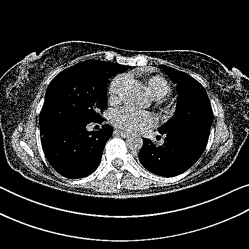
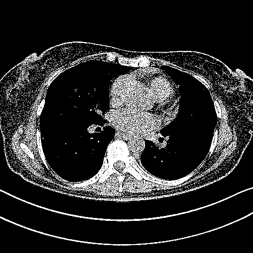
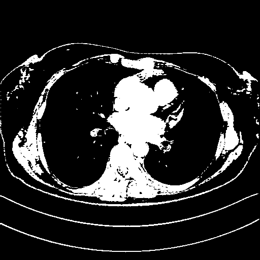
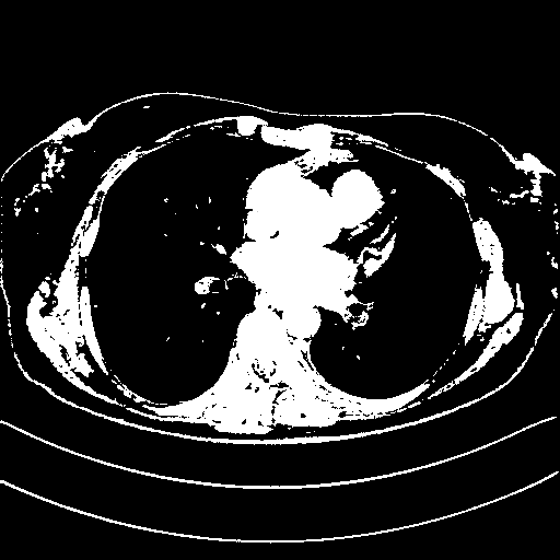
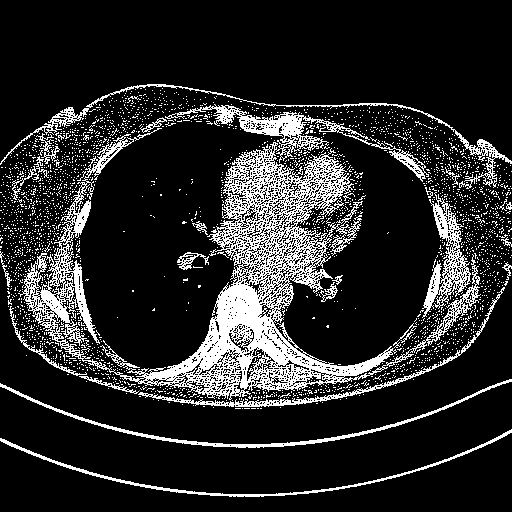
Slice 70 Targeting Evaluation
Patient ID: PN17122020
Model: cytran
Slice: Slice_70
Slice Thickness: 3.0mm
Conversion: NATIVE β VENOUS
Contains all 4 metric datasets: Network-Normalized, Hounsfield Units, Lung Window, and Mediastinum Window
| Slice ID | Full Window SSIM | Full Window RMSE | Full Window MAE | Lung SSIM | Lung RMSE | Lung MAE | Mediastinum SSIM | Mediastinum RMSE | Mediastinum MAE |
|---|---|---|---|---|---|---|---|---|---|
| PN17122020_slice_0 | 0.858 | 105.126 | 44.321 | 0.918 | 38.5 | 16.2 | 0.910 | 10.3 | 4.3 |
| PN17122020_slice_1 | 0.855 | 102.714 | 44.385 | 0.915 | 37.6 | 16.3 | 0.907 | 10.0 | 4.3 |
| PN17122020_slice_2 | 0.851 | 106.598 | 46.864 | 0.914 | 39.0 | 17.2 | 0.905 | 10.4 | 4.6 |
| PN17122020_slice_3 | 0.849 | 107.659 | 47.814 | 0.916 | 39.4 | 17.5 | 0.907 | 10.5 | 4.7 |
| PN17122020_slice_4 | 0.849 | 107.150 | 47.523 | 0.917 | 39.2 | 17.4 | 0.908 | 10.5 | 4.6 |
| PN17122020_slice_5 | 0.849 | 107.923 | 47.861 | 0.918 | 39.5 | 17.5 | 0.909 | 10.5 | 4.7 |
| PN17122020_slice_6 | 0.844 | 110.958 | 49.565 | 0.916 | 40.6 | 18.2 | 0.907 | 10.8 | 4.8 |
| PN17122020_slice_7 | 0.839 | 116.469 | 51.083 | 0.913 | 42.7 | 18.7 | 0.905 | 11.4 | 5.0 |
| PN17122020_slice_8 | 0.830 | 125.103 | 54.519 | 0.906 | 45.8 | 20.0 | 0.898 | 12.2 | 5.3 |
| PN17122020_slice_9 | 0.836 | 127.002 | 53.920 | 0.906 | 46.5 | 19.8 | 0.898 | 12.4 | 5.3 |
| PN17122020_slice_10 | 0.833 | 127.885 | 54.422 | 0.905 | 46.8 | 19.9 | 0.897 | 12.5 | 5.3 |
| PN17122020_slice_11 | 0.831 | 125.602 | 54.873 | 0.904 | 46.0 | 20.1 | 0.897 | 12.3 | 5.4 |
| PN17122020_slice_12 | 0.838 | 120.357 | 53.123 | 0.905 | 44.1 | 19.5 | 0.899 | 11.8 | 5.2 |
| PN17122020_slice_13 | 0.847 | 117.137 | 51.211 | 0.907 | 42.9 | 18.8 | 0.902 | 11.4 | 5.0 |
| PN17122020_slice_14 | 0.856 | 112.890 | 49.645 | 0.911 | 41.4 | 18.2 | 0.906 | 11.0 | 4.8 |
| PN17122020_slice_15 | 0.855 | 113.777 | 50.481 | 0.909 | 41.7 | 18.5 | 0.904 | 11.1 | 4.9 |
| PN17122020_slice_16 | 0.852 | 116.630 | 51.623 | 0.909 | 42.7 | 18.9 | 0.903 | 11.4 | 5.0 |
| PN17122020_slice_17 | 0.853 | 114.584 | 51.393 | 0.909 | 42.0 | 18.8 | 0.903 | 11.2 | 5.0 |
| PN17122020_slice_18 | 0.852 | 111.725 | 50.991 | 0.909 | 40.9 | 18.7 | 0.903 | 10.9 | 5.0 |
| PN17122020_slice_19 | 0.854 | 106.781 | 49.079 | 0.910 | 39.1 | 18.0 | 0.905 | 10.4 | 4.8 |
| PN17122020_slice_20 | 0.860 | 103.089 | 47.122 | 0.914 | 37.8 | 17.3 | 0.909 | 10.1 | 4.6 |
| PN17122020_slice_21 | 0.862 | 102.973 | 46.698 | 0.915 | 37.7 | 17.1 | 0.909 | 10.1 | 4.6 |
| PN17122020_slice_22 | 0.862 | 104.404 | 47.645 | 0.914 | 38.2 | 17.5 | 0.909 | 10.2 | 4.7 |
| PN17122020_slice_23 | 0.870 | 100.376 | 46.167 | 0.917 | 36.8 | 16.9 | 0.912 | 9.8 | 4.5 |
| PN17122020_slice_24 | 0.875 | 96.425 | 44.320 | 0.921 | 35.3 | 16.2 | 0.916 | 9.4 | 4.3 |
| PN17122020_slice_25 | 0.872 | 97.363 | 44.716 | 0.918 | 35.7 | 16.4 | 0.913 | 9.5 | 4.4 |
| PN17122020_slice_26 | 0.865 | 100.043 | 46.771 | 0.914 | 36.6 | 17.1 | 0.910 | 9.8 | 4.6 |
| PN17122020_slice_27 | 0.866 | 100.316 | 46.952 | 0.916 | 36.7 | 17.2 | 0.911 | 9.8 | 4.6 |
| PN17122020_slice_28 | 0.868 | 96.809 | 46.254 | 0.920 | 35.5 | 16.9 | 0.915 | 9.5 | 4.5 |
| PN17122020_slice_29 | 0.874 | 92.862 | 44.923 | 0.923 | 34.0 | 16.5 | 0.919 | 9.1 | 4.4 |
| PN17122020_slice_30 | 0.876 | 94.810 | 45.199 | 0.923 | 34.7 | 16.6 | 0.919 | 9.3 | 4.4 |
| PN17122020_slice_31 | 0.879 | 95.301 | 44.905 | 0.923 | 34.9 | 16.4 | 0.919 | 9.3 | 4.4 |
| PN17122020_slice_32 | 0.882 | 92.500 | 44.458 | 0.926 | 33.9 | 16.3 | 0.922 | 9.0 | 4.3 |
| PN17122020_slice_33 | 0.888 | 89.289 | 43.732 | 0.928 | 32.7 | 16.0 | 0.924 | 8.7 | 4.3 |
| PN17122020_slice_34 | 0.891 | 90.079 | 42.907 | 0.926 | 33.0 | 15.7 | 0.923 | 8.8 | 4.2 |
| PN17122020_slice_35 | 0.893 | 90.554 | 42.836 | 0.926 | 33.2 | 15.7 | 0.923 | 8.8 | 4.2 |
| PN17122020_slice_36 | 0.889 | 91.627 | 44.511 | 0.922 | 33.6 | 16.3 | 0.919 | 9.0 | 4.3 |
| PN17122020_slice_37 | 0.878 | 96.170 | 47.562 | 0.916 | 35.2 | 17.4 | 0.913 | 9.4 | 4.6 |
| PN17122020_slice_38 | 0.873 | 95.703 | 48.908 | 0.917 | 35.1 | 17.9 | 0.913 | 9.3 | 4.8 |
| PN17122020_slice_39 | 0.874 | 92.590 | 47.737 | 0.920 | 33.9 | 17.5 | 0.916 | 9.0 | 4.7 |
| PN17122020_slice_40 | 0.873 | 91.450 | 47.345 | 0.919 | 33.5 | 17.3 | 0.915 | 8.9 | 4.6 |
| PN17122020_slice_41 | 0.881 | 87.295 | 44.609 | 0.925 | 32.0 | 16.3 | 0.922 | 8.5 | 4.4 |
| PN17122020_slice_42 | 0.886 | 89.571 | 43.688 | 0.926 | 32.8 | 16.0 | 0.923 | 8.7 | 4.3 |
| PN17122020_slice_43 | 0.883 | 97.225 | 45.390 | 0.921 | 35.6 | 16.6 | 0.916 | 9.5 | 4.4 |
| PN17122020_slice_44 | 0.885 | 97.910 | 44.678 | 0.919 | 35.9 | 16.4 | 0.915 | 9.6 | 4.4 |
| PN17122020_slice_45 | 0.884 | 98.573 | 45.179 | 0.917 | 36.1 | 16.5 | 0.913 | 9.6 | 4.4 |
| PN17122020_slice_46 | 0.886 | 95.161 | 44.685 | 0.918 | 34.9 | 16.4 | 0.915 | 9.3 | 4.4 |
| PN17122020_slice_47 | 0.884 | 94.527 | 45.671 | 0.917 | 34.6 | 16.7 | 0.914 | 9.2 | 4.5 |
| PN17122020_slice_48 | 0.881 | 97.199 | 46.849 | 0.916 | 35.6 | 17.2 | 0.913 | 9.5 | 4.6 |
| PN17122020_slice_49 | 0.878 | 97.075 | 47.958 | 0.916 | 35.6 | 17.6 | 0.912 | 9.5 | 4.7 |
| PN17122020_slice_50 | 0.876 | 93.833 | 48.007 | 0.918 | 34.4 | 17.6 | 0.915 | 9.2 | 4.7 |
| PN17122020_slice_51 | 0.873 | 93.490 | 48.716 | 0.917 | 34.2 | 17.8 | 0.914 | 9.1 | 4.8 |
| PN17122020_slice_52 | 0.873 | 91.786 | 48.286 | 0.919 | 33.6 | 17.7 | 0.916 | 9.0 | 4.7 |
| PN17122020_slice_53 | 0.878 | 89.163 | 47.033 | 0.923 | 32.7 | 17.2 | 0.920 | 8.7 | 4.6 |
| PN17122020_slice_54 | 0.878 | 90.236 | 47.555 | 0.923 | 33.1 | 17.4 | 0.920 | 8.8 | 4.6 |
| PN17122020_slice_55 | 0.878 | 92.598 | 47.116 | 0.926 | 33.9 | 17.3 | 0.922 | 9.0 | 4.6 |
| PN17122020_slice_56 | 0.878 | 95.620 | 47.098 | 0.924 | 35.0 | 17.3 | 0.920 | 9.3 | 4.6 |
| PN17122020_slice_57 | 0.879 | 95.243 | 47.107 | 0.921 | 34.9 | 17.3 | 0.918 | 9.3 | 4.6 |
| PN17122020_slice_58 | 0.882 | 93.560 | 47.181 | 0.923 | 34.3 | 17.3 | 0.918 | 9.1 | 4.6 |
| PN17122020_slice_59 | 0.884 | 91.639 | 46.360 | 0.925 | 33.6 | 17.0 | 0.921 | 9.0 | 4.5 |
| PN17122020_slice_60 | 0.877 | 96.503 | 48.889 | 0.919 | 35.3 | 17.9 | 0.915 | 9.4 | 4.8 |
| PN17122020_slice_61 | 0.864 | 104.893 | 52.816 | 0.909 | 38.4 | 19.3 | 0.905 | 10.2 | 5.2 |
| PN17122020_slice_62 | 0.862 | 103.510 | 52.392 | 0.909 | 37.9 | 19.2 | 0.906 | 10.1 | 5.1 |
| PN17122020_slice_63 | 0.854 | 104.879 | 53.071 | 0.905 | 38.4 | 19.4 | 0.902 | 10.2 | 5.2 |
| PN17122020_slice_64 | 0.848 | 106.300 | 53.545 | 0.903 | 38.9 | 19.6 | 0.900 | 10.4 | 5.2 |
| PN17122020_slice_65 | 0.850 | 107.086 | 53.345 | 0.902 | 39.2 | 19.5 | 0.900 | 10.5 | 5.2 |
| PN17122020_slice_66 | 0.855 | 107.952 | 52.615 | 0.904 | 39.5 | 19.3 | 0.901 | 10.5 | 5.1 |
| PN17122020_slice_67 | 0.855 | 110.670 | 53.253 | 0.905 | 40.5 | 19.5 | 0.901 | 10.8 | 5.2 |
| PN17122020_slice_68 | 0.854 | 113.008 | 53.452 | 0.906 | 41.4 | 19.6 | 0.902 | 11.0 | 5.2 |
| PN17122020_slice_69 | 0.851 | 113.364 | 54.018 | 0.903 | 41.5 | 19.8 | 0.899 | 11.1 | 5.3 |
| PN17122020_slice_70 | 0.849 | 113.766 | 54.378 | 0.902 | 41.7 | 19.9 | 0.898 | 11.1 | 5.3 |
| PN17122020_slice_71 | 0.848 | 115.446 | 55.738 | 0.898 | 42.3 | 20.4 | 0.894 | 11.3 | 5.4 |
| PN17122020_slice_72 | 0.846 | 118.082 | 57.346 | 0.896 | 43.3 | 21.0 | 0.892 | 11.5 | 5.6 |
| PN17122020_slice_73 | 0.840 | 123.863 | 59.836 | 0.891 | 45.4 | 21.9 | 0.887 | 12.1 | 5.8 |
| PN17122020_slice_74 | 0.835 | 124.586 | 60.583 | 0.886 | 45.6 | 22.2 | 0.883 | 12.2 | 5.9 |
| PN17122020_slice_75 | 0.829 | 126.444 | 61.000 | 0.882 | 46.3 | 22.3 | 0.878 | 12.4 | 6.0 |
| PN17122020_slice_76 | 0.833 | 124.044 | 59.328 | 0.886 | 45.4 | 21.7 | 0.883 | 12.1 | 5.8 |
| PN17122020_slice_77 | 0.834 | 122.389 | 58.561 | 0.887 | 44.8 | 21.5 | 0.884 | 12.0 | 5.7 |
| PN17122020_slice_78 | 0.835 | 123.431 | 58.521 | 0.888 | 45.2 | 21.4 | 0.884 | 12.1 | 5.7 |
| PN17122020_slice_79 | 0.833 | 125.196 | 58.615 | 0.887 | 45.9 | 21.5 | 0.883 | 12.2 | 5.7 |
| PN17122020_slice_80 | 0.835 | 124.458 | 57.483 | 0.889 | 45.6 | 21.1 | 0.886 | 12.2 | 5.6 |
| PN17122020_slice_81 | 0.832 | 126.768 | 58.461 | 0.888 | 46.4 | 21.4 | 0.884 | 12.4 | 5.7 |
| PN17122020_slice_82 | 0.825 | 129.970 | 60.556 | 0.881 | 47.6 | 22.2 | 0.877 | 12.7 | 5.9 |
| PN17122020_slice_83 | 0.826 | 128.972 | 60.251 | 0.882 | 47.2 | 22.1 | 0.878 | 12.6 | 5.9 |
| PN17122020_slice_84 | 0.820 | 132.932 | 62.344 | 0.874 | 48.7 | 22.8 | 0.870 | 13.0 | 6.1 |
| PN17122020_slice_85 | 0.816 | 135.913 | 63.233 | 0.870 | 49.8 | 23.2 | 0.866 | 13.3 | 6.2 |
| PN17122020_slice_86 | 0.819 | 133.131 | 62.207 | 0.874 | 48.8 | 22.8 | 0.870 | 13.0 | 6.1 |
| PN17122020_slice_87 | 0.817 | 133.448 | 63.093 | 0.870 | 48.9 | 23.1 | 0.867 | 13.0 | 6.2 |
| PN17122020_slice_88 | 0.816 | 134.059 | 63.080 | 0.871 | 49.1 | 23.1 | 0.867 | 13.1 | 6.2 |
| PN17122020_slice_89 | 0.814 | 133.982 | 62.360 | 0.871 | 49.1 | 22.8 | 0.867 | 13.1 | 6.1 |
| PN17122020_slice_90 | 0.813 | 134.743 | 62.103 | 0.869 | 49.4 | 22.7 | 0.864 | 13.2 | 6.1 |
| PN17122020_slice_91 | 0.808 | 135.509 | 62.181 | 0.866 | 49.6 | 22.8 | 0.862 | 13.2 | 6.1 |
| PN17122020_slice_92 | 0.808 | 134.613 | 61.120 | 0.868 | 49.3 | 22.4 | 0.864 | 13.1 | 6.0 |
| PN17122020_slice_93 | 0.807 | 135.506 | 62.228 | 0.867 | 49.6 | 22.8 | 0.863 | 13.2 | 6.1 |
| PN17122020_slice_94 | 0.804 | 137.580 | 63.465 | 0.864 | 50.4 | 23.2 | 0.859 | 13.4 | 6.2 |
| PN17122020_slice_95 | 0.808 | 137.849 | 63.449 | 0.867 | 50.5 | 23.2 | 0.863 | 13.5 | 6.2 |
| PN17122020_slice_96 | 0.806 | 140.291 | 64.421 | 0.868 | 51.4 | 23.6 | 0.864 | 13.7 | 6.3 |
| PN17122020_slice_97 | 0.800 | 143.506 | 65.540 | 0.866 | 52.6 | 24.0 | 0.862 | 14.0 | 6.4 |
| PN17122020_slice_98 | 0.804 | 144.725 | 65.799 | 0.868 | 53.0 | 24.1 | 0.864 | 14.1 | 6.4 |
| PN17122020_slice_99 | 0.808 | 145.806 | 65.562 | 0.871 | 53.4 | 24.0 | 0.866 | 14.2 | 6.4 |
| PN17122020_slice_100 | 0.807 | 147.377 | 65.482 | 0.869 | 54.0 | 24.0 | 0.865 | 14.4 | 6.4 |
| PN17122020_slice_101 | 0.808 | 147.865 | 65.207 | 0.869 | 54.2 | 23.9 | 0.865 | 14.4 | 6.4 |
| PN17122020_slice_102 | 0.809 | 148.494 | 64.213 | 0.872 | 54.4 | 23.5 | 0.868 | 14.5 | 6.3 |
| PN17122020_slice_103 | 0.811 | 150.397 | 63.429 | 0.875 | 55.1 | 23.2 | 0.871 | 14.7 | 6.2 |
| PN17122020_slice_104 | 0.807 | 154.110 | 65.658 | 0.870 | 56.5 | 24.1 | 0.866 | 15.1 | 6.4 |
| PN17122020_slice_105 | 0.807 | 154.863 | 66.662 | 0.869 | 56.7 | 24.4 | 0.864 | 15.1 | 6.5 |
| PN17122020_slice_106 | 0.810 | 155.769 | 66.900 | 0.867 | 57.1 | 24.5 | 0.863 | 15.2 | 6.5 |
| PN17122020_slice_107 | 0.815 | 156.156 | 67.189 | 0.870 | 57.2 | 24.6 | 0.866 | 15.3 | 6.6 |
| PN17122020_slice_108 | 0.814 | 160.396 | 69.081 | 0.870 | 58.8 | 25.3 | 0.865 | 15.7 | 6.7 |
| PN17122020_slice_109 | 0.809 | 164.494 | 70.893 | 0.868 | 60.3 | 26.0 | 0.863 | 16.1 | 6.9 |
| PN17122020_slice_110 | 0.808 | 167.137 | 71.300 | 0.870 | 61.2 | 26.1 | 0.865 | 16.3 | 7.0 |
| PN17122020_slice_111 | 0.801 | 171.316 | 73.049 | 0.868 | 62.8 | 26.8 | 0.863 | 16.7 | 7.1 |
| PN17122020_slice_112 | 0.799 | 173.193 | 73.076 | 0.869 | 63.4 | 26.8 | 0.863 | 16.9 | 7.1 |
| PN17122020_slice_113 | 0.801 | 172.811 | 72.166 | 0.871 | 63.3 | 26.4 | 0.865 | 16.9 | 7.0 |
| PN17122020_slice_114 | 0.802 | 170.728 | 70.517 | 0.873 | 62.5 | 25.8 | 0.867 | 16.7 | 6.9 |
| PN17122020_slice_115 | 0.801 | 169.502 | 70.109 | 0.872 | 62.1 | 25.7 | 0.866 | 16.6 | 6.8 |
| PN17122020_slice_116 | 0.801 | 169.015 | 70.892 | 0.870 | 61.9 | 26.0 | 0.865 | 16.5 | 6.9 |
| PN17122020_slice_117 | 0.804 | 167.387 | 71.128 | 0.869 | 61.3 | 26.1 | 0.864 | 16.4 | 6.9 |
| PN17122020_slice_118 | 0.808 | 166.111 | 69.770 | 0.871 | 60.8 | 25.6 | 0.867 | 16.2 | 6.8 |
| PN17122020_slice_119 | 0.812 | 166.636 | 69.510 | 0.873 | 61.0 | 25.5 | 0.868 | 16.3 | 6.8 |
| PN17122020_slice_120 | 0.816 | 167.334 | 69.148 | 0.876 | 61.3 | 25.3 | 0.871 | 16.3 | 6.8 |
| PN17122020_slice_121 | 0.817 | 167.991 | 69.013 | 0.878 | 61.5 | 25.3 | 0.873 | 16.4 | 6.7 |
| PN17122020_slice_122 | 0.820 | 165.781 | 67.639 | 0.880 | 60.7 | 24.8 | 0.875 | 16.2 | 6.6 |
| PN17122020_slice_123 | 0.821 | 162.238 | 66.377 | 0.881 | 59.4 | 24.3 | 0.877 | 15.8 | 6.5 |
| PN17122020_slice_124 | 0.824 | 159.410 | 64.831 | 0.884 | 58.4 | 23.7 | 0.880 | 15.6 | 6.3 |
| PN17122020_slice_125 | 0.823 | 157.685 | 64.481 | 0.885 | 57.8 | 23.6 | 0.880 | 15.4 | 6.3 |
| PN17122020_slice_126 | 0.825 | 155.813 | 62.842 | 0.889 | 57.1 | 23.0 | 0.884 | 15.2 | 6.1 |
| PN17122020_slice_127 | 0.823 | 156.010 | 63.692 | 0.885 | 57.1 | 23.3 | 0.881 | 15.2 | 6.2 |
| PN17122020_slice_128 | 0.825 | 155.779 | 64.478 | 0.885 | 57.1 | 23.6 | 0.880 | 15.2 | 6.3 |
| PN17122020_slice_129 | 0.832 | 152.441 | 62.652 | 0.892 | 55.8 | 22.9 | 0.887 | 14.9 | 6.1 |
| PN17122020_slice_130 | 0.835 | 149.027 | 61.548 | 0.893 | 54.6 | 22.5 | 0.889 | 14.6 | 6.0 |
| PN17122020_slice_131 | 0.837 | 146.520 | 60.463 | 0.893 | 53.7 | 22.1 | 0.890 | 14.3 | 5.9 |
| PN17122020_slice_132 | 0.839 | 141.800 | 59.138 | 0.895 | 51.9 | 21.7 | 0.891 | 13.9 | 5.8 |
| PN17122020_slice_133 | 0.840 | 136.617 | 57.407 | 0.898 | 50.0 | 21.0 | 0.894 | 13.3 | 5.6 |
| PN17122020_slice_134 | 0.840 | 133.870 | 56.910 | 0.900 | 49.0 | 20.8 | 0.896 | 13.1 | 5.6 |
| PN17122020_slice_135 | 0.846 | 132.224 | 55.068 | 0.907 | 48.4 | 20.2 | 0.904 | 12.9 | 5.4 |
| PN17122020_slice_136 | 0.850 | 131.907 | 53.522 | 0.915 | 48.3 | 19.6 | 0.911 | 12.9 | 5.2 |
| PN17122020_slice_137 | 0.854 | 130.550 | 51.659 | 0.916 | 47.8 | 18.9 | 0.912 | 12.8 | 5.0 |
| PN17122020_slice_138 | 0.856 | 126.902 | 50.449 | 0.915 | 46.5 | 18.5 | 0.911 | 12.4 | 4.9 |
| PN17122020_slice_139 | 0.858 | 121.892 | 49.919 | 0.912 | 44.6 | 18.3 | 0.909 | 11.9 | 4.9 |
| PN17122020_slice_140 | 0.859 | 115.331 | 48.929 | 0.913 | 42.2 | 17.9 | 0.910 | 11.3 | 4.8 |
| PN17122020_slice_141 | 0.860 | 110.162 | 47.590 | 0.915 | 40.4 | 17.4 | 0.912 | 10.8 | 4.6 |
| PN17122020_slice_142 | 0.860 | 105.996 | 46.429 | 0.917 | 38.8 | 17.0 | 0.914 | 10.4 | 4.5 |
| PN17122020_slice_143 | 0.858 | 100.922 | 45.223 | 0.920 | 37.0 | 16.6 | 0.917 | 9.9 | 4.4 |
| PN17122020_slice_144 | 0.855 | 97.866 | 44.971 | 0.923 | 35.8 | 16.5 | 0.920 | 9.6 | 4.4 |
| PN17122020_slice_145 | 0.852 | 98.026 | 45.967 | 0.923 | 35.9 | 16.8 | 0.919 | 9.6 | 4.5 |
| PN17122020_slice_146 | 0.854 | 96.211 | 45.155 | 0.926 | 35.2 | 16.5 | 0.923 | 9.4 | 4.4 |
| PN17122020_slice_147 | 0.854 | 95.796 | 44.656 | 0.926 | 35.1 | 16.4 | 0.923 | 9.4 | 4.4 |
| PN17122020_slice_148 | 0.856 | 95.754 | 44.008 | 0.927 | 35.1 | 16.1 | 0.924 | 9.4 | 4.3 |
| PN17122020_slice_149 | 0.855 | 97.861 | 44.865 | 0.926 | 35.8 | 16.4 | 0.922 | 9.6 | 4.4 |
| PN17122020_slice_150 | 0.853 | 98.168 | 44.889 | 0.926 | 36.0 | 16.4 | 0.923 | 9.6 | 4.4 |
| PN17122020_slice_151 | 0.851 | 99.039 | 45.403 | 0.926 | 36.3 | 16.6 | 0.922 | 9.7 | 4.4 |
| PN17122020_slice_152 | 0.854 | 99.661 | 45.420 | 0.924 | 36.5 | 16.6 | 0.921 | 9.7 | 4.4 |
4Γ3 grid: Rows show different image types (Original NATIVE, Reconstructed NATIVE, Original VENOUS, Generated VENOUS), Columns show windowing techniques (No Window, Lung Window, Mediastinum Window)