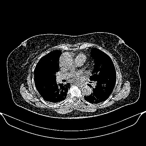
Slice 70 Targeting Evaluation
Patient ID: ME19112020
Model: cytran
Slice: Slice_70
Slice Thickness: 2.5mm
Conversion: NATIVE β VENOUS
Contains all 4 metric datasets: Network-Normalized, Hounsfield Units, Lung Window, and Mediastinum Window
| Slice ID | Full Window SSIM | Full Window RMSE | Full Window MAE | Lung SSIM | Lung RMSE | Lung MAE | Mediastinum SSIM | Mediastinum RMSE | Mediastinum MAE |
|---|---|---|---|---|---|---|---|---|---|
| ME19112020_slice_0 | 0.861 | 97.123 | 41.071 | 0.912 | 35.6 | 15.0 | 0.910 | 9.5 | 4.0 |
| ME19112020_slice_1 | 0.864 | 93.790 | 40.227 | 0.915 | 34.4 | 14.7 | 0.913 | 9.2 | 3.9 |
| ME19112020_slice_2 | 0.869 | 93.056 | 39.571 | 0.918 | 34.1 | 14.5 | 0.916 | 9.1 | 3.9 |
| ME19112020_slice_3 | 0.870 | 95.632 | 40.007 | 0.919 | 35.0 | 14.7 | 0.916 | 9.3 | 3.9 |
| ME19112020_slice_4 | 0.869 | 97.812 | 40.537 | 0.919 | 35.8 | 14.8 | 0.916 | 9.6 | 4.0 |
| ME19112020_slice_5 | 0.870 | 98.813 | 40.778 | 0.918 | 36.2 | 14.9 | 0.915 | 9.7 | 4.0 |
| ME19112020_slice_6 | 0.872 | 98.914 | 40.678 | 0.917 | 36.2 | 14.9 | 0.915 | 9.7 | 4.0 |
| ME19112020_slice_7 | 0.872 | 100.853 | 41.732 | 0.916 | 36.9 | 15.3 | 0.914 | 9.9 | 4.1 |
| ME19112020_slice_8 | 0.872 | 99.241 | 41.311 | 0.916 | 36.4 | 15.1 | 0.914 | 9.7 | 4.0 |
| ME19112020_slice_9 | 0.873 | 98.932 | 40.642 | 0.917 | 36.2 | 14.9 | 0.915 | 9.7 | 4.0 |
| ME19112020_slice_10 | 0.872 | 98.237 | 40.411 | 0.917 | 36.0 | 14.8 | 0.915 | 9.6 | 3.9 |
| ME19112020_slice_11 | 0.872 | 98.148 | 40.976 | 0.915 | 36.0 | 15.0 | 0.913 | 9.6 | 4.0 |
| ME19112020_slice_12 | 0.873 | 97.700 | 40.929 | 0.916 | 35.8 | 15.0 | 0.914 | 9.5 | 4.0 |
| ME19112020_slice_13 | 0.868 | 100.264 | 41.812 | 0.912 | 36.7 | 15.3 | 0.911 | 9.8 | 4.1 |
| ME19112020_slice_14 | 0.867 | 102.019 | 42.212 | 0.910 | 37.4 | 15.5 | 0.909 | 10.0 | 4.1 |
| ME19112020_slice_15 | 0.865 | 103.865 | 42.886 | 0.908 | 38.0 | 15.7 | 0.906 | 10.1 | 4.2 |
| ME19112020_slice_16 | 0.865 | 105.709 | 43.479 | 0.906 | 38.7 | 15.9 | 0.904 | 10.3 | 4.2 |
| ME19112020_slice_17 | 0.864 | 108.083 | 43.747 | 0.904 | 39.6 | 16.0 | 0.902 | 10.6 | 4.3 |
| ME19112020_slice_18 | 0.864 | 109.469 | 44.458 | 0.902 | 40.1 | 16.3 | 0.900 | 10.7 | 4.3 |
| ME19112020_slice_19 | 0.862 | 110.127 | 44.671 | 0.901 | 40.3 | 16.4 | 0.900 | 10.8 | 4.4 |
| ME19112020_slice_20 | 0.864 | 109.775 | 44.276 | 0.903 | 40.2 | 16.2 | 0.901 | 10.7 | 4.3 |
| ME19112020_slice_21 | 0.864 | 110.584 | 44.349 | 0.901 | 40.5 | 16.2 | 0.900 | 10.8 | 4.3 |
| ME19112020_slice_22 | 0.862 | 111.608 | 45.221 | 0.899 | 40.9 | 16.6 | 0.897 | 10.9 | 4.4 |
| ME19112020_slice_23 | 0.858 | 113.075 | 46.047 | 0.896 | 41.4 | 16.9 | 0.895 | 11.0 | 4.5 |
| ME19112020_slice_24 | 0.855 | 114.052 | 47.000 | 0.894 | 41.8 | 17.2 | 0.892 | 11.1 | 4.6 |
| ME19112020_slice_25 | 0.854 | 114.648 | 47.780 | 0.890 | 42.0 | 17.5 | 0.888 | 11.2 | 4.7 |
| ME19112020_slice_26 | 0.855 | 112.633 | 46.964 | 0.891 | 41.3 | 17.2 | 0.889 | 11.0 | 4.6 |
| ME19112020_slice_27 | 0.853 | 115.815 | 48.154 | 0.888 | 42.4 | 17.6 | 0.886 | 11.3 | 4.7 |
| ME19112020_slice_28 | 0.853 | 120.491 | 49.156 | 0.888 | 44.1 | 18.0 | 0.886 | 11.8 | 4.8 |
| ME19112020_slice_29 | 0.853 | 120.910 | 49.137 | 0.888 | 44.3 | 18.0 | 0.886 | 11.8 | 4.8 |
| ME19112020_slice_30 | 0.856 | 121.361 | 48.912 | 0.888 | 44.5 | 17.9 | 0.886 | 11.9 | 4.8 |
| ME19112020_slice_31 | 0.857 | 119.878 | 48.220 | 0.891 | 43.9 | 17.7 | 0.888 | 11.7 | 4.7 |
| ME19112020_slice_32 | 0.856 | 118.206 | 48.297 | 0.889 | 43.3 | 17.7 | 0.887 | 11.5 | 4.7 |
| ME19112020_slice_33 | 0.855 | 115.970 | 48.490 | 0.889 | 42.5 | 17.8 | 0.887 | 11.3 | 4.7 |
| ME19112020_slice_34 | 0.857 | 113.555 | 47.641 | 0.896 | 41.6 | 17.5 | 0.894 | 11.1 | 4.7 |
| ME19112020_slice_35 | 0.860 | 114.088 | 48.759 | 0.897 | 41.8 | 17.9 | 0.896 | 11.1 | 4.8 |
| ME19112020_slice_36 | 0.863 | 112.127 | 46.563 | 0.896 | 41.1 | 17.1 | 0.895 | 11.0 | 4.5 |
| ME19112020_slice_37 | 0.862 | 111.891 | 46.306 | 0.896 | 41.0 | 17.0 | 0.895 | 10.9 | 4.5 |
| ME19112020_slice_38 | 0.860 | 112.580 | 47.424 | 0.894 | 41.2 | 17.4 | 0.892 | 11.0 | 4.6 |
| ME19112020_slice_39 | 0.857 | 114.397 | 48.505 | 0.891 | 41.9 | 17.8 | 0.890 | 11.2 | 4.7 |
| ME19112020_slice_40 | 0.859 | 115.675 | 48.294 | 0.892 | 42.4 | 17.7 | 0.891 | 11.3 | 4.7 |
| ME19112020_slice_41 | 0.860 | 116.330 | 48.147 | 0.893 | 42.6 | 17.6 | 0.891 | 11.4 | 4.7 |
| ME19112020_slice_42 | 0.854 | 119.473 | 50.747 | 0.886 | 43.8 | 18.6 | 0.884 | 11.7 | 5.0 |
| ME19112020_slice_43 | 0.850 | 123.667 | 51.698 | 0.883 | 45.3 | 18.9 | 0.881 | 12.1 | 5.0 |
| ME19112020_slice_44 | 0.853 | 125.394 | 50.777 | 0.884 | 45.9 | 18.6 | 0.882 | 12.2 | 5.0 |
| ME19112020_slice_45 | 0.850 | 127.249 | 51.673 | 0.881 | 46.6 | 18.9 | 0.879 | 12.4 | 5.0 |
| ME19112020_slice_46 | 0.847 | 126.331 | 52.140 | 0.880 | 46.3 | 19.1 | 0.878 | 12.3 | 5.1 |
| ME19112020_slice_47 | 0.843 | 124.854 | 52.297 | 0.877 | 45.7 | 19.2 | 0.875 | 12.2 | 5.1 |
| ME19112020_slice_48 | 0.843 | 122.667 | 51.119 | 0.878 | 44.9 | 18.7 | 0.876 | 12.0 | 5.0 |
| ME19112020_slice_49 | 0.842 | 121.569 | 51.017 | 0.878 | 44.5 | 18.7 | 0.877 | 11.9 | 5.0 |
| ME19112020_slice_50 | 0.844 | 122.270 | 50.454 | 0.880 | 44.8 | 18.5 | 0.879 | 11.9 | 4.9 |
| ME19112020_slice_51 | 0.843 | 123.977 | 50.963 | 0.881 | 45.4 | 18.7 | 0.879 | 12.1 | 5.0 |
| ME19112020_slice_52 | 0.841 | 124.884 | 51.230 | 0.879 | 45.7 | 18.8 | 0.877 | 12.2 | 5.0 |
| ME19112020_slice_53 | 0.840 | 125.904 | 51.654 | 0.879 | 46.1 | 18.9 | 0.877 | 12.3 | 5.0 |
| ME19112020_slice_54 | 0.837 | 127.688 | 52.915 | 0.877 | 46.8 | 19.4 | 0.875 | 12.5 | 5.2 |
| ME19112020_slice_55 | 0.836 | 129.832 | 53.845 | 0.876 | 47.6 | 19.7 | 0.874 | 12.7 | 5.3 |
| ME19112020_slice_56 | 0.834 | 132.966 | 55.171 | 0.872 | 48.7 | 20.2 | 0.870 | 13.0 | 5.4 |
| ME19112020_slice_57 | 0.829 | 134.126 | 55.991 | 0.868 | 49.1 | 20.5 | 0.866 | 13.1 | 5.5 |
| ME19112020_slice_58 | 0.830 | 134.186 | 55.432 | 0.868 | 49.2 | 20.3 | 0.866 | 13.1 | 5.4 |
| ME19112020_slice_59 | 0.831 | 133.019 | 55.295 | 0.868 | 48.7 | 20.3 | 0.866 | 13.0 | 5.4 |
| ME19112020_slice_60 | 0.831 | 131.043 | 55.129 | 0.869 | 48.0 | 20.2 | 0.867 | 12.8 | 5.4 |
| ME19112020_slice_61 | 0.832 | 129.082 | 54.679 | 0.869 | 47.3 | 20.0 | 0.867 | 12.6 | 5.3 |
| ME19112020_slice_62 | 0.837 | 125.593 | 52.789 | 0.874 | 46.0 | 19.3 | 0.873 | 12.3 | 5.2 |
| ME19112020_slice_63 | 0.838 | 124.613 | 52.095 | 0.877 | 45.6 | 19.1 | 0.875 | 12.2 | 5.1 |
| ME19112020_slice_64 | 0.838 | 124.135 | 51.956 | 0.877 | 45.5 | 19.0 | 0.875 | 12.1 | 5.1 |
| ME19112020_slice_65 | 0.839 | 122.930 | 51.956 | 0.879 | 45.0 | 19.0 | 0.877 | 12.0 | 5.1 |
| ME19112020_slice_66 | 0.837 | 122.390 | 52.258 | 0.878 | 44.8 | 19.1 | 0.876 | 12.0 | 5.1 |
| ME19112020_slice_67 | 0.838 | 123.138 | 52.025 | 0.880 | 45.1 | 19.1 | 0.878 | 12.0 | 5.1 |
| ME19112020_slice_68 | 0.838 | 123.060 | 52.253 | 0.879 | 45.1 | 19.1 | 0.877 | 12.0 | 5.1 |
| ME19112020_slice_69 | 0.838 | 123.675 | 52.692 | 0.880 | 45.3 | 19.3 | 0.878 | 12.1 | 5.1 |
| ME19112020_slice_70 | 0.837 | 124.122 | 53.212 | 0.879 | 45.5 | 19.5 | 0.877 | 12.1 | 5.2 |
| ME19112020_slice_71 | 0.836 | 124.815 | 53.206 | 0.880 | 45.7 | 19.5 | 0.878 | 12.2 | 5.2 |
| ME19112020_slice_72 | 0.833 | 125.721 | 54.103 | 0.879 | 46.1 | 19.8 | 0.877 | 12.3 | 5.3 |
| ME19112020_slice_73 | 0.824 | 129.250 | 56.030 | 0.872 | 47.3 | 20.5 | 0.870 | 12.6 | 5.5 |
| ME19112020_slice_74 | 0.825 | 131.131 | 56.261 | 0.873 | 48.0 | 20.6 | 0.871 | 12.8 | 5.5 |
| ME19112020_slice_75 | 0.827 | 132.356 | 57.071 | 0.872 | 48.5 | 20.9 | 0.870 | 12.9 | 5.6 |
| ME19112020_slice_76 | 0.823 | 134.023 | 57.853 | 0.871 | 49.1 | 21.2 | 0.868 | 13.1 | 5.7 |
| ME19112020_slice_77 | 0.826 | 132.465 | 56.852 | 0.873 | 48.5 | 20.8 | 0.871 | 12.9 | 5.6 |
| ME19112020_slice_78 | 0.826 | 130.048 | 56.206 | 0.873 | 47.6 | 20.6 | 0.871 | 12.7 | 5.5 |
| ME19112020_slice_79 | 0.820 | 130.265 | 56.635 | 0.872 | 47.7 | 20.7 | 0.870 | 12.7 | 5.5 |
| ME19112020_slice_80 | 0.824 | 129.043 | 56.234 | 0.874 | 47.3 | 20.6 | 0.872 | 12.6 | 5.5 |
| ME19112020_slice_81 | 0.825 | 129.609 | 57.053 | 0.872 | 47.5 | 20.9 | 0.870 | 12.7 | 5.6 |
| ME19112020_slice_82 | 0.825 | 130.464 | 56.625 | 0.872 | 47.8 | 20.7 | 0.870 | 12.7 | 5.5 |
| ME19112020_slice_83 | 0.829 | 132.138 | 56.818 | 0.874 | 48.4 | 20.8 | 0.872 | 12.9 | 5.6 |
| ME19112020_slice_84 | 0.829 | 130.981 | 56.140 | 0.877 | 48.0 | 20.6 | 0.874 | 12.8 | 5.5 |
| ME19112020_slice_85 | 0.829 | 131.164 | 56.517 | 0.876 | 48.0 | 20.7 | 0.874 | 12.8 | 5.5 |
| ME19112020_slice_86 | 0.832 | 131.145 | 56.198 | 0.878 | 48.0 | 20.6 | 0.876 | 12.8 | 5.5 |
| ME19112020_slice_87 | 0.834 | 132.243 | 56.410 | 0.878 | 48.4 | 20.7 | 0.876 | 12.9 | 5.5 |
| ME19112020_slice_88 | 0.831 | 131.532 | 56.765 | 0.877 | 48.2 | 20.8 | 0.874 | 12.8 | 5.5 |
| ME19112020_slice_89 | 0.826 | 131.629 | 57.179 | 0.874 | 48.2 | 20.9 | 0.871 | 12.9 | 5.6 |
| ME19112020_slice_90 | 0.832 | 129.343 | 55.851 | 0.877 | 47.4 | 20.5 | 0.875 | 12.6 | 5.5 |
| ME19112020_slice_91 | 0.836 | 125.875 | 54.621 | 0.879 | 46.1 | 20.0 | 0.877 | 12.3 | 5.3 |
| ME19112020_slice_92 | 0.836 | 123.900 | 53.638 | 0.881 | 45.4 | 19.6 | 0.878 | 12.1 | 5.2 |
| ME19112020_slice_93 | 0.836 | 123.431 | 53.593 | 0.881 | 45.2 | 19.6 | 0.879 | 12.1 | 5.2 |
| ME19112020_slice_94 | 0.837 | 121.908 | 53.223 | 0.882 | 44.7 | 19.5 | 0.880 | 11.9 | 5.2 |
| ME19112020_slice_95 | 0.844 | 121.454 | 52.766 | 0.886 | 44.5 | 19.3 | 0.883 | 11.9 | 5.2 |
| ME19112020_slice_96 | 0.838 | 128.065 | 55.703 | 0.884 | 46.9 | 20.4 | 0.881 | 12.5 | 5.4 |
| ME19112020_slice_97 | 0.829 | 135.733 | 58.895 | 0.879 | 49.7 | 21.6 | 0.876 | 13.3 | 5.8 |
| ME19112020_slice_98 | 0.827 | 138.465 | 59.847 | 0.880 | 50.7 | 21.9 | 0.877 | 13.5 | 5.8 |
| ME19112020_slice_99 | 0.829 | 139.366 | 59.176 | 0.883 | 51.0 | 21.7 | 0.879 | 13.6 | 5.8 |
| ME19112020_slice_100 | 0.824 | 142.165 | 60.603 | 0.878 | 52.1 | 22.2 | 0.875 | 13.9 | 5.9 |
| ME19112020_slice_101 | 0.823 | 142.183 | 61.643 | 0.877 | 52.1 | 22.6 | 0.874 | 13.9 | 6.0 |
| ME19112020_slice_102 | 0.818 | 144.384 | 63.076 | 0.874 | 52.9 | 23.1 | 0.870 | 14.1 | 6.2 |
| ME19112020_slice_103 | 0.819 | 145.946 | 62.931 | 0.874 | 53.5 | 23.1 | 0.871 | 14.3 | 6.1 |
| ME19112020_slice_104 | 0.820 | 146.280 | 62.237 | 0.879 | 53.6 | 22.8 | 0.875 | 14.3 | 6.1 |
| ME19112020_slice_105 | 0.819 | 146.683 | 63.010 | 0.882 | 53.7 | 23.1 | 0.878 | 14.3 | 6.2 |
| ME19112020_slice_106 | 0.817 | 144.192 | 62.628 | 0.881 | 52.8 | 22.9 | 0.877 | 14.1 | 6.1 |
| ME19112020_slice_107 | 0.822 | 139.938 | 61.029 | 0.886 | 51.3 | 22.4 | 0.882 | 13.7 | 6.0 |
| ME19112020_slice_108 | 0.826 | 136.699 | 59.127 | 0.884 | 50.1 | 21.7 | 0.881 | 13.4 | 5.8 |
| ME19112020_slice_109 | 0.830 | 133.493 | 57.123 | 0.889 | 48.9 | 20.9 | 0.886 | 13.0 | 5.6 |
| ME19112020_slice_110 | 0.833 | 127.915 | 54.503 | 0.893 | 46.9 | 20.0 | 0.889 | 12.5 | 5.3 |
| ME19112020_slice_111 | 0.835 | 124.801 | 54.193 | 0.892 | 45.7 | 19.9 | 0.890 | 12.2 | 5.3 |
| ME19112020_slice_112 | 0.838 | 124.899 | 53.597 | 0.893 | 45.8 | 19.6 | 0.891 | 12.2 | 5.2 |
| ME19112020_slice_113 | 0.836 | 126.570 | 54.513 | 0.891 | 46.4 | 20.0 | 0.889 | 12.4 | 5.3 |
| ME19112020_slice_114 | 0.834 | 125.055 | 53.630 | 0.889 | 45.8 | 19.6 | 0.887 | 12.2 | 5.2 |
| ME19112020_slice_115 | 0.840 | 120.378 | 51.149 | 0.895 | 44.1 | 18.7 | 0.892 | 11.8 | 5.0 |
| ME19112020_slice_116 | 0.839 | 117.802 | 50.706 | 0.894 | 43.2 | 18.6 | 0.891 | 11.5 | 5.0 |
| ME19112020_slice_117 | 0.846 | 113.949 | 48.918 | 0.896 | 41.7 | 17.9 | 0.894 | 11.1 | 4.8 |
| ME19112020_slice_118 | 0.848 | 111.703 | 48.531 | 0.897 | 40.9 | 17.8 | 0.895 | 10.9 | 4.7 |
| ME19112020_slice_119 | 0.852 | 109.961 | 47.289 | 0.902 | 40.3 | 17.3 | 0.900 | 10.7 | 4.6 |
| ME19112020_slice_120 | 0.853 | 107.817 | 47.189 | 0.902 | 39.5 | 17.3 | 0.900 | 10.5 | 4.6 |
| ME19112020_slice_121 | 0.863 | 105.913 | 45.556 | 0.905 | 38.8 | 16.7 | 0.903 | 10.3 | 4.4 |
| ME19112020_slice_122 | 0.863 | 104.203 | 44.689 | 0.911 | 38.2 | 16.4 | 0.909 | 10.2 | 4.4 |
| ME19112020_slice_123 | 0.870 | 101.472 | 43.111 | 0.912 | 37.2 | 15.8 | 0.911 | 9.9 | 4.2 |
| ME19112020_slice_124 | 0.867 | 102.527 | 43.887 | 0.909 | 37.6 | 16.1 | 0.908 | 10.0 | 4.3 |
| ME19112020_slice_125 | 0.866 | 100.946 | 43.581 | 0.909 | 37.0 | 16.0 | 0.908 | 9.9 | 4.3 |
| ME19112020_slice_126 | 0.872 | 97.939 | 42.419 | 0.912 | 35.9 | 15.5 | 0.910 | 9.6 | 4.1 |
| ME19112020_slice_127 | 0.874 | 95.661 | 41.731 | 0.912 | 35.0 | 15.3 | 0.910 | 9.3 | 4.1 |
| ME19112020_slice_128 | 0.871 | 96.289 | 42.361 | 0.911 | 35.3 | 15.5 | 0.909 | 9.4 | 4.1 |
| ME19112020_slice_129 | 0.872 | 95.866 | 42.490 | 0.913 | 35.1 | 15.6 | 0.911 | 9.4 | 4.2 |
| ME19112020_slice_130 | 0.874 | 94.281 | 41.927 | 0.915 | 34.5 | 15.4 | 0.913 | 9.2 | 4.1 |
| ME19112020_slice_131 | 0.871 | 94.326 | 42.546 | 0.912 | 34.6 | 15.6 | 0.910 | 9.2 | 4.2 |
| ME19112020_slice_132 | 0.868 | 95.544 | 42.684 | 0.911 | 35.0 | 15.6 | 0.909 | 9.3 | 4.2 |
| ME19112020_slice_133 | 0.865 | 97.974 | 43.463 | 0.910 | 35.9 | 15.9 | 0.907 | 9.6 | 4.2 |
| ME19112020_slice_134 | 0.864 | 98.989 | 43.727 | 0.910 | 36.3 | 16.0 | 0.907 | 9.7 | 4.3 |
| ME19112020_slice_135 | 0.863 | 98.190 | 43.383 | 0.910 | 36.0 | 15.9 | 0.908 | 9.6 | 4.2 |
| ME19112020_slice_136 | 0.858 | 97.323 | 43.971 | 0.910 | 35.6 | 16.1 | 0.908 | 9.5 | 4.3 |
| ME19112020_slice_137 | 0.858 | 99.915 | 44.294 | 0.911 | 36.6 | 16.2 | 0.909 | 9.8 | 4.3 |
| ME19112020_slice_138 | 0.859 | 104.031 | 44.569 | 0.913 | 38.1 | 16.3 | 0.911 | 10.2 | 4.4 |
| ME19112020_slice_139 | 0.862 | 103.636 | 43.943 | 0.914 | 38.0 | 16.1 | 0.912 | 10.1 | 4.3 |
| ME19112020_slice_140 | 0.859 | 102.801 | 43.999 | 0.913 | 37.7 | 16.1 | 0.911 | 10.0 | 4.3 |
| ME19112020_slice_141 | 0.860 | 102.624 | 43.774 | 0.912 | 37.6 | 16.0 | 0.910 | 10.0 | 4.3 |
| ME19112020_slice_142 | 0.861 | 101.714 | 43.077 | 0.914 | 37.3 | 15.8 | 0.912 | 9.9 | 4.2 |
| ME19112020_slice_143 | 0.863 | 97.497 | 42.130 | 0.916 | 35.7 | 15.4 | 0.914 | 9.5 | 4.1 |
| ME19112020_slice_144 | 0.866 | 93.415 | 41.362 | 0.918 | 34.2 | 15.2 | 0.915 | 9.1 | 4.0 |
| ME19112020_slice_145 | 0.861 | 91.246 | 41.801 | 0.915 | 33.4 | 15.3 | 0.913 | 8.9 | 4.1 |
| ME19112020_slice_146 | 0.863 | 90.106 | 41.200 | 0.917 | 33.0 | 15.1 | 0.915 | 8.8 | 4.0 |
| ME19112020_slice_147 | 0.866 | 91.697 | 40.841 | 0.919 | 33.6 | 15.0 | 0.917 | 9.0 | 4.0 |
| ME19112020_slice_148 | 0.866 | 91.383 | 41.355 | 0.917 | 33.5 | 15.1 | 0.915 | 8.9 | 4.0 |
| ME19112020_slice_149 | 0.857 | 94.851 | 42.076 | 0.911 | 34.7 | 15.4 | 0.910 | 9.3 | 4.1 |
| ME19112020_slice_150 | 0.855 | 96.991 | 42.110 | 0.913 | 35.5 | 15.4 | 0.912 | 9.5 | 4.1 |
| ME19112020_slice_151 | 0.851 | 99.071 | 42.455 | 0.912 | 36.3 | 15.6 | 0.910 | 9.7 | 4.1 |
| ME19112020_slice_152 | 0.843 | 102.929 | 44.244 | 0.906 | 37.7 | 16.2 | 0.904 | 10.1 | 4.3 |
| ME19112020_slice_153 | 0.831 | 106.988 | 45.958 | 0.902 | 39.2 | 16.8 | 0.900 | 10.5 | 4.5 |
| ME19112020_slice_154 | 0.822 | 108.584 | 46.606 | 0.900 | 39.8 | 17.1 | 0.898 | 10.6 | 4.6 |
| ME19112020_slice_155 | 0.825 | 106.176 | 45.574 | 0.906 | 38.9 | 16.7 | 0.904 | 10.4 | 4.5 |
| ME19112020_slice_156 | 0.827 | 106.582 | 45.733 | 0.907 | 39.0 | 16.8 | 0.905 | 10.4 | 4.5 |
| ME19112020_slice_157 | 0.828 | 108.781 | 45.569 | 0.910 | 39.8 | 16.7 | 0.908 | 10.6 | 4.5 |
| ME19112020_slice_158 | 0.830 | 110.680 | 45.775 | 0.908 | 40.5 | 16.8 | 0.906 | 10.8 | 4.5 |
| ME19112020_slice_159 | 0.832 | 110.324 | 45.928 | 0.908 | 40.4 | 16.8 | 0.906 | 10.8 | 4.5 |
| ME19112020_slice_160 | 0.833 | 111.000 | 46.478 | 0.906 | 40.7 | 17.0 | 0.904 | 10.8 | 4.5 |
4Γ3 grid: Rows show different image types (Original NATIVE, Reconstructed NATIVE, Original VENOUS, Generated VENOUS), Columns show windowing techniques (No Window, Lung Window, Mediastinum Window)