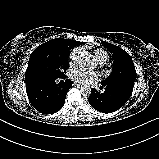
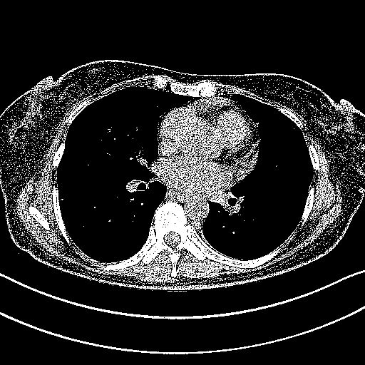
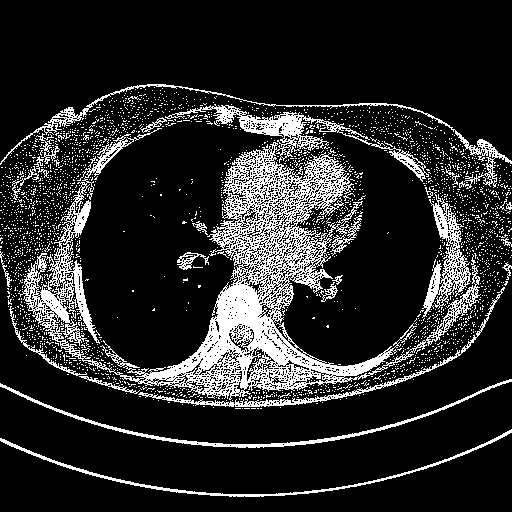
Slice 70 Targeting Evaluation
Patient ID: PN17122020
Model: cytran
Slice: Slice_70
Slice Thickness: 3.0mm
Conversion: NATIVE β VENOUS
Contains all 4 metric datasets: Network-Normalized, Hounsfield Units, Lung Window, and Mediastinum Window
| Slice ID | Full Window SSIM | Full Window RMSE | Full Window MAE | Lung SSIM | Lung RMSE | Lung MAE | Mediastinum SSIM | Mediastinum RMSE | Mediastinum MAE |
|---|---|---|---|---|---|---|---|---|---|
| PN17122020_slice_0 | 0.863 | 95.711 | 39.199 | 0.930 | 35.1 | 14.4 | 0.923 | 9.3 | 3.8 |
| PN17122020_slice_1 | 0.863 | 92.278 | 38.970 | 0.929 | 33.8 | 14.3 | 0.921 | 9.0 | 3.8 |
| PN17122020_slice_2 | 0.864 | 94.797 | 39.820 | 0.929 | 34.7 | 14.6 | 0.921 | 9.3 | 3.9 |
| PN17122020_slice_3 | 0.863 | 96.662 | 40.814 | 0.930 | 35.4 | 15.0 | 0.922 | 9.4 | 4.0 |
| PN17122020_slice_4 | 0.861 | 96.378 | 40.973 | 0.929 | 35.3 | 15.0 | 0.921 | 9.4 | 4.0 |
| PN17122020_slice_5 | 0.857 | 96.468 | 40.992 | 0.931 | 35.3 | 15.0 | 0.923 | 9.4 | 4.0 |
| PN17122020_slice_6 | 0.850 | 100.976 | 42.787 | 0.930 | 37.0 | 15.7 | 0.922 | 9.9 | 4.2 |
| PN17122020_slice_7 | 0.849 | 107.174 | 45.099 | 0.926 | 39.3 | 16.5 | 0.918 | 10.5 | 4.4 |
| PN17122020_slice_8 | 0.848 | 114.526 | 46.974 | 0.921 | 42.0 | 17.2 | 0.914 | 11.2 | 4.6 |
| PN17122020_slice_9 | 0.852 | 116.938 | 47.762 | 0.920 | 42.8 | 17.5 | 0.912 | 11.4 | 4.7 |
| PN17122020_slice_10 | 0.849 | 117.840 | 48.374 | 0.919 | 43.2 | 17.7 | 0.911 | 11.5 | 4.7 |
| PN17122020_slice_11 | 0.851 | 113.581 | 47.290 | 0.921 | 41.6 | 17.3 | 0.913 | 11.1 | 4.6 |
| PN17122020_slice_12 | 0.861 | 107.072 | 44.729 | 0.923 | 39.2 | 16.4 | 0.917 | 10.5 | 4.4 |
| PN17122020_slice_13 | 0.868 | 104.232 | 43.517 | 0.925 | 38.2 | 15.9 | 0.920 | 10.2 | 4.3 |
| PN17122020_slice_14 | 0.876 | 100.891 | 42.344 | 0.929 | 37.0 | 15.5 | 0.923 | 9.9 | 4.1 |
| PN17122020_slice_15 | 0.874 | 101.835 | 43.245 | 0.928 | 37.3 | 15.8 | 0.922 | 9.9 | 4.2 |
| PN17122020_slice_16 | 0.873 | 104.140 | 44.337 | 0.927 | 38.1 | 16.2 | 0.920 | 10.2 | 4.3 |
| PN17122020_slice_17 | 0.877 | 101.376 | 42.820 | 0.929 | 37.1 | 15.7 | 0.923 | 9.9 | 4.2 |
| PN17122020_slice_18 | 0.880 | 97.956 | 41.793 | 0.928 | 35.9 | 15.3 | 0.922 | 9.6 | 4.1 |
| PN17122020_slice_19 | 0.881 | 93.241 | 40.656 | 0.929 | 34.2 | 14.9 | 0.924 | 9.1 | 4.0 |
| PN17122020_slice_20 | 0.887 | 89.244 | 39.075 | 0.933 | 32.7 | 14.3 | 0.928 | 8.7 | 3.8 |
| PN17122020_slice_21 | 0.885 | 89.148 | 39.549 | 0.933 | 32.7 | 14.5 | 0.927 | 8.7 | 3.9 |
| PN17122020_slice_22 | 0.887 | 87.996 | 39.285 | 0.934 | 32.2 | 14.4 | 0.929 | 8.6 | 3.8 |
| PN17122020_slice_23 | 0.895 | 83.103 | 37.249 | 0.937 | 30.4 | 13.6 | 0.932 | 8.1 | 3.6 |
| PN17122020_slice_24 | 0.897 | 81.951 | 36.748 | 0.938 | 30.0 | 13.5 | 0.933 | 8.0 | 3.6 |
| PN17122020_slice_25 | 0.895 | 84.310 | 37.415 | 0.934 | 30.9 | 13.7 | 0.930 | 8.2 | 3.7 |
| PN17122020_slice_26 | 0.895 | 83.771 | 37.662 | 0.934 | 30.7 | 13.8 | 0.930 | 8.2 | 3.7 |
| PN17122020_slice_27 | 0.895 | 84.890 | 37.748 | 0.934 | 31.1 | 13.8 | 0.930 | 8.3 | 3.7 |
| PN17122020_slice_28 | 0.893 | 82.259 | 37.913 | 0.936 | 30.1 | 13.9 | 0.932 | 8.0 | 3.7 |
| PN17122020_slice_29 | 0.890 | 78.865 | 37.921 | 0.938 | 28.9 | 13.9 | 0.935 | 7.7 | 3.7 |
| PN17122020_slice_30 | 0.892 | 81.178 | 38.355 | 0.938 | 29.7 | 14.0 | 0.934 | 7.9 | 3.7 |
| PN17122020_slice_31 | 0.895 | 81.845 | 38.409 | 0.938 | 30.0 | 14.1 | 0.934 | 8.0 | 3.8 |
| PN17122020_slice_32 | 0.901 | 78.404 | 37.732 | 0.941 | 28.7 | 13.8 | 0.937 | 7.7 | 3.7 |
| PN17122020_slice_33 | 0.902 | 76.955 | 37.923 | 0.941 | 28.2 | 13.9 | 0.937 | 7.5 | 3.7 |
| PN17122020_slice_34 | 0.902 | 78.466 | 37.765 | 0.937 | 28.7 | 13.8 | 0.934 | 7.7 | 3.7 |
| PN17122020_slice_35 | 0.901 | 80.451 | 38.320 | 0.937 | 29.5 | 14.0 | 0.933 | 7.9 | 3.7 |
| PN17122020_slice_36 | 0.900 | 79.563 | 39.194 | 0.935 | 29.1 | 14.4 | 0.932 | 7.8 | 3.8 |
| PN17122020_slice_37 | 0.892 | 82.505 | 40.719 | 0.933 | 30.2 | 14.9 | 0.929 | 8.1 | 4.0 |
| PN17122020_slice_38 | 0.887 | 81.938 | 40.803 | 0.934 | 30.0 | 14.9 | 0.931 | 8.0 | 4.0 |
| PN17122020_slice_39 | 0.881 | 80.189 | 40.930 | 0.935 | 29.4 | 15.0 | 0.931 | 7.8 | 4.0 |
| PN17122020_slice_40 | 0.880 | 78.327 | 40.392 | 0.935 | 28.7 | 14.8 | 0.931 | 7.7 | 3.9 |
| PN17122020_slice_41 | 0.883 | 77.347 | 40.026 | 0.936 | 28.3 | 14.7 | 0.933 | 7.6 | 3.9 |
| PN17122020_slice_42 | 0.889 | 80.630 | 40.088 | 0.936 | 29.5 | 14.7 | 0.932 | 7.9 | 3.9 |
| PN17122020_slice_43 | 0.889 | 88.272 | 41.990 | 0.931 | 32.3 | 15.4 | 0.927 | 8.6 | 4.1 |
| PN17122020_slice_44 | 0.890 | 89.108 | 41.703 | 0.929 | 32.6 | 15.3 | 0.924 | 8.7 | 4.1 |
| PN17122020_slice_45 | 0.892 | 88.556 | 41.928 | 0.927 | 32.4 | 15.4 | 0.923 | 8.7 | 4.1 |
| PN17122020_slice_46 | 0.894 | 85.770 | 41.545 | 0.927 | 31.4 | 15.2 | 0.923 | 8.4 | 4.1 |
| PN17122020_slice_47 | 0.894 | 84.684 | 40.956 | 0.928 | 31.0 | 15.0 | 0.924 | 8.3 | 4.0 |
| PN17122020_slice_48 | 0.888 | 87.968 | 42.457 | 0.926 | 32.2 | 15.6 | 0.923 | 8.6 | 4.1 |
| PN17122020_slice_49 | 0.882 | 87.488 | 43.448 | 0.927 | 32.0 | 15.9 | 0.923 | 8.5 | 4.2 |
| PN17122020_slice_50 | 0.883 | 83.233 | 42.222 | 0.931 | 30.5 | 15.5 | 0.928 | 8.1 | 4.1 |
| PN17122020_slice_51 | 0.879 | 82.954 | 42.823 | 0.931 | 30.4 | 15.7 | 0.927 | 8.1 | 4.2 |
| PN17122020_slice_52 | 0.865 | 82.038 | 44.232 | 0.929 | 30.1 | 16.2 | 0.926 | 8.0 | 4.3 |
| PN17122020_slice_53 | 0.875 | 81.229 | 43.368 | 0.931 | 29.8 | 15.9 | 0.928 | 7.9 | 4.2 |
| PN17122020_slice_54 | 0.876 | 81.562 | 43.815 | 0.932 | 29.9 | 16.0 | 0.929 | 8.0 | 4.3 |
| PN17122020_slice_55 | 0.873 | 85.158 | 45.492 | 0.931 | 31.2 | 16.7 | 0.927 | 8.3 | 4.4 |
| PN17122020_slice_56 | 0.875 | 87.710 | 45.831 | 0.930 | 32.1 | 16.8 | 0.926 | 8.6 | 4.5 |
| PN17122020_slice_57 | 0.877 | 86.189 | 45.482 | 0.928 | 31.6 | 16.7 | 0.925 | 8.4 | 4.4 |
| PN17122020_slice_58 | 0.883 | 83.821 | 44.426 | 0.931 | 30.7 | 16.3 | 0.926 | 8.2 | 4.3 |
| PN17122020_slice_59 | 0.886 | 83.379 | 43.222 | 0.932 | 30.5 | 15.8 | 0.927 | 8.1 | 4.2 |
| PN17122020_slice_60 | 0.878 | 87.920 | 44.359 | 0.927 | 32.2 | 16.2 | 0.923 | 8.6 | 4.3 |
| PN17122020_slice_61 | 0.867 | 94.296 | 46.523 | 0.922 | 34.5 | 17.0 | 0.918 | 9.2 | 4.5 |
| PN17122020_slice_62 | 0.863 | 93.591 | 46.760 | 0.920 | 34.3 | 17.1 | 0.917 | 9.1 | 4.6 |
| PN17122020_slice_63 | 0.857 | 95.000 | 47.292 | 0.917 | 34.8 | 17.3 | 0.913 | 9.3 | 4.6 |
| PN17122020_slice_64 | 0.850 | 95.799 | 47.993 | 0.916 | 35.1 | 17.6 | 0.913 | 9.4 | 4.7 |
| PN17122020_slice_65 | 0.852 | 96.300 | 48.077 | 0.917 | 35.3 | 17.6 | 0.913 | 9.4 | 4.7 |
| PN17122020_slice_66 | 0.856 | 98.372 | 48.426 | 0.916 | 36.0 | 17.7 | 0.913 | 9.6 | 4.7 |
| PN17122020_slice_67 | 0.854 | 102.276 | 49.986 | 0.914 | 37.5 | 18.3 | 0.910 | 10.0 | 4.9 |
| PN17122020_slice_68 | 0.852 | 104.642 | 50.698 | 0.914 | 38.3 | 18.6 | 0.910 | 10.2 | 5.0 |
| PN17122020_slice_69 | 0.851 | 104.334 | 50.830 | 0.912 | 38.2 | 18.6 | 0.908 | 10.2 | 5.0 |
| PN17122020_slice_70 | 0.850 | 104.435 | 52.324 | 0.911 | 38.3 | 19.2 | 0.907 | 10.2 | 5.1 |
| PN17122020_slice_71 | 0.850 | 105.423 | 52.937 | 0.910 | 38.6 | 19.4 | 0.905 | 10.3 | 5.2 |
| PN17122020_slice_72 | 0.846 | 108.826 | 52.947 | 0.906 | 39.9 | 19.4 | 0.902 | 10.6 | 5.2 |
| PN17122020_slice_73 | 0.841 | 114.278 | 53.773 | 0.902 | 41.9 | 19.7 | 0.897 | 11.2 | 5.3 |
| PN17122020_slice_74 | 0.837 | 114.838 | 54.251 | 0.899 | 42.1 | 19.9 | 0.895 | 11.2 | 5.3 |
| PN17122020_slice_75 | 0.836 | 115.038 | 53.644 | 0.900 | 42.1 | 19.6 | 0.896 | 11.2 | 5.2 |
| PN17122020_slice_76 | 0.836 | 113.276 | 53.136 | 0.902 | 41.5 | 19.5 | 0.898 | 11.1 | 5.2 |
| PN17122020_slice_77 | 0.837 | 111.031 | 52.436 | 0.905 | 40.7 | 19.2 | 0.902 | 10.8 | 5.1 |
| PN17122020_slice_78 | 0.836 | 112.957 | 53.888 | 0.905 | 41.4 | 19.7 | 0.900 | 11.0 | 5.3 |
| PN17122020_slice_79 | 0.834 | 114.083 | 54.963 | 0.903 | 41.8 | 20.1 | 0.899 | 11.1 | 5.4 |
| PN17122020_slice_80 | 0.834 | 115.183 | 54.602 | 0.903 | 42.2 | 20.0 | 0.899 | 11.3 | 5.3 |
| PN17122020_slice_81 | 0.832 | 119.155 | 56.500 | 0.897 | 43.6 | 20.7 | 0.893 | 11.6 | 5.5 |
| PN17122020_slice_82 | 0.826 | 121.447 | 58.271 | 0.894 | 44.5 | 21.3 | 0.889 | 11.9 | 5.7 |
| PN17122020_slice_83 | 0.824 | 121.659 | 58.578 | 0.893 | 44.6 | 21.5 | 0.888 | 11.9 | 5.7 |
| PN17122020_slice_84 | 0.821 | 123.287 | 57.928 | 0.889 | 45.2 | 21.2 | 0.885 | 12.0 | 5.7 |
| PN17122020_slice_85 | 0.816 | 126.623 | 58.875 | 0.886 | 46.4 | 21.6 | 0.882 | 12.4 | 5.8 |
| PN17122020_slice_86 | 0.819 | 125.338 | 57.978 | 0.889 | 45.9 | 21.2 | 0.884 | 12.2 | 5.7 |
| PN17122020_slice_87 | 0.818 | 124.914 | 58.009 | 0.887 | 45.8 | 21.2 | 0.883 | 12.2 | 5.7 |
| PN17122020_slice_88 | 0.813 | 126.316 | 58.598 | 0.885 | 46.3 | 21.5 | 0.881 | 12.3 | 5.7 |
| PN17122020_slice_89 | 0.814 | 126.352 | 58.289 | 0.883 | 46.3 | 21.4 | 0.879 | 12.3 | 5.7 |
| PN17122020_slice_90 | 0.815 | 127.296 | 58.854 | 0.882 | 46.6 | 21.6 | 0.877 | 12.4 | 5.7 |
| PN17122020_slice_91 | 0.811 | 128.166 | 59.476 | 0.880 | 46.9 | 21.8 | 0.875 | 12.5 | 5.8 |
| PN17122020_slice_92 | 0.808 | 128.152 | 59.373 | 0.879 | 46.9 | 21.7 | 0.875 | 12.5 | 5.8 |
| PN17122020_slice_93 | 0.814 | 127.133 | 58.145 | 0.881 | 46.6 | 21.3 | 0.876 | 12.4 | 5.7 |
| PN17122020_slice_94 | 0.813 | 128.075 | 58.930 | 0.881 | 46.9 | 21.6 | 0.876 | 12.5 | 5.8 |
| PN17122020_slice_95 | 0.816 | 128.935 | 58.758 | 0.883 | 47.2 | 21.5 | 0.879 | 12.6 | 5.7 |
| PN17122020_slice_96 | 0.813 | 132.555 | 59.134 | 0.883 | 48.6 | 21.7 | 0.878 | 12.9 | 5.8 |
| PN17122020_slice_97 | 0.810 | 135.206 | 59.719 | 0.881 | 49.5 | 21.9 | 0.877 | 13.2 | 5.8 |
| PN17122020_slice_98 | 0.811 | 136.491 | 60.132 | 0.883 | 50.0 | 22.0 | 0.879 | 13.3 | 5.9 |
| PN17122020_slice_99 | 0.813 | 137.722 | 59.947 | 0.885 | 50.4 | 22.0 | 0.881 | 13.5 | 5.9 |
| PN17122020_slice_100 | 0.814 | 138.388 | 58.936 | 0.885 | 50.7 | 21.6 | 0.881 | 13.5 | 5.8 |
| PN17122020_slice_101 | 0.815 | 138.746 | 58.745 | 0.885 | 50.8 | 21.5 | 0.882 | 13.6 | 5.7 |
| PN17122020_slice_102 | 0.818 | 138.578 | 58.200 | 0.888 | 50.8 | 21.3 | 0.884 | 13.5 | 5.7 |
| PN17122020_slice_103 | 0.821 | 141.245 | 58.014 | 0.888 | 51.7 | 21.3 | 0.884 | 13.8 | 5.7 |
| PN17122020_slice_104 | 0.821 | 144.410 | 59.002 | 0.886 | 52.9 | 21.6 | 0.882 | 14.1 | 5.8 |
| PN17122020_slice_105 | 0.822 | 144.938 | 59.090 | 0.887 | 53.1 | 21.6 | 0.883 | 14.2 | 5.8 |
| PN17122020_slice_106 | 0.823 | 146.208 | 59.325 | 0.884 | 53.6 | 21.7 | 0.880 | 14.3 | 5.8 |
| PN17122020_slice_107 | 0.827 | 146.714 | 59.532 | 0.884 | 53.7 | 21.8 | 0.880 | 14.3 | 5.8 |
| PN17122020_slice_108 | 0.828 | 151.181 | 61.080 | 0.885 | 55.4 | 22.4 | 0.880 | 14.8 | 6.0 |
| PN17122020_slice_109 | 0.824 | 156.569 | 63.321 | 0.884 | 57.4 | 23.2 | 0.879 | 15.3 | 6.2 |
| PN17122020_slice_110 | 0.819 | 159.078 | 64.545 | 0.884 | 58.3 | 23.6 | 0.878 | 15.5 | 6.3 |
| PN17122020_slice_111 | 0.814 | 162.538 | 65.783 | 0.884 | 59.5 | 24.1 | 0.878 | 15.9 | 6.4 |
| PN17122020_slice_112 | 0.813 | 164.413 | 66.312 | 0.884 | 60.2 | 24.3 | 0.879 | 16.1 | 6.5 |
| PN17122020_slice_113 | 0.814 | 163.412 | 65.846 | 0.886 | 59.9 | 24.1 | 0.880 | 16.0 | 6.4 |
| PN17122020_slice_114 | 0.813 | 162.147 | 64.791 | 0.886 | 59.4 | 23.7 | 0.880 | 15.8 | 6.3 |
| PN17122020_slice_115 | 0.813 | 161.132 | 64.516 | 0.886 | 59.0 | 23.6 | 0.880 | 15.7 | 6.3 |
| PN17122020_slice_116 | 0.816 | 159.509 | 63.820 | 0.887 | 58.4 | 23.4 | 0.882 | 15.6 | 6.2 |
| PN17122020_slice_117 | 0.822 | 157.327 | 62.326 | 0.889 | 57.6 | 22.8 | 0.884 | 15.4 | 6.1 |
| PN17122020_slice_118 | 0.822 | 156.656 | 61.848 | 0.888 | 57.4 | 22.7 | 0.883 | 15.3 | 6.0 |
| PN17122020_slice_119 | 0.824 | 158.471 | 62.177 | 0.888 | 58.0 | 22.8 | 0.883 | 15.5 | 6.1 |
| PN17122020_slice_120 | 0.823 | 160.716 | 63.259 | 0.888 | 58.9 | 23.2 | 0.883 | 15.7 | 6.2 |
| PN17122020_slice_121 | 0.823 | 161.038 | 63.477 | 0.889 | 59.0 | 23.3 | 0.884 | 15.7 | 6.2 |
| PN17122020_slice_122 | 0.827 | 158.289 | 61.741 | 0.892 | 58.0 | 22.6 | 0.887 | 15.5 | 6.0 |
| PN17122020_slice_123 | 0.828 | 155.026 | 60.704 | 0.894 | 56.8 | 22.2 | 0.889 | 15.1 | 5.9 |
| PN17122020_slice_124 | 0.829 | 152.390 | 59.968 | 0.896 | 55.8 | 22.0 | 0.891 | 14.9 | 5.9 |
| PN17122020_slice_125 | 0.832 | 149.596 | 58.665 | 0.900 | 54.8 | 21.5 | 0.895 | 14.6 | 5.7 |
| PN17122020_slice_126 | 0.831 | 148.376 | 58.547 | 0.900 | 54.4 | 21.4 | 0.895 | 14.5 | 5.7 |
| PN17122020_slice_127 | 0.832 | 146.537 | 58.059 | 0.901 | 53.7 | 21.3 | 0.896 | 14.3 | 5.7 |
| PN17122020_slice_128 | 0.835 | 145.374 | 57.739 | 0.902 | 53.3 | 21.1 | 0.898 | 14.2 | 5.6 |
| PN17122020_slice_129 | 0.836 | 143.853 | 57.693 | 0.903 | 52.7 | 21.1 | 0.898 | 14.1 | 5.6 |
| PN17122020_slice_130 | 0.838 | 141.668 | 56.854 | 0.904 | 51.9 | 20.8 | 0.899 | 13.8 | 5.6 |
| PN17122020_slice_131 | 0.845 | 138.032 | 53.991 | 0.908 | 50.6 | 19.8 | 0.904 | 13.5 | 5.3 |
| PN17122020_slice_132 | 0.847 | 133.719 | 52.636 | 0.909 | 49.0 | 19.3 | 0.905 | 13.1 | 5.1 |
| PN17122020_slice_133 | 0.848 | 128.155 | 50.836 | 0.913 | 46.9 | 18.6 | 0.909 | 12.5 | 5.0 |
| PN17122020_slice_134 | 0.845 | 125.498 | 51.340 | 0.915 | 46.0 | 18.8 | 0.911 | 12.3 | 5.0 |
| PN17122020_slice_135 | 0.844 | 124.854 | 51.748 | 0.915 | 45.7 | 19.0 | 0.911 | 12.2 | 5.1 |
| PN17122020_slice_136 | 0.847 | 125.853 | 52.003 | 0.915 | 46.1 | 19.0 | 0.911 | 12.3 | 5.1 |
| PN17122020_slice_137 | 0.852 | 123.716 | 49.460 | 0.918 | 45.3 | 18.1 | 0.914 | 12.1 | 4.8 |
| PN17122020_slice_138 | 0.855 | 120.716 | 47.738 | 0.919 | 44.2 | 17.5 | 0.916 | 11.8 | 4.7 |
| PN17122020_slice_139 | 0.858 | 114.434 | 46.281 | 0.920 | 41.9 | 17.0 | 0.917 | 11.2 | 4.5 |
| PN17122020_slice_140 | 0.862 | 104.489 | 43.318 | 0.925 | 38.3 | 15.9 | 0.922 | 10.2 | 4.2 |
| PN17122020_slice_141 | 0.863 | 99.484 | 42.761 | 0.925 | 36.4 | 15.7 | 0.922 | 9.7 | 4.2 |
| PN17122020_slice_142 | 0.863 | 95.550 | 41.854 | 0.927 | 35.0 | 15.3 | 0.923 | 9.3 | 4.1 |
| PN17122020_slice_143 | 0.862 | 90.757 | 40.412 | 0.929 | 33.2 | 14.8 | 0.926 | 8.9 | 3.9 |
| PN17122020_slice_144 | 0.857 | 88.273 | 40.441 | 0.930 | 32.3 | 14.8 | 0.927 | 8.6 | 4.0 |
| PN17122020_slice_145 | 0.856 | 88.614 | 40.848 | 0.932 | 32.5 | 15.0 | 0.929 | 8.7 | 4.0 |
| PN17122020_slice_146 | 0.858 | 88.419 | 40.736 | 0.935 | 32.4 | 14.9 | 0.931 | 8.6 | 4.0 |
| PN17122020_slice_147 | 0.856 | 89.022 | 41.637 | 0.932 | 32.6 | 15.3 | 0.928 | 8.7 | 4.1 |
| PN17122020_slice_148 | 0.858 | 89.599 | 41.260 | 0.932 | 32.8 | 15.1 | 0.928 | 8.8 | 4.0 |
| PN17122020_slice_149 | 0.857 | 90.466 | 41.221 | 0.933 | 33.1 | 15.1 | 0.929 | 8.8 | 4.0 |
| PN17122020_slice_150 | 0.857 | 90.611 | 41.202 | 0.933 | 33.2 | 15.1 | 0.930 | 8.9 | 4.0 |
| PN17122020_slice_151 | 0.854 | 92.493 | 41.611 | 0.932 | 33.9 | 15.2 | 0.929 | 9.0 | 4.1 |
| PN17122020_slice_152 | 0.858 | 92.377 | 41.523 | 0.930 | 33.8 | 15.2 | 0.927 | 9.0 | 4.1 |
4Γ3 grid: Rows show different image types (Original NATIVE, Reconstructed NATIVE, Original VENOUS, Generated VENOUS), Columns show windowing techniques (No Window, Lung Window, Mediastinum Window)