GAN Medical CT Evaluation Report

Patient: SV03022021

Slice 70 Targeting Evaluation

Patient Information

Patient ID: SV03022021

Model: cytran

Slice: Slice_70

Slice Thickness: 2.5mm

Conversion: NATIVE β†’ VENOUS

πŸ“Š Download Metrics

πŸ“₯ Download CSV Metrics (patient_SV03022021_metrics.csv)

Contains all 4 metric datasets: Network-Normalized, Hounsfield Units, Lung Window, and Mediastinum Window

Native→Venous Translation Metrics (Generated Venous vs Real Venous)

Targeted Slice 70 - Full Window Analysis (Generated vs Real Venous)

0.802
SSIM Score
929.485
RMSE
464.078
MAE

Average Full Window Metrics Across All Slices (99 slices) - Generated vs Real Venous

0.788
SSIM Score (Avg)
933.142
RMSE (Avg)
469.513
MAE (Avg)

Targeted Slice 70 - Lung Window Analysis (Generated vs Real Venous)

0.901
Lung SSIM
340.5
Lung RMSE
170.0
Lung MAE

Average Lung Window Metrics Across All Slices (99 slices) - Generated vs Real Venous

0.897
Lung SSIM (Avg)
341.8
Lung RMSE (Avg)
172.0
Lung MAE (Avg)

Targeted Slice 70 - Mediastinum Window Analysis (Generated vs Real Venous)

0.869
Mediastinum SSIM
90.8
Mediastinum RMSE
45.3
Mediastinum MAE

Average Mediastinum Window Metrics Across All Slices (99 slices) - Generated vs Real Venous

0.865
Mediastinum SSIM (Avg)
91.1
Mediastinum RMSE (Avg)
45.9
Mediastinum MAE (Avg)

Image Grid

4Γ—3 grid: Rows show different image types (Original NATIVE, Reconstructed NATIVE, Original VENOUS, Generated VENOUS), Columns show windowing techniques (No Window, Lung Window, Mediastinum Window)

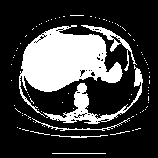
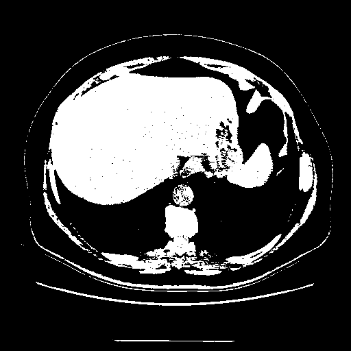
Original NATIVE CT scan (input)
Full window (WL 1023.5, WW 4095 β†’ Low βˆ’1024, High +3071)
Original NATIVE CT scan (input)
Actual HU range: [-1024.0, 3071.0]
Original NATIVE CT scan (input)
Lung window (WL -600, WW 1500 β†’ Low βˆ’1350, High +150)
Original NATIVE CT scan (input)
Actual HU range: [-1350.0, 150.0]
Original NATIVE CT scan (input)
Mediastinum window (WL 40, WW 400 β†’ Low βˆ’160, High +240)
Original NATIVE CT scan (input)
Actual HU range: [-160.0, 240.0]
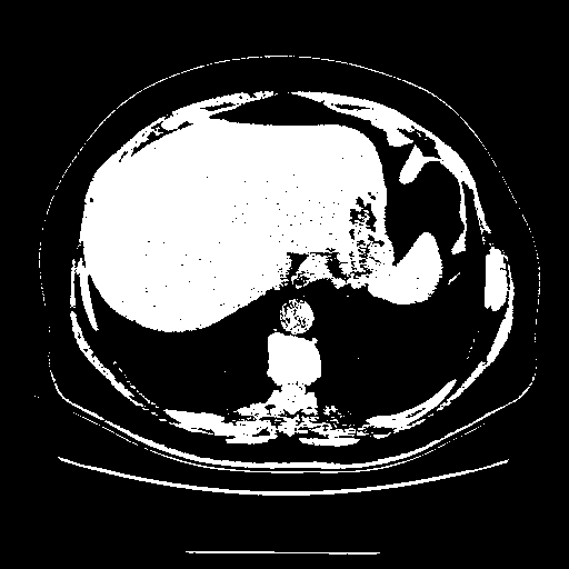
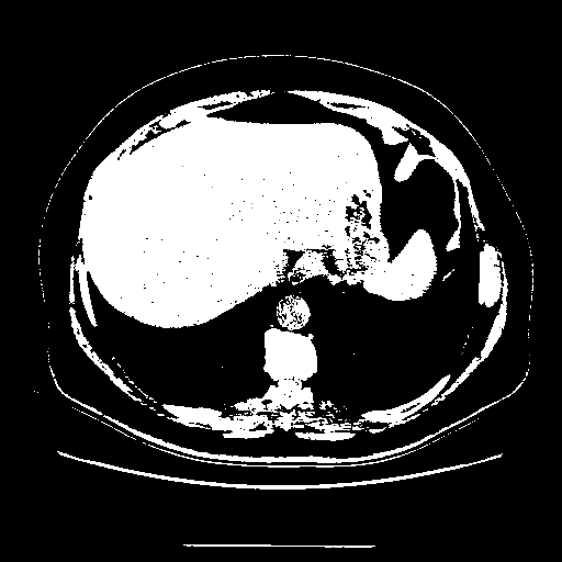
Reconstructed NATIVE CT scan (cycle consistency)
Full window (WL 1023.5, WW 4095 β†’ Low βˆ’1024, High +3071)
Reconstructed NATIVE CT scan (cycle consistency)
Actual HU range: [-1024.0, 3071.0]
Reconstructed NATIVE CT scan (cycle consistency)
Lung window (WL -600, WW 1500 β†’ Low βˆ’1350, High +150)
Reconstructed NATIVE CT scan (cycle consistency)
Actual HU range: [-1350.0, 150.0]
Reconstructed NATIVE CT scan (cycle consistency)
Mediastinum window (WL 40, WW 400 β†’ Low βˆ’160, High +240)
Reconstructed NATIVE CT scan (cycle consistency)
Actual HU range: [-160.0, 240.0]
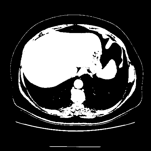
Original VENOUS CT scan
Full window (WL 1023.5, WW 4095 β†’ Low βˆ’1024, High +3071)
Original VENOUS CT scan
Actual HU range: [-1024.0, 3071.0]
Original VENOUS CT scan
Lung window (WL -600, WW 1500 β†’ Low βˆ’1350, High +150)
Original VENOUS CT scan
Actual HU range: [-1350.0, 150.0]
Original VENOUS CT scan
Mediastinum window (WL 40, WW 400 β†’ Low βˆ’160, High +240)
Original VENOUS CT scan
Actual HU range: [-160.0, 240.0]
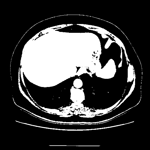
Generated VENOUS CT scan (A→B translation)
Full window (WL 1023.5, WW 4095 β†’ Low βˆ’1024, High +3071)
Generated VENOUS CT scan (A→B translation)
Actual HU range: [-1024.0, 3071.0]
Generated VENOUS CT scan (A→B translation)
Lung window (WL -600, WW 1500 β†’ Low βˆ’1350, High +150)
Generated VENOUS CT scan (A→B translation)
Actual HU range: [-1350.0, 150.0]
Generated VENOUS CT scan (A→B translation)
Mediastinum window (WL 40, WW 400 β†’ Low βˆ’160, High +240)
Generated VENOUS CT scan (A→B translation)
Actual HU range: [-160.0, 240.0]

Windowing Parameters