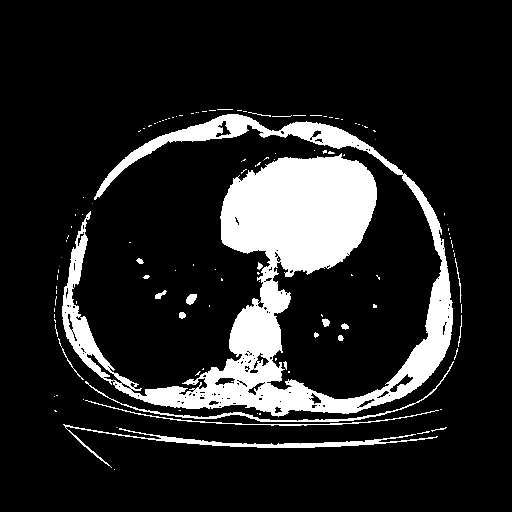
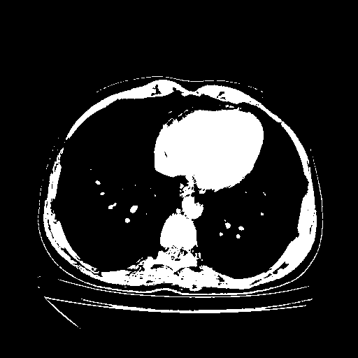
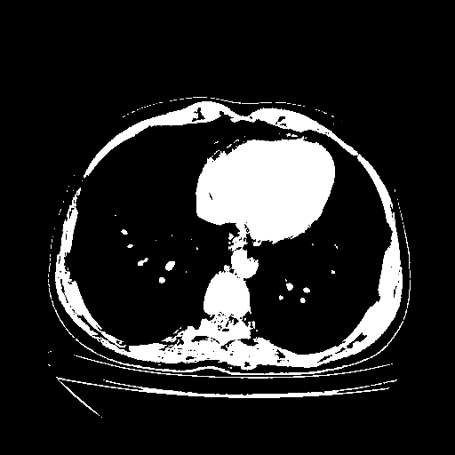
Slice 70 Targeting Evaluation
Patient ID: PP08072020
Model: cytran
Slice: Slice_70
Slice Thickness: 2.5mm
Conversion: NATIVE β VENOUS
Contains all 4 metric datasets: Network-Normalized, Hounsfield Units, Lung Window, and Mediastinum Window
| Slice ID | Full Window SSIM | Full Window RMSE | Full Window MAE | Lung SSIM | Lung RMSE | Lung MAE | Mediastinum SSIM | Mediastinum RMSE | Mediastinum MAE |
|---|---|---|---|---|---|---|---|---|---|
| PP08072020_slice_0 | 0.883 | 87.541 | 35.810 | 0.935 | 32.1 | 13.1 | 0.930 | 8.6 | 3.5 |
| PP08072020_slice_1 | 0.875 | 96.898 | 38.987 | 0.931 | 35.5 | 14.3 | 0.925 | 9.5 | 3.8 |
| PP08072020_slice_2 | 0.859 | 94.996 | 40.099 | 0.930 | 34.8 | 14.7 | 0.924 | 9.3 | 3.9 |
| PP08072020_slice_3 | 0.846 | 99.451 | 41.668 | 0.931 | 36.4 | 15.3 | 0.925 | 9.7 | 4.1 |
| PP08072020_slice_4 | 0.851 | 112.007 | 44.181 | 0.928 | 41.0 | 16.2 | 0.921 | 10.9 | 4.3 |
| PP08072020_slice_5 | 0.859 | 105.291 | 42.550 | 0.931 | 38.6 | 15.6 | 0.924 | 10.3 | 4.2 |
| PP08072020_slice_6 | 0.879 | 91.970 | 37.200 | 0.933 | 33.7 | 13.6 | 0.929 | 9.0 | 3.6 |
| PP08072020_slice_7 | 0.888 | 91.015 | 35.455 | 0.934 | 33.3 | 13.0 | 0.930 | 8.9 | 3.5 |
| PP08072020_slice_8 | 0.888 | 90.956 | 34.986 | 0.937 | 33.3 | 12.8 | 0.934 | 8.9 | 3.4 |
| PP08072020_slice_9 | 0.884 | 86.315 | 34.787 | 0.940 | 31.6 | 12.7 | 0.936 | 8.4 | 3.4 |
| PP08072020_slice_10 | 0.883 | 81.553 | 34.613 | 0.942 | 29.9 | 12.7 | 0.939 | 8.0 | 3.4 |
| PP08072020_slice_11 | 0.890 | 82.059 | 34.408 | 0.941 | 30.1 | 12.6 | 0.938 | 8.0 | 3.4 |
| PP08072020_slice_12 | 0.887 | 83.450 | 34.800 | 0.941 | 30.6 | 12.7 | 0.937 | 8.2 | 3.4 |
| PP08072020_slice_13 | 0.894 | 85.340 | 34.444 | 0.938 | 31.3 | 12.6 | 0.935 | 8.3 | 3.4 |
| PP08072020_slice_14 | 0.903 | 86.749 | 34.292 | 0.936 | 31.8 | 12.6 | 0.933 | 8.5 | 3.3 |
| PP08072020_slice_15 | 0.900 | 86.698 | 34.523 | 0.937 | 31.8 | 12.6 | 0.934 | 8.5 | 3.4 |
| PP08072020_slice_16 | 0.899 | 86.171 | 34.877 | 0.936 | 31.6 | 12.8 | 0.933 | 8.4 | 3.4 |
| PP08072020_slice_17 | 0.898 | 85.828 | 35.100 | 0.934 | 31.4 | 12.9 | 0.931 | 8.4 | 3.4 |
| PP08072020_slice_18 | 0.896 | 88.247 | 35.633 | 0.932 | 32.3 | 13.1 | 0.929 | 8.6 | 3.5 |
| PP08072020_slice_19 | 0.889 | 91.824 | 36.689 | 0.928 | 33.6 | 13.4 | 0.925 | 9.0 | 3.6 |
| PP08072020_slice_20 | 0.884 | 94.088 | 37.446 | 0.924 | 34.5 | 13.7 | 0.922 | 9.2 | 3.7 |
| PP08072020_slice_21 | 0.891 | 92.711 | 36.844 | 0.926 | 34.0 | 13.5 | 0.924 | 9.1 | 3.6 |
| PP08072020_slice_22 | 0.890 | 91.059 | 37.105 | 0.928 | 33.4 | 13.6 | 0.926 | 8.9 | 3.6 |
| PP08072020_slice_23 | 0.894 | 88.811 | 36.436 | 0.933 | 32.5 | 13.3 | 0.931 | 8.7 | 3.6 |
| PP08072020_slice_24 | 0.895 | 87.792 | 36.549 | 0.934 | 32.2 | 13.4 | 0.932 | 8.6 | 3.6 |
| PP08072020_slice_25 | 0.895 | 88.906 | 37.512 | 0.932 | 32.6 | 13.7 | 0.930 | 8.7 | 3.7 |
| PP08072020_slice_26 | 0.893 | 93.263 | 38.389 | 0.929 | 34.2 | 14.1 | 0.926 | 9.1 | 3.7 |
| PP08072020_slice_27 | 0.892 | 95.880 | 38.885 | 0.927 | 35.1 | 14.2 | 0.925 | 9.4 | 3.8 |
| PP08072020_slice_28 | 0.892 | 95.661 | 38.773 | 0.926 | 35.0 | 14.2 | 0.923 | 9.3 | 3.8 |
| PP08072020_slice_29 | 0.889 | 92.363 | 38.315 | 0.927 | 33.8 | 14.0 | 0.925 | 9.0 | 3.7 |
| PP08072020_slice_30 | 0.882 | 89.347 | 38.646 | 0.928 | 32.7 | 14.2 | 0.925 | 8.7 | 3.8 |
| PP08072020_slice_31 | 0.883 | 87.252 | 38.247 | 0.930 | 32.0 | 14.0 | 0.927 | 8.5 | 3.7 |
| PP08072020_slice_32 | 0.884 | 88.198 | 38.517 | 0.928 | 32.3 | 14.1 | 0.926 | 8.6 | 3.8 |
| PP08072020_slice_33 | 0.874 | 93.640 | 40.623 | 0.922 | 34.3 | 14.9 | 0.920 | 9.1 | 4.0 |
| PP08072020_slice_34 | 0.876 | 99.622 | 42.094 | 0.918 | 36.5 | 15.4 | 0.915 | 9.7 | 4.1 |
| PP08072020_slice_35 | 0.878 | 101.007 | 41.640 | 0.913 | 37.0 | 15.3 | 0.911 | 9.9 | 4.1 |
| PP08072020_slice_36 | 0.878 | 98.961 | 41.051 | 0.915 | 36.2 | 15.0 | 0.913 | 9.7 | 4.0 |
| PP08072020_slice_37 | 0.877 | 101.451 | 42.015 | 0.915 | 37.2 | 15.4 | 0.913 | 9.9 | 4.1 |
| PP08072020_slice_38 | 0.878 | 102.237 | 42.403 | 0.915 | 37.4 | 15.5 | 0.913 | 10.0 | 4.1 |
| PP08072020_slice_39 | 0.878 | 99.319 | 42.038 | 0.918 | 36.4 | 15.4 | 0.916 | 9.7 | 4.1 |
| PP08072020_slice_40 | 0.875 | 98.444 | 41.251 | 0.918 | 36.1 | 15.1 | 0.915 | 9.6 | 4.0 |
| PP08072020_slice_41 | 0.884 | 96.200 | 38.971 | 0.921 | 35.2 | 14.3 | 0.919 | 9.4 | 3.8 |
| PP08072020_slice_42 | 0.882 | 94.139 | 38.923 | 0.924 | 34.5 | 14.3 | 0.922 | 9.2 | 3.8 |
| PP08072020_slice_43 | 0.880 | 95.081 | 39.823 | 0.925 | 34.8 | 14.6 | 0.922 | 9.3 | 3.9 |
| PP08072020_slice_44 | 0.877 | 95.876 | 40.583 | 0.922 | 35.1 | 14.9 | 0.919 | 9.4 | 4.0 |
| PP08072020_slice_45 | 0.872 | 97.653 | 41.394 | 0.917 | 35.8 | 15.2 | 0.915 | 9.5 | 4.0 |
| PP08072020_slice_46 | 0.865 | 102.918 | 43.423 | 0.912 | 37.7 | 15.9 | 0.910 | 10.1 | 4.2 |
| PP08072020_slice_47 | 0.850 | 108.687 | 46.241 | 0.905 | 39.8 | 16.9 | 0.902 | 10.6 | 4.5 |
| PP08072020_slice_48 | 0.846 | 110.299 | 47.411 | 0.902 | 40.4 | 17.4 | 0.899 | 10.8 | 4.6 |
| PP08072020_slice_49 | 0.851 | 109.572 | 46.951 | 0.905 | 40.1 | 17.2 | 0.902 | 10.7 | 4.6 |
| PP08072020_slice_50 | 0.852 | 111.283 | 47.513 | 0.905 | 40.8 | 17.4 | 0.902 | 10.9 | 4.6 |
| PP08072020_slice_51 | 0.861 | 119.292 | 49.346 | 0.908 | 43.7 | 18.1 | 0.905 | 11.7 | 4.8 |
| PP08072020_slice_52 | 0.866 | 109.485 | 46.278 | 0.907 | 40.1 | 17.0 | 0.905 | 10.7 | 4.5 |
| PP08072020_slice_53 | 0.860 | 109.647 | 46.539 | 0.908 | 40.2 | 17.0 | 0.905 | 10.7 | 4.5 |
| PP08072020_slice_54 | 0.850 | 112.775 | 48.005 | 0.901 | 41.3 | 17.6 | 0.899 | 11.0 | 4.7 |
| PP08072020_slice_55 | 0.853 | 111.073 | 47.238 | 0.903 | 40.7 | 17.3 | 0.901 | 10.8 | 4.6 |
| PP08072020_slice_56 | 0.856 | 108.242 | 46.139 | 0.907 | 39.6 | 16.9 | 0.904 | 10.6 | 4.5 |
| PP08072020_slice_57 | 0.852 | 107.739 | 46.132 | 0.904 | 39.5 | 16.9 | 0.901 | 10.5 | 4.5 |
| PP08072020_slice_58 | 0.844 | 109.023 | 47.900 | 0.898 | 39.9 | 17.5 | 0.895 | 10.6 | 4.7 |
| PP08072020_slice_59 | 0.850 | 108.340 | 46.686 | 0.903 | 39.7 | 17.1 | 0.900 | 10.6 | 4.6 |
| PP08072020_slice_60 | 0.848 | 113.082 | 48.017 | 0.900 | 41.4 | 17.6 | 0.896 | 11.0 | 4.7 |
| PP08072020_slice_61 | 0.847 | 117.886 | 48.589 | 0.896 | 43.2 | 17.8 | 0.893 | 11.5 | 4.7 |
| PP08072020_slice_62 | 0.852 | 118.237 | 47.493 | 0.896 | 43.3 | 17.4 | 0.893 | 11.5 | 4.6 |
| PP08072020_slice_63 | 0.862 | 114.370 | 45.364 | 0.900 | 41.9 | 16.6 | 0.897 | 11.2 | 4.4 |
| PP08072020_slice_64 | 0.874 | 106.899 | 42.641 | 0.909 | 39.2 | 15.6 | 0.907 | 10.4 | 4.2 |
| PP08072020_slice_65 | 0.882 | 99.971 | 40.646 | 0.915 | 36.6 | 14.9 | 0.914 | 9.8 | 4.0 |
| PP08072020_slice_66 | 0.887 | 95.658 | 39.547 | 0.919 | 35.0 | 14.5 | 0.917 | 9.3 | 3.9 |
| PP08072020_slice_67 | 0.890 | 95.566 | 38.640 | 0.919 | 35.0 | 14.2 | 0.918 | 9.3 | 3.8 |
| PP08072020_slice_68 | 0.881 | 98.946 | 39.949 | 0.914 | 36.2 | 14.6 | 0.912 | 9.7 | 3.9 |
| PP08072020_slice_69 | 0.877 | 102.214 | 41.170 | 0.912 | 37.4 | 15.1 | 0.910 | 10.0 | 4.0 |
| PP08072020_slice_70 | 0.874 | 102.876 | 41.440 | 0.912 | 37.7 | 15.2 | 0.909 | 10.0 | 4.0 |
| PP08072020_slice_71 | 0.875 | 104.408 | 41.452 | 0.910 | 38.2 | 15.2 | 0.908 | 10.2 | 4.0 |
| PP08072020_slice_72 | 0.877 | 104.253 | 41.517 | 0.912 | 38.2 | 15.2 | 0.909 | 10.2 | 4.1 |
| PP08072020_slice_73 | 0.875 | 106.250 | 41.996 | 0.909 | 38.9 | 15.4 | 0.907 | 10.4 | 4.1 |
| PP08072020_slice_74 | 0.875 | 104.826 | 41.929 | 0.909 | 38.4 | 15.4 | 0.907 | 10.2 | 4.1 |
| PP08072020_slice_75 | 0.880 | 101.647 | 40.318 | 0.911 | 37.2 | 14.8 | 0.909 | 9.9 | 3.9 |
| PP08072020_slice_76 | 0.885 | 98.395 | 39.329 | 0.916 | 36.0 | 14.4 | 0.914 | 9.6 | 3.8 |
| PP08072020_slice_77 | 0.883 | 95.671 | 39.346 | 0.920 | 35.0 | 14.4 | 0.918 | 9.3 | 3.8 |
| PP08072020_slice_78 | 0.876 | 91.652 | 39.980 | 0.924 | 33.6 | 14.6 | 0.922 | 9.0 | 3.9 |
| PP08072020_slice_79 | 0.886 | 85.594 | 37.404 | 0.929 | 31.4 | 13.7 | 0.926 | 8.4 | 3.7 |
| PP08072020_slice_80 | 0.902 | 80.945 | 34.399 | 0.932 | 29.7 | 12.6 | 0.930 | 7.9 | 3.4 |
| PP08072020_slice_81 | 0.903 | 91.543 | 37.421 | 0.930 | 33.5 | 13.7 | 0.928 | 8.9 | 3.7 |
| PP08072020_slice_82 | 0.887 | 129.889 | 48.021 | 0.924 | 47.6 | 17.6 | 0.920 | 12.7 | 4.7 |
| PP08072020_slice_83 | 0.839 | 142.180 | 57.082 | 0.918 | 52.1 | 20.9 | 0.913 | 13.9 | 5.6 |
| PP08072020_slice_84 | 0.864 | 135.695 | 50.325 | 0.916 | 49.7 | 18.4 | 0.912 | 13.3 | 4.9 |
| PP08072020_slice_85 | 0.864 | 136.976 | 50.716 | 0.915 | 50.2 | 18.6 | 0.911 | 13.4 | 5.0 |
| PP08072020_slice_86 | 0.861 | 143.463 | 52.852 | 0.912 | 52.6 | 19.4 | 0.907 | 14.0 | 5.2 |
| PP08072020_slice_87 | 0.851 | 151.977 | 56.613 | 0.906 | 55.7 | 20.7 | 0.901 | 14.8 | 5.5 |
| PP08072020_slice_88 | 0.845 | 155.689 | 58.688 | 0.904 | 57.0 | 21.5 | 0.899 | 15.2 | 5.7 |
| PP08072020_slice_89 | 0.848 | 155.435 | 58.120 | 0.906 | 56.9 | 21.3 | 0.901 | 15.2 | 5.7 |
| PP08072020_slice_90 | 0.853 | 150.510 | 56.157 | 0.911 | 55.1 | 20.6 | 0.905 | 14.7 | 5.5 |
| PP08072020_slice_91 | 0.850 | 147.924 | 56.627 | 0.914 | 54.2 | 20.7 | 0.909 | 14.4 | 5.5 |
| PP08072020_slice_92 | 0.862 | 147.640 | 54.370 | 0.917 | 54.1 | 19.9 | 0.912 | 14.4 | 5.3 |
| PP08072020_slice_93 | 0.862 | 149.457 | 54.767 | 0.916 | 54.7 | 20.1 | 0.911 | 14.6 | 5.3 |
| PP08072020_slice_94 | 0.869 | 146.068 | 51.852 | 0.918 | 53.5 | 19.0 | 0.914 | 14.3 | 5.1 |
| PP08072020_slice_95 | 0.870 | 140.866 | 49.291 | 0.918 | 51.6 | 18.1 | 0.915 | 13.8 | 4.8 |
| PP08072020_slice_96 | 0.864 | 136.108 | 49.055 | 0.917 | 49.9 | 18.0 | 0.914 | 13.3 | 4.8 |
| PP08072020_slice_97 | 0.863 | 129.815 | 47.331 | 0.917 | 47.6 | 17.3 | 0.914 | 12.7 | 4.6 |
| PP08072020_slice_98 | 0.865 | 121.171 | 44.546 | 0.920 | 44.4 | 16.3 | 0.917 | 11.8 | 4.4 |
| PP08072020_slice_99 | 0.872 | 118.482 | 42.554 | 0.921 | 43.4 | 15.6 | 0.918 | 11.6 | 4.2 |
| PP08072020_slice_100 | 0.870 | 118.222 | 43.101 | 0.920 | 43.3 | 15.8 | 0.917 | 11.5 | 4.2 |
| PP08072020_slice_101 | 0.865 | 117.108 | 43.905 | 0.921 | 42.9 | 16.1 | 0.918 | 11.4 | 4.3 |
| PP08072020_slice_102 | 0.870 | 111.120 | 41.140 | 0.925 | 40.7 | 15.1 | 0.922 | 10.9 | 4.0 |
| PP08072020_slice_103 | 0.872 | 106.259 | 40.271 | 0.927 | 38.9 | 14.8 | 0.925 | 10.4 | 3.9 |
| PP08072020_slice_104 | 0.881 | 96.313 | 36.524 | 0.932 | 35.3 | 13.4 | 0.930 | 9.4 | 3.6 |
| PP08072020_slice_105 | 0.893 | 85.222 | 32.939 | 0.940 | 31.2 | 12.1 | 0.938 | 8.3 | 3.2 |
| PP08072020_slice_106 | 0.903 | 78.153 | 30.755 | 0.945 | 28.6 | 11.3 | 0.943 | 7.6 | 3.0 |
| PP08072020_slice_107 | 0.908 | 76.579 | 29.500 | 0.948 | 28.1 | 10.8 | 0.947 | 7.5 | 2.9 |
| PP08072020_slice_108 | 0.906 | 78.255 | 30.234 | 0.948 | 28.7 | 11.1 | 0.947 | 7.6 | 3.0 |
| PP08072020_slice_109 | 0.902 | 83.757 | 31.308 | 0.946 | 30.7 | 11.5 | 0.945 | 8.2 | 3.1 |
| PP08072020_slice_110 | 0.901 | 85.194 | 31.388 | 0.945 | 31.2 | 11.5 | 0.943 | 8.3 | 3.1 |
| PP08072020_slice_111 | 0.900 | 84.987 | 31.373 | 0.944 | 31.1 | 11.5 | 0.942 | 8.3 | 3.1 |
4Γ3 grid: Rows show different image types (Original NATIVE, Reconstructed NATIVE, Original VENOUS, Generated VENOUS), Columns show windowing techniques (No Window, Lung Window, Mediastinum Window)