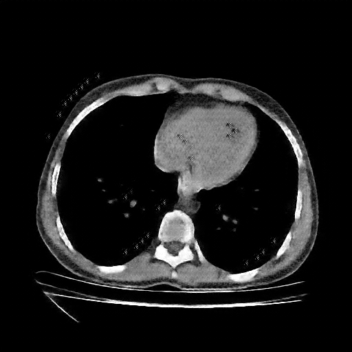
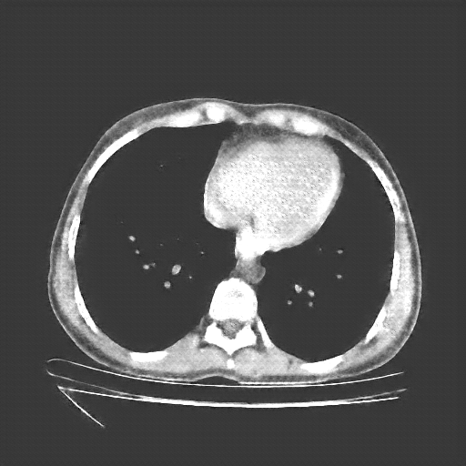
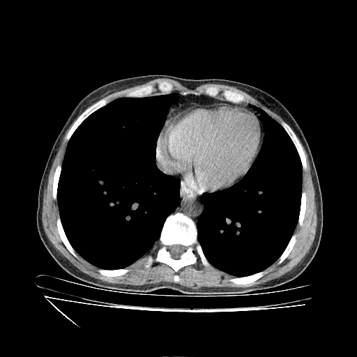
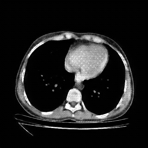
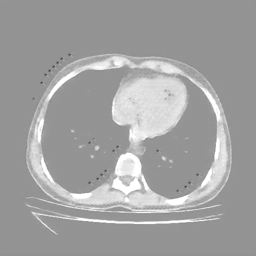
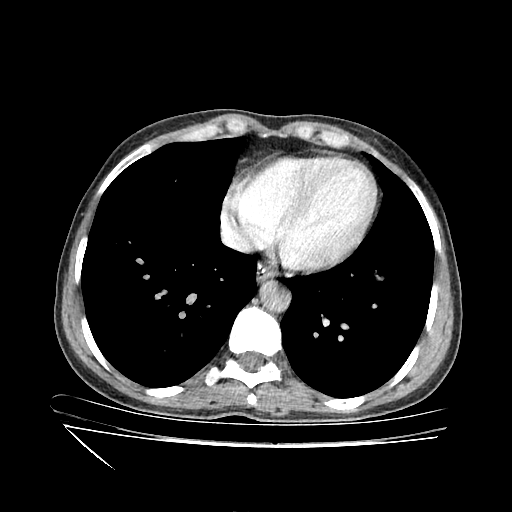
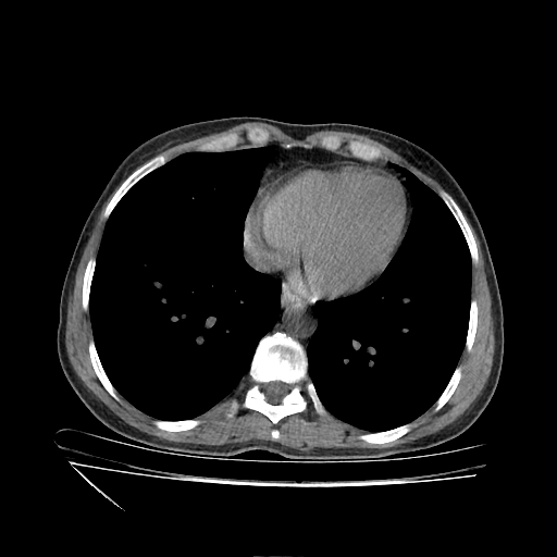
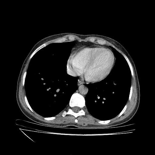
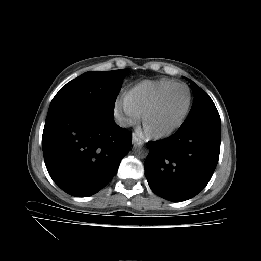
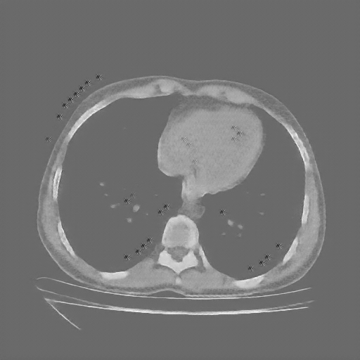
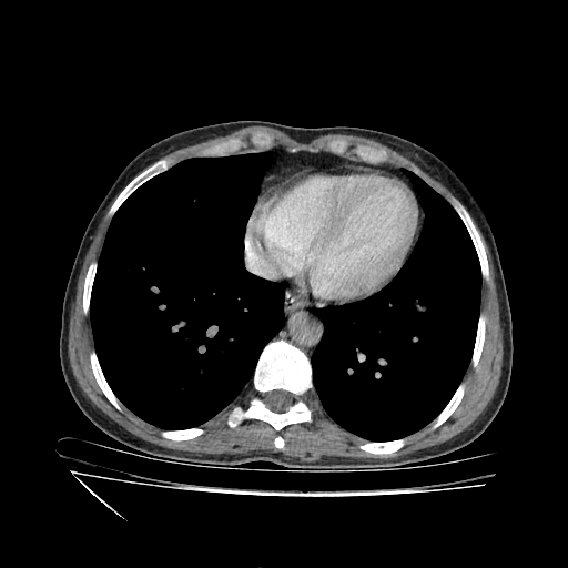
Slice 70 Targeting Evaluation
Patient ID: PP08072020
Model: cytran
Slice: Slice_70
Slice Thickness: 2.5mm
Conversion: NATIVE β VENOUS
Contains all 4 metric datasets: Network-Normalized, Hounsfield Units, Lung Window, and Mediastinum Window
| Slice ID | SSIM | RMSE | MAE | HU SSIM | HU RMSE | HU MAE | Lung SSIM | Lung RMSE | Lung MAE | Mediastinum SSIM | Mediastinum RMSE | Mediastinum MAE |
|---|---|---|---|---|---|---|---|---|---|---|---|---|
| PP08072020_slice_0 | 0.912 | 0.039 | 0.019 | 0.912 | 38.7 | 18.5 | 0.829 | 33.3 | 15.7 | 0.700 | 38.3 | 18.1 |
| PP08072020_slice_1 | 0.903 | 0.044 | 0.020 | 0.903 | 43.6 | 20.1 | 0.817 | 37.6 | 17.2 | 0.690 | 43.1 | 19.7 |
| PP08072020_slice_2 | 0.897 | 0.047 | 0.021 | 0.897 | 46.7 | 20.7 | 0.813 | 39.6 | 17.3 | 0.688 | 46.4 | 20.1 |
| PP08072020_slice_3 | 0.898 | 0.046 | 0.020 | 0.898 | 45.7 | 20.2 | 0.814 | 39.6 | 17.1 | 0.692 | 45.6 | 19.5 |
| PP08072020_slice_4 | 0.900 | 0.047 | 0.020 | 0.900 | 47.3 | 20.4 | 0.818 | 40.6 | 17.5 | 0.692 | 47.2 | 20.2 |
| PP08072020_slice_5 | 0.915 | 0.039 | 0.018 | 0.915 | 38.9 | 18.2 | 0.836 | 34.1 | 15.6 | 0.704 | 38.8 | 18.0 |
| PP08072020_slice_6 | 0.921 | 0.036 | 0.017 | 0.921 | 36.2 | 17.4 | 0.843 | 31.9 | 14.9 | 0.710 | 36.0 | 17.1 |
| PP08072020_slice_7 | 0.919 | 0.036 | 0.017 | 0.919 | 36.3 | 17.2 | 0.843 | 31.8 | 14.7 | 0.713 | 36.1 | 16.9 |
| PP08072020_slice_8 | 0.920 | 0.036 | 0.017 | 0.920 | 35.6 | 16.5 | 0.846 | 31.4 | 14.0 | 0.721 | 35.4 | 15.9 |
| PP08072020_slice_9 | 0.930 | 0.034 | 0.016 | 0.930 | 33.7 | 16.0 | 0.859 | 29.6 | 13.6 | 0.732 | 33.5 | 15.7 |
| PP08072020_slice_10 | 0.931 | 0.034 | 0.016 | 0.931 | 33.8 | 15.9 | 0.865 | 29.7 | 13.4 | 0.740 | 33.6 | 15.6 |
| PP08072020_slice_11 | 0.931 | 0.035 | 0.016 | 0.931 | 34.7 | 15.5 | 0.866 | 30.2 | 13.0 | 0.744 | 34.5 | 15.0 |
| PP08072020_slice_12 | 0.931 | 0.035 | 0.016 | 0.931 | 35.0 | 15.9 | 0.866 | 30.5 | 13.4 | 0.743 | 34.7 | 15.6 |
| PP08072020_slice_13 | 0.930 | 0.035 | 0.016 | 0.930 | 35.2 | 16.2 | 0.862 | 31.0 | 14.1 | 0.740 | 35.0 | 16.0 |
| PP08072020_slice_14 | 0.921 | 0.036 | 0.018 | 0.921 | 36.2 | 17.7 | 0.852 | 32.3 | 15.7 | 0.736 | 36.0 | 17.6 |
| PP08072020_slice_15 | 0.915 | 0.038 | 0.017 | 0.915 | 38.3 | 17.2 | 0.845 | 33.7 | 15.1 | 0.734 | 37.9 | 16.8 |
| PP08072020_slice_16 | 0.919 | 0.037 | 0.018 | 0.919 | 37.5 | 17.6 | 0.848 | 33.4 | 15.7 | 0.734 | 37.1 | 17.4 |
| PP08072020_slice_17 | 0.921 | 0.037 | 0.018 | 0.921 | 36.8 | 17.6 | 0.853 | 32.7 | 15.6 | 0.740 | 36.5 | 17.3 |
| PP08072020_slice_18 | 0.924 | 0.037 | 0.017 | 0.924 | 36.6 | 16.5 | 0.856 | 32.2 | 14.4 | 0.746 | 36.2 | 16.2 |
| PP08072020_slice_19 | 0.922 | 0.037 | 0.017 | 0.922 | 37.0 | 16.7 | 0.855 | 32.7 | 14.5 | 0.748 | 36.7 | 16.2 |
| PP08072020_slice_20 | 0.921 | 0.038 | 0.017 | 0.921 | 37.9 | 16.8 | 0.854 | 33.4 | 14.7 | 0.746 | 37.5 | 16.4 |
| PP08072020_slice_21 | 0.920 | 0.037 | 0.017 | 0.920 | 37.0 | 16.5 | 0.853 | 33.0 | 14.6 | 0.745 | 36.6 | 16.1 |
| PP08072020_slice_22 | 0.918 | 0.037 | 0.017 | 0.918 | 37.0 | 17.5 | 0.850 | 33.6 | 15.7 | 0.741 | 36.6 | 17.2 |
| PP08072020_slice_23 | 0.918 | 0.038 | 0.018 | 0.918 | 37.6 | 17.6 | 0.852 | 33.9 | 15.9 | 0.744 | 37.0 | 17.3 |
| PP08072020_slice_24 | 0.915 | 0.038 | 0.017 | 0.915 | 38.5 | 17.0 | 0.853 | 34.5 | 15.2 | 0.752 | 37.9 | 16.5 |
| PP08072020_slice_25 | 0.920 | 0.038 | 0.017 | 0.920 | 38.1 | 16.9 | 0.859 | 34.1 | 15.1 | 0.756 | 37.7 | 16.5 |
| PP08072020_slice_26 | 0.924 | 0.038 | 0.016 | 0.924 | 37.9 | 16.1 | 0.863 | 33.5 | 14.2 | 0.763 | 37.3 | 15.4 |
| PP08072020_slice_27 | 0.926 | 0.038 | 0.017 | 0.926 | 37.8 | 16.6 | 0.864 | 33.2 | 14.6 | 0.757 | 37.4 | 16.3 |
| PP08072020_slice_28 | 0.919 | 0.039 | 0.017 | 0.919 | 39.0 | 16.9 | 0.856 | 34.0 | 14.7 | 0.752 | 38.6 | 16.5 |
| PP08072020_slice_29 | 0.910 | 0.041 | 0.018 | 0.910 | 41.2 | 17.5 | 0.846 | 36.0 | 15.3 | 0.751 | 40.7 | 16.8 |
| PP08072020_slice_30 | 0.906 | 0.042 | 0.019 | 0.906 | 41.6 | 18.8 | 0.844 | 36.5 | 16.6 | 0.746 | 41.1 | 18.5 |
| PP08072020_slice_31 | 0.907 | 0.041 | 0.019 | 0.907 | 40.5 | 19.4 | 0.845 | 36.1 | 17.4 | 0.748 | 40.2 | 19.1 |
| PP08072020_slice_32 | 0.912 | 0.039 | 0.018 | 0.912 | 39.3 | 17.7 | 0.849 | 35.1 | 15.8 | 0.753 | 38.9 | 17.3 |
| PP08072020_slice_33 | 0.913 | 0.041 | 0.018 | 0.913 | 40.7 | 18.3 | 0.850 | 36.1 | 16.3 | 0.750 | 40.3 | 18.0 |
| PP08072020_slice_34 | 0.921 | 0.039 | 0.017 | 0.921 | 38.8 | 17.1 | 0.858 | 34.3 | 15.1 | 0.755 | 38.4 | 16.7 |
| PP08072020_slice_35 | 0.922 | 0.038 | 0.017 | 0.922 | 38.1 | 16.7 | 0.858 | 33.9 | 14.7 | 0.756 | 37.8 | 16.4 |
| PP08072020_slice_36 | 0.918 | 0.039 | 0.016 | 0.918 | 38.5 | 16.4 | 0.853 | 34.4 | 14.4 | 0.756 | 38.1 | 15.5 |
| PP08072020_slice_37 | 0.916 | 0.039 | 0.018 | 0.916 | 39.2 | 17.7 | 0.851 | 35.2 | 15.6 | 0.749 | 38.9 | 17.4 |
| PP08072020_slice_38 | 0.917 | 0.039 | 0.017 | 0.917 | 39.4 | 16.9 | 0.853 | 35.5 | 14.9 | 0.756 | 39.1 | 16.2 |
| PP08072020_slice_39 | 0.912 | 0.040 | 0.018 | 0.912 | 40.4 | 18.3 | 0.849 | 36.1 | 16.3 | 0.747 | 40.1 | 18.0 |
| PP08072020_slice_40 | 0.916 | 0.038 | 0.017 | 0.916 | 38.4 | 17.5 | 0.851 | 34.5 | 15.7 | 0.748 | 38.1 | 17.2 |
| PP08072020_slice_41 | 0.921 | 0.037 | 0.017 | 0.921 | 37.2 | 16.6 | 0.858 | 33.2 | 14.8 | 0.757 | 36.7 | 16.3 |
| PP08072020_slice_42 | 0.908 | 0.040 | 0.018 | 0.908 | 39.9 | 17.6 | 0.843 | 35.4 | 15.6 | 0.747 | 39.5 | 17.3 |
| PP08072020_slice_43 | 0.902 | 0.042 | 0.018 | 0.902 | 41.6 | 18.3 | 0.838 | 36.7 | 16.1 | 0.747 | 41.2 | 17.9 |
| PP08072020_slice_44 | 0.907 | 0.042 | 0.019 | 0.907 | 41.7 | 19.0 | 0.840 | 36.2 | 16.6 | 0.758 | 40.9 | 16.1 |
| PP08072020_slice_45 | 0.908 | 0.041 | 0.018 | 0.908 | 41.3 | 17.7 | 0.843 | 35.9 | 15.5 | 0.753 | 40.8 | 17.1 |
| PP08072020_slice_46 | 0.903 | 0.043 | 0.018 | 0.903 | 42.7 | 18.5 | 0.837 | 37.1 | 16.1 | 0.743 | 42.2 | 17.9 |
| PP08072020_slice_47 | 0.898 | 0.043 | 0.019 | 0.898 | 43.3 | 18.9 | 0.832 | 38.3 | 16.7 | 0.739 | 42.9 | 18.3 |
| PP08072020_slice_48 | 0.900 | 0.042 | 0.018 | 0.900 | 41.6 | 18.3 | 0.833 | 37.3 | 16.3 | 0.740 | 41.1 | 17.6 |
| PP08072020_slice_49 | 0.899 | 0.042 | 0.020 | 0.899 | 42.0 | 19.6 | 0.831 | 38.3 | 17.8 | 0.734 | 41.7 | 19.3 |
| PP08072020_slice_50 | 0.896 | 0.044 | 0.019 | 0.896 | 43.9 | 19.4 | 0.828 | 40.4 | 17.7 | 0.733 | 43.5 | 18.9 |
| PP08072020_slice_51 | 0.909 | 0.040 | 0.019 | 0.909 | 40.2 | 19.2 | 0.841 | 36.8 | 17.5 | 0.740 | 39.8 | 18.9 |
| PP08072020_slice_52 | 0.917 | 0.038 | 0.017 | 0.917 | 37.9 | 17.2 | 0.850 | 34.5 | 15.6 | 0.751 | 37.5 | 16.9 |
| PP08072020_slice_53 | 0.908 | 0.040 | 0.019 | 0.908 | 40.3 | 19.2 | 0.842 | 36.6 | 17.4 | 0.742 | 39.8 | 18.9 |
| PP08072020_slice_54 | 0.908 | 0.040 | 0.019 | 0.908 | 40.4 | 19.0 | 0.844 | 36.2 | 17.2 | 0.745 | 39.9 | 18.7 |
| PP08072020_slice_55 | 0.910 | 0.041 | 0.020 | 0.910 | 40.6 | 19.6 | 0.846 | 36.2 | 17.7 | 0.746 | 40.1 | 19.3 |
| PP08072020_slice_56 | 0.906 | 0.042 | 0.020 | 0.906 | 41.9 | 19.9 | 0.843 | 36.8 | 17.8 | 0.742 | 41.3 | 19.6 |
| PP08072020_slice_57 | 0.904 | 0.042 | 0.018 | 0.904 | 42.5 | 18.2 | 0.844 | 37.2 | 16.0 | 0.750 | 41.7 | 17.6 |
| PP08072020_slice_58 | 0.901 | 0.044 | 0.019 | 0.901 | 43.9 | 18.6 | 0.839 | 38.6 | 16.5 | 0.746 | 43.3 | 17.9 |
| PP08072020_slice_59 | 0.901 | 0.044 | 0.020 | 0.901 | 43.9 | 19.6 | 0.839 | 39.0 | 17.6 | 0.738 | 43.4 | 19.3 |
| PP08072020_slice_60 | 0.900 | 0.044 | 0.021 | 0.900 | 44.1 | 20.8 | 0.837 | 39.3 | 18.9 | 0.734 | 43.6 | 20.6 |
| PP08072020_slice_61 | 0.906 | 0.043 | 0.019 | 0.906 | 42.7 | 19.0 | 0.841 | 38.3 | 17.1 | 0.738 | 42.2 | 18.7 |
| PP08072020_slice_62 | 0.912 | 0.041 | 0.018 | 0.912 | 41.2 | 18.2 | 0.848 | 36.9 | 16.4 | 0.745 | 40.7 | 17.9 |
| PP08072020_slice_63 | 0.920 | 0.039 | 0.017 | 0.920 | 39.2 | 16.6 | 0.858 | 34.8 | 14.7 | 0.757 | 38.6 | 16.1 |
| PP08072020_slice_64 | 0.926 | 0.037 | 0.017 | 0.926 | 37.3 | 16.6 | 0.866 | 33.4 | 14.8 | 0.763 | 36.9 | 16.3 |
| PP08072020_slice_65 | 0.933 | 0.035 | 0.015 | 0.933 | 34.6 | 15.1 | 0.877 | 31.2 | 13.4 | 0.775 | 34.2 | 14.7 |
| PP08072020_slice_66 | 0.934 | 0.034 | 0.014 | 0.934 | 33.9 | 14.5 | 0.879 | 30.8 | 12.9 | 0.781 | 33.4 | 13.9 |
| PP08072020_slice_67 | 0.935 | 0.034 | 0.015 | 0.935 | 33.7 | 14.7 | 0.879 | 30.6 | 13.1 | 0.778 | 33.3 | 14.3 |
| PP08072020_slice_68 | 0.934 | 0.035 | 0.015 | 0.934 | 34.6 | 14.6 | 0.880 | 31.2 | 12.9 | 0.782 | 34.1 | 14.1 |
| PP08072020_slice_69 | 0.934 | 0.035 | 0.014 | 0.934 | 35.4 | 14.1 | 0.879 | 31.5 | 12.4 | 0.790 | 34.9 | 13.2 |
| PP08072020_slice_70 | 0.929 | 0.037 | 0.015 | 0.929 | 37.2 | 15.0 | 0.874 | 32.9 | 13.2 | 0.783 | 36.8 | 14.5 |
| PP08072020_slice_71 | 0.928 | 0.037 | 0.015 | 0.928 | 37.4 | 14.7 | 0.873 | 33.1 | 13.0 | 0.787 | 36.9 | 13.9 |
| PP08072020_slice_72 | 0.928 | 0.037 | 0.015 | 0.928 | 37.3 | 14.9 | 0.874 | 32.9 | 13.1 | 0.785 | 36.7 | 14.1 |
| PP08072020_slice_73 | 0.927 | 0.038 | 0.015 | 0.927 | 37.9 | 15.4 | 0.873 | 33.2 | 13.5 | 0.779 | 37.4 | 14.8 |
| PP08072020_slice_74 | 0.928 | 0.038 | 0.015 | 0.928 | 38.0 | 15.0 | 0.876 | 33.2 | 13.0 | 0.791 | 37.3 | 13.8 |
| PP08072020_slice_75 | 0.930 | 0.038 | 0.016 | 0.930 | 37.6 | 16.3 | 0.878 | 32.1 | 14.2 | 0.780 | 36.9 | 15.9 |
| PP08072020_slice_76 | 0.929 | 0.037 | 0.016 | 0.929 | 37.1 | 15.6 | 0.878 | 31.9 | 13.6 | 0.785 | 36.3 | 15.1 |
| PP08072020_slice_77 | 0.924 | 0.037 | 0.016 | 0.924 | 37.1 | 16.0 | 0.874 | 32.8 | 14.3 | 0.785 | 36.4 | 15.6 |
| PP08072020_slice_78 | 0.924 | 0.036 | 0.016 | 0.924 | 35.7 | 15.9 | 0.875 | 31.9 | 14.3 | 0.788 | 35.1 | 15.6 |
| PP08072020_slice_79 | 0.931 | 0.033 | 0.014 | 0.931 | 33.3 | 14.0 | 0.883 | 29.9 | 12.4 | 0.803 | 32.6 | 13.0 |
| PP08072020_slice_80 | 0.941 | 0.031 | 0.013 | 0.941 | 30.9 | 13.0 | 0.893 | 27.9 | 11.6 | 0.814 | 30.2 | 11.7 |
| PP08072020_slice_81 | 0.940 | 0.031 | 0.014 | 0.940 | 31.0 | 13.6 | 0.895 | 28.2 | 12.3 | 0.804 | 30.5 | 13.0 |
| PP08072020_slice_82 | 0.936 | 0.034 | 0.014 | 0.936 | 33.8 | 14.1 | 0.887 | 31.0 | 12.7 | 0.806 | 33.1 | 12.2 |
| PP08072020_slice_83 | 0.920 | 0.041 | 0.017 | 0.920 | 40.5 | 16.6 | 0.870 | 38.0 | 15.1 | 0.780 | 40.0 | 15.6 |
| PP08072020_slice_84 | 0.907 | 0.044 | 0.018 | 0.907 | 43.6 | 18.0 | 0.856 | 41.1 | 16.5 | 0.766 | 43.2 | 17.4 |
| PP08072020_slice_85 | 0.905 | 0.044 | 0.018 | 0.905 | 44.1 | 17.9 | 0.849 | 41.6 | 16.5 | 0.758 | 43.7 | 17.3 |
| PP08072020_slice_86 | 0.903 | 0.045 | 0.018 | 0.903 | 44.7 | 18.4 | 0.847 | 42.3 | 16.9 | 0.750 | 44.3 | 17.9 |
| PP08072020_slice_87 | 0.898 | 0.047 | 0.019 | 0.898 | 46.6 | 19.2 | 0.839 | 44.0 | 17.6 | 0.740 | 46.2 | 18.5 |
| PP08072020_slice_88 | 0.895 | 0.047 | 0.019 | 0.895 | 47.4 | 19.3 | 0.834 | 44.6 | 17.8 | 0.733 | 47.0 | 18.7 |
| PP08072020_slice_89 | 0.897 | 0.047 | 0.019 | 0.897 | 46.8 | 19.1 | 0.834 | 44.0 | 17.7 | 0.730 | 46.4 | 18.5 |
| PP08072020_slice_90 | 0.901 | 0.045 | 0.019 | 0.901 | 44.8 | 18.9 | 0.837 | 42.4 | 17.6 | 0.729 | 44.4 | 18.5 |
| PP08072020_slice_91 | 0.906 | 0.043 | 0.018 | 0.906 | 43.5 | 18.1 | 0.842 | 41.3 | 17.0 | 0.734 | 43.0 | 17.4 |
| PP08072020_slice_92 | 0.907 | 0.043 | 0.018 | 0.907 | 43.0 | 18.0 | 0.842 | 41.1 | 16.9 | 0.733 | 42.7 | 17.3 |
| PP08072020_slice_93 | 0.904 | 0.044 | 0.019 | 0.904 | 43.6 | 18.8 | 0.838 | 41.9 | 17.7 | 0.722 | 43.3 | 18.5 |
| PP08072020_slice_94 | 0.903 | 0.044 | 0.019 | 0.903 | 43.6 | 18.8 | 0.835 | 42.0 | 17.7 | 0.718 | 43.3 | 18.4 |
| PP08072020_slice_95 | 0.899 | 0.044 | 0.019 | 0.899 | 43.9 | 18.8 | 0.830 | 42.5 | 17.8 | 0.714 | 43.6 | 18.3 |
| PP08072020_slice_96 | 0.896 | 0.044 | 0.019 | 0.896 | 43.9 | 19.3 | 0.824 | 42.5 | 18.4 | 0.702 | 43.7 | 19.1 |
| PP08072020_slice_97 | 0.894 | 0.044 | 0.020 | 0.894 | 44.0 | 19.6 | 0.819 | 42.4 | 18.5 | 0.694 | 43.8 | 19.3 |
| PP08072020_slice_98 | 0.895 | 0.043 | 0.020 | 0.895 | 43.4 | 19.9 | 0.818 | 41.3 | 18.7 | 0.690 | 43.1 | 19.6 |
| PP08072020_slice_99 | 0.900 | 0.042 | 0.020 | 0.900 | 41.9 | 20.4 | 0.820 | 39.8 | 19.2 | 0.685 | 41.6 | 20.2 |
| PP08072020_slice_100 | 0.902 | 0.041 | 0.019 | 0.902 | 41.1 | 18.8 | 0.819 | 38.9 | 17.6 | 0.685 | 40.8 | 18.3 |
| PP08072020_slice_101 | 0.897 | 0.043 | 0.020 | 0.897 | 42.5 | 20.0 | 0.815 | 39.7 | 18.7 | 0.678 | 42.2 | 19.7 |
| PP08072020_slice_102 | 0.900 | 0.042 | 0.019 | 0.900 | 41.8 | 19.5 | 0.817 | 39.0 | 18.2 | 0.683 | 41.3 | 19.0 |
| PP08072020_slice_103 | 0.901 | 0.041 | 0.019 | 0.901 | 41.3 | 19.2 | 0.817 | 38.6 | 18.0 | 0.686 | 40.8 | 18.5 |
| PP08072020_slice_104 | 0.906 | 0.039 | 0.019 | 0.906 | 39.5 | 18.5 | 0.824 | 37.1 | 17.4 | 0.693 | 39.0 | 17.6 |
| PP08072020_slice_105 | 0.913 | 0.037 | 0.018 | 0.913 | 37.2 | 17.8 | 0.835 | 35.1 | 16.6 | 0.701 | 36.8 | 17.4 |
| PP08072020_slice_106 | 0.917 | 0.036 | 0.018 | 0.917 | 36.1 | 17.6 | 0.840 | 34.2 | 16.5 | 0.706 | 35.8 | 17.3 |
| PP08072020_slice_107 | 0.917 | 0.036 | 0.017 | 0.917 | 35.7 | 17.4 | 0.840 | 33.9 | 16.4 | 0.706 | 35.4 | 17.1 |
| PP08072020_slice_108 | 0.916 | 0.036 | 0.018 | 0.916 | 35.7 | 17.7 | 0.841 | 33.8 | 16.6 | 0.705 | 35.4 | 17.4 |
| PP08072020_slice_109 | 0.914 | 0.036 | 0.018 | 0.914 | 36.4 | 17.6 | 0.838 | 34.4 | 16.5 | 0.706 | 36.1 | 17.1 |
| PP08072020_slice_110 | 0.910 | 0.038 | 0.018 | 0.910 | 37.7 | 18.2 | 0.834 | 35.4 | 16.9 | 0.705 | 37.4 | 17.7 |
| PP08072020_slice_111 | 0.910 | 0.037 | 0.018 | 0.910 | 37.0 | 18.1 | 0.832 | 35.0 | 16.9 | 0.702 | 36.8 | 17.8 |
4Γ3 grid: Rows show different image types (Original NATIVE, Reconstructed NATIVE, Original VENOUS, Generated VENOUS), Columns show windowing techniques (No Window, Lung Window, Mediastinum Window)