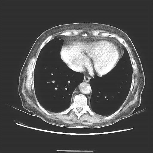
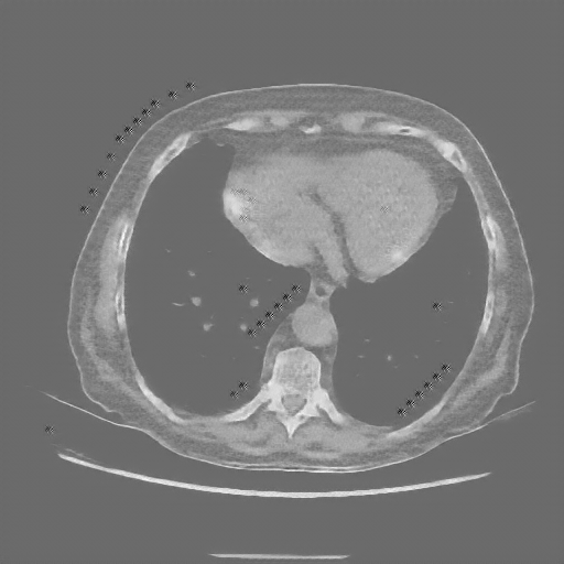
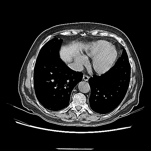
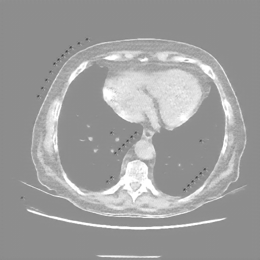
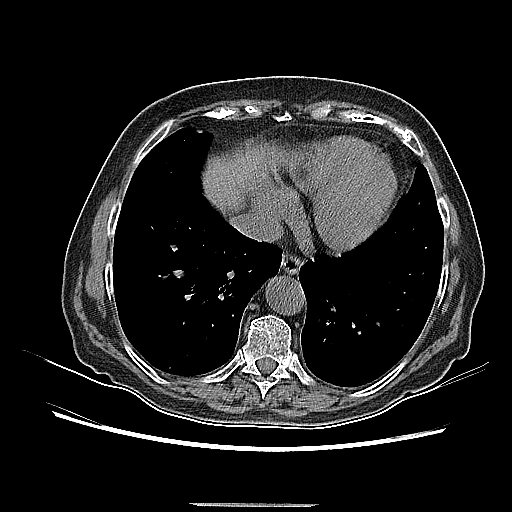
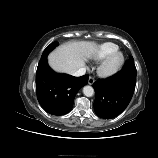
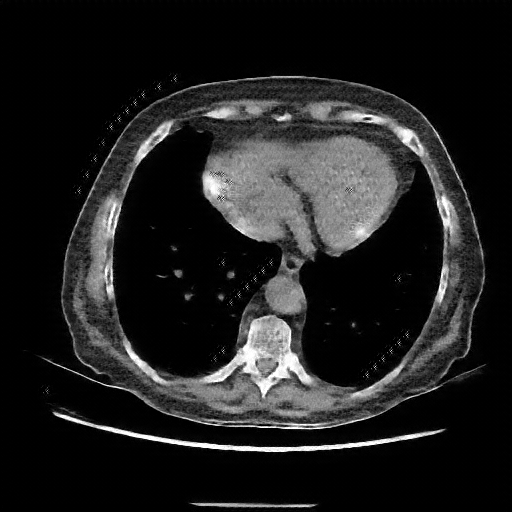
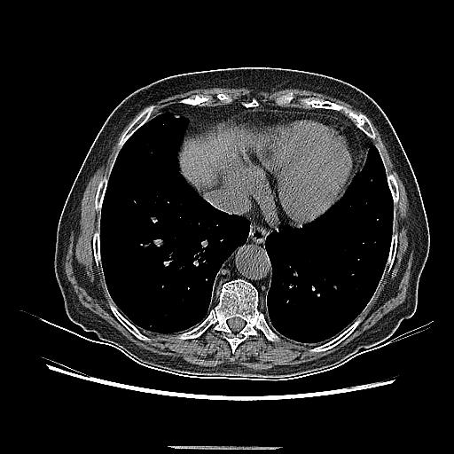
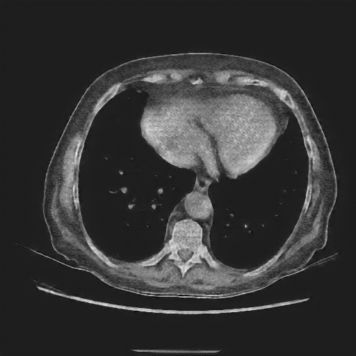
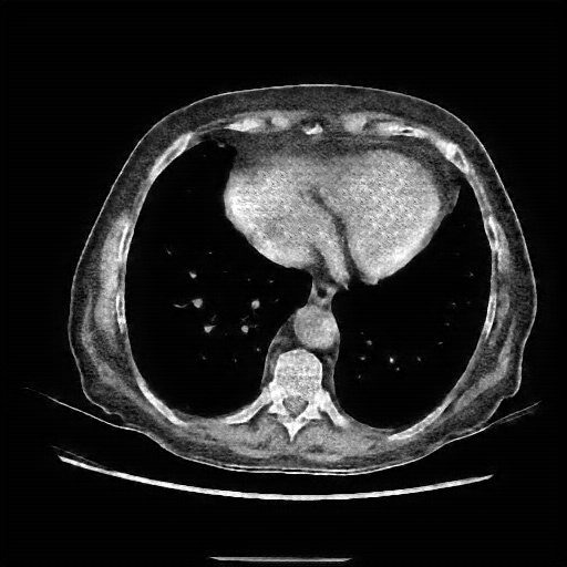
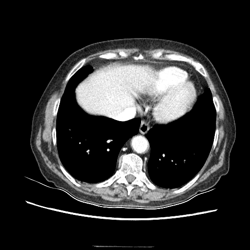
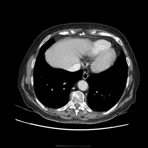
Slice 70 Targeting Evaluation
Patient ID: BC23122020
Model: cytran
Slice: Slice_70
Slice Thickness: 2.5mm
Conversion: NATIVE β VENOUS
Contains all 4 metric datasets: Network-Normalized, Hounsfield Units, Lung Window, and Mediastinum Window
| Slice ID | SSIM | RMSE | MAE | HU SSIM | HU RMSE | HU MAE | Lung SSIM | Lung RMSE | Lung MAE | Mediastinum SSIM | Mediastinum RMSE | Mediastinum MAE |
|---|---|---|---|---|---|---|---|---|---|---|---|---|
| BC23122020_slice_0 | 0.901 | 0.041 | 0.021 | 0.901 | 40.6 | 21.3 | 0.808 | 35.6 | 18.5 | 0.678 | 40.4 | 20.9 |
| BC23122020_slice_1 | 0.899 | 0.041 | 0.021 | 0.899 | 41.2 | 20.6 | 0.806 | 36.1 | 17.7 | 0.673 | 40.9 | 20.2 |
| BC23122020_slice_2 | 0.900 | 0.042 | 0.021 | 0.900 | 42.1 | 20.6 | 0.806 | 36.6 | 17.4 | 0.672 | 41.8 | 19.6 |
| BC23122020_slice_3 | 0.895 | 0.044 | 0.023 | 0.895 | 43.6 | 22.5 | 0.800 | 38.4 | 19.6 | 0.669 | 43.4 | 22.3 |
| BC23122020_slice_4 | 0.896 | 0.043 | 0.024 | 0.896 | 42.7 | 23.9 | 0.804 | 37.5 | 20.9 | 0.667 | 42.5 | 23.7 |
| BC23122020_slice_5 | 0.898 | 0.042 | 0.022 | 0.898 | 42.0 | 21.7 | 0.806 | 37.4 | 19.0 | 0.672 | 41.8 | 21.5 |
| BC23122020_slice_6 | 0.897 | 0.042 | 0.023 | 0.897 | 42.1 | 22.5 | 0.810 | 37.7 | 20.0 | 0.678 | 41.9 | 22.3 |
| BC23122020_slice_7 | 0.899 | 0.043 | 0.022 | 0.899 | 42.6 | 22.2 | 0.812 | 37.8 | 19.6 | 0.683 | 42.4 | 22.0 |
| BC23122020_slice_8 | 0.895 | 0.043 | 0.021 | 0.895 | 43.4 | 21.3 | 0.808 | 38.5 | 18.8 | 0.680 | 43.2 | 21.1 |
| BC23122020_slice_9 | 0.891 | 0.044 | 0.024 | 0.891 | 43.9 | 24.0 | 0.804 | 39.0 | 21.4 | 0.674 | 43.7 | 23.9 |
| BC23122020_slice_10 | 0.890 | 0.044 | 0.022 | 0.890 | 44.5 | 21.8 | 0.802 | 39.3 | 19.1 | 0.671 | 44.3 | 21.6 |
| BC23122020_slice_11 | 0.897 | 0.043 | 0.023 | 0.897 | 43.4 | 22.6 | 0.812 | 38.2 | 19.7 | 0.676 | 43.2 | 22.4 |
| BC23122020_slice_12 | 0.900 | 0.043 | 0.022 | 0.900 | 42.7 | 22.1 | 0.814 | 37.6 | 19.3 | 0.675 | 42.5 | 21.9 |
| BC23122020_slice_13 | 0.898 | 0.043 | 0.021 | 0.898 | 43.0 | 21.1 | 0.813 | 38.1 | 18.4 | 0.679 | 42.8 | 20.8 |
| BC23122020_slice_14 | 0.901 | 0.044 | 0.021 | 0.901 | 43.7 | 20.6 | 0.817 | 37.9 | 17.7 | 0.687 | 43.5 | 19.7 |
| BC23122020_slice_15 | 0.900 | 0.044 | 0.022 | 0.900 | 43.6 | 21.9 | 0.817 | 38.0 | 18.8 | 0.680 | 43.5 | 21.6 |
| BC23122020_slice_16 | 0.903 | 0.044 | 0.021 | 0.903 | 43.7 | 21.4 | 0.822 | 37.8 | 18.4 | 0.686 | 43.6 | 21.1 |
| BC23122020_slice_17 | 0.898 | 0.045 | 0.022 | 0.898 | 44.5 | 22.1 | 0.816 | 38.9 | 19.1 | 0.680 | 44.4 | 21.9 |
| BC23122020_slice_18 | 0.893 | 0.046 | 0.023 | 0.893 | 45.8 | 23.4 | 0.811 | 40.5 | 20.6 | 0.672 | 45.7 | 23.3 |
| BC23122020_slice_19 | 0.893 | 0.046 | 0.024 | 0.893 | 45.6 | 24.3 | 0.810 | 40.6 | 21.6 | 0.670 | 45.5 | 24.1 |
| BC23122020_slice_20 | 0.897 | 0.044 | 0.023 | 0.897 | 44.2 | 23.5 | 0.813 | 39.4 | 20.9 | 0.673 | 44.1 | 23.3 |
| BC23122020_slice_21 | 0.898 | 0.044 | 0.024 | 0.898 | 44.1 | 24.0 | 0.815 | 39.2 | 21.3 | 0.672 | 44.0 | 23.9 |
| BC23122020_slice_22 | 0.905 | 0.043 | 0.021 | 0.905 | 42.9 | 21.2 | 0.821 | 38.0 | 18.4 | 0.678 | 42.8 | 20.8 |
| BC23122020_slice_23 | 0.909 | 0.042 | 0.021 | 0.909 | 42.0 | 21.4 | 0.827 | 36.8 | 18.6 | 0.680 | 41.9 | 21.3 |
| BC23122020_slice_24 | 0.914 | 0.041 | 0.020 | 0.914 | 41.4 | 20.3 | 0.835 | 35.8 | 17.3 | 0.688 | 41.3 | 20.1 |
| BC23122020_slice_25 | 0.912 | 0.042 | 0.020 | 0.912 | 41.7 | 20.0 | 0.831 | 36.4 | 17.1 | 0.690 | 41.6 | 19.3 |
| BC23122020_slice_26 | 0.906 | 0.042 | 0.022 | 0.906 | 41.9 | 22.3 | 0.824 | 37.0 | 19.5 | 0.679 | 41.9 | 22.2 |
| BC23122020_slice_27 | 0.906 | 0.041 | 0.020 | 0.906 | 41.4 | 20.5 | 0.819 | 36.6 | 17.8 | 0.672 | 41.4 | 20.2 |
| BC23122020_slice_28 | 0.906 | 0.042 | 0.021 | 0.906 | 41.8 | 21.5 | 0.818 | 37.2 | 18.9 | 0.672 | 41.7 | 21.4 |
| BC23122020_slice_29 | 0.905 | 0.043 | 0.021 | 0.905 | 42.7 | 21.0 | 0.819 | 37.5 | 18.3 | 0.674 | 42.6 | 20.8 |
| BC23122020_slice_30 | 0.899 | 0.044 | 0.022 | 0.899 | 44.2 | 21.7 | 0.815 | 39.1 | 18.9 | 0.667 | 44.1 | 21.6 |
| BC23122020_slice_31 | 0.895 | 0.046 | 0.022 | 0.895 | 45.9 | 22.3 | 0.812 | 40.5 | 19.3 | 0.665 | 45.8 | 22.1 |
| BC23122020_slice_32 | 0.894 | 0.048 | 0.023 | 0.894 | 47.7 | 22.9 | 0.812 | 42.1 | 19.7 | 0.666 | 47.6 | 22.7 |
| BC23122020_slice_33 | 0.894 | 0.048 | 0.023 | 0.894 | 48.3 | 22.8 | 0.814 | 42.4 | 19.5 | 0.669 | 48.2 | 22.6 |
| BC23122020_slice_34 | 0.893 | 0.048 | 0.024 | 0.893 | 47.9 | 23.8 | 0.814 | 42.5 | 20.7 | 0.667 | 47.9 | 23.7 |
| BC23122020_slice_35 | 0.892 | 0.048 | 0.023 | 0.892 | 48.4 | 23.3 | 0.808 | 43.4 | 20.4 | 0.677 | 48.1 | 21.2 |
| BC23122020_slice_36 | 0.887 | 0.049 | 0.023 | 0.887 | 48.9 | 23.4 | 0.802 | 44.1 | 20.5 | 0.663 | 48.8 | 23.1 |
| BC23122020_slice_37 | 0.884 | 0.051 | 0.024 | 0.884 | 50.5 | 24.1 | 0.797 | 45.5 | 21.0 | 0.656 | 50.4 | 23.7 |
| BC23122020_slice_38 | 0.882 | 0.051 | 0.024 | 0.882 | 51.0 | 24.4 | 0.795 | 45.9 | 21.3 | 0.655 | 50.9 | 24.0 |
| BC23122020_slice_39 | 0.882 | 0.051 | 0.025 | 0.882 | 50.6 | 25.2 | 0.794 | 45.5 | 22.1 | 0.649 | 50.5 | 25.1 |
| BC23122020_slice_40 | 0.881 | 0.050 | 0.024 | 0.881 | 49.9 | 24.1 | 0.793 | 45.0 | 21.1 | 0.653 | 49.8 | 23.7 |
| BC23122020_slice_41 | 0.880 | 0.052 | 0.025 | 0.880 | 51.5 | 24.6 | 0.791 | 46.1 | 21.4 | 0.655 | 51.4 | 23.5 |
| BC23122020_slice_42 | 0.876 | 0.052 | 0.025 | 0.876 | 51.7 | 25.2 | 0.791 | 46.3 | 21.9 | 0.652 | 51.6 | 25.0 |
| BC23122020_slice_43 | 0.875 | 0.051 | 0.025 | 0.875 | 51.3 | 24.7 | 0.788 | 46.0 | 21.6 | 0.654 | 51.2 | 24.3 |
| BC23122020_slice_44 | 0.874 | 0.051 | 0.027 | 0.874 | 51.4 | 26.8 | 0.787 | 46.5 | 23.9 | 0.649 | 51.4 | 26.8 |
| BC23122020_slice_45 | 0.876 | 0.051 | 0.025 | 0.876 | 51.4 | 24.8 | 0.786 | 46.5 | 21.9 | 0.650 | 51.3 | 24.4 |
| BC23122020_slice_46 | 0.876 | 0.050 | 0.025 | 0.876 | 50.4 | 25.2 | 0.787 | 45.5 | 22.1 | 0.646 | 50.4 | 25.0 |
| BC23122020_slice_47 | 0.873 | 0.051 | 0.025 | 0.873 | 50.8 | 24.6 | 0.783 | 46.1 | 21.7 | 0.648 | 50.6 | 24.0 |
| BC23122020_slice_48 | 0.864 | 0.052 | 0.025 | 0.864 | 52.2 | 25.4 | 0.774 | 47.7 | 22.5 | 0.642 | 52.1 | 24.8 |
| BC23122020_slice_49 | 0.857 | 0.055 | 0.027 | 0.857 | 54.6 | 26.8 | 0.767 | 50.1 | 23.9 | 0.642 | 54.5 | 25.4 |
| BC23122020_slice_50 | 0.859 | 0.055 | 0.027 | 0.859 | 54.7 | 27.2 | 0.768 | 50.4 | 24.4 | 0.629 | 54.6 | 27.0 |
| BC23122020_slice_51 | 0.860 | 0.055 | 0.027 | 0.860 | 55.0 | 27.2 | 0.772 | 50.6 | 24.4 | 0.634 | 54.9 | 27.1 |
| BC23122020_slice_52 | 0.865 | 0.054 | 0.027 | 0.865 | 54.2 | 26.9 | 0.778 | 49.6 | 24.0 | 0.635 | 54.2 | 26.8 |
| BC23122020_slice_53 | 0.869 | 0.053 | 0.026 | 0.869 | 52.9 | 25.9 | 0.779 | 48.7 | 23.3 | 0.637 | 52.8 | 25.8 |
| BC23122020_slice_54 | 0.876 | 0.050 | 0.025 | 0.876 | 50.2 | 24.8 | 0.785 | 46.2 | 22.2 | 0.642 | 50.1 | 24.7 |
| BC23122020_slice_55 | 0.877 | 0.050 | 0.025 | 0.877 | 50.2 | 24.7 | 0.784 | 45.8 | 22.0 | 0.639 | 50.1 | 24.5 |
| BC23122020_slice_56 | 0.877 | 0.051 | 0.024 | 0.877 | 50.9 | 24.3 | 0.785 | 46.4 | 21.5 | 0.642 | 50.8 | 23.9 |
| BC23122020_slice_57 | 0.881 | 0.051 | 0.024 | 0.881 | 50.7 | 24.5 | 0.790 | 46.0 | 21.5 | 0.642 | 50.7 | 24.2 |
| BC23122020_slice_58 | 0.888 | 0.050 | 0.025 | 0.888 | 49.5 | 24.9 | 0.802 | 44.5 | 21.8 | 0.652 | 49.4 | 24.8 |
| BC23122020_slice_59 | 0.889 | 0.050 | 0.023 | 0.889 | 50.0 | 23.4 | 0.805 | 44.4 | 20.1 | 0.663 | 49.9 | 23.0 |
| BC23122020_slice_60 | 0.888 | 0.050 | 0.023 | 0.888 | 49.8 | 23.4 | 0.802 | 44.5 | 20.2 | 0.661 | 49.7 | 23.0 |
| BC23122020_slice_61 | 0.890 | 0.050 | 0.023 | 0.890 | 49.6 | 23.0 | 0.804 | 44.3 | 19.9 | 0.669 | 49.4 | 22.4 |
| BC23122020_slice_62 | 0.890 | 0.049 | 0.022 | 0.890 | 49.0 | 22.5 | 0.802 | 43.9 | 19.5 | 0.670 | 48.8 | 21.6 |
| BC23122020_slice_63 | 0.894 | 0.047 | 0.022 | 0.894 | 47.3 | 22.0 | 0.807 | 42.9 | 19.3 | 0.671 | 47.2 | 21.7 |
| BC23122020_slice_64 | 0.897 | 0.046 | 0.023 | 0.897 | 45.9 | 23.2 | 0.812 | 41.6 | 20.6 | 0.675 | 45.7 | 23.1 |
| BC23122020_slice_65 | 0.896 | 0.047 | 0.022 | 0.896 | 46.9 | 21.6 | 0.808 | 42.9 | 19.1 | 0.684 | 46.6 | 20.3 |
| BC23122020_slice_66 | 0.884 | 0.049 | 0.025 | 0.884 | 49.5 | 24.7 | 0.797 | 46.0 | 22.4 | 0.666 | 49.4 | 24.6 |
| BC23122020_slice_67 | 0.874 | 0.054 | 0.024 | 0.874 | 53.7 | 23.9 | 0.787 | 50.5 | 21.7 | 0.667 | 53.5 | 23.5 |
| BC23122020_slice_68 | 0.863 | 0.057 | 0.025 | 0.863 | 57.2 | 25.2 | 0.780 | 54.1 | 23.1 | 0.667 | 57.1 | 24.8 |
| BC23122020_slice_69 | 0.857 | 0.058 | 0.026 | 0.857 | 58.1 | 26.2 | 0.774 | 55.1 | 24.3 | 0.662 | 58.0 | 26.0 |
| BC23122020_slice_70 | 0.863 | 0.057 | 0.026 | 0.863 | 56.8 | 25.7 | 0.782 | 53.6 | 23.6 | 0.666 | 56.7 | 25.5 |
| BC23122020_slice_71 | 0.863 | 0.057 | 0.026 | 0.863 | 56.8 | 25.6 | 0.782 | 53.4 | 23.4 | 0.667 | 56.6 | 25.4 |
| BC23122020_slice_72 | 0.852 | 0.058 | 0.026 | 0.852 | 58.2 | 26.2 | 0.769 | 54.9 | 24.0 | 0.657 | 58.0 | 26.0 |
| BC23122020_slice_73 | 0.857 | 0.057 | 0.026 | 0.857 | 56.9 | 25.8 | 0.768 | 53.9 | 23.7 | 0.649 | 56.7 | 25.6 |
| BC23122020_slice_74 | 0.854 | 0.057 | 0.025 | 0.854 | 57.0 | 25.4 | 0.762 | 54.3 | 23.5 | 0.642 | 56.9 | 25.2 |
| BC23122020_slice_75 | 0.846 | 0.058 | 0.027 | 0.846 | 57.8 | 26.7 | 0.749 | 55.4 | 24.9 | 0.631 | 57.8 | 26.5 |
| BC23122020_slice_76 | 0.841 | 0.059 | 0.028 | 0.841 | 58.6 | 28.1 | 0.737 | 56.2 | 26.3 | 0.617 | 58.5 | 28.0 |
| BC23122020_slice_77 | 0.838 | 0.060 | 0.027 | 0.838 | 59.7 | 27.0 | 0.731 | 57.4 | 25.3 | 0.613 | 59.6 | 26.8 |
| BC23122020_slice_78 | 0.833 | 0.060 | 0.027 | 0.833 | 60.4 | 27.1 | 0.722 | 58.2 | 25.6 | 0.607 | 60.3 | 26.6 |
| BC23122020_slice_79 | 0.832 | 0.060 | 0.027 | 0.832 | 60.4 | 27.3 | 0.721 | 58.3 | 25.9 | 0.603 | 60.3 | 27.1 |
| BC23122020_slice_80 | 0.826 | 0.061 | 0.029 | 0.826 | 60.9 | 29.5 | 0.715 | 58.7 | 28.0 | 0.594 | 60.8 | 29.4 |
| BC23122020_slice_81 | 0.830 | 0.061 | 0.029 | 0.830 | 61.0 | 29.0 | 0.715 | 58.8 | 27.6 | 0.588 | 60.9 | 29.0 |
| BC23122020_slice_82 | 0.833 | 0.061 | 0.029 | 0.833 | 60.6 | 28.5 | 0.716 | 58.5 | 27.0 | 0.584 | 60.6 | 28.4 |
| BC23122020_slice_83 | 0.840 | 0.060 | 0.028 | 0.840 | 60.4 | 28.3 | 0.722 | 58.1 | 26.7 | 0.583 | 60.3 | 28.2 |
| BC23122020_slice_84 | 0.844 | 0.059 | 0.028 | 0.844 | 59.3 | 27.6 | 0.723 | 57.2 | 26.1 | 0.583 | 59.3 | 27.3 |
| BC23122020_slice_85 | 0.849 | 0.058 | 0.028 | 0.849 | 57.9 | 27.5 | 0.728 | 55.8 | 26.0 | 0.580 | 57.9 | 27.4 |
| BC23122020_slice_86 | 0.854 | 0.056 | 0.027 | 0.854 | 56.1 | 26.9 | 0.732 | 54.1 | 25.4 | 0.582 | 56.1 | 26.7 |
| BC23122020_slice_87 | 0.858 | 0.054 | 0.027 | 0.858 | 54.5 | 27.1 | 0.738 | 52.4 | 25.6 | 0.585 | 54.5 | 27.0 |
| BC23122020_slice_88 | 0.857 | 0.054 | 0.026 | 0.857 | 54.0 | 26.1 | 0.735 | 51.9 | 24.7 | 0.587 | 53.9 | 25.5 |
| BC23122020_slice_89 | 0.854 | 0.054 | 0.027 | 0.854 | 53.8 | 26.8 | 0.733 | 51.5 | 25.4 | 0.579 | 53.8 | 26.7 |
| BC23122020_slice_90 | 0.855 | 0.053 | 0.026 | 0.855 | 53.2 | 26.1 | 0.733 | 51.1 | 24.7 | 0.584 | 53.1 | 25.6 |
| BC23122020_slice_91 | 0.856 | 0.052 | 0.026 | 0.856 | 52.4 | 25.9 | 0.736 | 50.2 | 24.5 | 0.584 | 52.4 | 25.6 |
| BC23122020_slice_92 | 0.857 | 0.051 | 0.026 | 0.857 | 51.4 | 26.2 | 0.738 | 49.2 | 24.8 | 0.579 | 51.4 | 26.1 |
| BC23122020_slice_93 | 0.852 | 0.052 | 0.026 | 0.852 | 52.2 | 26.1 | 0.733 | 49.9 | 24.7 | 0.581 | 52.2 | 25.9 |
| BC23122020_slice_94 | 0.849 | 0.053 | 0.027 | 0.849 | 52.7 | 26.6 | 0.730 | 50.1 | 25.1 | 0.580 | 52.7 | 26.5 |
| BC23122020_slice_95 | 0.842 | 0.054 | 0.028 | 0.842 | 54.2 | 27.9 | 0.723 | 51.1 | 26.2 | 0.577 | 54.2 | 27.8 |
| BC23122020_slice_96 | 0.837 | 0.054 | 0.028 | 0.837 | 54.2 | 27.7 | 0.719 | 51.0 | 25.9 | 0.579 | 54.2 | 27.4 |
| BC23122020_slice_97 | 0.843 | 0.052 | 0.028 | 0.843 | 52.4 | 27.9 | 0.726 | 49.2 | 26.2 | 0.580 | 52.4 | 27.9 |
| BC23122020_slice_98 | 0.846 | 0.051 | 0.027 | 0.846 | 51.3 | 26.8 | 0.728 | 48.2 | 25.0 | 0.584 | 51.3 | 26.6 |
| BC23122020_slice_99 | 0.845 | 0.051 | 0.028 | 0.845 | 50.6 | 28.0 | 0.728 | 47.7 | 26.4 | 0.580 | 50.6 | 28.0 |
| BC23122020_slice_100 | 0.848 | 0.050 | 0.026 | 0.848 | 50.1 | 26.3 | 0.731 | 47.1 | 24.7 | 0.587 | 50.1 | 26.1 |
| BC23122020_slice_101 | 0.846 | 0.050 | 0.026 | 0.846 | 50.3 | 26.1 | 0.732 | 47.2 | 24.4 | 0.593 | 50.3 | 25.7 |
| BC23122020_slice_102 | 0.844 | 0.051 | 0.027 | 0.844 | 50.8 | 26.8 | 0.730 | 47.7 | 25.1 | 0.592 | 50.8 | 26.6 |
| BC23122020_slice_103 | 0.839 | 0.051 | 0.027 | 0.839 | 51.4 | 26.8 | 0.728 | 48.2 | 25.0 | 0.598 | 51.4 | 26.6 |
| BC23122020_slice_104 | 0.842 | 0.051 | 0.027 | 0.842 | 50.9 | 26.7 | 0.730 | 47.4 | 24.8 | 0.599 | 50.8 | 26.5 |
| BC23122020_slice_105 | 0.850 | 0.049 | 0.026 | 0.850 | 49.1 | 25.6 | 0.735 | 45.7 | 23.7 | 0.602 | 49.0 | 25.2 |
| BC23122020_slice_106 | 0.852 | 0.049 | 0.026 | 0.852 | 48.8 | 25.6 | 0.735 | 45.6 | 23.8 | 0.605 | 48.7 | 24.3 |
4Γ3 grid: Rows show different image types (Original NATIVE, Reconstructed NATIVE, Original VENOUS, Generated VENOUS), Columns show windowing techniques (No Window, Lung Window, Mediastinum Window)