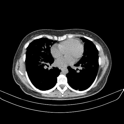
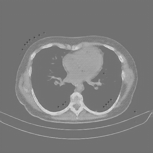
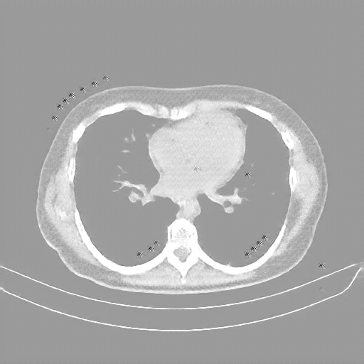
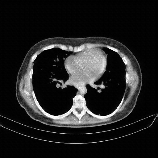
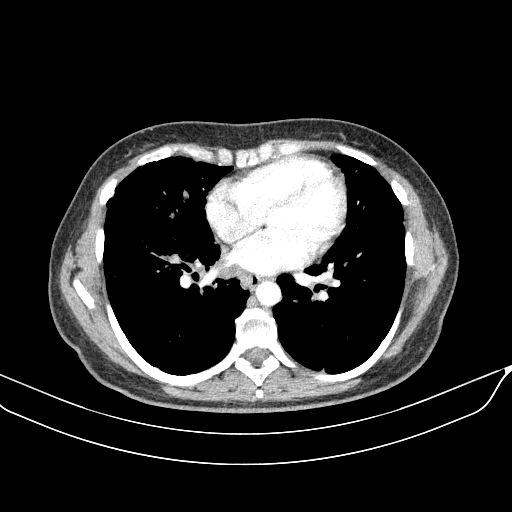
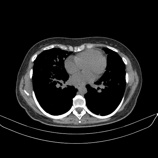
Slice 70 Targeting Evaluation
Patient ID: BM26032018
Model: cytran
Slice: Slice_70
Slice Thickness: 2.0mm
Conversion: NATIVE β VENOUS
Contains all 4 metric datasets: Network-Normalized, Hounsfield Units, Lung Window, and Mediastinum Window
| Slice ID | SSIM | RMSE | MAE | HU SSIM | HU RMSE | HU MAE | Lung SSIM | Lung RMSE | Lung MAE | Mediastinum SSIM | Mediastinum RMSE | Mediastinum MAE |
|---|---|---|---|---|---|---|---|---|---|---|---|---|
| BM26032018_slice_0 | 0.899 | 0.045 | 0.020 | 0.899 | 44.5 | 19.7 | 0.819 | 39.2 | 17.2 | 0.696 | 44.2 | 19.3 |
| BM26032018_slice_1 | 0.897 | 0.044 | 0.020 | 0.897 | 44.2 | 19.7 | 0.817 | 39.4 | 17.5 | 0.694 | 43.9 | 19.2 |
| BM26032018_slice_2 | 0.896 | 0.045 | 0.021 | 0.896 | 45.1 | 20.5 | 0.815 | 40.0 | 18.3 | 0.689 | 44.8 | 20.2 |
| BM26032018_slice_3 | 0.893 | 0.047 | 0.021 | 0.893 | 46.7 | 20.8 | 0.814 | 41.0 | 18.3 | 0.693 | 46.4 | 20.4 |
| BM26032018_slice_4 | 0.891 | 0.048 | 0.021 | 0.891 | 48.5 | 21.4 | 0.815 | 41.7 | 18.5 | 0.694 | 48.1 | 20.9 |
| BM26032018_slice_5 | 0.888 | 0.051 | 0.022 | 0.888 | 50.7 | 21.8 | 0.812 | 43.1 | 18.7 | 0.693 | 50.3 | 21.3 |
| BM26032018_slice_6 | 0.888 | 0.050 | 0.022 | 0.888 | 50.1 | 21.6 | 0.813 | 42.8 | 18.6 | 0.694 | 49.8 | 21.1 |
| BM26032018_slice_7 | 0.892 | 0.049 | 0.021 | 0.892 | 48.8 | 20.8 | 0.815 | 41.9 | 18.0 | 0.696 | 48.4 | 20.3 |
| BM26032018_slice_8 | 0.897 | 0.047 | 0.020 | 0.897 | 47.0 | 19.7 | 0.820 | 40.6 | 17.1 | 0.699 | 46.6 | 19.0 |
| BM26032018_slice_9 | 0.904 | 0.045 | 0.019 | 0.904 | 44.6 | 18.8 | 0.826 | 39.1 | 16.5 | 0.705 | 44.2 | 18.1 |
| BM26032018_slice_10 | 0.908 | 0.043 | 0.018 | 0.908 | 43.5 | 18.4 | 0.830 | 38.4 | 16.2 | 0.713 | 43.0 | 17.2 |
| BM26032018_slice_11 | 0.909 | 0.044 | 0.018 | 0.909 | 43.7 | 18.2 | 0.831 | 38.5 | 16.1 | 0.712 | 43.2 | 17.4 |
| BM26032018_slice_12 | 0.912 | 0.044 | 0.018 | 0.912 | 43.9 | 18.0 | 0.835 | 38.4 | 15.8 | 0.715 | 43.3 | 17.0 |
| BM26032018_slice_13 | 0.910 | 0.045 | 0.018 | 0.910 | 44.9 | 18.2 | 0.834 | 39.1 | 16.0 | 0.716 | 44.2 | 17.3 |
| BM26032018_slice_14 | 0.908 | 0.045 | 0.018 | 0.908 | 45.3 | 18.4 | 0.833 | 39.8 | 16.2 | 0.717 | 44.8 | 17.6 |
| BM26032018_slice_15 | 0.908 | 0.046 | 0.019 | 0.908 | 45.6 | 18.6 | 0.835 | 39.9 | 16.3 | 0.720 | 45.0 | 17.7 |
| BM26032018_slice_16 | 0.912 | 0.045 | 0.018 | 0.912 | 44.8 | 18.0 | 0.839 | 39.2 | 15.8 | 0.723 | 44.4 | 17.3 |
| BM26032018_slice_17 | 0.910 | 0.045 | 0.018 | 0.910 | 45.0 | 18.2 | 0.837 | 39.3 | 16.0 | 0.722 | 44.4 | 17.4 |
| BM26032018_slice_18 | 0.911 | 0.045 | 0.019 | 0.911 | 44.9 | 18.5 | 0.839 | 39.3 | 16.3 | 0.727 | 44.3 | 17.0 |
| BM26032018_slice_19 | 0.912 | 0.045 | 0.019 | 0.912 | 44.8 | 18.5 | 0.841 | 39.0 | 16.3 | 0.723 | 44.3 | 18.1 |
| BM26032018_slice_20 | 0.912 | 0.045 | 0.018 | 0.912 | 45.5 | 18.3 | 0.841 | 39.6 | 16.1 | 0.726 | 45.0 | 17.8 |
| BM26032018_slice_21 | 0.911 | 0.046 | 0.018 | 0.911 | 45.8 | 18.4 | 0.839 | 39.8 | 16.2 | 0.724 | 45.2 | 17.9 |
| BM26032018_slice_22 | 0.913 | 0.046 | 0.018 | 0.913 | 45.5 | 17.9 | 0.841 | 39.4 | 15.6 | 0.731 | 44.9 | 16.9 |
| BM26032018_slice_23 | 0.911 | 0.046 | 0.018 | 0.911 | 45.6 | 18.0 | 0.838 | 39.7 | 15.8 | 0.727 | 45.0 | 17.2 |
| BM26032018_slice_24 | 0.913 | 0.045 | 0.018 | 0.913 | 45.4 | 17.9 | 0.840 | 39.5 | 15.7 | 0.733 | 44.8 | 16.3 |
| BM26032018_slice_25 | 0.911 | 0.045 | 0.018 | 0.911 | 45.5 | 18.0 | 0.838 | 39.7 | 15.9 | 0.732 | 44.9 | 16.9 |
| BM26032018_slice_26 | 0.910 | 0.045 | 0.018 | 0.910 | 45.2 | 18.0 | 0.837 | 39.7 | 15.9 | 0.728 | 44.7 | 17.3 |
| BM26032018_slice_27 | 0.910 | 0.045 | 0.018 | 0.910 | 44.8 | 18.1 | 0.838 | 39.5 | 16.1 | 0.724 | 44.3 | 17.6 |
| BM26032018_slice_28 | 0.911 | 0.044 | 0.018 | 0.911 | 44.5 | 17.9 | 0.839 | 39.3 | 15.9 | 0.728 | 44.0 | 17.3 |
| BM26032018_slice_29 | 0.911 | 0.045 | 0.018 | 0.911 | 44.7 | 18.0 | 0.840 | 39.5 | 16.0 | 0.727 | 44.3 | 17.6 |
| BM26032018_slice_30 | 0.912 | 0.045 | 0.018 | 0.912 | 45.4 | 18.0 | 0.841 | 39.9 | 15.9 | 0.734 | 44.9 | 17.1 |
| BM26032018_slice_31 | 0.911 | 0.046 | 0.019 | 0.911 | 45.6 | 18.5 | 0.840 | 39.9 | 16.3 | 0.725 | 45.1 | 18.1 |
| BM26032018_slice_32 | 0.912 | 0.046 | 0.018 | 0.912 | 45.8 | 18.2 | 0.839 | 40.0 | 16.0 | 0.726 | 45.3 | 17.8 |
| BM26032018_slice_33 | 0.911 | 0.046 | 0.018 | 0.911 | 46.2 | 17.9 | 0.838 | 40.4 | 15.8 | 0.731 | 45.7 | 17.1 |
| BM26032018_slice_34 | 0.911 | 0.046 | 0.018 | 0.911 | 45.9 | 18.2 | 0.837 | 40.1 | 16.0 | 0.726 | 45.4 | 17.7 |
| BM26032018_slice_35 | 0.910 | 0.045 | 0.018 | 0.910 | 45.5 | 17.9 | 0.834 | 40.0 | 15.8 | 0.729 | 45.0 | 17.0 |
| BM26032018_slice_36 | 0.907 | 0.046 | 0.018 | 0.907 | 45.5 | 18.4 | 0.833 | 40.4 | 16.4 | 0.723 | 45.1 | 18.0 |
| BM26032018_slice_37 | 0.908 | 0.045 | 0.018 | 0.908 | 45.5 | 18.1 | 0.835 | 40.5 | 16.1 | 0.732 | 45.0 | 17.1 |
| BM26032018_slice_38 | 0.911 | 0.045 | 0.018 | 0.911 | 45.0 | 18.2 | 0.838 | 40.3 | 16.1 | 0.737 | 44.5 | 16.5 |
| BM26032018_slice_39 | 0.908 | 0.045 | 0.018 | 0.908 | 45.1 | 18.2 | 0.836 | 40.3 | 16.1 | 0.729 | 44.7 | 17.3 |
| BM26032018_slice_40 | 0.909 | 0.046 | 0.019 | 0.909 | 45.5 | 18.8 | 0.836 | 40.5 | 16.7 | 0.735 | 44.9 | 16.8 |
| BM26032018_slice_41 | 0.910 | 0.046 | 0.018 | 0.910 | 45.9 | 18.3 | 0.837 | 40.4 | 16.1 | 0.735 | 45.3 | 16.8 |
| BM26032018_slice_42 | 0.908 | 0.047 | 0.019 | 0.908 | 46.6 | 18.6 | 0.836 | 40.6 | 16.2 | 0.735 | 45.9 | 17.2 |
| BM26032018_slice_43 | 0.908 | 0.047 | 0.019 | 0.908 | 46.7 | 18.5 | 0.836 | 40.5 | 16.0 | 0.733 | 46.1 | 17.5 |
| BM26032018_slice_44 | 0.907 | 0.047 | 0.019 | 0.907 | 46.9 | 18.6 | 0.835 | 40.6 | 16.1 | 0.734 | 46.3 | 17.6 |
| BM26032018_slice_45 | 0.908 | 0.046 | 0.018 | 0.908 | 46.5 | 18.4 | 0.836 | 40.3 | 15.9 | 0.734 | 45.9 | 17.5 |
| BM26032018_slice_46 | 0.907 | 0.046 | 0.019 | 0.907 | 46.3 | 18.9 | 0.836 | 40.4 | 16.4 | 0.730 | 45.9 | 18.4 |
| BM26032018_slice_47 | 0.912 | 0.044 | 0.018 | 0.912 | 44.3 | 18.0 | 0.843 | 38.8 | 15.6 | 0.738 | 43.8 | 17.5 |
| BM26032018_slice_48 | 0.914 | 0.044 | 0.018 | 0.914 | 44.1 | 17.8 | 0.845 | 38.9 | 15.5 | 0.741 | 43.7 | 17.1 |
| BM26032018_slice_49 | 0.914 | 0.044 | 0.018 | 0.914 | 44.3 | 17.8 | 0.845 | 39.0 | 15.4 | 0.744 | 43.9 | 16.8 |
| BM26032018_slice_50 | 0.914 | 0.045 | 0.018 | 0.914 | 44.8 | 18.3 | 0.845 | 39.2 | 15.8 | 0.746 | 44.2 | 16.4 |
| BM26032018_slice_51 | 0.913 | 0.045 | 0.018 | 0.913 | 44.6 | 18.0 | 0.843 | 39.4 | 15.6 | 0.744 | 44.1 | 16.7 |
| BM26032018_slice_52 | 0.909 | 0.046 | 0.018 | 0.909 | 46.0 | 18.4 | 0.838 | 40.4 | 16.0 | 0.738 | 45.3 | 17.4 |
| BM26032018_slice_53 | 0.908 | 0.046 | 0.019 | 0.908 | 45.9 | 18.6 | 0.837 | 40.4 | 16.3 | 0.735 | 45.1 | 17.9 |
| BM26032018_slice_54 | 0.907 | 0.046 | 0.019 | 0.907 | 46.3 | 18.9 | 0.836 | 40.8 | 16.5 | 0.731 | 45.6 | 18.4 |
| BM26032018_slice_55 | 0.907 | 0.046 | 0.019 | 0.907 | 46.1 | 18.8 | 0.836 | 40.6 | 16.4 | 0.733 | 45.6 | 18.3 |
| BM26032018_slice_56 | 0.907 | 0.046 | 0.019 | 0.907 | 46.1 | 18.7 | 0.838 | 40.6 | 16.2 | 0.739 | 45.6 | 18.1 |
| BM26032018_slice_57 | 0.906 | 0.047 | 0.019 | 0.906 | 46.6 | 19.0 | 0.837 | 41.1 | 16.5 | 0.739 | 46.2 | 18.3 |
| BM26032018_slice_58 | 0.905 | 0.047 | 0.019 | 0.905 | 47.0 | 19.2 | 0.837 | 41.3 | 16.5 | 0.740 | 46.7 | 18.5 |
| BM26032018_slice_59 | 0.909 | 0.046 | 0.019 | 0.909 | 46.1 | 18.9 | 0.841 | 40.3 | 16.2 | 0.740 | 45.8 | 18.3 |
| BM26032018_slice_60 | 0.908 | 0.046 | 0.019 | 0.908 | 46.5 | 19.1 | 0.841 | 40.3 | 16.2 | 0.740 | 46.1 | 18.3 |
| BM26032018_slice_61 | 0.908 | 0.046 | 0.019 | 0.908 | 46.2 | 18.9 | 0.841 | 40.2 | 16.1 | 0.740 | 45.7 | 17.9 |
| BM26032018_slice_62 | 0.912 | 0.045 | 0.018 | 0.912 | 44.9 | 18.5 | 0.845 | 39.2 | 15.8 | 0.740 | 44.5 | 17.8 |
| BM26032018_slice_63 | 0.911 | 0.045 | 0.018 | 0.911 | 45.5 | 18.5 | 0.844 | 39.9 | 15.9 | 0.744 | 45.0 | 17.3 |
| BM26032018_slice_64 | 0.911 | 0.045 | 0.018 | 0.911 | 44.9 | 18.3 | 0.844 | 39.8 | 15.8 | 0.743 | 44.4 | 17.2 |
| BM26032018_slice_65 | 0.914 | 0.044 | 0.018 | 0.914 | 44.4 | 18.4 | 0.848 | 39.4 | 15.8 | 0.751 | 43.9 | 16.7 |
| BM26032018_slice_66 | 0.915 | 0.044 | 0.018 | 0.915 | 43.5 | 18.1 | 0.850 | 38.4 | 15.6 | 0.738 | 43.1 | 17.7 |
| BM26032018_slice_67 | 0.915 | 0.044 | 0.018 | 0.915 | 43.8 | 17.9 | 0.848 | 38.5 | 15.4 | 0.737 | 43.2 | 17.3 |
| BM26032018_slice_68 | 0.916 | 0.044 | 0.018 | 0.916 | 43.6 | 17.9 | 0.850 | 38.5 | 15.3 | 0.741 | 43.1 | 17.3 |
| BM26032018_slice_69 | 0.914 | 0.044 | 0.018 | 0.914 | 44.3 | 18.1 | 0.849 | 39.0 | 15.5 | 0.747 | 43.8 | 16.9 |
| BM26032018_slice_70 | 0.916 | 0.044 | 0.019 | 0.916 | 44.0 | 19.3 | 0.852 | 38.4 | 16.6 | 0.734 | 43.6 | 19.0 |
| BM26032018_slice_71 | 0.920 | 0.043 | 0.018 | 0.920 | 43.4 | 17.6 | 0.857 | 37.7 | 14.9 | 0.751 | 42.9 | 16.8 |
| BM26032018_slice_72 | 0.921 | 0.043 | 0.018 | 0.921 | 42.8 | 17.8 | 0.859 | 37.3 | 15.1 | 0.749 | 42.4 | 17.3 |
| BM26032018_slice_73 | 0.916 | 0.045 | 0.018 | 0.916 | 44.8 | 18.3 | 0.855 | 38.9 | 15.4 | 0.751 | 44.4 | 17.1 |
| BM26032018_slice_74 | 0.914 | 0.045 | 0.019 | 0.914 | 44.9 | 18.5 | 0.852 | 39.1 | 15.7 | 0.743 | 44.6 | 18.0 |
| BM26032018_slice_75 | 0.915 | 0.044 | 0.018 | 0.915 | 44.2 | 18.2 | 0.852 | 38.9 | 15.6 | 0.743 | 43.9 | 17.7 |
| BM26032018_slice_76 | 0.916 | 0.044 | 0.018 | 0.916 | 43.8 | 17.9 | 0.852 | 38.8 | 15.4 | 0.747 | 43.4 | 17.2 |
| BM26032018_slice_77 | 0.918 | 0.043 | 0.018 | 0.918 | 43.1 | 17.6 | 0.855 | 38.2 | 15.2 | 0.747 | 42.7 | 16.9 |
| BM26032018_slice_78 | 0.920 | 0.042 | 0.017 | 0.920 | 42.5 | 17.3 | 0.857 | 37.5 | 14.8 | 0.750 | 42.0 | 16.5 |
| BM26032018_slice_79 | 0.918 | 0.043 | 0.017 | 0.918 | 42.6 | 17.4 | 0.855 | 37.8 | 15.0 | 0.747 | 42.2 | 16.8 |
| BM26032018_slice_80 | 0.915 | 0.044 | 0.018 | 0.915 | 44.1 | 17.8 | 0.851 | 38.7 | 15.2 | 0.747 | 43.5 | 16.7 |
| BM26032018_slice_81 | 0.916 | 0.044 | 0.018 | 0.916 | 43.9 | 17.5 | 0.853 | 38.4 | 15.0 | 0.752 | 43.2 | 16.4 |
| BM26032018_slice_82 | 0.920 | 0.042 | 0.018 | 0.920 | 42.4 | 17.6 | 0.858 | 37.4 | 15.2 | 0.747 | 41.9 | 17.3 |
| BM26032018_slice_83 | 0.921 | 0.043 | 0.017 | 0.921 | 43.2 | 17.0 | 0.860 | 37.8 | 14.5 | 0.763 | 42.5 | 15.9 |
| BM26032018_slice_84 | 0.922 | 0.043 | 0.017 | 0.922 | 42.6 | 17.1 | 0.861 | 37.6 | 14.7 | 0.756 | 42.2 | 16.6 |
| BM26032018_slice_85 | 0.917 | 0.044 | 0.018 | 0.917 | 44.4 | 18.1 | 0.854 | 39.1 | 15.6 | 0.764 | 43.6 | 15.8 |
| BM26032018_slice_86 | 0.913 | 0.045 | 0.018 | 0.913 | 44.9 | 17.9 | 0.849 | 40.2 | 15.5 | 0.750 | 44.5 | 17.1 |
| BM26032018_slice_87 | 0.906 | 0.046 | 0.019 | 0.906 | 46.5 | 18.8 | 0.844 | 42.3 | 16.5 | 0.743 | 46.1 | 18.2 |
| BM26032018_slice_88 | 0.904 | 0.047 | 0.019 | 0.904 | 47.0 | 18.8 | 0.842 | 42.8 | 16.7 | 0.743 | 46.4 | 18.2 |
| BM26032018_slice_89 | 0.904 | 0.047 | 0.018 | 0.904 | 46.9 | 18.5 | 0.840 | 42.9 | 16.4 | 0.748 | 46.3 | 17.2 |
| BM26032018_slice_90 | 0.906 | 0.046 | 0.018 | 0.906 | 45.9 | 18.3 | 0.841 | 42.0 | 16.4 | 0.742 | 45.3 | 17.8 |
| BM26032018_slice_91 | 0.904 | 0.046 | 0.018 | 0.904 | 46.2 | 18.2 | 0.838 | 42.4 | 16.4 | 0.745 | 45.6 | 17.2 |
| BM26032018_slice_92 | 0.904 | 0.046 | 0.018 | 0.904 | 46.2 | 18.3 | 0.838 | 42.7 | 16.7 | 0.751 | 45.6 | 16.7 |
| BM26032018_slice_93 | 0.905 | 0.046 | 0.018 | 0.905 | 46.1 | 18.0 | 0.841 | 42.6 | 16.4 | 0.749 | 45.5 | 17.0 |
| BM26032018_slice_94 | 0.910 | 0.044 | 0.017 | 0.910 | 44.3 | 17.2 | 0.845 | 41.3 | 15.7 | 0.753 | 43.9 | 16.3 |
| BM26032018_slice_95 | 0.914 | 0.043 | 0.017 | 0.914 | 43.3 | 16.6 | 0.849 | 40.4 | 15.2 | 0.756 | 42.8 | 15.5 |
| BM26032018_slice_96 | 0.918 | 0.042 | 0.016 | 0.918 | 41.6 | 16.0 | 0.854 | 38.9 | 14.7 | 0.753 | 41.2 | 15.5 |
| BM26032018_slice_97 | 0.918 | 0.042 | 0.016 | 0.918 | 41.7 | 16.2 | 0.853 | 38.6 | 14.7 | 0.749 | 41.3 | 15.5 |
| BM26032018_slice_98 | 0.910 | 0.044 | 0.017 | 0.910 | 44.0 | 17.3 | 0.847 | 41.0 | 15.8 | 0.743 | 43.6 | 16.7 |
| BM26032018_slice_99 | 0.913 | 0.044 | 0.017 | 0.913 | 43.7 | 16.7 | 0.848 | 40.7 | 15.3 | 0.748 | 43.3 | 15.8 |
| BM26032018_slice_100 | 0.916 | 0.043 | 0.017 | 0.916 | 43.1 | 17.0 | 0.851 | 40.2 | 15.6 | 0.754 | 42.5 | 14.9 |
| BM26032018_slice_101 | 0.921 | 0.041 | 0.016 | 0.921 | 41.2 | 16.0 | 0.856 | 38.4 | 14.5 | 0.754 | 40.8 | 14.6 |
| BM26032018_slice_102 | 0.924 | 0.040 | 0.016 | 0.924 | 40.3 | 15.7 | 0.858 | 37.4 | 14.3 | 0.752 | 39.9 | 14.3 |
| BM26032018_slice_103 | 0.923 | 0.040 | 0.016 | 0.923 | 40.3 | 15.8 | 0.857 | 37.5 | 14.4 | 0.750 | 39.8 | 14.5 |
| BM26032018_slice_104 | 0.924 | 0.040 | 0.016 | 0.924 | 39.9 | 15.7 | 0.858 | 37.1 | 14.3 | 0.747 | 39.6 | 14.7 |
| BM26032018_slice_105 | 0.922 | 0.041 | 0.016 | 0.922 | 40.8 | 16.1 | 0.857 | 37.8 | 14.5 | 0.740 | 40.4 | 15.1 |
| BM26032018_slice_106 | 0.923 | 0.040 | 0.016 | 0.923 | 40.3 | 16.1 | 0.858 | 37.3 | 14.5 | 0.741 | 39.9 | 14.8 |
| BM26032018_slice_107 | 0.921 | 0.042 | 0.019 | 0.921 | 42.1 | 18.8 | 0.855 | 38.8 | 17.0 | 0.741 | 41.4 | 15.1 |
| BM26032018_slice_108 | 0.923 | 0.041 | 0.017 | 0.923 | 40.9 | 16.8 | 0.857 | 37.5 | 15.0 | 0.738 | 40.5 | 15.0 |
| BM26032018_slice_109 | 0.921 | 0.041 | 0.018 | 0.921 | 41.3 | 17.5 | 0.855 | 38.0 | 15.7 | 0.736 | 40.9 | 15.2 |
| BM26032018_slice_110 | 0.920 | 0.042 | 0.018 | 0.920 | 41.6 | 18.4 | 0.854 | 38.4 | 16.6 | 0.734 | 41.1 | 15.4 |
| BM26032018_slice_111 | 0.917 | 0.043 | 0.019 | 0.917 | 42.6 | 19.2 | 0.851 | 39.2 | 17.3 | 0.732 | 42.0 | 15.8 |
| BM26032018_slice_112 | 0.916 | 0.043 | 0.019 | 0.916 | 42.7 | 18.9 | 0.847 | 39.4 | 17.0 | 0.725 | 42.2 | 16.1 |
| BM26032018_slice_113 | 0.917 | 0.043 | 0.019 | 0.917 | 42.7 | 19.2 | 0.848 | 39.2 | 17.4 | 0.724 | 42.1 | 16.0 |
| BM26032018_slice_114 | 0.919 | 0.042 | 0.018 | 0.919 | 41.8 | 17.9 | 0.848 | 38.5 | 16.1 | 0.720 | 41.4 | 15.9 |
| BM26032018_slice_115 | 0.919 | 0.042 | 0.017 | 0.919 | 41.6 | 17.5 | 0.848 | 38.3 | 15.7 | 0.717 | 41.3 | 15.9 |
| BM26032018_slice_116 | 0.919 | 0.042 | 0.018 | 0.919 | 41.7 | 17.9 | 0.846 | 38.4 | 16.1 | 0.715 | 41.4 | 16.2 |
| BM26032018_slice_117 | 0.915 | 0.043 | 0.019 | 0.915 | 42.8 | 18.8 | 0.841 | 39.3 | 16.9 | 0.710 | 42.5 | 16.8 |
| BM26032018_slice_118 | 0.915 | 0.043 | 0.019 | 0.915 | 43.0 | 18.9 | 0.842 | 39.4 | 17.0 | 0.711 | 42.6 | 16.8 |
| BM26032018_slice_119 | 0.916 | 0.043 | 0.019 | 0.916 | 42.7 | 18.8 | 0.843 | 39.1 | 16.9 | 0.712 | 42.4 | 16.9 |
| BM26032018_slice_120 | 0.915 | 0.043 | 0.019 | 0.915 | 43.2 | 18.8 | 0.842 | 39.3 | 16.9 | 0.709 | 42.9 | 17.1 |
| BM26032018_slice_121 | 0.913 | 0.044 | 0.019 | 0.913 | 44.1 | 19.4 | 0.838 | 40.1 | 17.4 | 0.706 | 43.8 | 17.3 |
| BM26032018_slice_122 | 0.914 | 0.044 | 0.019 | 0.914 | 43.5 | 18.8 | 0.837 | 39.6 | 16.9 | 0.706 | 43.3 | 17.4 |
| BM26032018_slice_123 | 0.913 | 0.043 | 0.018 | 0.913 | 43.2 | 18.4 | 0.835 | 39.5 | 16.6 | 0.702 | 43.0 | 17.5 |
| BM26032018_slice_124 | 0.912 | 0.044 | 0.019 | 0.912 | 43.6 | 18.6 | 0.834 | 39.8 | 16.8 | 0.698 | 43.5 | 18.2 |
| BM26032018_slice_125 | 0.911 | 0.044 | 0.019 | 0.911 | 44.3 | 18.9 | 0.832 | 40.4 | 17.1 | 0.697 | 44.2 | 18.5 |
| BM26032018_slice_126 | 0.907 | 0.046 | 0.019 | 0.907 | 45.8 | 19.2 | 0.826 | 41.6 | 17.5 | 0.700 | 45.6 | 18.3 |
| BM26032018_slice_127 | 0.903 | 0.047 | 0.019 | 0.903 | 46.7 | 19.4 | 0.822 | 42.4 | 17.7 | 0.696 | 46.5 | 18.7 |
| BM26032018_slice_128 | 0.901 | 0.047 | 0.020 | 0.901 | 47.2 | 19.6 | 0.820 | 43.0 | 18.1 | 0.698 | 46.8 | 18.5 |
| BM26032018_slice_129 | 0.899 | 0.047 | 0.019 | 0.899 | 46.9 | 19.4 | 0.818 | 43.2 | 18.0 | 0.699 | 46.6 | 18.3 |
| BM26032018_slice_130 | 0.897 | 0.046 | 0.019 | 0.897 | 46.3 | 19.5 | 0.817 | 42.8 | 18.1 | 0.694 | 46.0 | 19.0 |
| BM26032018_slice_131 | 0.900 | 0.045 | 0.019 | 0.900 | 44.6 | 19.0 | 0.819 | 41.7 | 17.7 | 0.696 | 44.3 | 18.3 |
| BM26032018_slice_132 | 0.902 | 0.044 | 0.019 | 0.902 | 43.5 | 18.8 | 0.821 | 40.6 | 17.5 | 0.695 | 43.2 | 18.3 |
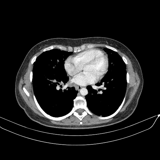
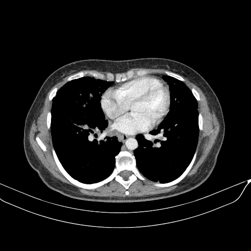
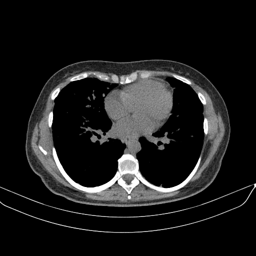
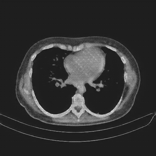
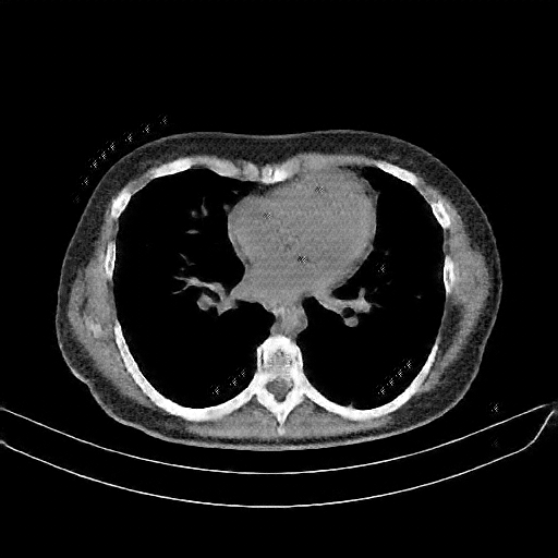
4Γ3 grid: Rows show different image types (Original NATIVE, Reconstructed NATIVE, Original VENOUS, Generated VENOUS), Columns show windowing techniques (No Window, Lung Window, Mediastinum Window)