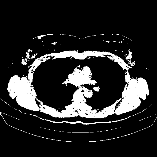
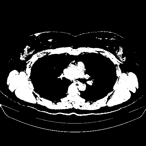
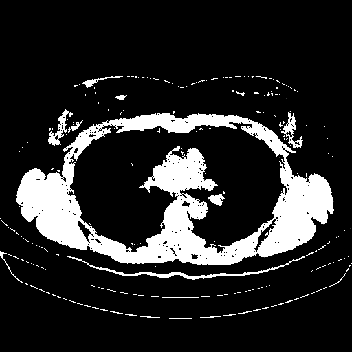
Slice 70 Targeting Evaluation
Patient ID: CV28012021
Model: cytran
Slice: Slice_70
Slice Thickness: 1.5mm
Conversion: NATIVE β VENOUS
Contains all 4 metric datasets: Network-Normalized, Hounsfield Units, Lung Window, and Mediastinum Window
| Slice ID | Full Window SSIM | Full Window RMSE | Full Window MAE | Lung SSIM | Lung RMSE | Lung MAE | Mediastinum SSIM | Mediastinum RMSE | Mediastinum MAE |
|---|---|---|---|---|---|---|---|---|---|
| CV28012021_slice_0 | 0.922 | 78.697 | 29.643 | 0.948 | 28.8 | 10.9 | 0.944 | 7.7 | 2.9 |
| CV28012021_slice_1 | 0.919 | 81.815 | 30.671 | 0.945 | 30.0 | 11.2 | 0.941 | 8.0 | 3.0 |
| CV28012021_slice_2 | 0.917 | 84.107 | 31.190 | 0.944 | 30.8 | 11.4 | 0.940 | 8.2 | 3.0 |
| CV28012021_slice_3 | 0.916 | 85.910 | 31.616 | 0.944 | 31.5 | 11.6 | 0.940 | 8.4 | 3.1 |
| CV28012021_slice_4 | 0.916 | 87.311 | 31.507 | 0.945 | 32.0 | 11.5 | 0.940 | 8.5 | 3.1 |
| CV28012021_slice_5 | 0.914 | 88.690 | 31.911 | 0.943 | 32.5 | 11.7 | 0.939 | 8.7 | 3.1 |
| CV28012021_slice_6 | 0.912 | 90.766 | 32.540 | 0.941 | 33.2 | 11.9 | 0.937 | 8.9 | 3.2 |
| CV28012021_slice_7 | 0.911 | 92.911 | 33.196 | 0.940 | 34.0 | 12.2 | 0.935 | 9.1 | 3.2 |
| CV28012021_slice_8 | 0.907 | 96.708 | 34.395 | 0.938 | 35.4 | 12.6 | 0.932 | 9.4 | 3.4 |
| CV28012021_slice_9 | 0.903 | 100.022 | 35.398 | 0.936 | 36.6 | 13.0 | 0.930 | 9.8 | 3.5 |
| CV28012021_slice_10 | 0.892 | 102.366 | 36.967 | 0.935 | 37.5 | 13.5 | 0.929 | 10.0 | 3.6 |
| CV28012021_slice_11 | 0.888 | 105.201 | 37.967 | 0.932 | 38.5 | 13.9 | 0.927 | 10.3 | 3.7 |
| CV28012021_slice_12 | 0.889 | 108.545 | 38.387 | 0.931 | 39.8 | 14.1 | 0.926 | 10.6 | 3.7 |
| CV28012021_slice_13 | 0.891 | 110.140 | 38.399 | 0.930 | 40.3 | 14.1 | 0.925 | 10.8 | 3.8 |
| CV28012021_slice_14 | 0.894 | 109.194 | 37.949 | 0.930 | 40.0 | 13.9 | 0.925 | 10.7 | 3.7 |
| CV28012021_slice_15 | 0.896 | 109.250 | 37.815 | 0.930 | 40.0 | 13.9 | 0.926 | 10.7 | 3.7 |
| CV28012021_slice_16 | 0.896 | 110.963 | 38.239 | 0.929 | 40.6 | 14.0 | 0.925 | 10.8 | 3.7 |
| CV28012021_slice_17 | 0.897 | 112.465 | 39.013 | 0.928 | 41.2 | 14.3 | 0.924 | 11.0 | 3.8 |
| CV28012021_slice_18 | 0.895 | 113.767 | 39.333 | 0.927 | 41.7 | 14.4 | 0.923 | 11.1 | 3.8 |
| CV28012021_slice_19 | 0.892 | 115.444 | 40.014 | 0.925 | 42.3 | 14.7 | 0.921 | 11.3 | 3.9 |
| CV28012021_slice_20 | 0.888 | 118.676 | 41.234 | 0.922 | 43.5 | 15.1 | 0.918 | 11.6 | 4.0 |
| CV28012021_slice_21 | 0.884 | 121.530 | 42.276 | 0.919 | 44.5 | 15.5 | 0.915 | 11.9 | 4.1 |
| CV28012021_slice_22 | 0.882 | 124.573 | 43.298 | 0.917 | 45.6 | 15.9 | 0.913 | 12.2 | 4.2 |
| CV28012021_slice_23 | 0.879 | 126.395 | 44.156 | 0.916 | 46.3 | 16.2 | 0.912 | 12.3 | 4.3 |
| CV28012021_slice_24 | 0.878 | 127.696 | 44.426 | 0.916 | 46.8 | 16.3 | 0.912 | 12.5 | 4.3 |
| CV28012021_slice_25 | 0.875 | 129.236 | 45.115 | 0.914 | 47.3 | 16.5 | 0.910 | 12.6 | 4.4 |
| CV28012021_slice_26 | 0.875 | 130.324 | 45.386 | 0.914 | 47.7 | 16.6 | 0.910 | 12.7 | 4.4 |
| CV28012021_slice_27 | 0.872 | 131.580 | 45.880 | 0.913 | 48.2 | 16.8 | 0.909 | 12.9 | 4.5 |
| CV28012021_slice_28 | 0.869 | 132.864 | 46.824 | 0.912 | 48.7 | 17.2 | 0.908 | 13.0 | 4.6 |
| CV28012021_slice_29 | 0.868 | 135.028 | 47.528 | 0.911 | 49.5 | 17.4 | 0.907 | 13.2 | 4.6 |
| CV28012021_slice_30 | 0.866 | 136.553 | 48.088 | 0.909 | 50.0 | 17.6 | 0.906 | 13.3 | 4.7 |
| CV28012021_slice_31 | 0.861 | 137.919 | 48.897 | 0.907 | 50.5 | 17.9 | 0.903 | 13.5 | 4.8 |
| CV28012021_slice_32 | 0.858 | 140.866 | 50.633 | 0.904 | 51.6 | 18.5 | 0.900 | 13.8 | 4.9 |
| CV28012021_slice_33 | 0.857 | 143.608 | 51.954 | 0.902 | 52.6 | 19.0 | 0.898 | 14.0 | 5.1 |
| CV28012021_slice_34 | 0.855 | 145.748 | 52.622 | 0.900 | 53.4 | 19.3 | 0.896 | 14.2 | 5.1 |
| CV28012021_slice_35 | 0.853 | 147.350 | 53.222 | 0.898 | 54.0 | 19.5 | 0.894 | 14.4 | 5.2 |
| CV28012021_slice_36 | 0.852 | 149.674 | 54.246 | 0.898 | 54.8 | 19.9 | 0.893 | 14.6 | 5.3 |
| CV28012021_slice_37 | 0.849 | 152.083 | 55.247 | 0.896 | 55.7 | 20.2 | 0.892 | 14.9 | 5.4 |
| CV28012021_slice_38 | 0.846 | 153.805 | 56.263 | 0.896 | 56.3 | 20.6 | 0.891 | 15.0 | 5.5 |
| CV28012021_slice_39 | 0.844 | 155.687 | 57.329 | 0.895 | 57.0 | 21.0 | 0.891 | 15.2 | 5.6 |
| CV28012021_slice_40 | 0.841 | 156.251 | 58.070 | 0.895 | 57.2 | 21.3 | 0.890 | 15.3 | 5.7 |
| CV28012021_slice_41 | 0.838 | 156.982 | 58.841 | 0.894 | 57.5 | 21.6 | 0.889 | 15.3 | 5.7 |
| CV28012021_slice_42 | 0.835 | 158.234 | 59.738 | 0.892 | 58.0 | 21.9 | 0.887 | 15.5 | 5.8 |
| CV28012021_slice_43 | 0.833 | 159.381 | 60.636 | 0.892 | 58.4 | 22.2 | 0.887 | 15.6 | 5.9 |
| CV28012021_slice_44 | 0.832 | 159.846 | 61.208 | 0.891 | 58.6 | 22.4 | 0.886 | 15.6 | 6.0 |
| CV28012021_slice_45 | 0.833 | 160.166 | 61.369 | 0.890 | 58.7 | 22.5 | 0.886 | 15.6 | 6.0 |
| CV28012021_slice_46 | 0.832 | 162.302 | 62.397 | 0.889 | 59.5 | 22.9 | 0.884 | 15.9 | 6.1 |
| CV28012021_slice_47 | 0.830 | 164.316 | 63.235 | 0.886 | 60.2 | 23.2 | 0.881 | 16.1 | 6.2 |
| CV28012021_slice_48 | 0.828 | 164.892 | 63.723 | 0.885 | 60.4 | 23.3 | 0.880 | 16.1 | 6.2 |
| CV28012021_slice_49 | 0.826 | 164.717 | 64.252 | 0.885 | 60.3 | 23.5 | 0.879 | 16.1 | 6.3 |
| CV28012021_slice_50 | 0.826 | 163.813 | 64.098 | 0.883 | 60.0 | 23.5 | 0.878 | 16.0 | 6.3 |
| CV28012021_slice_51 | 0.826 | 162.762 | 63.478 | 0.883 | 59.6 | 23.3 | 0.878 | 15.9 | 6.2 |
| CV28012021_slice_52 | 0.825 | 160.630 | 62.886 | 0.883 | 58.8 | 23.0 | 0.878 | 15.7 | 6.1 |
| CV28012021_slice_53 | 0.829 | 156.384 | 60.852 | 0.886 | 57.3 | 22.3 | 0.881 | 15.3 | 5.9 |
| CV28012021_slice_54 | 0.834 | 151.396 | 58.948 | 0.889 | 55.5 | 21.6 | 0.885 | 14.8 | 5.8 |
| CV28012021_slice_55 | 0.839 | 145.774 | 57.145 | 0.893 | 53.4 | 20.9 | 0.888 | 14.2 | 5.6 |
| CV28012021_slice_56 | 0.842 | 142.438 | 55.665 | 0.896 | 52.2 | 20.4 | 0.892 | 13.9 | 5.4 |
| CV28012021_slice_57 | 0.845 | 139.791 | 54.298 | 0.899 | 51.2 | 19.9 | 0.895 | 13.7 | 5.3 |
| CV28012021_slice_58 | 0.845 | 136.159 | 52.757 | 0.899 | 49.9 | 19.3 | 0.896 | 13.3 | 5.2 |
| CV28012021_slice_59 | 0.851 | 130.667 | 51.061 | 0.901 | 47.9 | 18.7 | 0.898 | 12.8 | 5.0 |
| CV28012021_slice_60 | 0.859 | 124.418 | 49.185 | 0.904 | 45.6 | 18.0 | 0.901 | 12.2 | 4.8 |
| CV28012021_slice_61 | 0.861 | 123.525 | 48.768 | 0.905 | 45.2 | 17.9 | 0.902 | 12.1 | 4.8 |
| CV28012021_slice_62 | 0.862 | 121.665 | 48.394 | 0.904 | 44.6 | 17.7 | 0.901 | 11.9 | 4.7 |
| CV28012021_slice_63 | 0.863 | 118.552 | 47.526 | 0.905 | 43.4 | 17.4 | 0.901 | 11.6 | 4.6 |
| CV28012021_slice_64 | 0.870 | 112.664 | 45.305 | 0.908 | 41.3 | 16.6 | 0.905 | 11.0 | 4.4 |
| CV28012021_slice_65 | 0.877 | 107.779 | 43.598 | 0.913 | 39.5 | 16.0 | 0.910 | 10.5 | 4.3 |
| CV28012021_slice_66 | 0.879 | 104.001 | 42.317 | 0.916 | 38.1 | 15.5 | 0.913 | 10.2 | 4.1 |
| CV28012021_slice_67 | 0.885 | 100.273 | 40.524 | 0.918 | 36.7 | 14.8 | 0.915 | 9.8 | 4.0 |
| CV28012021_slice_68 | 0.889 | 95.578 | 39.087 | 0.922 | 35.0 | 14.3 | 0.919 | 9.3 | 3.8 |
| CV28012021_slice_69 | 0.893 | 92.095 | 38.130 | 0.924 | 33.7 | 14.0 | 0.922 | 9.0 | 3.7 |
| CV28012021_slice_70 | 0.894 | 90.801 | 37.582 | 0.925 | 33.3 | 13.8 | 0.922 | 8.9 | 3.7 |
| CV28012021_slice_71 | 0.897 | 89.936 | 37.098 | 0.926 | 32.9 | 13.6 | 0.924 | 8.8 | 3.6 |
| CV28012021_slice_72 | 0.901 | 88.383 | 36.325 | 0.930 | 32.4 | 13.3 | 0.928 | 8.6 | 3.5 |
| CV28012021_slice_73 | 0.902 | 87.354 | 36.053 | 0.932 | 32.0 | 13.2 | 0.930 | 8.5 | 3.5 |
| CV28012021_slice_74 | 0.901 | 87.368 | 36.333 | 0.934 | 32.0 | 13.3 | 0.932 | 8.5 | 3.5 |
| CV28012021_slice_75 | 0.902 | 86.555 | 36.083 | 0.934 | 31.7 | 13.2 | 0.932 | 8.5 | 3.5 |
| CV28012021_slice_76 | 0.902 | 86.911 | 36.192 | 0.935 | 31.8 | 13.3 | 0.933 | 8.5 | 3.5 |
| CV28012021_slice_77 | 0.901 | 86.656 | 36.172 | 0.935 | 31.7 | 13.2 | 0.933 | 8.5 | 3.5 |
| CV28012021_slice_78 | 0.902 | 85.261 | 35.768 | 0.936 | 31.2 | 13.1 | 0.934 | 8.3 | 3.5 |
| CV28012021_slice_79 | 0.903 | 84.208 | 35.844 | 0.938 | 30.8 | 13.1 | 0.936 | 8.2 | 3.5 |
| CV28012021_slice_80 | 0.906 | 84.442 | 35.662 | 0.939 | 30.9 | 13.1 | 0.936 | 8.2 | 3.5 |
| CV28012021_slice_81 | 0.905 | 84.676 | 35.913 | 0.939 | 31.0 | 13.2 | 0.937 | 8.3 | 3.5 |
| CV28012021_slice_82 | 0.905 | 85.205 | 35.934 | 0.939 | 31.2 | 13.2 | 0.937 | 8.3 | 3.5 |
| CV28012021_slice_83 | 0.902 | 84.593 | 36.212 | 0.938 | 31.0 | 13.3 | 0.936 | 8.3 | 3.5 |
| CV28012021_slice_84 | 0.903 | 83.726 | 35.835 | 0.939 | 30.7 | 13.1 | 0.937 | 8.2 | 3.5 |
| CV28012021_slice_85 | 0.904 | 83.790 | 35.860 | 0.940 | 30.7 | 13.1 | 0.938 | 8.2 | 3.5 |
| CV28012021_slice_86 | 0.902 | 84.148 | 36.380 | 0.939 | 30.8 | 13.3 | 0.937 | 8.2 | 3.6 |
| CV28012021_slice_87 | 0.901 | 84.316 | 36.285 | 0.938 | 30.9 | 13.3 | 0.936 | 8.2 | 3.5 |
| CV28012021_slice_88 | 0.902 | 84.718 | 36.212 | 0.939 | 31.0 | 13.3 | 0.937 | 8.3 | 3.5 |
| CV28012021_slice_89 | 0.897 | 86.236 | 37.019 | 0.937 | 31.6 | 13.6 | 0.935 | 8.4 | 3.6 |
| CV28012021_slice_90 | 0.897 | 86.702 | 37.142 | 0.937 | 31.8 | 13.6 | 0.935 | 8.5 | 3.6 |
| CV28012021_slice_91 | 0.899 | 86.654 | 36.985 | 0.937 | 31.7 | 13.5 | 0.935 | 8.5 | 3.6 |
| CV28012021_slice_92 | 0.898 | 86.261 | 37.270 | 0.937 | 31.6 | 13.7 | 0.935 | 8.4 | 3.6 |
| CV28012021_slice_93 | 0.899 | 84.603 | 36.904 | 0.938 | 31.0 | 13.5 | 0.936 | 8.3 | 3.6 |
| CV28012021_slice_94 | 0.903 | 81.945 | 36.013 | 0.939 | 30.0 | 13.2 | 0.937 | 8.0 | 3.5 |
| CV28012021_slice_95 | 0.902 | 81.022 | 36.290 | 0.939 | 29.7 | 13.3 | 0.936 | 7.9 | 3.5 |
| CV28012021_slice_96 | 0.899 | 82.148 | 36.977 | 0.937 | 30.1 | 13.5 | 0.935 | 8.0 | 3.6 |
| CV28012021_slice_97 | 0.898 | 82.594 | 36.834 | 0.936 | 30.3 | 13.5 | 0.934 | 8.1 | 3.6 |
| CV28012021_slice_98 | 0.901 | 80.866 | 36.198 | 0.936 | 29.6 | 13.3 | 0.934 | 7.9 | 3.5 |
| CV28012021_slice_99 | 0.903 | 79.977 | 35.938 | 0.937 | 29.3 | 13.2 | 0.935 | 7.8 | 3.5 |
| CV28012021_slice_100 | 0.901 | 79.836 | 36.387 | 0.937 | 29.2 | 13.3 | 0.935 | 7.8 | 3.6 |
| CV28012021_slice_101 | 0.901 | 80.547 | 36.641 | 0.937 | 29.5 | 13.4 | 0.935 | 7.9 | 3.6 |
| CV28012021_slice_102 | 0.900 | 82.394 | 36.868 | 0.935 | 30.2 | 13.5 | 0.933 | 8.0 | 3.6 |
| CV28012021_slice_103 | 0.901 | 83.203 | 36.695 | 0.935 | 30.5 | 13.4 | 0.932 | 8.1 | 3.6 |
| CV28012021_slice_104 | 0.902 | 83.373 | 36.448 | 0.935 | 30.5 | 13.4 | 0.933 | 8.1 | 3.6 |
| CV28012021_slice_105 | 0.904 | 80.624 | 35.732 | 0.938 | 29.5 | 13.1 | 0.936 | 7.9 | 3.5 |
| CV28012021_slice_106 | 0.905 | 78.816 | 35.400 | 0.939 | 28.9 | 13.0 | 0.937 | 7.7 | 3.5 |
| CV28012021_slice_107 | 0.906 | 78.372 | 35.126 | 0.940 | 28.7 | 12.9 | 0.938 | 7.7 | 3.4 |
| CV28012021_slice_108 | 0.910 | 75.167 | 34.120 | 0.942 | 27.5 | 12.5 | 0.940 | 7.3 | 3.3 |
| CV28012021_slice_109 | 0.910 | 73.146 | 33.565 | 0.941 | 26.8 | 12.3 | 0.940 | 7.1 | 3.3 |
| CV28012021_slice_110 | 0.915 | 71.307 | 32.460 | 0.942 | 26.1 | 11.9 | 0.941 | 7.0 | 3.2 |
| CV28012021_slice_111 | 0.914 | 70.781 | 32.482 | 0.942 | 25.9 | 11.9 | 0.940 | 6.9 | 3.2 |
| CV28012021_slice_112 | 0.912 | 71.442 | 32.832 | 0.940 | 26.2 | 12.0 | 0.939 | 7.0 | 3.2 |
| CV28012021_slice_113 | 0.910 | 73.229 | 33.260 | 0.939 | 26.8 | 12.2 | 0.938 | 7.2 | 3.2 |
| CV28012021_slice_114 | 0.909 | 74.634 | 33.463 | 0.938 | 27.3 | 12.3 | 0.936 | 7.3 | 3.3 |
| CV28012021_slice_115 | 0.908 | 75.556 | 33.736 | 0.938 | 27.7 | 12.4 | 0.936 | 7.4 | 3.3 |
| CV28012021_slice_116 | 0.901 | 81.874 | 35.730 | 0.936 | 30.0 | 13.1 | 0.934 | 8.0 | 3.5 |
| CV28012021_slice_117 | 0.897 | 92.819 | 38.493 | 0.935 | 34.0 | 14.1 | 0.932 | 9.1 | 3.8 |
| CV28012021_slice_118 | 0.892 | 101.583 | 40.960 | 0.933 | 37.2 | 15.0 | 0.930 | 9.9 | 4.0 |
| CV28012021_slice_119 | 0.891 | 102.757 | 40.953 | 0.936 | 37.6 | 15.0 | 0.933 | 10.0 | 4.0 |
| CV28012021_slice_120 | 0.892 | 99.610 | 39.769 | 0.940 | 36.5 | 14.6 | 0.937 | 9.7 | 3.9 |
| CV28012021_slice_121 | 0.901 | 94.498 | 37.332 | 0.943 | 34.6 | 13.7 | 0.941 | 9.2 | 3.6 |
| CV28012021_slice_122 | 0.906 | 89.552 | 35.691 | 0.944 | 32.8 | 13.1 | 0.942 | 8.7 | 3.5 |
| CV28012021_slice_123 | 0.907 | 88.046 | 35.477 | 0.944 | 32.3 | 13.0 | 0.942 | 8.6 | 3.5 |
| CV28012021_slice_124 | 0.906 | 86.363 | 35.397 | 0.945 | 31.6 | 13.0 | 0.943 | 8.4 | 3.5 |
| CV28012021_slice_125 | 0.902 | 89.633 | 36.507 | 0.945 | 32.8 | 13.4 | 0.943 | 8.8 | 3.6 |
| CV28012021_slice_126 | 0.907 | 91.448 | 36.725 | 0.945 | 33.5 | 13.5 | 0.943 | 8.9 | 3.6 |
| CV28012021_slice_127 | 0.908 | 90.793 | 36.650 | 0.945 | 33.3 | 13.4 | 0.943 | 8.9 | 3.6 |
| CV28012021_slice_128 | 0.908 | 88.914 | 35.593 | 0.944 | 32.6 | 13.0 | 0.942 | 8.7 | 3.5 |
| CV28012021_slice_129 | 0.907 | 88.146 | 34.907 | 0.943 | 32.3 | 12.8 | 0.941 | 8.6 | 3.4 |
| CV28012021_slice_130 | 0.908 | 84.249 | 33.848 | 0.945 | 30.9 | 12.4 | 0.944 | 8.2 | 3.3 |
| CV28012021_slice_131 | 0.911 | 82.118 | 33.092 | 0.947 | 30.1 | 12.1 | 0.945 | 8.0 | 3.2 |
| CV28012021_slice_132 | 0.915 | 80.815 | 32.586 | 0.947 | 29.6 | 11.9 | 0.946 | 7.9 | 3.2 |
| CV28012021_slice_133 | 0.914 | 79.533 | 32.664 | 0.947 | 29.1 | 12.0 | 0.946 | 7.8 | 3.2 |
| CV28012021_slice_134 | 0.916 | 77.757 | 31.983 | 0.948 | 28.5 | 11.7 | 0.946 | 7.6 | 3.1 |
| CV28012021_slice_135 | 0.917 | 76.466 | 31.917 | 0.949 | 28.0 | 11.7 | 0.947 | 7.5 | 3.1 |
| CV28012021_slice_136 | 0.920 | 74.825 | 31.379 | 0.950 | 27.4 | 11.5 | 0.948 | 7.3 | 3.1 |
| CV28012021_slice_137 | 0.921 | 73.608 | 30.872 | 0.951 | 27.0 | 11.3 | 0.949 | 7.2 | 3.0 |
| CV28012021_slice_138 | 0.921 | 72.303 | 30.641 | 0.950 | 26.5 | 11.2 | 0.949 | 7.1 | 3.0 |
| CV28012021_slice_139 | 0.923 | 69.818 | 29.865 | 0.952 | 25.6 | 10.9 | 0.950 | 6.8 | 2.9 |
| CV28012021_slice_140 | 0.927 | 66.403 | 28.886 | 0.954 | 24.3 | 10.6 | 0.953 | 6.5 | 2.8 |
| CV28012021_slice_141 | 0.925 | 65.295 | 29.174 | 0.955 | 23.9 | 10.7 | 0.953 | 6.4 | 2.8 |
| CV28012021_slice_142 | 0.926 | 64.566 | 29.071 | 0.955 | 23.7 | 10.6 | 0.954 | 6.3 | 2.8 |
| CV28012021_slice_143 | 0.926 | 63.625 | 28.972 | 0.956 | 23.3 | 10.6 | 0.954 | 6.2 | 2.8 |
| CV28012021_slice_144 | 0.930 | 60.986 | 28.246 | 0.957 | 22.3 | 10.3 | 0.955 | 6.0 | 2.8 |
| CV28012021_slice_145 | 0.928 | 60.604 | 28.772 | 0.956 | 22.2 | 10.5 | 0.955 | 5.9 | 2.8 |
| CV28012021_slice_146 | 0.930 | 58.909 | 27.940 | 0.958 | 21.6 | 10.2 | 0.956 | 5.8 | 2.7 |
| CV28012021_slice_147 | 0.929 | 57.639 | 27.828 | 0.959 | 21.1 | 10.2 | 0.958 | 5.6 | 2.7 |
| CV28012021_slice_148 | 0.930 | 56.325 | 27.533 | 0.959 | 20.6 | 10.1 | 0.958 | 5.5 | 2.7 |
| CV28012021_slice_149 | 0.934 | 54.323 | 26.637 | 0.960 | 19.9 | 9.8 | 0.959 | 5.3 | 2.6 |
| CV28012021_slice_150 | 0.936 | 52.098 | 25.959 | 0.962 | 19.1 | 9.5 | 0.961 | 5.1 | 2.5 |
| CV28012021_slice_151 | 0.935 | 51.009 | 26.097 | 0.963 | 18.7 | 9.6 | 0.962 | 5.0 | 2.5 |
| CV28012021_slice_152 | 0.938 | 49.416 | 25.515 | 0.963 | 18.1 | 9.3 | 0.962 | 4.8 | 2.5 |
| CV28012021_slice_153 | 0.938 | 48.741 | 25.715 | 0.964 | 17.9 | 9.4 | 0.963 | 4.8 | 2.5 |
| CV28012021_slice_154 | 0.938 | 47.709 | 25.344 | 0.964 | 17.5 | 9.3 | 0.964 | 4.7 | 2.5 |
| CV28012021_slice_155 | 0.938 | 47.509 | 25.811 | 0.965 | 17.4 | 9.5 | 0.963 | 4.6 | 2.5 |
| CV28012021_slice_156 | 0.938 | 46.312 | 25.638 | 0.965 | 17.0 | 9.4 | 0.964 | 4.5 | 2.5 |
| CV28012021_slice_157 | 0.937 | 45.865 | 25.843 | 0.966 | 16.8 | 9.5 | 0.965 | 4.5 | 2.5 |
| CV28012021_slice_158 | 0.937 | 44.939 | 25.365 | 0.967 | 16.5 | 9.3 | 0.966 | 4.4 | 2.5 |
| CV28012021_slice_159 | 0.935 | 44.329 | 25.417 | 0.967 | 16.2 | 9.3 | 0.966 | 4.3 | 2.5 |
| CV28012021_slice_160 | 0.937 | 41.961 | 24.942 | 0.968 | 15.4 | 9.1 | 0.967 | 4.1 | 2.4 |
| CV28012021_slice_161 | 0.937 | 40.769 | 24.720 | 0.969 | 14.9 | 9.1 | 0.968 | 4.0 | 2.4 |
| CV28012021_slice_162 | 0.939 | 40.354 | 24.533 | 0.969 | 14.8 | 9.0 | 0.968 | 3.9 | 2.4 |
| CV28012021_slice_163 | 0.941 | 40.488 | 24.367 | 0.969 | 14.8 | 8.9 | 0.968 | 4.0 | 2.4 |
| CV28012021_slice_164 | 0.941 | 40.630 | 24.531 | 0.969 | 14.9 | 9.0 | 0.968 | 4.0 | 2.4 |
| CV28012021_slice_165 | 0.944 | 39.796 | 23.872 | 0.969 | 14.6 | 8.7 | 0.968 | 3.9 | 2.3 |
| CV28012021_slice_166 | 0.945 | 40.054 | 23.921 | 0.969 | 14.7 | 8.8 | 0.968 | 3.9 | 2.3 |
| CV28012021_slice_167 | 0.945 | 40.339 | 23.649 | 0.970 | 14.8 | 8.7 | 0.969 | 3.9 | 2.3 |
| CV28012021_slice_168 | 0.947 | 41.158 | 23.306 | 0.970 | 15.1 | 8.5 | 0.969 | 4.0 | 2.3 |
| CV28012021_slice_169 | 0.945 | 41.392 | 23.591 | 0.969 | 15.2 | 8.6 | 0.969 | 4.0 | 2.3 |
4Γ3 grid: Rows show different image types (Original NATIVE, Reconstructed NATIVE, Original VENOUS, Generated VENOUS), Columns show windowing techniques (No Window, Lung Window, Mediastinum Window)