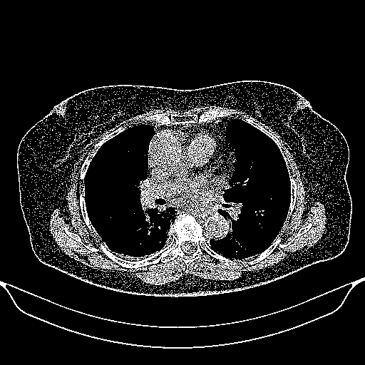
Slice 70 Targeting Evaluation
Patient ID: ME19112020
Model: cytran
Slice: Slice_70
Slice Thickness: 2.5mm
Conversion: NATIVE β VENOUS
Contains all 4 metric datasets: Network-Normalized, Hounsfield Units, Lung Window, and Mediastinum Window
| Slice ID | Full Window SSIM | Full Window RMSE | Full Window MAE | Lung SSIM | Lung RMSE | Lung MAE | Mediastinum SSIM | Mediastinum RMSE | Mediastinum MAE |
|---|---|---|---|---|---|---|---|---|---|
| ME19112020_slice_0 | 0.855 | 102.626 | 41.339 | 0.917 | 37.6 | 15.1 | 0.914 | 10.0 | 4.0 |
| ME19112020_slice_1 | 0.859 | 98.659 | 40.230 | 0.920 | 36.1 | 14.7 | 0.917 | 9.6 | 3.9 |
| ME19112020_slice_2 | 0.859 | 99.133 | 40.627 | 0.921 | 36.3 | 14.9 | 0.918 | 9.7 | 4.0 |
| ME19112020_slice_3 | 0.862 | 102.351 | 41.338 | 0.920 | 37.5 | 15.1 | 0.917 | 10.0 | 4.0 |
| ME19112020_slice_4 | 0.862 | 103.767 | 41.748 | 0.919 | 38.0 | 15.3 | 0.917 | 10.1 | 4.1 |
| ME19112020_slice_5 | 0.866 | 104.350 | 41.226 | 0.920 | 38.2 | 15.1 | 0.918 | 10.2 | 4.0 |
| ME19112020_slice_6 | 0.870 | 103.649 | 40.657 | 0.921 | 38.0 | 14.9 | 0.918 | 10.1 | 4.0 |
| ME19112020_slice_7 | 0.868 | 105.854 | 41.458 | 0.920 | 38.8 | 15.2 | 0.918 | 10.3 | 4.0 |
| ME19112020_slice_8 | 0.867 | 105.137 | 41.514 | 0.920 | 38.5 | 15.2 | 0.918 | 10.3 | 4.1 |
| ME19112020_slice_9 | 0.872 | 102.489 | 40.511 | 0.922 | 37.5 | 14.8 | 0.919 | 10.0 | 4.0 |
| ME19112020_slice_10 | 0.872 | 102.556 | 40.630 | 0.921 | 37.6 | 14.9 | 0.918 | 10.0 | 4.0 |
| ME19112020_slice_11 | 0.869 | 103.002 | 41.335 | 0.920 | 37.7 | 15.1 | 0.917 | 10.1 | 4.0 |
| ME19112020_slice_12 | 0.868 | 103.298 | 41.645 | 0.919 | 37.8 | 15.3 | 0.917 | 10.1 | 4.1 |
| ME19112020_slice_13 | 0.866 | 105.258 | 41.795 | 0.917 | 38.6 | 15.3 | 0.915 | 10.3 | 4.1 |
| ME19112020_slice_14 | 0.867 | 107.053 | 42.322 | 0.914 | 39.2 | 15.5 | 0.912 | 10.5 | 4.1 |
| ME19112020_slice_15 | 0.863 | 109.392 | 43.402 | 0.911 | 40.1 | 15.9 | 0.909 | 10.7 | 4.2 |
| ME19112020_slice_16 | 0.857 | 112.475 | 44.715 | 0.909 | 41.2 | 16.4 | 0.906 | 11.0 | 4.4 |
| ME19112020_slice_17 | 0.859 | 114.721 | 44.821 | 0.908 | 42.0 | 16.4 | 0.906 | 11.2 | 4.4 |
| ME19112020_slice_18 | 0.858 | 115.670 | 45.450 | 0.908 | 42.4 | 16.6 | 0.906 | 11.3 | 4.4 |
| ME19112020_slice_19 | 0.854 | 115.958 | 46.021 | 0.907 | 42.5 | 16.9 | 0.904 | 11.3 | 4.5 |
| ME19112020_slice_20 | 0.856 | 115.519 | 45.551 | 0.907 | 42.3 | 16.7 | 0.905 | 11.3 | 4.4 |
| ME19112020_slice_21 | 0.855 | 115.902 | 45.381 | 0.906 | 42.5 | 16.6 | 0.904 | 11.3 | 4.4 |
| ME19112020_slice_22 | 0.853 | 116.452 | 45.824 | 0.906 | 42.7 | 16.8 | 0.903 | 11.4 | 4.5 |
| ME19112020_slice_23 | 0.850 | 117.528 | 46.783 | 0.905 | 43.1 | 17.1 | 0.902 | 11.5 | 4.6 |
| ME19112020_slice_24 | 0.849 | 118.803 | 47.035 | 0.902 | 43.5 | 17.2 | 0.900 | 11.6 | 4.6 |
| ME19112020_slice_25 | 0.849 | 119.080 | 47.146 | 0.900 | 43.6 | 17.3 | 0.898 | 11.6 | 4.6 |
| ME19112020_slice_26 | 0.848 | 117.911 | 47.048 | 0.899 | 43.2 | 17.2 | 0.897 | 11.5 | 4.6 |
| ME19112020_slice_27 | 0.844 | 121.312 | 48.742 | 0.897 | 44.4 | 17.9 | 0.894 | 11.8 | 4.8 |
| ME19112020_slice_28 | 0.846 | 127.206 | 49.588 | 0.896 | 46.6 | 18.2 | 0.893 | 12.4 | 4.8 |
| ME19112020_slice_29 | 0.848 | 127.702 | 49.629 | 0.894 | 46.8 | 18.2 | 0.892 | 12.5 | 4.8 |
| ME19112020_slice_30 | 0.846 | 127.468 | 49.769 | 0.893 | 46.7 | 18.2 | 0.891 | 12.5 | 4.9 |
| ME19112020_slice_31 | 0.847 | 125.685 | 49.640 | 0.894 | 46.0 | 18.2 | 0.891 | 12.3 | 4.8 |
| ME19112020_slice_32 | 0.846 | 123.236 | 48.966 | 0.894 | 45.1 | 17.9 | 0.892 | 12.0 | 4.8 |
| ME19112020_slice_33 | 0.847 | 119.162 | 48.010 | 0.897 | 43.6 | 17.6 | 0.895 | 11.6 | 4.7 |
| ME19112020_slice_34 | 0.842 | 118.145 | 49.400 | 0.898 | 43.3 | 18.1 | 0.896 | 11.5 | 4.8 |
| ME19112020_slice_35 | 0.840 | 119.869 | 51.258 | 0.898 | 43.9 | 18.8 | 0.896 | 11.7 | 5.0 |
| ME19112020_slice_36 | 0.849 | 116.058 | 47.392 | 0.901 | 42.5 | 17.4 | 0.899 | 11.3 | 4.6 |
| ME19112020_slice_37 | 0.851 | 115.925 | 46.629 | 0.901 | 42.5 | 17.1 | 0.899 | 11.3 | 4.6 |
| ME19112020_slice_38 | 0.852 | 115.539 | 46.548 | 0.902 | 42.3 | 17.1 | 0.900 | 11.3 | 4.5 |
| ME19112020_slice_39 | 0.851 | 116.317 | 47.048 | 0.902 | 42.6 | 17.2 | 0.900 | 11.4 | 4.6 |
| ME19112020_slice_40 | 0.851 | 118.858 | 47.765 | 0.899 | 43.5 | 17.5 | 0.897 | 11.6 | 4.7 |
| ME19112020_slice_41 | 0.852 | 120.727 | 48.368 | 0.897 | 44.2 | 17.7 | 0.895 | 11.8 | 4.7 |
| ME19112020_slice_42 | 0.850 | 123.282 | 49.566 | 0.893 | 45.2 | 18.2 | 0.891 | 12.0 | 4.8 |
| ME19112020_slice_43 | 0.847 | 127.895 | 50.759 | 0.890 | 46.8 | 18.6 | 0.888 | 12.5 | 5.0 |
| ME19112020_slice_44 | 0.842 | 131.199 | 51.759 | 0.887 | 48.1 | 19.0 | 0.885 | 12.8 | 5.1 |
| ME19112020_slice_45 | 0.842 | 132.326 | 51.890 | 0.886 | 48.5 | 19.0 | 0.883 | 12.9 | 5.1 |
| ME19112020_slice_46 | 0.838 | 131.097 | 52.224 | 0.884 | 48.0 | 19.1 | 0.882 | 12.8 | 5.1 |
| ME19112020_slice_47 | 0.836 | 128.792 | 51.924 | 0.885 | 47.2 | 19.0 | 0.883 | 12.6 | 5.1 |
| ME19112020_slice_48 | 0.833 | 126.842 | 51.582 | 0.886 | 46.5 | 18.9 | 0.884 | 12.4 | 5.0 |
| ME19112020_slice_49 | 0.834 | 126.105 | 51.121 | 0.887 | 46.2 | 18.7 | 0.885 | 12.3 | 5.0 |
| ME19112020_slice_50 | 0.832 | 128.454 | 52.037 | 0.885 | 47.1 | 19.1 | 0.883 | 12.5 | 5.1 |
| ME19112020_slice_51 | 0.832 | 130.441 | 52.636 | 0.885 | 47.8 | 19.3 | 0.882 | 12.7 | 5.1 |
| ME19112020_slice_52 | 0.831 | 132.367 | 53.369 | 0.884 | 48.5 | 19.5 | 0.881 | 12.9 | 5.2 |
| ME19112020_slice_53 | 0.831 | 132.647 | 53.778 | 0.883 | 48.6 | 19.7 | 0.881 | 13.0 | 5.3 |
| ME19112020_slice_54 | 0.832 | 133.778 | 54.271 | 0.881 | 49.0 | 19.9 | 0.879 | 13.1 | 5.3 |
| ME19112020_slice_55 | 0.828 | 136.570 | 55.376 | 0.879 | 50.0 | 20.3 | 0.876 | 13.3 | 5.4 |
| ME19112020_slice_56 | 0.826 | 139.873 | 56.584 | 0.876 | 51.2 | 20.7 | 0.874 | 13.7 | 5.5 |
| ME19112020_slice_57 | 0.823 | 141.087 | 57.249 | 0.874 | 51.7 | 21.0 | 0.871 | 13.8 | 5.6 |
| ME19112020_slice_58 | 0.821 | 141.410 | 57.442 | 0.872 | 51.8 | 21.0 | 0.870 | 13.8 | 5.6 |
| ME19112020_slice_59 | 0.820 | 139.913 | 56.950 | 0.874 | 51.3 | 20.9 | 0.871 | 13.7 | 5.6 |
| ME19112020_slice_60 | 0.825 | 137.265 | 55.893 | 0.877 | 50.3 | 20.5 | 0.874 | 13.4 | 5.5 |
| ME19112020_slice_61 | 0.825 | 135.653 | 55.377 | 0.877 | 49.7 | 20.3 | 0.875 | 13.3 | 5.4 |
| ME19112020_slice_62 | 0.825 | 132.761 | 54.388 | 0.881 | 48.6 | 19.9 | 0.879 | 13.0 | 5.3 |
| ME19112020_slice_63 | 0.824 | 130.966 | 53.811 | 0.882 | 48.0 | 19.7 | 0.879 | 12.8 | 5.3 |
| ME19112020_slice_64 | 0.822 | 131.185 | 53.939 | 0.882 | 48.1 | 19.8 | 0.880 | 12.8 | 5.3 |
| ME19112020_slice_65 | 0.823 | 129.828 | 53.603 | 0.885 | 47.6 | 19.6 | 0.883 | 12.7 | 5.2 |
| ME19112020_slice_66 | 0.826 | 128.674 | 52.919 | 0.886 | 47.1 | 19.4 | 0.884 | 12.6 | 5.2 |
| ME19112020_slice_67 | 0.832 | 129.024 | 52.351 | 0.887 | 47.3 | 19.2 | 0.885 | 12.6 | 5.1 |
| ME19112020_slice_68 | 0.832 | 128.784 | 52.121 | 0.887 | 47.2 | 19.1 | 0.885 | 12.6 | 5.1 |
| ME19112020_slice_69 | 0.830 | 129.341 | 52.912 | 0.888 | 47.4 | 19.4 | 0.885 | 12.6 | 5.2 |
| ME19112020_slice_70 | 0.825 | 129.969 | 53.727 | 0.887 | 47.6 | 19.7 | 0.884 | 12.7 | 5.2 |
| ME19112020_slice_71 | 0.825 | 130.554 | 53.501 | 0.888 | 47.8 | 19.6 | 0.886 | 12.8 | 5.2 |
| ME19112020_slice_72 | 0.824 | 131.805 | 54.136 | 0.887 | 48.3 | 19.8 | 0.884 | 12.9 | 5.3 |
| ME19112020_slice_73 | 0.818 | 133.466 | 55.228 | 0.882 | 48.9 | 20.2 | 0.879 | 13.0 | 5.4 |
| ME19112020_slice_74 | 0.813 | 135.734 | 56.378 | 0.880 | 49.7 | 20.7 | 0.877 | 13.3 | 5.5 |
| ME19112020_slice_75 | 0.813 | 137.729 | 57.224 | 0.880 | 50.5 | 21.0 | 0.877 | 13.5 | 5.6 |
| ME19112020_slice_76 | 0.808 | 139.503 | 58.276 | 0.879 | 51.1 | 21.3 | 0.876 | 13.6 | 5.7 |
| ME19112020_slice_77 | 0.809 | 138.174 | 57.931 | 0.880 | 50.6 | 21.2 | 0.877 | 13.5 | 5.7 |
| ME19112020_slice_78 | 0.806 | 135.929 | 57.707 | 0.880 | 49.8 | 21.1 | 0.877 | 13.3 | 5.6 |
| ME19112020_slice_79 | 0.800 | 136.016 | 58.202 | 0.881 | 49.8 | 21.3 | 0.877 | 13.3 | 5.7 |
| ME19112020_slice_80 | 0.808 | 134.864 | 57.490 | 0.881 | 49.4 | 21.1 | 0.878 | 13.2 | 5.6 |
| ME19112020_slice_81 | 0.812 | 135.225 | 57.552 | 0.879 | 49.5 | 21.1 | 0.876 | 13.2 | 5.6 |
| ME19112020_slice_82 | 0.814 | 136.267 | 57.357 | 0.879 | 49.9 | 21.0 | 0.876 | 13.3 | 5.6 |
| ME19112020_slice_83 | 0.821 | 138.626 | 57.470 | 0.881 | 50.8 | 21.1 | 0.878 | 13.5 | 5.6 |
| ME19112020_slice_84 | 0.822 | 137.924 | 57.778 | 0.881 | 50.5 | 21.2 | 0.878 | 13.5 | 5.6 |
| ME19112020_slice_85 | 0.825 | 137.429 | 57.413 | 0.882 | 50.3 | 21.0 | 0.879 | 13.4 | 5.6 |
| ME19112020_slice_86 | 0.828 | 136.780 | 56.991 | 0.883 | 50.1 | 20.9 | 0.880 | 13.4 | 5.6 |
| ME19112020_slice_87 | 0.828 | 136.959 | 57.358 | 0.884 | 50.2 | 21.0 | 0.881 | 13.4 | 5.6 |
| ME19112020_slice_88 | 0.823 | 136.895 | 58.116 | 0.884 | 50.1 | 21.3 | 0.881 | 13.4 | 5.7 |
| ME19112020_slice_89 | 0.820 | 136.867 | 58.097 | 0.883 | 50.1 | 21.3 | 0.880 | 13.4 | 5.7 |
| ME19112020_slice_90 | 0.826 | 134.800 | 56.594 | 0.885 | 49.4 | 20.7 | 0.882 | 13.2 | 5.5 |
| ME19112020_slice_91 | 0.826 | 131.525 | 55.735 | 0.887 | 48.2 | 20.4 | 0.884 | 12.8 | 5.4 |
| ME19112020_slice_92 | 0.823 | 129.610 | 55.497 | 0.888 | 47.5 | 20.3 | 0.885 | 12.7 | 5.4 |
| ME19112020_slice_93 | 0.829 | 128.131 | 54.487 | 0.889 | 46.9 | 20.0 | 0.886 | 12.5 | 5.3 |
| ME19112020_slice_94 | 0.831 | 126.750 | 53.883 | 0.890 | 46.4 | 19.7 | 0.887 | 12.4 | 5.3 |
| ME19112020_slice_95 | 0.831 | 126.577 | 54.473 | 0.893 | 46.4 | 20.0 | 0.889 | 12.4 | 5.3 |
| ME19112020_slice_96 | 0.824 | 133.711 | 57.770 | 0.891 | 49.0 | 21.2 | 0.887 | 13.1 | 5.6 |
| ME19112020_slice_97 | 0.814 | 142.645 | 61.192 | 0.885 | 52.3 | 22.4 | 0.881 | 13.9 | 6.0 |
| ME19112020_slice_98 | 0.813 | 144.961 | 61.876 | 0.885 | 53.1 | 22.7 | 0.881 | 14.2 | 6.0 |
| ME19112020_slice_99 | 0.816 | 145.999 | 61.272 | 0.886 | 53.5 | 22.4 | 0.881 | 14.3 | 6.0 |
| ME19112020_slice_100 | 0.817 | 147.682 | 61.779 | 0.886 | 54.1 | 22.6 | 0.881 | 14.4 | 6.0 |
| ME19112020_slice_101 | 0.808 | 149.469 | 63.948 | 0.885 | 54.8 | 23.4 | 0.880 | 14.6 | 6.2 |
| ME19112020_slice_102 | 0.809 | 150.158 | 63.556 | 0.883 | 55.0 | 23.3 | 0.879 | 14.7 | 6.2 |
| ME19112020_slice_103 | 0.812 | 150.545 | 63.155 | 0.883 | 55.1 | 23.1 | 0.879 | 14.7 | 6.2 |
| ME19112020_slice_104 | 0.811 | 150.731 | 63.519 | 0.886 | 55.2 | 23.3 | 0.882 | 14.7 | 6.2 |
| ME19112020_slice_105 | 0.812 | 150.555 | 64.048 | 0.889 | 55.1 | 23.5 | 0.885 | 14.7 | 6.3 |
| ME19112020_slice_106 | 0.812 | 148.187 | 62.851 | 0.889 | 54.3 | 23.0 | 0.885 | 14.5 | 6.1 |
| ME19112020_slice_107 | 0.820 | 143.128 | 60.282 | 0.893 | 52.4 | 22.1 | 0.889 | 14.0 | 5.9 |
| ME19112020_slice_108 | 0.814 | 142.462 | 60.234 | 0.894 | 52.2 | 22.1 | 0.890 | 13.9 | 5.9 |
| ME19112020_slice_109 | 0.816 | 138.534 | 58.329 | 0.896 | 50.7 | 21.4 | 0.892 | 13.5 | 5.7 |
| ME19112020_slice_110 | 0.820 | 134.000 | 56.460 | 0.899 | 49.1 | 20.7 | 0.895 | 13.1 | 5.5 |
| ME19112020_slice_111 | 0.825 | 130.324 | 54.793 | 0.901 | 47.7 | 20.1 | 0.898 | 12.7 | 5.4 |
| ME19112020_slice_112 | 0.831 | 129.471 | 53.779 | 0.902 | 47.4 | 19.7 | 0.899 | 12.6 | 5.3 |
| ME19112020_slice_113 | 0.831 | 130.533 | 53.909 | 0.901 | 47.8 | 19.7 | 0.898 | 12.8 | 5.3 |
| ME19112020_slice_114 | 0.831 | 129.084 | 53.200 | 0.900 | 47.3 | 19.5 | 0.896 | 12.6 | 5.2 |
| ME19112020_slice_115 | 0.832 | 125.306 | 52.007 | 0.900 | 45.9 | 19.1 | 0.897 | 12.2 | 5.1 |
| ME19112020_slice_116 | 0.836 | 122.196 | 50.670 | 0.901 | 44.8 | 18.6 | 0.898 | 11.9 | 4.9 |
| ME19112020_slice_117 | 0.842 | 118.296 | 49.027 | 0.905 | 43.3 | 18.0 | 0.902 | 11.6 | 4.8 |
| ME19112020_slice_118 | 0.836 | 117.225 | 49.647 | 0.907 | 42.9 | 18.2 | 0.904 | 11.5 | 4.8 |
| ME19112020_slice_119 | 0.842 | 114.001 | 48.368 | 0.910 | 41.8 | 17.7 | 0.907 | 11.1 | 4.7 |
| ME19112020_slice_120 | 0.840 | 111.735 | 48.005 | 0.912 | 40.9 | 17.6 | 0.910 | 10.9 | 4.7 |
| ME19112020_slice_121 | 0.839 | 110.717 | 47.539 | 0.914 | 40.6 | 17.4 | 0.912 | 10.8 | 4.6 |
| ME19112020_slice_122 | 0.848 | 108.687 | 46.712 | 0.917 | 39.8 | 17.1 | 0.914 | 10.6 | 4.6 |
| ME19112020_slice_123 | 0.853 | 106.373 | 45.286 | 0.918 | 39.0 | 16.6 | 0.915 | 10.4 | 4.4 |
| ME19112020_slice_124 | 0.853 | 106.741 | 45.752 | 0.916 | 39.1 | 16.8 | 0.914 | 10.4 | 4.5 |
| ME19112020_slice_125 | 0.854 | 105.120 | 45.019 | 0.917 | 38.5 | 16.5 | 0.914 | 10.3 | 4.4 |
| ME19112020_slice_126 | 0.865 | 101.097 | 43.106 | 0.918 | 37.0 | 15.8 | 0.916 | 9.9 | 4.2 |
| ME19112020_slice_127 | 0.866 | 99.514 | 42.950 | 0.919 | 36.5 | 15.7 | 0.917 | 9.7 | 4.2 |
| ME19112020_slice_128 | 0.866 | 100.214 | 43.223 | 0.919 | 36.7 | 15.8 | 0.916 | 9.8 | 4.2 |
| ME19112020_slice_129 | 0.870 | 99.690 | 42.904 | 0.920 | 36.5 | 15.7 | 0.917 | 9.7 | 4.2 |
| ME19112020_slice_130 | 0.871 | 98.748 | 42.501 | 0.920 | 36.2 | 15.6 | 0.917 | 9.6 | 4.2 |
| ME19112020_slice_131 | 0.868 | 99.362 | 43.219 | 0.919 | 36.4 | 15.8 | 0.916 | 9.7 | 4.2 |
| ME19112020_slice_132 | 0.866 | 99.622 | 43.524 | 0.919 | 36.5 | 15.9 | 0.916 | 9.7 | 4.3 |
| ME19112020_slice_133 | 0.870 | 100.403 | 43.157 | 0.918 | 36.8 | 15.8 | 0.915 | 9.8 | 4.2 |
| ME19112020_slice_134 | 0.865 | 101.674 | 43.691 | 0.918 | 37.2 | 16.0 | 0.915 | 9.9 | 4.3 |
| ME19112020_slice_135 | 0.858 | 102.604 | 44.652 | 0.917 | 37.6 | 16.4 | 0.914 | 10.0 | 4.4 |
| ME19112020_slice_136 | 0.853 | 101.252 | 44.476 | 0.918 | 37.1 | 16.3 | 0.915 | 9.9 | 4.3 |
| ME19112020_slice_137 | 0.857 | 102.789 | 44.391 | 0.920 | 37.7 | 16.3 | 0.917 | 10.0 | 4.3 |
| ME19112020_slice_138 | 0.854 | 107.377 | 45.689 | 0.919 | 39.3 | 16.7 | 0.916 | 10.5 | 4.5 |
| ME19112020_slice_139 | 0.857 | 107.357 | 45.277 | 0.919 | 39.3 | 16.6 | 0.916 | 10.5 | 4.4 |
| ME19112020_slice_140 | 0.854 | 106.785 | 45.211 | 0.918 | 39.1 | 16.6 | 0.916 | 10.4 | 4.4 |
| ME19112020_slice_141 | 0.856 | 106.989 | 44.707 | 0.918 | 39.2 | 16.4 | 0.916 | 10.5 | 4.4 |
| ME19112020_slice_142 | 0.856 | 105.611 | 44.435 | 0.919 | 38.7 | 16.3 | 0.916 | 10.3 | 4.3 |
| ME19112020_slice_143 | 0.857 | 101.828 | 43.723 | 0.920 | 37.3 | 16.0 | 0.917 | 9.9 | 4.3 |
| ME19112020_slice_144 | 0.862 | 98.410 | 42.496 | 0.921 | 36.0 | 15.6 | 0.919 | 9.6 | 4.2 |
| ME19112020_slice_145 | 0.866 | 94.833 | 41.100 | 0.923 | 34.7 | 15.1 | 0.921 | 9.3 | 4.0 |
| ME19112020_slice_146 | 0.868 | 93.212 | 40.240 | 0.925 | 34.1 | 14.7 | 0.923 | 9.1 | 3.9 |
| ME19112020_slice_147 | 0.867 | 94.404 | 40.309 | 0.926 | 34.6 | 14.8 | 0.923 | 9.2 | 3.9 |
| ME19112020_slice_148 | 0.870 | 92.797 | 39.387 | 0.926 | 34.0 | 14.4 | 0.924 | 9.1 | 3.8 |
| ME19112020_slice_149 | 0.866 | 95.638 | 40.025 | 0.923 | 35.0 | 14.7 | 0.921 | 9.3 | 3.9 |
| ME19112020_slice_150 | 0.858 | 98.591 | 40.887 | 0.922 | 36.1 | 15.0 | 0.920 | 9.6 | 4.0 |
| ME19112020_slice_151 | 0.850 | 101.299 | 42.167 | 0.920 | 37.1 | 15.4 | 0.918 | 9.9 | 4.1 |
| ME19112020_slice_152 | 0.840 | 105.346 | 43.662 | 0.916 | 38.6 | 16.0 | 0.914 | 10.3 | 4.3 |
| ME19112020_slice_153 | 0.830 | 109.023 | 44.929 | 0.914 | 39.9 | 16.5 | 0.911 | 10.6 | 4.4 |
| ME19112020_slice_154 | 0.825 | 109.741 | 44.950 | 0.914 | 40.2 | 16.5 | 0.912 | 10.7 | 4.4 |
| ME19112020_slice_155 | 0.826 | 108.429 | 44.554 | 0.916 | 39.7 | 16.3 | 0.914 | 10.6 | 4.4 |
| ME19112020_slice_156 | 0.828 | 109.045 | 44.708 | 0.917 | 39.9 | 16.4 | 0.915 | 10.7 | 4.4 |
| ME19112020_slice_157 | 0.827 | 111.458 | 45.301 | 0.918 | 40.8 | 16.6 | 0.915 | 10.9 | 4.4 |
| ME19112020_slice_158 | 0.828 | 113.332 | 45.750 | 0.917 | 41.5 | 16.8 | 0.914 | 11.1 | 4.5 |
| ME19112020_slice_159 | 0.830 | 112.840 | 45.673 | 0.916 | 41.3 | 16.7 | 0.914 | 11.0 | 4.5 |
| ME19112020_slice_160 | 0.832 | 113.295 | 45.540 | 0.915 | 41.5 | 16.7 | 0.913 | 11.1 | 4.4 |
4Γ3 grid: Rows show different image types (Original NATIVE, Reconstructed NATIVE, Original VENOUS, Generated VENOUS), Columns show windowing techniques (No Window, Lung Window, Mediastinum Window)