GAN Medical CT Evaluation Report

Patient: SE04022021

Slice 70 Targeting Evaluation

Patient Information

Patient ID: SE04022021

Model: cytran

Slice: Slice_70

Slice Thickness: 2.5mm

Conversion: NATIVE β†’ VENOUS

πŸ“Š Download Metrics

πŸ“₯ Download CSV Metrics (patient_SE04022021_metrics.csv)

Contains all 4 metric datasets: Network-Normalized, Hounsfield Units, Lung Window, and Mediastinum Window

Native→Venous Translation Metrics (Generated Venous vs Real Venous)

Targeted Slice 70 - Full Window Analysis (Generated vs Real Venous)

0.484
SSIM Score
975.483
RMSE
536.768
MAE

Average Full Window Metrics Across All Slices (88 slices) - Generated vs Real Venous

0.673
SSIM Score (Avg)
949.668
RMSE (Avg)
496.236
MAE (Avg)

Targeted Slice 70 - Lung Window Analysis (Generated vs Real Venous)

0.776
Lung SSIM
357.3
Lung RMSE
196.6
Lung MAE

Average Lung Window Metrics Across All Slices (88 slices) - Generated vs Real Venous

0.836
Lung SSIM (Avg)
347.9
Lung RMSE (Avg)
181.8
Lung MAE (Avg)

Targeted Slice 70 - Mediastinum Window Analysis (Generated vs Real Venous)

0.738
Mediastinum SSIM
95.3
Mediastinum RMSE
52.4
Mediastinum MAE

Average Mediastinum Window Metrics Across All Slices (88 slices) - Generated vs Real Venous

0.801
Mediastinum SSIM (Avg)
92.8
Mediastinum RMSE (Avg)
48.5
Mediastinum MAE (Avg)

Image Grid

4Γ—3 grid: Rows show different image types (Original NATIVE, Reconstructed NATIVE, Original VENOUS, Generated VENOUS), Columns show windowing techniques (No Window, Lung Window, Mediastinum Window)

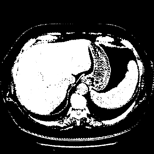
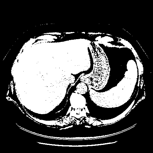
Original NATIVE CT scan (input)
Full window (WL 1023.5, WW 4095 β†’ Low βˆ’1024, High +3071)
Original NATIVE CT scan (input)
Actual HU range: [-1024.0, 3071.0]
Original NATIVE CT scan (input)
Lung window (WL -600, WW 1500 β†’ Low βˆ’1350, High +150)
Original NATIVE CT scan (input)
Actual HU range: [-1350.0, 150.0]
Original NATIVE CT scan (input)
Mediastinum window (WL 40, WW 400 β†’ Low βˆ’160, High +240)
Original NATIVE CT scan (input)
Actual HU range: [-160.0, 240.0]
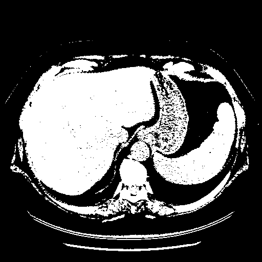
Reconstructed NATIVE CT scan (cycle consistency)
Full window (WL 1023.5, WW 4095 β†’ Low βˆ’1024, High +3071)
Reconstructed NATIVE CT scan (cycle consistency)
Actual HU range: [-1024.0, 3071.0]
Reconstructed NATIVE CT scan (cycle consistency)
Lung window (WL -600, WW 1500 β†’ Low βˆ’1350, High +150)
Reconstructed NATIVE CT scan (cycle consistency)
Actual HU range: [-1350.0, 150.0]
Reconstructed NATIVE CT scan (cycle consistency)
Mediastinum window (WL 40, WW 400 β†’ Low βˆ’160, High +240)
Reconstructed NATIVE CT scan (cycle consistency)
Actual HU range: [-160.0, 240.0]
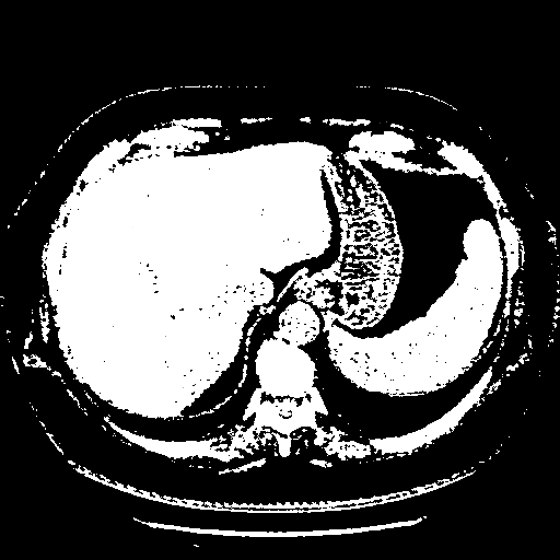
Original VENOUS CT scan
Full window (WL 1023.5, WW 4095 β†’ Low βˆ’1024, High +3071)
Original VENOUS CT scan
Actual HU range: [-1024.0, 3071.0]
Original VENOUS CT scan
Lung window (WL -600, WW 1500 β†’ Low βˆ’1350, High +150)
Original VENOUS CT scan
Actual HU range: [-1350.0, 150.0]
Original VENOUS CT scan
Mediastinum window (WL 40, WW 400 β†’ Low βˆ’160, High +240)
Original VENOUS CT scan
Actual HU range: [-160.0, 240.0]
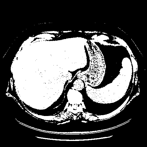
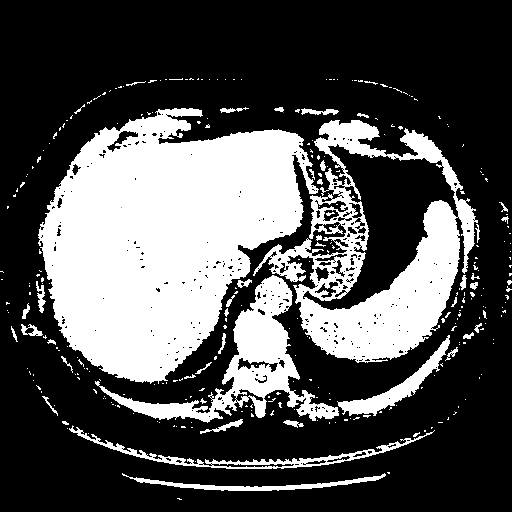
Generated VENOUS CT scan (A→B translation)
Full window (WL 1023.5, WW 4095 β†’ Low βˆ’1024, High +3071)
Generated VENOUS CT scan (A→B translation)
Actual HU range: [-1024.0, 3071.0]
Generated VENOUS CT scan (A→B translation)
Lung window (WL -600, WW 1500 β†’ Low βˆ’1350, High +150)
Generated VENOUS CT scan (A→B translation)
Actual HU range: [-1350.0, 150.0]
Generated VENOUS CT scan (A→B translation)
Mediastinum window (WL 40, WW 400 β†’ Low βˆ’160, High +240)
Generated VENOUS CT scan (A→B translation)
Actual HU range: [-160.0, 240.0]

Windowing Parameters