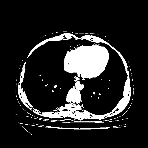
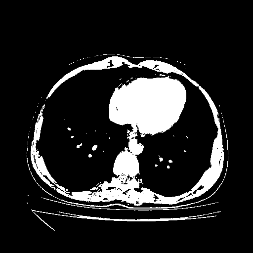
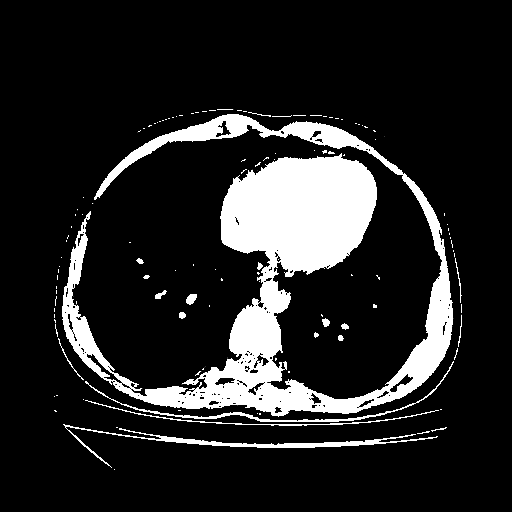
Slice 70 Targeting Evaluation
Patient ID: PP08072020
Model: cytran
Slice: Slice_70
Slice Thickness: 2.5mm
Conversion: NATIVE β VENOUS
Contains all 4 metric datasets: Network-Normalized, Hounsfield Units, Lung Window, and Mediastinum Window
| Slice ID | Full Window SSIM | Full Window RMSE | Full Window MAE | Lung SSIM | Lung RMSE | Lung MAE | Mediastinum SSIM | Mediastinum RMSE | Mediastinum MAE |
|---|---|---|---|---|---|---|---|---|---|
| PP08072020_slice_0 | 0.786 | 928.739 | 463.128 | 0.889 | 340.2 | 169.6 | 0.853 | 90.7 | 45.2 |
| PP08072020_slice_1 | 0.771 | 929.643 | 466.992 | 0.884 | 340.5 | 171.1 | 0.848 | 90.8 | 45.6 |
| PP08072020_slice_2 | 0.756 | 929.153 | 466.991 | 0.883 | 340.3 | 171.1 | 0.847 | 90.8 | 45.6 |
| PP08072020_slice_3 | 0.750 | 929.724 | 468.452 | 0.884 | 340.6 | 171.6 | 0.848 | 90.8 | 45.8 |
| PP08072020_slice_4 | 0.761 | 931.323 | 470.732 | 0.881 | 341.1 | 172.4 | 0.844 | 91.0 | 46.0 |
| PP08072020_slice_5 | 0.764 | 930.692 | 470.156 | 0.883 | 340.9 | 172.2 | 0.846 | 90.9 | 45.9 |
| PP08072020_slice_6 | 0.772 | 928.664 | 464.668 | 0.885 | 340.2 | 170.2 | 0.851 | 90.7 | 45.4 |
| PP08072020_slice_7 | 0.778 | 928.540 | 463.435 | 0.885 | 340.1 | 169.8 | 0.851 | 90.7 | 45.3 |
| PP08072020_slice_8 | 0.777 | 928.436 | 462.815 | 0.889 | 340.1 | 169.5 | 0.856 | 90.7 | 45.2 |
| PP08072020_slice_9 | 0.779 | 927.754 | 461.493 | 0.892 | 339.8 | 169.0 | 0.858 | 90.6 | 45.1 |
| PP08072020_slice_10 | 0.787 | 927.327 | 460.668 | 0.892 | 339.7 | 168.7 | 0.859 | 90.6 | 45.0 |
| PP08072020_slice_11 | 0.792 | 927.359 | 460.516 | 0.892 | 339.7 | 168.7 | 0.858 | 90.6 | 45.0 |
| PP08072020_slice_12 | 0.794 | 927.515 | 460.867 | 0.891 | 339.7 | 168.8 | 0.857 | 90.6 | 45.0 |
| PP08072020_slice_13 | 0.794 | 927.788 | 461.406 | 0.887 | 339.8 | 169.0 | 0.854 | 90.6 | 45.1 |
| PP08072020_slice_14 | 0.796 | 928.261 | 463.200 | 0.885 | 340.0 | 169.7 | 0.852 | 90.7 | 45.2 |
| PP08072020_slice_15 | 0.792 | 928.454 | 464.179 | 0.885 | 340.1 | 170.0 | 0.852 | 90.7 | 45.3 |
| PP08072020_slice_16 | 0.790 | 928.395 | 464.460 | 0.883 | 340.1 | 170.1 | 0.851 | 90.7 | 45.4 |
| PP08072020_slice_17 | 0.791 | 928.115 | 463.565 | 0.882 | 340.0 | 169.8 | 0.850 | 90.7 | 45.3 |
| PP08072020_slice_18 | 0.786 | 928.623 | 465.406 | 0.878 | 340.2 | 170.5 | 0.846 | 90.7 | 45.5 |
| PP08072020_slice_19 | 0.777 | 929.087 | 466.814 | 0.873 | 340.3 | 171.0 | 0.841 | 90.8 | 45.6 |
| PP08072020_slice_20 | 0.772 | 929.425 | 468.082 | 0.871 | 340.4 | 171.5 | 0.838 | 90.8 | 45.7 |
| PP08072020_slice_21 | 0.781 | 929.083 | 467.080 | 0.874 | 340.3 | 171.1 | 0.842 | 90.8 | 45.6 |
| PP08072020_slice_22 | 0.784 | 928.779 | 466.208 | 0.878 | 340.2 | 170.8 | 0.846 | 90.7 | 45.5 |
| PP08072020_slice_23 | 0.786 | 929.107 | 467.471 | 0.881 | 340.3 | 171.2 | 0.849 | 90.8 | 45.7 |
| PP08072020_slice_24 | 0.786 | 929.164 | 467.887 | 0.881 | 340.4 | 171.4 | 0.849 | 90.8 | 45.7 |
| PP08072020_slice_25 | 0.783 | 929.465 | 469.872 | 0.877 | 340.5 | 172.1 | 0.845 | 90.8 | 45.9 |
| PP08072020_slice_26 | 0.779 | 929.996 | 471.756 | 0.873 | 340.7 | 172.8 | 0.840 | 90.8 | 46.1 |
| PP08072020_slice_27 | 0.773 | 930.784 | 474.507 | 0.868 | 340.9 | 173.8 | 0.835 | 90.9 | 46.3 |
| PP08072020_slice_28 | 0.772 | 931.146 | 475.829 | 0.866 | 341.1 | 174.3 | 0.833 | 91.0 | 46.5 |
| PP08072020_slice_29 | 0.771 | 930.647 | 473.991 | 0.869 | 340.9 | 173.6 | 0.836 | 90.9 | 46.3 |
| PP08072020_slice_30 | 0.765 | 931.320 | 476.631 | 0.867 | 341.1 | 174.6 | 0.834 | 91.0 | 46.6 |
| PP08072020_slice_31 | 0.766 | 931.179 | 476.499 | 0.869 | 341.1 | 174.5 | 0.836 | 91.0 | 46.5 |
| PP08072020_slice_32 | 0.767 | 930.608 | 474.901 | 0.869 | 340.9 | 174.0 | 0.836 | 90.9 | 46.4 |
| PP08072020_slice_33 | 0.762 | 929.938 | 472.952 | 0.867 | 340.6 | 173.2 | 0.834 | 90.8 | 46.2 |
| PP08072020_slice_34 | 0.760 | 930.399 | 474.329 | 0.862 | 340.8 | 173.7 | 0.829 | 90.9 | 46.3 |
| PP08072020_slice_35 | 0.759 | 931.190 | 477.422 | 0.856 | 341.1 | 174.9 | 0.823 | 91.0 | 46.6 |
| PP08072020_slice_36 | 0.747 | 932.980 | 484.002 | 0.850 | 341.8 | 177.3 | 0.817 | 91.1 | 47.3 |
| PP08072020_slice_37 | 0.749 | 933.237 | 483.973 | 0.851 | 341.8 | 177.3 | 0.818 | 91.2 | 47.3 |
| PP08072020_slice_38 | 0.756 | 932.294 | 480.996 | 0.855 | 341.5 | 176.2 | 0.822 | 91.1 | 47.0 |
| PP08072020_slice_39 | 0.761 | 931.487 | 478.659 | 0.860 | 341.2 | 175.3 | 0.828 | 91.0 | 46.8 |
| PP08072020_slice_40 | 0.756 | 931.693 | 478.781 | 0.858 | 341.3 | 175.4 | 0.826 | 91.0 | 46.8 |
| PP08072020_slice_41 | 0.757 | 931.610 | 477.653 | 0.860 | 341.2 | 175.0 | 0.827 | 91.0 | 46.7 |
| PP08072020_slice_42 | 0.755 | 932.169 | 480.021 | 0.861 | 341.5 | 175.8 | 0.828 | 91.1 | 46.9 |
| PP08072020_slice_43 | 0.751 | 932.584 | 483.131 | 0.861 | 341.6 | 177.0 | 0.828 | 91.1 | 47.2 |
| PP08072020_slice_44 | 0.747 | 932.666 | 483.463 | 0.858 | 341.6 | 177.1 | 0.825 | 91.1 | 47.2 |
| PP08072020_slice_45 | 0.743 | 932.159 | 481.906 | 0.856 | 341.5 | 176.5 | 0.823 | 91.1 | 47.1 |
| PP08072020_slice_46 | 0.737 | 932.494 | 483.378 | 0.851 | 341.6 | 177.1 | 0.818 | 91.1 | 47.2 |
| PP08072020_slice_47 | 0.731 | 932.008 | 481.615 | 0.849 | 341.4 | 176.4 | 0.816 | 91.0 | 47.0 |
| PP08072020_slice_48 | 0.733 | 931.760 | 480.523 | 0.849 | 341.3 | 176.0 | 0.816 | 91.0 | 46.9 |
| PP08072020_slice_49 | 0.739 | 932.100 | 481.611 | 0.851 | 341.4 | 176.4 | 0.819 | 91.0 | 47.0 |
| PP08072020_slice_50 | 0.741 | 932.645 | 482.974 | 0.850 | 341.6 | 176.9 | 0.817 | 91.1 | 47.2 |
| PP08072020_slice_51 | 0.749 | 933.026 | 483.185 | 0.853 | 341.8 | 177.0 | 0.820 | 91.1 | 47.2 |
| PP08072020_slice_52 | 0.751 | 932.769 | 483.131 | 0.852 | 341.7 | 177.0 | 0.819 | 91.1 | 47.2 |
| PP08072020_slice_53 | 0.739 | 933.841 | 486.866 | 0.849 | 342.1 | 178.3 | 0.816 | 91.2 | 47.6 |
| PP08072020_slice_54 | 0.728 | 934.874 | 489.794 | 0.841 | 342.4 | 179.4 | 0.808 | 91.3 | 47.8 |
| PP08072020_slice_55 | 0.732 | 934.532 | 488.036 | 0.844 | 342.3 | 178.8 | 0.811 | 91.3 | 47.7 |
| PP08072020_slice_56 | 0.731 | 935.277 | 489.333 | 0.845 | 342.6 | 179.2 | 0.812 | 91.4 | 47.8 |
| PP08072020_slice_57 | 0.724 | 936.153 | 491.719 | 0.843 | 342.9 | 180.1 | 0.809 | 91.4 | 48.0 |
| PP08072020_slice_58 | 0.724 | 935.825 | 490.179 | 0.842 | 342.8 | 179.6 | 0.808 | 91.4 | 47.9 |
| PP08072020_slice_59 | 0.727 | 935.983 | 489.631 | 0.845 | 342.9 | 179.4 | 0.811 | 91.4 | 47.8 |
| PP08072020_slice_60 | 0.721 | 936.893 | 491.882 | 0.837 | 343.2 | 180.2 | 0.803 | 91.5 | 48.0 |
| PP08072020_slice_61 | 0.727 | 935.665 | 488.285 | 0.838 | 342.7 | 178.9 | 0.804 | 91.4 | 47.7 |
| PP08072020_slice_62 | 0.730 | 935.916 | 488.437 | 0.836 | 342.8 | 178.9 | 0.803 | 91.4 | 47.7 |
| PP08072020_slice_63 | 0.739 | 935.407 | 486.602 | 0.841 | 342.6 | 178.2 | 0.808 | 91.4 | 47.5 |
| PP08072020_slice_64 | 0.748 | 935.176 | 485.907 | 0.849 | 342.6 | 178.0 | 0.816 | 91.3 | 47.5 |
| PP08072020_slice_65 | 0.756 | 934.102 | 483.090 | 0.856 | 342.2 | 177.0 | 0.823 | 91.2 | 47.2 |
| PP08072020_slice_66 | 0.766 | 932.719 | 479.431 | 0.862 | 341.7 | 175.6 | 0.830 | 91.1 | 46.8 |
| PP08072020_slice_67 | 0.768 | 932.459 | 478.032 | 0.862 | 341.6 | 175.1 | 0.829 | 91.1 | 46.7 |
| PP08072020_slice_68 | 0.765 | 932.109 | 477.195 | 0.860 | 341.4 | 174.8 | 0.828 | 91.0 | 46.6 |
| PP08072020_slice_69 | 0.764 | 932.092 | 476.831 | 0.858 | 341.4 | 174.7 | 0.826 | 91.0 | 46.6 |
| PP08072020_slice_70 | 0.762 | 932.052 | 476.629 | 0.858 | 341.4 | 174.6 | 0.825 | 91.0 | 46.6 |
| PP08072020_slice_71 | 0.761 | 932.074 | 476.791 | 0.857 | 341.4 | 174.6 | 0.825 | 91.0 | 46.6 |
| PP08072020_slice_72 | 0.760 | 931.964 | 476.697 | 0.858 | 341.4 | 174.6 | 0.825 | 91.0 | 46.6 |
| PP08072020_slice_73 | 0.762 | 931.361 | 474.941 | 0.857 | 341.2 | 174.0 | 0.825 | 91.0 | 46.4 |
| PP08072020_slice_74 | 0.763 | 931.042 | 473.851 | 0.857 | 341.0 | 173.6 | 0.825 | 90.9 | 46.3 |
| PP08072020_slice_75 | 0.768 | 930.557 | 471.448 | 0.857 | 340.9 | 172.7 | 0.826 | 90.9 | 46.1 |
| PP08072020_slice_76 | 0.777 | 930.152 | 469.985 | 0.863 | 340.7 | 172.2 | 0.831 | 90.9 | 45.9 |
| PP08072020_slice_77 | 0.780 | 930.346 | 470.461 | 0.868 | 340.8 | 172.3 | 0.836 | 90.9 | 46.0 |
| PP08072020_slice_78 | 0.782 | 930.697 | 470.799 | 0.873 | 340.9 | 172.5 | 0.841 | 90.9 | 46.0 |
| PP08072020_slice_79 | 0.791 | 930.464 | 468.503 | 0.876 | 340.8 | 171.6 | 0.845 | 90.9 | 45.8 |
| PP08072020_slice_80 | 0.797 | 930.850 | 468.928 | 0.877 | 341.0 | 171.8 | 0.845 | 90.9 | 45.8 |
| PP08072020_slice_81 | 0.796 | 931.135 | 470.960 | 0.877 | 341.1 | 172.5 | 0.845 | 91.0 | 46.0 |
| PP08072020_slice_82 | 0.779 | 935.107 | 480.848 | 0.871 | 342.5 | 176.1 | 0.837 | 91.3 | 47.0 |
| PP08072020_slice_83 | 0.767 | 935.080 | 481.039 | 0.867 | 342.5 | 176.2 | 0.832 | 91.3 | 47.0 |
| PP08072020_slice_84 | 0.757 | 935.450 | 481.743 | 0.863 | 342.7 | 176.5 | 0.829 | 91.4 | 47.1 |
| PP08072020_slice_85 | 0.756 | 936.775 | 484.074 | 0.860 | 343.1 | 177.3 | 0.826 | 91.5 | 47.3 |
| PP08072020_slice_86 | 0.754 | 937.980 | 486.122 | 0.858 | 343.6 | 178.1 | 0.823 | 91.6 | 47.5 |
| PP08072020_slice_87 | 0.751 | 938.384 | 486.657 | 0.856 | 343.7 | 178.3 | 0.821 | 91.7 | 47.5 |
| PP08072020_slice_88 | 0.747 | 938.981 | 487.701 | 0.854 | 343.9 | 178.6 | 0.819 | 91.7 | 47.6 |
| PP08072020_slice_89 | 0.749 | 938.857 | 486.770 | 0.855 | 343.9 | 178.3 | 0.820 | 91.7 | 47.5 |
| PP08072020_slice_90 | 0.754 | 938.131 | 484.685 | 0.860 | 343.6 | 177.5 | 0.825 | 91.6 | 47.3 |
| PP08072020_slice_91 | 0.760 | 938.125 | 484.061 | 0.863 | 343.6 | 177.3 | 0.829 | 91.6 | 47.3 |
| PP08072020_slice_92 | 0.762 | 938.640 | 484.527 | 0.864 | 343.8 | 177.5 | 0.830 | 91.7 | 47.3 |
| PP08072020_slice_93 | 0.758 | 939.762 | 486.992 | 0.861 | 344.2 | 178.4 | 0.827 | 91.8 | 47.6 |
| PP08072020_slice_94 | 0.761 | 938.867 | 484.813 | 0.863 | 343.9 | 177.6 | 0.829 | 91.7 | 47.4 |
| PP08072020_slice_95 | 0.760 | 938.141 | 483.341 | 0.863 | 343.6 | 177.0 | 0.830 | 91.6 | 47.2 |
| PP08072020_slice_96 | 0.759 | 936.716 | 480.205 | 0.865 | 343.1 | 175.9 | 0.832 | 91.5 | 46.9 |
| PP08072020_slice_97 | 0.758 | 935.750 | 478.088 | 0.865 | 342.8 | 175.1 | 0.832 | 91.4 | 46.7 |
| PP08072020_slice_98 | 0.757 | 935.336 | 476.828 | 0.866 | 342.6 | 174.7 | 0.833 | 91.4 | 46.6 |
| PP08072020_slice_99 | 0.761 | 934.927 | 475.768 | 0.866 | 342.5 | 174.3 | 0.834 | 91.3 | 46.5 |
| PP08072020_slice_100 | 0.758 | 935.759 | 477.326 | 0.864 | 342.8 | 174.8 | 0.831 | 91.4 | 46.6 |
| PP08072020_slice_101 | 0.759 | 935.618 | 476.716 | 0.866 | 342.7 | 174.6 | 0.833 | 91.4 | 46.6 |
| PP08072020_slice_102 | 0.762 | 934.677 | 474.297 | 0.870 | 342.4 | 173.7 | 0.838 | 91.3 | 46.3 |
| PP08072020_slice_103 | 0.766 | 933.775 | 472.017 | 0.874 | 342.0 | 172.9 | 0.841 | 91.2 | 46.1 |
| PP08072020_slice_104 | 0.772 | 932.470 | 469.027 | 0.878 | 341.6 | 171.8 | 0.846 | 91.1 | 45.8 |
| PP08072020_slice_105 | 0.781 | 931.911 | 467.121 | 0.885 | 341.4 | 171.1 | 0.853 | 91.0 | 45.6 |
| PP08072020_slice_106 | 0.787 | 932.014 | 467.110 | 0.888 | 341.4 | 171.1 | 0.856 | 91.0 | 45.6 |
| PP08072020_slice_107 | 0.789 | 932.493 | 467.405 | 0.890 | 341.6 | 171.2 | 0.858 | 91.1 | 45.7 |
| PP08072020_slice_108 | 0.793 | 932.391 | 466.448 | 0.892 | 341.5 | 170.9 | 0.860 | 91.1 | 45.6 |
| PP08072020_slice_109 | 0.790 | 932.911 | 467.673 | 0.890 | 341.7 | 171.3 | 0.858 | 91.1 | 45.7 |
| PP08072020_slice_110 | 0.789 | 932.477 | 466.592 | 0.890 | 341.6 | 170.9 | 0.859 | 91.1 | 45.6 |
| PP08072020_slice_111 | 0.787 | 932.064 | 465.654 | 0.890 | 341.4 | 170.6 | 0.858 | 91.0 | 45.5 |
4Γ3 grid: Rows show different image types (Original NATIVE, Reconstructed NATIVE, Original VENOUS, Generated VENOUS), Columns show windowing techniques (No Window, Lung Window, Mediastinum Window)