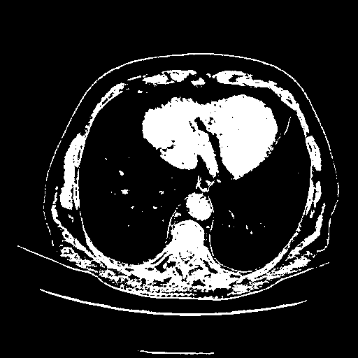
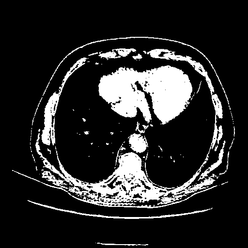
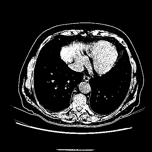
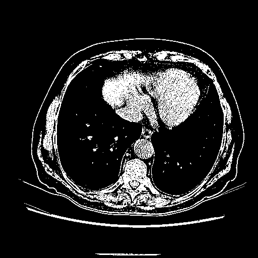
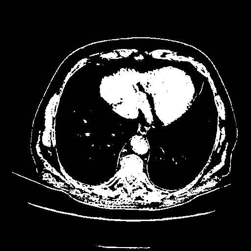
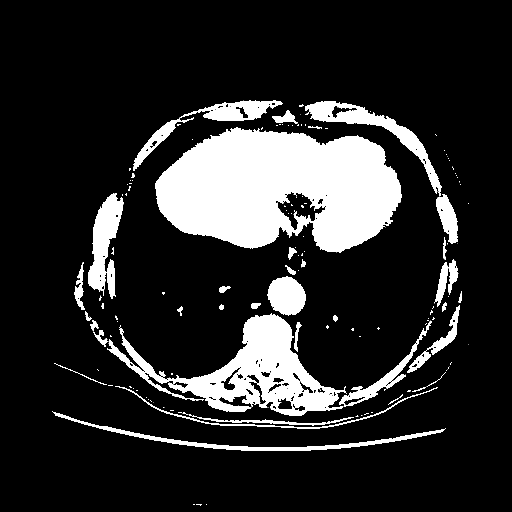
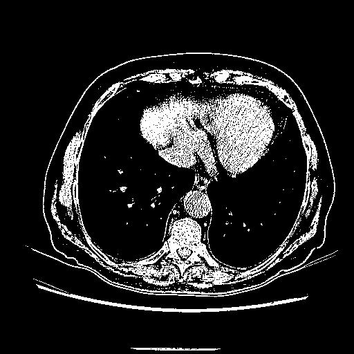
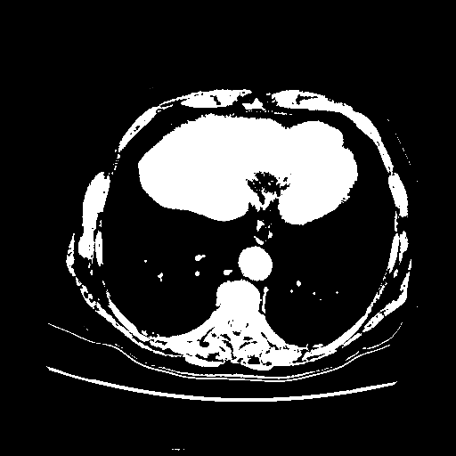
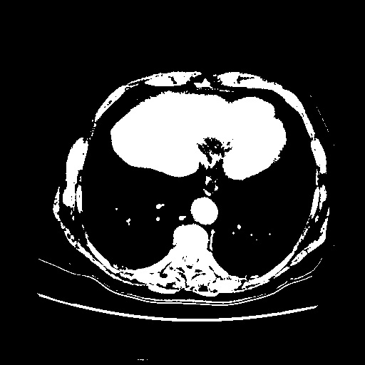
Slice 70 Targeting Evaluation
Patient ID: BC23122020
Model: cytran
Slice: Slice_70
Slice Thickness: 2.5mm
Conversion: NATIVE β VENOUS
Contains all 4 metric datasets: Network-Normalized, Hounsfield Units, Lung Window, and Mediastinum Window
| Slice ID | Full Window SSIM | Full Window RMSE | Full Window MAE | Lung SSIM | Lung RMSE | Lung MAE | Mediastinum SSIM | Mediastinum RMSE | Mediastinum MAE |
|---|---|---|---|---|---|---|---|---|---|
| BC23122020_slice_0 | 0.726 | 946.537 | 484.685 | 0.851 | 346.7 | 177.5 | 0.816 | 92.5 | 47.3 |
| BC23122020_slice_1 | 0.727 | 946.433 | 483.600 | 0.852 | 346.7 | 177.1 | 0.818 | 92.4 | 47.2 |
| BC23122020_slice_2 | 0.732 | 943.566 | 478.634 | 0.863 | 345.6 | 175.3 | 0.829 | 92.2 | 46.8 |
| BC23122020_slice_3 | 0.736 | 945.825 | 481.465 | 0.856 | 346.5 | 176.4 | 0.822 | 92.4 | 47.0 |
| BC23122020_slice_4 | 0.731 | 946.672 | 483.424 | 0.852 | 346.8 | 177.1 | 0.818 | 92.5 | 47.2 |
| BC23122020_slice_5 | 0.735 | 946.779 | 483.313 | 0.855 | 346.8 | 177.0 | 0.821 | 92.5 | 47.2 |
| BC23122020_slice_6 | 0.735 | 946.928 | 483.679 | 0.856 | 346.9 | 177.2 | 0.822 | 92.5 | 47.2 |
| BC23122020_slice_7 | 0.734 | 947.048 | 483.974 | 0.855 | 346.9 | 177.3 | 0.821 | 92.5 | 47.3 |
| BC23122020_slice_8 | 0.727 | 946.799 | 485.344 | 0.851 | 346.8 | 177.8 | 0.817 | 92.5 | 47.4 |
| BC23122020_slice_9 | 0.722 | 946.964 | 487.142 | 0.848 | 346.9 | 178.4 | 0.814 | 92.5 | 47.6 |
| BC23122020_slice_10 | 0.718 | 947.905 | 489.944 | 0.845 | 347.2 | 179.5 | 0.811 | 92.6 | 47.9 |
| BC23122020_slice_11 | 0.723 | 947.504 | 489.157 | 0.847 | 347.1 | 179.2 | 0.813 | 92.6 | 47.8 |
| BC23122020_slice_12 | 0.722 | 948.205 | 491.256 | 0.844 | 347.3 | 179.9 | 0.810 | 92.6 | 48.0 |
| BC23122020_slice_13 | 0.717 | 949.646 | 493.611 | 0.844 | 347.9 | 180.8 | 0.810 | 92.8 | 48.2 |
| BC23122020_slice_14 | 0.711 | 950.266 | 496.933 | 0.841 | 348.1 | 182.0 | 0.806 | 92.8 | 48.5 |
| BC23122020_slice_15 | 0.705 | 952.754 | 502.289 | 0.834 | 349.0 | 184.0 | 0.799 | 93.1 | 49.1 |
| BC23122020_slice_16 | 0.706 | 952.728 | 503.685 | 0.834 | 349.0 | 184.5 | 0.798 | 93.1 | 49.2 |
| BC23122020_slice_17 | 0.699 | 953.190 | 505.702 | 0.829 | 349.2 | 185.2 | 0.793 | 93.1 | 49.4 |
| BC23122020_slice_18 | 0.695 | 953.073 | 505.971 | 0.829 | 349.1 | 185.3 | 0.794 | 93.1 | 49.4 |
| BC23122020_slice_19 | 0.694 | 952.729 | 505.792 | 0.827 | 349.0 | 185.3 | 0.792 | 93.1 | 49.4 |
| BC23122020_slice_20 | 0.695 | 953.285 | 506.584 | 0.825 | 349.2 | 185.6 | 0.790 | 93.1 | 49.5 |
| BC23122020_slice_21 | 0.701 | 952.060 | 503.361 | 0.827 | 348.7 | 184.4 | 0.793 | 93.0 | 49.2 |
| BC23122020_slice_22 | 0.705 | 952.255 | 503.871 | 0.828 | 348.8 | 184.6 | 0.794 | 93.0 | 49.2 |
| BC23122020_slice_23 | 0.704 | 951.882 | 505.143 | 0.827 | 348.7 | 185.0 | 0.792 | 93.0 | 49.3 |
| BC23122020_slice_24 | 0.707 | 951.499 | 504.407 | 0.830 | 348.5 | 184.8 | 0.795 | 92.9 | 49.3 |
| BC23122020_slice_25 | 0.700 | 952.337 | 506.855 | 0.826 | 348.8 | 185.7 | 0.791 | 93.0 | 49.5 |
| BC23122020_slice_26 | 0.695 | 954.409 | 510.539 | 0.823 | 349.6 | 187.0 | 0.788 | 93.2 | 49.9 |
| BC23122020_slice_27 | 0.693 | 953.776 | 509.593 | 0.820 | 349.4 | 186.7 | 0.785 | 93.2 | 49.8 |
| BC23122020_slice_28 | 0.693 | 954.006 | 509.368 | 0.818 | 349.5 | 186.6 | 0.784 | 93.2 | 49.8 |
| BC23122020_slice_29 | 0.690 | 954.509 | 510.991 | 0.815 | 349.6 | 187.2 | 0.781 | 93.2 | 49.9 |
| BC23122020_slice_30 | 0.688 | 954.265 | 510.848 | 0.813 | 349.5 | 187.1 | 0.779 | 93.2 | 49.9 |
| BC23122020_slice_31 | 0.686 | 955.130 | 512.331 | 0.812 | 349.9 | 187.7 | 0.777 | 93.3 | 50.0 |
| BC23122020_slice_32 | 0.688 | 954.526 | 512.188 | 0.815 | 349.6 | 187.6 | 0.781 | 93.2 | 50.0 |
| BC23122020_slice_33 | 0.681 | 954.857 | 514.301 | 0.812 | 349.8 | 188.4 | 0.777 | 93.3 | 50.2 |
| BC23122020_slice_34 | 0.679 | 955.780 | 515.904 | 0.808 | 350.1 | 189.0 | 0.773 | 93.4 | 50.4 |
| BC23122020_slice_35 | 0.677 | 957.198 | 517.848 | 0.805 | 350.6 | 189.7 | 0.770 | 93.5 | 50.6 |
| BC23122020_slice_36 | 0.672 | 958.558 | 520.928 | 0.800 | 351.1 | 190.8 | 0.765 | 93.6 | 50.9 |
| BC23122020_slice_37 | 0.662 | 959.169 | 523.547 | 0.794 | 351.3 | 191.8 | 0.759 | 93.7 | 51.1 |
| BC23122020_slice_38 | 0.659 | 959.419 | 524.997 | 0.791 | 351.4 | 192.3 | 0.755 | 93.7 | 51.3 |
| BC23122020_slice_39 | 0.658 | 959.304 | 524.520 | 0.794 | 351.4 | 192.1 | 0.758 | 93.7 | 51.2 |
| BC23122020_slice_40 | 0.655 | 958.799 | 524.585 | 0.794 | 351.2 | 192.2 | 0.758 | 93.7 | 51.2 |
| BC23122020_slice_41 | 0.656 | 959.096 | 525.618 | 0.794 | 351.3 | 192.5 | 0.759 | 93.7 | 51.3 |
| BC23122020_slice_42 | 0.649 | 960.247 | 528.101 | 0.794 | 351.7 | 193.4 | 0.757 | 93.8 | 51.6 |
| BC23122020_slice_43 | 0.653 | 958.993 | 526.257 | 0.794 | 351.3 | 192.8 | 0.758 | 93.7 | 51.4 |
| BC23122020_slice_44 | 0.656 | 958.912 | 525.298 | 0.797 | 351.2 | 192.4 | 0.761 | 93.7 | 51.3 |
| BC23122020_slice_45 | 0.653 | 959.297 | 526.018 | 0.798 | 351.4 | 192.7 | 0.762 | 93.7 | 51.4 |
| BC23122020_slice_46 | 0.653 | 958.974 | 526.746 | 0.799 | 351.3 | 192.9 | 0.763 | 93.7 | 51.5 |
| BC23122020_slice_47 | 0.647 | 960.300 | 530.508 | 0.794 | 351.8 | 194.3 | 0.757 | 93.8 | 51.8 |
| BC23122020_slice_48 | 0.644 | 960.659 | 530.532 | 0.796 | 351.9 | 194.3 | 0.759 | 93.8 | 51.8 |
| BC23122020_slice_49 | 0.636 | 963.097 | 534.907 | 0.790 | 352.8 | 195.9 | 0.752 | 94.1 | 52.2 |
| BC23122020_slice_50 | 0.641 | 963.919 | 536.360 | 0.788 | 353.1 | 196.5 | 0.750 | 94.2 | 52.4 |
| BC23122020_slice_51 | 0.646 | 964.048 | 536.769 | 0.784 | 353.1 | 196.6 | 0.747 | 94.2 | 52.4 |
| BC23122020_slice_52 | 0.648 | 962.337 | 532.836 | 0.784 | 352.5 | 195.2 | 0.748 | 94.0 | 52.0 |
| BC23122020_slice_53 | 0.654 | 960.962 | 528.666 | 0.788 | 352.0 | 193.7 | 0.752 | 93.9 | 51.6 |
| BC23122020_slice_54 | 0.656 | 960.200 | 526.058 | 0.788 | 351.7 | 192.7 | 0.752 | 93.8 | 51.4 |
| BC23122020_slice_55 | 0.655 | 960.004 | 525.852 | 0.787 | 351.6 | 192.6 | 0.752 | 93.8 | 51.4 |
| BC23122020_slice_56 | 0.654 | 959.881 | 524.683 | 0.787 | 351.6 | 192.2 | 0.751 | 93.8 | 51.3 |
| BC23122020_slice_57 | 0.660 | 960.527 | 524.874 | 0.787 | 351.8 | 192.3 | 0.751 | 93.8 | 51.3 |
| BC23122020_slice_58 | 0.663 | 960.108 | 523.608 | 0.785 | 351.7 | 191.8 | 0.749 | 93.8 | 51.1 |
| BC23122020_slice_59 | 0.665 | 959.335 | 524.018 | 0.786 | 351.4 | 191.9 | 0.750 | 93.7 | 51.2 |
| BC23122020_slice_60 | 0.664 | 958.251 | 521.924 | 0.783 | 351.0 | 191.2 | 0.748 | 93.6 | 51.0 |
| BC23122020_slice_61 | 0.664 | 958.185 | 522.772 | 0.782 | 351.0 | 191.5 | 0.747 | 93.6 | 51.1 |
| BC23122020_slice_62 | 0.651 | 959.737 | 527.216 | 0.772 | 351.6 | 193.1 | 0.736 | 93.7 | 51.5 |
| BC23122020_slice_63 | 0.653 | 959.546 | 525.766 | 0.774 | 351.5 | 192.6 | 0.739 | 93.7 | 51.4 |
| BC23122020_slice_64 | 0.655 | 959.432 | 525.215 | 0.777 | 351.4 | 192.4 | 0.741 | 93.7 | 51.3 |
| BC23122020_slice_65 | 0.654 | 960.628 | 527.532 | 0.779 | 351.9 | 193.2 | 0.742 | 93.8 | 51.5 |
| BC23122020_slice_66 | 0.653 | 960.945 | 527.416 | 0.785 | 352.0 | 193.2 | 0.748 | 93.9 | 51.5 |
| BC23122020_slice_67 | 0.640 | 962.857 | 531.004 | 0.784 | 352.7 | 194.5 | 0.745 | 94.1 | 51.9 |
| BC23122020_slice_68 | 0.632 | 962.972 | 532.410 | 0.786 | 352.7 | 195.0 | 0.746 | 94.1 | 52.0 |
| BC23122020_slice_69 | 0.626 | 963.035 | 532.883 | 0.783 | 352.8 | 195.2 | 0.743 | 94.1 | 52.1 |
| BC23122020_slice_70 | 0.636 | 963.021 | 533.107 | 0.786 | 352.8 | 195.3 | 0.747 | 94.1 | 52.1 |
| BC23122020_slice_71 | 0.637 | 964.267 | 535.947 | 0.786 | 353.2 | 196.3 | 0.747 | 94.2 | 52.4 |
| BC23122020_slice_72 | 0.630 | 965.354 | 537.861 | 0.787 | 353.6 | 197.0 | 0.747 | 94.3 | 52.5 |
| BC23122020_slice_73 | 0.630 | 966.013 | 538.712 | 0.787 | 353.9 | 197.3 | 0.747 | 94.4 | 52.6 |
| BC23122020_slice_74 | 0.624 | 968.957 | 543.232 | 0.783 | 354.9 | 199.0 | 0.742 | 94.6 | 53.1 |
| BC23122020_slice_75 | 0.617 | 970.271 | 544.014 | 0.781 | 355.4 | 199.3 | 0.740 | 94.8 | 53.1 |
| BC23122020_slice_76 | 0.611 | 970.164 | 543.819 | 0.780 | 355.4 | 199.2 | 0.739 | 94.8 | 53.1 |
| BC23122020_slice_77 | 0.618 | 970.139 | 541.484 | 0.785 | 355.4 | 198.3 | 0.745 | 94.8 | 52.9 |
| BC23122020_slice_78 | 0.620 | 970.332 | 540.641 | 0.789 | 355.4 | 198.0 | 0.748 | 94.8 | 52.8 |
| BC23122020_slice_79 | 0.616 | 969.529 | 539.970 | 0.789 | 355.1 | 197.8 | 0.748 | 94.7 | 52.7 |
| BC23122020_slice_80 | 0.611 | 969.189 | 540.456 | 0.790 | 355.0 | 198.0 | 0.749 | 94.7 | 52.8 |
| BC23122020_slice_81 | 0.615 | 969.265 | 539.357 | 0.789 | 355.0 | 197.6 | 0.749 | 94.7 | 52.7 |
| BC23122020_slice_82 | 0.626 | 968.945 | 537.621 | 0.788 | 354.9 | 196.9 | 0.748 | 94.6 | 52.5 |
| BC23122020_slice_83 | 0.629 | 967.630 | 534.816 | 0.787 | 354.4 | 195.9 | 0.748 | 94.5 | 52.2 |
| BC23122020_slice_84 | 0.635 | 965.944 | 530.428 | 0.792 | 353.8 | 194.3 | 0.753 | 94.4 | 51.8 |
| BC23122020_slice_85 | 0.638 | 965.325 | 529.367 | 0.794 | 353.6 | 193.9 | 0.755 | 94.3 | 51.7 |
| BC23122020_slice_86 | 0.632 | 964.449 | 528.627 | 0.797 | 353.3 | 193.6 | 0.758 | 94.2 | 51.6 |
| BC23122020_slice_87 | 0.635 | 963.240 | 526.445 | 0.801 | 352.8 | 192.8 | 0.762 | 94.1 | 51.4 |
| BC23122020_slice_88 | 0.646 | 962.412 | 522.906 | 0.802 | 352.5 | 191.5 | 0.764 | 94.0 | 51.1 |
| BC23122020_slice_89 | 0.640 | 960.768 | 520.929 | 0.802 | 351.9 | 190.8 | 0.765 | 93.8 | 50.9 |
| BC23122020_slice_90 | 0.642 | 959.833 | 519.471 | 0.804 | 351.6 | 190.3 | 0.767 | 93.8 | 50.7 |
| BC23122020_slice_91 | 0.642 | 958.439 | 516.930 | 0.807 | 351.1 | 189.4 | 0.770 | 93.6 | 50.5 |
| BC23122020_slice_92 | 0.638 | 958.739 | 517.010 | 0.806 | 351.2 | 189.4 | 0.770 | 93.6 | 50.5 |
| BC23122020_slice_93 | 0.642 | 958.818 | 516.931 | 0.807 | 351.2 | 189.4 | 0.771 | 93.7 | 50.5 |
| BC23122020_slice_94 | 0.643 | 958.357 | 516.209 | 0.805 | 351.0 | 189.1 | 0.769 | 93.6 | 50.4 |
| BC23122020_slice_95 | 0.638 | 957.925 | 515.237 | 0.803 | 350.9 | 188.7 | 0.767 | 93.6 | 50.3 |
| BC23122020_slice_96 | 0.638 | 956.990 | 512.595 | 0.804 | 350.5 | 187.8 | 0.768 | 93.5 | 50.1 |
| BC23122020_slice_97 | 0.638 | 955.881 | 511.575 | 0.803 | 350.1 | 187.4 | 0.767 | 93.4 | 50.0 |
| BC23122020_slice_98 | 0.639 | 954.951 | 510.048 | 0.805 | 349.8 | 186.8 | 0.769 | 93.3 | 49.8 |
| BC23122020_slice_99 | 0.642 | 954.297 | 508.560 | 0.808 | 349.6 | 186.3 | 0.773 | 93.2 | 49.7 |
| BC23122020_slice_100 | 0.638 | 955.358 | 509.862 | 0.804 | 349.9 | 186.8 | 0.769 | 93.3 | 49.8 |
| BC23122020_slice_101 | 0.635 | 955.318 | 510.276 | 0.802 | 349.9 | 186.9 | 0.767 | 93.3 | 49.8 |
| BC23122020_slice_102 | 0.634 | 955.356 | 509.984 | 0.801 | 349.9 | 186.8 | 0.766 | 93.3 | 49.8 |
| BC23122020_slice_103 | 0.631 | 954.269 | 507.901 | 0.801 | 349.5 | 186.0 | 0.767 | 93.2 | 49.6 |
| BC23122020_slice_104 | 0.635 | 954.241 | 506.745 | 0.803 | 349.5 | 185.6 | 0.769 | 93.2 | 49.5 |
| BC23122020_slice_105 | 0.643 | 953.793 | 504.980 | 0.804 | 349.4 | 185.0 | 0.771 | 93.2 | 49.3 |
| BC23122020_slice_106 | 0.648 | 952.790 | 502.815 | 0.812 | 349.0 | 184.2 | 0.778 | 93.1 | 49.1 |
4Γ3 grid: Rows show different image types (Original NATIVE, Reconstructed NATIVE, Original VENOUS, Generated VENOUS), Columns show windowing techniques (No Window, Lung Window, Mediastinum Window)