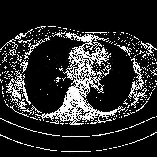
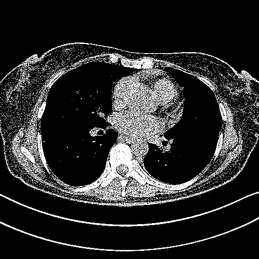
Slice 70 Targeting Evaluation
Patient ID: PN17122020
Model: cytran
Slice: Slice_70
Slice Thickness: 3.0mm
Conversion: NATIVE β VENOUS
Contains all 4 metric datasets: Network-Normalized, Hounsfield Units, Lung Window, and Mediastinum Window
| Slice ID | Full Window SSIM | Full Window RMSE | Full Window MAE | Lung SSIM | Lung RMSE | Lung MAE | Mediastinum SSIM | Mediastinum RMSE | Mediastinum MAE |
|---|---|---|---|---|---|---|---|---|---|
| PN17122020_slice_0 | 0.865 | 102.004 | 42.013 | 0.924 | 37.4 | 15.4 | 0.916 | 10.0 | 4.1 |
| PN17122020_slice_1 | 0.863 | 99.667 | 42.144 | 0.922 | 36.5 | 15.4 | 0.914 | 9.7 | 4.1 |
| PN17122020_slice_2 | 0.862 | 102.639 | 43.606 | 0.923 | 37.6 | 16.0 | 0.914 | 10.0 | 4.3 |
| PN17122020_slice_3 | 0.860 | 105.032 | 44.865 | 0.923 | 38.5 | 16.4 | 0.915 | 10.3 | 4.4 |
| PN17122020_slice_4 | 0.858 | 105.006 | 45.044 | 0.923 | 38.5 | 16.5 | 0.915 | 10.3 | 4.4 |
| PN17122020_slice_5 | 0.860 | 103.957 | 44.613 | 0.925 | 38.1 | 16.3 | 0.917 | 10.2 | 4.4 |
| PN17122020_slice_6 | 0.856 | 107.216 | 46.043 | 0.924 | 39.3 | 16.9 | 0.915 | 10.5 | 4.5 |
| PN17122020_slice_7 | 0.850 | 113.727 | 48.521 | 0.920 | 41.7 | 17.8 | 0.911 | 11.1 | 4.7 |
| PN17122020_slice_8 | 0.843 | 122.066 | 51.373 | 0.914 | 44.7 | 18.8 | 0.906 | 11.9 | 5.0 |
| PN17122020_slice_9 | 0.843 | 124.944 | 52.644 | 0.912 | 45.8 | 19.3 | 0.904 | 12.2 | 5.1 |
| PN17122020_slice_10 | 0.841 | 125.783 | 53.510 | 0.911 | 46.1 | 19.6 | 0.903 | 12.3 | 5.2 |
| PN17122020_slice_11 | 0.843 | 122.541 | 52.501 | 0.912 | 44.9 | 19.2 | 0.905 | 12.0 | 5.1 |
| PN17122020_slice_12 | 0.853 | 116.510 | 49.673 | 0.915 | 42.7 | 18.2 | 0.908 | 11.4 | 4.9 |
| PN17122020_slice_13 | 0.859 | 114.532 | 48.670 | 0.916 | 42.0 | 17.8 | 0.910 | 11.2 | 4.8 |
| PN17122020_slice_14 | 0.868 | 111.078 | 47.557 | 0.919 | 40.7 | 17.4 | 0.913 | 10.9 | 4.6 |
| PN17122020_slice_15 | 0.867 | 111.093 | 48.276 | 0.918 | 40.7 | 17.7 | 0.912 | 10.9 | 4.7 |
| PN17122020_slice_16 | 0.862 | 113.646 | 49.966 | 0.917 | 41.6 | 18.3 | 0.911 | 11.1 | 4.9 |
| PN17122020_slice_17 | 0.863 | 111.380 | 49.051 | 0.919 | 40.8 | 18.0 | 0.913 | 10.9 | 4.8 |
| PN17122020_slice_18 | 0.862 | 107.509 | 48.057 | 0.920 | 39.4 | 17.6 | 0.914 | 10.5 | 4.7 |
| PN17122020_slice_19 | 0.861 | 103.145 | 47.242 | 0.920 | 37.8 | 17.3 | 0.915 | 10.1 | 4.6 |
| PN17122020_slice_20 | 0.866 | 100.393 | 46.236 | 0.923 | 36.8 | 16.9 | 0.918 | 9.8 | 4.5 |
| PN17122020_slice_21 | 0.865 | 102.590 | 47.300 | 0.921 | 37.6 | 17.3 | 0.915 | 10.0 | 4.6 |
| PN17122020_slice_22 | 0.870 | 102.133 | 46.560 | 0.923 | 37.4 | 17.1 | 0.917 | 10.0 | 4.5 |
| PN17122020_slice_23 | 0.877 | 97.894 | 44.717 | 0.926 | 35.9 | 16.4 | 0.921 | 9.6 | 4.4 |
| PN17122020_slice_24 | 0.876 | 96.035 | 44.166 | 0.927 | 35.2 | 16.2 | 0.922 | 9.4 | 4.3 |
| PN17122020_slice_25 | 0.870 | 98.547 | 45.439 | 0.922 | 36.1 | 16.6 | 0.918 | 9.6 | 4.4 |
| PN17122020_slice_26 | 0.868 | 99.031 | 46.501 | 0.922 | 36.3 | 17.0 | 0.917 | 9.7 | 4.5 |
| PN17122020_slice_27 | 0.866 | 98.747 | 46.765 | 0.923 | 36.2 | 17.1 | 0.919 | 9.6 | 4.6 |
| PN17122020_slice_28 | 0.866 | 95.433 | 46.357 | 0.927 | 35.0 | 17.0 | 0.922 | 9.3 | 4.5 |
| PN17122020_slice_29 | 0.867 | 91.361 | 45.623 | 0.929 | 33.5 | 16.7 | 0.925 | 8.9 | 4.5 |
| PN17122020_slice_30 | 0.863 | 94.488 | 46.736 | 0.929 | 34.6 | 17.1 | 0.924 | 9.2 | 4.6 |
| PN17122020_slice_31 | 0.865 | 96.414 | 47.348 | 0.928 | 35.3 | 17.3 | 0.923 | 9.4 | 4.6 |
| PN17122020_slice_32 | 0.870 | 94.447 | 47.222 | 0.929 | 34.6 | 17.3 | 0.924 | 9.2 | 4.6 |
| PN17122020_slice_33 | 0.873 | 93.171 | 46.978 | 0.929 | 34.1 | 17.2 | 0.924 | 9.1 | 4.6 |
| PN17122020_slice_34 | 0.878 | 93.740 | 46.090 | 0.927 | 34.3 | 16.9 | 0.923 | 9.2 | 4.5 |
| PN17122020_slice_35 | 0.877 | 95.047 | 46.449 | 0.926 | 34.8 | 17.0 | 0.922 | 9.3 | 4.5 |
| PN17122020_slice_36 | 0.875 | 93.851 | 46.949 | 0.925 | 34.4 | 17.2 | 0.921 | 9.2 | 4.6 |
| PN17122020_slice_37 | 0.867 | 96.186 | 48.697 | 0.923 | 35.2 | 17.8 | 0.919 | 9.4 | 4.8 |
| PN17122020_slice_38 | 0.864 | 95.691 | 49.183 | 0.925 | 35.1 | 18.0 | 0.921 | 9.3 | 4.8 |
| PN17122020_slice_39 | 0.862 | 92.850 | 48.611 | 0.926 | 34.0 | 17.8 | 0.922 | 9.1 | 4.7 |
| PN17122020_slice_40 | 0.862 | 90.172 | 47.583 | 0.927 | 33.0 | 17.4 | 0.922 | 8.8 | 4.6 |
| PN17122020_slice_41 | 0.862 | 89.766 | 47.317 | 0.928 | 32.9 | 17.3 | 0.924 | 8.8 | 4.6 |
| PN17122020_slice_42 | 0.864 | 94.819 | 48.174 | 0.926 | 34.7 | 17.6 | 0.921 | 9.3 | 4.7 |
| PN17122020_slice_43 | 0.867 | 102.353 | 49.018 | 0.921 | 37.5 | 18.0 | 0.916 | 10.0 | 4.8 |
| PN17122020_slice_44 | 0.871 | 104.776 | 49.172 | 0.917 | 38.4 | 18.0 | 0.912 | 10.2 | 4.8 |
| PN17122020_slice_45 | 0.870 | 105.056 | 49.838 | 0.915 | 38.5 | 18.3 | 0.910 | 10.3 | 4.9 |
| PN17122020_slice_46 | 0.873 | 100.805 | 48.321 | 0.916 | 36.9 | 17.7 | 0.913 | 9.8 | 4.7 |
| PN17122020_slice_47 | 0.872 | 99.262 | 48.542 | 0.916 | 36.4 | 17.8 | 0.912 | 9.7 | 4.7 |
| PN17122020_slice_48 | 0.865 | 102.091 | 50.427 | 0.916 | 37.4 | 18.5 | 0.912 | 10.0 | 4.9 |
| PN17122020_slice_49 | 0.859 | 100.485 | 50.810 | 0.917 | 36.8 | 18.6 | 0.912 | 9.8 | 5.0 |
| PN17122020_slice_50 | 0.861 | 94.797 | 49.297 | 0.923 | 34.7 | 18.1 | 0.919 | 9.3 | 4.8 |
| PN17122020_slice_51 | 0.860 | 93.459 | 49.618 | 0.924 | 34.2 | 18.2 | 0.919 | 9.1 | 4.8 |
| PN17122020_slice_52 | 0.859 | 92.951 | 50.174 | 0.924 | 34.0 | 18.4 | 0.920 | 9.1 | 4.9 |
| PN17122020_slice_53 | 0.858 | 92.218 | 49.774 | 0.926 | 33.8 | 18.2 | 0.922 | 9.0 | 4.9 |
| PN17122020_slice_54 | 0.860 | 93.651 | 49.680 | 0.926 | 34.3 | 18.2 | 0.922 | 9.1 | 4.9 |
| PN17122020_slice_55 | 0.858 | 99.895 | 51.463 | 0.924 | 36.6 | 18.9 | 0.919 | 9.8 | 5.0 |
| PN17122020_slice_56 | 0.859 | 104.299 | 52.232 | 0.921 | 38.2 | 19.1 | 0.916 | 10.2 | 5.1 |
| PN17122020_slice_57 | 0.862 | 101.899 | 51.512 | 0.920 | 37.3 | 18.9 | 0.915 | 10.0 | 5.0 |
| PN17122020_slice_58 | 0.869 | 98.218 | 49.942 | 0.923 | 36.0 | 18.3 | 0.918 | 9.6 | 4.9 |
| PN17122020_slice_59 | 0.870 | 98.004 | 50.160 | 0.922 | 35.9 | 18.4 | 0.917 | 9.6 | 4.9 |
| PN17122020_slice_60 | 0.864 | 99.480 | 50.780 | 0.919 | 36.4 | 18.6 | 0.914 | 9.7 | 5.0 |
| PN17122020_slice_61 | 0.850 | 105.702 | 53.390 | 0.914 | 38.7 | 19.6 | 0.910 | 10.3 | 5.2 |
| PN17122020_slice_62 | 0.840 | 105.355 | 54.495 | 0.912 | 38.6 | 20.0 | 0.908 | 10.3 | 5.3 |
| PN17122020_slice_63 | 0.832 | 106.450 | 55.212 | 0.911 | 39.0 | 20.2 | 0.906 | 10.4 | 5.4 |
| PN17122020_slice_64 | 0.836 | 107.627 | 54.794 | 0.908 | 39.4 | 20.1 | 0.904 | 10.5 | 5.4 |
| PN17122020_slice_65 | 0.825 | 109.217 | 55.365 | 0.908 | 40.0 | 20.3 | 0.904 | 10.7 | 5.4 |
| PN17122020_slice_66 | 0.831 | 111.698 | 55.490 | 0.906 | 40.9 | 20.3 | 0.902 | 10.9 | 5.4 |
| PN17122020_slice_67 | 0.832 | 114.971 | 56.342 | 0.904 | 42.1 | 20.6 | 0.899 | 11.2 | 5.5 |
| PN17122020_slice_68 | 0.828 | 118.475 | 56.852 | 0.904 | 43.4 | 20.8 | 0.900 | 11.6 | 5.6 |
| PN17122020_slice_69 | 0.833 | 117.624 | 56.032 | 0.903 | 43.1 | 20.5 | 0.899 | 11.5 | 5.5 |
| PN17122020_slice_70 | 0.836 | 118.107 | 56.743 | 0.902 | 43.3 | 20.8 | 0.897 | 11.5 | 5.5 |
| PN17122020_slice_71 | 0.833 | 119.281 | 57.757 | 0.900 | 43.7 | 21.2 | 0.895 | 11.7 | 5.6 |
| PN17122020_slice_72 | 0.832 | 120.729 | 58.339 | 0.898 | 44.2 | 21.4 | 0.893 | 11.8 | 5.7 |
| PN17122020_slice_73 | 0.829 | 127.067 | 61.064 | 0.894 | 46.5 | 22.4 | 0.889 | 12.4 | 6.0 |
| PN17122020_slice_74 | 0.827 | 125.747 | 60.772 | 0.892 | 46.1 | 22.3 | 0.888 | 12.3 | 5.9 |
| PN17122020_slice_75 | 0.824 | 126.018 | 60.487 | 0.891 | 46.2 | 22.2 | 0.887 | 12.3 | 5.9 |
| PN17122020_slice_76 | 0.822 | 124.361 | 59.270 | 0.893 | 45.6 | 21.7 | 0.889 | 12.1 | 5.8 |
| PN17122020_slice_77 | 0.825 | 121.862 | 57.679 | 0.897 | 44.6 | 21.1 | 0.892 | 11.9 | 5.6 |
| PN17122020_slice_78 | 0.824 | 123.701 | 58.069 | 0.897 | 45.3 | 21.3 | 0.892 | 12.1 | 5.7 |
| PN17122020_slice_79 | 0.823 | 125.643 | 58.582 | 0.896 | 46.0 | 21.5 | 0.891 | 12.3 | 5.7 |
| PN17122020_slice_80 | 0.822 | 127.075 | 58.582 | 0.894 | 46.5 | 21.5 | 0.890 | 12.4 | 5.7 |
| PN17122020_slice_81 | 0.819 | 130.311 | 60.184 | 0.889 | 47.7 | 22.0 | 0.884 | 12.7 | 5.9 |
| PN17122020_slice_82 | 0.812 | 132.871 | 62.061 | 0.884 | 48.7 | 22.7 | 0.879 | 13.0 | 6.1 |
| PN17122020_slice_83 | 0.808 | 132.662 | 62.291 | 0.883 | 48.6 | 22.8 | 0.878 | 13.0 | 6.1 |
| PN17122020_slice_84 | 0.809 | 133.792 | 62.401 | 0.879 | 49.0 | 22.9 | 0.875 | 13.1 | 6.1 |
| PN17122020_slice_85 | 0.804 | 136.986 | 64.324 | 0.876 | 50.2 | 23.6 | 0.871 | 13.4 | 6.3 |
| PN17122020_slice_86 | 0.809 | 135.169 | 63.332 | 0.881 | 49.5 | 23.2 | 0.876 | 13.2 | 6.2 |
| PN17122020_slice_87 | 0.807 | 134.035 | 63.191 | 0.880 | 49.1 | 23.1 | 0.875 | 13.1 | 6.2 |
| PN17122020_slice_88 | 0.803 | 135.629 | 63.793 | 0.877 | 49.7 | 23.4 | 0.872 | 13.2 | 6.2 |
| PN17122020_slice_89 | 0.797 | 137.185 | 64.364 | 0.873 | 50.3 | 23.6 | 0.868 | 13.4 | 6.3 |
| PN17122020_slice_90 | 0.797 | 138.787 | 65.018 | 0.872 | 50.8 | 23.8 | 0.866 | 13.6 | 6.4 |
| PN17122020_slice_91 | 0.792 | 139.311 | 65.319 | 0.868 | 51.0 | 23.9 | 0.863 | 13.6 | 6.4 |
| PN17122020_slice_92 | 0.790 | 139.891 | 65.044 | 0.867 | 51.2 | 23.8 | 0.862 | 13.7 | 6.4 |
| PN17122020_slice_93 | 0.793 | 139.819 | 64.793 | 0.867 | 51.2 | 23.7 | 0.862 | 13.7 | 6.3 |
| PN17122020_slice_94 | 0.792 | 140.716 | 65.527 | 0.867 | 51.5 | 24.0 | 0.861 | 13.7 | 6.4 |
| PN17122020_slice_95 | 0.796 | 140.906 | 65.107 | 0.871 | 51.6 | 23.8 | 0.865 | 13.8 | 6.4 |
| PN17122020_slice_96 | 0.796 | 142.993 | 65.684 | 0.872 | 52.4 | 24.1 | 0.867 | 14.0 | 6.4 |
| PN17122020_slice_97 | 0.793 | 146.903 | 67.800 | 0.869 | 53.8 | 24.8 | 0.864 | 14.3 | 6.6 |
| PN17122020_slice_98 | 0.797 | 148.517 | 68.100 | 0.872 | 54.4 | 24.9 | 0.866 | 14.5 | 6.7 |
| PN17122020_slice_99 | 0.800 | 148.937 | 67.233 | 0.874 | 54.6 | 24.6 | 0.868 | 14.5 | 6.6 |
| PN17122020_slice_100 | 0.805 | 148.990 | 65.907 | 0.873 | 54.6 | 24.1 | 0.869 | 14.6 | 6.4 |
| PN17122020_slice_101 | 0.806 | 149.085 | 65.333 | 0.874 | 54.6 | 23.9 | 0.870 | 14.6 | 6.4 |
| PN17122020_slice_102 | 0.809 | 149.808 | 64.389 | 0.876 | 54.9 | 23.6 | 0.871 | 14.6 | 6.3 |
| PN17122020_slice_103 | 0.809 | 152.909 | 64.544 | 0.876 | 56.0 | 23.6 | 0.871 | 14.9 | 6.3 |
| PN17122020_slice_104 | 0.812 | 153.994 | 64.480 | 0.876 | 56.4 | 23.6 | 0.871 | 15.0 | 6.3 |
| PN17122020_slice_105 | 0.814 | 154.915 | 64.982 | 0.877 | 56.7 | 23.8 | 0.872 | 15.1 | 6.3 |
| PN17122020_slice_106 | 0.816 | 156.563 | 66.190 | 0.874 | 57.3 | 24.2 | 0.870 | 15.3 | 6.5 |
| PN17122020_slice_107 | 0.819 | 157.580 | 66.900 | 0.875 | 57.7 | 24.5 | 0.870 | 15.4 | 6.5 |
| PN17122020_slice_108 | 0.819 | 161.693 | 68.979 | 0.875 | 59.2 | 25.3 | 0.870 | 15.8 | 6.7 |
| PN17122020_slice_109 | 0.813 | 166.249 | 71.075 | 0.873 | 60.9 | 26.0 | 0.868 | 16.2 | 6.9 |
| PN17122020_slice_110 | 0.808 | 169.869 | 72.197 | 0.873 | 62.2 | 26.4 | 0.867 | 16.6 | 7.1 |
| PN17122020_slice_111 | 0.806 | 172.114 | 71.947 | 0.875 | 63.0 | 26.4 | 0.869 | 16.8 | 7.0 |
| PN17122020_slice_112 | 0.803 | 174.142 | 72.380 | 0.875 | 63.8 | 26.5 | 0.869 | 17.0 | 7.1 |
| PN17122020_slice_113 | 0.804 | 172.683 | 71.027 | 0.877 | 63.3 | 26.0 | 0.871 | 16.9 | 6.9 |
| PN17122020_slice_114 | 0.804 | 170.952 | 69.690 | 0.877 | 62.6 | 25.5 | 0.871 | 16.7 | 6.8 |
| PN17122020_slice_115 | 0.806 | 169.295 | 68.988 | 0.878 | 62.0 | 25.3 | 0.872 | 16.5 | 6.7 |
| PN17122020_slice_116 | 0.809 | 168.522 | 68.815 | 0.879 | 61.7 | 25.2 | 0.873 | 16.5 | 6.7 |
| PN17122020_slice_117 | 0.815 | 167.286 | 68.078 | 0.881 | 61.3 | 24.9 | 0.875 | 16.3 | 6.6 |
| PN17122020_slice_118 | 0.819 | 165.654 | 66.966 | 0.883 | 60.7 | 24.5 | 0.877 | 16.2 | 6.5 |
| PN17122020_slice_119 | 0.822 | 166.374 | 67.161 | 0.883 | 60.9 | 24.6 | 0.878 | 16.3 | 6.6 |
| PN17122020_slice_120 | 0.821 | 167.730 | 67.984 | 0.884 | 61.4 | 24.9 | 0.879 | 16.4 | 6.6 |
| PN17122020_slice_121 | 0.822 | 168.677 | 67.830 | 0.886 | 61.8 | 24.8 | 0.880 | 16.5 | 6.6 |
| PN17122020_slice_122 | 0.823 | 166.649 | 66.095 | 0.887 | 61.0 | 24.2 | 0.883 | 16.3 | 6.5 |
| PN17122020_slice_123 | 0.825 | 162.131 | 63.931 | 0.890 | 59.4 | 23.4 | 0.886 | 15.8 | 6.2 |
| PN17122020_slice_124 | 0.828 | 159.079 | 62.361 | 0.893 | 58.3 | 22.8 | 0.889 | 15.5 | 6.1 |
| PN17122020_slice_125 | 0.830 | 156.608 | 61.089 | 0.897 | 57.4 | 22.4 | 0.892 | 15.3 | 6.0 |
| PN17122020_slice_126 | 0.830 | 156.084 | 60.803 | 0.897 | 57.2 | 22.3 | 0.892 | 15.2 | 5.9 |
| PN17122020_slice_127 | 0.831 | 155.469 | 60.739 | 0.897 | 56.9 | 22.2 | 0.892 | 15.2 | 5.9 |
| PN17122020_slice_128 | 0.834 | 154.142 | 60.786 | 0.898 | 56.5 | 22.3 | 0.893 | 15.1 | 5.9 |
| PN17122020_slice_129 | 0.837 | 151.818 | 60.750 | 0.900 | 55.6 | 22.3 | 0.895 | 14.8 | 5.9 |
| PN17122020_slice_130 | 0.841 | 148.838 | 59.590 | 0.903 | 54.5 | 21.8 | 0.898 | 14.5 | 5.8 |
| PN17122020_slice_131 | 0.847 | 144.815 | 57.388 | 0.906 | 53.0 | 21.0 | 0.902 | 14.1 | 5.6 |
| PN17122020_slice_132 | 0.849 | 139.830 | 55.538 | 0.908 | 51.2 | 20.3 | 0.904 | 13.7 | 5.4 |
| PN17122020_slice_133 | 0.848 | 136.329 | 54.235 | 0.911 | 49.9 | 19.9 | 0.907 | 13.3 | 5.3 |
| PN17122020_slice_134 | 0.846 | 133.812 | 53.787 | 0.913 | 49.0 | 19.7 | 0.908 | 13.1 | 5.3 |
| PN17122020_slice_135 | 0.844 | 133.628 | 53.579 | 0.913 | 48.9 | 19.6 | 0.909 | 13.1 | 5.2 |
| PN17122020_slice_136 | 0.845 | 135.028 | 53.358 | 0.914 | 49.5 | 19.5 | 0.909 | 13.2 | 5.2 |
| PN17122020_slice_137 | 0.849 | 133.005 | 51.537 | 0.916 | 48.7 | 18.9 | 0.912 | 13.0 | 5.0 |
| PN17122020_slice_138 | 0.852 | 128.438 | 49.938 | 0.916 | 47.0 | 18.3 | 0.913 | 12.5 | 4.9 |
| PN17122020_slice_139 | 0.853 | 123.019 | 49.067 | 0.916 | 45.1 | 18.0 | 0.912 | 12.0 | 4.8 |
| PN17122020_slice_140 | 0.857 | 114.341 | 46.652 | 0.920 | 41.9 | 17.1 | 0.916 | 11.2 | 4.6 |
| PN17122020_slice_141 | 0.860 | 108.465 | 45.084 | 0.923 | 39.7 | 16.5 | 0.919 | 10.6 | 4.4 |
| PN17122020_slice_142 | 0.861 | 104.855 | 44.364 | 0.925 | 38.4 | 16.3 | 0.921 | 10.2 | 4.3 |
| PN17122020_slice_143 | 0.860 | 99.121 | 43.374 | 0.927 | 36.3 | 15.9 | 0.923 | 9.7 | 4.2 |
| PN17122020_slice_144 | 0.855 | 95.764 | 43.053 | 0.928 | 35.1 | 15.8 | 0.925 | 9.4 | 4.2 |
| PN17122020_slice_145 | 0.848 | 95.327 | 43.724 | 0.929 | 34.9 | 16.0 | 0.925 | 9.3 | 4.3 |
| PN17122020_slice_146 | 0.849 | 94.739 | 43.282 | 0.930 | 34.7 | 15.9 | 0.926 | 9.3 | 4.2 |
| PN17122020_slice_147 | 0.850 | 95.513 | 43.271 | 0.929 | 35.0 | 15.9 | 0.926 | 9.3 | 4.2 |
| PN17122020_slice_148 | 0.849 | 96.482 | 43.447 | 0.929 | 35.3 | 15.9 | 0.925 | 9.4 | 4.2 |
| PN17122020_slice_149 | 0.849 | 97.199 | 43.511 | 0.930 | 35.6 | 15.9 | 0.926 | 9.5 | 4.3 |
| PN17122020_slice_150 | 0.847 | 98.041 | 44.087 | 0.930 | 35.9 | 16.1 | 0.925 | 9.6 | 4.3 |
| PN17122020_slice_151 | 0.844 | 100.118 | 44.923 | 0.928 | 36.7 | 16.5 | 0.923 | 9.8 | 4.4 |
| PN17122020_slice_152 | 0.848 | 100.196 | 44.696 | 0.928 | 36.7 | 16.4 | 0.924 | 9.8 | 4.4 |
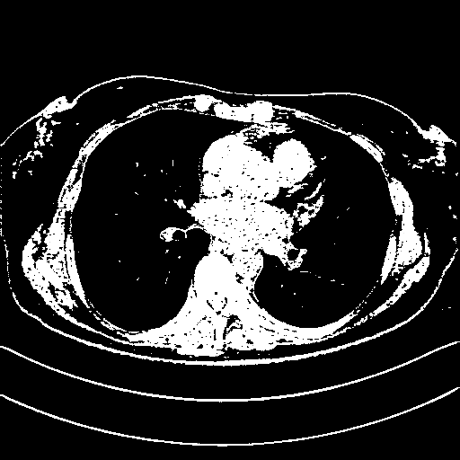
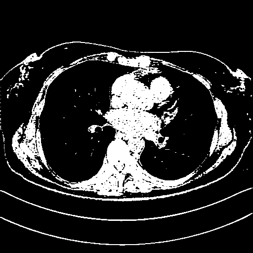
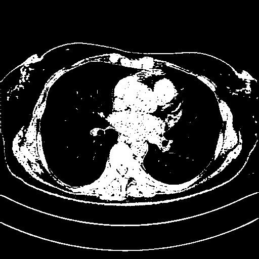
4Γ3 grid: Rows show different image types (Original NATIVE, Reconstructed NATIVE, Original VENOUS, Generated VENOUS), Columns show windowing techniques (No Window, Lung Window, Mediastinum Window)