | 0.222 | 513.9 | 477.8 | 0.223 | 512.8 | 473.6 | 0.614 | 90.3 | 46.4 |
4Γ3 grid: Rows show different image types (Original NATIVE, Reconstructed NATIVE, Original VENOUS, Generated VENOUS), Columns show windowing techniques (No Window, Lung Window, Mediastinum Window)