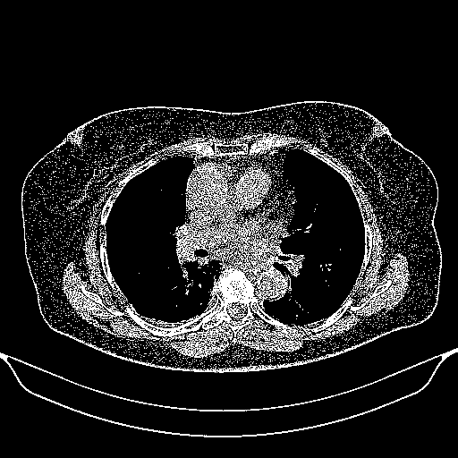
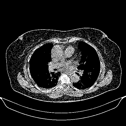
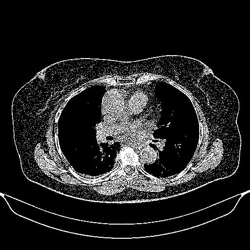
Slice 70 Targeting Evaluation
Patient ID: ME19112020
Model: cytran
Slice: Slice_70
Slice Thickness: 2.5mm
Conversion: NATIVE β VENOUS
Contains all 4 metric datasets: Network-Normalized, Hounsfield Units, Lung Window, and Mediastinum Window
| Slice ID | Full Window SSIM | Full Window RMSE | Full Window MAE | Lung SSIM | Lung RMSE | Lung MAE | Mediastinum SSIM | Mediastinum RMSE | Mediastinum MAE |
|---|---|---|---|---|---|---|---|---|---|
| ME19112020_slice_0 | 0.840 | 108.101 | 45.039 | 0.905 | 39.6 | 16.5 | 0.903 | 10.6 | 4.4 |
| ME19112020_slice_1 | 0.841 | 104.841 | 44.222 | 0.908 | 38.4 | 16.2 | 0.905 | 10.2 | 4.3 |
| ME19112020_slice_2 | 0.841 | 104.571 | 44.314 | 0.909 | 38.3 | 16.2 | 0.906 | 10.2 | 4.3 |
| ME19112020_slice_3 | 0.846 | 107.234 | 44.749 | 0.908 | 39.3 | 16.4 | 0.905 | 10.5 | 4.4 |
| ME19112020_slice_4 | 0.846 | 110.345 | 45.729 | 0.905 | 40.4 | 16.8 | 0.903 | 10.8 | 4.5 |
| ME19112020_slice_5 | 0.852 | 110.408 | 44.714 | 0.908 | 40.4 | 16.4 | 0.906 | 10.8 | 4.4 |
| ME19112020_slice_6 | 0.851 | 110.209 | 44.842 | 0.908 | 40.4 | 16.4 | 0.905 | 10.8 | 4.4 |
| ME19112020_slice_7 | 0.851 | 111.705 | 45.301 | 0.907 | 40.9 | 16.6 | 0.905 | 10.9 | 4.4 |
| ME19112020_slice_8 | 0.848 | 111.742 | 45.873 | 0.905 | 40.9 | 16.8 | 0.903 | 10.9 | 4.5 |
| ME19112020_slice_9 | 0.857 | 108.641 | 44.276 | 0.909 | 39.8 | 16.2 | 0.907 | 10.6 | 4.3 |
| ME19112020_slice_10 | 0.854 | 109.346 | 44.882 | 0.907 | 40.1 | 16.4 | 0.905 | 10.7 | 4.4 |
| ME19112020_slice_11 | 0.850 | 109.881 | 45.741 | 0.906 | 40.2 | 16.8 | 0.903 | 10.7 | 4.5 |
| ME19112020_slice_12 | 0.861 | 107.174 | 43.618 | 0.910 | 39.3 | 16.0 | 0.908 | 10.5 | 4.3 |
| ME19112020_slice_13 | 0.854 | 110.530 | 44.962 | 0.904 | 40.5 | 16.5 | 0.903 | 10.8 | 4.4 |
| ME19112020_slice_14 | 0.851 | 112.911 | 46.138 | 0.900 | 41.4 | 16.9 | 0.898 | 11.0 | 4.5 |
| ME19112020_slice_15 | 0.848 | 114.508 | 47.026 | 0.898 | 41.9 | 17.2 | 0.896 | 11.2 | 4.6 |
| ME19112020_slice_16 | 0.839 | 118.580 | 49.002 | 0.894 | 43.4 | 17.9 | 0.892 | 11.6 | 4.8 |
| ME19112020_slice_17 | 0.843 | 120.204 | 48.600 | 0.894 | 44.0 | 17.8 | 0.892 | 11.7 | 4.7 |
| ME19112020_slice_18 | 0.839 | 121.828 | 49.565 | 0.892 | 44.6 | 18.2 | 0.890 | 11.9 | 4.8 |
| ME19112020_slice_19 | 0.836 | 123.075 | 50.634 | 0.891 | 45.1 | 18.5 | 0.889 | 12.0 | 4.9 |
| ME19112020_slice_20 | 0.838 | 122.115 | 49.976 | 0.893 | 44.7 | 18.3 | 0.891 | 11.9 | 4.9 |
| ME19112020_slice_21 | 0.835 | 122.905 | 50.248 | 0.891 | 45.0 | 18.4 | 0.889 | 12.0 | 4.9 |
| ME19112020_slice_22 | 0.831 | 125.076 | 51.306 | 0.888 | 45.8 | 18.8 | 0.886 | 12.2 | 5.0 |
| ME19112020_slice_23 | 0.832 | 126.132 | 51.702 | 0.888 | 46.2 | 18.9 | 0.886 | 12.3 | 5.1 |
| ME19112020_slice_24 | 0.830 | 127.417 | 52.214 | 0.887 | 46.7 | 19.1 | 0.884 | 12.4 | 5.1 |
| ME19112020_slice_25 | 0.821 | 130.177 | 54.131 | 0.880 | 47.7 | 19.8 | 0.877 | 12.7 | 5.3 |
| ME19112020_slice_26 | 0.813 | 131.816 | 56.119 | 0.876 | 48.3 | 20.6 | 0.873 | 12.9 | 5.5 |
| ME19112020_slice_27 | 0.826 | 130.026 | 54.240 | 0.880 | 47.6 | 19.9 | 0.877 | 12.7 | 5.3 |
| ME19112020_slice_28 | 0.824 | 136.340 | 56.082 | 0.877 | 49.9 | 20.5 | 0.874 | 13.3 | 5.5 |
| ME19112020_slice_29 | 0.828 | 135.952 | 55.355 | 0.875 | 49.8 | 20.3 | 0.873 | 13.3 | 5.4 |
| ME19112020_slice_30 | 0.829 | 135.656 | 55.196 | 0.876 | 49.7 | 20.2 | 0.873 | 13.3 | 5.4 |
| ME19112020_slice_31 | 0.823 | 135.865 | 56.578 | 0.873 | 49.8 | 20.7 | 0.870 | 13.3 | 5.5 |
| ME19112020_slice_32 | 0.825 | 132.843 | 55.402 | 0.874 | 48.7 | 20.3 | 0.872 | 13.0 | 5.4 |
| ME19112020_slice_33 | 0.830 | 128.341 | 53.736 | 0.879 | 47.0 | 19.7 | 0.877 | 12.5 | 5.2 |
| ME19112020_slice_34 | 0.827 | 126.856 | 54.207 | 0.884 | 46.5 | 19.9 | 0.882 | 12.4 | 5.3 |
| ME19112020_slice_35 | 0.815 | 131.901 | 58.811 | 0.880 | 48.3 | 21.5 | 0.877 | 12.9 | 5.7 |
| ME19112020_slice_36 | 0.805 | 132.677 | 58.896 | 0.877 | 48.6 | 21.6 | 0.874 | 13.0 | 5.8 |
| ME19112020_slice_37 | 0.811 | 131.010 | 57.297 | 0.878 | 48.0 | 21.0 | 0.875 | 12.8 | 5.6 |
| ME19112020_slice_38 | 0.817 | 129.805 | 56.146 | 0.879 | 47.5 | 20.6 | 0.876 | 12.7 | 5.5 |
| ME19112020_slice_39 | 0.824 | 128.506 | 54.774 | 0.880 | 47.1 | 20.1 | 0.878 | 12.6 | 5.4 |
| ME19112020_slice_40 | 0.829 | 128.851 | 54.409 | 0.881 | 47.2 | 19.9 | 0.879 | 12.6 | 5.3 |
| ME19112020_slice_41 | 0.831 | 129.607 | 54.463 | 0.880 | 47.5 | 19.9 | 0.878 | 12.7 | 5.3 |
| ME19112020_slice_42 | 0.839 | 129.117 | 53.325 | 0.881 | 47.3 | 19.5 | 0.879 | 12.6 | 5.2 |
| ME19112020_slice_43 | 0.830 | 135.103 | 55.968 | 0.873 | 49.5 | 20.5 | 0.871 | 13.2 | 5.5 |
| ME19112020_slice_44 | 0.825 | 138.902 | 57.354 | 0.868 | 50.9 | 21.0 | 0.866 | 13.6 | 5.6 |
| ME19112020_slice_45 | 0.825 | 140.824 | 57.622 | 0.867 | 51.6 | 21.1 | 0.865 | 13.8 | 5.6 |
| ME19112020_slice_46 | 0.820 | 141.089 | 58.221 | 0.864 | 51.7 | 21.3 | 0.862 | 13.8 | 5.7 |
| ME19112020_slice_47 | 0.808 | 141.141 | 59.976 | 0.861 | 51.7 | 22.0 | 0.859 | 13.8 | 5.9 |
| ME19112020_slice_48 | 0.807 | 138.557 | 59.143 | 0.865 | 50.8 | 21.7 | 0.862 | 13.5 | 5.8 |
| ME19112020_slice_49 | 0.810 | 137.177 | 58.141 | 0.866 | 50.2 | 21.3 | 0.864 | 13.4 | 5.7 |
| ME19112020_slice_50 | 0.814 | 137.602 | 57.681 | 0.867 | 50.4 | 21.1 | 0.865 | 13.4 | 5.6 |
| ME19112020_slice_51 | 0.812 | 140.188 | 58.541 | 0.864 | 51.4 | 21.4 | 0.862 | 13.7 | 5.7 |
| ME19112020_slice_52 | 0.808 | 141.173 | 59.421 | 0.863 | 51.7 | 21.8 | 0.861 | 13.8 | 5.8 |
| ME19112020_slice_53 | 0.809 | 141.627 | 59.510 | 0.862 | 51.9 | 21.8 | 0.860 | 13.8 | 5.8 |
| ME19112020_slice_54 | 0.810 | 143.095 | 60.119 | 0.860 | 52.4 | 22.0 | 0.857 | 14.0 | 5.9 |
| ME19112020_slice_55 | 0.807 | 146.115 | 61.376 | 0.857 | 53.5 | 22.5 | 0.854 | 14.3 | 6.0 |
| ME19112020_slice_56 | 0.804 | 149.214 | 62.632 | 0.854 | 54.7 | 22.9 | 0.851 | 14.6 | 6.1 |
| ME19112020_slice_57 | 0.808 | 148.962 | 61.868 | 0.854 | 54.6 | 22.7 | 0.852 | 14.6 | 6.0 |
| ME19112020_slice_58 | 0.807 | 148.152 | 61.561 | 0.854 | 54.3 | 22.5 | 0.852 | 14.5 | 6.0 |
| ME19112020_slice_59 | 0.804 | 148.228 | 61.993 | 0.853 | 54.3 | 22.7 | 0.851 | 14.5 | 6.1 |
| ME19112020_slice_60 | 0.807 | 146.154 | 61.173 | 0.855 | 53.5 | 22.4 | 0.853 | 14.3 | 6.0 |
| ME19112020_slice_61 | 0.812 | 142.546 | 59.504 | 0.860 | 52.2 | 21.8 | 0.858 | 13.9 | 5.8 |
| ME19112020_slice_62 | 0.801 | 142.301 | 60.677 | 0.859 | 52.1 | 22.2 | 0.856 | 13.9 | 5.9 |
| ME19112020_slice_63 | 0.797 | 142.017 | 61.144 | 0.858 | 52.0 | 22.4 | 0.856 | 13.9 | 6.0 |
| ME19112020_slice_64 | 0.800 | 140.917 | 60.305 | 0.860 | 51.6 | 22.1 | 0.858 | 13.8 | 5.9 |
| ME19112020_slice_65 | 0.795 | 141.256 | 61.267 | 0.860 | 51.7 | 22.4 | 0.858 | 13.8 | 6.0 |
| ME19112020_slice_66 | 0.798 | 140.596 | 60.875 | 0.862 | 51.5 | 22.3 | 0.859 | 13.7 | 5.9 |
| ME19112020_slice_67 | 0.811 | 139.023 | 58.908 | 0.866 | 50.9 | 21.6 | 0.864 | 13.6 | 5.8 |
| ME19112020_slice_68 | 0.799 | 141.702 | 61.139 | 0.861 | 51.9 | 22.4 | 0.859 | 13.8 | 6.0 |
| ME19112020_slice_69 | 0.797 | 143.643 | 62.397 | 0.858 | 52.6 | 22.9 | 0.856 | 14.0 | 6.1 |
| ME19112020_slice_70 | 0.808 | 140.780 | 60.100 | 0.866 | 51.6 | 22.0 | 0.863 | 13.8 | 5.9 |
| ME19112020_slice_71 | 0.805 | 142.306 | 60.507 | 0.864 | 52.1 | 22.2 | 0.861 | 13.9 | 5.9 |
| ME19112020_slice_72 | 0.805 | 141.991 | 60.574 | 0.865 | 52.0 | 22.2 | 0.862 | 13.9 | 5.9 |
| ME19112020_slice_73 | 0.792 | 145.365 | 63.026 | 0.859 | 53.2 | 23.1 | 0.856 | 14.2 | 6.2 |
| ME19112020_slice_74 | 0.793 | 145.878 | 63.106 | 0.860 | 53.4 | 23.1 | 0.858 | 14.2 | 6.2 |
| ME19112020_slice_75 | 0.788 | 148.748 | 64.815 | 0.859 | 54.5 | 23.7 | 0.856 | 14.5 | 6.3 |
| ME19112020_slice_76 | 0.772 | 152.908 | 67.992 | 0.851 | 56.0 | 24.9 | 0.848 | 14.9 | 6.6 |
| ME19112020_slice_77 | 0.775 | 150.785 | 67.298 | 0.853 | 55.2 | 24.7 | 0.849 | 14.7 | 6.6 |
| ME19112020_slice_78 | 0.768 | 149.226 | 67.560 | 0.853 | 54.7 | 24.7 | 0.850 | 14.6 | 6.6 |
| ME19112020_slice_79 | 0.777 | 146.948 | 65.106 | 0.858 | 53.8 | 23.8 | 0.855 | 14.4 | 6.4 |
| ME19112020_slice_80 | 0.773 | 148.127 | 66.294 | 0.855 | 54.3 | 24.3 | 0.852 | 14.5 | 6.5 |
| ME19112020_slice_81 | 0.784 | 146.651 | 64.564 | 0.855 | 53.7 | 23.6 | 0.852 | 14.3 | 6.3 |
| ME19112020_slice_82 | 0.783 | 148.431 | 65.290 | 0.850 | 54.4 | 23.9 | 0.847 | 14.5 | 6.4 |
| ME19112020_slice_83 | 0.804 | 146.894 | 62.548 | 0.861 | 53.8 | 22.9 | 0.858 | 14.3 | 6.1 |
| ME19112020_slice_84 | 0.809 | 145.272 | 61.885 | 0.862 | 53.2 | 22.7 | 0.860 | 14.2 | 6.0 |
| ME19112020_slice_85 | 0.805 | 147.414 | 63.242 | 0.860 | 54.0 | 23.2 | 0.857 | 14.4 | 6.2 |
| ME19112020_slice_86 | 0.818 | 144.579 | 60.735 | 0.866 | 53.0 | 22.2 | 0.863 | 14.1 | 5.9 |
| ME19112020_slice_87 | 0.818 | 145.247 | 61.542 | 0.867 | 53.2 | 22.5 | 0.864 | 14.2 | 6.0 |
| ME19112020_slice_88 | 0.810 | 145.146 | 62.336 | 0.866 | 53.2 | 22.8 | 0.863 | 14.2 | 6.1 |
| ME19112020_slice_89 | 0.809 | 144.316 | 61.718 | 0.864 | 52.9 | 22.6 | 0.862 | 14.1 | 6.0 |
| ME19112020_slice_90 | 0.814 | 141.863 | 60.586 | 0.867 | 52.0 | 22.2 | 0.865 | 13.9 | 5.9 |
| ME19112020_slice_91 | 0.811 | 139.478 | 60.638 | 0.869 | 51.1 | 22.2 | 0.866 | 13.6 | 5.9 |
| ME19112020_slice_92 | 0.813 | 137.684 | 59.601 | 0.871 | 50.4 | 21.8 | 0.868 | 13.4 | 5.8 |
| ME19112020_slice_93 | 0.813 | 137.569 | 59.574 | 0.871 | 50.4 | 21.8 | 0.869 | 13.4 | 5.8 |
| ME19112020_slice_94 | 0.812 | 136.103 | 59.505 | 0.871 | 49.9 | 21.8 | 0.869 | 13.3 | 5.8 |
| ME19112020_slice_95 | 0.808 | 137.806 | 61.405 | 0.869 | 50.5 | 22.5 | 0.867 | 13.5 | 6.0 |
| ME19112020_slice_96 | 0.803 | 143.902 | 64.398 | 0.868 | 52.7 | 23.6 | 0.865 | 14.1 | 6.3 |
| ME19112020_slice_97 | 0.794 | 151.437 | 67.105 | 0.863 | 55.5 | 24.6 | 0.859 | 14.8 | 6.6 |
| ME19112020_slice_98 | 0.791 | 155.047 | 68.491 | 0.860 | 56.8 | 25.1 | 0.856 | 15.1 | 6.7 |
| ME19112020_slice_99 | 0.800 | 154.885 | 67.111 | 0.863 | 56.7 | 24.6 | 0.859 | 15.1 | 6.6 |
| ME19112020_slice_100 | 0.804 | 155.085 | 66.405 | 0.868 | 56.8 | 24.3 | 0.864 | 15.1 | 6.5 |
| ME19112020_slice_101 | 0.808 | 153.953 | 66.004 | 0.871 | 56.4 | 24.2 | 0.867 | 15.0 | 6.4 |
| ME19112020_slice_102 | 0.812 | 153.848 | 64.760 | 0.874 | 56.4 | 23.7 | 0.870 | 15.0 | 6.3 |
| ME19112020_slice_103 | 0.794 | 159.752 | 68.868 | 0.863 | 58.5 | 25.2 | 0.859 | 15.6 | 6.7 |
| ME19112020_slice_104 | 0.779 | 163.551 | 72.635 | 0.861 | 59.9 | 26.6 | 0.856 | 16.0 | 7.1 |
| ME19112020_slice_105 | 0.784 | 161.697 | 72.271 | 0.869 | 59.2 | 26.5 | 0.864 | 15.8 | 7.1 |
| ME19112020_slice_106 | 0.790 | 158.007 | 70.104 | 0.871 | 57.9 | 25.7 | 0.867 | 15.4 | 6.8 |
| ME19112020_slice_107 | 0.788 | 155.375 | 69.237 | 0.874 | 56.9 | 25.4 | 0.869 | 15.2 | 6.8 |
| ME19112020_slice_108 | 0.787 | 153.167 | 68.544 | 0.874 | 56.1 | 25.1 | 0.869 | 15.0 | 6.7 |
| ME19112020_slice_109 | 0.791 | 149.084 | 66.467 | 0.876 | 54.6 | 24.3 | 0.872 | 14.6 | 6.5 |
| ME19112020_slice_110 | 0.807 | 142.229 | 62.149 | 0.882 | 52.1 | 22.8 | 0.878 | 13.9 | 6.1 |
| ME19112020_slice_111 | 0.810 | 139.335 | 61.142 | 0.884 | 51.0 | 22.4 | 0.880 | 13.6 | 6.0 |
| ME19112020_slice_112 | 0.818 | 137.178 | 59.127 | 0.888 | 50.2 | 21.7 | 0.885 | 13.4 | 5.8 |
| ME19112020_slice_113 | 0.826 | 135.577 | 56.990 | 0.891 | 49.7 | 20.9 | 0.888 | 13.2 | 5.6 |
| ME19112020_slice_114 | 0.814 | 137.144 | 58.885 | 0.886 | 50.2 | 21.6 | 0.883 | 13.4 | 5.8 |
| ME19112020_slice_115 | 0.810 | 134.904 | 58.987 | 0.883 | 49.4 | 21.6 | 0.880 | 13.2 | 5.8 |
| ME19112020_slice_116 | 0.800 | 135.278 | 60.189 | 0.879 | 49.6 | 22.0 | 0.875 | 13.2 | 5.9 |
| ME19112020_slice_117 | 0.798 | 132.438 | 59.664 | 0.880 | 48.5 | 21.9 | 0.877 | 12.9 | 5.8 |
| ME19112020_slice_118 | 0.797 | 129.555 | 59.345 | 0.887 | 47.5 | 21.7 | 0.883 | 12.7 | 5.8 |
| ME19112020_slice_119 | 0.808 | 126.299 | 57.540 | 0.889 | 46.3 | 21.1 | 0.886 | 12.3 | 5.6 |
| ME19112020_slice_120 | 0.811 | 123.839 | 56.233 | 0.892 | 45.4 | 20.6 | 0.889 | 12.1 | 5.5 |
| ME19112020_slice_121 | 0.803 | 123.524 | 56.892 | 0.891 | 45.2 | 20.8 | 0.888 | 12.1 | 5.6 |
| ME19112020_slice_122 | 0.819 | 119.400 | 54.460 | 0.899 | 43.7 | 19.9 | 0.896 | 11.7 | 5.3 |
| ME19112020_slice_123 | 0.831 | 115.400 | 52.083 | 0.903 | 42.3 | 19.1 | 0.900 | 11.3 | 5.1 |
| ME19112020_slice_124 | 0.833 | 115.476 | 51.934 | 0.902 | 42.3 | 19.0 | 0.899 | 11.3 | 5.1 |
| ME19112020_slice_125 | 0.827 | 115.956 | 53.019 | 0.899 | 42.5 | 19.4 | 0.896 | 11.3 | 5.2 |
| ME19112020_slice_126 | 0.827 | 114.926 | 53.082 | 0.895 | 42.1 | 19.4 | 0.892 | 11.2 | 5.2 |
| ME19112020_slice_127 | 0.834 | 111.390 | 51.304 | 0.901 | 40.8 | 18.8 | 0.898 | 10.9 | 5.0 |
| ME19112020_slice_128 | 0.849 | 107.859 | 48.594 | 0.906 | 39.5 | 17.8 | 0.903 | 10.5 | 4.7 |
| ME19112020_slice_129 | 0.854 | 106.895 | 48.204 | 0.907 | 39.2 | 17.7 | 0.904 | 10.4 | 4.7 |
| ME19112020_slice_130 | 0.857 | 104.701 | 47.303 | 0.908 | 38.4 | 17.3 | 0.905 | 10.2 | 4.6 |
| ME19112020_slice_131 | 0.850 | 106.335 | 48.532 | 0.906 | 39.0 | 17.8 | 0.903 | 10.4 | 4.7 |
| ME19112020_slice_132 | 0.844 | 108.803 | 49.899 | 0.902 | 39.9 | 18.3 | 0.899 | 10.6 | 4.9 |
| ME19112020_slice_133 | 0.845 | 109.505 | 50.311 | 0.902 | 40.1 | 18.4 | 0.899 | 10.7 | 4.9 |
| ME19112020_slice_134 | 0.841 | 109.864 | 50.848 | 0.903 | 40.2 | 18.6 | 0.900 | 10.7 | 5.0 |
| ME19112020_slice_135 | 0.836 | 110.436 | 51.478 | 0.901 | 40.5 | 18.9 | 0.897 | 10.8 | 5.0 |
| ME19112020_slice_136 | 0.822 | 111.981 | 53.279 | 0.898 | 41.0 | 19.5 | 0.894 | 10.9 | 5.2 |
| ME19112020_slice_137 | 0.825 | 113.840 | 53.822 | 0.898 | 41.7 | 19.7 | 0.894 | 11.1 | 5.3 |
| ME19112020_slice_138 | 0.827 | 116.314 | 53.987 | 0.901 | 42.6 | 19.8 | 0.897 | 11.4 | 5.3 |
| ME19112020_slice_139 | 0.826 | 116.765 | 54.036 | 0.901 | 42.8 | 19.8 | 0.897 | 11.4 | 5.3 |
| ME19112020_slice_140 | 0.833 | 113.909 | 51.626 | 0.903 | 41.7 | 18.9 | 0.900 | 11.1 | 5.0 |
| ME19112020_slice_141 | 0.831 | 115.189 | 52.017 | 0.901 | 42.2 | 19.1 | 0.898 | 11.3 | 5.1 |
| ME19112020_slice_142 | 0.826 | 116.587 | 53.301 | 0.897 | 42.7 | 19.5 | 0.893 | 11.4 | 5.2 |
| ME19112020_slice_143 | 0.830 | 112.506 | 52.003 | 0.899 | 41.2 | 19.0 | 0.896 | 11.0 | 5.1 |
| ME19112020_slice_144 | 0.836 | 108.865 | 50.373 | 0.903 | 39.9 | 18.5 | 0.899 | 10.6 | 4.9 |
| ME19112020_slice_145 | 0.830 | 108.610 | 51.254 | 0.899 | 39.8 | 18.8 | 0.895 | 10.6 | 5.0 |
| ME19112020_slice_146 | 0.838 | 104.159 | 48.746 | 0.908 | 38.2 | 17.9 | 0.905 | 10.2 | 4.8 |
| ME19112020_slice_147 | 0.836 | 105.284 | 49.088 | 0.909 | 38.6 | 18.0 | 0.906 | 10.3 | 4.8 |
| ME19112020_slice_148 | 0.841 | 102.920 | 47.520 | 0.911 | 37.7 | 17.4 | 0.908 | 10.1 | 4.6 |
| ME19112020_slice_149 | 0.831 | 107.051 | 49.044 | 0.905 | 39.2 | 18.0 | 0.903 | 10.5 | 4.8 |
| ME19112020_slice_150 | 0.828 | 108.199 | 49.017 | 0.908 | 39.6 | 18.0 | 0.905 | 10.6 | 4.8 |
| ME19112020_slice_151 | 0.813 | 112.954 | 51.769 | 0.900 | 41.4 | 19.0 | 0.897 | 11.0 | 5.1 |
| ME19112020_slice_152 | 0.802 | 117.150 | 53.608 | 0.894 | 42.9 | 19.6 | 0.891 | 11.4 | 5.2 |
| ME19112020_slice_153 | 0.791 | 120.717 | 55.187 | 0.891 | 44.2 | 20.2 | 0.887 | 11.8 | 5.4 |
| ME19112020_slice_154 | 0.791 | 120.561 | 54.442 | 0.892 | 44.2 | 19.9 | 0.889 | 11.8 | 5.3 |
| ME19112020_slice_155 | 0.792 | 119.163 | 54.050 | 0.896 | 43.6 | 19.8 | 0.892 | 11.6 | 5.3 |
| ME19112020_slice_156 | 0.788 | 120.979 | 54.966 | 0.892 | 44.3 | 20.1 | 0.889 | 11.8 | 5.4 |
| ME19112020_slice_157 | 0.798 | 120.740 | 53.413 | 0.899 | 44.2 | 19.6 | 0.896 | 11.8 | 5.2 |
| ME19112020_slice_158 | 0.794 | 124.006 | 55.005 | 0.893 | 45.4 | 20.1 | 0.890 | 12.1 | 5.4 |
| ME19112020_slice_159 | 0.799 | 121.852 | 53.603 | 0.897 | 44.6 | 19.6 | 0.894 | 11.9 | 5.2 |
| ME19112020_slice_160 | 0.796 | 123.166 | 54.446 | 0.894 | 45.1 | 19.9 | 0.891 | 12.0 | 5.3 |
4Γ3 grid: Rows show different image types (Original NATIVE, Reconstructed NATIVE, Original VENOUS, Generated VENOUS), Columns show windowing techniques (No Window, Lung Window, Mediastinum Window)