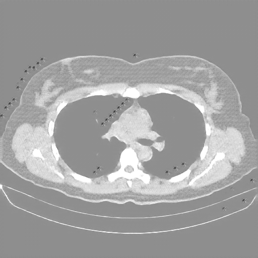
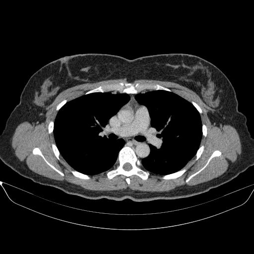
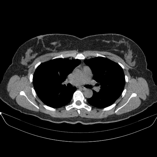
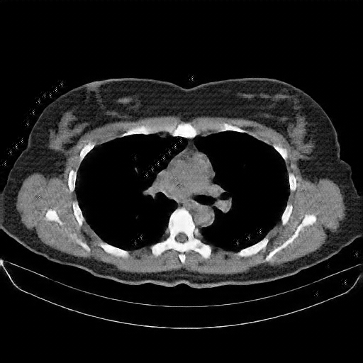
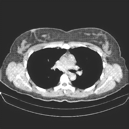
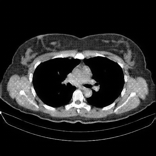
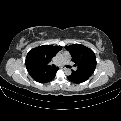
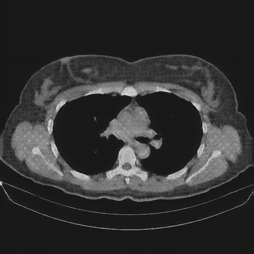
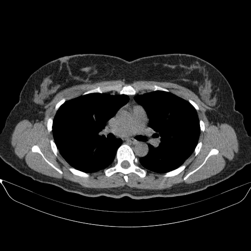
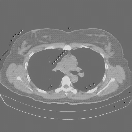
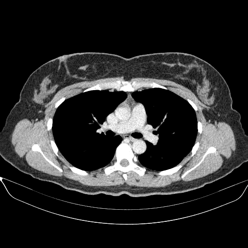
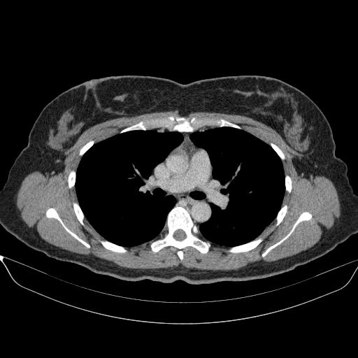
Slice 70 Targeting Evaluation
Patient ID: CV28012021
Model: cytran
Slice: Slice_70
Slice Thickness: 1.5mm
Conversion: NATIVE β VENOUS
Contains all 4 metric datasets: Network-Normalized, Hounsfield Units, Lung Window, and Mediastinum Window
| Slice ID | SSIM | RMSE | MAE | HU SSIM | HU RMSE | HU MAE | Lung SSIM | Lung RMSE | Lung MAE | Mediastinum SSIM | Mediastinum RMSE | Mediastinum MAE |
|---|---|---|---|---|---|---|---|---|---|---|---|---|
| CV28012021_slice_0 | 0.929 | 0.033 | 0.016 | 0.929 | 33.1 | 16.1 | 0.853 | 30.1 | 14.6 | 0.727 | 32.4 | 15.4 |
| CV28012021_slice_1 | 0.925 | 0.034 | 0.017 | 0.925 | 33.9 | 16.8 | 0.848 | 31.0 | 15.3 | 0.723 | 33.4 | 16.2 |
| CV28012021_slice_2 | 0.926 | 0.034 | 0.017 | 0.926 | 33.8 | 16.9 | 0.849 | 30.8 | 15.4 | 0.722 | 33.1 | 16.3 |
| CV28012021_slice_3 | 0.924 | 0.034 | 0.017 | 0.924 | 34.1 | 17.4 | 0.847 | 30.9 | 15.8 | 0.720 | 33.3 | 16.7 |
| CV28012021_slice_4 | 0.927 | 0.033 | 0.017 | 0.927 | 33.4 | 16.5 | 0.851 | 30.3 | 14.9 | 0.726 | 32.7 | 15.8 |
| CV28012021_slice_5 | 0.924 | 0.034 | 0.017 | 0.924 | 34.1 | 17.4 | 0.845 | 31.0 | 15.8 | 0.719 | 33.5 | 16.8 |
| CV28012021_slice_6 | 0.924 | 0.035 | 0.017 | 0.924 | 34.5 | 17.0 | 0.844 | 31.2 | 15.3 | 0.719 | 33.9 | 16.3 |
| CV28012021_slice_7 | 0.923 | 0.035 | 0.017 | 0.923 | 34.8 | 17.3 | 0.845 | 31.1 | 15.6 | 0.721 | 34.1 | 16.7 |
| CV28012021_slice_8 | 0.926 | 0.034 | 0.017 | 0.926 | 34.2 | 16.7 | 0.851 | 30.5 | 14.9 | 0.725 | 33.7 | 16.1 |
| CV28012021_slice_9 | 0.928 | 0.034 | 0.017 | 0.928 | 33.9 | 16.6 | 0.853 | 30.2 | 14.7 | 0.725 | 33.5 | 16.2 |
| CV28012021_slice_10 | 0.926 | 0.035 | 0.017 | 0.926 | 34.9 | 16.5 | 0.851 | 30.9 | 14.5 | 0.723 | 34.4 | 16.0 |
| CV28012021_slice_11 | 0.927 | 0.035 | 0.017 | 0.927 | 34.8 | 16.7 | 0.852 | 30.7 | 14.6 | 0.720 | 34.4 | 16.3 |
| CV28012021_slice_12 | 0.925 | 0.035 | 0.017 | 0.925 | 35.4 | 16.9 | 0.850 | 31.3 | 14.8 | 0.717 | 35.0 | 16.5 |
| CV28012021_slice_13 | 0.926 | 0.035 | 0.016 | 0.926 | 35.1 | 16.4 | 0.851 | 31.2 | 14.4 | 0.720 | 34.7 | 15.9 |
| CV28012021_slice_14 | 0.927 | 0.035 | 0.017 | 0.927 | 34.7 | 16.7 | 0.854 | 31.2 | 14.8 | 0.719 | 34.4 | 16.4 |
| CV28012021_slice_15 | 0.927 | 0.035 | 0.017 | 0.927 | 34.7 | 16.9 | 0.851 | 31.4 | 15.1 | 0.714 | 34.3 | 16.5 |
| CV28012021_slice_16 | 0.928 | 0.034 | 0.017 | 0.928 | 34.4 | 17.2 | 0.850 | 31.3 | 15.4 | 0.711 | 34.0 | 16.9 |
| CV28012021_slice_17 | 0.921 | 0.036 | 0.017 | 0.921 | 35.8 | 17.0 | 0.842 | 32.8 | 15.5 | 0.711 | 35.4 | 16.6 |
| CV28012021_slice_18 | 0.920 | 0.036 | 0.017 | 0.920 | 36.1 | 17.2 | 0.843 | 32.9 | 15.7 | 0.712 | 35.7 | 16.9 |
| CV28012021_slice_19 | 0.918 | 0.037 | 0.018 | 0.918 | 36.8 | 17.8 | 0.840 | 33.2 | 16.2 | 0.707 | 36.2 | 17.5 |
| CV28012021_slice_20 | 0.916 | 0.038 | 0.018 | 0.916 | 37.8 | 18.1 | 0.838 | 34.1 | 16.5 | 0.705 | 37.2 | 17.7 |
| CV28012021_slice_21 | 0.914 | 0.039 | 0.019 | 0.914 | 38.8 | 18.6 | 0.835 | 34.9 | 16.9 | 0.703 | 38.1 | 18.3 |
| CV28012021_slice_22 | 0.909 | 0.040 | 0.019 | 0.909 | 39.9 | 19.3 | 0.830 | 35.8 | 17.7 | 0.699 | 39.2 | 19.0 |
| CV28012021_slice_23 | 0.910 | 0.040 | 0.018 | 0.910 | 40.0 | 18.3 | 0.831 | 35.7 | 16.6 | 0.701 | 39.3 | 17.8 |
| CV28012021_slice_24 | 0.907 | 0.041 | 0.018 | 0.907 | 40.7 | 18.5 | 0.830 | 36.4 | 16.7 | 0.702 | 40.0 | 17.9 |
| CV28012021_slice_25 | 0.906 | 0.041 | 0.019 | 0.906 | 41.3 | 19.0 | 0.828 | 37.0 | 17.3 | 0.698 | 40.7 | 18.6 |
| CV28012021_slice_26 | 0.903 | 0.042 | 0.020 | 0.903 | 42.1 | 20.0 | 0.823 | 37.9 | 18.3 | 0.690 | 41.5 | 19.6 |
| CV28012021_slice_27 | 0.901 | 0.042 | 0.021 | 0.901 | 42.2 | 20.6 | 0.822 | 38.3 | 19.1 | 0.689 | 41.5 | 20.3 |
| CV28012021_slice_28 | 0.900 | 0.043 | 0.020 | 0.900 | 42.7 | 19.9 | 0.821 | 38.7 | 18.4 | 0.690 | 42.0 | 19.5 |
| CV28012021_slice_29 | 0.900 | 0.043 | 0.020 | 0.900 | 43.3 | 19.7 | 0.821 | 39.2 | 18.2 | 0.694 | 42.6 | 19.1 |
| CV28012021_slice_30 | 0.893 | 0.045 | 0.021 | 0.893 | 44.7 | 20.9 | 0.813 | 40.6 | 19.4 | 0.684 | 44.1 | 20.4 |
| CV28012021_slice_31 | 0.891 | 0.046 | 0.021 | 0.891 | 45.5 | 21.2 | 0.812 | 41.2 | 19.6 | 0.683 | 44.8 | 20.8 |
| CV28012021_slice_32 | 0.890 | 0.047 | 0.021 | 0.890 | 47.0 | 20.9 | 0.811 | 41.9 | 19.3 | 0.686 | 46.1 | 20.3 |
| CV28012021_slice_33 | 0.890 | 0.048 | 0.021 | 0.890 | 47.7 | 21.1 | 0.813 | 42.2 | 19.3 | 0.686 | 46.8 | 20.3 |
| CV28012021_slice_34 | 0.891 | 0.048 | 0.022 | 0.891 | 47.7 | 21.7 | 0.815 | 42.2 | 19.8 | 0.683 | 46.9 | 21.3 |
| CV28012021_slice_35 | 0.890 | 0.048 | 0.021 | 0.890 | 48.1 | 21.4 | 0.813 | 42.4 | 19.5 | 0.681 | 47.2 | 20.9 |
| CV28012021_slice_36 | 0.889 | 0.049 | 0.021 | 0.889 | 48.7 | 21.2 | 0.810 | 43.1 | 19.3 | 0.682 | 47.9 | 20.3 |
| CV28012021_slice_37 | 0.888 | 0.049 | 0.022 | 0.888 | 49.0 | 22.0 | 0.810 | 43.6 | 20.1 | 0.674 | 48.2 | 21.7 |
| CV28012021_slice_38 | 0.886 | 0.050 | 0.022 | 0.886 | 49.9 | 21.6 | 0.808 | 44.4 | 19.7 | 0.678 | 49.0 | 20.8 |
| CV28012021_slice_39 | 0.883 | 0.051 | 0.022 | 0.883 | 51.0 | 22.1 | 0.806 | 45.7 | 20.3 | 0.682 | 50.2 | 21.0 |
| CV28012021_slice_40 | 0.881 | 0.052 | 0.022 | 0.881 | 51.5 | 22.2 | 0.804 | 46.6 | 20.5 | 0.679 | 50.8 | 21.4 |
| CV28012021_slice_41 | 0.880 | 0.052 | 0.023 | 0.880 | 52.4 | 22.5 | 0.801 | 47.3 | 20.8 | 0.674 | 51.4 | 21.6 |
| CV28012021_slice_42 | 0.873 | 0.054 | 0.024 | 0.873 | 54.1 | 23.5 | 0.794 | 48.7 | 21.8 | 0.670 | 53.2 | 22.7 |
| CV28012021_slice_43 | 0.873 | 0.055 | 0.024 | 0.873 | 54.6 | 23.8 | 0.794 | 48.8 | 22.0 | 0.669 | 53.8 | 23.1 |
| CV28012021_slice_44 | 0.875 | 0.054 | 0.023 | 0.875 | 53.6 | 23.5 | 0.797 | 48.2 | 21.7 | 0.670 | 52.9 | 22.8 |
| CV28012021_slice_45 | 0.875 | 0.054 | 0.024 | 0.875 | 53.6 | 23.9 | 0.796 | 48.2 | 22.2 | 0.665 | 52.9 | 23.5 |
| CV28012021_slice_46 | 0.882 | 0.053 | 0.023 | 0.882 | 52.6 | 22.8 | 0.802 | 46.9 | 21.0 | 0.670 | 51.9 | 22.3 |
| CV28012021_slice_47 | 0.880 | 0.053 | 0.023 | 0.880 | 53.4 | 23.3 | 0.800 | 47.4 | 21.4 | 0.666 | 52.6 | 22.8 |
| CV28012021_slice_48 | 0.879 | 0.053 | 0.023 | 0.879 | 53.0 | 23.1 | 0.798 | 47.3 | 21.2 | 0.667 | 52.4 | 22.5 |
| CV28012021_slice_49 | 0.877 | 0.053 | 0.024 | 0.877 | 53.4 | 23.8 | 0.797 | 47.7 | 21.8 | 0.662 | 52.8 | 23.4 |
| CV28012021_slice_50 | 0.876 | 0.054 | 0.024 | 0.876 | 53.9 | 23.7 | 0.796 | 47.9 | 21.7 | 0.663 | 53.2 | 23.1 |
| CV28012021_slice_51 | 0.874 | 0.054 | 0.025 | 0.874 | 54.0 | 24.7 | 0.793 | 48.3 | 22.7 | 0.655 | 53.4 | 24.5 |
| CV28012021_slice_52 | 0.875 | 0.053 | 0.024 | 0.875 | 53.1 | 24.0 | 0.795 | 47.9 | 22.0 | 0.659 | 52.5 | 23.7 |
| CV28012021_slice_53 | 0.876 | 0.053 | 0.024 | 0.876 | 52.8 | 23.7 | 0.797 | 47.6 | 21.8 | 0.664 | 52.1 | 23.3 |
| CV28012021_slice_54 | 0.877 | 0.052 | 0.024 | 0.877 | 52.2 | 24.1 | 0.798 | 46.9 | 22.2 | 0.664 | 51.4 | 23.8 |
| CV28012021_slice_55 | 0.883 | 0.050 | 0.022 | 0.883 | 50.4 | 22.3 | 0.803 | 45.7 | 20.7 | 0.672 | 49.8 | 21.8 |
| CV28012021_slice_56 | 0.882 | 0.050 | 0.023 | 0.882 | 49.9 | 22.6 | 0.802 | 45.6 | 21.0 | 0.670 | 49.3 | 22.2 |
| CV28012021_slice_57 | 0.880 | 0.050 | 0.023 | 0.880 | 50.2 | 22.7 | 0.799 | 46.1 | 21.2 | 0.672 | 49.6 | 22.2 |
| CV28012021_slice_58 | 0.880 | 0.050 | 0.022 | 0.880 | 50.0 | 22.2 | 0.798 | 46.1 | 20.8 | 0.677 | 49.3 | 21.2 |
| CV28012021_slice_59 | 0.884 | 0.048 | 0.023 | 0.884 | 48.2 | 22.7 | 0.802 | 44.4 | 21.4 | 0.670 | 47.6 | 22.4 |
| CV28012021_slice_60 | 0.894 | 0.046 | 0.021 | 0.894 | 46.1 | 20.8 | 0.811 | 42.3 | 19.5 | 0.678 | 45.5 | 20.4 |
| CV28012021_slice_61 | 0.897 | 0.046 | 0.021 | 0.897 | 45.5 | 20.6 | 0.813 | 41.6 | 19.3 | 0.680 | 44.9 | 20.3 |
| CV28012021_slice_62 | 0.900 | 0.045 | 0.020 | 0.900 | 45.0 | 20.0 | 0.815 | 41.2 | 18.6 | 0.685 | 44.4 | 19.4 |
| CV28012021_slice_63 | 0.901 | 0.045 | 0.020 | 0.901 | 44.6 | 19.7 | 0.818 | 40.8 | 18.3 | 0.690 | 43.9 | 19.0 |
| CV28012021_slice_64 | 0.903 | 0.044 | 0.020 | 0.903 | 43.5 | 19.8 | 0.822 | 39.7 | 18.3 | 0.689 | 42.9 | 19.3 |
| CV28012021_slice_65 | 0.906 | 0.042 | 0.020 | 0.906 | 42.4 | 20.3 | 0.825 | 38.6 | 18.9 | 0.690 | 41.8 | 20.1 |
| CV28012021_slice_66 | 0.908 | 0.042 | 0.019 | 0.908 | 41.5 | 19.4 | 0.828 | 37.9 | 18.0 | 0.695 | 41.0 | 19.1 |
| CV28012021_slice_67 | 0.911 | 0.041 | 0.019 | 0.911 | 41.2 | 18.6 | 0.831 | 37.5 | 17.1 | 0.702 | 40.6 | 18.0 |
| CV28012021_slice_68 | 0.918 | 0.040 | 0.018 | 0.918 | 39.5 | 17.7 | 0.839 | 35.9 | 16.3 | 0.712 | 38.8 | 16.6 |
| CV28012021_slice_69 | 0.923 | 0.038 | 0.017 | 0.923 | 37.9 | 17.1 | 0.844 | 34.6 | 15.9 | 0.718 | 37.3 | 15.8 |
| CV28012021_slice_70 | 0.925 | 0.037 | 0.017 | 0.925 | 37.2 | 16.8 | 0.848 | 34.0 | 15.5 | 0.717 | 36.7 | 16.2 |
| CV28012021_slice_71 | 0.923 | 0.038 | 0.017 | 0.923 | 37.7 | 17.0 | 0.845 | 34.4 | 15.8 | 0.715 | 37.1 | 16.5 |
| CV28012021_slice_72 | 0.923 | 0.037 | 0.017 | 0.923 | 37.3 | 17.0 | 0.844 | 34.2 | 15.8 | 0.717 | 36.8 | 16.0 |
| CV28012021_slice_73 | 0.920 | 0.037 | 0.017 | 0.920 | 37.4 | 17.3 | 0.842 | 34.6 | 16.1 | 0.717 | 37.0 | 16.1 |
| CV28012021_slice_74 | 0.920 | 0.037 | 0.017 | 0.920 | 37.1 | 17.3 | 0.842 | 34.4 | 16.2 | 0.712 | 36.7 | 16.9 |
| CV28012021_slice_75 | 0.923 | 0.036 | 0.017 | 0.923 | 36.4 | 16.7 | 0.844 | 33.7 | 15.6 | 0.718 | 35.9 | 15.7 |
| CV28012021_slice_76 | 0.923 | 0.036 | 0.017 | 0.923 | 35.8 | 16.5 | 0.844 | 33.1 | 15.4 | 0.719 | 35.3 | 15.7 |
| CV28012021_slice_77 | 0.921 | 0.036 | 0.017 | 0.921 | 36.2 | 16.7 | 0.844 | 33.1 | 15.6 | 0.722 | 35.5 | 15.8 |
| CV28012021_slice_78 | 0.921 | 0.036 | 0.017 | 0.921 | 36.0 | 17.0 | 0.843 | 33.0 | 15.8 | 0.724 | 35.4 | 15.6 |
| CV28012021_slice_79 | 0.919 | 0.036 | 0.017 | 0.919 | 36.3 | 17.4 | 0.844 | 33.1 | 16.1 | 0.721 | 35.7 | 16.9 |
| CV28012021_slice_80 | 0.922 | 0.036 | 0.017 | 0.922 | 35.8 | 16.9 | 0.847 | 32.7 | 15.7 | 0.723 | 35.2 | 16.4 |
| CV28012021_slice_81 | 0.925 | 0.035 | 0.016 | 0.925 | 35.4 | 16.5 | 0.847 | 32.3 | 15.2 | 0.723 | 34.9 | 15.8 |
| CV28012021_slice_82 | 0.926 | 0.035 | 0.016 | 0.926 | 35.4 | 16.4 | 0.850 | 32.2 | 15.1 | 0.724 | 34.8 | 15.7 |
| CV28012021_slice_83 | 0.925 | 0.036 | 0.017 | 0.925 | 35.7 | 16.8 | 0.850 | 32.5 | 15.5 | 0.723 | 35.3 | 16.3 |
| CV28012021_slice_84 | 0.926 | 0.036 | 0.017 | 0.926 | 35.6 | 16.5 | 0.852 | 32.2 | 15.2 | 0.727 | 35.1 | 15.9 |
| CV28012021_slice_85 | 0.925 | 0.035 | 0.017 | 0.925 | 35.5 | 16.9 | 0.850 | 32.2 | 15.6 | 0.721 | 35.0 | 16.6 |
| CV28012021_slice_86 | 0.927 | 0.035 | 0.017 | 0.927 | 35.3 | 16.6 | 0.850 | 32.1 | 15.4 | 0.720 | 34.8 | 16.3 |
| CV28012021_slice_87 | 0.929 | 0.035 | 0.016 | 0.929 | 34.9 | 16.1 | 0.852 | 31.9 | 15.0 | 0.728 | 34.4 | 14.9 |
| CV28012021_slice_88 | 0.927 | 0.035 | 0.017 | 0.927 | 35.4 | 17.0 | 0.851 | 32.4 | 15.9 | 0.717 | 35.0 | 16.8 |
| CV28012021_slice_89 | 0.923 | 0.036 | 0.018 | 0.923 | 35.9 | 18.0 | 0.845 | 33.1 | 16.9 | 0.712 | 35.6 | 17.8 |
| CV28012021_slice_90 | 0.926 | 0.035 | 0.017 | 0.926 | 35.3 | 16.9 | 0.850 | 32.6 | 15.8 | 0.718 | 35.0 | 16.6 |
| CV28012021_slice_91 | 0.927 | 0.035 | 0.017 | 0.927 | 34.9 | 17.1 | 0.851 | 32.4 | 16.0 | 0.717 | 34.6 | 16.9 |
| CV28012021_slice_92 | 0.930 | 0.034 | 0.017 | 0.930 | 34.3 | 16.7 | 0.853 | 31.8 | 15.6 | 0.718 | 34.0 | 16.5 |
| CV28012021_slice_93 | 0.930 | 0.034 | 0.016 | 0.930 | 34.1 | 16.0 | 0.853 | 31.6 | 14.9 | 0.723 | 33.8 | 15.3 |
| CV28012021_slice_94 | 0.933 | 0.033 | 0.016 | 0.933 | 33.0 | 16.4 | 0.857 | 30.4 | 15.3 | 0.722 | 32.7 | 16.2 |
| CV28012021_slice_95 | 0.931 | 0.033 | 0.017 | 0.931 | 33.4 | 17.1 | 0.856 | 30.8 | 15.9 | 0.720 | 33.0 | 16.9 |
| CV28012021_slice_96 | 0.928 | 0.034 | 0.017 | 0.928 | 33.8 | 17.0 | 0.853 | 31.2 | 15.8 | 0.719 | 33.4 | 16.7 |
| CV28012021_slice_97 | 0.927 | 0.034 | 0.017 | 0.927 | 33.9 | 17.3 | 0.853 | 31.3 | 16.1 | 0.720 | 33.5 | 17.0 |
| CV28012021_slice_98 | 0.931 | 0.033 | 0.016 | 0.931 | 33.2 | 16.4 | 0.856 | 30.6 | 15.2 | 0.725 | 32.9 | 16.1 |
| CV28012021_slice_99 | 0.934 | 0.033 | 0.016 | 0.934 | 33.1 | 15.8 | 0.861 | 30.5 | 14.5 | 0.733 | 32.7 | 15.1 |
| CV28012021_slice_100 | 0.935 | 0.033 | 0.016 | 0.935 | 32.6 | 15.6 | 0.861 | 30.2 | 14.5 | 0.733 | 32.2 | 15.0 |
| CV28012021_slice_101 | 0.937 | 0.032 | 0.016 | 0.937 | 32.0 | 16.0 | 0.866 | 29.8 | 14.9 | 0.730 | 31.7 | 15.7 |
| CV28012021_slice_102 | 0.937 | 0.032 | 0.016 | 0.937 | 32.1 | 16.2 | 0.864 | 30.0 | 15.2 | 0.725 | 31.8 | 16.0 |
| CV28012021_slice_103 | 0.939 | 0.032 | 0.015 | 0.939 | 31.9 | 15.1 | 0.866 | 29.9 | 14.0 | 0.734 | 31.6 | 14.3 |
| CV28012021_slice_104 | 0.939 | 0.032 | 0.015 | 0.939 | 32.0 | 15.2 | 0.867 | 30.0 | 14.2 | 0.732 | 31.7 | 14.8 |
| CV28012021_slice_105 | 0.941 | 0.032 | 0.015 | 0.941 | 31.7 | 14.7 | 0.870 | 29.7 | 13.7 | 0.742 | 31.3 | 13.8 |
| CV28012021_slice_106 | 0.942 | 0.031 | 0.015 | 0.942 | 30.9 | 14.6 | 0.871 | 28.9 | 13.6 | 0.739 | 30.6 | 14.1 |
| CV28012021_slice_107 | 0.943 | 0.031 | 0.014 | 0.943 | 30.6 | 14.4 | 0.871 | 28.5 | 13.3 | 0.739 | 30.3 | 13.6 |
| CV28012021_slice_108 | 0.944 | 0.030 | 0.014 | 0.944 | 30.4 | 14.4 | 0.873 | 28.3 | 13.3 | 0.746 | 30.0 | 13.3 |
| CV28012021_slice_109 | 0.946 | 0.030 | 0.014 | 0.946 | 29.6 | 14.4 | 0.877 | 27.5 | 13.4 | 0.744 | 29.4 | 14.0 |
| CV28012021_slice_110 | 0.947 | 0.029 | 0.015 | 0.947 | 29.3 | 15.3 | 0.879 | 27.3 | 14.3 | 0.742 | 29.1 | 15.1 |
| CV28012021_slice_111 | 0.948 | 0.029 | 0.014 | 0.948 | 29.3 | 14.0 | 0.880 | 27.1 | 12.9 | 0.750 | 28.9 | 13.4 |
| CV28012021_slice_112 | 0.947 | 0.029 | 0.014 | 0.947 | 29.3 | 13.8 | 0.878 | 27.2 | 12.8 | 0.752 | 28.9 | 12.9 |
| CV28012021_slice_113 | 0.946 | 0.029 | 0.014 | 0.946 | 29.1 | 14.3 | 0.879 | 27.2 | 13.3 | 0.746 | 28.7 | 14.0 |
| CV28012021_slice_114 | 0.947 | 0.029 | 0.014 | 0.947 | 28.9 | 13.8 | 0.880 | 27.1 | 12.8 | 0.751 | 28.6 | 13.4 |
| CV28012021_slice_115 | 0.947 | 0.029 | 0.014 | 0.947 | 28.9 | 13.6 | 0.879 | 27.3 | 12.6 | 0.756 | 28.6 | 12.9 |
| CV28012021_slice_116 | 0.940 | 0.031 | 0.014 | 0.940 | 30.5 | 14.3 | 0.872 | 29.0 | 13.3 | 0.752 | 30.3 | 13.5 |
| CV28012021_slice_117 | 0.935 | 0.032 | 0.015 | 0.935 | 32.3 | 14.9 | 0.867 | 30.9 | 13.9 | 0.748 | 32.0 | 14.1 |
| CV28012021_slice_118 | 0.929 | 0.035 | 0.016 | 0.929 | 35.2 | 16.1 | 0.863 | 33.9 | 15.1 | 0.741 | 35.0 | 15.6 |
| CV28012021_slice_119 | 0.919 | 0.038 | 0.018 | 0.919 | 38.5 | 17.8 | 0.852 | 37.2 | 16.8 | 0.732 | 38.2 | 17.5 |
| CV28012021_slice_120 | 0.912 | 0.041 | 0.018 | 0.912 | 40.8 | 18.0 | 0.847 | 39.4 | 17.0 | 0.733 | 40.6 | 17.6 |
| CV28012021_slice_121 | 0.916 | 0.040 | 0.018 | 0.916 | 39.8 | 17.6 | 0.850 | 38.4 | 16.6 | 0.737 | 39.6 | 17.0 |
| CV28012021_slice_122 | 0.917 | 0.039 | 0.018 | 0.917 | 38.8 | 17.7 | 0.851 | 37.3 | 16.7 | 0.735 | 38.6 | 17.3 |
| CV28012021_slice_123 | 0.918 | 0.039 | 0.018 | 0.918 | 38.9 | 18.4 | 0.851 | 37.5 | 17.5 | 0.728 | 38.7 | 18.2 |
| CV28012021_slice_124 | 0.917 | 0.039 | 0.018 | 0.917 | 38.7 | 17.7 | 0.851 | 37.3 | 16.8 | 0.734 | 38.4 | 17.2 |
| CV28012021_slice_125 | 0.918 | 0.038 | 0.017 | 0.918 | 38.1 | 17.5 | 0.850 | 36.7 | 16.6 | 0.732 | 37.9 | 17.0 |
| CV28012021_slice_126 | 0.921 | 0.038 | 0.018 | 0.921 | 37.7 | 17.8 | 0.852 | 36.4 | 17.0 | 0.728 | 37.5 | 17.6 |
| CV28012021_slice_127 | 0.919 | 0.038 | 0.019 | 0.919 | 38.1 | 19.0 | 0.850 | 37.0 | 18.2 | 0.724 | 37.9 | 18.8 |
| CV28012021_slice_128 | 0.918 | 0.038 | 0.018 | 0.918 | 37.9 | 17.6 | 0.845 | 36.8 | 16.8 | 0.721 | 37.7 | 17.1 |
| CV28012021_slice_129 | 0.916 | 0.038 | 0.018 | 0.916 | 37.9 | 17.9 | 0.845 | 36.9 | 17.2 | 0.719 | 37.7 | 17.6 |
| CV28012021_slice_130 | 0.915 | 0.038 | 0.018 | 0.915 | 37.6 | 18.2 | 0.843 | 36.7 | 17.5 | 0.714 | 37.4 | 18.0 |
| CV28012021_slice_131 | 0.917 | 0.037 | 0.019 | 0.917 | 37.0 | 18.6 | 0.845 | 36.1 | 17.8 | 0.713 | 36.9 | 18.4 |
| CV28012021_slice_132 | 0.922 | 0.036 | 0.017 | 0.922 | 35.9 | 16.9 | 0.847 | 35.0 | 16.1 | 0.717 | 35.8 | 16.3 |
| CV28012021_slice_133 | 0.926 | 0.035 | 0.017 | 0.926 | 34.9 | 16.5 | 0.850 | 33.9 | 15.7 | 0.718 | 34.7 | 16.0 |
| CV28012021_slice_134 | 0.923 | 0.035 | 0.017 | 0.923 | 35.4 | 17.2 | 0.848 | 34.4 | 16.5 | 0.712 | 35.2 | 16.9 |
| CV28012021_slice_135 | 0.925 | 0.035 | 0.017 | 0.925 | 35.4 | 17.3 | 0.849 | 34.5 | 16.6 | 0.710 | 35.3 | 17.1 |
| CV28012021_slice_136 | 0.926 | 0.035 | 0.017 | 0.926 | 34.5 | 16.7 | 0.851 | 33.7 | 16.0 | 0.715 | 34.4 | 16.2 |
| CV28012021_slice_137 | 0.928 | 0.034 | 0.017 | 0.928 | 33.9 | 16.6 | 0.850 | 33.1 | 15.9 | 0.710 | 33.9 | 16.3 |
| CV28012021_slice_138 | 0.928 | 0.034 | 0.017 | 0.928 | 33.8 | 16.5 | 0.848 | 32.8 | 15.8 | 0.710 | 33.6 | 15.8 |
| CV28012021_slice_139 | 0.929 | 0.034 | 0.017 | 0.929 | 33.7 | 17.0 | 0.848 | 32.9 | 16.3 | 0.704 | 33.6 | 16.8 |
| CV28012021_slice_140 | 0.934 | 0.033 | 0.016 | 0.934 | 32.7 | 16.0 | 0.855 | 31.9 | 15.4 | 0.714 | 32.6 | 15.2 |
| CV28012021_slice_141 | 0.934 | 0.032 | 0.016 | 0.934 | 32.5 | 16.5 | 0.854 | 31.8 | 16.0 | 0.706 | 32.4 | 16.3 |
| CV28012021_slice_142 | 0.934 | 0.032 | 0.017 | 0.934 | 32.5 | 16.5 | 0.853 | 31.7 | 16.0 | 0.703 | 32.4 | 16.4 |
| CV28012021_slice_143 | 0.936 | 0.032 | 0.016 | 0.936 | 31.9 | 16.0 | 0.854 | 31.1 | 15.5 | 0.705 | 31.9 | 15.6 |
| CV28012021_slice_144 | 0.939 | 0.031 | 0.016 | 0.939 | 30.9 | 15.6 | 0.857 | 30.1 | 15.0 | 0.709 | 30.8 | 15.1 |
| CV28012021_slice_145 | 0.939 | 0.031 | 0.016 | 0.939 | 31.1 | 15.8 | 0.856 | 30.3 | 15.1 | 0.708 | 31.0 | 15.2 |
| CV28012021_slice_146 | 0.940 | 0.031 | 0.016 | 0.940 | 30.8 | 15.7 | 0.858 | 29.9 | 15.0 | 0.707 | 30.7 | 15.1 |
| CV28012021_slice_147 | 0.940 | 0.030 | 0.016 | 0.940 | 30.5 | 15.6 | 0.858 | 29.6 | 15.0 | 0.705 | 30.3 | 15.2 |
| CV28012021_slice_148 | 0.941 | 0.030 | 0.016 | 0.941 | 30.3 | 15.6 | 0.858 | 29.4 | 15.0 | 0.706 | 30.2 | 15.2 |
| CV28012021_slice_149 | 0.940 | 0.030 | 0.016 | 0.940 | 30.4 | 15.9 | 0.857 | 29.5 | 15.2 | 0.705 | 30.3 | 15.4 |
| CV28012021_slice_150 | 0.940 | 0.030 | 0.017 | 0.940 | 30.2 | 16.5 | 0.857 | 29.4 | 15.9 | 0.698 | 30.1 | 16.4 |
| CV28012021_slice_151 | 0.942 | 0.030 | 0.015 | 0.942 | 29.5 | 15.5 | 0.860 | 28.7 | 14.8 | 0.705 | 29.4 | 15.0 |
| CV28012021_slice_152 | 0.944 | 0.029 | 0.015 | 0.944 | 28.8 | 15.2 | 0.859 | 28.1 | 14.6 | 0.702 | 28.7 | 14.8 |
| CV28012021_slice_153 | 0.946 | 0.028 | 0.015 | 0.946 | 28.3 | 14.9 | 0.860 | 27.5 | 14.3 | 0.700 | 28.2 | 14.5 |
| CV28012021_slice_154 | 0.944 | 0.029 | 0.015 | 0.944 | 28.7 | 15.4 | 0.857 | 28.0 | 14.8 | 0.699 | 28.7 | 15.1 |
| CV28012021_slice_155 | 0.947 | 0.028 | 0.015 | 0.947 | 27.8 | 14.8 | 0.859 | 27.1 | 14.2 | 0.701 | 27.7 | 14.3 |
| CV28012021_slice_156 | 0.944 | 0.028 | 0.015 | 0.944 | 28.3 | 15.2 | 0.857 | 27.6 | 14.6 | 0.700 | 28.2 | 14.3 |
| CV28012021_slice_157 | 0.945 | 0.028 | 0.015 | 0.945 | 27.9 | 15.2 | 0.858 | 27.2 | 14.6 | 0.705 | 27.8 | 14.0 |
| CV28012021_slice_158 | 0.944 | 0.028 | 0.015 | 0.944 | 28.2 | 15.2 | 0.857 | 27.6 | 14.7 | 0.705 | 28.1 | 14.4 |
| CV28012021_slice_159 | 0.942 | 0.029 | 0.016 | 0.942 | 28.9 | 15.6 | 0.856 | 28.3 | 15.1 | 0.705 | 28.8 | 14.9 |
| CV28012021_slice_160 | 0.941 | 0.029 | 0.016 | 0.941 | 29.1 | 15.7 | 0.855 | 28.4 | 15.3 | 0.705 | 29.0 | 15.2 |
| CV28012021_slice_161 | 0.939 | 0.030 | 0.016 | 0.939 | 29.5 | 16.2 | 0.853 | 28.8 | 15.7 | 0.702 | 29.4 | 15.8 |
| CV28012021_slice_162 | 0.941 | 0.029 | 0.016 | 0.941 | 28.8 | 15.9 | 0.856 | 28.1 | 15.4 | 0.703 | 28.7 | 15.5 |
| CV28012021_slice_163 | 0.944 | 0.028 | 0.015 | 0.944 | 28.1 | 15.3 | 0.860 | 27.4 | 14.8 | 0.711 | 28.0 | 14.5 |
| CV28012021_slice_164 | 0.945 | 0.028 | 0.015 | 0.945 | 28.0 | 15.2 | 0.861 | 27.3 | 14.6 | 0.712 | 27.9 | 14.5 |
| CV28012021_slice_165 | 0.944 | 0.028 | 0.015 | 0.944 | 28.2 | 15.2 | 0.859 | 27.4 | 14.7 | 0.710 | 28.0 | 14.4 |
| CV28012021_slice_166 | 0.945 | 0.028 | 0.015 | 0.945 | 28.0 | 15.1 | 0.862 | 27.2 | 14.5 | 0.711 | 27.9 | 14.3 |
| CV28012021_slice_167 | 0.946 | 0.028 | 0.015 | 0.946 | 27.8 | 15.0 | 0.863 | 26.9 | 14.4 | 0.713 | 27.7 | 14.2 |
| CV28012021_slice_168 | 0.945 | 0.028 | 0.015 | 0.945 | 28.2 | 15.3 | 0.861 | 27.3 | 14.6 | 0.711 | 28.1 | 14.5 |
| CV28012021_slice_169 | 0.942 | 0.029 | 0.016 | 0.942 | 28.8 | 15.7 | 0.857 | 27.9 | 15.0 | 0.706 | 28.7 | 14.8 |
4Γ3 grid: Rows show different image types (Original NATIVE, Reconstructed NATIVE, Original VENOUS, Generated VENOUS), Columns show windowing techniques (No Window, Lung Window, Mediastinum Window)