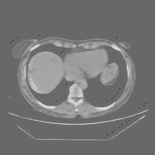
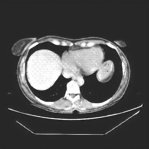
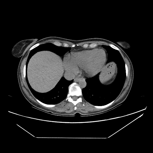
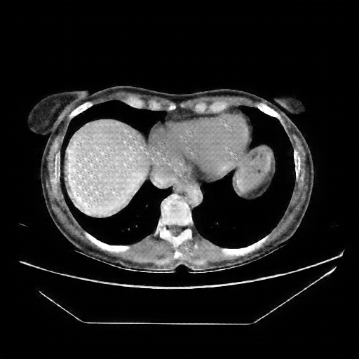
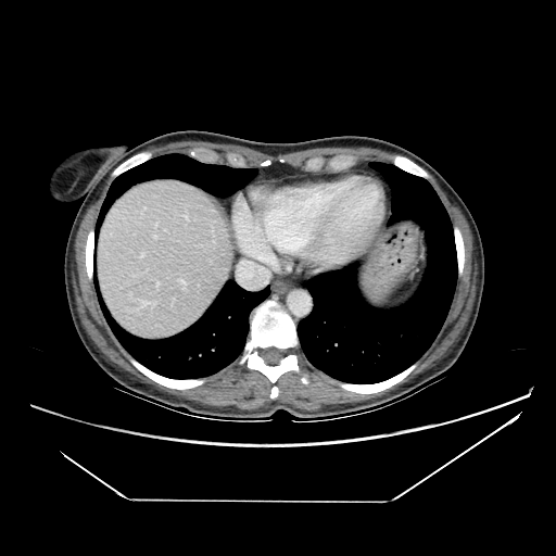
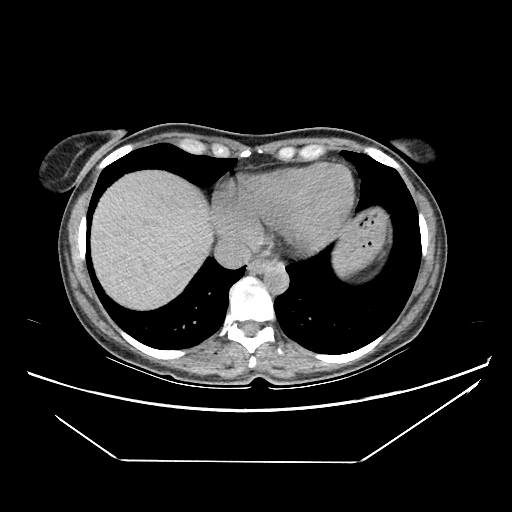
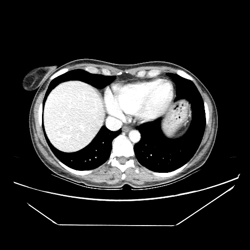
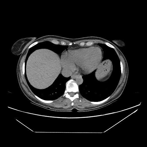
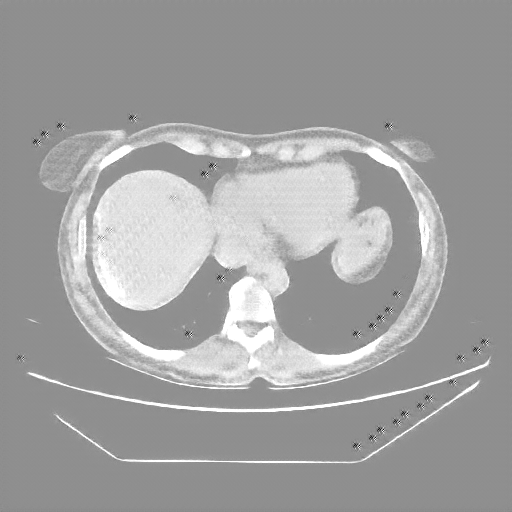
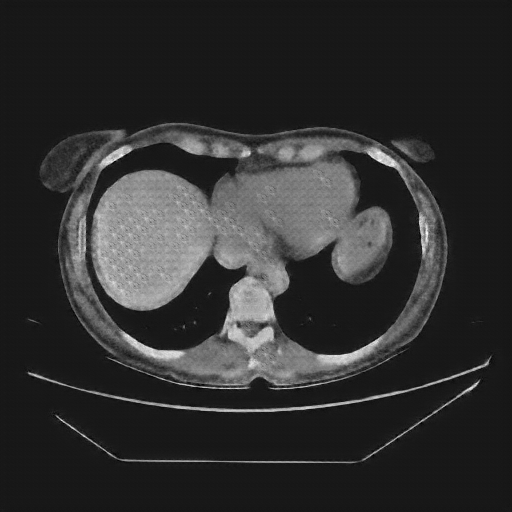
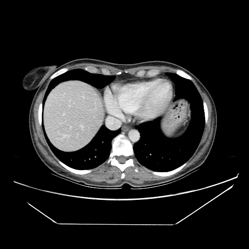
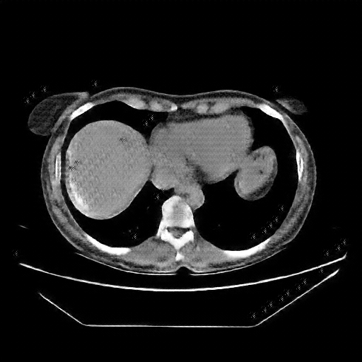
Slice 70 Targeting Evaluation
Patient ID: PM03022021
Model: cytran
Slice: Slice_70
Slice Thickness: 2.5mm
Conversion: NATIVE β VENOUS
Contains all 4 metric datasets: Network-Normalized, Hounsfield Units, Lung Window, and Mediastinum Window
| Slice ID | SSIM | RMSE | MAE | HU SSIM | HU RMSE | HU MAE | Lung SSIM | Lung RMSE | Lung MAE | Mediastinum SSIM | Mediastinum RMSE | Mediastinum MAE |
|---|---|---|---|---|---|---|---|---|---|---|---|---|
| PM03022021_slice_0 | 0.925 | 0.037 | 0.017 | 0.925 | 36.7 | 16.9 | 0.857 | 32.0 | 14.6 | 0.755 | 36.4 | 16.6 |
| PM03022021_slice_1 | 0.925 | 0.037 | 0.017 | 0.925 | 36.8 | 16.6 | 0.857 | 32.1 | 14.4 | 0.756 | 36.5 | 16.2 |
| PM03022021_slice_2 | 0.921 | 0.038 | 0.017 | 0.921 | 38.3 | 16.9 | 0.854 | 33.2 | 14.6 | 0.754 | 37.9 | 16.4 |
| PM03022021_slice_3 | 0.921 | 0.039 | 0.017 | 0.921 | 39.2 | 16.8 | 0.855 | 33.7 | 14.5 | 0.758 | 38.8 | 16.1 |
| PM03022021_slice_4 | 0.926 | 0.037 | 0.016 | 0.926 | 37.2 | 16.3 | 0.858 | 32.3 | 14.1 | 0.763 | 36.8 | 15.5 |
| PM03022021_slice_5 | 0.925 | 0.037 | 0.016 | 0.925 | 36.9 | 16.3 | 0.857 | 32.3 | 14.2 | 0.760 | 36.4 | 15.6 |
| PM03022021_slice_6 | 0.923 | 0.036 | 0.016 | 0.923 | 36.3 | 16.5 | 0.857 | 32.4 | 14.5 | 0.759 | 35.8 | 15.9 |
| PM03022021_slice_7 | 0.926 | 0.037 | 0.016 | 0.926 | 36.8 | 16.1 | 0.864 | 32.4 | 13.9 | 0.770 | 36.3 | 14.8 |
| PM03022021_slice_8 | 0.929 | 0.037 | 0.016 | 0.929 | 37.3 | 15.9 | 0.868 | 32.4 | 13.7 | 0.773 | 36.7 | 14.3 |
| PM03022021_slice_9 | 0.933 | 0.037 | 0.016 | 0.933 | 36.8 | 15.7 | 0.874 | 31.9 | 13.5 | 0.780 | 36.2 | 13.7 |
| PM03022021_slice_10 | 0.931 | 0.037 | 0.016 | 0.931 | 37.3 | 15.6 | 0.873 | 32.2 | 13.3 | 0.776 | 36.7 | 14.3 |
| PM03022021_slice_11 | 0.931 | 0.038 | 0.016 | 0.931 | 37.8 | 16.1 | 0.873 | 32.4 | 13.7 | 0.777 | 37.1 | 14.4 |
| PM03022021_slice_12 | 0.932 | 0.037 | 0.016 | 0.932 | 36.7 | 15.5 | 0.875 | 31.7 | 13.3 | 0.773 | 36.2 | 14.8 |
| PM03022021_slice_13 | 0.930 | 0.037 | 0.016 | 0.930 | 37.4 | 15.9 | 0.871 | 32.5 | 13.7 | 0.770 | 36.8 | 15.3 |
| PM03022021_slice_14 | 0.932 | 0.037 | 0.015 | 0.932 | 36.5 | 15.4 | 0.872 | 32.2 | 13.4 | 0.776 | 36.1 | 14.6 |
| PM03022021_slice_15 | 0.929 | 0.038 | 0.016 | 0.929 | 37.9 | 15.8 | 0.872 | 33.1 | 13.6 | 0.776 | 37.4 | 15.0 |
| PM03022021_slice_16 | 0.930 | 0.038 | 0.016 | 0.930 | 38.2 | 15.9 | 0.874 | 33.2 | 13.7 | 0.779 | 37.8 | 14.1 |
| PM03022021_slice_17 | 0.932 | 0.038 | 0.016 | 0.932 | 38.0 | 15.5 | 0.875 | 32.8 | 13.2 | 0.780 | 37.4 | 13.9 |
| PM03022021_slice_18 | 0.930 | 0.039 | 0.016 | 0.930 | 38.7 | 15.7 | 0.871 | 33.5 | 13.3 | 0.772 | 38.3 | 14.5 |
| PM03022021_slice_19 | 0.929 | 0.038 | 0.016 | 0.929 | 38.2 | 15.6 | 0.869 | 33.6 | 13.4 | 0.767 | 37.8 | 14.8 |
| PM03022021_slice_20 | 0.924 | 0.040 | 0.016 | 0.924 | 39.9 | 16.2 | 0.863 | 35.1 | 14.1 | 0.765 | 39.4 | 15.0 |
| PM03022021_slice_21 | 0.922 | 0.041 | 0.016 | 0.922 | 40.6 | 16.4 | 0.859 | 35.8 | 14.3 | 0.760 | 40.0 | 15.3 |
| PM03022021_slice_22 | 0.919 | 0.041 | 0.017 | 0.919 | 41.4 | 16.7 | 0.856 | 36.3 | 14.5 | 0.755 | 40.7 | 15.8 |
| PM03022021_slice_23 | 0.923 | 0.040 | 0.016 | 0.923 | 40.2 | 16.2 | 0.862 | 35.1 | 14.1 | 0.762 | 39.6 | 15.4 |
| PM03022021_slice_24 | 0.925 | 0.041 | 0.017 | 0.925 | 40.7 | 16.8 | 0.865 | 35.2 | 14.5 | 0.772 | 40.0 | 14.6 |
| PM03022021_slice_25 | 0.928 | 0.039 | 0.016 | 0.928 | 39.4 | 16.0 | 0.871 | 34.0 | 13.7 | 0.775 | 38.8 | 14.8 |
| PM03022021_slice_26 | 0.931 | 0.038 | 0.016 | 0.931 | 37.8 | 15.8 | 0.873 | 32.8 | 13.4 | 0.771 | 37.4 | 15.1 |
| PM03022021_slice_27 | 0.934 | 0.036 | 0.015 | 0.934 | 36.4 | 15.5 | 0.876 | 31.7 | 13.1 | 0.773 | 36.0 | 14.8 |
| PM03022021_slice_28 | 0.932 | 0.037 | 0.016 | 0.932 | 37.1 | 16.1 | 0.875 | 32.1 | 13.6 | 0.766 | 36.7 | 15.6 |
| PM03022021_slice_29 | 0.930 | 0.037 | 0.016 | 0.930 | 37.4 | 15.9 | 0.870 | 33.0 | 13.8 | 0.767 | 36.9 | 15.3 |
| PM03022021_slice_30 | 0.926 | 0.039 | 0.016 | 0.926 | 38.5 | 16.4 | 0.865 | 34.3 | 14.3 | 0.764 | 38.1 | 15.7 |
| PM03022021_slice_31 | 0.921 | 0.039 | 0.017 | 0.921 | 39.1 | 17.4 | 0.859 | 34.8 | 15.3 | 0.755 | 38.6 | 16.9 |
| PM03022021_slice_32 | 0.924 | 0.038 | 0.017 | 0.924 | 37.7 | 16.5 | 0.862 | 33.4 | 14.5 | 0.759 | 37.1 | 16.0 |
| PM03022021_slice_33 | 0.924 | 0.038 | 0.016 | 0.924 | 38.2 | 16.3 | 0.864 | 33.6 | 14.0 | 0.767 | 37.6 | 15.3 |
| PM03022021_slice_34 | 0.927 | 0.037 | 0.016 | 0.927 | 37.2 | 15.9 | 0.865 | 32.6 | 13.6 | 0.767 | 36.8 | 15.1 |
| PM03022021_slice_35 | 0.928 | 0.037 | 0.016 | 0.928 | 37.0 | 15.9 | 0.867 | 32.3 | 13.5 | 0.770 | 36.5 | 14.8 |
| PM03022021_slice_36 | 0.927 | 0.038 | 0.016 | 0.927 | 37.6 | 16.1 | 0.867 | 33.0 | 13.7 | 0.769 | 37.2 | 15.3 |
| PM03022021_slice_37 | 0.924 | 0.038 | 0.017 | 0.924 | 38.3 | 16.8 | 0.863 | 33.7 | 14.5 | 0.759 | 38.1 | 16.4 |
| PM03022021_slice_38 | 0.926 | 0.038 | 0.016 | 0.926 | 38.4 | 16.4 | 0.866 | 33.8 | 14.1 | 0.765 | 38.0 | 15.7 |
| PM03022021_slice_39 | 0.923 | 0.038 | 0.017 | 0.923 | 38.4 | 16.6 | 0.863 | 34.2 | 14.5 | 0.762 | 38.1 | 16.0 |
| PM03022021_slice_40 | 0.920 | 0.039 | 0.017 | 0.920 | 39.1 | 17.3 | 0.860 | 34.9 | 15.4 | 0.759 | 38.8 | 16.9 |
| PM03022021_slice_41 | 0.926 | 0.038 | 0.016 | 0.926 | 38.0 | 16.5 | 0.869 | 33.8 | 14.6 | 0.771 | 37.5 | 16.0 |
| PM03022021_slice_42 | 0.930 | 0.037 | 0.016 | 0.930 | 36.5 | 16.0 | 0.874 | 32.3 | 14.0 | 0.776 | 36.1 | 15.5 |
| PM03022021_slice_43 | 0.932 | 0.036 | 0.017 | 0.932 | 35.6 | 16.6 | 0.876 | 31.5 | 14.6 | 0.772 | 35.3 | 16.4 |
| PM03022021_slice_44 | 0.937 | 0.035 | 0.015 | 0.937 | 34.5 | 14.8 | 0.880 | 30.4 | 12.7 | 0.786 | 34.1 | 13.7 |
| PM03022021_slice_45 | 0.936 | 0.035 | 0.015 | 0.936 | 34.5 | 14.9 | 0.879 | 30.3 | 12.7 | 0.785 | 34.1 | 13.4 |
| PM03022021_slice_46 | 0.936 | 0.035 | 0.016 | 0.936 | 34.7 | 15.9 | 0.879 | 30.3 | 13.8 | 0.772 | 34.3 | 15.6 |
| PM03022021_slice_47 | 0.932 | 0.036 | 0.017 | 0.932 | 35.7 | 17.4 | 0.875 | 31.6 | 15.4 | 0.766 | 35.3 | 17.2 |
| PM03022021_slice_48 | 0.931 | 0.036 | 0.017 | 0.931 | 36.4 | 16.7 | 0.874 | 32.5 | 14.7 | 0.766 | 36.0 | 16.4 |
| PM03022021_slice_49 | 0.931 | 0.037 | 0.016 | 0.931 | 36.6 | 15.6 | 0.875 | 32.4 | 13.5 | 0.772 | 36.2 | 15.0 |
| PM03022021_slice_50 | 0.931 | 0.037 | 0.016 | 0.931 | 36.9 | 15.5 | 0.876 | 32.7 | 13.4 | 0.773 | 36.5 | 14.9 |
| PM03022021_slice_51 | 0.932 | 0.037 | 0.016 | 0.932 | 37.1 | 15.8 | 0.878 | 32.8 | 13.6 | 0.786 | 36.6 | 13.8 |
| PM03022021_slice_52 | 0.935 | 0.036 | 0.015 | 0.935 | 35.5 | 15.3 | 0.881 | 31.4 | 13.2 | 0.776 | 35.3 | 14.8 |
| PM03022021_slice_53 | 0.936 | 0.035 | 0.016 | 0.936 | 35.3 | 16.3 | 0.884 | 31.2 | 14.2 | 0.770 | 35.0 | 16.1 |
| PM03022021_slice_54 | 0.938 | 0.035 | 0.015 | 0.938 | 34.7 | 15.4 | 0.886 | 30.6 | 13.3 | 0.775 | 34.4 | 15.1 |
| PM03022021_slice_55 | 0.941 | 0.034 | 0.015 | 0.941 | 33.9 | 14.7 | 0.893 | 29.3 | 12.4 | 0.780 | 33.6 | 14.3 |
| PM03022021_slice_56 | 0.945 | 0.034 | 0.014 | 0.945 | 33.6 | 14.2 | 0.898 | 28.7 | 11.7 | 0.796 | 33.2 | 13.0 |
| PM03022021_slice_57 | 0.947 | 0.033 | 0.014 | 0.947 | 33.0 | 13.9 | 0.901 | 28.1 | 11.5 | 0.797 | 32.6 | 13.2 |
| PM03022021_slice_58 | 0.947 | 0.033 | 0.014 | 0.947 | 33.0 | 14.1 | 0.900 | 28.3 | 11.9 | 0.791 | 32.6 | 13.7 |
| PM03022021_slice_59 | 0.945 | 0.033 | 0.014 | 0.945 | 33.2 | 14.5 | 0.898 | 28.7 | 12.2 | 0.788 | 32.9 | 14.1 |
| PM03022021_slice_60 | 0.933 | 0.038 | 0.016 | 0.933 | 38.2 | 15.8 | 0.884 | 34.2 | 13.5 | 0.778 | 37.8 | 15.3 |
| PM03022021_slice_61 | 0.928 | 0.040 | 0.017 | 0.928 | 40.3 | 16.7 | 0.879 | 36.7 | 14.6 | 0.770 | 40.0 | 16.3 |
| PM03022021_slice_62 | 0.931 | 0.039 | 0.016 | 0.931 | 38.9 | 16.2 | 0.880 | 35.2 | 14.0 | 0.769 | 38.6 | 15.7 |
| PM03022021_slice_63 | 0.931 | 0.039 | 0.016 | 0.931 | 38.7 | 16.1 | 0.881 | 34.9 | 13.9 | 0.779 | 38.4 | 14.7 |
| PM03022021_slice_64 | 0.930 | 0.038 | 0.017 | 0.930 | 38.1 | 16.7 | 0.878 | 34.6 | 14.5 | 0.762 | 37.9 | 16.4 |
| PM03022021_slice_65 | 0.928 | 0.039 | 0.017 | 0.928 | 38.6 | 16.7 | 0.875 | 34.8 | 14.4 | 0.760 | 38.4 | 16.3 |
| PM03022021_slice_66 | 0.925 | 0.039 | 0.017 | 0.925 | 39.4 | 16.5 | 0.869 | 35.6 | 14.4 | 0.765 | 39.1 | 15.4 |
| PM03022021_slice_67 | 0.924 | 0.040 | 0.017 | 0.924 | 39.7 | 16.6 | 0.868 | 35.8 | 14.4 | 0.762 | 39.3 | 15.5 |
| PM03022021_slice_68 | 0.923 | 0.040 | 0.018 | 0.923 | 39.7 | 17.7 | 0.868 | 35.9 | 15.5 | 0.751 | 39.4 | 17.4 |
| PM03022021_slice_69 | 0.922 | 0.040 | 0.017 | 0.922 | 40.2 | 17.1 | 0.866 | 36.1 | 14.9 | 0.756 | 39.9 | 16.5 |
| PM03022021_slice_70 | 0.923 | 0.039 | 0.017 | 0.923 | 39.3 | 17.1 | 0.867 | 35.3 | 14.9 | 0.754 | 39.0 | 16.7 |
| PM03022021_slice_71 | 0.929 | 0.037 | 0.016 | 0.929 | 37.4 | 15.9 | 0.873 | 33.8 | 14.0 | 0.765 | 37.0 | 14.9 |
| PM03022021_slice_72 | 0.932 | 0.037 | 0.016 | 0.932 | 37.1 | 15.8 | 0.877 | 33.7 | 13.9 | 0.766 | 36.7 | 15.1 |
| PM03022021_slice_73 | 0.935 | 0.035 | 0.015 | 0.935 | 35.3 | 15.3 | 0.878 | 32.1 | 13.6 | 0.764 | 35.0 | 15.0 |
| PM03022021_slice_74 | 0.931 | 0.036 | 0.016 | 0.931 | 35.7 | 15.6 | 0.871 | 32.7 | 14.0 | 0.768 | 35.3 | 13.9 |
| PM03022021_slice_75 | 0.929 | 0.035 | 0.016 | 0.929 | 35.4 | 15.5 | 0.867 | 32.6 | 14.0 | 0.751 | 35.2 | 15.2 |
| PM03022021_slice_76 | 0.929 | 0.036 | 0.015 | 0.929 | 35.5 | 15.4 | 0.865 | 33.0 | 13.9 | 0.750 | 35.3 | 14.7 |
| PM03022021_slice_77 | 0.927 | 0.036 | 0.016 | 0.927 | 35.6 | 15.7 | 0.863 | 33.3 | 14.3 | 0.748 | 35.4 | 14.5 |
| PM03022021_slice_78 | 0.928 | 0.036 | 0.016 | 0.928 | 35.8 | 15.9 | 0.864 | 33.4 | 14.5 | 0.741 | 35.6 | 15.4 |
| PM03022021_slice_79 | 0.933 | 0.034 | 0.016 | 0.933 | 34.0 | 15.7 | 0.869 | 31.7 | 14.3 | 0.741 | 33.9 | 15.4 |
| PM03022021_slice_80 | 0.936 | 0.033 | 0.015 | 0.936 | 33.3 | 14.9 | 0.872 | 31.1 | 13.6 | 0.749 | 33.1 | 13.9 |
| PM03022021_slice_81 | 0.935 | 0.034 | 0.015 | 0.935 | 33.7 | 15.3 | 0.872 | 31.4 | 14.0 | 0.746 | 33.5 | 14.8 |
| PM03022021_slice_82 | 0.935 | 0.034 | 0.015 | 0.935 | 34.4 | 15.4 | 0.872 | 32.0 | 14.1 | 0.748 | 34.2 | 14.8 |
| PM03022021_slice_83 | 0.931 | 0.035 | 0.016 | 0.931 | 35.1 | 15.8 | 0.866 | 32.6 | 14.4 | 0.741 | 34.9 | 15.1 |
| PM03022021_slice_84 | 0.929 | 0.036 | 0.016 | 0.929 | 35.7 | 16.1 | 0.865 | 33.0 | 14.6 | 0.736 | 35.6 | 15.7 |
| PM03022021_slice_85 | 0.926 | 0.037 | 0.017 | 0.926 | 36.5 | 16.8 | 0.860 | 33.7 | 15.1 | 0.730 | 36.3 | 16.4 |
| PM03022021_slice_86 | 0.926 | 0.036 | 0.017 | 0.926 | 36.4 | 16.6 | 0.861 | 33.6 | 15.0 | 0.734 | 36.2 | 16.2 |
| PM03022021_slice_87 | 0.924 | 0.037 | 0.017 | 0.924 | 36.5 | 17.1 | 0.858 | 33.9 | 15.5 | 0.731 | 36.3 | 16.8 |
| PM03022021_slice_88 | 0.926 | 0.036 | 0.016 | 0.926 | 35.8 | 16.4 | 0.860 | 33.4 | 15.0 | 0.739 | 35.6 | 15.8 |
| PM03022021_slice_89 | 0.930 | 0.035 | 0.016 | 0.930 | 35.1 | 16.2 | 0.865 | 32.9 | 14.8 | 0.745 | 34.9 | 15.2 |
| PM03022021_slice_90 | 0.933 | 0.034 | 0.016 | 0.933 | 34.4 | 16.0 | 0.867 | 32.2 | 14.7 | 0.741 | 34.3 | 15.5 |
| PM03022021_slice_91 | 0.930 | 0.035 | 0.016 | 0.930 | 35.1 | 16.1 | 0.861 | 33.0 | 14.8 | 0.736 | 35.0 | 15.3 |
| PM03022021_slice_92 | 0.925 | 0.036 | 0.017 | 0.925 | 36.3 | 16.6 | 0.853 | 33.8 | 15.1 | 0.728 | 36.1 | 15.9 |
| PM03022021_slice_93 | 0.924 | 0.037 | 0.017 | 0.924 | 36.7 | 16.9 | 0.851 | 34.0 | 15.4 | 0.720 | 36.5 | 16.4 |
| PM03022021_slice_94 | 0.924 | 0.037 | 0.017 | 0.924 | 36.5 | 16.7 | 0.852 | 33.7 | 15.1 | 0.723 | 36.3 | 16.3 |
4Γ3 grid: Rows show different image types (Original NATIVE, Reconstructed NATIVE, Original VENOUS, Generated VENOUS), Columns show windowing techniques (No Window, Lung Window, Mediastinum Window)