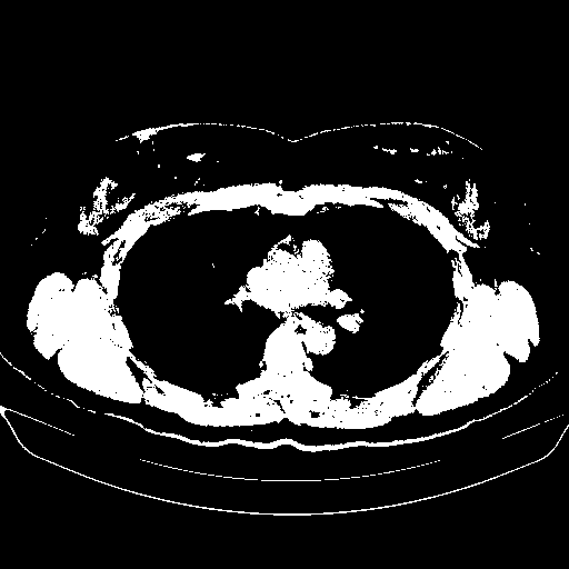
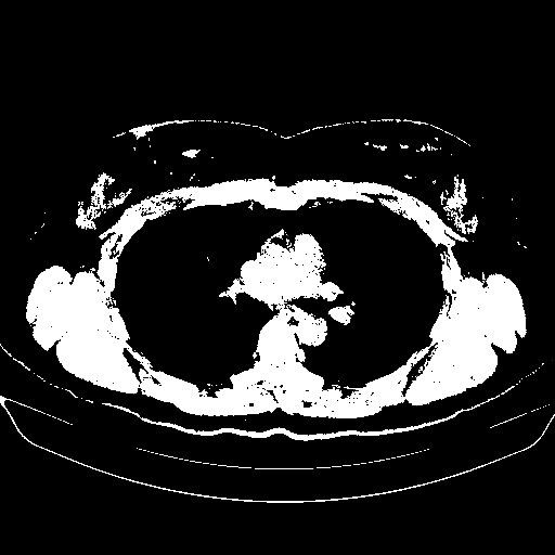
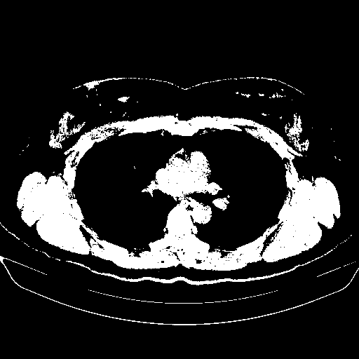
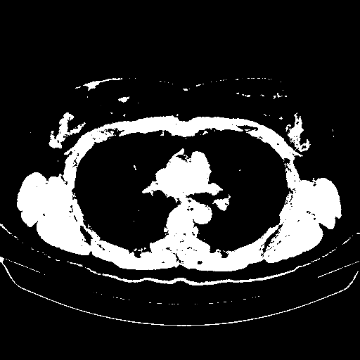
Slice 70 Targeting Evaluation
Patient ID: CV28012021
Model: cytran
Slice: Slice_70
Slice Thickness: 1.5mm
Conversion: NATIVE β VENOUS
Contains all 4 metric datasets: Network-Normalized, Hounsfield Units, Lung Window, and Mediastinum Window
| Slice ID | Full Window SSIM | Full Window RMSE | Full Window MAE | Lung SSIM | Lung RMSE | Lung MAE | Mediastinum SSIM | Mediastinum RMSE | Mediastinum MAE |
|---|---|---|---|---|---|---|---|---|---|
| CV28012021_slice_0 | 0.916 | 79.737 | 31.565 | 0.944 | 29.2 | 11.6 | 0.940 | 7.8 | 3.1 |
| CV28012021_slice_1 | 0.913 | 82.719 | 32.710 | 0.941 | 30.3 | 12.0 | 0.937 | 8.1 | 3.2 |
| CV28012021_slice_2 | 0.912 | 85.343 | 33.467 | 0.939 | 31.3 | 12.3 | 0.935 | 8.3 | 3.3 |
| CV28012021_slice_3 | 0.909 | 88.228 | 34.210 | 0.938 | 32.3 | 12.5 | 0.934 | 8.6 | 3.3 |
| CV28012021_slice_4 | 0.910 | 90.072 | 34.347 | 0.938 | 33.0 | 12.6 | 0.934 | 8.8 | 3.4 |
| CV28012021_slice_5 | 0.910 | 90.254 | 34.144 | 0.939 | 33.1 | 12.5 | 0.935 | 8.8 | 3.3 |
| CV28012021_slice_6 | 0.905 | 93.457 | 35.435 | 0.935 | 34.2 | 13.0 | 0.930 | 9.1 | 3.5 |
| CV28012021_slice_7 | 0.904 | 95.887 | 36.374 | 0.933 | 35.1 | 13.3 | 0.928 | 9.4 | 3.6 |
| CV28012021_slice_8 | 0.901 | 100.052 | 37.254 | 0.932 | 36.6 | 13.6 | 0.926 | 9.8 | 3.6 |
| CV28012021_slice_9 | 0.899 | 102.583 | 37.877 | 0.931 | 37.6 | 13.9 | 0.926 | 10.0 | 3.7 |
| CV28012021_slice_10 | 0.897 | 103.466 | 38.269 | 0.931 | 37.9 | 14.0 | 0.926 | 10.1 | 3.7 |
| CV28012021_slice_11 | 0.892 | 106.084 | 39.231 | 0.929 | 38.9 | 14.4 | 0.924 | 10.4 | 3.8 |
| CV28012021_slice_12 | 0.892 | 110.101 | 40.234 | 0.927 | 40.3 | 14.7 | 0.922 | 10.8 | 3.9 |
| CV28012021_slice_13 | 0.893 | 111.930 | 40.452 | 0.927 | 41.0 | 14.8 | 0.922 | 10.9 | 4.0 |
| CV28012021_slice_14 | 0.894 | 110.900 | 39.990 | 0.928 | 40.6 | 14.6 | 0.923 | 10.8 | 3.9 |
| CV28012021_slice_15 | 0.894 | 111.053 | 39.897 | 0.928 | 40.7 | 14.6 | 0.923 | 10.8 | 3.9 |
| CV28012021_slice_16 | 0.894 | 112.335 | 40.241 | 0.926 | 41.1 | 14.7 | 0.922 | 11.0 | 3.9 |
| CV28012021_slice_17 | 0.894 | 114.314 | 41.275 | 0.925 | 41.9 | 15.1 | 0.921 | 11.2 | 4.0 |
| CV28012021_slice_18 | 0.891 | 115.736 | 41.638 | 0.923 | 42.4 | 15.3 | 0.919 | 11.3 | 4.1 |
| CV28012021_slice_19 | 0.890 | 116.519 | 41.634 | 0.923 | 42.7 | 15.3 | 0.919 | 11.4 | 4.1 |
| CV28012021_slice_20 | 0.886 | 119.837 | 43.123 | 0.921 | 43.9 | 15.8 | 0.916 | 11.7 | 4.2 |
| CV28012021_slice_21 | 0.882 | 122.245 | 43.756 | 0.918 | 44.8 | 16.0 | 0.914 | 11.9 | 4.3 |
| CV28012021_slice_22 | 0.880 | 125.055 | 44.770 | 0.916 | 45.8 | 16.4 | 0.912 | 12.2 | 4.4 |
| CV28012021_slice_23 | 0.877 | 127.430 | 45.815 | 0.914 | 46.7 | 16.8 | 0.910 | 12.4 | 4.5 |
| CV28012021_slice_24 | 0.874 | 129.553 | 46.681 | 0.913 | 47.5 | 17.1 | 0.909 | 12.7 | 4.6 |
| CV28012021_slice_25 | 0.870 | 131.572 | 47.489 | 0.911 | 48.2 | 17.4 | 0.908 | 12.9 | 4.6 |
| CV28012021_slice_26 | 0.870 | 133.281 | 47.964 | 0.910 | 48.8 | 17.6 | 0.906 | 13.0 | 4.7 |
| CV28012021_slice_27 | 0.869 | 134.494 | 48.492 | 0.910 | 49.3 | 17.8 | 0.906 | 13.1 | 4.7 |
| CV28012021_slice_28 | 0.868 | 135.987 | 49.137 | 0.909 | 49.8 | 18.0 | 0.905 | 13.3 | 4.8 |
| CV28012021_slice_29 | 0.867 | 137.582 | 49.580 | 0.908 | 50.4 | 18.2 | 0.904 | 13.4 | 4.8 |
| CV28012021_slice_30 | 0.865 | 138.531 | 49.958 | 0.907 | 50.7 | 18.3 | 0.903 | 13.5 | 4.9 |
| CV28012021_slice_31 | 0.861 | 140.393 | 50.932 | 0.904 | 51.4 | 18.7 | 0.901 | 13.7 | 5.0 |
| CV28012021_slice_32 | 0.858 | 142.707 | 52.440 | 0.903 | 52.3 | 19.2 | 0.898 | 13.9 | 5.1 |
| CV28012021_slice_33 | 0.857 | 146.094 | 53.706 | 0.901 | 53.5 | 19.7 | 0.897 | 14.3 | 5.2 |
| CV28012021_slice_34 | 0.855 | 147.317 | 54.242 | 0.899 | 54.0 | 19.9 | 0.895 | 14.4 | 5.3 |
| CV28012021_slice_35 | 0.853 | 149.272 | 55.103 | 0.898 | 54.7 | 20.2 | 0.893 | 14.6 | 5.4 |
| CV28012021_slice_36 | 0.851 | 151.350 | 56.237 | 0.897 | 55.4 | 20.6 | 0.892 | 14.8 | 5.5 |
| CV28012021_slice_37 | 0.848 | 154.108 | 57.613 | 0.896 | 56.4 | 21.1 | 0.892 | 15.1 | 5.6 |
| CV28012021_slice_38 | 0.846 | 155.097 | 58.150 | 0.895 | 56.8 | 21.3 | 0.890 | 15.1 | 5.7 |
| CV28012021_slice_39 | 0.843 | 157.556 | 59.582 | 0.894 | 57.7 | 21.8 | 0.889 | 15.4 | 5.8 |
| CV28012021_slice_40 | 0.841 | 158.046 | 59.788 | 0.894 | 57.9 | 21.9 | 0.889 | 15.4 | 5.8 |
| CV28012021_slice_41 | 0.838 | 158.898 | 60.517 | 0.892 | 58.2 | 22.2 | 0.888 | 15.5 | 5.9 |
| CV28012021_slice_42 | 0.833 | 160.233 | 61.703 | 0.890 | 58.7 | 22.6 | 0.885 | 15.7 | 6.0 |
| CV28012021_slice_43 | 0.833 | 161.077 | 62.139 | 0.890 | 59.0 | 22.8 | 0.885 | 15.7 | 6.1 |
| CV28012021_slice_44 | 0.832 | 161.681 | 62.409 | 0.889 | 59.2 | 22.9 | 0.885 | 15.8 | 6.1 |
| CV28012021_slice_45 | 0.833 | 161.415 | 62.302 | 0.890 | 59.1 | 22.8 | 0.885 | 15.8 | 6.1 |
| CV28012021_slice_46 | 0.833 | 163.371 | 63.480 | 0.888 | 59.8 | 23.3 | 0.883 | 16.0 | 6.2 |
| CV28012021_slice_47 | 0.830 | 165.689 | 64.621 | 0.886 | 60.7 | 23.7 | 0.881 | 16.2 | 6.3 |
| CV28012021_slice_48 | 0.828 | 166.088 | 65.017 | 0.885 | 60.8 | 23.8 | 0.879 | 16.2 | 6.4 |
| CV28012021_slice_49 | 0.827 | 165.996 | 65.524 | 0.884 | 60.8 | 24.0 | 0.879 | 16.2 | 6.4 |
| CV28012021_slice_50 | 0.827 | 164.589 | 64.955 | 0.883 | 60.3 | 23.8 | 0.878 | 16.1 | 6.3 |
| CV28012021_slice_51 | 0.827 | 162.662 | 64.065 | 0.883 | 59.6 | 23.5 | 0.878 | 15.9 | 6.3 |
| CV28012021_slice_52 | 0.826 | 161.320 | 63.647 | 0.883 | 59.1 | 23.3 | 0.878 | 15.8 | 6.2 |
| CV28012021_slice_53 | 0.829 | 156.867 | 61.742 | 0.886 | 57.5 | 22.6 | 0.881 | 15.3 | 6.0 |
| CV28012021_slice_54 | 0.833 | 151.543 | 59.819 | 0.888 | 55.5 | 21.9 | 0.884 | 14.8 | 5.8 |
| CV28012021_slice_55 | 0.840 | 146.142 | 57.749 | 0.892 | 53.5 | 21.2 | 0.888 | 14.3 | 5.6 |
| CV28012021_slice_56 | 0.844 | 142.544 | 55.670 | 0.895 | 52.2 | 20.4 | 0.891 | 13.9 | 5.4 |
| CV28012021_slice_57 | 0.847 | 139.300 | 54.170 | 0.898 | 51.0 | 19.8 | 0.895 | 13.6 | 5.3 |
| CV28012021_slice_58 | 0.849 | 135.496 | 52.760 | 0.898 | 49.6 | 19.3 | 0.895 | 13.2 | 5.2 |
| CV28012021_slice_59 | 0.856 | 129.830 | 50.551 | 0.900 | 47.6 | 18.5 | 0.897 | 12.7 | 4.9 |
| CV28012021_slice_60 | 0.863 | 123.878 | 48.652 | 0.904 | 45.4 | 17.8 | 0.901 | 12.1 | 4.8 |
| CV28012021_slice_61 | 0.865 | 123.077 | 48.312 | 0.905 | 45.1 | 17.7 | 0.902 | 12.0 | 4.7 |
| CV28012021_slice_62 | 0.866 | 121.182 | 47.895 | 0.904 | 44.4 | 17.5 | 0.901 | 11.8 | 4.7 |
| CV28012021_slice_63 | 0.866 | 118.575 | 47.428 | 0.903 | 43.4 | 17.4 | 0.900 | 11.6 | 4.6 |
| CV28012021_slice_64 | 0.872 | 113.108 | 45.667 | 0.907 | 41.4 | 16.7 | 0.903 | 11.0 | 4.5 |
| CV28012021_slice_65 | 0.878 | 107.821 | 43.967 | 0.912 | 39.5 | 16.1 | 0.908 | 10.5 | 4.3 |
| CV28012021_slice_66 | 0.879 | 104.157 | 42.716 | 0.914 | 38.2 | 15.6 | 0.911 | 10.2 | 4.2 |
| CV28012021_slice_67 | 0.884 | 100.162 | 41.208 | 0.917 | 36.7 | 15.1 | 0.914 | 9.8 | 4.0 |
| CV28012021_slice_68 | 0.888 | 95.072 | 39.746 | 0.921 | 34.8 | 14.6 | 0.918 | 9.3 | 3.9 |
| CV28012021_slice_69 | 0.893 | 91.895 | 38.835 | 0.923 | 33.7 | 14.2 | 0.921 | 9.0 | 3.8 |
| CV28012021_slice_70 | 0.895 | 90.804 | 38.257 | 0.923 | 33.3 | 14.0 | 0.921 | 8.9 | 3.7 |
| CV28012021_slice_71 | 0.897 | 89.882 | 37.800 | 0.925 | 32.9 | 13.8 | 0.923 | 8.8 | 3.7 |
| CV28012021_slice_72 | 0.900 | 88.706 | 37.269 | 0.928 | 32.5 | 13.7 | 0.926 | 8.7 | 3.6 |
| CV28012021_slice_73 | 0.904 | 86.765 | 36.254 | 0.931 | 31.8 | 13.3 | 0.929 | 8.5 | 3.5 |
| CV28012021_slice_74 | 0.907 | 86.072 | 36.010 | 0.933 | 31.5 | 13.2 | 0.931 | 8.4 | 3.5 |
| CV28012021_slice_75 | 0.906 | 85.799 | 36.042 | 0.932 | 31.4 | 13.2 | 0.930 | 8.4 | 3.5 |
| CV28012021_slice_76 | 0.905 | 85.918 | 36.212 | 0.932 | 31.5 | 13.3 | 0.930 | 8.4 | 3.5 |
| CV28012021_slice_77 | 0.905 | 85.099 | 35.941 | 0.933 | 31.2 | 13.2 | 0.931 | 8.3 | 3.5 |
| CV28012021_slice_78 | 0.907 | 83.822 | 35.485 | 0.934 | 30.7 | 13.0 | 0.932 | 8.2 | 3.5 |
| CV28012021_slice_79 | 0.909 | 83.124 | 35.258 | 0.935 | 30.4 | 12.9 | 0.933 | 8.1 | 3.4 |
| CV28012021_slice_80 | 0.908 | 83.498 | 35.800 | 0.935 | 30.6 | 13.1 | 0.933 | 8.2 | 3.5 |
| CV28012021_slice_81 | 0.905 | 84.736 | 36.210 | 0.935 | 31.0 | 13.3 | 0.933 | 8.3 | 3.5 |
| CV28012021_slice_82 | 0.905 | 84.372 | 36.092 | 0.936 | 30.9 | 13.2 | 0.934 | 8.2 | 3.5 |
| CV28012021_slice_83 | 0.900 | 84.085 | 36.380 | 0.935 | 30.8 | 13.3 | 0.933 | 8.2 | 3.6 |
| CV28012021_slice_84 | 0.899 | 83.772 | 36.408 | 0.937 | 30.7 | 13.3 | 0.934 | 8.2 | 3.6 |
| CV28012021_slice_85 | 0.900 | 83.817 | 36.439 | 0.937 | 30.7 | 13.3 | 0.935 | 8.2 | 3.6 |
| CV28012021_slice_86 | 0.902 | 83.775 | 36.227 | 0.936 | 30.7 | 13.3 | 0.934 | 8.2 | 3.5 |
| CV28012021_slice_87 | 0.902 | 83.754 | 36.149 | 0.936 | 30.7 | 13.2 | 0.933 | 8.2 | 3.5 |
| CV28012021_slice_88 | 0.902 | 84.353 | 36.340 | 0.936 | 30.9 | 13.3 | 0.934 | 8.2 | 3.5 |
| CV28012021_slice_89 | 0.898 | 85.695 | 36.953 | 0.935 | 31.4 | 13.5 | 0.933 | 8.4 | 3.6 |
| CV28012021_slice_90 | 0.900 | 86.253 | 37.092 | 0.935 | 31.6 | 13.6 | 0.933 | 8.4 | 3.6 |
| CV28012021_slice_91 | 0.900 | 85.732 | 36.976 | 0.935 | 31.4 | 13.5 | 0.933 | 8.4 | 3.6 |
| CV28012021_slice_92 | 0.899 | 85.113 | 37.029 | 0.935 | 31.2 | 13.6 | 0.932 | 8.3 | 3.6 |
| CV28012021_slice_93 | 0.899 | 83.771 | 36.899 | 0.936 | 30.7 | 13.5 | 0.934 | 8.2 | 3.6 |
| CV28012021_slice_94 | 0.904 | 81.315 | 36.151 | 0.936 | 29.8 | 13.2 | 0.934 | 7.9 | 3.5 |
| CV28012021_slice_95 | 0.903 | 80.338 | 36.722 | 0.936 | 29.4 | 13.5 | 0.934 | 7.8 | 3.6 |
| CV28012021_slice_96 | 0.901 | 81.624 | 37.387 | 0.934 | 29.9 | 13.7 | 0.932 | 8.0 | 3.7 |
| CV28012021_slice_97 | 0.899 | 82.054 | 37.208 | 0.933 | 30.1 | 13.6 | 0.931 | 8.0 | 3.6 |
| CV28012021_slice_98 | 0.901 | 80.425 | 36.740 | 0.934 | 29.5 | 13.5 | 0.932 | 7.9 | 3.6 |
| CV28012021_slice_99 | 0.899 | 80.137 | 36.955 | 0.935 | 29.4 | 13.5 | 0.933 | 7.8 | 3.6 |
| CV28012021_slice_100 | 0.896 | 80.185 | 37.996 | 0.933 | 29.4 | 13.9 | 0.931 | 7.8 | 3.7 |
| CV28012021_slice_101 | 0.897 | 80.928 | 37.625 | 0.934 | 29.6 | 13.8 | 0.932 | 7.9 | 3.7 |
| CV28012021_slice_102 | 0.898 | 82.188 | 37.465 | 0.933 | 30.1 | 13.7 | 0.930 | 8.0 | 3.7 |
| CV28012021_slice_103 | 0.899 | 82.549 | 37.900 | 0.932 | 30.2 | 13.9 | 0.930 | 8.1 | 3.7 |
| CV28012021_slice_104 | 0.899 | 83.162 | 37.839 | 0.932 | 30.5 | 13.9 | 0.930 | 8.1 | 3.7 |
| CV28012021_slice_105 | 0.903 | 79.878 | 36.492 | 0.935 | 29.3 | 13.4 | 0.933 | 7.8 | 3.6 |
| CV28012021_slice_106 | 0.905 | 77.916 | 35.788 | 0.936 | 28.5 | 13.1 | 0.934 | 7.6 | 3.5 |
| CV28012021_slice_107 | 0.906 | 77.109 | 35.376 | 0.937 | 28.2 | 13.0 | 0.935 | 7.5 | 3.5 |
| CV28012021_slice_108 | 0.910 | 74.324 | 34.781 | 0.939 | 27.2 | 12.7 | 0.938 | 7.3 | 3.4 |
| CV28012021_slice_109 | 0.909 | 72.485 | 34.148 | 0.938 | 26.6 | 12.5 | 0.937 | 7.1 | 3.3 |
| CV28012021_slice_110 | 0.912 | 71.332 | 33.655 | 0.939 | 26.1 | 12.3 | 0.937 | 7.0 | 3.3 |
| CV28012021_slice_111 | 0.910 | 70.891 | 33.546 | 0.938 | 26.0 | 12.3 | 0.936 | 6.9 | 3.3 |
| CV28012021_slice_112 | 0.908 | 71.598 | 33.813 | 0.936 | 26.2 | 12.4 | 0.935 | 7.0 | 3.3 |
| CV28012021_slice_113 | 0.907 | 73.559 | 34.262 | 0.935 | 26.9 | 12.6 | 0.933 | 7.2 | 3.3 |
| CV28012021_slice_114 | 0.906 | 74.843 | 34.347 | 0.935 | 27.4 | 12.6 | 0.933 | 7.3 | 3.4 |
| CV28012021_slice_115 | 0.905 | 75.685 | 34.562 | 0.935 | 27.7 | 12.7 | 0.933 | 7.4 | 3.4 |
| CV28012021_slice_116 | 0.898 | 82.495 | 36.602 | 0.932 | 30.2 | 13.4 | 0.930 | 8.1 | 3.6 |
| CV28012021_slice_117 | 0.895 | 93.447 | 39.304 | 0.932 | 34.2 | 14.4 | 0.929 | 9.1 | 3.8 |
| CV28012021_slice_118 | 0.890 | 101.703 | 41.702 | 0.931 | 37.3 | 15.3 | 0.928 | 9.9 | 4.1 |
| CV28012021_slice_119 | 0.888 | 103.287 | 42.487 | 0.932 | 37.8 | 15.6 | 0.929 | 10.1 | 4.2 |
| CV28012021_slice_120 | 0.890 | 100.063 | 41.279 | 0.936 | 36.7 | 15.1 | 0.933 | 9.8 | 4.0 |
| CV28012021_slice_121 | 0.898 | 95.445 | 39.064 | 0.939 | 35.0 | 14.3 | 0.936 | 9.3 | 3.8 |
| CV28012021_slice_122 | 0.903 | 91.204 | 37.932 | 0.937 | 33.4 | 13.9 | 0.935 | 8.9 | 3.7 |
| CV28012021_slice_123 | 0.906 | 89.676 | 37.433 | 0.937 | 32.8 | 13.7 | 0.935 | 8.8 | 3.7 |
| CV28012021_slice_124 | 0.907 | 87.635 | 36.743 | 0.937 | 32.1 | 13.5 | 0.935 | 8.6 | 3.6 |
| CV28012021_slice_125 | 0.908 | 90.228 | 37.154 | 0.938 | 33.1 | 13.6 | 0.936 | 8.8 | 3.6 |
| CV28012021_slice_126 | 0.909 | 92.457 | 38.036 | 0.938 | 33.9 | 13.9 | 0.936 | 9.0 | 3.7 |
| CV28012021_slice_127 | 0.908 | 91.770 | 38.009 | 0.938 | 33.6 | 13.9 | 0.936 | 9.0 | 3.7 |
| CV28012021_slice_128 | 0.907 | 90.077 | 37.307 | 0.936 | 33.0 | 13.7 | 0.934 | 8.8 | 3.6 |
| CV28012021_slice_129 | 0.904 | 90.324 | 37.508 | 0.934 | 33.1 | 13.7 | 0.932 | 8.8 | 3.7 |
| CV28012021_slice_130 | 0.906 | 86.693 | 36.606 | 0.935 | 31.8 | 13.4 | 0.934 | 8.5 | 3.6 |
| CV28012021_slice_131 | 0.909 | 84.817 | 35.804 | 0.937 | 31.1 | 13.1 | 0.935 | 8.3 | 3.5 |
| CV28012021_slice_132 | 0.909 | 84.125 | 35.906 | 0.935 | 30.8 | 13.2 | 0.934 | 8.2 | 3.5 |
| CV28012021_slice_133 | 0.909 | 82.128 | 35.557 | 0.936 | 30.1 | 13.0 | 0.934 | 8.0 | 3.5 |
| CV28012021_slice_134 | 0.910 | 80.184 | 35.038 | 0.937 | 29.4 | 12.8 | 0.935 | 7.8 | 3.4 |
| CV28012021_slice_135 | 0.910 | 79.250 | 34.946 | 0.936 | 29.0 | 12.8 | 0.935 | 7.7 | 3.4 |
| CV28012021_slice_136 | 0.915 | 76.896 | 33.976 | 0.939 | 28.2 | 12.4 | 0.937 | 7.5 | 3.3 |
| CV28012021_slice_137 | 0.916 | 75.507 | 33.608 | 0.939 | 27.7 | 12.3 | 0.937 | 7.4 | 3.3 |
| CV28012021_slice_138 | 0.914 | 74.570 | 33.768 | 0.937 | 27.3 | 12.4 | 0.936 | 7.3 | 3.3 |
| CV28012021_slice_139 | 0.915 | 73.289 | 33.574 | 0.937 | 26.8 | 12.3 | 0.935 | 7.2 | 3.3 |
| CV28012021_slice_140 | 0.916 | 70.623 | 33.076 | 0.938 | 25.9 | 12.1 | 0.937 | 6.9 | 3.2 |
| CV28012021_slice_141 | 0.916 | 69.537 | 32.998 | 0.938 | 25.5 | 12.1 | 0.936 | 6.8 | 3.2 |
| CV28012021_slice_142 | 0.918 | 68.913 | 32.485 | 0.939 | 25.2 | 11.9 | 0.938 | 6.7 | 3.2 |
| CV28012021_slice_143 | 0.921 | 67.426 | 31.953 | 0.942 | 24.7 | 11.7 | 0.940 | 6.6 | 3.1 |
| CV28012021_slice_144 | 0.919 | 65.699 | 31.725 | 0.942 | 24.1 | 11.6 | 0.940 | 6.4 | 3.1 |
| CV28012021_slice_145 | 0.920 | 64.332 | 31.622 | 0.943 | 23.6 | 11.6 | 0.941 | 6.3 | 3.1 |
| CV28012021_slice_146 | 0.919 | 63.597 | 31.635 | 0.942 | 23.3 | 11.6 | 0.940 | 6.2 | 3.1 |
| CV28012021_slice_147 | 0.923 | 61.628 | 30.708 | 0.945 | 22.6 | 11.2 | 0.943 | 6.0 | 3.0 |
| CV28012021_slice_148 | 0.924 | 59.743 | 30.326 | 0.945 | 21.9 | 11.1 | 0.944 | 5.8 | 3.0 |
| CV28012021_slice_149 | 0.925 | 57.842 | 29.594 | 0.947 | 21.2 | 10.8 | 0.946 | 5.7 | 2.9 |
| CV28012021_slice_150 | 0.925 | 56.572 | 29.452 | 0.947 | 20.7 | 10.8 | 0.946 | 5.5 | 2.9 |
| CV28012021_slice_151 | 0.925 | 55.466 | 29.323 | 0.947 | 20.3 | 10.7 | 0.946 | 5.4 | 2.9 |
| CV28012021_slice_152 | 0.926 | 54.077 | 29.023 | 0.947 | 19.8 | 10.6 | 0.946 | 5.3 | 2.8 |
| CV28012021_slice_153 | 0.931 | 52.287 | 27.928 | 0.951 | 19.2 | 10.2 | 0.950 | 5.1 | 2.7 |
| CV28012021_slice_154 | 0.934 | 51.429 | 27.508 | 0.953 | 18.8 | 10.1 | 0.952 | 5.0 | 2.7 |
| CV28012021_slice_155 | 0.929 | 51.971 | 28.266 | 0.951 | 19.0 | 10.4 | 0.950 | 5.1 | 2.8 |
| CV28012021_slice_156 | 0.933 | 50.318 | 27.547 | 0.954 | 18.4 | 10.1 | 0.953 | 4.9 | 2.7 |
| CV28012021_slice_157 | 0.935 | 48.573 | 26.988 | 0.956 | 17.8 | 9.9 | 0.954 | 4.7 | 2.6 |
| CV28012021_slice_158 | 0.936 | 47.165 | 26.570 | 0.957 | 17.3 | 9.7 | 0.956 | 4.6 | 2.6 |
| CV28012021_slice_159 | 0.936 | 46.631 | 26.435 | 0.958 | 17.1 | 9.7 | 0.957 | 4.6 | 2.6 |
| CV28012021_slice_160 | 0.936 | 45.116 | 26.264 | 0.959 | 16.5 | 9.6 | 0.958 | 4.4 | 2.6 |
| CV28012021_slice_161 | 0.939 | 43.495 | 25.588 | 0.960 | 15.9 | 9.4 | 0.959 | 4.2 | 2.5 |
| CV28012021_slice_162 | 0.939 | 42.717 | 25.540 | 0.960 | 15.6 | 9.4 | 0.959 | 4.2 | 2.5 |
| CV28012021_slice_163 | 0.939 | 42.860 | 25.700 | 0.960 | 15.7 | 9.4 | 0.959 | 4.2 | 2.5 |
| CV28012021_slice_164 | 0.938 | 42.691 | 25.692 | 0.960 | 15.6 | 9.4 | 0.959 | 4.2 | 2.5 |
| CV28012021_slice_165 | 0.941 | 41.857 | 24.847 | 0.962 | 15.3 | 9.1 | 0.961 | 4.1 | 2.4 |
| CV28012021_slice_166 | 0.942 | 41.682 | 24.639 | 0.963 | 15.3 | 9.0 | 0.962 | 4.1 | 2.4 |
| CV28012021_slice_167 | 0.942 | 42.557 | 24.563 | 0.963 | 15.6 | 9.0 | 0.962 | 4.2 | 2.4 |
| CV28012021_slice_168 | 0.942 | 43.129 | 24.511 | 0.963 | 15.8 | 9.0 | 0.962 | 4.2 | 2.4 |
| CV28012021_slice_169 | 0.943 | 42.659 | 24.107 | 0.964 | 15.6 | 8.8 | 0.963 | 4.2 | 2.4 |
4Γ3 grid: Rows show different image types (Original NATIVE, Reconstructed NATIVE, Original VENOUS, Generated VENOUS), Columns show windowing techniques (No Window, Lung Window, Mediastinum Window)