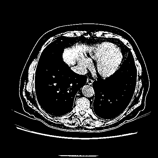
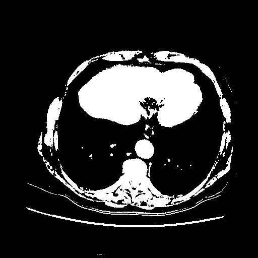
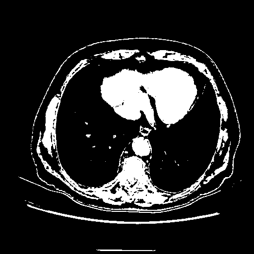
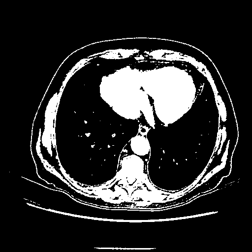
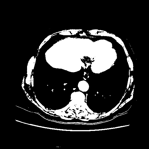
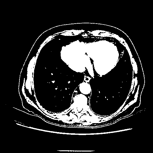
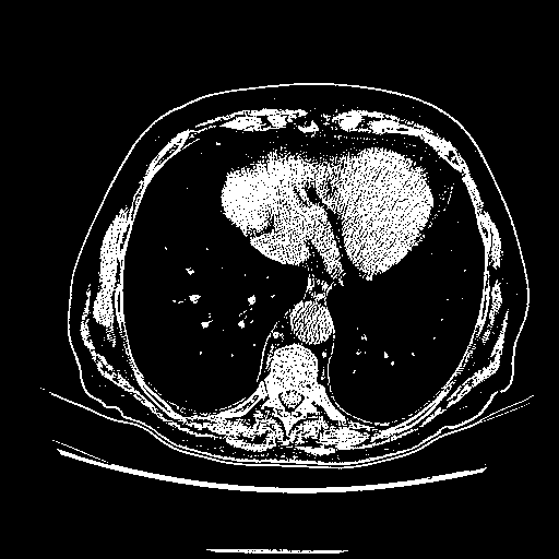
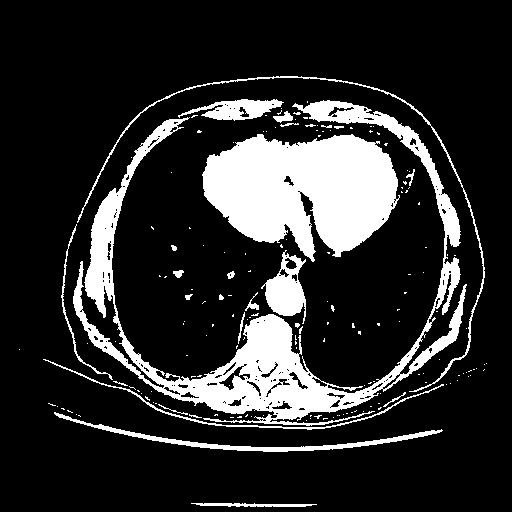
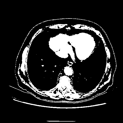
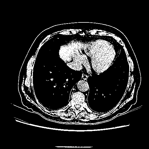
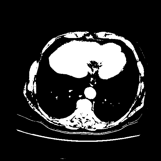
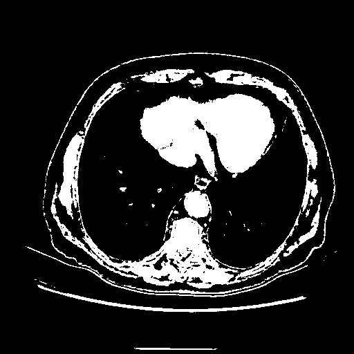
Slice 70 Targeting Evaluation
Patient ID: BC23122020
Model: cytran
Slice: Slice_70
Slice Thickness: 2.5mm
Conversion: NATIVE β VENOUS
Contains all 4 metric datasets: Network-Normalized, Hounsfield Units, Lung Window, and Mediastinum Window
| Slice ID | Full Window SSIM | Full Window RMSE | Full Window MAE | Lung SSIM | Lung RMSE | Lung MAE | Mediastinum SSIM | Mediastinum RMSE | Mediastinum MAE |
|---|---|---|---|---|---|---|---|---|---|
| BC23122020_slice_0 | 0.885 | 86.398 | 34.335 | 0.936 | 31.6 | 12.6 | 0.932 | 8.4 | 3.4 |
| BC23122020_slice_1 | 0.881 | 83.283 | 33.827 | 0.935 | 30.5 | 12.4 | 0.931 | 8.1 | 3.3 |
| BC23122020_slice_2 | 0.887 | 79.453 | 32.912 | 0.938 | 29.1 | 12.1 | 0.934 | 7.8 | 3.2 |
| BC23122020_slice_3 | 0.886 | 82.714 | 34.562 | 0.936 | 30.3 | 12.7 | 0.933 | 8.1 | 3.4 |
| BC23122020_slice_4 | 0.891 | 81.371 | 34.271 | 0.937 | 29.8 | 12.6 | 0.933 | 7.9 | 3.3 |
| BC23122020_slice_5 | 0.889 | 83.544 | 34.793 | 0.936 | 30.6 | 12.7 | 0.933 | 8.2 | 3.4 |
| BC23122020_slice_6 | 0.896 | 81.396 | 33.312 | 0.940 | 29.8 | 12.2 | 0.936 | 8.0 | 3.3 |
| BC23122020_slice_7 | 0.893 | 82.439 | 33.984 | 0.938 | 30.2 | 12.4 | 0.935 | 8.1 | 3.3 |
| BC23122020_slice_8 | 0.881 | 85.964 | 36.168 | 0.934 | 31.5 | 13.2 | 0.931 | 8.4 | 3.5 |
| BC23122020_slice_9 | 0.880 | 86.833 | 36.402 | 0.935 | 31.8 | 13.3 | 0.931 | 8.5 | 3.6 |
| BC23122020_slice_10 | 0.870 | 92.371 | 39.451 | 0.925 | 33.8 | 14.5 | 0.921 | 9.0 | 3.9 |
| BC23122020_slice_11 | 0.877 | 90.921 | 38.610 | 0.927 | 33.3 | 14.1 | 0.924 | 8.9 | 3.8 |
| BC23122020_slice_12 | 0.886 | 87.689 | 36.818 | 0.932 | 32.1 | 13.5 | 0.929 | 8.6 | 3.6 |
| BC23122020_slice_13 | 0.882 | 89.072 | 37.581 | 0.930 | 32.6 | 13.8 | 0.927 | 8.7 | 3.7 |
| BC23122020_slice_14 | 0.880 | 94.140 | 39.552 | 0.926 | 34.5 | 14.5 | 0.923 | 9.2 | 3.9 |
| BC23122020_slice_15 | 0.885 | 94.491 | 39.374 | 0.927 | 34.6 | 14.4 | 0.924 | 9.2 | 3.8 |
| BC23122020_slice_16 | 0.882 | 97.097 | 40.594 | 0.924 | 35.6 | 14.9 | 0.921 | 9.5 | 4.0 |
| BC23122020_slice_17 | 0.870 | 99.549 | 42.257 | 0.922 | 36.5 | 15.5 | 0.918 | 9.7 | 4.1 |
| BC23122020_slice_18 | 0.877 | 98.149 | 40.510 | 0.928 | 36.0 | 14.8 | 0.925 | 9.6 | 4.0 |
| BC23122020_slice_19 | 0.875 | 99.355 | 40.997 | 0.927 | 36.4 | 15.0 | 0.924 | 9.7 | 4.0 |
| BC23122020_slice_20 | 0.879 | 97.967 | 40.613 | 0.927 | 35.9 | 14.9 | 0.925 | 9.6 | 4.0 |
| BC23122020_slice_21 | 0.877 | 99.633 | 41.341 | 0.924 | 36.5 | 15.1 | 0.922 | 9.7 | 4.0 |
| BC23122020_slice_22 | 0.874 | 102.505 | 43.134 | 0.919 | 37.5 | 15.8 | 0.917 | 10.0 | 4.2 |
| BC23122020_slice_23 | 0.864 | 107.062 | 46.320 | 0.908 | 39.2 | 17.0 | 0.906 | 10.5 | 4.5 |
| BC23122020_slice_24 | 0.880 | 102.131 | 43.216 | 0.916 | 37.4 | 15.8 | 0.913 | 10.0 | 4.2 |
| BC23122020_slice_25 | 0.880 | 101.266 | 42.365 | 0.919 | 37.1 | 15.5 | 0.917 | 9.9 | 4.1 |
| BC23122020_slice_26 | 0.876 | 102.885 | 43.511 | 0.916 | 37.7 | 15.9 | 0.914 | 10.0 | 4.3 |
| BC23122020_slice_27 | 0.865 | 108.061 | 46.053 | 0.908 | 39.6 | 16.9 | 0.905 | 10.6 | 4.5 |
| BC23122020_slice_28 | 0.870 | 108.269 | 44.833 | 0.910 | 39.7 | 16.4 | 0.908 | 10.6 | 4.4 |
| BC23122020_slice_29 | 0.860 | 114.926 | 47.425 | 0.903 | 42.1 | 17.4 | 0.901 | 11.2 | 4.6 |
| BC23122020_slice_30 | 0.861 | 117.475 | 47.673 | 0.903 | 43.0 | 17.5 | 0.901 | 11.5 | 4.7 |
| BC23122020_slice_31 | 0.853 | 125.681 | 50.833 | 0.896 | 46.0 | 18.6 | 0.894 | 12.3 | 5.0 |
| BC23122020_slice_32 | 0.857 | 127.372 | 50.487 | 0.900 | 46.7 | 18.5 | 0.897 | 12.4 | 4.9 |
| BC23122020_slice_33 | 0.850 | 130.070 | 52.615 | 0.895 | 47.6 | 19.3 | 0.892 | 12.7 | 5.1 |
| BC23122020_slice_34 | 0.845 | 131.908 | 53.427 | 0.892 | 48.3 | 19.6 | 0.890 | 12.9 | 5.2 |
| BC23122020_slice_35 | 0.838 | 136.691 | 55.810 | 0.885 | 50.1 | 20.4 | 0.883 | 13.4 | 5.5 |
| BC23122020_slice_36 | 0.834 | 141.667 | 57.211 | 0.886 | 51.9 | 21.0 | 0.883 | 13.8 | 5.6 |
| BC23122020_slice_37 | 0.820 | 145.176 | 60.187 | 0.876 | 53.2 | 22.0 | 0.873 | 14.2 | 5.9 |
| BC23122020_slice_38 | 0.814 | 149.552 | 62.420 | 0.870 | 54.8 | 22.9 | 0.867 | 14.6 | 6.1 |
| BC23122020_slice_39 | 0.818 | 146.465 | 61.386 | 0.875 | 53.7 | 22.5 | 0.871 | 14.3 | 6.0 |
| BC23122020_slice_40 | 0.815 | 146.571 | 62.079 | 0.871 | 53.7 | 22.7 | 0.867 | 14.3 | 6.1 |
| BC23122020_slice_41 | 0.810 | 149.607 | 63.340 | 0.868 | 54.8 | 23.2 | 0.865 | 14.6 | 6.2 |
| BC23122020_slice_42 | 0.808 | 150.114 | 63.960 | 0.869 | 55.0 | 23.4 | 0.866 | 14.7 | 6.2 |
| BC23122020_slice_43 | 0.804 | 150.185 | 63.915 | 0.871 | 55.0 | 23.4 | 0.867 | 14.7 | 6.2 |
| BC23122020_slice_44 | 0.812 | 148.357 | 61.832 | 0.880 | 54.3 | 22.6 | 0.877 | 14.5 | 6.0 |
| BC23122020_slice_45 | 0.801 | 146.963 | 62.602 | 0.877 | 53.8 | 22.9 | 0.874 | 14.4 | 6.1 |
| BC23122020_slice_46 | 0.802 | 145.324 | 62.503 | 0.877 | 53.2 | 22.9 | 0.873 | 14.2 | 6.1 |
| BC23122020_slice_47 | 0.805 | 148.459 | 63.053 | 0.877 | 54.4 | 23.1 | 0.873 | 14.5 | 6.2 |
| BC23122020_slice_48 | 0.805 | 148.813 | 63.227 | 0.880 | 54.5 | 23.2 | 0.875 | 14.5 | 6.2 |
| BC23122020_slice_49 | 0.800 | 154.361 | 64.513 | 0.878 | 56.5 | 23.6 | 0.874 | 15.1 | 6.3 |
| BC23122020_slice_50 | 0.794 | 159.578 | 67.275 | 0.870 | 58.5 | 24.6 | 0.865 | 15.6 | 6.6 |
| BC23122020_slice_51 | 0.798 | 155.077 | 65.490 | 0.880 | 56.8 | 24.0 | 0.876 | 15.1 | 6.4 |
| BC23122020_slice_52 | 0.798 | 158.503 | 66.573 | 0.870 | 58.1 | 24.4 | 0.867 | 15.5 | 6.5 |
| BC23122020_slice_53 | 0.790 | 157.084 | 67.792 | 0.863 | 57.5 | 24.8 | 0.860 | 15.3 | 6.6 |
| BC23122020_slice_54 | 0.799 | 150.787 | 64.597 | 0.869 | 55.2 | 23.7 | 0.865 | 14.7 | 6.3 |
| BC23122020_slice_55 | 0.802 | 150.352 | 63.744 | 0.869 | 55.1 | 23.3 | 0.866 | 14.7 | 6.2 |
| BC23122020_slice_56 | 0.804 | 152.154 | 63.756 | 0.871 | 55.7 | 23.4 | 0.867 | 14.9 | 6.2 |
| BC23122020_slice_57 | 0.804 | 151.465 | 63.752 | 0.872 | 55.5 | 23.4 | 0.869 | 14.8 | 6.2 |
| BC23122020_slice_58 | 0.803 | 154.428 | 65.363 | 0.859 | 56.6 | 23.9 | 0.855 | 15.1 | 6.4 |
| BC23122020_slice_59 | 0.809 | 151.157 | 62.536 | 0.867 | 55.4 | 22.9 | 0.864 | 14.8 | 6.1 |
| BC23122020_slice_60 | 0.815 | 149.857 | 61.060 | 0.870 | 54.9 | 22.4 | 0.867 | 14.6 | 6.0 |
| BC23122020_slice_61 | 0.814 | 150.997 | 61.535 | 0.867 | 55.3 | 22.5 | 0.864 | 14.7 | 6.0 |
| BC23122020_slice_62 | 0.810 | 153.792 | 62.893 | 0.863 | 56.3 | 23.0 | 0.860 | 15.0 | 6.1 |
| BC23122020_slice_63 | 0.812 | 153.386 | 62.608 | 0.865 | 56.2 | 22.9 | 0.862 | 15.0 | 6.1 |
| BC23122020_slice_64 | 0.813 | 153.986 | 62.413 | 0.867 | 56.4 | 22.9 | 0.864 | 15.0 | 6.1 |
| BC23122020_slice_65 | 0.820 | 158.657 | 62.925 | 0.874 | 58.1 | 23.0 | 0.870 | 15.5 | 6.1 |
| BC23122020_slice_66 | 0.801 | 169.740 | 68.754 | 0.867 | 62.2 | 25.2 | 0.862 | 16.6 | 6.7 |
| BC23122020_slice_67 | 0.786 | 179.814 | 73.159 | 0.866 | 65.9 | 26.8 | 0.859 | 17.6 | 7.1 |
| BC23122020_slice_68 | 0.781 | 180.242 | 72.834 | 0.871 | 66.0 | 26.7 | 0.864 | 17.6 | 7.1 |
| BC23122020_slice_69 | 0.766 | 180.961 | 75.172 | 0.865 | 66.3 | 27.5 | 0.857 | 17.7 | 7.3 |
| BC23122020_slice_70 | 0.783 | 176.822 | 72.495 | 0.868 | 64.8 | 26.6 | 0.861 | 17.3 | 7.1 |
| BC23122020_slice_71 | 0.797 | 176.531 | 71.382 | 0.876 | 64.7 | 26.1 | 0.869 | 17.2 | 7.0 |
| BC23122020_slice_72 | 0.786 | 184.865 | 75.346 | 0.876 | 67.7 | 27.6 | 0.868 | 18.1 | 7.4 |
| BC23122020_slice_73 | 0.787 | 187.609 | 75.657 | 0.876 | 68.7 | 27.7 | 0.868 | 18.3 | 7.4 |
| BC23122020_slice_74 | 0.793 | 191.124 | 75.457 | 0.877 | 70.0 | 27.6 | 0.869 | 18.7 | 7.4 |
| BC23122020_slice_75 | 0.770 | 194.782 | 78.944 | 0.870 | 71.3 | 28.9 | 0.862 | 19.0 | 7.7 |
| BC23122020_slice_76 | 0.767 | 194.466 | 78.595 | 0.872 | 71.2 | 28.8 | 0.864 | 19.0 | 7.7 |
| BC23122020_slice_77 | 0.762 | 195.409 | 79.200 | 0.874 | 71.6 | 29.0 | 0.865 | 19.1 | 7.7 |
| BC23122020_slice_78 | 0.760 | 197.470 | 79.258 | 0.878 | 72.3 | 29.0 | 0.869 | 19.3 | 7.7 |
| BC23122020_slice_79 | 0.752 | 199.153 | 81.240 | 0.876 | 72.9 | 29.8 | 0.867 | 19.5 | 7.9 |
| BC23122020_slice_80 | 0.750 | 198.009 | 79.882 | 0.879 | 72.5 | 29.3 | 0.871 | 19.3 | 7.8 |
| BC23122020_slice_81 | 0.753 | 195.194 | 77.471 | 0.882 | 71.5 | 28.4 | 0.874 | 19.1 | 7.6 |
| BC23122020_slice_82 | 0.758 | 192.996 | 76.769 | 0.879 | 70.7 | 28.1 | 0.872 | 18.9 | 7.5 |
| BC23122020_slice_83 | 0.760 | 192.405 | 76.324 | 0.880 | 70.5 | 28.0 | 0.872 | 18.8 | 7.5 |
| BC23122020_slice_84 | 0.772 | 188.572 | 72.741 | 0.886 | 69.1 | 26.6 | 0.879 | 18.4 | 7.1 |
| BC23122020_slice_85 | 0.774 | 185.941 | 71.563 | 0.886 | 68.1 | 26.2 | 0.879 | 18.2 | 7.0 |
| BC23122020_slice_86 | 0.778 | 183.161 | 70.171 | 0.886 | 67.1 | 25.7 | 0.879 | 17.9 | 6.9 |
| BC23122020_slice_87 | 0.779 | 177.743 | 68.106 | 0.893 | 65.1 | 24.9 | 0.887 | 17.4 | 6.7 |
| BC23122020_slice_88 | 0.784 | 172.215 | 65.619 | 0.895 | 63.1 | 24.0 | 0.889 | 16.8 | 6.4 |
| BC23122020_slice_89 | 0.778 | 169.313 | 65.526 | 0.892 | 62.0 | 24.0 | 0.886 | 16.5 | 6.4 |
| BC23122020_slice_90 | 0.778 | 165.202 | 64.299 | 0.894 | 60.5 | 23.6 | 0.888 | 16.1 | 6.3 |
| BC23122020_slice_91 | 0.783 | 159.576 | 62.042 | 0.896 | 58.5 | 22.7 | 0.892 | 15.6 | 6.1 |
| BC23122020_slice_92 | 0.795 | 152.560 | 57.731 | 0.904 | 55.9 | 21.1 | 0.900 | 14.9 | 5.6 |
| BC23122020_slice_93 | 0.804 | 149.181 | 56.309 | 0.905 | 54.6 | 20.6 | 0.901 | 14.6 | 5.5 |
| BC23122020_slice_94 | 0.802 | 147.495 | 56.064 | 0.903 | 54.0 | 20.5 | 0.899 | 14.4 | 5.5 |
| BC23122020_slice_95 | 0.791 | 145.564 | 56.880 | 0.900 | 53.3 | 20.8 | 0.896 | 14.2 | 5.6 |
| BC23122020_slice_96 | 0.792 | 143.166 | 56.251 | 0.900 | 52.4 | 20.6 | 0.896 | 14.0 | 5.5 |
| BC23122020_slice_97 | 0.795 | 140.158 | 54.890 | 0.900 | 51.3 | 20.1 | 0.896 | 13.7 | 5.4 |
| BC23122020_slice_98 | 0.796 | 136.047 | 53.305 | 0.903 | 49.8 | 19.5 | 0.899 | 13.3 | 5.2 |
| BC23122020_slice_99 | 0.787 | 134.958 | 54.801 | 0.900 | 49.4 | 20.1 | 0.896 | 13.2 | 5.4 |
| BC23122020_slice_100 | 0.788 | 133.256 | 53.818 | 0.903 | 48.8 | 19.7 | 0.900 | 13.0 | 5.3 |
| BC23122020_slice_101 | 0.795 | 130.422 | 51.660 | 0.907 | 47.8 | 18.9 | 0.904 | 12.7 | 5.0 |
| BC23122020_slice_102 | 0.787 | 129.514 | 52.630 | 0.905 | 47.4 | 19.3 | 0.902 | 12.7 | 5.1 |
| BC23122020_slice_103 | 0.783 | 126.089 | 51.575 | 0.906 | 46.2 | 18.9 | 0.902 | 12.3 | 5.0 |
| BC23122020_slice_104 | 0.786 | 123.081 | 49.948 | 0.907 | 45.1 | 18.3 | 0.904 | 12.0 | 4.9 |
| BC23122020_slice_105 | 0.794 | 118.065 | 47.803 | 0.909 | 43.2 | 17.5 | 0.906 | 11.5 | 4.7 |
| BC23122020_slice_106 | 0.802 | 112.379 | 45.561 | 0.918 | 41.2 | 16.7 | 0.914 | 11.0 | 4.5 |
4Γ3 grid: Rows show different image types (Original NATIVE, Reconstructed NATIVE, Original VENOUS, Generated VENOUS), Columns show windowing techniques (No Window, Lung Window, Mediastinum Window)