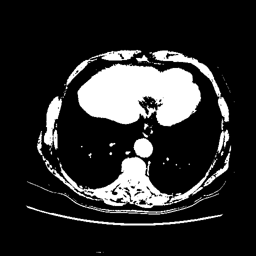
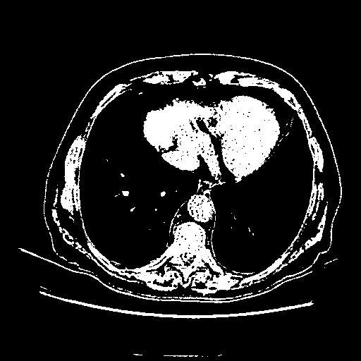
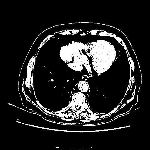
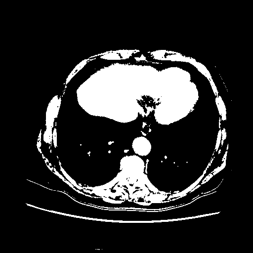
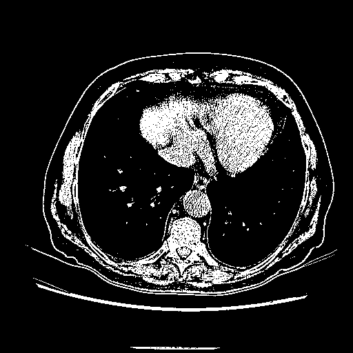
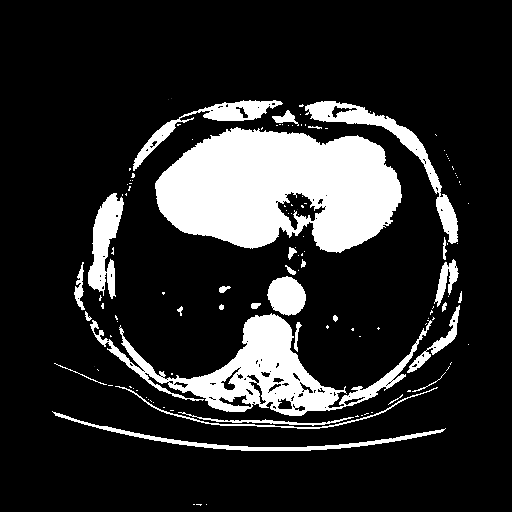
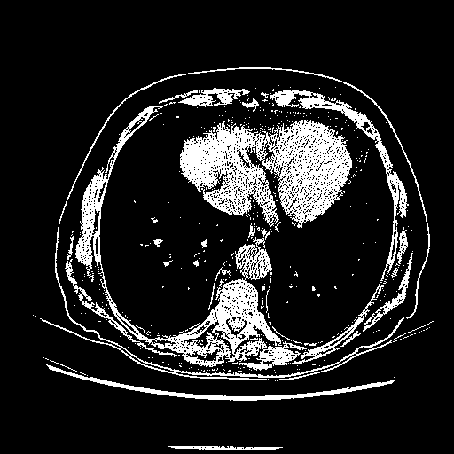
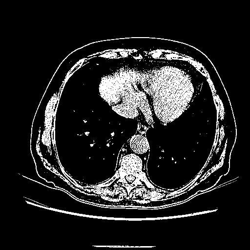
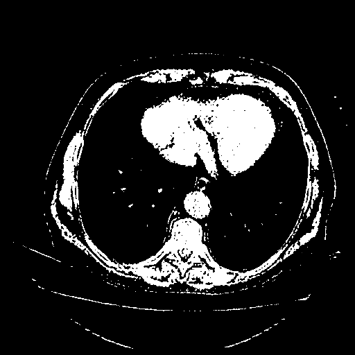
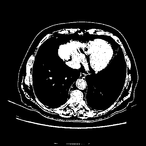
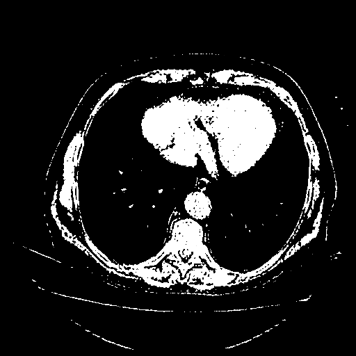
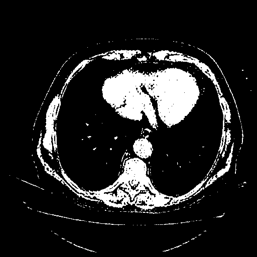
Slice 70 Targeting Evaluation
Patient ID: BC23122020
Model: cytran
Slice: Slice_70
Slice Thickness: 2.5mm
Conversion: NATIVE β VENOUS
Contains all 4 metric datasets: Network-Normalized, Hounsfield Units, Lung Window, and Mediastinum Window
| Slice ID | Full Window SSIM | Full Window RMSE | Full Window MAE | Lung SSIM | Lung RMSE | Lung MAE | Mediastinum SSIM | Mediastinum RMSE | Mediastinum MAE |
|---|---|---|---|---|---|---|---|---|---|
| BC23122020_slice_0 | 0.733 | 938.810 | 484.915 | 0.866 | 343.9 | 177.6 | 0.829 | 91.7 | 47.4 |
| BC23122020_slice_1 | 0.731 | 938.886 | 483.466 | 0.864 | 343.9 | 177.1 | 0.828 | 91.7 | 47.2 |
| BC23122020_slice_2 | 0.748 | 935.679 | 476.973 | 0.871 | 342.7 | 174.7 | 0.836 | 91.4 | 46.6 |
| BC23122020_slice_3 | 0.713 | 947.136 | 493.933 | 0.855 | 346.9 | 180.9 | 0.818 | 92.5 | 48.2 |
| BC23122020_slice_4 | 0.706 | 948.023 | 497.665 | 0.853 | 347.3 | 182.3 | 0.816 | 92.6 | 48.6 |
| BC23122020_slice_5 | 0.719 | 943.620 | 492.524 | 0.860 | 345.6 | 180.4 | 0.824 | 92.2 | 48.1 |
| BC23122020_slice_6 | 0.721 | 943.752 | 492.956 | 0.860 | 345.7 | 180.6 | 0.824 | 92.2 | 48.2 |
| BC23122020_slice_7 | 0.716 | 946.063 | 495.925 | 0.855 | 346.5 | 181.7 | 0.819 | 92.4 | 48.4 |
| BC23122020_slice_8 | 0.723 | 945.900 | 494.590 | 0.855 | 346.5 | 181.2 | 0.819 | 92.4 | 48.3 |
| BC23122020_slice_9 | 0.728 | 944.395 | 492.414 | 0.856 | 345.9 | 180.4 | 0.820 | 92.2 | 48.1 |
| BC23122020_slice_10 | 0.723 | 945.264 | 495.324 | 0.851 | 346.3 | 181.4 | 0.815 | 92.3 | 48.4 |
| BC23122020_slice_11 | 0.713 | 946.663 | 499.280 | 0.844 | 346.8 | 182.9 | 0.808 | 92.5 | 48.8 |
| BC23122020_slice_12 | 0.715 | 947.042 | 500.137 | 0.843 | 346.9 | 183.2 | 0.807 | 92.5 | 48.9 |
| BC23122020_slice_13 | 0.727 | 943.221 | 493.585 | 0.852 | 345.5 | 180.8 | 0.816 | 92.1 | 48.2 |
| BC23122020_slice_14 | 0.731 | 939.176 | 489.421 | 0.855 | 344.0 | 179.3 | 0.819 | 91.7 | 47.8 |
| BC23122020_slice_15 | 0.732 | 941.119 | 492.131 | 0.853 | 344.7 | 180.3 | 0.818 | 91.9 | 48.1 |
| BC23122020_slice_16 | 0.725 | 943.107 | 496.072 | 0.848 | 345.5 | 181.7 | 0.812 | 92.1 | 48.5 |
| BC23122020_slice_17 | 0.713 | 947.692 | 501.835 | 0.842 | 347.1 | 183.8 | 0.805 | 92.6 | 49.0 |
| BC23122020_slice_18 | 0.710 | 947.534 | 502.303 | 0.840 | 347.1 | 184.0 | 0.804 | 92.6 | 49.1 |
| BC23122020_slice_19 | 0.718 | 947.488 | 500.885 | 0.842 | 347.1 | 183.5 | 0.807 | 92.6 | 48.9 |
| BC23122020_slice_20 | 0.721 | 947.766 | 500.885 | 0.841 | 347.2 | 183.5 | 0.806 | 92.6 | 48.9 |
| BC23122020_slice_21 | 0.720 | 947.013 | 500.631 | 0.840 | 346.9 | 183.4 | 0.805 | 92.5 | 48.9 |
| BC23122020_slice_22 | 0.720 | 945.589 | 500.445 | 0.840 | 346.4 | 183.3 | 0.805 | 92.4 | 48.9 |
| BC23122020_slice_23 | 0.717 | 945.833 | 501.759 | 0.837 | 346.5 | 183.8 | 0.802 | 92.4 | 49.0 |
| BC23122020_slice_24 | 0.710 | 945.270 | 503.269 | 0.835 | 346.3 | 184.3 | 0.800 | 92.3 | 49.2 |
| BC23122020_slice_25 | 0.705 | 945.211 | 504.955 | 0.832 | 346.2 | 185.0 | 0.797 | 92.3 | 49.3 |
| BC23122020_slice_26 | 0.708 | 947.139 | 505.323 | 0.830 | 346.9 | 185.1 | 0.795 | 92.5 | 49.4 |
| BC23122020_slice_27 | 0.712 | 947.840 | 505.237 | 0.829 | 347.2 | 185.1 | 0.794 | 92.6 | 49.4 |
| BC23122020_slice_28 | 0.714 | 948.004 | 504.480 | 0.828 | 347.3 | 184.8 | 0.794 | 92.6 | 49.3 |
| BC23122020_slice_29 | 0.706 | 948.232 | 506.568 | 0.822 | 347.3 | 185.6 | 0.787 | 92.6 | 49.5 |
| BC23122020_slice_30 | 0.704 | 947.303 | 506.160 | 0.821 | 347.0 | 185.4 | 0.786 | 92.5 | 49.4 |
| BC23122020_slice_31 | 0.695 | 950.640 | 511.223 | 0.816 | 348.2 | 187.3 | 0.781 | 92.9 | 49.9 |
| BC23122020_slice_32 | 0.691 | 950.967 | 513.515 | 0.815 | 348.3 | 188.1 | 0.780 | 92.9 | 50.2 |
| BC23122020_slice_33 | 0.678 | 952.716 | 517.772 | 0.811 | 349.0 | 189.7 | 0.775 | 93.1 | 50.6 |
| BC23122020_slice_34 | 0.681 | 951.658 | 516.072 | 0.810 | 348.6 | 189.0 | 0.775 | 93.0 | 50.4 |
| BC23122020_slice_35 | 0.688 | 951.294 | 514.664 | 0.812 | 348.5 | 188.5 | 0.777 | 92.9 | 50.3 |
| BC23122020_slice_36 | 0.689 | 949.745 | 514.158 | 0.813 | 347.9 | 188.3 | 0.777 | 92.8 | 50.2 |
| BC23122020_slice_37 | 0.680 | 952.143 | 517.945 | 0.806 | 348.8 | 189.7 | 0.770 | 93.0 | 50.6 |
| BC23122020_slice_38 | 0.673 | 954.214 | 521.577 | 0.801 | 349.5 | 191.1 | 0.765 | 93.2 | 50.9 |
| BC23122020_slice_39 | 0.667 | 953.748 | 523.478 | 0.800 | 349.4 | 191.8 | 0.764 | 93.2 | 51.1 |
| BC23122020_slice_40 | 0.665 | 953.795 | 524.122 | 0.800 | 349.4 | 192.0 | 0.764 | 93.2 | 51.2 |
| BC23122020_slice_41 | 0.661 | 952.784 | 524.185 | 0.801 | 349.0 | 192.0 | 0.764 | 93.1 | 51.2 |
| BC23122020_slice_42 | 0.659 | 953.834 | 524.659 | 0.798 | 349.4 | 192.2 | 0.761 | 93.2 | 51.2 |
| BC23122020_slice_43 | 0.662 | 955.179 | 526.589 | 0.798 | 349.9 | 192.9 | 0.762 | 93.3 | 51.4 |
| BC23122020_slice_44 | 0.669 | 953.575 | 522.690 | 0.804 | 349.3 | 191.5 | 0.768 | 93.1 | 51.1 |
| BC23122020_slice_45 | 0.661 | 956.181 | 525.653 | 0.802 | 350.2 | 192.5 | 0.766 | 93.4 | 51.3 |
| BC23122020_slice_46 | 0.661 | 956.635 | 526.586 | 0.804 | 350.4 | 192.9 | 0.767 | 93.4 | 51.4 |
| BC23122020_slice_47 | 0.657 | 956.383 | 529.400 | 0.802 | 350.3 | 193.9 | 0.764 | 93.4 | 51.7 |
| BC23122020_slice_48 | 0.651 | 955.021 | 528.773 | 0.803 | 349.8 | 193.7 | 0.766 | 93.3 | 51.7 |
| BC23122020_slice_49 | 0.646 | 959.853 | 533.251 | 0.799 | 351.6 | 195.3 | 0.761 | 93.8 | 52.1 |
| BC23122020_slice_50 | 0.642 | 960.914 | 535.404 | 0.795 | 352.0 | 196.1 | 0.758 | 93.9 | 52.3 |
| BC23122020_slice_51 | 0.649 | 963.990 | 538.588 | 0.793 | 353.1 | 197.3 | 0.755 | 94.2 | 52.6 |
| BC23122020_slice_52 | 0.590 | 967.276 | 548.521 | 0.766 | 354.3 | 200.9 | 0.728 | 94.5 | 53.6 |
| BC23122020_slice_53 | 0.641 | 963.720 | 537.633 | 0.790 | 353.0 | 196.9 | 0.752 | 94.1 | 52.5 |
| BC23122020_slice_54 | 0.641 | 965.182 | 537.777 | 0.786 | 353.5 | 197.0 | 0.749 | 94.3 | 52.5 |
| BC23122020_slice_55 | 0.646 | 964.222 | 536.128 | 0.788 | 353.2 | 196.4 | 0.751 | 94.2 | 52.4 |
| BC23122020_slice_56 | 0.656 | 959.552 | 531.453 | 0.794 | 351.5 | 194.7 | 0.757 | 93.7 | 51.9 |
| BC23122020_slice_57 | 0.652 | 959.789 | 533.371 | 0.791 | 351.6 | 195.4 | 0.754 | 93.8 | 52.1 |
| BC23122020_slice_58 | 0.664 | 954.357 | 526.644 | 0.794 | 349.6 | 192.9 | 0.757 | 93.2 | 51.4 |
| BC23122020_slice_59 | 0.664 | 956.385 | 528.229 | 0.796 | 350.3 | 193.5 | 0.759 | 93.4 | 51.6 |
| BC23122020_slice_60 | 0.672 | 955.140 | 525.181 | 0.798 | 349.9 | 192.4 | 0.762 | 93.3 | 51.3 |
| BC23122020_slice_61 | 0.665 | 956.634 | 527.284 | 0.792 | 350.4 | 193.1 | 0.756 | 93.4 | 51.5 |
| BC23122020_slice_62 | 0.661 | 956.101 | 526.889 | 0.786 | 350.2 | 193.0 | 0.750 | 93.4 | 51.5 |
| BC23122020_slice_63 | 0.662 | 955.057 | 524.461 | 0.787 | 349.8 | 192.1 | 0.751 | 93.3 | 51.2 |
| BC23122020_slice_64 | 0.656 | 956.022 | 526.096 | 0.787 | 350.2 | 192.7 | 0.750 | 93.4 | 51.4 |
| BC23122020_slice_65 | 0.633 | 960.213 | 533.680 | 0.779 | 351.7 | 195.5 | 0.742 | 93.8 | 52.1 |
| BC23122020_slice_66 | 0.609 | 962.282 | 539.494 | 0.773 | 352.5 | 197.6 | 0.735 | 94.0 | 52.7 |
| BC23122020_slice_67 | 0.610 | 964.374 | 541.704 | 0.775 | 353.3 | 198.4 | 0.735 | 94.2 | 52.9 |
| BC23122020_slice_68 | 0.646 | 960.743 | 532.299 | 0.791 | 351.9 | 195.0 | 0.752 | 93.8 | 52.0 |
| BC23122020_slice_69 | 0.657 | 958.189 | 526.459 | 0.798 | 351.0 | 192.8 | 0.759 | 93.6 | 51.4 |
| BC23122020_slice_70 | 0.671 | 955.693 | 522.157 | 0.804 | 350.1 | 191.3 | 0.766 | 93.4 | 51.0 |
| BC23122020_slice_71 | 0.678 | 953.901 | 519.997 | 0.808 | 349.4 | 190.5 | 0.770 | 93.2 | 50.8 |
| BC23122020_slice_72 | 0.666 | 953.513 | 521.827 | 0.807 | 349.3 | 191.1 | 0.769 | 93.1 | 51.0 |
| BC23122020_slice_73 | 0.666 | 955.416 | 524.211 | 0.805 | 350.0 | 192.0 | 0.766 | 93.3 | 51.2 |
| BC23122020_slice_74 | 0.668 | 957.181 | 525.908 | 0.805 | 350.6 | 192.6 | 0.766 | 93.5 | 51.4 |
| BC23122020_slice_75 | 0.666 | 958.330 | 527.240 | 0.802 | 351.0 | 193.1 | 0.763 | 93.6 | 51.5 |
| BC23122020_slice_76 | 0.670 | 958.284 | 525.036 | 0.806 | 351.0 | 192.3 | 0.767 | 93.6 | 51.3 |
| BC23122020_slice_77 | 0.677 | 955.574 | 520.641 | 0.811 | 350.0 | 190.7 | 0.773 | 93.3 | 50.9 |
| BC23122020_slice_78 | 0.678 | 956.921 | 521.513 | 0.814 | 350.5 | 191.0 | 0.775 | 93.5 | 50.9 |
| BC23122020_slice_79 | 0.678 | 958.646 | 523.264 | 0.815 | 351.2 | 191.7 | 0.776 | 93.6 | 51.1 |
| BC23122020_slice_80 | 0.679 | 958.247 | 522.497 | 0.815 | 351.0 | 191.4 | 0.777 | 93.6 | 51.0 |
| BC23122020_slice_81 | 0.675 | 958.396 | 522.283 | 0.813 | 351.1 | 191.3 | 0.775 | 93.6 | 51.0 |
| BC23122020_slice_82 | 0.683 | 956.668 | 518.332 | 0.820 | 350.4 | 189.9 | 0.782 | 93.4 | 50.6 |
| BC23122020_slice_83 | 0.682 | 958.876 | 521.909 | 0.816 | 351.2 | 191.2 | 0.777 | 93.7 | 51.0 |
| BC23122020_slice_84 | 0.686 | 956.754 | 518.007 | 0.820 | 350.5 | 189.7 | 0.782 | 93.5 | 50.6 |
| BC23122020_slice_85 | 0.685 | 957.926 | 518.968 | 0.819 | 350.9 | 190.1 | 0.781 | 93.6 | 50.7 |
| BC23122020_slice_86 | 0.685 | 957.865 | 517.823 | 0.818 | 350.9 | 189.7 | 0.781 | 93.6 | 50.6 |
| BC23122020_slice_87 | 0.687 | 956.038 | 514.250 | 0.823 | 350.2 | 188.4 | 0.786 | 93.4 | 50.2 |
| BC23122020_slice_88 | 0.693 | 952.463 | 508.631 | 0.829 | 348.9 | 186.3 | 0.792 | 93.0 | 49.7 |
| BC23122020_slice_89 | 0.687 | 953.009 | 508.589 | 0.827 | 349.1 | 186.3 | 0.791 | 93.1 | 49.7 |
| BC23122020_slice_90 | 0.685 | 953.670 | 508.457 | 0.826 | 349.3 | 186.2 | 0.790 | 93.2 | 49.7 |
| BC23122020_slice_91 | 0.682 | 955.138 | 509.716 | 0.825 | 349.9 | 186.7 | 0.789 | 93.3 | 49.8 |
| BC23122020_slice_92 | 0.684 | 953.691 | 507.547 | 0.828 | 349.3 | 185.9 | 0.792 | 93.2 | 49.6 |
| BC23122020_slice_93 | 0.686 | 952.125 | 505.073 | 0.830 | 348.8 | 185.0 | 0.795 | 93.0 | 49.3 |
| BC23122020_slice_94 | 0.683 | 953.870 | 506.619 | 0.828 | 349.4 | 185.6 | 0.793 | 93.2 | 49.5 |
| BC23122020_slice_95 | 0.670 | 956.280 | 509.667 | 0.825 | 350.3 | 186.7 | 0.789 | 93.4 | 49.8 |
| BC23122020_slice_96 | 0.669 | 954.280 | 506.906 | 0.828 | 349.6 | 185.7 | 0.792 | 93.2 | 49.5 |
| BC23122020_slice_97 | 0.673 | 952.630 | 504.083 | 0.828 | 348.9 | 184.6 | 0.793 | 93.1 | 49.2 |
| BC23122020_slice_98 | 0.672 | 952.656 | 503.106 | 0.828 | 349.0 | 184.3 | 0.793 | 93.1 | 49.1 |
| BC23122020_slice_99 | 0.677 | 950.005 | 499.425 | 0.833 | 348.0 | 182.9 | 0.799 | 92.8 | 48.8 |
| BC23122020_slice_100 | 0.679 | 948.977 | 497.596 | 0.834 | 347.6 | 182.3 | 0.800 | 92.7 | 48.6 |
| BC23122020_slice_101 | 0.676 | 951.085 | 499.538 | 0.832 | 348.4 | 183.0 | 0.798 | 92.9 | 48.8 |
| BC23122020_slice_102 | 0.674 | 951.533 | 499.792 | 0.831 | 348.5 | 183.1 | 0.797 | 92.9 | 48.8 |
| BC23122020_slice_103 | 0.671 | 951.671 | 499.979 | 0.831 | 348.6 | 183.1 | 0.797 | 93.0 | 48.8 |
| BC23122020_slice_104 | 0.676 | 949.896 | 497.332 | 0.835 | 347.9 | 182.2 | 0.802 | 92.8 | 48.6 |
| BC23122020_slice_105 | 0.681 | 950.928 | 497.734 | 0.834 | 348.3 | 182.3 | 0.800 | 92.9 | 48.6 |
| BC23122020_slice_106 | 0.687 | 950.602 | 496.068 | 0.839 | 348.2 | 181.7 | 0.805 | 92.9 | 48.5 |
4Γ3 grid: Rows show different image types (Original NATIVE, Reconstructed NATIVE, Original VENOUS, Generated VENOUS), Columns show windowing techniques (No Window, Lung Window, Mediastinum Window)