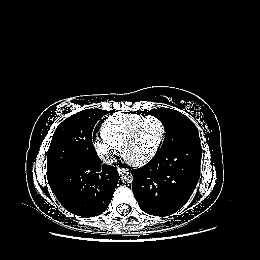
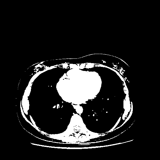
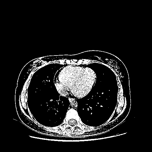
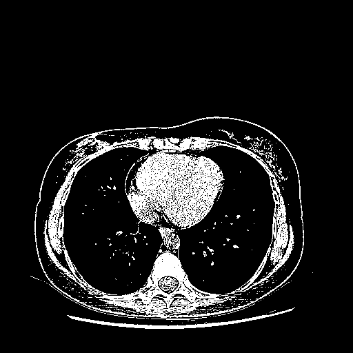
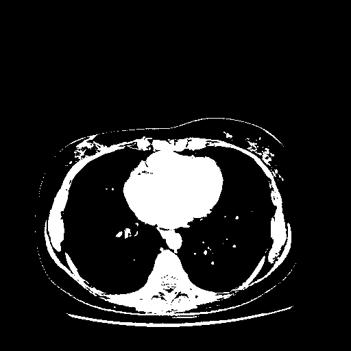
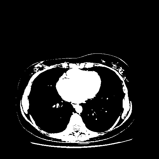
Slice 70 Targeting Evaluation
Patient ID: BMG07082017
Model: cytran
Slice: Slice_70
Slice Thickness: 2.5mm
Conversion: NATIVE β VENOUS
Contains all 4 metric datasets: Network-Normalized, Hounsfield Units, Lung Window, and Mediastinum Window
| Slice ID | Full Window SSIM | Full Window RMSE | Full Window MAE | Lung SSIM | Lung RMSE | Lung MAE | Mediastinum SSIM | Mediastinum RMSE | Mediastinum MAE |
|---|---|---|---|---|---|---|---|---|---|
| BMG07082017_slice_0 | 0.782 | 929.349 | 462.787 | 0.890 | 340.4 | 169.5 | 0.855 | 90.8 | 45.2 |
| BMG07082017_slice_1 | 0.784 | 929.398 | 462.787 | 0.889 | 340.4 | 169.5 | 0.854 | 90.8 | 45.2 |
| BMG07082017_slice_2 | 0.778 | 929.872 | 464.487 | 0.887 | 340.6 | 170.1 | 0.852 | 90.8 | 45.4 |
| BMG07082017_slice_3 | 0.780 | 930.148 | 464.437 | 0.884 | 340.7 | 170.1 | 0.851 | 90.9 | 45.4 |
| BMG07082017_slice_4 | 0.780 | 930.388 | 465.100 | 0.883 | 340.8 | 170.4 | 0.848 | 90.9 | 45.4 |
| BMG07082017_slice_5 | 0.773 | 930.916 | 466.571 | 0.879 | 341.0 | 170.9 | 0.845 | 90.9 | 45.6 |
| BMG07082017_slice_6 | 0.770 | 931.020 | 467.037 | 0.880 | 341.0 | 171.1 | 0.846 | 90.9 | 45.6 |
| BMG07082017_slice_7 | 0.767 | 931.449 | 467.769 | 0.880 | 341.2 | 171.3 | 0.846 | 91.0 | 45.7 |
| BMG07082017_slice_8 | 0.770 | 932.723 | 469.934 | 0.877 | 341.7 | 172.1 | 0.843 | 91.1 | 45.9 |
| BMG07082017_slice_9 | 0.766 | 934.417 | 472.592 | 0.872 | 342.3 | 173.1 | 0.838 | 91.3 | 46.2 |
| BMG07082017_slice_10 | 0.764 | 935.203 | 473.651 | 0.870 | 342.6 | 173.5 | 0.835 | 91.4 | 46.3 |
| BMG07082017_slice_11 | 0.766 | 934.830 | 473.033 | 0.869 | 342.4 | 173.3 | 0.834 | 91.3 | 46.2 |
| BMG07082017_slice_12 | 0.772 | 933.505 | 470.168 | 0.869 | 341.9 | 172.2 | 0.835 | 91.2 | 45.9 |
| BMG07082017_slice_13 | 0.771 | 933.303 | 469.864 | 0.867 | 341.9 | 172.1 | 0.834 | 91.2 | 45.9 |
| BMG07082017_slice_14 | 0.766 | 934.143 | 471.985 | 0.865 | 342.2 | 172.9 | 0.832 | 91.2 | 46.1 |
| BMG07082017_slice_15 | 0.760 | 935.091 | 474.439 | 0.861 | 342.5 | 173.8 | 0.827 | 91.3 | 46.3 |
| BMG07082017_slice_16 | 0.756 | 936.748 | 477.337 | 0.857 | 343.1 | 174.8 | 0.823 | 91.5 | 46.6 |
| BMG07082017_slice_17 | 0.759 | 936.336 | 476.149 | 0.858 | 343.0 | 174.4 | 0.824 | 91.5 | 46.5 |
| BMG07082017_slice_18 | 0.758 | 937.566 | 477.982 | 0.855 | 343.4 | 175.1 | 0.821 | 91.6 | 46.7 |
| BMG07082017_slice_19 | 0.758 | 936.131 | 475.727 | 0.855 | 342.9 | 174.3 | 0.822 | 91.4 | 46.5 |
| BMG07082017_slice_20 | 0.757 | 934.982 | 474.414 | 0.855 | 342.5 | 173.8 | 0.822 | 91.3 | 46.3 |
| BMG07082017_slice_21 | 0.753 | 935.929 | 475.926 | 0.854 | 342.8 | 174.3 | 0.820 | 91.4 | 46.5 |
| BMG07082017_slice_22 | 0.748 | 936.309 | 476.967 | 0.853 | 343.0 | 174.7 | 0.819 | 91.5 | 46.6 |
| BMG07082017_slice_23 | 0.750 | 935.836 | 475.884 | 0.856 | 342.8 | 174.3 | 0.823 | 91.4 | 46.5 |
| BMG07082017_slice_24 | 0.749 | 936.495 | 477.160 | 0.852 | 343.0 | 174.8 | 0.820 | 91.5 | 46.6 |
| BMG07082017_slice_25 | 0.750 | 937.674 | 478.371 | 0.850 | 343.5 | 175.2 | 0.818 | 91.6 | 46.7 |
| BMG07082017_slice_26 | 0.745 | 938.328 | 480.056 | 0.844 | 343.7 | 175.8 | 0.812 | 91.7 | 46.9 |
| BMG07082017_slice_27 | 0.745 | 938.404 | 480.098 | 0.842 | 343.7 | 175.9 | 0.810 | 91.7 | 46.9 |
| BMG07082017_slice_28 | 0.746 | 938.357 | 479.890 | 0.843 | 343.7 | 175.8 | 0.810 | 91.7 | 46.9 |
| BMG07082017_slice_29 | 0.745 | 938.503 | 480.592 | 0.842 | 343.8 | 176.0 | 0.809 | 91.7 | 46.9 |
| BMG07082017_slice_30 | 0.746 | 940.559 | 482.842 | 0.842 | 344.5 | 176.9 | 0.809 | 91.9 | 47.2 |
| BMG07082017_slice_31 | 0.749 | 941.382 | 482.713 | 0.845 | 344.8 | 176.8 | 0.813 | 92.0 | 47.2 |
| BMG07082017_slice_32 | 0.746 | 942.558 | 484.302 | 0.844 | 345.3 | 177.4 | 0.811 | 92.1 | 47.3 |
| BMG07082017_slice_33 | 0.750 | 940.940 | 482.082 | 0.847 | 344.7 | 176.6 | 0.815 | 91.9 | 47.1 |
| BMG07082017_slice_34 | 0.748 | 943.629 | 485.008 | 0.843 | 345.7 | 177.7 | 0.811 | 92.2 | 47.4 |
| BMG07082017_slice_35 | 0.747 | 942.344 | 484.167 | 0.842 | 345.2 | 177.4 | 0.809 | 92.0 | 47.3 |
| BMG07082017_slice_36 | 0.745 | 941.892 | 484.099 | 0.839 | 345.0 | 177.3 | 0.807 | 92.0 | 47.3 |
| BMG07082017_slice_37 | 0.746 | 941.039 | 483.493 | 0.840 | 344.7 | 177.1 | 0.808 | 91.9 | 47.2 |
| BMG07082017_slice_38 | 0.741 | 941.625 | 485.423 | 0.835 | 344.9 | 177.8 | 0.803 | 92.0 | 47.4 |
| BMG07082017_slice_39 | 0.736 | 942.056 | 487.059 | 0.832 | 345.1 | 178.4 | 0.799 | 92.0 | 47.6 |
| BMG07082017_slice_40 | 0.732 | 942.357 | 487.656 | 0.831 | 345.2 | 178.6 | 0.798 | 92.0 | 47.6 |
| BMG07082017_slice_41 | 0.729 | 943.894 | 488.789 | 0.832 | 345.7 | 179.0 | 0.799 | 92.2 | 47.7 |
| BMG07082017_slice_42 | 0.724 | 944.319 | 489.531 | 0.831 | 345.9 | 179.3 | 0.798 | 92.2 | 47.8 |
| BMG07082017_slice_43 | 0.722 | 946.753 | 492.357 | 0.828 | 346.8 | 180.4 | 0.795 | 92.5 | 48.1 |
| BMG07082017_slice_44 | 0.720 | 952.757 | 498.632 | 0.819 | 349.0 | 182.6 | 0.786 | 93.1 | 48.7 |
| BMG07082017_slice_45 | 0.720 | 956.353 | 503.033 | 0.819 | 350.3 | 184.3 | 0.786 | 93.4 | 49.1 |
| BMG07082017_slice_46 | 0.689 | 956.518 | 505.548 | 0.815 | 350.4 | 185.2 | 0.781 | 93.4 | 49.4 |
| BMG07082017_slice_47 | 0.724 | 946.122 | 492.683 | 0.825 | 346.6 | 180.5 | 0.792 | 92.4 | 48.1 |
| BMG07082017_slice_48 | 0.725 | 943.228 | 489.264 | 0.828 | 345.5 | 179.2 | 0.795 | 92.1 | 47.8 |
| BMG07082017_slice_49 | 0.729 | 943.467 | 489.308 | 0.830 | 345.6 | 179.2 | 0.797 | 92.2 | 47.8 |
| BMG07082017_slice_50 | 0.731 | 942.168 | 486.867 | 0.837 | 345.1 | 178.3 | 0.804 | 92.0 | 47.6 |
| BMG07082017_slice_51 | 0.729 | 940.627 | 485.652 | 0.838 | 344.6 | 177.9 | 0.806 | 91.9 | 47.4 |
| BMG07082017_slice_52 | 0.732 | 940.534 | 485.249 | 0.836 | 344.5 | 177.7 | 0.803 | 91.9 | 47.4 |
| BMG07082017_slice_53 | 0.728 | 941.041 | 484.932 | 0.836 | 344.7 | 177.6 | 0.803 | 91.9 | 47.4 |
| BMG07082017_slice_54 | 0.732 | 940.488 | 483.646 | 0.838 | 344.5 | 177.2 | 0.805 | 91.9 | 47.2 |
| BMG07082017_slice_55 | 0.735 | 938.594 | 481.186 | 0.839 | 343.8 | 176.3 | 0.806 | 91.7 | 47.0 |
| BMG07082017_slice_56 | 0.731 | 940.013 | 483.609 | 0.836 | 344.3 | 177.1 | 0.803 | 91.8 | 47.2 |
| BMG07082017_slice_57 | 0.728 | 939.721 | 483.886 | 0.836 | 344.2 | 177.2 | 0.804 | 91.8 | 47.3 |
| BMG07082017_slice_58 | 0.714 | 943.630 | 489.360 | 0.830 | 345.7 | 179.3 | 0.797 | 92.2 | 47.8 |
| BMG07082017_slice_59 | 0.714 | 944.865 | 491.233 | 0.827 | 346.1 | 179.9 | 0.794 | 92.3 | 48.0 |
| BMG07082017_slice_60 | 0.710 | 945.556 | 491.802 | 0.827 | 346.4 | 180.1 | 0.794 | 92.4 | 48.0 |
| BMG07082017_slice_61 | 0.707 | 944.783 | 491.541 | 0.827 | 346.1 | 180.1 | 0.794 | 92.3 | 48.0 |
| BMG07082017_slice_62 | 0.715 | 942.115 | 488.457 | 0.833 | 345.1 | 178.9 | 0.800 | 92.0 | 47.7 |
| BMG07082017_slice_63 | 0.724 | 941.071 | 486.020 | 0.836 | 344.7 | 178.0 | 0.804 | 91.9 | 47.5 |
| BMG07082017_slice_64 | 0.734 | 939.053 | 482.459 | 0.840 | 344.0 | 176.7 | 0.808 | 91.7 | 47.1 |
| BMG07082017_slice_65 | 0.741 | 939.054 | 481.719 | 0.841 | 344.0 | 176.5 | 0.809 | 91.7 | 47.1 |
| BMG07082017_slice_66 | 0.744 | 938.709 | 480.923 | 0.842 | 343.8 | 176.2 | 0.809 | 91.7 | 47.0 |
| BMG07082017_slice_67 | 0.747 | 937.007 | 478.402 | 0.843 | 343.2 | 175.2 | 0.811 | 91.5 | 46.7 |
| BMG07082017_slice_68 | 0.746 | 936.707 | 477.972 | 0.841 | 343.1 | 175.1 | 0.809 | 91.5 | 46.7 |
| BMG07082017_slice_69 | 0.747 | 937.258 | 477.850 | 0.841 | 343.3 | 175.0 | 0.809 | 91.6 | 46.7 |
| BMG07082017_slice_70 | 0.746 | 938.361 | 479.088 | 0.841 | 343.7 | 175.5 | 0.809 | 91.7 | 46.8 |
| BMG07082017_slice_71 | 0.751 | 937.047 | 476.819 | 0.847 | 343.2 | 174.7 | 0.814 | 91.5 | 46.6 |
| BMG07082017_slice_72 | 0.752 | 935.322 | 474.870 | 0.847 | 342.6 | 173.9 | 0.815 | 91.4 | 46.4 |
| BMG07082017_slice_73 | 0.758 | 935.152 | 474.028 | 0.850 | 342.5 | 173.6 | 0.818 | 91.3 | 46.3 |
| BMG07082017_slice_74 | 0.760 | 935.144 | 473.622 | 0.852 | 342.5 | 173.5 | 0.821 | 91.3 | 46.3 |
| BMG07082017_slice_75 | 0.755 | 936.116 | 475.315 | 0.851 | 342.9 | 174.1 | 0.820 | 91.4 | 46.4 |
| BMG07082017_slice_76 | 0.752 | 935.845 | 476.307 | 0.851 | 342.8 | 174.5 | 0.819 | 91.4 | 46.5 |
| BMG07082017_slice_77 | 0.742 | 937.615 | 480.438 | 0.849 | 343.4 | 176.0 | 0.816 | 91.6 | 46.9 |
| BMG07082017_slice_78 | 0.737 | 938.255 | 481.895 | 0.846 | 343.7 | 176.5 | 0.813 | 91.6 | 47.1 |
| BMG07082017_slice_79 | 0.745 | 937.852 | 479.919 | 0.849 | 343.5 | 175.8 | 0.816 | 91.6 | 46.9 |
| BMG07082017_slice_80 | 0.747 | 937.250 | 480.452 | 0.851 | 343.3 | 176.0 | 0.818 | 91.6 | 46.9 |
| BMG07082017_slice_81 | 0.749 | 936.846 | 480.383 | 0.853 | 343.2 | 176.0 | 0.820 | 91.5 | 46.9 |
| BMG07082017_slice_82 | 0.750 | 936.759 | 479.840 | 0.856 | 343.1 | 175.8 | 0.822 | 91.5 | 46.9 |
| BMG07082017_slice_83 | 0.751 | 936.446 | 478.636 | 0.858 | 343.0 | 175.3 | 0.824 | 91.5 | 46.8 |
| BMG07082017_slice_84 | 0.757 | 935.866 | 476.394 | 0.861 | 342.8 | 174.5 | 0.828 | 91.4 | 46.5 |
| BMG07082017_slice_85 | 0.767 | 934.775 | 473.656 | 0.867 | 342.4 | 173.5 | 0.835 | 91.3 | 46.3 |
| BMG07082017_slice_86 | 0.768 | 935.486 | 474.246 | 0.869 | 342.7 | 173.7 | 0.836 | 91.4 | 46.3 |
| BMG07082017_slice_87 | 0.769 | 938.172 | 477.023 | 0.867 | 343.7 | 174.7 | 0.834 | 91.6 | 46.6 |
| BMG07082017_slice_88 | 0.773 | 936.500 | 474.560 | 0.869 | 343.0 | 173.8 | 0.837 | 91.5 | 46.4 |
| BMG07082017_slice_89 | 0.778 | 935.112 | 472.157 | 0.872 | 342.5 | 173.0 | 0.839 | 91.3 | 46.1 |
| BMG07082017_slice_90 | 0.777 | 937.539 | 474.830 | 0.868 | 343.4 | 173.9 | 0.835 | 91.6 | 46.4 |
| BMG07082017_slice_91 | 0.776 | 938.144 | 474.845 | 0.866 | 343.6 | 173.9 | 0.834 | 91.6 | 46.4 |
| BMG07082017_slice_92 | 0.777 | 937.188 | 472.988 | 0.868 | 343.3 | 173.3 | 0.836 | 91.5 | 46.2 |
| BMG07082017_slice_93 | 0.778 | 937.752 | 472.836 | 0.870 | 343.5 | 173.2 | 0.837 | 91.6 | 46.2 |
| BMG07082017_slice_94 | 0.781 | 937.691 | 471.579 | 0.872 | 343.5 | 172.7 | 0.840 | 91.6 | 46.1 |
| BMG07082017_slice_95 | 0.783 | 936.187 | 469.000 | 0.873 | 342.9 | 171.8 | 0.841 | 91.4 | 45.8 |
| BMG07082017_slice_96 | 0.783 | 937.062 | 469.233 | 0.874 | 343.2 | 171.9 | 0.842 | 91.5 | 45.8 |
| BMG07082017_slice_97 | 0.789 | 933.666 | 464.364 | 0.879 | 342.0 | 170.1 | 0.848 | 91.2 | 45.4 |
| BMG07082017_slice_98 | 0.791 | 932.732 | 462.807 | 0.882 | 341.7 | 169.5 | 0.850 | 91.1 | 45.2 |
| BMG07082017_slice_99 | 0.790 | 931.335 | 461.178 | 0.882 | 341.1 | 168.9 | 0.851 | 91.0 | 45.0 |
| BMG07082017_slice_100 | 0.789 | 931.721 | 461.526 | 0.882 | 341.3 | 169.1 | 0.851 | 91.0 | 45.1 |
| BMG07082017_slice_101 | 0.786 | 931.992 | 462.498 | 0.881 | 341.4 | 169.4 | 0.849 | 91.0 | 45.2 |
| BMG07082017_slice_102 | 0.783 | 932.173 | 463.006 | 0.878 | 341.5 | 169.6 | 0.847 | 91.1 | 45.2 |
4Γ3 grid: Rows show different image types (Original NATIVE, Reconstructed NATIVE, Original VENOUS, Generated VENOUS), Columns show windowing techniques (No Window, Lung Window, Mediastinum Window)