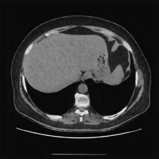
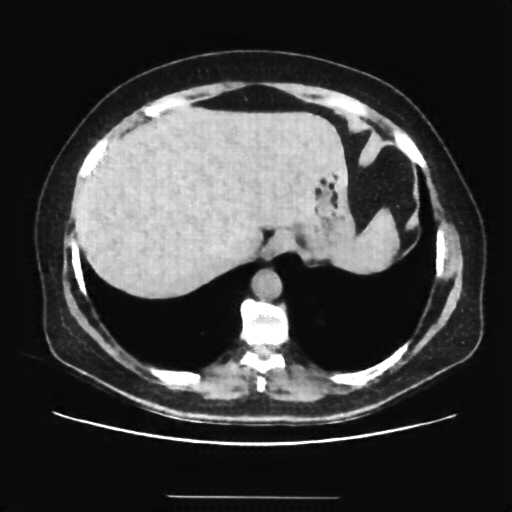
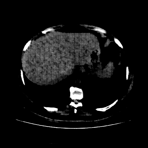
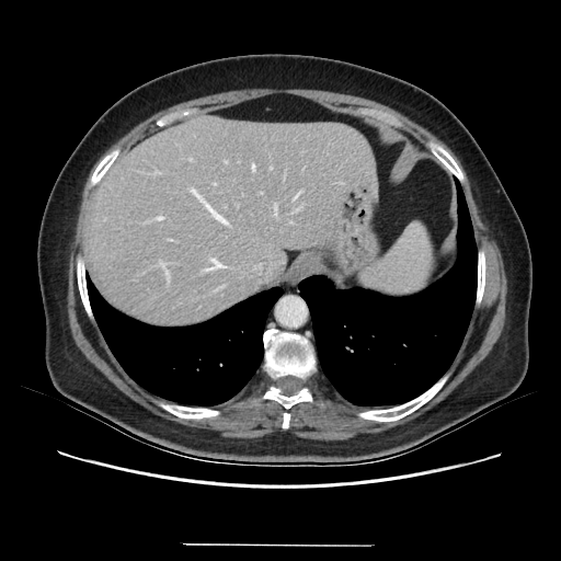
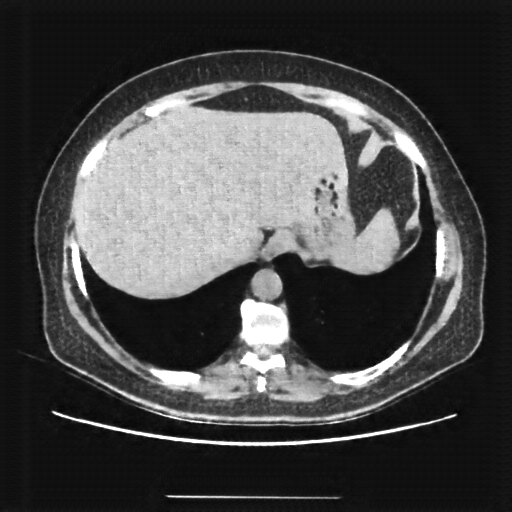
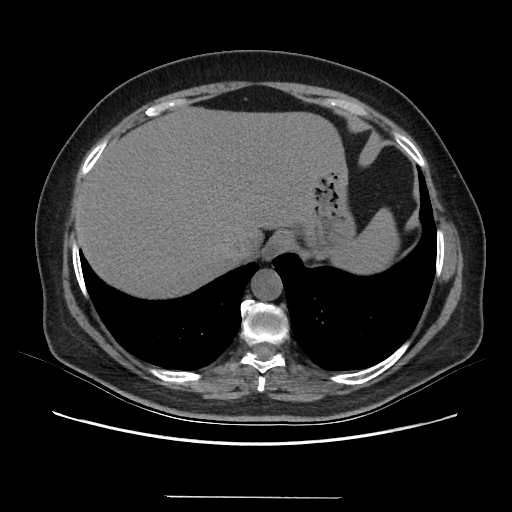
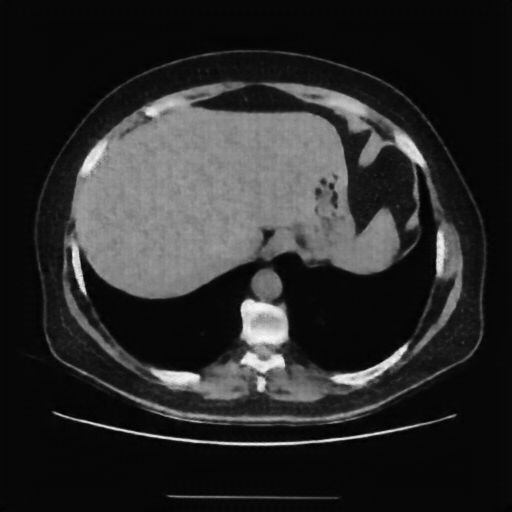
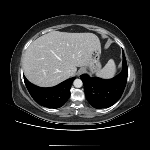
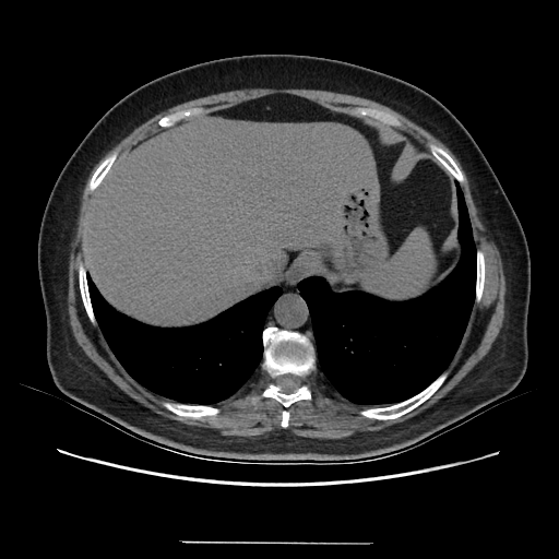
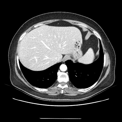
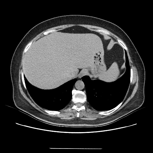
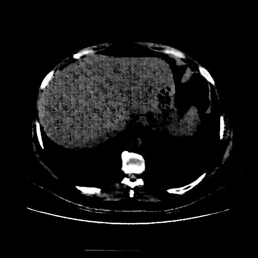
Slice 70 Targeting Evaluation
Patient ID: SV03022021
Model: cytran
Slice: Slice_70
Slice Thickness: 2.5mm
Conversion: NATIVE β VENOUS
Contains all 4 metric datasets: Network-Normalized, Hounsfield Units, Lung Window, and Mediastinum Window
| Slice ID | SSIM | RMSE | MAE | HU SSIM | HU RMSE | HU MAE | Lung SSIM | Lung RMSE | Lung MAE | Mediastinum SSIM | Mediastinum RMSE | Mediastinum MAE |
|---|---|---|---|---|---|---|---|---|---|---|---|---|
| SV03022021_slice_0 | 0.242 | 0.508 | 0.479 | 0.242 | 508.3 | 478.7 | 0.220 | 507.4 | 474.3 | 0.523 | 94.0 | 55.1 |
| SV03022021_slice_1 | 0.241 | 0.508 | 0.477 | 0.241 | 508.3 | 477.0 | 0.219 | 507.6 | 473.2 | 0.517 | 94.5 | 55.3 |
| SV03022021_slice_2 | 0.243 | 0.507 | 0.475 | 0.243 | 506.9 | 475.3 | 0.221 | 506.2 | 471.4 | 0.517 | 93.3 | 54.8 |
| SV03022021_slice_3 | 0.241 | 0.506 | 0.475 | 0.241 | 506.2 | 474.7 | 0.219 | 505.2 | 470.5 | 0.513 | 93.7 | 54.7 |
| SV03022021_slice_4 | 0.245 | 0.506 | 0.475 | 0.245 | 506.0 | 474.8 | 0.223 | 505.0 | 470.4 | 0.511 | 94.2 | 55.0 |
| SV03022021_slice_5 | 0.247 | 0.506 | 0.475 | 0.247 | 505.9 | 474.7 | 0.225 | 504.9 | 470.3 | 0.511 | 94.7 | 55.2 |
| SV03022021_slice_6 | 0.246 | 0.505 | 0.475 | 0.246 | 505.4 | 474.5 | 0.223 | 504.5 | 470.3 | 0.510 | 94.0 | 54.5 |
| SV03022021_slice_7 | 0.246 | 0.504 | 0.473 | 0.246 | 503.7 | 473.4 | 0.222 | 502.8 | 469.3 | 0.517 | 92.3 | 52.9 |
| SV03022021_slice_8 | 0.252 | 0.502 | 0.471 | 0.252 | 502.0 | 471.3 | 0.225 | 501.2 | 467.0 | 0.529 | 86.7 | 49.4 |
| SV03022021_slice_9 | 0.258 | 0.503 | 0.472 | 0.258 | 503.1 | 472.5 | 0.229 | 502.3 | 468.4 | 0.536 | 82.9 | 46.9 |
| SV03022021_slice_10 | 0.276 | 0.496 | 0.466 | 0.276 | 495.8 | 466.4 | 0.242 | 494.7 | 461.3 | 0.551 | 80.0 | 44.6 |
| SV03022021_slice_11 | 0.276 | 0.499 | 0.470 | 0.276 | 498.8 | 469.8 | 0.242 | 497.6 | 464.9 | 0.556 | 80.6 | 44.4 |
| SV03022021_slice_12 | 0.282 | 0.500 | 0.472 | 0.282 | 500.4 | 471.6 | 0.247 | 499.2 | 466.5 | 0.564 | 79.1 | 43.5 |
| SV03022021_slice_13 | 0.281 | 0.503 | 0.475 | 0.281 | 503.0 | 474.6 | 0.247 | 501.9 | 469.5 | 0.568 | 78.0 | 43.0 |
| SV03022021_slice_14 | 0.280 | 0.504 | 0.476 | 0.280 | 504.5 | 475.7 | 0.246 | 503.4 | 470.8 | 0.570 | 77.7 | 43.0 |
| SV03022021_slice_15 | 0.285 | 0.501 | 0.473 | 0.285 | 501.0 | 472.9 | 0.250 | 499.8 | 467.6 | 0.573 | 77.4 | 42.7 |
| SV03022021_slice_16 | 0.282 | 0.506 | 0.476 | 0.282 | 505.8 | 476.2 | 0.246 | 504.8 | 471.5 | 0.572 | 76.2 | 42.1 |
| SV03022021_slice_17 | 0.294 | 0.506 | 0.476 | 0.294 | 505.5 | 475.5 | 0.255 | 504.4 | 470.8 | 0.580 | 73.8 | 40.6 |
| SV03022021_slice_18 | 0.302 | 0.502 | 0.472 | 0.302 | 502.0 | 471.7 | 0.262 | 500.9 | 466.8 | 0.588 | 72.3 | 39.7 |
| SV03022021_slice_19 | 0.301 | 0.500 | 0.470 | 0.301 | 500.1 | 470.1 | 0.260 | 499.0 | 465.2 | 0.589 | 72.9 | 40.1 |
| SV03022021_slice_20 | 0.295 | 0.500 | 0.471 | 0.295 | 500.5 | 471.2 | 0.254 | 499.3 | 466.3 | 0.586 | 74.3 | 40.7 |
| SV03022021_slice_21 | 0.294 | 0.501 | 0.472 | 0.294 | 500.9 | 471.9 | 0.254 | 499.7 | 466.9 | 0.588 | 73.9 | 40.3 |
| SV03022021_slice_22 | 0.297 | 0.501 | 0.472 | 0.297 | 501.5 | 471.6 | 0.256 | 500.4 | 466.7 | 0.588 | 72.7 | 39.4 |
| SV03022021_slice_23 | 0.299 | 0.504 | 0.473 | 0.299 | 503.8 | 472.6 | 0.257 | 502.7 | 468.0 | 0.588 | 72.2 | 38.9 |
| SV03022021_slice_24 | 0.307 | 0.502 | 0.471 | 0.307 | 502.2 | 470.8 | 0.263 | 501.0 | 466.1 | 0.595 | 71.1 | 38.1 |
| SV03022021_slice_25 | 0.315 | 0.502 | 0.470 | 0.315 | 501.9 | 470.1 | 0.269 | 500.7 | 465.3 | 0.598 | 71.1 | 37.8 |
| SV03022021_slice_26 | 0.319 | 0.502 | 0.470 | 0.319 | 501.8 | 470.0 | 0.273 | 500.5 | 465.1 | 0.599 | 72.3 | 38.2 |
| SV03022021_slice_27 | 0.310 | 0.502 | 0.471 | 0.310 | 501.8 | 470.8 | 0.267 | 500.5 | 465.8 | 0.594 | 75.9 | 39.9 |
| SV03022021_slice_28 | 0.306 | 0.502 | 0.471 | 0.306 | 501.8 | 471.2 | 0.264 | 500.5 | 466.1 | 0.591 | 77.9 | 40.8 |
| SV03022021_slice_29 | 0.308 | 0.499 | 0.468 | 0.308 | 498.6 | 468.4 | 0.266 | 497.2 | 463.1 | 0.587 | 78.5 | 41.5 |
| SV03022021_slice_30 | 0.306 | 0.496 | 0.466 | 0.306 | 496.0 | 465.9 | 0.265 | 494.5 | 460.6 | 0.583 | 79.4 | 42.2 |
| SV03022021_slice_31 | 0.306 | 0.494 | 0.464 | 0.306 | 494.2 | 464.0 | 0.264 | 492.7 | 458.8 | 0.582 | 79.3 | 42.7 |
| SV03022021_slice_32 | 0.303 | 0.493 | 0.464 | 0.303 | 493.3 | 463.7 | 0.262 | 491.7 | 458.2 | 0.581 | 80.4 | 43.5 |
| SV03022021_slice_33 | 0.303 | 0.495 | 0.465 | 0.303 | 495.2 | 464.7 | 0.262 | 493.7 | 459.5 | 0.583 | 79.9 | 43.5 |
| SV03022021_slice_34 | 0.301 | 0.495 | 0.465 | 0.301 | 495.0 | 464.9 | 0.261 | 493.6 | 459.5 | 0.584 | 80.4 | 43.9 |
| SV03022021_slice_35 | 0.299 | 0.495 | 0.465 | 0.299 | 494.7 | 465.5 | 0.260 | 493.1 | 459.8 | 0.580 | 80.7 | 44.1 |
| SV03022021_slice_36 | 0.294 | 0.499 | 0.470 | 0.294 | 498.8 | 469.9 | 0.256 | 497.3 | 464.4 | 0.582 | 81.2 | 44.2 |
| SV03022021_slice_37 | 0.296 | 0.497 | 0.468 | 0.296 | 497.0 | 468.2 | 0.259 | 495.6 | 462.7 | 0.582 | 81.8 | 44.4 |
| SV03022021_slice_38 | 0.298 | 0.497 | 0.467 | 0.298 | 497.1 | 467.4 | 0.261 | 495.8 | 462.0 | 0.582 | 80.7 | 43.7 |
| SV03022021_slice_39 | 0.300 | 0.493 | 0.463 | 0.300 | 492.7 | 463.2 | 0.261 | 491.2 | 457.7 | 0.581 | 80.7 | 43.7 |
| SV03022021_slice_40 | 0.298 | 0.495 | 0.465 | 0.298 | 494.8 | 465.5 | 0.261 | 493.4 | 459.9 | 0.581 | 80.1 | 43.7 |
| SV03022021_slice_41 | 0.300 | 0.493 | 0.463 | 0.300 | 492.5 | 463.0 | 0.261 | 491.2 | 457.6 | 0.583 | 79.0 | 43.5 |
| SV03022021_slice_42 | 0.296 | 0.494 | 0.465 | 0.296 | 494.4 | 464.6 | 0.256 | 493.1 | 459.4 | 0.579 | 80.2 | 44.4 |
| SV03022021_slice_43 | 0.283 | 0.495 | 0.467 | 0.283 | 495.4 | 466.7 | 0.246 | 493.9 | 461.1 | 0.576 | 83.6 | 46.2 |
| SV03022021_slice_44 | 0.268 | 0.497 | 0.469 | 0.268 | 496.8 | 468.6 | 0.232 | 495.4 | 463.1 | 0.568 | 86.7 | 47.7 |
| SV03022021_slice_45 | 0.253 | 0.499 | 0.471 | 0.253 | 499.4 | 471.3 | 0.219 | 497.9 | 466.0 | 0.560 | 90.5 | 49.7 |
| SV03022021_slice_46 | 0.251 | 0.495 | 0.467 | 0.251 | 494.9 | 466.9 | 0.218 | 493.4 | 461.4 | 0.560 | 91.7 | 50.1 |
| SV03022021_slice_47 | 0.246 | 0.496 | 0.468 | 0.246 | 496.0 | 468.1 | 0.213 | 494.5 | 462.8 | 0.560 | 93.0 | 50.7 |
| SV03022021_slice_48 | 0.248 | 0.492 | 0.465 | 0.248 | 492.3 | 465.0 | 0.217 | 490.7 | 459.4 | 0.562 | 92.9 | 50.6 |
| SV03022021_slice_49 | 0.253 | 0.494 | 0.465 | 0.253 | 493.5 | 465.5 | 0.221 | 491.9 | 459.8 | 0.567 | 90.5 | 49.4 |
| SV03022021_slice_50 | 0.257 | 0.491 | 0.462 | 0.257 | 490.5 | 462.5 | 0.226 | 489.0 | 457.0 | 0.568 | 88.9 | 48.8 |
| SV03022021_slice_51 | 0.260 | 0.494 | 0.465 | 0.260 | 493.5 | 465.1 | 0.227 | 492.1 | 460.0 | 0.569 | 87.0 | 47.8 |
| SV03022021_slice_52 | 0.246 | 0.498 | 0.471 | 0.246 | 497.7 | 470.5 | 0.216 | 496.4 | 465.5 | 0.568 | 88.5 | 48.5 |
| SV03022021_slice_53 | 0.257 | 0.494 | 0.466 | 0.257 | 494.0 | 466.1 | 0.227 | 492.7 | 461.1 | 0.575 | 85.7 | 46.8 |
| SV03022021_slice_54 | 0.256 | 0.501 | 0.473 | 0.256 | 501.3 | 472.5 | 0.228 | 500.0 | 467.7 | 0.575 | 84.3 | 45.7 |
| SV03022021_slice_55 | 0.267 | 0.505 | 0.475 | 0.267 | 505.0 | 475.3 | 0.238 | 503.8 | 470.7 | 0.584 | 80.6 | 43.1 |
| SV03022021_slice_56 | 0.271 | 0.506 | 0.475 | 0.271 | 505.8 | 475.2 | 0.239 | 504.5 | 470.7 | 0.591 | 78.5 | 41.8 |
| SV03022021_slice_57 | 0.287 | 0.505 | 0.474 | 0.287 | 505.5 | 474.2 | 0.253 | 504.3 | 469.7 | 0.602 | 74.0 | 39.2 |
| SV03022021_slice_58 | 0.293 | 0.505 | 0.474 | 0.293 | 504.7 | 474.0 | 0.258 | 503.6 | 469.4 | 0.614 | 71.8 | 37.7 |
| SV03022021_slice_59 | 0.284 | 0.506 | 0.475 | 0.284 | 505.6 | 474.8 | 0.249 | 504.5 | 470.3 | 0.619 | 71.8 | 38.0 |
| SV03022021_slice_60 | 0.265 | 0.507 | 0.477 | 0.265 | 507.2 | 477.1 | 0.235 | 506.2 | 472.8 | 0.615 | 74.9 | 39.7 |
| SV03022021_slice_61 | 0.251 | 0.511 | 0.481 | 0.251 | 510.6 | 481.4 | 0.227 | 509.5 | 477.0 | 0.618 | 76.6 | 40.6 |
| SV03022021_slice_62 | 0.247 | 0.506 | 0.476 | 0.247 | 505.8 | 476.1 | 0.225 | 504.7 | 471.7 | 0.613 | 77.4 | 41.4 |
| SV03022021_slice_63 | 0.229 | 0.504 | 0.475 | 0.229 | 504.0 | 475.0 | 0.214 | 502.9 | 470.6 | 0.602 | 82.2 | 44.1 |
| SV03022021_slice_64 | 0.231 | 0.497 | 0.466 | 0.231 | 496.8 | 466.5 | 0.216 | 495.7 | 462.2 | 0.597 | 81.2 | 44.2 |
| SV03022021_slice_65 | 0.220 | 0.496 | 0.465 | 0.220 | 495.8 | 465.3 | 0.208 | 494.7 | 461.0 | 0.588 | 83.7 | 46.0 |
| SV03022021_slice_66 | 0.210 | 0.493 | 0.463 | 0.210 | 493.4 | 463.4 | 0.203 | 492.2 | 459.2 | 0.583 | 86.1 | 47.5 |
| SV03022021_slice_67 | 0.214 | 0.491 | 0.461 | 0.214 | 491.5 | 460.5 | 0.202 | 490.3 | 456.4 | 0.578 | 85.2 | 47.5 |
| SV03022021_slice_68 | 0.213 | 0.489 | 0.457 | 0.213 | 489.2 | 457.2 | 0.201 | 488.0 | 452.9 | 0.573 | 85.7 | 48.3 |
| SV03022021_slice_69 | 0.184 | 0.499 | 0.466 | 0.184 | 499.0 | 466.4 | 0.168 | 498.0 | 462.5 | 0.550 | 89.3 | 51.2 |
| SV03022021_slice_70 | 0.192 | 0.491 | 0.457 | 0.192 | 490.9 | 457.0 | 0.178 | 489.9 | 453.2 | 0.548 | 88.9 | 51.2 |
| SV03022021_slice_71 | 0.172 | 0.486 | 0.456 | 0.172 | 486.3 | 455.7 | 0.175 | 485.1 | 451.7 | 0.544 | 98.0 | 56.3 |
| SV03022021_slice_72 | 0.161 | 0.484 | 0.454 | 0.161 | 484.3 | 454.3 | 0.169 | 483.1 | 450.2 | 0.536 | 101.2 | 58.4 |
| SV03022021_slice_73 | 0.163 | 0.478 | 0.446 | 0.163 | 477.6 | 445.6 | 0.168 | 476.5 | 441.8 | 0.533 | 98.7 | 57.6 |
| SV03022021_slice_74 | 0.154 | 0.476 | 0.444 | 0.154 | 476.0 | 444.0 | 0.162 | 475.0 | 440.4 | 0.528 | 101.5 | 59.5 |
| SV03022021_slice_75 | 0.152 | 0.474 | 0.441 | 0.152 | 473.6 | 441.1 | 0.160 | 472.5 | 437.4 | 0.524 | 101.7 | 59.9 |
| SV03022021_slice_76 | 0.143 | 0.475 | 0.443 | 0.143 | 474.8 | 443.1 | 0.155 | 473.8 | 439.5 | 0.521 | 105.2 | 62.3 |
| SV03022021_slice_77 | 0.142 | 0.474 | 0.441 | 0.142 | 473.6 | 440.7 | 0.154 | 472.7 | 437.1 | 0.518 | 103.9 | 61.9 |
| SV03022021_slice_78 | 0.135 | 0.473 | 0.440 | 0.135 | 472.5 | 440.0 | 0.149 | 471.5 | 436.2 | 0.510 | 105.0 | 63.1 |
| SV03022021_slice_79 | 0.139 | 0.469 | 0.435 | 0.139 | 469.0 | 434.8 | 0.148 | 468.1 | 431.3 | 0.503 | 102.1 | 61.8 |
| SV03022021_slice_80 | 0.151 | 0.466 | 0.430 | 0.151 | 466.3 | 430.3 | 0.152 | 465.4 | 427.0 | 0.500 | 98.4 | 60.1 |
| SV03022021_slice_81 | 0.148 | 0.467 | 0.431 | 0.148 | 467.0 | 430.8 | 0.152 | 466.0 | 427.1 | 0.496 | 99.4 | 60.8 |
| SV03022021_slice_82 | 0.142 | 0.466 | 0.431 | 0.142 | 466.4 | 430.5 | 0.147 | 465.4 | 427.0 | 0.493 | 100.8 | 61.8 |
| SV03022021_slice_83 | 0.145 | 0.466 | 0.430 | 0.145 | 466.0 | 429.9 | 0.147 | 465.1 | 426.6 | 0.491 | 100.7 | 61.9 |
| SV03022021_slice_84 | 0.144 | 0.466 | 0.430 | 0.144 | 465.7 | 430.3 | 0.145 | 464.8 | 426.8 | 0.491 | 101.9 | 62.7 |
| SV03022021_slice_85 | 0.146 | 0.465 | 0.430 | 0.146 | 465.5 | 430.1 | 0.146 | 464.5 | 426.5 | 0.492 | 101.7 | 62.6 |
| SV03022021_slice_86 | 0.145 | 0.468 | 0.433 | 0.145 | 468.5 | 433.2 | 0.146 | 467.5 | 429.6 | 0.490 | 102.7 | 63.1 |
| SV03022021_slice_87 | 0.145 | 0.479 | 0.440 | 0.145 | 478.8 | 440.1 | 0.130 | 478.0 | 436.9 | 0.477 | 97.3 | 60.6 |
| SV03022021_slice_88 | 0.148 | 0.471 | 0.435 | 0.148 | 471.1 | 435.5 | 0.146 | 470.1 | 431.9 | 0.484 | 101.4 | 62.6 |
| SV03022021_slice_89 | 0.165 | 0.468 | 0.431 | 0.165 | 468.2 | 431.0 | 0.156 | 467.2 | 427.7 | 0.483 | 97.3 | 59.9 |
| SV03022021_slice_90 | 0.178 | 0.469 | 0.430 | 0.178 | 468.9 | 429.9 | 0.164 | 468.0 | 426.8 | 0.485 | 93.7 | 57.8 |
| SV03022021_slice_91 | 0.167 | 0.470 | 0.432 | 0.167 | 469.8 | 431.9 | 0.157 | 468.8 | 428.5 | 0.483 | 95.2 | 58.9 |
| SV03022021_slice_92 | 0.162 | 0.472 | 0.435 | 0.162 | 471.7 | 434.6 | 0.153 | 470.7 | 431.4 | 0.481 | 97.5 | 60.2 |
| SV03022021_slice_93 | 0.176 | 0.471 | 0.434 | 0.176 | 471.4 | 433.9 | 0.161 | 470.4 | 430.7 | 0.480 | 95.9 | 59.3 |
| SV03022021_slice_94 | 0.184 | 0.476 | 0.438 | 0.184 | 476.4 | 438.1 | 0.165 | 475.4 | 434.8 | 0.480 | 94.4 | 58.4 |
| SV03022021_slice_95 | 0.214 | 0.477 | 0.437 | 0.214 | 477.1 | 436.7 | 0.185 | 476.1 | 433.4 | 0.486 | 89.7 | 55.5 |
| SV03022021_slice_96 | 0.220 | 0.474 | 0.435 | 0.220 | 474.3 | 435.1 | 0.191 | 473.3 | 431.9 | 0.489 | 89.7 | 55.5 |
| SV03022021_slice_97 | 0.223 | 0.479 | 0.439 | 0.223 | 479.4 | 439.4 | 0.189 | 478.4 | 436.1 | 0.487 | 87.5 | 54.4 |
| SV03022021_slice_98 | 0.228 | 0.477 | 0.437 | 0.228 | 476.5 | 437.4 | 0.197 | 475.5 | 433.7 | 0.490 | 87.2 | 54.0 |
4Γ3 grid: Rows show different image types (Original NATIVE, Reconstructed NATIVE, Original VENOUS, Generated VENOUS), Columns show windowing techniques (No Window, Lung Window, Mediastinum Window)