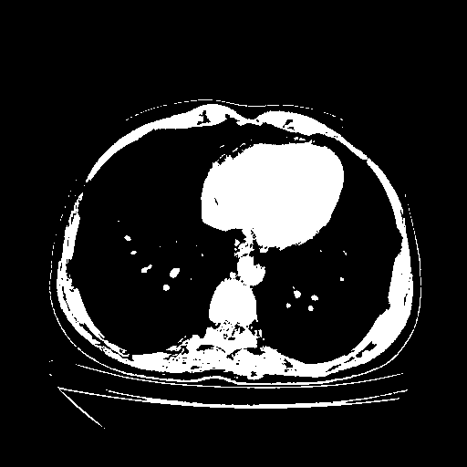
Slice 70 Targeting Evaluation
Patient ID: PP08072020
Model: cytran
Slice: Slice_70
Slice Thickness: 2.5mm
Conversion: NATIVE β VENOUS
Contains all 4 metric datasets: Network-Normalized, Hounsfield Units, Lung Window, and Mediastinum Window
| Slice ID | Full Window SSIM | Full Window RMSE | Full Window MAE | Lung SSIM | Lung RMSE | Lung MAE | Mediastinum SSIM | Mediastinum RMSE | Mediastinum MAE |
|---|---|---|---|---|---|---|---|---|---|
| PP08072020_slice_0 | 0.780 | 932.259 | 466.114 | 0.881 | 341.5 | 170.7 | 0.846 | 91.1 | 45.5 |
| PP08072020_slice_1 | 0.771 | 933.512 | 469.408 | 0.876 | 341.9 | 171.9 | 0.841 | 91.2 | 45.9 |
| PP08072020_slice_2 | 0.766 | 931.529 | 467.904 | 0.879 | 341.2 | 171.4 | 0.843 | 91.0 | 45.7 |
| PP08072020_slice_3 | 0.760 | 931.384 | 468.533 | 0.881 | 341.2 | 171.6 | 0.846 | 91.0 | 45.8 |
| PP08072020_slice_4 | 0.767 | 932.567 | 470.745 | 0.877 | 341.6 | 172.4 | 0.840 | 91.1 | 46.0 |
| PP08072020_slice_5 | 0.775 | 931.980 | 469.605 | 0.878 | 341.4 | 172.0 | 0.842 | 91.0 | 45.9 |
| PP08072020_slice_6 | 0.785 | 929.945 | 464.855 | 0.880 | 340.6 | 170.3 | 0.846 | 90.8 | 45.4 |
| PP08072020_slice_7 | 0.787 | 930.018 | 464.034 | 0.880 | 340.7 | 170.0 | 0.846 | 90.8 | 45.3 |
| PP08072020_slice_8 | 0.787 | 929.599 | 463.008 | 0.884 | 340.5 | 169.6 | 0.851 | 90.8 | 45.2 |
| PP08072020_slice_9 | 0.793 | 928.899 | 461.843 | 0.886 | 340.3 | 169.2 | 0.852 | 90.7 | 45.1 |
| PP08072020_slice_10 | 0.796 | 928.414 | 461.136 | 0.886 | 340.1 | 168.9 | 0.853 | 90.7 | 45.0 |
| PP08072020_slice_11 | 0.792 | 928.650 | 461.757 | 0.886 | 340.2 | 169.1 | 0.853 | 90.7 | 45.1 |
| PP08072020_slice_12 | 0.795 | 929.006 | 462.207 | 0.885 | 340.3 | 169.3 | 0.852 | 90.7 | 45.1 |
| PP08072020_slice_13 | 0.795 | 929.527 | 463.042 | 0.882 | 340.5 | 169.6 | 0.848 | 90.8 | 45.2 |
| PP08072020_slice_14 | 0.793 | 929.677 | 463.716 | 0.880 | 340.5 | 169.9 | 0.848 | 90.8 | 45.3 |
| PP08072020_slice_15 | 0.789 | 930.525 | 464.808 | 0.880 | 340.9 | 170.3 | 0.847 | 90.9 | 45.4 |
| PP08072020_slice_16 | 0.788 | 930.438 | 464.990 | 0.880 | 340.8 | 170.3 | 0.847 | 90.9 | 45.4 |
| PP08072020_slice_17 | 0.787 | 929.727 | 464.441 | 0.879 | 340.6 | 170.1 | 0.846 | 90.8 | 45.4 |
| PP08072020_slice_18 | 0.782 | 931.557 | 466.828 | 0.873 | 341.2 | 171.0 | 0.841 | 91.0 | 45.6 |
| PP08072020_slice_19 | 0.766 | 936.522 | 472.980 | 0.863 | 343.0 | 173.3 | 0.830 | 91.5 | 46.2 |
| PP08072020_slice_20 | 0.763 | 936.839 | 473.327 | 0.862 | 343.2 | 173.4 | 0.830 | 91.5 | 46.2 |
| PP08072020_slice_21 | 0.770 | 933.843 | 470.667 | 0.867 | 342.1 | 172.4 | 0.835 | 91.2 | 46.0 |
| PP08072020_slice_22 | 0.771 | 934.974 | 471.702 | 0.868 | 342.5 | 172.8 | 0.837 | 91.3 | 46.1 |
| PP08072020_slice_23 | 0.770 | 935.609 | 472.368 | 0.871 | 342.7 | 173.0 | 0.839 | 91.4 | 46.1 |
| PP08072020_slice_24 | 0.767 | 937.541 | 474.421 | 0.869 | 343.4 | 173.8 | 0.837 | 91.6 | 46.3 |
| PP08072020_slice_25 | 0.773 | 934.943 | 472.116 | 0.870 | 342.5 | 172.9 | 0.838 | 91.3 | 46.1 |
| PP08072020_slice_26 | 0.776 | 935.402 | 472.415 | 0.866 | 342.6 | 173.0 | 0.835 | 91.4 | 46.1 |
| PP08072020_slice_27 | 0.773 | 936.918 | 474.155 | 0.862 | 343.2 | 173.7 | 0.830 | 91.5 | 46.3 |
| PP08072020_slice_28 | 0.770 | 935.640 | 473.966 | 0.862 | 342.7 | 173.6 | 0.830 | 91.4 | 46.3 |
| PP08072020_slice_29 | 0.769 | 934.461 | 472.753 | 0.865 | 342.3 | 173.2 | 0.833 | 91.3 | 46.2 |
| PP08072020_slice_30 | 0.761 | 938.205 | 476.734 | 0.861 | 343.7 | 174.6 | 0.829 | 91.6 | 46.6 |
| PP08072020_slice_31 | 0.755 | 940.189 | 478.967 | 0.860 | 344.4 | 175.4 | 0.828 | 91.8 | 46.8 |
| PP08072020_slice_32 | 0.755 | 939.677 | 478.304 | 0.860 | 344.2 | 175.2 | 0.828 | 91.8 | 46.7 |
| PP08072020_slice_33 | 0.750 | 939.582 | 478.999 | 0.855 | 344.2 | 175.5 | 0.824 | 91.8 | 46.8 |
| PP08072020_slice_34 | 0.755 | 939.330 | 479.248 | 0.853 | 344.1 | 175.5 | 0.821 | 91.8 | 46.8 |
| PP08072020_slice_35 | 0.757 | 938.032 | 477.855 | 0.851 | 343.6 | 175.0 | 0.819 | 91.6 | 46.7 |
| PP08072020_slice_36 | 0.756 | 938.784 | 478.091 | 0.850 | 343.9 | 175.1 | 0.819 | 91.7 | 46.7 |
| PP08072020_slice_37 | 0.758 | 937.243 | 477.193 | 0.852 | 343.3 | 174.8 | 0.821 | 91.5 | 46.6 |
| PP08072020_slice_38 | 0.757 | 937.805 | 478.030 | 0.852 | 343.5 | 175.1 | 0.821 | 91.6 | 46.7 |
| PP08072020_slice_39 | 0.755 | 938.588 | 478.567 | 0.854 | 343.8 | 175.3 | 0.823 | 91.7 | 46.7 |
| PP08072020_slice_40 | 0.751 | 939.357 | 478.894 | 0.851 | 344.1 | 175.4 | 0.820 | 91.8 | 46.8 |
| PP08072020_slice_41 | 0.757 | 937.733 | 476.260 | 0.855 | 343.5 | 174.5 | 0.824 | 91.6 | 46.5 |
| PP08072020_slice_42 | 0.757 | 936.661 | 475.811 | 0.860 | 343.1 | 174.3 | 0.829 | 91.5 | 46.5 |
| PP08072020_slice_43 | 0.757 | 935.547 | 475.798 | 0.862 | 342.7 | 174.3 | 0.830 | 91.4 | 46.5 |
| PP08072020_slice_44 | 0.753 | 937.768 | 478.295 | 0.856 | 343.5 | 175.2 | 0.825 | 91.6 | 46.7 |
| PP08072020_slice_45 | 0.748 | 937.536 | 478.709 | 0.852 | 343.4 | 175.4 | 0.820 | 91.6 | 46.8 |
| PP08072020_slice_46 | 0.741 | 939.254 | 481.648 | 0.847 | 344.0 | 176.4 | 0.815 | 91.7 | 47.0 |
| PP08072020_slice_47 | 0.726 | 941.446 | 485.225 | 0.838 | 344.9 | 177.7 | 0.806 | 92.0 | 47.4 |
| PP08072020_slice_48 | 0.719 | 942.646 | 487.606 | 0.835 | 345.3 | 178.6 | 0.803 | 92.1 | 47.6 |
| PP08072020_slice_49 | 0.722 | 942.516 | 487.617 | 0.838 | 345.2 | 178.6 | 0.807 | 92.1 | 47.6 |
| PP08072020_slice_50 | 0.724 | 942.288 | 487.824 | 0.837 | 345.2 | 178.7 | 0.805 | 92.0 | 47.7 |
| PP08072020_slice_51 | 0.724 | 944.141 | 490.210 | 0.838 | 345.8 | 179.6 | 0.805 | 92.2 | 47.9 |
| PP08072020_slice_52 | 0.728 | 943.790 | 487.967 | 0.836 | 345.7 | 178.7 | 0.805 | 92.2 | 47.7 |
| PP08072020_slice_53 | 0.738 | 939.474 | 483.472 | 0.843 | 344.1 | 177.1 | 0.812 | 91.8 | 47.2 |
| PP08072020_slice_54 | 0.727 | 941.086 | 486.196 | 0.836 | 344.7 | 178.1 | 0.804 | 91.9 | 47.5 |
| PP08072020_slice_55 | 0.733 | 939.489 | 484.453 | 0.841 | 344.1 | 177.5 | 0.809 | 91.8 | 47.3 |
| PP08072020_slice_56 | 0.730 | 940.185 | 484.807 | 0.840 | 344.4 | 177.6 | 0.808 | 91.8 | 47.4 |
| PP08072020_slice_57 | 0.719 | 942.816 | 488.347 | 0.833 | 345.4 | 178.9 | 0.801 | 92.1 | 47.7 |
| PP08072020_slice_58 | 0.715 | 943.474 | 489.585 | 0.830 | 345.6 | 179.3 | 0.798 | 92.2 | 47.8 |
| PP08072020_slice_59 | 0.715 | 944.348 | 491.061 | 0.831 | 345.9 | 179.9 | 0.799 | 92.2 | 48.0 |
| PP08072020_slice_60 | 0.710 | 945.154 | 492.538 | 0.826 | 346.2 | 180.4 | 0.793 | 92.3 | 48.1 |
| PP08072020_slice_61 | 0.712 | 945.253 | 492.263 | 0.825 | 346.2 | 180.3 | 0.792 | 92.3 | 48.1 |
| PP08072020_slice_62 | 0.712 | 946.002 | 492.973 | 0.822 | 346.5 | 180.6 | 0.789 | 92.4 | 48.2 |
| PP08072020_slice_63 | 0.723 | 945.720 | 491.248 | 0.826 | 346.4 | 179.9 | 0.794 | 92.4 | 48.0 |
| PP08072020_slice_64 | 0.732 | 945.287 | 489.453 | 0.833 | 346.3 | 179.3 | 0.801 | 92.3 | 47.8 |
| PP08072020_slice_65 | 0.743 | 944.165 | 485.890 | 0.841 | 345.8 | 178.0 | 0.809 | 92.2 | 47.5 |
| PP08072020_slice_66 | 0.754 | 942.361 | 482.711 | 0.847 | 345.2 | 176.8 | 0.816 | 92.0 | 47.2 |
| PP08072020_slice_67 | 0.752 | 942.630 | 483.035 | 0.845 | 345.3 | 176.9 | 0.813 | 92.1 | 47.2 |
| PP08072020_slice_68 | 0.749 | 942.274 | 483.011 | 0.843 | 345.2 | 176.9 | 0.811 | 92.0 | 47.2 |
| PP08072020_slice_69 | 0.750 | 940.981 | 481.453 | 0.844 | 344.7 | 176.4 | 0.813 | 91.9 | 47.0 |
| PP08072020_slice_70 | 0.749 | 940.610 | 481.020 | 0.845 | 344.5 | 176.2 | 0.813 | 91.9 | 47.0 |
| PP08072020_slice_71 | 0.750 | 939.830 | 480.840 | 0.845 | 344.3 | 176.1 | 0.814 | 91.8 | 47.0 |
| PP08072020_slice_72 | 0.749 | 940.139 | 481.661 | 0.845 | 344.4 | 176.4 | 0.813 | 91.8 | 47.0 |
| PP08072020_slice_73 | 0.746 | 940.537 | 482.550 | 0.842 | 344.5 | 176.8 | 0.811 | 91.9 | 47.1 |
| PP08072020_slice_74 | 0.751 | 938.429 | 480.152 | 0.845 | 343.7 | 175.9 | 0.814 | 91.7 | 46.9 |
| PP08072020_slice_75 | 0.755 | 937.147 | 477.647 | 0.848 | 343.3 | 175.0 | 0.816 | 91.5 | 46.7 |
| PP08072020_slice_76 | 0.762 | 938.076 | 477.467 | 0.851 | 343.6 | 174.9 | 0.819 | 91.6 | 46.6 |
| PP08072020_slice_77 | 0.762 | 938.756 | 477.967 | 0.854 | 343.9 | 175.1 | 0.822 | 91.7 | 46.7 |
| PP08072020_slice_78 | 0.764 | 937.590 | 475.930 | 0.861 | 343.4 | 174.3 | 0.829 | 91.6 | 46.5 |
| PP08072020_slice_79 | 0.770 | 938.449 | 475.104 | 0.862 | 343.8 | 174.0 | 0.831 | 91.7 | 46.4 |
| PP08072020_slice_80 | 0.777 | 938.981 | 474.389 | 0.863 | 343.9 | 173.8 | 0.832 | 91.7 | 46.3 |
| PP08072020_slice_81 | 0.785 | 937.967 | 474.990 | 0.866 | 343.6 | 174.0 | 0.834 | 91.6 | 46.4 |
| PP08072020_slice_82 | 0.771 | 941.192 | 484.053 | 0.863 | 344.8 | 177.3 | 0.829 | 91.9 | 47.3 |
| PP08072020_slice_83 | 0.755 | 935.597 | 481.093 | 0.865 | 342.7 | 176.2 | 0.831 | 91.4 | 47.0 |
| PP08072020_slice_84 | 0.754 | 936.984 | 481.077 | 0.859 | 343.2 | 176.2 | 0.825 | 91.5 | 47.0 |
| PP08072020_slice_85 | 0.752 | 939.100 | 483.385 | 0.854 | 344.0 | 177.1 | 0.821 | 91.7 | 47.2 |
| PP08072020_slice_86 | 0.740 | 944.867 | 491.293 | 0.844 | 346.1 | 180.0 | 0.810 | 92.3 | 48.0 |
| PP08072020_slice_87 | 0.733 | 947.382 | 495.263 | 0.839 | 347.0 | 181.4 | 0.805 | 92.5 | 48.4 |
| PP08072020_slice_88 | 0.731 | 946.160 | 494.669 | 0.840 | 346.6 | 181.2 | 0.805 | 92.4 | 48.3 |
| PP08072020_slice_89 | 0.729 | 947.251 | 495.308 | 0.839 | 347.0 | 181.4 | 0.805 | 92.5 | 48.4 |
| PP08072020_slice_90 | 0.724 | 947.535 | 496.567 | 0.840 | 347.1 | 181.9 | 0.805 | 92.6 | 48.5 |
| PP08072020_slice_91 | 0.729 | 947.109 | 495.210 | 0.843 | 346.9 | 181.4 | 0.809 | 92.5 | 48.4 |
| PP08072020_slice_92 | 0.741 | 947.165 | 492.853 | 0.846 | 346.9 | 180.5 | 0.812 | 92.5 | 48.1 |
| PP08072020_slice_93 | 0.735 | 948.174 | 494.902 | 0.843 | 347.3 | 181.3 | 0.809 | 92.6 | 48.3 |
| PP08072020_slice_94 | 0.740 | 947.002 | 492.554 | 0.845 | 346.9 | 180.4 | 0.812 | 92.5 | 48.1 |
| PP08072020_slice_95 | 0.743 | 944.553 | 488.471 | 0.848 | 346.0 | 178.9 | 0.815 | 92.3 | 47.7 |
| PP08072020_slice_96 | 0.744 | 943.850 | 485.870 | 0.849 | 345.7 | 178.0 | 0.817 | 92.2 | 47.5 |
| PP08072020_slice_97 | 0.743 | 941.999 | 483.508 | 0.850 | 345.1 | 177.1 | 0.818 | 92.0 | 47.2 |
| PP08072020_slice_98 | 0.740 | 941.421 | 482.282 | 0.851 | 344.8 | 176.7 | 0.819 | 92.0 | 47.1 |
| PP08072020_slice_99 | 0.747 | 939.507 | 479.834 | 0.854 | 344.1 | 175.8 | 0.822 | 91.8 | 46.9 |
| PP08072020_slice_100 | 0.747 | 940.819 | 479.946 | 0.853 | 344.6 | 175.8 | 0.821 | 91.9 | 46.9 |
| PP08072020_slice_101 | 0.738 | 942.094 | 482.228 | 0.851 | 345.1 | 176.6 | 0.819 | 92.0 | 47.1 |
| PP08072020_slice_102 | 0.738 | 942.236 | 481.833 | 0.853 | 345.1 | 176.5 | 0.821 | 92.0 | 47.1 |
| PP08072020_slice_103 | 0.748 | 940.484 | 477.888 | 0.859 | 344.5 | 175.1 | 0.827 | 91.9 | 46.7 |
| PP08072020_slice_104 | 0.758 | 937.688 | 473.332 | 0.866 | 343.5 | 173.4 | 0.834 | 91.6 | 46.2 |
| PP08072020_slice_105 | 0.769 | 937.173 | 470.477 | 0.872 | 343.3 | 172.3 | 0.841 | 91.5 | 46.0 |
| PP08072020_slice_106 | 0.774 | 937.346 | 470.005 | 0.875 | 343.4 | 172.2 | 0.844 | 91.6 | 45.9 |
| PP08072020_slice_107 | 0.779 | 937.216 | 468.848 | 0.878 | 343.3 | 171.7 | 0.847 | 91.5 | 45.8 |
| PP08072020_slice_108 | 0.780 | 936.781 | 468.203 | 0.880 | 343.1 | 171.5 | 0.849 | 91.5 | 45.7 |
| PP08072020_slice_109 | 0.776 | 936.219 | 468.409 | 0.880 | 342.9 | 171.6 | 0.849 | 91.4 | 45.8 |
| PP08072020_slice_110 | 0.777 | 935.532 | 467.305 | 0.880 | 342.7 | 171.2 | 0.849 | 91.4 | 45.6 |
| PP08072020_slice_111 | 0.776 | 934.563 | 466.558 | 0.880 | 342.3 | 170.9 | 0.849 | 91.3 | 45.6 |
4Γ3 grid: Rows show different image types (Original NATIVE, Reconstructed NATIVE, Original VENOUS, Generated VENOUS), Columns show windowing techniques (No Window, Lung Window, Mediastinum Window)