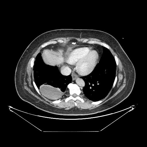
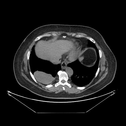
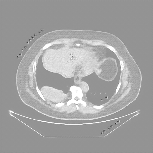
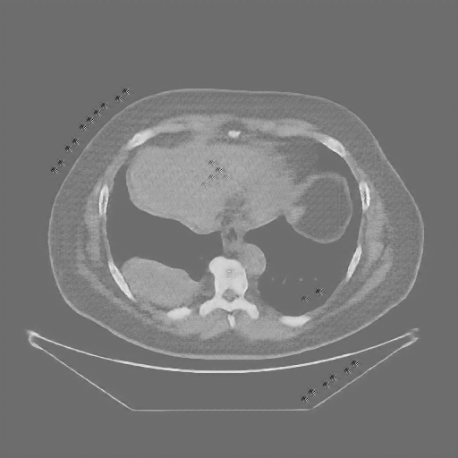
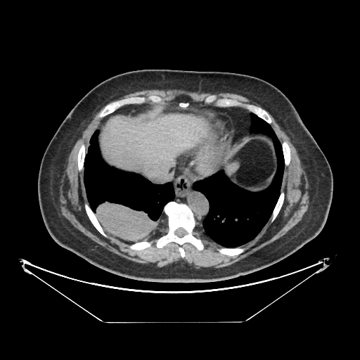
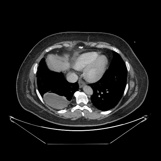
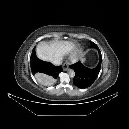
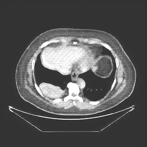
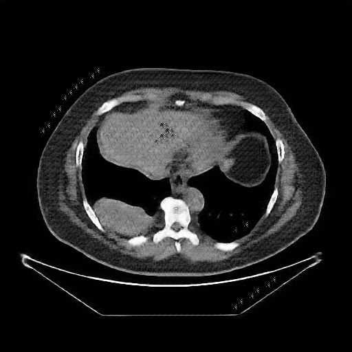
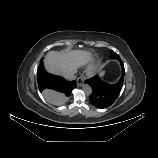
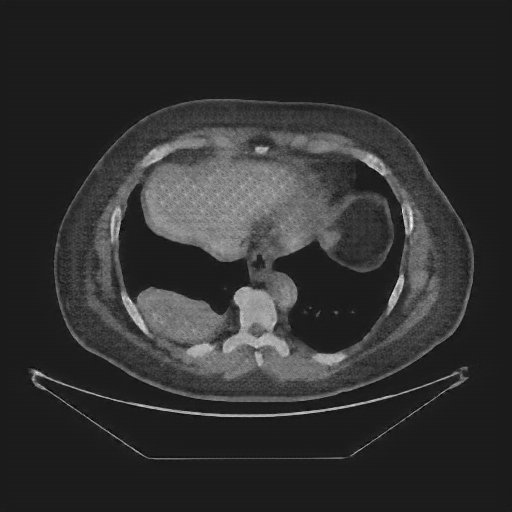
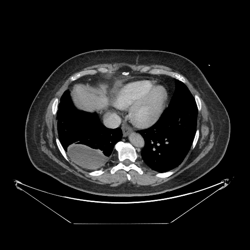
Slice 70 Targeting Evaluation
Patient ID: PD04012016
Model: cytran
Slice: Slice_70
Slice Thickness: 2.5mm
Conversion: NATIVE β VENOUS
Contains all 4 metric datasets: Network-Normalized, Hounsfield Units, Lung Window, and Mediastinum Window
| Slice ID | SSIM | RMSE | MAE | HU SSIM | HU RMSE | HU MAE | Lung SSIM | Lung RMSE | Lung MAE | Mediastinum SSIM | Mediastinum RMSE | Mediastinum MAE |
|---|---|---|---|---|---|---|---|---|---|---|---|---|
| PD04012016_slice_0 | 0.882 | 0.047 | 0.022 | 0.882 | 46.7 | 21.9 | 0.801 | 40.6 | 19.4 | 0.674 | 46.0 | 21.5 |
| PD04012016_slice_1 | 0.880 | 0.048 | 0.023 | 0.880 | 47.7 | 22.6 | 0.800 | 41.5 | 20.0 | 0.672 | 46.9 | 22.2 |
| PD04012016_slice_2 | 0.879 | 0.048 | 0.022 | 0.879 | 48.3 | 21.8 | 0.798 | 42.0 | 19.2 | 0.673 | 47.5 | 21.3 |
| PD04012016_slice_3 | 0.875 | 0.049 | 0.023 | 0.875 | 49.4 | 22.5 | 0.794 | 43.0 | 20.1 | 0.672 | 48.7 | 22.1 |
| PD04012016_slice_4 | 0.878 | 0.050 | 0.023 | 0.878 | 49.7 | 22.8 | 0.797 | 42.7 | 20.1 | 0.673 | 48.8 | 22.4 |
| PD04012016_slice_5 | 0.882 | 0.049 | 0.022 | 0.882 | 49.4 | 22.3 | 0.802 | 42.0 | 19.6 | 0.676 | 48.4 | 21.9 |
| PD04012016_slice_6 | 0.886 | 0.049 | 0.021 | 0.886 | 49.1 | 21.3 | 0.806 | 41.4 | 18.6 | 0.689 | 47.9 | 20.0 |
| PD04012016_slice_7 | 0.887 | 0.049 | 0.021 | 0.887 | 49.3 | 21.2 | 0.809 | 41.5 | 18.4 | 0.691 | 48.2 | 20.1 |
| PD04012016_slice_8 | 0.884 | 0.049 | 0.022 | 0.884 | 49.3 | 21.6 | 0.806 | 41.9 | 18.8 | 0.692 | 48.2 | 20.5 |
| PD04012016_slice_9 | 0.882 | 0.050 | 0.022 | 0.882 | 49.6 | 22.2 | 0.806 | 42.7 | 19.4 | 0.685 | 48.8 | 21.7 |
| PD04012016_slice_10 | 0.884 | 0.049 | 0.022 | 0.884 | 49.3 | 22.4 | 0.808 | 42.6 | 19.8 | 0.686 | 48.5 | 22.0 |
| PD04012016_slice_11 | 0.884 | 0.050 | 0.021 | 0.884 | 49.5 | 21.2 | 0.808 | 42.5 | 18.8 | 0.691 | 48.5 | 20.6 |
| PD04012016_slice_12 | 0.887 | 0.047 | 0.021 | 0.887 | 47.4 | 20.5 | 0.810 | 41.6 | 18.4 | 0.696 | 46.5 | 19.8 |
| PD04012016_slice_13 | 0.889 | 0.047 | 0.020 | 0.889 | 46.9 | 20.2 | 0.811 | 41.2 | 18.2 | 0.699 | 45.9 | 19.3 |
| PD04012016_slice_14 | 0.891 | 0.046 | 0.020 | 0.891 | 46.4 | 20.1 | 0.814 | 40.9 | 18.2 | 0.699 | 45.6 | 19.6 |
| PD04012016_slice_15 | 0.894 | 0.046 | 0.019 | 0.894 | 46.4 | 19.5 | 0.818 | 40.5 | 17.5 | 0.708 | 45.6 | 18.6 |
| PD04012016_slice_16 | 0.899 | 0.046 | 0.019 | 0.899 | 46.1 | 19.3 | 0.825 | 40.0 | 17.2 | 0.710 | 45.3 | 18.6 |
| PD04012016_slice_17 | 0.908 | 0.044 | 0.018 | 0.908 | 44.1 | 18.1 | 0.833 | 38.1 | 16.0 | 0.719 | 43.2 | 16.9 |
| PD04012016_slice_18 | 0.913 | 0.043 | 0.018 | 0.913 | 42.6 | 17.6 | 0.838 | 36.9 | 15.7 | 0.725 | 41.8 | 16.1 |
| PD04012016_slice_19 | 0.913 | 0.042 | 0.017 | 0.913 | 42.3 | 17.4 | 0.841 | 37.0 | 15.6 | 0.725 | 41.7 | 16.8 |
| PD04012016_slice_20 | 0.916 | 0.041 | 0.017 | 0.916 | 41.0 | 17.0 | 0.843 | 36.2 | 15.3 | 0.732 | 40.3 | 15.8 |
| PD04012016_slice_21 | 0.917 | 0.040 | 0.017 | 0.917 | 40.0 | 17.2 | 0.845 | 35.6 | 15.7 | 0.726 | 39.4 | 16.8 |
| PD04012016_slice_22 | 0.917 | 0.039 | 0.017 | 0.917 | 39.5 | 16.6 | 0.844 | 35.5 | 15.3 | 0.733 | 39.0 | 15.9 |
| PD04012016_slice_23 | 0.913 | 0.040 | 0.017 | 0.913 | 40.4 | 16.9 | 0.839 | 36.2 | 15.5 | 0.734 | 39.8 | 15.7 |
| PD04012016_slice_24 | 0.911 | 0.042 | 0.017 | 0.911 | 41.6 | 17.2 | 0.838 | 36.7 | 15.7 | 0.727 | 40.9 | 16.4 |
| PD04012016_slice_25 | 0.910 | 0.042 | 0.017 | 0.910 | 42.1 | 17.4 | 0.839 | 37.0 | 15.7 | 0.729 | 41.5 | 16.7 |
| PD04012016_slice_26 | 0.912 | 0.042 | 0.018 | 0.912 | 42.0 | 17.6 | 0.839 | 36.8 | 15.8 | 0.724 | 41.4 | 17.1 |
| PD04012016_slice_27 | 0.909 | 0.043 | 0.018 | 0.909 | 43.1 | 17.8 | 0.838 | 37.8 | 15.9 | 0.727 | 42.3 | 17.1 |
| PD04012016_slice_28 | 0.908 | 0.043 | 0.018 | 0.908 | 43.3 | 17.7 | 0.837 | 37.8 | 15.9 | 0.728 | 42.6 | 17.1 |
| PD04012016_slice_29 | 0.908 | 0.042 | 0.017 | 0.908 | 42.2 | 17.3 | 0.834 | 37.4 | 15.7 | 0.730 | 41.5 | 16.1 |
| PD04012016_slice_30 | 0.910 | 0.041 | 0.017 | 0.910 | 41.3 | 17.0 | 0.836 | 36.8 | 15.5 | 0.729 | 40.6 | 16.1 |
| PD04012016_slice_31 | 0.909 | 0.042 | 0.018 | 0.909 | 41.5 | 17.6 | 0.835 | 37.2 | 16.1 | 0.730 | 40.8 | 15.8 |
| PD04012016_slice_32 | 0.909 | 0.042 | 0.017 | 0.909 | 41.8 | 17.5 | 0.836 | 37.4 | 16.0 | 0.729 | 41.2 | 16.2 |
| PD04012016_slice_33 | 0.911 | 0.042 | 0.017 | 0.911 | 42.2 | 17.4 | 0.838 | 37.4 | 15.8 | 0.727 | 41.5 | 16.5 |
| PD04012016_slice_34 | 0.911 | 0.042 | 0.018 | 0.911 | 41.8 | 17.6 | 0.840 | 36.8 | 15.9 | 0.725 | 41.2 | 17.1 |
| PD04012016_slice_35 | 0.908 | 0.043 | 0.018 | 0.908 | 42.6 | 17.7 | 0.836 | 37.5 | 16.0 | 0.726 | 41.8 | 16.8 |
| PD04012016_slice_36 | 0.902 | 0.044 | 0.018 | 0.902 | 43.8 | 18.5 | 0.831 | 38.5 | 16.7 | 0.725 | 43.0 | 17.1 |
| PD04012016_slice_37 | 0.900 | 0.044 | 0.020 | 0.900 | 44.3 | 20.1 | 0.825 | 38.9 | 18.3 | 0.722 | 43.3 | 16.8 |
| PD04012016_slice_38 | 0.899 | 0.044 | 0.019 | 0.899 | 44.3 | 18.7 | 0.824 | 39.3 | 17.0 | 0.714 | 43.6 | 17.7 |
| PD04012016_slice_39 | 0.896 | 0.045 | 0.020 | 0.896 | 45.1 | 19.9 | 0.821 | 40.4 | 18.2 | 0.704 | 44.5 | 19.5 |
| PD04012016_slice_40 | 0.894 | 0.045 | 0.020 | 0.894 | 44.9 | 20.1 | 0.819 | 40.3 | 18.5 | 0.703 | 44.4 | 19.7 |
| PD04012016_slice_41 | 0.894 | 0.045 | 0.021 | 0.894 | 45.0 | 20.9 | 0.818 | 40.5 | 19.3 | 0.700 | 44.5 | 20.7 |
| PD04012016_slice_42 | 0.894 | 0.046 | 0.020 | 0.894 | 45.6 | 19.8 | 0.817 | 41.0 | 18.1 | 0.702 | 45.1 | 19.3 |
| PD04012016_slice_43 | 0.896 | 0.045 | 0.020 | 0.896 | 45.4 | 20.1 | 0.819 | 40.6 | 18.4 | 0.699 | 44.8 | 19.8 |
| PD04012016_slice_44 | 0.899 | 0.045 | 0.021 | 0.899 | 45.2 | 21.4 | 0.822 | 40.3 | 19.6 | 0.696 | 44.7 | 21.1 |
| PD04012016_slice_45 | 0.899 | 0.046 | 0.019 | 0.899 | 45.7 | 19.2 | 0.822 | 40.5 | 17.4 | 0.705 | 45.0 | 18.0 |
| PD04012016_slice_46 | 0.898 | 0.046 | 0.021 | 0.898 | 46.4 | 20.6 | 0.821 | 41.3 | 18.7 | 0.706 | 45.6 | 17.8 |
| PD04012016_slice_47 | 0.894 | 0.048 | 0.020 | 0.894 | 47.9 | 20.3 | 0.818 | 42.4 | 18.3 | 0.696 | 47.3 | 19.8 |
| PD04012016_slice_48 | 0.893 | 0.048 | 0.021 | 0.893 | 47.5 | 21.0 | 0.815 | 42.2 | 19.1 | 0.687 | 46.9 | 20.7 |
| PD04012016_slice_49 | 0.898 | 0.046 | 0.022 | 0.898 | 46.2 | 21.5 | 0.822 | 41.2 | 19.7 | 0.690 | 45.8 | 21.3 |
| PD04012016_slice_50 | 0.899 | 0.046 | 0.020 | 0.899 | 46.0 | 20.2 | 0.823 | 41.1 | 18.4 | 0.692 | 45.6 | 19.8 |
| PD04012016_slice_51 | 0.900 | 0.045 | 0.020 | 0.900 | 45.1 | 19.8 | 0.827 | 40.4 | 18.2 | 0.698 | 44.7 | 19.5 |
| PD04012016_slice_52 | 0.893 | 0.047 | 0.020 | 0.893 | 46.6 | 20.3 | 0.820 | 41.6 | 18.5 | 0.695 | 46.2 | 19.8 |
| PD04012016_slice_53 | 0.894 | 0.047 | 0.021 | 0.894 | 46.5 | 20.9 | 0.818 | 41.5 | 19.1 | 0.689 | 46.1 | 20.6 |
| PD04012016_slice_54 | 0.896 | 0.046 | 0.021 | 0.896 | 46.0 | 21.3 | 0.821 | 40.8 | 19.4 | 0.688 | 45.6 | 21.1 |
| PD04012016_slice_55 | 0.899 | 0.046 | 0.020 | 0.899 | 46.3 | 19.7 | 0.824 | 40.7 | 17.8 | 0.694 | 45.6 | 19.1 |
| PD04012016_slice_56 | 0.901 | 0.046 | 0.020 | 0.901 | 45.8 | 19.9 | 0.827 | 40.3 | 18.0 | 0.693 | 45.1 | 19.5 |
| PD04012016_slice_57 | 0.900 | 0.046 | 0.019 | 0.900 | 45.8 | 19.4 | 0.825 | 40.4 | 17.5 | 0.695 | 45.1 | 18.8 |
| PD04012016_slice_58 | 0.898 | 0.047 | 0.020 | 0.898 | 46.7 | 20.1 | 0.824 | 41.0 | 18.2 | 0.692 | 46.0 | 19.7 |
| PD04012016_slice_59 | 0.897 | 0.047 | 0.021 | 0.897 | 46.6 | 21.5 | 0.824 | 41.0 | 19.7 | 0.691 | 45.8 | 21.2 |
| PD04012016_slice_60 | 0.900 | 0.046 | 0.020 | 0.900 | 45.7 | 19.9 | 0.825 | 40.7 | 18.2 | 0.695 | 45.1 | 19.6 |
| PD04012016_slice_61 | 0.900 | 0.045 | 0.022 | 0.900 | 45.5 | 21.8 | 0.824 | 40.6 | 20.2 | 0.692 | 45.0 | 21.6 |
| PD04012016_slice_62 | 0.900 | 0.046 | 0.021 | 0.900 | 45.6 | 21.2 | 0.824 | 40.7 | 19.6 | 0.694 | 45.0 | 21.0 |
| PD04012016_slice_63 | 0.904 | 0.045 | 0.019 | 0.904 | 44.9 | 19.4 | 0.828 | 40.0 | 17.7 | 0.699 | 44.4 | 18.9 |
| PD04012016_slice_64 | 0.901 | 0.047 | 0.020 | 0.901 | 46.7 | 19.7 | 0.824 | 41.7 | 17.9 | 0.698 | 46.1 | 19.1 |
| PD04012016_slice_65 | 0.892 | 0.049 | 0.021 | 0.892 | 49.1 | 20.7 | 0.815 | 44.3 | 18.9 | 0.696 | 48.5 | 19.7 |
| PD04012016_slice_66 | 0.883 | 0.051 | 0.022 | 0.883 | 50.6 | 21.6 | 0.809 | 46.1 | 19.8 | 0.690 | 50.0 | 21.0 |
| PD04012016_slice_67 | 0.874 | 0.052 | 0.022 | 0.874 | 52.0 | 22.3 | 0.800 | 48.0 | 20.7 | 0.686 | 51.6 | 21.5 |
| PD04012016_slice_68 | 0.866 | 0.054 | 0.024 | 0.866 | 53.5 | 23.6 | 0.791 | 49.6 | 22.0 | 0.675 | 53.1 | 23.2 |
| PD04012016_slice_69 | 0.868 | 0.053 | 0.023 | 0.868 | 53.0 | 23.0 | 0.792 | 49.2 | 21.5 | 0.681 | 52.5 | 22.2 |
| PD04012016_slice_70 | 0.870 | 0.052 | 0.023 | 0.870 | 52.1 | 23.1 | 0.794 | 48.3 | 21.6 | 0.677 | 51.7 | 22.4 |
| PD04012016_slice_71 | 0.869 | 0.052 | 0.024 | 0.869 | 52.0 | 23.5 | 0.795 | 48.4 | 22.1 | 0.673 | 51.6 | 23.0 |
| PD04012016_slice_72 | 0.862 | 0.054 | 0.024 | 0.862 | 54.0 | 24.4 | 0.787 | 50.6 | 23.1 | 0.671 | 53.6 | 23.3 |
| PD04012016_slice_73 | 0.858 | 0.055 | 0.025 | 0.858 | 55.3 | 25.0 | 0.784 | 52.2 | 23.7 | 0.666 | 54.9 | 24.1 |
| PD04012016_slice_74 | 0.852 | 0.057 | 0.026 | 0.852 | 57.3 | 26.1 | 0.778 | 54.2 | 24.8 | 0.659 | 56.8 | 25.3 |
| PD04012016_slice_75 | 0.853 | 0.058 | 0.026 | 0.853 | 57.9 | 26.3 | 0.778 | 54.9 | 24.9 | 0.657 | 57.5 | 25.6 |
| PD04012016_slice_76 | 0.853 | 0.058 | 0.026 | 0.853 | 58.2 | 26.5 | 0.779 | 55.1 | 25.0 | 0.651 | 57.9 | 25.9 |
| PD04012016_slice_77 | 0.853 | 0.058 | 0.026 | 0.853 | 57.7 | 26.3 | 0.777 | 54.5 | 24.9 | 0.644 | 57.4 | 26.0 |
| PD04012016_slice_78 | 0.850 | 0.059 | 0.027 | 0.850 | 58.6 | 27.2 | 0.774 | 55.5 | 25.7 | 0.640 | 58.3 | 26.9 |
| PD04012016_slice_79 | 0.852 | 0.058 | 0.027 | 0.852 | 58.0 | 26.8 | 0.774 | 55.1 | 25.5 | 0.639 | 57.7 | 26.6 |
| PD04012016_slice_80 | 0.856 | 0.057 | 0.026 | 0.856 | 56.8 | 25.5 | 0.777 | 53.9 | 24.3 | 0.643 | 56.5 | 25.1 |
| PD04012016_slice_81 | 0.852 | 0.057 | 0.026 | 0.852 | 57.3 | 25.8 | 0.773 | 54.5 | 24.6 | 0.645 | 56.9 | 24.6 |
| PD04012016_slice_82 | 0.850 | 0.057 | 0.026 | 0.850 | 57.3 | 25.9 | 0.771 | 54.7 | 24.7 | 0.642 | 57.0 | 25.2 |
| PD04012016_slice_83 | 0.852 | 0.057 | 0.026 | 0.852 | 56.8 | 25.7 | 0.774 | 54.2 | 24.6 | 0.644 | 56.4 | 25.1 |
| PD04012016_slice_84 | 0.855 | 0.055 | 0.025 | 0.855 | 55.4 | 25.1 | 0.777 | 52.8 | 23.9 | 0.643 | 55.0 | 24.6 |
| PD04012016_slice_85 | 0.857 | 0.055 | 0.025 | 0.857 | 54.8 | 25.0 | 0.778 | 52.4 | 23.8 | 0.639 | 54.6 | 24.7 |
| PD04012016_slice_86 | 0.858 | 0.055 | 0.025 | 0.858 | 55.0 | 24.7 | 0.777 | 52.7 | 23.6 | 0.640 | 54.8 | 24.4 |
| PD04012016_slice_87 | 0.861 | 0.055 | 0.024 | 0.861 | 54.7 | 24.5 | 0.780 | 52.4 | 23.4 | 0.642 | 54.5 | 24.2 |
| PD04012016_slice_88 | 0.866 | 0.053 | 0.024 | 0.866 | 53.5 | 23.9 | 0.781 | 51.1 | 22.8 | 0.643 | 53.1 | 22.7 |
| PD04012016_slice_89 | 0.863 | 0.053 | 0.024 | 0.863 | 53.5 | 24.1 | 0.776 | 51.1 | 22.9 | 0.636 | 53.2 | 23.5 |
| PD04012016_slice_90 | 0.866 | 0.052 | 0.023 | 0.866 | 52.0 | 23.4 | 0.776 | 49.6 | 22.4 | 0.635 | 51.8 | 22.9 |
| PD04012016_slice_91 | 0.864 | 0.052 | 0.024 | 0.864 | 51.6 | 23.6 | 0.772 | 49.2 | 22.6 | 0.631 | 51.3 | 23.3 |
| PD04012016_slice_92 | 0.864 | 0.051 | 0.023 | 0.864 | 50.6 | 23.2 | 0.770 | 48.4 | 22.3 | 0.630 | 50.4 | 22.7 |
| PD04012016_slice_93 | 0.865 | 0.050 | 0.023 | 0.865 | 50.1 | 23.4 | 0.770 | 48.0 | 22.5 | 0.629 | 49.9 | 23.1 |
| PD04012016_slice_94 | 0.870 | 0.049 | 0.023 | 0.870 | 49.0 | 23.1 | 0.775 | 46.9 | 22.1 | 0.630 | 48.8 | 22.7 |
| PD04012016_slice_95 | 0.871 | 0.049 | 0.023 | 0.871 | 48.6 | 23.3 | 0.776 | 46.4 | 22.3 | 0.636 | 48.2 | 21.7 |
| PD04012016_slice_96 | 0.871 | 0.048 | 0.023 | 0.871 | 48.4 | 22.9 | 0.776 | 46.2 | 21.9 | 0.632 | 48.1 | 22.3 |
| PD04012016_slice_97 | 0.865 | 0.049 | 0.024 | 0.865 | 49.4 | 24.0 | 0.771 | 47.1 | 22.9 | 0.625 | 49.1 | 23.8 |
4Γ3 grid: Rows show different image types (Original NATIVE, Reconstructed NATIVE, Original VENOUS, Generated VENOUS), Columns show windowing techniques (No Window, Lung Window, Mediastinum Window)