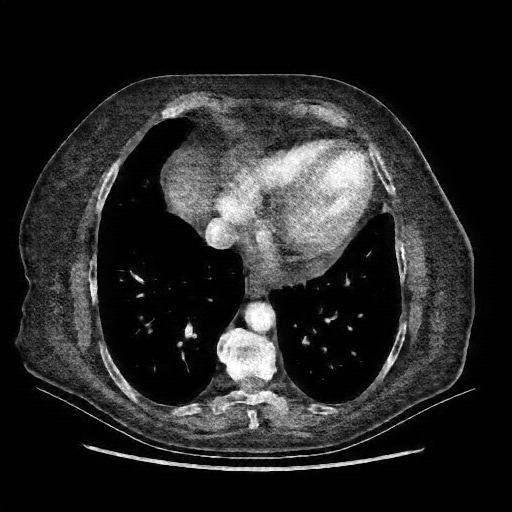
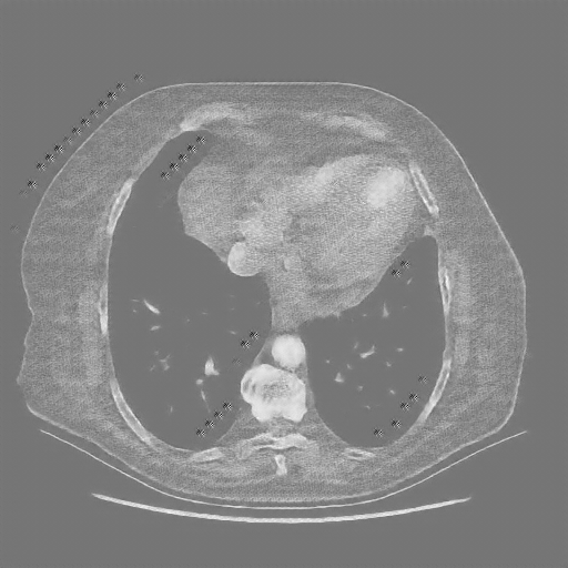
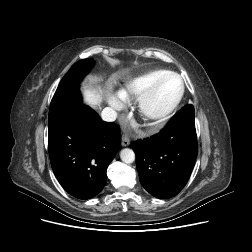
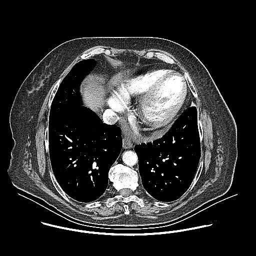
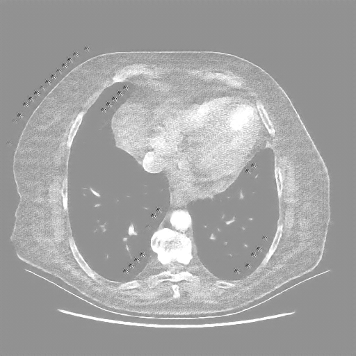
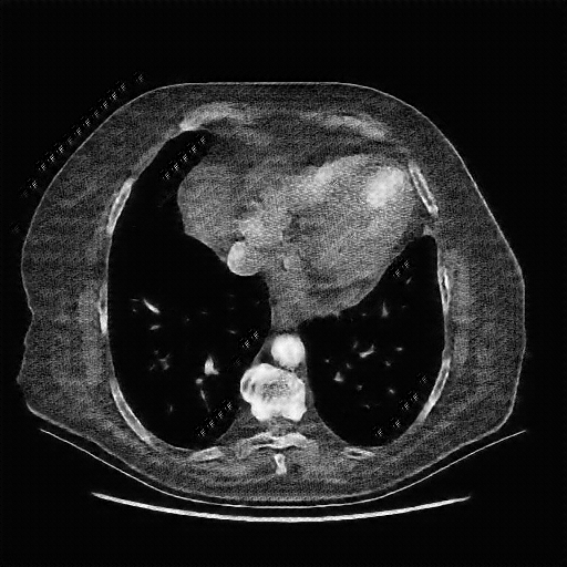
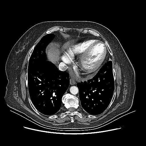
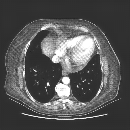
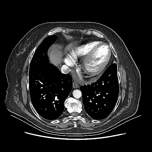
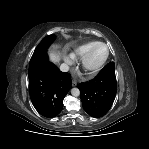
Slice 70 Targeting Evaluation
Patient ID: AB17122018
Model: cytran
Slice: Slice_70
Slice Thickness: 2.5mm
Conversion: NATIVE β VENOUS
Contains all 4 metric datasets: Network-Normalized, Hounsfield Units, Lung Window, and Mediastinum Window
| Slice ID | SSIM | RMSE | MAE | HU SSIM | HU RMSE | HU MAE | Lung SSIM | Lung RMSE | Lung MAE | Mediastinum SSIM | Mediastinum RMSE | Mediastinum MAE |
|---|---|---|---|---|---|---|---|---|---|---|---|---|
| AB17122018_slice_0 | 0.900 | 0.041 | 0.022 | 0.900 | 40.9 | 21.5 | 0.802 | 35.3 | 19.0 | 0.668 | 40.7 | 21.3 |
| AB17122018_slice_1 | 0.902 | 0.041 | 0.022 | 0.902 | 40.8 | 21.6 | 0.806 | 35.1 | 19.1 | 0.669 | 40.6 | 21.5 |
| AB17122018_slice_2 | 0.894 | 0.042 | 0.022 | 0.894 | 42.0 | 21.9 | 0.798 | 36.1 | 19.2 | 0.662 | 41.7 | 21.7 |
| AB17122018_slice_3 | 0.894 | 0.042 | 0.021 | 0.894 | 41.9 | 21.4 | 0.799 | 36.3 | 18.9 | 0.665 | 41.8 | 21.2 |
| AB17122018_slice_4 | 0.897 | 0.042 | 0.021 | 0.897 | 41.8 | 21.2 | 0.805 | 36.4 | 18.6 | 0.671 | 41.6 | 21.0 |
| AB17122018_slice_5 | 0.905 | 0.041 | 0.021 | 0.905 | 40.7 | 21.0 | 0.814 | 35.5 | 18.3 | 0.678 | 40.4 | 20.8 |
| AB17122018_slice_6 | 0.904 | 0.040 | 0.020 | 0.904 | 40.1 | 20.5 | 0.812 | 34.9 | 17.8 | 0.675 | 40.0 | 20.4 |
| AB17122018_slice_7 | 0.900 | 0.040 | 0.020 | 0.900 | 40.5 | 20.2 | 0.807 | 35.5 | 17.6 | 0.673 | 40.3 | 19.9 |
| AB17122018_slice_8 | 0.899 | 0.040 | 0.021 | 0.899 | 40.3 | 21.0 | 0.806 | 35.4 | 18.5 | 0.671 | 40.1 | 20.9 |
| AB17122018_slice_9 | 0.902 | 0.040 | 0.020 | 0.902 | 39.9 | 19.5 | 0.809 | 34.9 | 17.0 | 0.674 | 39.7 | 19.2 |
| AB17122018_slice_10 | 0.903 | 0.041 | 0.019 | 0.903 | 40.7 | 19.3 | 0.811 | 35.4 | 16.8 | 0.681 | 40.5 | 18.6 |
| AB17122018_slice_11 | 0.906 | 0.041 | 0.019 | 0.906 | 41.0 | 19.4 | 0.816 | 35.8 | 17.0 | 0.678 | 40.8 | 19.1 |
| AB17122018_slice_12 | 0.908 | 0.041 | 0.019 | 0.908 | 40.6 | 19.2 | 0.818 | 35.1 | 16.6 | 0.680 | 40.3 | 18.7 |
| AB17122018_slice_13 | 0.911 | 0.041 | 0.020 | 0.911 | 41.0 | 20.1 | 0.822 | 35.6 | 17.6 | 0.679 | 40.7 | 19.9 |
| AB17122018_slice_14 | 0.908 | 0.042 | 0.020 | 0.908 | 41.9 | 19.5 | 0.819 | 36.3 | 16.9 | 0.684 | 41.6 | 18.6 |
| AB17122018_slice_15 | 0.903 | 0.043 | 0.020 | 0.903 | 42.7 | 20.0 | 0.813 | 37.3 | 17.5 | 0.677 | 42.4 | 19.3 |
| AB17122018_slice_16 | 0.906 | 0.043 | 0.020 | 0.906 | 42.7 | 20.1 | 0.815 | 37.0 | 17.5 | 0.673 | 42.4 | 19.7 |
| AB17122018_slice_17 | 0.911 | 0.042 | 0.019 | 0.911 | 41.7 | 19.3 | 0.817 | 36.4 | 16.9 | 0.675 | 41.4 | 18.8 |
| AB17122018_slice_18 | 0.913 | 0.041 | 0.020 | 0.913 | 40.9 | 20.1 | 0.820 | 35.9 | 17.6 | 0.669 | 40.6 | 19.9 |
| AB17122018_slice_19 | 0.915 | 0.040 | 0.019 | 0.915 | 40.4 | 19.2 | 0.820 | 35.8 | 16.7 | 0.675 | 40.1 | 18.5 |
| AB17122018_slice_20 | 0.916 | 0.040 | 0.021 | 0.916 | 39.7 | 20.9 | 0.822 | 35.1 | 18.4 | 0.668 | 39.5 | 20.8 |
| AB17122018_slice_21 | 0.919 | 0.039 | 0.019 | 0.919 | 38.6 | 18.7 | 0.820 | 34.2 | 16.3 | 0.673 | 38.2 | 17.8 |
| AB17122018_slice_22 | 0.919 | 0.038 | 0.020 | 0.919 | 38.4 | 19.7 | 0.820 | 34.1 | 17.3 | 0.663 | 38.1 | 19.5 |
| AB17122018_slice_23 | 0.918 | 0.039 | 0.020 | 0.918 | 38.6 | 20.1 | 0.818 | 34.4 | 17.8 | 0.661 | 38.3 | 20.0 |
| AB17122018_slice_24 | 0.915 | 0.039 | 0.019 | 0.915 | 38.8 | 19.2 | 0.812 | 34.7 | 17.0 | 0.659 | 38.5 | 18.9 |
| AB17122018_slice_25 | 0.912 | 0.040 | 0.020 | 0.912 | 39.9 | 20.4 | 0.809 | 35.7 | 18.2 | 0.655 | 39.7 | 20.2 |
| AB17122018_slice_26 | 0.913 | 0.040 | 0.019 | 0.913 | 39.7 | 19.5 | 0.811 | 35.5 | 17.2 | 0.660 | 39.5 | 19.1 |
| AB17122018_slice_27 | 0.915 | 0.040 | 0.019 | 0.915 | 39.8 | 19.2 | 0.814 | 35.5 | 16.9 | 0.663 | 39.6 | 18.7 |
| AB17122018_slice_28 | 0.912 | 0.041 | 0.020 | 0.912 | 41.1 | 19.7 | 0.814 | 36.3 | 17.1 | 0.663 | 40.9 | 18.7 |
| AB17122018_slice_29 | 0.912 | 0.041 | 0.020 | 0.912 | 41.2 | 20.0 | 0.813 | 36.0 | 17.2 | 0.660 | 40.9 | 18.8 |
| AB17122018_slice_30 | 0.915 | 0.040 | 0.020 | 0.915 | 40.4 | 19.8 | 0.819 | 35.0 | 16.9 | 0.656 | 40.0 | 19.3 |
| AB17122018_slice_31 | 0.908 | 0.042 | 0.021 | 0.908 | 42.1 | 21.5 | 0.805 | 36.6 | 18.6 | 0.653 | 41.6 | 19.1 |
| AB17122018_slice_32 | 0.908 | 0.043 | 0.022 | 0.908 | 42.9 | 21.8 | 0.806 | 36.8 | 18.8 | 0.654 | 42.2 | 19.2 |
| AB17122018_slice_33 | 0.909 | 0.042 | 0.020 | 0.909 | 42.4 | 20.5 | 0.811 | 36.3 | 17.4 | 0.652 | 42.0 | 19.4 |
| AB17122018_slice_34 | 0.909 | 0.042 | 0.020 | 0.909 | 41.7 | 20.1 | 0.817 | 35.8 | 17.1 | 0.655 | 41.5 | 19.7 |
| AB17122018_slice_35 | 0.904 | 0.042 | 0.022 | 0.904 | 41.5 | 21.5 | 0.808 | 35.5 | 18.5 | 0.657 | 41.2 | 19.0 |
| AB17122018_slice_36 | 0.902 | 0.041 | 0.022 | 0.902 | 41.2 | 21.5 | 0.807 | 35.2 | 18.5 | 0.658 | 40.9 | 19.0 |
| AB17122018_slice_37 | 0.899 | 0.042 | 0.024 | 0.899 | 42.2 | 23.7 | 0.801 | 36.1 | 20.6 | 0.658 | 41.6 | 19.1 |
| AB17122018_slice_38 | 0.903 | 0.042 | 0.022 | 0.903 | 42.2 | 22.0 | 0.807 | 35.9 | 18.7 | 0.657 | 41.9 | 19.6 |
| AB17122018_slice_39 | 0.901 | 0.043 | 0.022 | 0.901 | 42.5 | 22.1 | 0.803 | 36.5 | 19.0 | 0.655 | 42.2 | 19.7 |
| AB17122018_slice_40 | 0.900 | 0.042 | 0.022 | 0.900 | 42.2 | 21.7 | 0.799 | 36.4 | 18.7 | 0.650 | 41.9 | 19.7 |
| AB17122018_slice_41 | 0.894 | 0.043 | 0.024 | 0.894 | 43.2 | 24.3 | 0.788 | 37.4 | 21.3 | 0.645 | 42.4 | 20.1 |
| AB17122018_slice_42 | 0.897 | 0.042 | 0.023 | 0.897 | 42.1 | 22.7 | 0.793 | 36.5 | 19.8 | 0.646 | 41.7 | 19.9 |
| AB17122018_slice_43 | 0.896 | 0.042 | 0.021 | 0.896 | 42.0 | 21.4 | 0.794 | 36.5 | 18.6 | 0.642 | 41.8 | 20.3 |
| AB17122018_slice_44 | 0.885 | 0.043 | 0.022 | 0.885 | 43.2 | 22.0 | 0.788 | 37.6 | 19.2 | 0.633 | 43.1 | 21.1 |
| AB17122018_slice_45 | 0.874 | 0.045 | 0.023 | 0.874 | 44.7 | 23.1 | 0.774 | 39.0 | 20.3 | 0.621 | 44.6 | 21.9 |
| AB17122018_slice_46 | 0.869 | 0.045 | 0.024 | 0.869 | 45.3 | 23.9 | 0.769 | 39.6 | 21.1 | 0.618 | 45.1 | 22.0 |
| AB17122018_slice_47 | 0.870 | 0.045 | 0.024 | 0.870 | 45.2 | 24.2 | 0.769 | 39.6 | 21.4 | 0.617 | 45.0 | 21.9 |
| AB17122018_slice_48 | 0.872 | 0.045 | 0.023 | 0.872 | 44.9 | 23.0 | 0.772 | 39.3 | 20.2 | 0.615 | 44.8 | 22.0 |
| AB17122018_slice_49 | 0.880 | 0.044 | 0.022 | 0.880 | 43.6 | 22.3 | 0.784 | 38.1 | 19.7 | 0.613 | 43.6 | 22.1 |
| AB17122018_slice_50 | 0.884 | 0.043 | 0.022 | 0.884 | 42.8 | 22.0 | 0.786 | 37.4 | 19.6 | 0.611 | 42.8 | 21.9 |
| AB17122018_slice_51 | 0.891 | 0.042 | 0.021 | 0.891 | 41.6 | 21.3 | 0.791 | 36.2 | 19.0 | 0.616 | 41.5 | 21.1 |
| AB17122018_slice_52 | 0.894 | 0.041 | 0.021 | 0.894 | 41.4 | 21.2 | 0.794 | 35.8 | 18.7 | 0.619 | 41.3 | 20.9 |
| AB17122018_slice_53 | 0.888 | 0.042 | 0.022 | 0.888 | 42.4 | 21.8 | 0.787 | 36.7 | 19.3 | 0.618 | 42.3 | 21.0 |
| AB17122018_slice_54 | 0.879 | 0.044 | 0.022 | 0.879 | 43.6 | 22.4 | 0.778 | 38.0 | 20.0 | 0.610 | 43.6 | 21.9 |
| AB17122018_slice_55 | 0.875 | 0.044 | 0.023 | 0.875 | 43.9 | 22.6 | 0.774 | 38.6 | 20.3 | 0.608 | 43.9 | 22.2 |
| AB17122018_slice_56 | 0.876 | 0.044 | 0.023 | 0.876 | 43.9 | 22.6 | 0.774 | 38.8 | 20.5 | 0.606 | 43.9 | 22.3 |
| AB17122018_slice_57 | 0.875 | 0.043 | 0.022 | 0.875 | 43.0 | 22.4 | 0.775 | 38.1 | 20.3 | 0.608 | 43.0 | 22.2 |
| AB17122018_slice_58 | 0.875 | 0.043 | 0.022 | 0.875 | 42.6 | 22.1 | 0.777 | 37.8 | 20.1 | 0.612 | 42.6 | 21.9 |
| AB17122018_slice_59 | 0.879 | 0.041 | 0.022 | 0.879 | 41.4 | 21.6 | 0.781 | 36.7 | 19.7 | 0.614 | 41.4 | 21.4 |
| AB17122018_slice_60 | 0.878 | 0.041 | 0.021 | 0.878 | 41.2 | 21.3 | 0.779 | 36.6 | 19.4 | 0.615 | 41.2 | 20.9 |
| AB17122018_slice_61 | 0.890 | 0.040 | 0.021 | 0.890 | 39.7 | 21.1 | 0.792 | 34.8 | 18.9 | 0.616 | 39.6 | 21.0 |
| AB17122018_slice_62 | 0.895 | 0.039 | 0.021 | 0.895 | 39.1 | 20.5 | 0.797 | 34.5 | 18.4 | 0.625 | 39.0 | 20.3 |
| AB17122018_slice_63 | 0.889 | 0.041 | 0.021 | 0.889 | 40.5 | 21.0 | 0.790 | 36.0 | 19.0 | 0.623 | 40.5 | 20.8 |
| AB17122018_slice_64 | 0.885 | 0.042 | 0.021 | 0.885 | 41.8 | 21.4 | 0.787 | 37.3 | 19.3 | 0.626 | 41.8 | 21.0 |
| AB17122018_slice_65 | 0.888 | 0.042 | 0.021 | 0.888 | 42.3 | 21.3 | 0.793 | 37.7 | 19.0 | 0.632 | 42.3 | 20.9 |
| AB17122018_slice_66 | 0.895 | 0.041 | 0.021 | 0.895 | 40.8 | 20.8 | 0.802 | 36.4 | 18.6 | 0.647 | 40.7 | 19.5 |
| AB17122018_slice_67 | 0.908 | 0.039 | 0.020 | 0.908 | 39.0 | 20.2 | 0.818 | 34.5 | 18.0 | 0.650 | 39.0 | 20.1 |
| AB17122018_slice_68 | 0.914 | 0.038 | 0.019 | 0.914 | 37.9 | 19.3 | 0.820 | 33.8 | 17.2 | 0.654 | 37.9 | 19.1 |
| AB17122018_slice_69 | 0.914 | 0.037 | 0.019 | 0.914 | 37.5 | 19.2 | 0.816 | 33.7 | 17.2 | 0.653 | 37.4 | 18.7 |
| AB17122018_slice_70 | 0.918 | 0.037 | 0.019 | 0.918 | 36.8 | 18.9 | 0.818 | 33.2 | 16.9 | 0.657 | 36.7 | 18.5 |
| AB17122018_slice_71 | 0.914 | 0.037 | 0.019 | 0.914 | 37.2 | 19.0 | 0.814 | 33.8 | 17.1 | 0.659 | 37.1 | 18.5 |
| AB17122018_slice_72 | 0.919 | 0.036 | 0.019 | 0.919 | 35.9 | 18.6 | 0.817 | 32.8 | 16.9 | 0.657 | 35.8 | 18.2 |
| AB17122018_slice_73 | 0.920 | 0.035 | 0.018 | 0.920 | 35.3 | 18.2 | 0.819 | 32.4 | 16.6 | 0.660 | 35.2 | 17.9 |
| AB17122018_slice_74 | 0.922 | 0.034 | 0.018 | 0.922 | 34.5 | 17.7 | 0.823 | 31.4 | 16.2 | 0.665 | 34.4 | 17.3 |
| AB17122018_slice_75 | 0.925 | 0.034 | 0.017 | 0.925 | 33.7 | 17.3 | 0.827 | 30.7 | 15.8 | 0.671 | 33.6 | 16.7 |
| AB17122018_slice_76 | 0.928 | 0.033 | 0.018 | 0.928 | 33.4 | 17.6 | 0.831 | 30.5 | 16.1 | 0.667 | 33.3 | 17.5 |
| AB17122018_slice_77 | 0.933 | 0.033 | 0.017 | 0.933 | 32.8 | 17.3 | 0.839 | 30.0 | 15.8 | 0.667 | 32.7 | 17.1 |
| AB17122018_slice_78 | 0.928 | 0.034 | 0.019 | 0.928 | 33.8 | 18.6 | 0.833 | 31.5 | 17.2 | 0.659 | 33.8 | 18.5 |
| AB17122018_slice_79 | 0.924 | 0.035 | 0.019 | 0.924 | 34.8 | 18.6 | 0.825 | 32.4 | 17.1 | 0.644 | 34.7 | 18.3 |
| AB17122018_slice_80 | 0.926 | 0.034 | 0.018 | 0.926 | 34.4 | 18.2 | 0.825 | 31.9 | 16.9 | 0.644 | 34.3 | 17.7 |
| AB17122018_slice_81 | 0.926 | 0.034 | 0.018 | 0.926 | 34.1 | 18.3 | 0.822 | 31.4 | 16.9 | 0.639 | 34.0 | 17.6 |
| AB17122018_slice_82 | 0.928 | 0.033 | 0.018 | 0.928 | 33.2 | 17.9 | 0.824 | 30.7 | 16.7 | 0.638 | 33.2 | 17.5 |
| AB17122018_slice_83 | 0.928 | 0.033 | 0.018 | 0.928 | 33.2 | 18.2 | 0.820 | 30.8 | 17.0 | 0.636 | 33.1 | 17.5 |
| AB17122018_slice_84 | 0.923 | 0.034 | 0.019 | 0.923 | 33.8 | 19.2 | 0.812 | 31.5 | 18.0 | 0.630 | 33.7 | 17.7 |
| AB17122018_slice_85 | 0.922 | 0.034 | 0.019 | 0.922 | 33.7 | 18.8 | 0.810 | 31.4 | 17.6 | 0.628 | 33.7 | 17.8 |
| AB17122018_slice_86 | 0.927 | 0.033 | 0.018 | 0.927 | 33.0 | 18.3 | 0.815 | 30.7 | 17.1 | 0.629 | 33.0 | 18.0 |
| AB17122018_slice_87 | 0.924 | 0.033 | 0.019 | 0.924 | 33.3 | 18.7 | 0.812 | 31.1 | 17.5 | 0.631 | 33.2 | 17.8 |
| AB17122018_slice_88 | 0.922 | 0.033 | 0.019 | 0.922 | 33.4 | 18.9 | 0.812 | 31.1 | 17.7 | 0.630 | 33.3 | 17.9 |
| AB17122018_slice_89 | 0.920 | 0.034 | 0.019 | 0.920 | 33.8 | 19.3 | 0.808 | 31.7 | 18.1 | 0.631 | 33.7 | 18.3 |
| AB17122018_slice_90 | 0.921 | 0.033 | 0.019 | 0.921 | 33.5 | 18.9 | 0.810 | 31.4 | 17.7 | 0.631 | 33.4 | 18.1 |
| AB17122018_slice_91 | 0.925 | 0.033 | 0.018 | 0.925 | 32.7 | 18.4 | 0.816 | 30.5 | 17.2 | 0.631 | 32.6 | 18.1 |
| AB17122018_slice_92 | 0.923 | 0.033 | 0.019 | 0.923 | 33.1 | 18.7 | 0.811 | 31.1 | 17.6 | 0.633 | 33.0 | 17.8 |
| AB17122018_slice_93 | 0.925 | 0.033 | 0.018 | 0.925 | 32.7 | 18.4 | 0.817 | 30.5 | 17.2 | 0.630 | 32.6 | 18.3 |
| AB17122018_slice_94 | 0.922 | 0.033 | 0.019 | 0.922 | 33.3 | 18.6 | 0.810 | 31.4 | 17.5 | 0.632 | 33.3 | 17.9 |
| AB17122018_slice_95 | 0.921 | 0.034 | 0.019 | 0.921 | 33.5 | 18.6 | 0.807 | 31.6 | 17.5 | 0.628 | 33.5 | 18.2 |
| AB17122018_slice_96 | 0.919 | 0.034 | 0.019 | 0.919 | 33.7 | 18.7 | 0.806 | 31.8 | 17.6 | 0.628 | 33.6 | 18.4 |
| AB17122018_slice_97 | 0.921 | 0.034 | 0.019 | 0.921 | 33.6 | 18.5 | 0.812 | 31.6 | 17.3 | 0.634 | 33.5 | 18.3 |
| AB17122018_slice_98 | 0.914 | 0.035 | 0.019 | 0.914 | 35.2 | 19.1 | 0.802 | 33.2 | 17.9 | 0.629 | 35.2 | 18.7 |
| AB17122018_slice_99 | 0.914 | 0.035 | 0.019 | 0.914 | 35.3 | 19.2 | 0.803 | 33.5 | 18.0 | 0.631 | 35.3 | 19.0 |
| AB17122018_slice_100 | 0.913 | 0.036 | 0.020 | 0.913 | 36.3 | 19.8 | 0.798 | 34.6 | 18.6 | 0.634 | 36.2 | 18.4 |
4Γ3 grid: Rows show different image types (Original NATIVE, Reconstructed NATIVE, Original VENOUS, Generated VENOUS), Columns show windowing techniques (No Window, Lung Window, Mediastinum Window)